JavaScript is disabled in your browser. Please enable JavaScript to view this website.
AB78351

Anti-Histone H3 (phospho T3) antibody [EP1702Y]

Be the first to review this product! Submit a review

|

(12 Publications)

Rabbit Recombinant Monoclonal H3 phospho T3 antibody. Suitable for IHC-P, ICC/IF, WB, Flow Cyt (Intra) and reacts with Human samples. Cited in 12 publications.

View Alternative Names

H3FA, HIST1H3A, H3C2, H3FL, HIST1H3B, H3C3, H3FC HIST1H3C, H3C4, H3FB, HIST1H3D, H3C6, H3FD, HIST1H3E, H3C7, H3FI, HIST1H3F, H3C8, H3FH, HIST1H3G, H3C10, H3FK, HIST1H3H, H3C11, H3FF, HIST1H3I, H3C12, H3FJ, HIST1H3J, H3FC, HIST1H3C, H3C1, Histone H3.1, Histone H3/a, Histone H3/b, Histone H3/c, Histone H3/d, Histone H3/f, Histone H3/h, Histone H3/i, Histone H3/j, Histone H3/k, Histone H3/l, H3T3p

4 Images
Flow Cytometry (Intracellular) - Anti-Histone H3 (phospho T3) antibody [EP1702Y] (AB78351)
  • Flow Cyt (Intra)

Unknown

Flow Cytometry (Intracellular) - Anti-Histone H3 (phospho T3) antibody [EP1702Y] (AB78351)

Overlay histogram showing HeLa cells stained with ab78351 (red line). The cells were fixed with 80% methanol (5 min) and then permeabilized with 0.1% PBS-Tween for 20 min. The cells were then incubated in 1x PBS / 10% normal goat serum / 0.3M glycine to block non-specific protein-protein interactions followed by the antibody (ab78351, 1/100 dilution) for 30 min at 22°C. The secondary antibody used was a goat anti-rabbit DyLight® 488 (IgG; H+L) (ab96899) at 1/500 dilution for 30 min at 22°C. Isotype control antibody (black line) was rabbit IgG (monoclonal) (1μg/1x106 cells) used under the same conditions. Unlabelled sample (blue line). Acquisition of >5,000 events were collected using a 20mW Argon ion laser (488nm) and 525/30 bandpass filter.

Immunocytochemistry/ Immunofluorescence - Anti-Histone H3 (phospho T3) antibody [EP1702Y] (AB78351)
  • ICC/IF

Unknown

Immunocytochemistry/ Immunofluorescence - Anti-Histone H3 (phospho T3) antibody [EP1702Y] (AB78351)

Immunocytochemistry analysis of HeLa (human cervix adenocarcinoma epithelial cell) labeling Histone H3 with purified ab78351 at 1/250 dilution. Cells were fixed with 4% Paraformaldehyde and permeabilised with 0.1% tritonX-100. Goat anti rabbit IgG (Alexa Fluor® 488, ab150077) at 1/1000 (2 µg/ml) was used as the secondary antibody. ab195889 Anti-alpha Tubulin antibody [DM1A] - Microtubule Marker (Alexa Fluor® 594) 1/200 (2.18 µg/ml) was used as counterstain. Nuclei were stained blue with DAPI.
Negative control : PBS instead of the primary antibody.

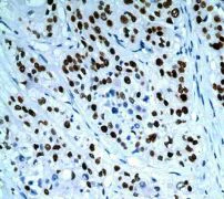
Immunohistochemistry (Formalin/PFA-fixed paraffin-embedded sections) - Anti-Histone H3 (phospho T3) antibody [EP1702Y] (AB78351)
  • IHC-P

Unknown

Immunohistochemistry (Formalin/PFA-fixed paraffin-embedded sections) - Anti-Histone H3 (phospho T3) antibody [EP1702Y] (AB78351)

ab78351 at 1/100 dilution staining Histone H3 in human breast carcinoma tissue using a HRP/AP polymerized secondary antibody.

Perform heat mediated antigen retrieval via the pressure cooker method before commencing with IHC staining protocol.

Western blot - Anti-Histone H3 (phospho T3) antibody [EP1702Y] (AB78351)
  • WB

Unknown

Western blot - Anti-Histone H3 (phospho T3) antibody [EP1702Y] (AB78351)

All lanes:

Western blot - Anti-Histone H3 (phospho T3) antibody [EP1702Y] (ab78351) at 1/500000 dilution

Lane 1:

HeLa cell lysate at 10 µg

Lane 2:

HeLa cell lysate treated with FBS + Calyculin A. at 10 µg

Secondary

All lanes:

HRP labelled goat anti-rabbit at 1/2000 dilution

Predicted band size: 15 kDa

Observed band size: 14 kDa

false

  • Carrier free

    Anti-Histone H3 (phospho T3) antibody [EP1702Y] - BSA and Azide free

  • 519 Alexa Fluor® 488

    Alexa Fluor® 488 Anti-Histone H3 (phospho T3) antibody [EP1702Y]

  • 665 Alexa Fluor® 647

    Alexa Fluor® 647 Anti-Histone H3 (phospho T3) antibody [EP1702Y]

Key facts

Host species

Rabbit

Clonality

Monoclonal

Clone number

EP1702Y

Isotype

IgG

Carrier free

No

Reacts with

Human

Applications

WB, IHC-P, ICC/IF, Flow Cyt (Intra)

applications

Immunogen

The exact immunogen used to generate this antibody is proprietary information.

