JavaScript is disabled in your browser. Please enable JavaScript to view this website.
AB183626

Anti-Histone H3 (phospho S10) antibody

Be the first to review this product! Submit a review

|

(5 Publications)

Rabbit Polyclonal H3 phospho S10 antibody. Suitable for IP, ChIP, WB, IHC-P, ICC/IF, IHC - Wmt and reacts with Human, Mouse, Rat, Zebrafish samples. Cited in 5 publications. Immunogen corresponding to Synthetic Peptide within Human H3C1 phospho S10.

View Alternative Names

H3FA, HIST1H3A, H3C2, H3FL, HIST1H3B, H3C3, H3FC HIST1H3C, H3C4, H3FB, HIST1H3D, H3C6, H3FD, HIST1H3E, H3C7, H3FI, HIST1H3F, H3C8, H3FH, HIST1H3G, H3C10, H3FK, HIST1H3H, H3C11, H3FF, HIST1H3I, H3C12, H3FJ, HIST1H3J, H3C1, H3FC, HIST1H3C, Histone H3.1, Histone H3/a, Histone H3/b, Histone H3/c, Histone H3/d, Histone H3/f, Histone H3/h, Histone H3/i, Histone H3/j, Histone H3/k, Histone H3/l, H3S10p

12 Images
Immunocytochemistry/ Immunofluorescence - Anti-Histone H3 (phospho S10) antibody (AB183626)
  • ICC/IF

Supplier Data

Immunocytochemistry/ Immunofluorescence - Anti-Histone H3 (phospho S10) antibody (AB183626)

Immunofluorescent analysis of RFP-tag transfected HeLa cells labeling Histone H3 (phospho S10) with ab183626 at 1/500 (green). Red : Tubulin, alpha 1b protein stained by TUBA1B antibody at 1/500 . Blue : Hoechst 33342 staining.

Immunocytochemistry/ Immunofluorescence - Anti-Histone H3 (phospho S10) antibody (AB183626)
  • ICC/IF

Supplier Data

Immunocytochemistry/ Immunofluorescence - Anti-Histone H3 (phospho S10) antibody (AB183626)

Confocal immunofluorescent analysis of mitotic HeLa cells labeling Histone H3 (phospho S10) with ab183626 at 1/500 (green). Red : Tubulin, alpha 1b protein stained by TUBA1B antibody at 1/2500 . Blue : Hoechst 33342 staining.

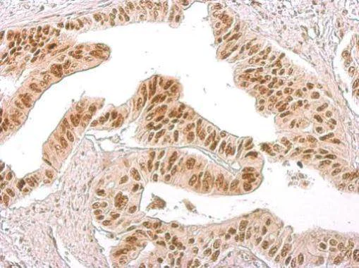
Immunohistochemistry (Formalin/PFA-fixed paraffin-embedded sections) - Anti-Histone H3 (phospho S10) antibody (AB183626)
  • IHC-P

Supplier Data

Immunohistochemistry (Formalin/PFA-fixed paraffin-embedded sections) - Anti-Histone H3 (phospho S10) antibody (AB183626)

Immunohistochemical analysis of paraffin embedded Human gastric carcinoma tissue labeling Histone H3 (phospho S10) with ab183626 at 1/500.

Immunoprecipitation - Anti-Histone H3 (phospho S10) antibody (AB183626)
  • IP

Supplier Data

Immunoprecipitation - Anti-Histone H3 (phospho S10) antibody (AB183626)

Samples were separated by 15 % SDS-PAGE.

The immunoprecipitated HIST1H3B protein was detected by Histone H3S10ph (phospho Ser10) antibody diluted at 1/1000 dilution.

All lanes:

Immunoprecipitation - Anti-Histone H3 (phospho S10) antibody (ab183626) at 1/1000 dilution

Lane 1:

293T whole cell extract treat with 100ng/ml Nocodazole for 24 hr at 30 µg

Lane 2:

Control with 4 µg of preimmune Rabbit IgG

Lane 3:

293T whole cell extract treat with 100ng/ml Nocodazole for 24 hr (+)

Secondary

All lanes:

Anti rabbit IgG antibody

Predicted band size: 15 kDa

false

ChIP - Anti-Histone H3 (phospho S10) antibody (AB183626)
  • ChIP

Supplier Data

ChIP - Anti-Histone H3 (phospho S10) antibody (AB183626)

Cross-linked ChIP was performed with HeLa chromatin extract treated with Nocodazole (100 ng/ml for 24 h) and 5 μg of either control rabbit IgG or anti-Histone H3 (phospho S10) antibody (ab183626). The precipitated DNA was detected by PCR with primer set targeting to GAPDH promoter.

