JavaScript is disabled in your browser. Please enable JavaScript to view this website.
AB239803

Anti-Histone H3 (phospho S10 + T11) antibody [E173] - BSA and Azide free

Be the first to review this product! Submit a review

|

(1 Publication)

Rabbit Recombinant Monoclonal H3 phospho S10 + T11 antibody. Carrier free. Suitable for IHC-P, IP, ELISA, Dot, WB, ICC/IF and reacts with Human, Synthetic peptide - Human, Mouse samples. Cited in 1 publication.

View Alternative Names

H3FA, HIST1H3A, H3C2, H3FL, HIST1H3B, H3C3, H3FC HIST1H3C, H3C4, H3FB, HIST1H3D, H3C6, H3FD, HIST1H3E, H3C7, H3FI, HIST1H3F, H3C8, H3FH, HIST1H3G, H3C10, H3FK, HIST1H3H, H3C11, H3FF, HIST1H3I, H3C12, H3FJ, HIST1H3J, HIST1H3C, H3FC, H3C1, Histone H3.1, Histone H3/a, Histone H3/b, Histone H3/c, Histone H3/d, Histone H3/f, Histone H3/h, Histone H3/i, Histone H3/j, Histone H3/k, Histone H3/l

7 Images
Immunocytochemistry/ Immunofluorescence - Anti-Histone H3 (phospho S10 + T11) antibody [E173] - BSA and Azide free (AB239803)
  • ICC/IF

Unknown

Immunocytochemistry/ Immunofluorescence - Anti-Histone H3 (phospho S10 + T11) antibody [E173] - BSA and Azide free (AB239803)

Immunocytochemistry/ Immunofluorescence analysis of HeLa (Human epithelial cell line from cervix adenocarcinoma) labeling Histone H3 (phospho S10 + T11) with ab32107 at a dilution of 1/500. Cells were fixed with 4% Paraformaldehyde and permeabilized with 0.1% Triton X-100. ab150077, Alexa Fluor® 488-conjugated goat anti-rabbit IgG (1/1000, 2 μg/mL) was used as the secondary antibody. Cells were counter-stained with ab195889 Anti-Alpha Tubulin antibody [DM1A] (1/200, 2.5 μg/mL) - Microtubule Marker (Alexa Fluor® 594). DAPI (blue) was used as a nuclear counterstain. Confocal image showing nuclear staining on mitotic HeLa cell.

This data was developed using the same antibody clone in a different buffer formulation containing PBS, BSA, glycerol, and sodium azide (ab32107).

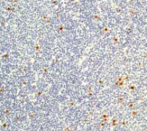
Immunohistochemistry (Formalin/PFA-fixed paraffin-embedded sections) - Anti-Histone H3 (phospho S10 + T11) antibody [E173] - BSA and Azide free (AB239803)
  • IHC-P

Unknown

Immunohistochemistry (Formalin/PFA-fixed paraffin-embedded sections) - Anti-Histone H3 (phospho S10 + T11) antibody [E173] - BSA and Azide free (AB239803)

ab32107, at a 1/50 dilution, staining Histone H3 (phospho S10 + T11) in paraffin embedded human lymphoma tissue by Immunohistochemistry.

This data was developed using the same antibody clone in a different buffer formulation containing PBS, BSA, glycerol, and sodium azide (ab32107).

Perform heat mediated antigen retrieval with citrate buffer pH 6 before commencing with IHC staining protocol.

Immunocytochemistry/ Immunofluorescence - Anti-Histone H3 (phospho S10 + T11) antibody [E173] - BSA and Azide free (AB239803)
  • ICC/IF

AbReview6860****

Immunocytochemistry/ Immunofluorescence - Anti-Histone H3 (phospho S10 + T11) antibody [E173] - BSA and Azide free (AB239803)

ab32107 (1/1000) staining Histone H3 (phospho S10 + T11) in paraformaldehyde-fixed, DAPI counterstained HeLa cells. Secondary antibody : Goat anti-Rabbit IgG conjugated to Cy3® (1/200). Please refer to abreview for further details.

This data was developed using the same antibody clone in a different buffer formulation containing PBS, BSA, glycerol, and sodium azide (ab32107).

This image is courtesy of an Abreview submitted by Kirk Mcmanus.

