JavaScript is disabled in your browser. Please enable JavaScript to view this website.
AB256384

Anti-Histone H3 (mutated K36M) antibody [EPR23614-91]

Be the first to review this product! Submit a review

|

(0 Publication)

Rabbit Recombinant Monoclonal H3 mutated K36M antibody. Suitable for ChIC/CUT&RUN-seq, IP, WB, IHC-P, I-ELISA, ICC/IF, Flow Cyt (Intra) and reacts with Transfected cell line - Human, Human, Transfected cell lysate - Human, Synthetic peptide - Human samples.

View Alternative Names

H3.3A, H3F3, H3F3A, PP781, H3-3B, H3.3B, H3F3B, H3-3A, Histone H3.3, H3K36M, H3.3K36M, H3K36

9 Images
Immunocytochemistry/ Immunofluorescence - Anti-Histone H3 (mutated K36M) antibody [EPR23614-91] (AB256384)
  • ICC/IF

Unknown

Immunocytochemistry/ Immunofluorescence - Anti-Histone H3 (mutated K36M) antibody [EPR23614-91] (AB256384)

Immunofluorescent analysis of 4% Paraformaldehyde-fixed, 0.1% Triton X-100 permeabilized HEK-293 cells labelling Histone H3 (mutated K36 M) with ab256384 at 1/50 dilution, followed by a secondary antibody at 1/1000 dilution (Green). Confocal image showing nuclear staining in HEK-293 cell line transfected with myc-tagged Histone H3 K36M expression vector. 2233S Myc-Tag (9B11) Mouse mAb (Alexa Fluor® 647 Conjugate) was used to counterstain tubulin at 1/200 dilution (Red). The Nuclear counterstain was DAPI (Blue).

Flow Cytometry (Intracellular) - Anti-Histone H3 (mutated K36M) antibody [EPR23614-91] (AB256384)
  • Flow Cyt (Intra)

Unknown

Flow Cytometry (Intracellular) - Anti-Histone H3 (mutated K36M) antibody [EPR23614-91] (AB256384)

Intracellular flow cytometric analysis of 4% paraformaldehyde fixed 90% methanol permeabilized HEK-293T transfected with myc tagged Histone H3 construct (Left) or myc tagged Histone H3 K36M construct (Right) cells labelling Histone H3 (mutated K36 M) with ab256384 at 1/500 compared with a isotype control and an unlabelled control (cells without incubation with primary antibody and secondary antibody) (Blue). A Goat anti rabbit IgG (Alexa Fluor® 488, ab150077) at 1/2000 was used as the secondary antibody.

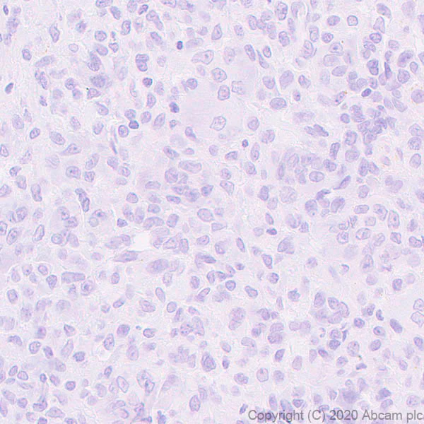
Immunohistochemistry (Formalin/PFA-fixed paraffin-embedded sections) - Anti-Histone H3 (mutated K36M) antibody [EPR23614-91] (AB256384)
  • IHC-P

Unknown

Immunohistochemistry (Formalin/PFA-fixed paraffin-embedded sections) - Anti-Histone H3 (mutated K36M) antibody [EPR23614-91] (AB256384)

Immunohistochemical analysis of paraffin-embedded human giant cell tumor of bone tissue labeling Histone H3 (mutated K36 M) with ab256384 at 1/4000 dilution followed by a ready to use Goat Anti-Rabbit IgG H&L (HRP). Negative control : No staining in human giant cell tumor of bone (PMID : 29757500). Counterstained with Hematoxylin.

