JavaScript is disabled in your browser. Please enable JavaScript to view this website.
AB5168

Anti-Histone H3 (phospho T11) antibody

4

(3 Reviews)

|

(39 Publications)

Rabbit Polyclonal H3 phospho T11 antibody. Suitable for IHC-P, WB, ICC/IF and reacts with Human, Cow, Mouse samples. Cited in 39 publications.

View Alternative Names

H3FA, HIST1H3A, H3C2, H3FL, HIST1H3B, H3C3, H3FC HIST1H3C, H3C4, H3FB, HIST1H3D, H3C6, H3FD, HIST1H3E, H3C7, H3FI, HIST1H3F, H3C8, H3FH, HIST1H3G, H3C10, H3FK, HIST1H3H, H3C11, H3FF, HIST1H3I, H3C12, H3FJ, HIST1H3J, H3C1, H3FC, HIST1H3C, Histone H3.1, Histone H3/a, Histone H3/b, Histone H3/c, Histone H3/d, Histone H3/f, Histone H3/h, Histone H3/i, Histone H3/j, Histone H3/k, Histone H3/l, H3T11p

5 Images
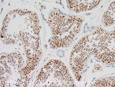
Immunohistochemistry (Formalin/PFA-fixed paraffin-embedded sections) - Anti-Histone H3 (phospho T11) antibody (AB5168)
  • IHC-P

Unknown

Immunohistochemistry (Formalin/PFA-fixed paraffin-embedded sections) - Anti-Histone H3 (phospho T11) antibody (AB5168)

IHC image of Histone H3 (phospho T11) staining in human normal testis formalin fixed paraffin embedded tissue section, performed on a Leica BondTM system using the standard protocol F. The section was pre-treated using heat mediated antigen retrieval with sodium citrate buffer (pH6, epitope retrieval solution 1) for 20 mins. The section was then incubated with ab5168, 1µg/ml, for 15 mins at room temperature and detected using an HRP conjugated compact polymer system. DAB was used as the chromogen. The section was then counterstained with haematoxylin and mounted with DPX.

For other IHC staining systems (automated and non-automated) customers should optimize variable parameters such as antigen retrieval conditions, primary antibody concentration and antibody incubation times.

Immunocytochemistry/ Immunofluorescence - Anti-Histone H3 (phospho T11) antibody (AB5168)
  • ICC/IF

Collaborator

Immunocytochemistry/ Immunofluorescence - Anti-Histone H3 (phospho T11) antibody (AB5168)

SKN-SH cells were fixed in 4% paraformaldehyde for 10 mins, permeabilized in PBS-0.5% Triton X-100 for 5 mins and incubated for 30 minutes with ab5168 (1/100). The slides were rinsed once in PBS-Triton (0.1%), twice in PBS then incubated with the secondary antibody for 30 mins. The DNA is stained with DAPI (blue). Clear nuclear staining with ab5168 can be seen (green). 100x magnification.

This image is courtesy of Darin McDonald

Immunocytochemistry/ Immunofluorescence - Anti-Histone H3 (phospho T11) antibody (AB5168)
  • ICC/IF

Unknown

Immunocytochemistry/ Immunofluorescence - Anti-Histone H3 (phospho T11) antibody (AB5168)

ICC/IF image of ab5168 stained Hek293 cells. The cells were 4% PFA fixed (10 min) and then incubated in 1%BSA / 10% normal goat serum / 0.3M glycine in 0.1% PBS-Tween for 1h to permeabilise the cells and block non-specific protein-protein interactions. The cells were then incubated with the antibody (ab5168, 1µg/ml) overnight at +4°C. The secondary antibody (green) was Alexa Fluor® 488 goat anti-rabbit IgG (H+L) used at a 1/1000 dilution for 1h. Alexa Fluor® 594 WGA was used to label plasma membranes (red) at a 1/200 dilution for 1h. DAPI was used to stain the cell nuclei (blue) at a concentration of 1.43µM. This antibody also gave a positive result in 4% PFA fixed (10 min) HeLa and HepG2 cells at 1µg/ml, and in 100% methanol fixed (5 min) HeLa, Hek293, HepG2 and MCF7 cells at 1µg/ml.

Western blot - Anti-Histone H3 (phospho T11) antibody (AB5168)
  • WB

Ap33469****

Western blot - Anti-Histone H3 (phospho T11) antibody (AB5168)

This antibody is blocked by the Histone H3 phospho T11 peptied but not by the respective unmodified peptide or the Histone H3 phospho S10 peptide. This confirms that the antibody is specific for phospho T11 of Histone H3.