Immunoprecipitation - Anti-Histone H3 (phospho S10 + T11) antibody [E173] - BSA and Azide free (AB239803)
  • IP

Unknown

Immunoprecipitation - Anti-Histone H3 (phospho S10 + T11) antibody [E173] - BSA and Azide free (AB239803)

Purified ab32107 at 1/50 dilution (2μg) immunoprecipitating Histone H3 in HeLa treated with calyculin A whole cell lysate.
Lane 1 (input) : HeLa (Human cervix adenocarcinoma epithelial cell) treated with calyculin A whole cell lysate 10μg
Lane 2 (+) : ab32107 + HeLa treated with calyculin A whole cell lysate.
Lane 3 (-) : Rabbit monoclonal IgG (ab172730) instead of ab32107 in HeLa treated with calyculin A whole cell lysate.
VeriBlot for IP Detection Reagent (HRP) (ab131366) (1/1000 dilution) was used for Western blotting.
Blocking Buffer and concentration : 5% NFDM/TBST.
Diluting buffer and concentration : 5% NFDM/TBST.
Observed band size : 17 kDa
This data was developed using the same antibody clone in a different buffer formulation containing PBS, BSA, glycerol, and sodium azide (ab32107).

All lanes:

Immunoprecipitation - Anti-Histone H3 (phospho S10 + T11) antibody [E173] (<a href='/en-us/products/primary-antibodies/histone-h3-phospho-s10-t11-antibody-e173-ab32107'>ab32107</a>)

Predicted band size: 15 kDa

false

ELISA - Anti-Histone H3 (phospho S10 + T11) antibody [E173] - BSA and Azide free (AB239803)
  • ELISA

Unknown

ELISA - Anti-Histone H3 (phospho S10 + T11) antibody [E173] - BSA and Azide free (AB239803)

Direct ELISA antibody dose-response curve using ab32107 (0-1000 ng/mL).

Peptides - Histone H3 unmodified peptide, Histone H3 phospho S10 peptide, Histone H3 phospho T11 peptide (10 ng/mL).

Secondary antibody - Alkaline Phosphatase-conjugated AffiniPure Goat Anti-Rabbit IgG(H+L) (1/2500).

This data was developed using the same antibody clone in a different buffer formulation containing PBS, BSA, glycerol, and sodium azide (ab32107).

ELISA - Anti-Histone H3 (phospho S10 + T11) antibody [E173] - BSA and Azide free (AB239803)
  • ELISA

Unknown

ELISA - Anti-Histone H3 (phospho S10 + T11) antibody [E173] - BSA and Azide free (AB239803)

Direct ELISA antibody dose-response curve using ab32107 (0-1000 ng/mL).

Peptides - Histone H3 unmodified peptide, Histone H3 phospho S10 peptide, Histone H3 phospho T11 peptide (100 ng/mL).

Secondary antibody - Alkaline Phosphatase-conjugated AffiniPure Goat Anti-Rabbit IgG(H+L) (1/2500).

This data was developed using the same antibody clone in a different buffer formulation containing PBS, BSA, glycerol, and sodium azide (ab32107).

Dot Blot - Anti-Histone H3 (phospho S10 + T11) antibody [E173] - BSA and Azide free (AB239803)
  • Dot

Unknown

Dot Blot - Anti-Histone H3 (phospho S10 + T11) antibody [E173] - BSA and Azide free (AB239803)

Dot blot analysis of Histone H3 phospho S10 peptide (Lane 1), Histone H3 phospho T11 peptide (Lane 2) and Histone H3 unmodified peptide (Lane 3) labelling Histone H3 (phospho S10 + T11) with ab32107 at a dilution of 1/1000. ab97051 (Peroxidase conjugated goat anti-rabbit IgG) (H+L) was used as the secondary antibody at a dilution of 1/10 000.

Blocking and diluting buffer : 5% NFDM/TBST.

Exposure time : 3 minutes.

This data was developed using the same antibody clone in a different buffer formulation containing PBS, BSA, glycerol, and sodium azide (ab32107).

Key facts

Host species

Rabbit

Clonality

Monoclonal

Clone number

E173

Isotype

IgG

Carrier free

Yes

Reacts with

Mouse, Human

Applications

ELISA, Dot, WB, IHC-P, IP, ICC/IF

applications

Immunogen

The exact immunogen used to generate this antibody is proprietary information.

Specificity

This antibody detects Histone H3 phosphorylated on both Serine 10 and Threonine 11. However, the antibody shows higher affinity for phosphorylated Serine 10 than for phosphorylated Threonine 11. This was validated by ELISA, Dot Blot and WB peptide blocking experiments.