Secondary antibody only control : Secondary antibody is a ready to use Goat Anti-Rabbit IgG H&L (HRP).

Heat mediated antigen retrieval using ab93684 (Tris/EDTA buffer, pH 9.0)

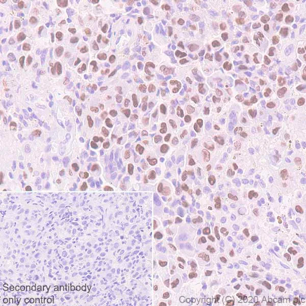
Immunohistochemistry (Formalin/PFA-fixed paraffin-embedded sections) - Anti-Histone H3 (mutated K36M) antibody [EPR23614-91] (AB256384)
  • IHC-P

Unknown

Immunohistochemistry (Formalin/PFA-fixed paraffin-embedded sections) - Anti-Histone H3 (mutated K36M) antibody [EPR23614-91] (AB256384)

Immunohistochemical analysis of paraffin-embedded human chondroblastoma tissue labeling Histone H3 (mutated K36 M) with ab256384 at 1/4000 dilution followed by a ready to use Goat Anti-Rabbit IgG H&L (HRP). Nuclear staining in human chondroblastoma (PMID : 29757500). Counterstained with Hematoxylin.

Secondary antibody only control : Secondary antibody is a ready to use Goat Anti-Rabbit IgG H&L (HRP).

Heat mediated antigen retrieval using ab93684 (Tris/EDTA buffer, pH 9.0)

Immunoprecipitation - Anti-Histone H3 (mutated K36M) antibody [EPR23614-91] (AB256384)
  • IP

Unknown

Immunoprecipitation - Anti-Histone H3 (mutated K36M) antibody [EPR23614-91] (AB256384)

Histone H3.3 (mutated K36 M) was immunoprecipitated from 0.35 mg HEK-293 transfected with Histone H3.3 K36M (mutate) expression vector containing a myc-His-tag®, whole cell lysate with ab256384 at 1/30 dilution (2ug in 0.35mg lysates). Western blot was performed on the immunoprecipitate using ab256384 at 1/1000 dilution. VeriBlot for IP Detection Reagent (HRP)(ab131366) was used at 1/5000 dilution.

Lane 1 : HEK-293 transfected with Histone H3.3 K36M (mutate) expression vector containing a myc-His-tag®, whole cell lysate 10 ug

Lane 2 : ab256384 IP in HEK-293 transfected with Histone H3.3 K36M (mutate) expression vector containing a myc-His-tag®, whole cell lysate

Lane 3 : Rabbit monoclonal IgG (ab172730) instead of ab256384 in HEK-293 transfected with Histone H3.3 K36M (mutate) expression vector containing a myc-His-tag®, whole cell lysate

Blocking and dilution buffer and concentration : 5% NFDM/TBST.

Exposure time : 10 seconds

All lanes:

Immunoprecipitation - Anti-Histone H3 (mutated K36M) antibody [EPR23614-91] (ab256384)

Predicted band size: 15 kDa

false

Western blot - Anti-Histone H3 (mutated K36M) antibody [EPR23614-91] (AB256384)
  • WB

Lab

Western blot - Anti-Histone H3 (mutated K36M) antibody [EPR23614-91] (AB256384)

Blocking/Diluting buffer and concentration : 5% NFDM/TBST

All lanes:

Western blot - Anti-Histone H3 (mutated K36M) antibody [EPR23614-91] (ab256384) at 1/1000 dilution

Lane 1:

HEK-293 transfected with Histone H3.1 (WT) expression vector containing a myc-His-tag®, whole cell lysate at 20 µg

Lane 2:

HEK-293 transfected with Histone H3.1 K36M (mutant) expression vector containing a myc-His-tag®, whole cell lysate at 20 µg

Secondary

All lanes:

Western blot - Goat Anti-Rabbit IgG H&L (HRP) (<a href='/en-us/products/secondary-antibodies/goat-rabbit-igg-h-l-hrp-ab97051'>ab97051</a>) at 1/100000 dilution

Predicted band size: 15 kDa

Observed band size: 19 kDa

false

Exposure time: 62s

ChIC/CUT&RUN sequencing - Anti-Histone H3 (mutated K36M) antibody [EPR23614-91] (AB256384)
  • ChIC/CUT&RUN-seq

Supplier Data

ChIC/CUT&RUN sequencing - Anti-Histone H3 (mutated K36M) antibody [EPR23614-91] (AB256384)

ChIC/CUT&RUN was performed using a pAG-MNAse at a final concentration of 700 ng/mL, 2.5 x 10^5 293T cells transfected with a H3.3K36M (Mutant) or H3.3 (WT) plasmid and 3µg of ab256384 [EPR23614-91]. The resulting DNA was sequenced on the Illumina NovaSeq 6000 to a depth of 10 million reads. The negative IgG control ab172730 is also shown. Additional screenshots of mapped reads can be found in the Protocol booklet in the Product Protocol section. The University of Geneva owns patents relevant to ChIC (Chromatin Immuno-Cleavage) methods.

Indirect ELISA - Anti-Histone H3 (mutated K36M) antibody [EPR23614-91] (AB256384)
  • I-ELISA

Unknown

Indirect ELISA - Anti-Histone H3 (mutated K36M) antibody [EPR23614-91] (AB256384)

Indirect ELISA using ab256384 at varying antibody concentrations and antigen concentration at 100 ng/mL. An Alkaline Phosphatase-conjugated Goat Anti-Rabbit IgG (H+L) (1/2500) was used as the secondary antibody.

Binding was seen for Histone H3 (mutated K36M) peptide. Binding to the following peptides was not seen :

Histone H3 WT,
Histone H3 (mono methyl K36),
Histone H3 (di methyl K36),
Histone H3 (tri methyl K36).

This indicates the specificity of ab256384 for mutated K36M of Histone H3.

Western blot - Anti-Histone H3 (mutated K36M) antibody [EPR23614-91] (AB256384)
  • WB

Lab

Western blot - Anti-Histone H3 (mutated K36M) antibody [EPR23614-91] (AB256384)

Blocking and diluting buffer and concentration : 5% NFDM/TBST

Exposure time : 26 seconds

All lanes:

Western blot - Anti-Histone H3 (mutated K36M) antibody [EPR23614-91] (ab256384) at 1/1000 dilution

Lane 1:

HEK-293 transfected with Histone H3.3 (WT) expression vector containing a myc-His-tag®, whole cell lysate at 10 µg

Lane 2:

HEK-293 transfected with Histone H3.3 K36M (mutate) expression vector containing a myc-His-tag®, whole cell lysate at 10 µg

Secondary

All lanes:

Western blot - Goat Anti-Rabbit IgG H&L (HRP) (<a href='/en-us/products/secondary-antibodies/goat-rabbit-igg-h-l-hrp-ab97051'>ab97051</a>) at 1/100000 dilution

Predicted band size: 15 kDa

Observed band size: 20 kDa

false

  • 775 Alexa Fluor® 750

    Alexa Fluor® 750 Anti-Histone H3 (mutated K36M) antibody [EPR23614-91]

  • 665 Alexa Fluor® 647

    Alexa Fluor® 647 Anti-Histone H3 (mutated K36M) antibody [EPR23614-91]

  • 578 PE

    PE Anti-Histone H3 (mutated K36M) antibody [EPR23614-91]

  • 660 APC

    APC Anti-Histone H3 (mutated K36M) antibody [EPR23614-91]

  • HRP

    HRP Anti-Histone H3 (mutated K36M) antibody [EPR23614-91]

  • 519 Alexa Fluor® 488

    Alexa Fluor® 488 Anti-Histone H3 (mutated K36M) antibody [EPR23614-91]