All lanes:

Western blot - Anti-Histone H3 (phospho T11) antibody (ab5168) at 1 µg/mL

Lanes 1, 5 and 7:

Colcemid treated HeLa Histone prep at 5 µg

Lanes 2, 6 and 8:

HeLa (Human epithelial carcinoma cell line) Nuclear Lysate (ab27251) at 20 µg

Lane 3:

Colcemid treated HeLa Histone prep at 5 µg with Human Histone H3 (phospho T11) peptide (<a href='/en-us/products/unavailable/human-histone-h3-phospho-t11-peptide-ab24444'>ab24444</a>)

Lane 4:

HeLa (Human epithelial carcinoma cell line) Nuclear Lysate (ab27251) at 20 µg with Human Histone H3 (phospho T11) peptide (<a href='/en-us/products/unavailable/human-histone-h3-phospho-t11-peptide-ab24444'>ab24444</a>)

Secondary

All lanes:

Goat polyclonal to Rabbit IgG H&L (HRP) Pre-Adsorbed at 1/10000 dilution

Predicted band size: 15 kDa

Observed band size: 17 kDa

false

Western blot - Anti-Histone H3 (phospho T11) antibody (AB5168)
  • WB

Unknown

Western blot - Anti-Histone H3 (phospho T11) antibody (AB5168)

Rabbit polyclonal to Histone H3 (phospho T11) - ab5168 at 1/500 dilution.

Lane 1 contains 1ug calf thymus histone prep.

Secondary ab : Goat anti-rabbit IgG HRP conjugate ab6721 (1/2000)

All lanes:

Western blot - Anti-Histone H3 (phospho T11) antibody (ab5168) at 1/500 dilution

All lanes:

Calf thymus histone lysate

Secondary

All lanes:

Western blot - Goat Anti-Rabbit IgG H&L (HRP) (<a href='/en-us/products/secondary-antibodies/goat-rabbit-igg-h-l-hrp-ab6721'>ab6721</a>) at 1/2000 dilution

Predicted band size: 15 kDa

Observed band size: 17 kDa

false

Key facts

Host species

Rabbit

Clonality

Polyclonal

Isotype

IgG

Carrier free

No

Reacts with

Mouse, Cow, Human

Applications

ICC/IF, IHC-P, WB

applications

Immunogen

The exact immunogen used to generate this antibody is proprietary information.