Reactivity data

{ "title": "Reactivity Data", "filters": { "stats": ["", "Species", "Dilution Info", "Notes"], "tabs": { "all-applications": {"fullname" : "All Applications", "shortname": "All Applications"}, "IHCP" : {"fullname" : "Immunohistochemistry (Formalin/PFA-fixed paraffin-embedded sections)", "shortname":"IHC-P"}, "IP" : {"fullname" : "Immunoprecipitation", "shortname":"IP"}, "FlowCyt" : {"fullname" : "Flow Cytometry", "shortname":"Flow Cyt"}, "ELISA" : {"fullname" : "ELISA", "shortname":"ELISA"}, "Dot" : {"fullname" : "Dot Blot", "shortname":"Dot"}, "WB" : {"fullname" : "Western blot", "shortname":"WB"}, "ICCIF" : {"fullname" : "Immunocytochemistry/ Immunofluorescence", "shortname":"ICC/IF"} }, "product-promise": { "all": "all", "testedAndGuaranteed": "tested", "guaranteed": "expected", "predicted": "predicted", "notRecommended": "not-recommended" } }, "values": { "Human": { "IHCP-species-checked": "testedAndGuaranteed", "IHCP-species-dilution-info": "", "IHCP-species-notes": "<p></p>", "IP-species-checked": "testedAndGuaranteed", "IP-species-dilution-info": "", "IP-species-notes": "<p></p>", "FlowCyt-species-checked": "notRecommended", "FlowCyt-species-dilution-info": "", "FlowCyt-species-notes": "<p></p>", "ELISA-species-checked": "guaranteed", "ELISA-species-dilution-info": "", "ELISA-species-notes": "", "Dot-species-checked": "guaranteed", "Dot-species-dilution-info": "", "Dot-species-notes": "", "WB-species-checked": "guaranteed", "WB-species-dilution-info": "", "WB-species-notes": "<p></p>", "ICCIF-species-checked": "testedAndGuaranteed", "ICCIF-species-dilution-info": "", "ICCIF-species-notes": "<p></p>" }, "Mouse": { "IHCP-species-checked": "predicted", "IHCP-species-dilution-info": "", "IHCP-species-notes": "", "IP-species-checked": "predicted", "IP-species-dilution-info": "", "IP-species-notes": "", "FlowCyt-species-checked": "notRecommended", "FlowCyt-species-dilution-info": "", "FlowCyt-species-notes": "<p></p>", "ELISA-species-checked": "predicted", "ELISA-species-dilution-info": "", "ELISA-species-notes": "", "Dot-species-checked": "predicted", "Dot-species-dilution-info": "", "Dot-species-notes": "", "WB-species-checked": "guaranteed", "WB-species-dilution-info": "", "WB-species-notes": "<p></p>", "ICCIF-species-checked": "predicted", "ICCIF-species-dilution-info": "", "ICCIF-species-notes": "" }, "Rat": { "IHCP-species-checked": "predicted", "IHCP-species-dilution-info": "", "IHCP-species-notes": "", "IP-species-checked": "predicted", "IP-species-dilution-info": "", "IP-species-notes": "", "FlowCyt-species-checked": "notRecommended", "FlowCyt-species-dilution-info": "", "FlowCyt-species-notes": "", "ELISA-species-checked": "predicted", "ELISA-species-dilution-info": "", "ELISA-species-notes": "", "Dot-species-checked": "predicted", "Dot-species-dilution-info": "", "Dot-species-notes": "", "WB-species-checked": "predicted", "WB-species-dilution-info": "", "WB-species-notes": "", "ICCIF-species-checked": "predicted", "ICCIF-species-dilution-info": "", "ICCIF-species-notes": "" }, "Drosophila melanogaster": { "IHCP-species-checked": "predicted", "IHCP-species-dilution-info": "", "IHCP-species-notes": "", "IP-species-checked": "predicted", "IP-species-dilution-info": "", "IP-species-notes": "", "FlowCyt-species-checked": "notRecommended", "FlowCyt-species-dilution-info": "", "FlowCyt-species-notes": "", "ELISA-species-checked": "predicted", "ELISA-species-dilution-info": "", "ELISA-species-notes": "", "Dot-species-checked": "predicted", "Dot-species-dilution-info": "", "Dot-species-notes": "", "WB-species-checked": "predicted", "WB-species-dilution-info": "", "WB-species-notes": "", "ICCIF-species-checked": "predicted", "ICCIF-species-dilution-info": "", "ICCIF-species-notes": "" }, "Synthetic peptide - Human": { "IHCP-species-checked": "notRecommended", "IHCP-species-dilution-info": "", "IHCP-species-notes": "", "IP-species-checked": "notRecommended", "IP-species-dilution-info": "", "IP-species-notes": "", "FlowCyt-species-checked": "notRecommended", "FlowCyt-species-dilution-info": "", "FlowCyt-species-notes": "", "ELISA-species-checked": "testedAndGuaranteed", "ELISA-species-dilution-info": "", "ELISA-species-notes": "<p></p>", "Dot-species-checked": "testedAndGuaranteed", "Dot-species-dilution-info": "", "Dot-species-notes": "<p></p>", "WB-species-checked": "notRecommended", "WB-species-dilution-info": "", "WB-species-notes": "", "ICCIF-species-checked": "notRecommended", "ICCIF-species-dilution-info": "", "ICCIF-species-notes": "" } } }