  • 617 Alexa Fluor® 594

    Alexa Fluor® 594 Anti-Histone H3 (mutated K36M) antibody [EPR23614-91]

  • 603 Alexa Fluor® 568

    Alexa Fluor® 568 Anti-Histone H3 (mutated K36M) antibody [EPR23614-91]

  • 565 Alexa Fluor® 555

    Alexa Fluor® 555 Anti-Histone H3 (mutated K36M) antibody [EPR23614-91]

  • Carrier free

    Anti-Histone H3 (mutated K36M) antibody [EPR23614-91] - BSA and Azide free

Key facts

Host species

Rabbit

Clonality

Monoclonal

Clone number

EPR23614-91

Isotype

IgG

Carrier free

No

Reacts with

Human

Applications

ChIC/CUT&RUN-seq, IHC-P, I-ELISA, IP, ICC/IF, Flow Cyt (Intra), WB

applications

Immunogen

The exact immunogen used to generate this antibody is proprietary information.

Reactivity data

{ "title": "Reactivity Data", "filters": { "stats": ["", "Species", "Dilution Info", "Notes"], "tabs": { "all-applications": {"fullname" : "All Applications", "shortname": "All Applications"}, "ChICCUTRUNseq" : {"fullname" : "ChIC/CUT&RUN sequencing", "shortname":"ChIC/CUT&RUN-seq"}, "IP" : {"fullname" : "Immunoprecipitation", "shortname":"IP"}, "WB" : {"fullname" : "Western blot", "shortname":"WB"}, "IHCP" : {"fullname" : "Immunohistochemistry (Formalin/PFA-fixed paraffin-embedded sections)", "shortname":"IHC-P"}, "IELISA" : {"fullname" : "Indirect ELISA", "shortname":"I-ELISA"}, "ICCIF" : {"fullname" : "Immunocytochemistry/ Immunofluorescence", "shortname":"ICC/IF"}, "FlowCytIntra" : {"fullname" : "Flow Cytometry (Intracellular)", "shortname":"Flow Cyt (Intra)"}, "ChIP" : {"fullname" : "ChIP", "shortname":"ChIP"} }, "product-promise": { "all": "all", "testedAndGuaranteed": "tested", "guaranteed": "expected", "predicted": "predicted", "notRecommended": "not-recommended" } }, "values": { "Human": { "ChICCUTRUNseq-species-checked": "guaranteed", "ChICCUTRUNseq-species-dilution-info": "", "ChICCUTRUNseq-species-notes": "", "IP-species-checked": "guaranteed", "IP-species-dilution-info": "", "IP-species-notes": "", "WB-species-checked": "guaranteed", "WB-species-dilution-info": "", "WB-species-notes": "", "IHCP-species-checked": "testedAndGuaranteed", "IHCP-species-dilution-info": "1/4000", "IHCP-species-notes": "<p>Heat mediated antigen retrieval using <a href='/en-us/products/buffers/antigen-retrieval-buffer-100x-tris-edta-buffer-ph-90-ab93684'>ab93684</a> (Tris/EDTA buffer, pH 9.0)</p>", "IELISA-species-checked": "guaranteed", "IELISA-species-dilution-info": "", "IELISA-species-notes": "", "ICCIF-species-checked": "testedAndGuaranteed", "ICCIF-species-dilution-info": "1/50", "ICCIF-species-notes": "<p></p>", "FlowCytIntra-species-checked": "testedAndGuaranteed", "FlowCytIntra-species-dilution-info": "1/500", "FlowCytIntra-species-notes": "<p></p>", "ChIP-species-checked": "notRecommended", "ChIP-species-dilution-info": "", "ChIP-species-notes": "<p></p>" }, "Mouse": { "ChICCUTRUNseq-species-checked": "notRecommended", "ChICCUTRUNseq-species-dilution-info": "", "ChICCUTRUNseq-species-notes": "", "IP-species-checked": "notRecommended", "IP-species-dilution-info": "", "IP-species-notes": "", "WB-species-checked": "notRecommended", "WB-species-dilution-info": "", "WB-species-notes": "", "IHCP-species-checked": "notRecommended", "IHCP-species-dilution-info": "1/4000", "IHCP-species-notes": "<p>Heat mediated antigen retrieval using <a href='/en-us/products/buffers/antigen-retrieval-buffer-100x-tris-edta-buffer-ph-90-ab93684'>ab93684</a> (Tris/EDTA buffer, pH 