Reactivity data

{ "title": "Reactivity Data", "filters": { "stats": ["", "Species", "Dilution Info", "Notes"], "tabs": { "all-applications": {"fullname" : "All Applications", "shortname": "All Applications"}, "IHCP" : {"fullname" : "Immunohistochemistry (Formalin/PFA-fixed paraffin-embedded sections)", "shortname":"IHC-P"}, "WB" : {"fullname" : "Western blot", "shortname":"WB"}, "ICCIF" : {"fullname" : "Immunocytochemistry/ Immunofluorescence", "shortname":"ICC/IF"} }, "product-promise": { "all": "all", "testedAndGuaranteed": "tested", "guaranteed": "expected", "predicted": "predicted", "notRecommended": "not-recommended" } }, "values": { "Human": { "IHCP-species-checked": "testedAndGuaranteed", "IHCP-species-dilution-info": "1 µg/mL", "IHCP-species-notes": "<p></p> Perform heat-mediated antigen retrieval with citrate buffer pH 6 before commencing with IHC staining protocol.", "WB-species-checked": "testedAndGuaranteed", "WB-species-dilution-info": "1/500 - 1/1000", "WB-species-notes": "<p></p>", "ICCIF-species-checked": "testedAndGuaranteed", "ICCIF-species-dilution-info": "1 µg/mL", "ICCIF-species-notes": "<p></p>" }, "Mouse": { "IHCP-species-checked": "guaranteed", "IHCP-species-dilution-info": "1 µg/mL", "IHCP-species-notes": "<p></p>", "WB-species-checked": "guaranteed", "WB-species-dilution-info": "1/500 - 1/1000", "WB-species-notes": "<p></p>", "ICCIF-species-checked": "guaranteed", "ICCIF-species-dilution-info": "1 µg/mL", "ICCIF-species-notes": "<p></p>" }, "Rat": { "IHCP-species-checked": "predicted", "IHCP-species-dilution-info": "", "IHCP-species-notes": "", "WB-species-checked": "predicted", "WB-species-dilution-info": "", "WB-species-notes": "", "ICCIF-species-checked": "predicted", "ICCIF-species-dilution-info": "", "ICCIF-species-notes": "" }, "Arabidopsis thaliana": { "IHCP-species-checked": "predicted", "IHCP-species-dilution-info": "", "IHCP-species-notes": "", "WB-species-checked": "predicted", "WB-species-dilution-info": "", "WB-species-notes": "", "ICCIF-species-checked": "predicted", "ICCIF-species-dilution-info": "", "ICCIF-species-notes": "" }, "Caenorhabditis elegans": { "IHCP-species-checked": "predicted", "IHCP-species-dilution-info": "", "IHCP-species-notes": "", "WB-species-checked": "predicted", "WB-species-dilution-info": "", "WB-species-notes": "", "ICCIF-species-checked": "predicted", "ICCIF-species-dilution-info": "", "ICCIF-species-notes": "" }, "Cow": { "IHCP-species-checked": "guaranteed", "IHCP-species-dilution-info": "", "IHCP-species-notes": "", "WB-species-checked": "testedAndGuaranteed", "WB-species-dilution-info": "1/500 - 1/1000", "WB-species-notes": "<p></p>", "ICCIF-species-checked": "guaranteed", "ICCIF-species-dilution-info": "", "ICCIF-species-notes": "" }, "Drosophila melanogaster": { "IHCP-species-checked": "predicted", "IHCP-species-dilution-info": "", "IHCP-species-notes": "", "WB-species-checked": "predicted", "WB-species-dilution-info": "", "WB-species-notes": "", "ICCIF-species-checked": "predicted", "ICCIF-species-dilution-info": "", "ICCIF-species-notes": "" }, "Neurospora crassa": { "IHCP-species-checked": "predicted", "IHCP-species-dilution-info": "", "IHCP-species-notes": "", "WB-species-checked": "predicted", "WB-species-dilution-info": "", "WB-species-notes": "", "ICCIF-species-checked": "predicted", "ICCIF-species-dilution-info": "", "ICCIF-species-notes": "" }, "Saccharomyces cerevisiae": { "IHCP-species-checked": "predicted", "IHCP-species-dilution-info": "", "IHCP-species-notes": "", "WB-species-checked": "predicted", "WB-species-dilution-info": "", "WB-species-notes": "", "ICCIF-species-checked": "predicted", "ICCIF-species-dilution-info": "", "ICCIF-species-notes": "" }, "Schizosaccharomyces pombe": { "IHCP-species-checked": "predicted", "IHCP-species-dilution-info": "", "IHCP-species-notes": "", "WB-species-checked": "predicted", "WB-species-dilution-info": "", "WB-species-notes": "", "ICCIF-species-checked": "predicted", "ICCIF-species-dilution-info": "", "ICCIF-species-notes": "" }, "Xenopus laevis": { "IHCP-species-checked": "predicted", "IHCP-species-dilution-info": "", "IHCP-species-notes": "", "WB-species-checked": "predicted", "WB-species-dilution-info": "", "WB-species-notes": "", "ICCIF-species-checked": "predicted", "ICCIF-species-dilution-info": "", "ICCIF-species-notes": "" }, "Zebrafish": { "IHCP-species-checked": "predicted", "IHCP-species-dilution-info": "", "IHCP-species-notes": "", "WB-species-checked": "predicted", "WB-species-dilution-info": "", "WB-species-notes": "", "ICCIF-species-checked": "predicted", "ICCIF-species-dilution-info": "", "ICCIF-species-notes": "" } } }

Properties and storage information

Form
Liquid
Purification technique
Affinity purification Immunogen
Storage buffer
pH: 7.4 Preservative: 0.02% Sodium azide Constituents: PBS, 1% BSA
Shipped at conditions
Blue Ice
Appropriate short-term storage duration
1-2 weeks
Appropriate short-term storage conditions
+4°C
Appropriate long-term storage conditions
-20°C
Aliquoting information
Upon delivery aliquot
Storage information
Avoid freeze / thaw cycle

Product protocols

For this product, it's our understanding that no specific protocols are required. You can visit:

Target data

The protein expressed by gene H3C1 is a core component of the nucleosome, which is essential for wrapping and compacting DNA into chromatin. This process restricts DNA accessibility to cellular machineries that use DNA as a template. Consequently, histones are central to transcription regulation, DNA repair, DNA replication, and chromosomal stability. DNA accessibility is regulated through a complex set of post-translational modifications of histones, known as the histone code, and through nucleosome remodeling. This supplementary information is collated from multiple sources and compiled automatically.
See full target information H3C1 phospho T11

Publications (39)

Recent publications for all applications. Explore the full list and refine your search

Nucleic acids research 53: PubMed40052820

2025

Checkpoint kinases regulate the circadian clock after DNA damage by influencing chromatin dynamics.