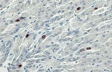
Immunohistochemistry (Formalin/PFA-fixed paraffin-embedded sections) - Anti-Histone H3 (phospho S10) antibody (AB183626)
  • IHC-P

Supplier Data

Immunohistochemistry (Formalin/PFA-fixed paraffin-embedded sections) - Anti-Histone H3 (phospho S10) antibody (AB183626)

Immunohistochemical analysis of paraffin-embedded mouse stomach tissue stained for Histone H3S10ph (phospho Ser10) protein at nucleus with ab183626 at a 1/500 dilution.

Antigen retrieval : Citrate buffer, pH 6.0, 15 min

Western blot - Anti-Histone H3 (phospho S10) antibody (AB183626)
  • WB

Supplier Data

Western blot - Anti-Histone H3 (phospho S10) antibody (AB183626)

All lanes:

Western blot - Anti-Histone H3 (phospho S10) antibody (ab183626) at 1/1000 dilution

Lane 1:

U2OS whole cell lysate (untreated) at 30 µg

Lane 2:

U2OS whole cell lysate (serum deprivation for 48hr) at 30 µg

Lane 3:

U2OS whole cell lysate (100ng/ml Nocodazole treatment for 24hr) at 30 µg

Predicted band size: 15 kDa

false

Western blot - Anti-Histone H3 (phospho S10) antibody (AB183626)
  • WB

Supplier Data

Western blot - Anti-Histone H3 (phospho S10) antibody (AB183626)

Samples were separated by 15% SDS-PAGE.

All lanes:

Western blot - Anti-Histone H3 (phospho S10) antibody (ab183626) at 1/2000 dilution

Lane 1:

Untreated HeLa whole cell extract at 30 µg

Lane 2:

Treated HeLa whole cell extract at 30 µg

Secondary

All lanes:

HRP-conjugated anti-rabbit IgG

Predicted band size: 15 kDa

false

Western blot - Anti-Histone H3 (phospho S10) antibody (AB183626)
  • WB

Supplier Data

Western blot - Anti-Histone H3 (phospho S10) antibody (AB183626)

All lanes:

Western blot - Anti-Histone H3 (phospho S10) antibody (ab183626) at 1/1000 dilution

Lane 1:

4T1 whole cell lysate at 30 µg

Lane 2:

4T1 whole cell lysate (100ng/ml Nocodazole treatment for 24hr) at 30 µg

Predicted band size: 15 kDa

false

Western blot - Anti-Histone H3 (phospho S10) antibody (AB183626)
  • WB

Supplier Data

Western blot - Anti-Histone H3 (phospho S10) antibody (AB183626)

All lanes:

Western blot - Anti-Histone H3 (phospho S10) antibody (ab183626) at 1/500 dilution

Lane 1:

Rat2 whole cell lysate at 30 µg

Lane 2:

Rat2 whole cell lysate (100 ng/ml Nocodazole treatment for 24 hr) at 30 µg

Predicted band size: 15 kDa

false

IHC - Wholemount - Anti-Histone H3 (phospho S10) antibody (AB183626)
  • IHC - Wmt

Supplier Data

IHC - Wholemount - Anti-Histone H3 (phospho S10) antibody (AB183626)

Immunohistochemistry (wholemount) analysis of zebrafish labelling Histone H3 (phopho S10) with ab183626 at a 1/100 dilution.

Sample : Paraformaldehyde-fixed 2 day-post-fertilization zebrafish embryo.

IHC - Wholemount - Anti-Histone H3 (phospho S10) antibody (AB183626)
  • IHC - Wmt

Supplier Data

IHC - Wholemount - Anti-Histone H3 (phospho S10) antibody (AB183626)

Immunohistochemistry (wholemount) analysis of zebrafish labelling Histone H3 (phopho S10) with ab183626 at a 1/100 dilution.

Sample : Paraformaldehyde-fixed 2 day-post-fertilization zebrafish embryo.

Key facts

Host species

Rabbit

Clonality

Polyclonal

Isotype

IgG

Carrier free

No

Reacts with

Mouse, Rat, Human, Zebrafish

Applications

ChIP, ICC/IF, IHC - Wmt, IHC-P, IP, WB

applications

Immunogen

Synthetic Peptide within Human H3C1 phospho S10. The exact immunogen used to generate this antibody is proprietary information.