Product details

ab239803 is the carrier-free version of ab32107.

Patented technology
Our RabMAb® technology is a patented hybridoma-based technology for making rabbit monoclonal antibodies. For details on our patents, please refer to RabMAb® patents.

What are the advantages of a recombinant monoclonal antibody?
This product is a recombinant monoclonal antibody, which offers several advantages including:

  • - High batch-to-batch consistency and reproducibility
  • - Improved sensitivity and specificity
  • - Long-term security of supply
  • - Animal-free batch production

For more information, read more on recombinant antibodies.

Conjugation ready
Our carrier-free antibodies are typically supplied in a PBS-only formulation, purified and free of BSA, sodium azide and glycerol. This conjugation-ready format is designed for use with fluorochromes, metal isotopes, oligonucleotides, and enzymes, which makes them ideal for antibody labelling, functional and cell-based assays, flow-based assays (e.g. mass cytometry) and Multiplex Imaging applications.

Use our conjugation kits for antibody conjugates that are ready-to-use in as little as 20 minutes with 1 minute hands-on-time and 100% antibody recovery: available for fluorescent dyes, HRP, biotin and gold.

Compatibility
This product is compatible with the Maxpar® Antibody Labeling Kit from Fluidigm, without the need for antibody preparation. Maxpar® is a trademark of Fluidigm Canada Inc.

Properties and storage information

Form
Liquid
Purification technique
Affinity purification Protein A
Storage buffer
pH: 7.2 - 7.4 Constituents: PBS
Shipped at conditions
Blue Ice
Appropriate short-term storage conditions
+4°C
Appropriate long-term storage conditions
+4°C
Storage information
Do Not Freeze

Product protocols

For this product, it's our understanding that no specific protocols are required. You can visit:

Target data

The protein expressed by gene H3C1 is a core component of the nucleosome, which is essential for wrapping and compacting DNA into chromatin. This process restricts DNA accessibility to cellular machineries that use DNA as a template. Consequently, histones are central to transcription regulation, DNA repair, DNA replication, and chromosomal stability. DNA accessibility is regulated through a complex set of post-translational modifications of histones, known as the histone code, and through nucleosome remodeling. This supplementary information is collated from multiple sources and compiled automatically.
See full target information H3C1 phospho S10 + T11

Publications (1)

Recent publications for all applications. Explore the full list and refine your search

Nature communications 16:6009 PubMed40593805

2025

Spatial and single cell mapping of castleman disease reveals key stromal cell types and cytokine pathways.

Applications

Unspecified application

Species

Unspecified reactive species

David Smith,Anna Eichinger,Éanna Fennell,Zijun Y Xu-Monette,Andrew Rech,Julia Wang,Eduardo Esteva,Arta Seyedian,Xiaoxu Yang,Mei Zhang,Dan Martinez,Kai Tan,Minjie Luo,Katherine J Young,Paul G Murray,Christopher Park,Boris Reizis,Vinodh Pillai
View all publications

Product promise

We are committed to supporting your work with high-quality reagents, and we're here for you every step of the way. In the unlikely event that one of our products does not perform as expected, you're protected by our Product Promise.
For full details, please see our Terms & Conditions

Please note: All products are 'FOR RESEARCH USE ONLY. NOT FOR USE IN DIAGNOSTIC OR THERAPEUTIC PROCEDURES'.

For licensing inquiries, please contact partnerships@abcam.com