Applications

Unspecified application

Species

Unspecified reactive species

Yulin Yang,Zeyu Duan,Xiao-Lan Liu,Zhanbiao Li,Zhenghao Shen,Shimin Gong,Qiaojia Lu,Yue Hu,Linhao Song,Zeyu Wang,Xuemei Cao,Yunkun Dang,Linqi Wang,Qun He,Xiao Liu

Nucleic acids research 52:9536-9550 PubMed39106166

2024

H3T11 phosphorylation by CKII is required for heterochromatin formation in Neurospora.

Applications

Unspecified application

Species

Unspecified reactive species

Yuan Tian,Chengcheng Zhang,Xiang Tian,Lu Zhang,Tong Yin,Yunkun Dang,Yi Liu,Huiqiang Lou,Qun He

Scientific reports 14:9550 PubMed38664461

2024

Replication protein-A, RPA, plays a pivotal role in the maintenance of recombination checkpoint in yeast meiosis.

Applications

Unspecified application

Species

Unspecified reactive species

Arivarasan Sampathkumar,Chen Zhong,Yuting Tang,Yurika Fujita,Masaru Ito,Akira Shinohara

Cell discovery 9:71 PubMed37433812

2023

Glc7/PP1 dephosphorylates histone H3T11 to regulate autophagy and telomere silencing in response to nutrient availability.

Applications

Unspecified application

Species

Unspecified reactive species

Xinyu Zhang,Qi Yu,Yinsheng Wu,Yuan Zhang,Yi He,Rongsha Wang,Xilan Yu,Shanshan Li

Nature communications 14:1323 PubMed36899022

2023

Phosphoglycerate dehydrogenase activates PKM2 to phosphorylate histone H3T11 and attenuate cellular senescence.

Applications

Unspecified application

Species

Unspecified reactive species

Yinsheng Wu,Lixu Tang,Han Huang,Qi Yu,Bicheng Hu,Gang Wang,Feng Ge,Tailang Yin,Shanshan Li,Xilan Yu

Nature communications 13:7526 PubMed36473858

2022

SESAME-catalyzed H3T11 phosphorylation inhibits Dot1-catalyzed H3K79me3 to regulate autophagy and telomere silencing.

Applications

Unspecified application

Species

Unspecified reactive species

Fei He,Qi Yu,Min Wang,Rongsha Wang,Xuanyunjing Gong,Feng Ge,Xilan Yu,Shanshan Li

Nature communications 13:5675 PubMed36167807

2022

Phosphorylation of Jhd2 by the Ras-cAMP-PKA(Tpk2) pathway regulates histone modifications and autophagy.

Applications

Unspecified application

Species

Unspecified reactive species

Qi Yu,Xuanyunjing Gong,Yue Tong,Min Wang,Kai Duan,Xinyu Zhang,Feng Ge,Xilan Yu,Shanshan Li

Cell metabolism 34:1248-1263.e6 PubMed35987203

2022

Warburg-like metabolic transformation underlies neuronal degeneration in sporadic Alzheimer's disease.

Applications

Unspecified application

Species

Unspecified reactive species

Larissa Traxler,Joseph R Herdy,Davide Stefanoni,Sophie Eichhorner,Silvia Pelucchi,Attila Szücs,Alice Santagostino,Yongsung Kim,Ravi K Agarwal,Johannes C M Schlachetzki,Christopher K Glass,Jessica Lagerwall,Douglas Galasko,Fred H Gage,Angelo D'Alessandro,Jerome Mertens

Open biology 11:210276 PubMed34847775

2021

MYC regulates metabolism through vesicular transfer of glycolytic kinases.

Applications

Unspecified application

Species

Unspecified reactive species

Alexia Tsakaneli,Victor Corasolla Carregari,Martina Morini,Alessandra Eva,Giuliana Cangemi,Olesya Chayka,Evgeny Makarov,Sandra Bibbò,Emily Capone,Gianluca Sala,Vincenzo De Laurenzi,Evon Poon,Louis Chesler,Luisa Pieroni,Martin R Larsen,Giuseppe Palmisano,Arturo Sala

Cell death & disease 12:1055 PubMed34743185

2021

Cdc25A inhibits autophagy-mediated ferroptosis by upregulating ErbB2 through PKM2 dephosphorylation in cervical cancer cells.

Applications

Unspecified application

Species

Unspecified reactive species

Chen Wang,Jie Zeng,Li-Jie Li,Min Xue,Si-Li He
View all publications

Product promise

We are committed to supporting your work with high-quality reagents, and we're here for you every step of the way. In the unlikely event that one of our products does not perform as expected, you're protected by our Product Promise.
For full details, please see our Terms & Conditions

Please note: All products are 'FOR RESEARCH USE ONLY. NOT FOR USE IN DIAGNOSTIC OR THERAPEUTIC PROCEDURES'.

For licensing inquiries, please contact partnerships@abcam.com