P68431

Reactivity data

{ "title": "Reactivity Data", "filters": { "stats": ["", "Species", "Dilution Info", "Notes"], "tabs": { "all-applications": {"fullname" : "All Applications", "shortname": "All Applications"}, "IP" : {"fullname" : "Immunoprecipitation", "shortname":"IP"}, "ChIP" : {"fullname" : "ChIP", "shortname":"ChIP"}, "WB" : {"fullname" : "Western blot", "shortname":"WB"}, "IHCP" : {"fullname" : "Immunohistochemistry (Formalin/PFA-fixed paraffin-embedded sections)", "shortname":"IHC-P"}, "ICCIF" : {"fullname" : "Immunocytochemistry/ Immunofluorescence", "shortname":"ICC/IF"}, "IHCWmt" : {"fullname" : "IHC - Wholemount", "shortname":"IHC - Wmt"} }, "product-promise": { "all": "all", "testedAndGuaranteed": "tested", "guaranteed": "expected", "predicted": "predicted", "notRecommended": "not-recommended" } }, "values": { "Human": { "IP-species-checked": "testedAndGuaranteed", "IP-species-dilution-info": "1/100 - 1/500", "IP-species-notes": "<p></p>", "ChIP-species-checked": "testedAndGuaranteed", "ChIP-species-dilution-info": "", "ChIP-species-notes": "<p></p>", "WB-species-checked": "testedAndGuaranteed", "WB-species-dilution-info": "1/500 - 1/3000", "WB-species-notes": "<p></p>", "IHCP-species-checked": "testedAndGuaranteed", "IHCP-species-dilution-info": "1/100 - 1/1000", "IHCP-species-notes": "<p></p>", "ICCIF-species-checked": "testedAndGuaranteed", "ICCIF-species-dilution-info": "1/100 - 1/1000", "ICCIF-species-notes": "<p></p>", "IHCWmt-species-checked": "guaranteed", "IHCWmt-species-dilution-info": "", "IHCWmt-species-notes": "" }, "Mouse": { "IP-species-checked": "guaranteed", "IP-species-dilution-info": "", "IP-species-notes": "", "ChIP-species-checked": "guaranteed", "ChIP-species-dilution-info": "", "ChIP-species-notes": "", "WB-species-checked": "testedAndGuaranteed", "WB-species-dilution-info": "1/500 - 1/3000", "WB-species-notes": "<p></p>", "IHCP-species-checked": "testedAndGuaranteed", "IHCP-species-dilution-info": "1/100 - 1/1000", "IHCP-species-notes": "<p></p>", "ICCIF-species-checked": "guaranteed", "ICCIF-species-dilution-info": "", "ICCIF-species-notes": "", "IHCWmt-species-checked": "guaranteed", "IHCWmt-species-dilution-info": "", "IHCWmt-species-notes": "" }, "Rat": { "IP-species-checked": "guaranteed", "IP-species-dilution-info": "", "IP-species-notes": "", "ChIP-species-checked": "guaranteed", "ChIP-species-dilution-info": "", "ChIP-species-notes": "", "WB-species-checked": "testedAndGuaranteed", "WB-species-dilution-info": "1/500 - 1/3000", "WB-species-notes": "<p></p>", "IHCP-species-checked": "guaranteed", "IHCP-species-dilution-info": "", "IHCP-species-notes": "", "ICCIF-species-checked": "guaranteed", "ICCIF-species-dilution-info": "", "ICCIF-species-notes": "", "IHCWmt-species-checked": "guaranteed", "IHCWmt-species-dilution-info": "", "IHCWmt-species-notes": "" }, "Chimpanzee": { "IP-species-checked": "predicted", "IP-species-dilution-info": "", "IP-species-notes": "", "ChIP-species-checked": "predicted", "ChIP-species-dilution-info": "", "ChIP-species-notes": "", "WB-species-checked": "predicted", "WB-species-dilution-info": "", "WB-species-notes": "", "IHCP-species-checked": "predicted", "IHCP-species-dilution-info": "", "IHCP-species-notes": "", "ICCIF-species-checked": "predicted", "ICCIF-species-dilution-info": "", "ICCIF-species-notes": "", "IHCWmt-species-checked": "predicted", "IHCWmt-species-dilution-info": "", "IHCWmt-species-notes": "" }, "Zebrafish": { "IP-species-checked": "guaranteed", "IP-species-dilution-info": "", "IP-species-notes": "", "ChIP-species-checked": "guaranteed", "ChIP-species-dilution-info": "", "ChIP-species-notes": "", "WB-species-checked": "guaranteed", "WB-species-dilution-info": "", "WB-species-notes": "", "IHCP-species-checked": "guaranteed", "IHCP-species-dilution-info": "", "IHCP-species-notes": "", "ICCIF-species-checked": "guaranteed", "ICCIF-species-dilution-info": "", "ICCIF-species-notes": "", "IHCWmt-species-checked": "testedAndGuaranteed", "IHCWmt-species-dilution-info": "1/100 - 1/500", "IHCWmt-species-notes": "<p></p>" } } }