9.0)</p>", "IELISA-species-checked": "notRecommended", "IELISA-species-dilution-info": "", "IELISA-species-notes": "", "ICCIF-species-checked": "notRecommended", "ICCIF-species-dilution-info": "", "ICCIF-species-notes": "", "FlowCytIntra-species-checked": "notRecommended", "FlowCytIntra-species-dilution-info": "", "FlowCytIntra-species-notes": "", "ChIP-species-checked": "notRecommended", "ChIP-species-dilution-info": "", "ChIP-species-notes": "" }, "Rat": { "ChICCUTRUNseq-species-checked": "notRecommended", "ChICCUTRUNseq-species-dilution-info": "", "ChICCUTRUNseq-species-notes": "", "IP-species-checked": "notRecommended", "IP-species-dilution-info": "", "IP-species-notes": "", "WB-species-checked": "notRecommended", "WB-species-dilution-info": "", "WB-species-notes": "", "IHCP-species-checked": "notRecommended", "IHCP-species-dilution-info": "1/4000", "IHCP-species-notes": "<p>Heat mediated antigen retrieval using <a href='/en-us/products/buffers/antigen-retrieval-buffer-100x-tris-edta-buffer-ph-90-ab93684'>ab93684</a> (Tris/EDTA buffer, pH 9.0)</p>", "IELISA-species-checked": "notRecommended", "IELISA-species-dilution-info": "", "IELISA-species-notes": "", "ICCIF-species-checked": "notRecommended", "ICCIF-species-dilution-info": "", "ICCIF-species-notes": "", "FlowCytIntra-species-checked": "notRecommended", "FlowCytIntra-species-dilution-info": "", "FlowCytIntra-species-notes": "", "ChIP-species-checked": "notRecommended", "ChIP-species-dilution-info": "", "ChIP-species-notes": "" }, "Synthetic peptide - Human": { "ChICCUTRUNseq-species-checked": "notRecommended", "ChICCUTRUNseq-species-dilution-info": "", "ChICCUTRUNseq-species-notes": "", "IP-species-checked": "notRecommended", "IP-species-dilution-info": "", "IP-species-notes": "", "WB-species-checked": "notRecommended", "WB-species-dilution-info": "", "WB-species-notes": "", "IHCP-species-checked": "notRecommended", "IHCP-species-dilution-info": "", "IHCP-species-notes": "", "IELISA-species-checked": "testedAndGuaranteed", "IELISA-species-dilution-info": "1 µg/mL", "IELISA-species-notes": "<p></p>", "ICCIF-species-checked": "notRecommended", "ICCIF-species-dilution-info": "", "ICCIF-species-notes": "", "FlowCytIntra-species-checked": "notRecommended", "FlowCytIntra-species-dilution-info": "", "FlowCytIntra-species-notes": "", "ChIP-species-checked": "notRecommended", "ChIP-species-dilution-info": "", "ChIP-species-notes": "" }, "Transfected cell line - Human": { "ChICCUTRUNseq-species-checked": "testedAndGuaranteed", "ChICCUTRUNseq-species-dilution-info": "3 µg", "ChICCUTRUNseq-species-notes": "<p></p>", "IP-species-checked": "notRecommended", "IP-species-dilution-info": "", "IP-species-notes": "", "WB-species-checked": "notRecommended", "WB-species-dilution-info": "", "WB-species-notes": "", "IHCP-species-checked": "notRecommended", "IHCP-species-dilution-info": "", "IHCP-species-notes": "", "IELISA-species-checked": "notRecommended", "IELISA-species-dilution-info": "", "IELISA-species-notes": "", "ICCIF-species-checked": "notRecommended", "ICCIF-species-dilution-info": "", "ICCIF-species-notes": "", "FlowCytIntra-species-checked": "notRecommended", "FlowCytIntra-species-dilution-info": "", "FlowCytIntra-species-notes": "", "ChIP-species-checked": "notRecommended", "ChIP-species-dilution-info": "", "ChIP-species-notes": "" }, "Transfected cell lysate - Human": { "ChICCUTRUNseq-species-checked": "notRecommended", "ChICCUTRUNseq-species-dilution-info": "", "ChICCUTRUNseq-species-notes": "", "IP-species-checked": "testedAndGuaranteed", "IP-species-dilution-info": "1/30", "IP-species-notes": "<p></p>", "WB-species-checked": "testedAndGuaranteed", "WB-species-dilution-info": "1/1000", "WB-species-notes": "<p></p>", "IHCP-species-checked": "notRecommended", "IHCP-species-dilution-info": "", "IHCP-species-notes": "", "IELISA-species-checked": "notRecommended", "IELISA-species-dilution-info": "", "IELISA-species-notes": "", "ICCIF-species-checked": "notRecommended", "ICCIF-species-dilution-info": "", "ICCIF-species-notes": "", "FlowCytIntra-species-checked": "notRecommended", "FlowCytIntra-species-dilution-info": "", "FlowCytIntra-species-notes": "", "ChIP-species-checked": "notRecommended", "ChIP-species-dilution-info": "", "ChIP-species-notes": "" } } }