Properties and storage information

Form
Liquid
Purification technique
Affinity purification Immunogen
Storage buffer
pH: 7 Preservative: 0.025% Proclin 300 Constituents: PBS, 20% Glycerol (glycerin, glycerine), 1% BSA
Shipped at conditions
Blue Ice
Appropriate short-term storage duration
1-2 weeks
Appropriate short-term storage conditions
+4°C
Appropriate long-term storage conditions
-20°C
Aliquoting information
Upon delivery aliquot
Storage information
Avoid freeze / thaw cycle

Product protocols

For this product, it's our understanding that no specific protocols are required. You can visit:

Target data

The protein expressed by gene H3C1 is a core component of the nucleosome, which is essential for wrapping and compacting DNA into chromatin. This process restricts DNA accessibility to cellular machineries that use DNA as a template. Consequently, histones are central to transcription regulation, DNA repair, DNA replication, and chromosomal stability. DNA accessibility is regulated through a complex set of post-translational modifications of histones, known as the histone code, and through nucleosome remodeling. This supplementary information is collated from multiple sources and compiled automatically.
See full target information H3C1 phospho S10

Publications (5)

Recent publications for all applications. Explore the full list and refine your search

Developmental cell 58:2802-2818.e5 PubMed37714159

2023

An improved Erk biosensor detects oscillatory Erk dynamics driven by mitotic erasure during early development.

Applications

Unspecified application

Species

Unspecified reactive species

Scott G Wilcockson,Luca Guglielmi,Pablo Araguas Rodriguez,Marc Amoyel,Caroline S Hill

Glia 71:259-283 PubMed36128720

2022

Pten associates with important gene regulatory network to fine-tune Müller glia-mediated zebrafish retina regeneration.

Applications

Unspecified application

Species

Unspecified reactive species

Shivangi Gupta,Poonam Sharma,Mansi Chaudhary,Sharanya Premraj,Simran Kaur,Vijithkumar Vijayan,Manas Geeta Arun,Nagaraj Guru Prasad,Rajesh Ramachandran

International journal of molecular medicine 50: PubMed36102296

2022

Dual roles of oxostephanine as an Aurora kinase inhibitor and angiogenesis suppressor.

Applications

Unspecified application

Species

Unspecified reactive species

Thu-Hien Thi Tran,Le-Duy Ba Vu,Huy Quoc Nguyen,Hanh Bich Pham,Xuan-Phuong Thi Do,Uyen Thi Trang Than,Thu-Huong Thi Pham,Linh Dieu Do,Kim-Van Thi Le,Thao Phuong Nguyen,My-Nhung Thi Hoang

Cell proliferation 55:e13288 PubMed35768997

2022

Peripubertal requirement of Tsg101 in maintaining the integrity of membranous structures in mouse oocytes.

Applications

Unspecified application

Species

Unspecified reactive species

Hyejin Shin,Dayoung Park,Jiyeon Kim,Min-Yeong Nam,Sojung Kwon,Da-Eun Um,Ji-Eun Oh,Esther Youn,Yhong-Hee Shim,Kay-Uwe Wagner,Jin Hyun Jun,Hye-Ryun Kim,Haengseok Song,Hyunjung Jade Lim

Nature structural & molecular biology 28:989-996 PubMed34811519

2021

Structure of the human SAGA coactivator complex.

Applications

Unspecified application

Species

Unspecified reactive species

Dominik A Herbst,Meagan N Esbin,Robert K Louder,Claire Dugast-Darzacq,Gina M Dailey,Qianglin Fang,Xavier Darzacq,Robert Tjian,Eva Nogales
View all publications

Product promise

We are committed to supporting your work with high-quality reagents, and we're here for you every step of the way. In the unlikely event that one of our products does not perform as expected, you're protected by our Product Promise.
For full details, please see our Terms & Conditions

Please note: All products are 'FOR RESEARCH USE ONLY. NOT FOR USE IN DIAGNOSTIC OR THERAPEUTIC PROCEDURES'.

For licensing inquiries, please contact partnerships@abcam.com