Product details

Patented technology
Our RabMAb® technology is a patented hybridoma-based technology for making rabbit monoclonal antibodies. For details on our patents, please refer to RabMAb® patents.

What are the advantages of a recombinant monoclonal antibody?
This product is a recombinant monoclonal antibody, which offers several advantages including:

  • - High batch-to-batch consistency and reproducibility
  • - Improved sensitivity and specificity
  • - Long-term security of supply
  • - Animal-free batch production

For more information, read more on recombinant antibodies.

Properties and storage information

Form
Liquid
Purification technique
Affinity purification Protein A
Storage buffer
pH: 7.2 - 7.4 Preservative: 0.05% Sodium azide Constituents: PBS, 40% Glycerol (glycerin, glycerine), 0.05% BSA
Shipped at conditions
Blue Ice
Appropriate short-term storage duration
1-2 weeks
Appropriate short-term storage conditions
+4°C
Appropriate long-term storage conditions
-20°C
Aliquoting information
Upon delivery aliquot
Storage information
Avoid freeze / thaw cycle

Product protocols

For this product, it's our understanding that no specific protocols are required. You can visit:

Target data

Variant histone H3 which replaces conventional H3 in a wide range of nucleosomes in active genes. Constitutes the predominant form of histone H3 in non-dividing cells and is incorporated into chromatin independently of DNA synthesis. Deposited at sites of nucleosomal displacement throughout transcribed genes, suggesting that it represents an epigenetic imprint of transcriptionally active chromatin. Nucleosomes wrap and compact DNA into chromatin, limiting DNA accessibility to the cellular machineries which require DNA as a template. Histones thereby play a central role in transcription regulation, DNA repair, DNA replication and chromosomal stability. DNA accessibility is regulated via a complex set of post-translational modifications of histones, also called histone code, and nucleosome remodeling.
See full target information H3-3A mutated K36M
chicCutRunSequencingBooklet
en

Product promise

We are committed to supporting your work with high-quality reagents, and we're here for you every step of the way. In the unlikely event that one of our products does not perform as expected, you're protected by our Product Promise.
For full details, please see our Terms & Conditions

Please note: All products are 'FOR RESEARCH USE ONLY. NOT FOR USE IN DIAGNOSTIC OR THERAPEUTIC PROCEDURES'.

For licensing inquiries, please contact partnerships@abcam.com