Specificity

This antibody detects Histone H3 phosphorylated at Theronine 3. Species cross reactivity was determined by western blot only. No signal was detected in the following Mouse and Rat tissues lysates: brain, heart, kidney, and spleen.

Reactivity data

{ "title": "Reactivity Data", "filters": { "stats": ["", "Species", "Dilution Info", "Notes"], "tabs": { "all-applications": {"fullname" : "All Applications", "shortname": "All Applications"}, "IHCP" : {"fullname" : "Immunohistochemistry (Formalin/PFA-fixed paraffin-embedded sections)", "shortname":"IHC-P"}, "ICCIF" : {"fullname" : "Immunocytochemistry/ Immunofluorescence", "shortname":"ICC/IF"}, "WB" : {"fullname" : "Western blot", "shortname":"WB"}, "FlowCytIntra" : {"fullname" : "Flow Cytometry (Intracellular)", "shortname":"Flow Cyt (Intra)"} }, "product-promise": { "all": "all", "testedAndGuaranteed": "tested", "guaranteed": "expected", "predicted": "predicted", "notRecommended": "not-recommended" } }, "values": { "Human": { "IHCP-species-checked": "testedAndGuaranteed", "IHCP-species-dilution-info": "1/100 - 1/250", "IHCP-species-notes": "<p></p> Perform heat-mediated antigen retrieval via the pressure cooker method before commencing with IHC staining protocol.", "ICCIF-species-checked": "testedAndGuaranteed", "ICCIF-species-dilution-info": "1/100 - 1/250", "ICCIF-species-notes": "<p></p>", "WB-species-checked": "testedAndGuaranteed", "WB-species-dilution-info": "1/500000 - 1/1000000", "WB-species-notes": "<p></p>", "FlowCytIntra-species-checked": "testedAndGuaranteed", "FlowCytIntra-species-dilution-info": "1/100", "FlowCytIntra-species-notes": "<p><a href='/en-us/products/primary-antibodies/rabbit-igg-monoclonal-epr25a-isotype-control-ab172730'>ab172730</a> - Rabbit monoclonal IgG, is suitable for use as an isotype control with this antibody.</p>" } } }

Product details

Species reactivity
Mouse, Rat: We have preliminary internal testing data to indicate this antibody may not react with these species.
Please contact us for more information.

Patented technology
Our RabMAb® technology is a patented hybridoma-based technology for making rabbit monoclonal antibodies. For details on our patents, please refer to RabMAb® patents.

What are the advantages of a recombinant monoclonal antibody?
This product is a recombinant monoclonal antibody, which offers several advantages including:

  • - High batch-to-batch consistency and reproducibility
  • - Improved sensitivity and specificity
  • - Long-term security of supply
  • - Animal-free batch production

For more information, read more on recombinant antibodies.

Properties and storage information

Form
Liquid
Purification technique
Affinity purification Protein A
Storage buffer
pH: 7.2 - 7.4 Preservative: 0.01% Sodium azide Constituents: PBS, 50% Tissue culture supernatant, 40% Glycerol (glycerin, glycerine), 0.05% BSA
Shipped at conditions
Blue Ice
Appropriate short-term storage duration
1-2 weeks
Appropriate short-term storage conditions
+4°C
Appropriate long-term storage conditions
-20°C
Aliquoting information
Upon delivery aliquot
Storage information
Avoid freeze / thaw cycle

Product protocols

For this product, it's our understanding that no specific protocols are required. You can visit:

Target data

The protein expressed by gene H3C1 is a core component of the nucleosome, which is essential for wrapping and compacting DNA into chromatin. This process restricts DNA accessibility to cellular machineries that use DNA as a template. Consequently, histones are central to transcription regulation, DNA repair, DNA replication, and chromosomal stability. DNA accessibility is regulated through a complex set of post-translational modifications of histones, known as the histone code, and through nucleosome remodeling. This supplementary information is collated from multiple sources and compiled automatically.
See full target information H3C1 phospho T3

Publications (12)

Recent publications for all applications. Explore the full list and refine your search

STAR protocols 5:103190 PubMed39002133

2024

Protocol for iterative indirect immunofluorescence imaging in cultured cells, tissue sections, and metaphase chromosome spreads.

Applications

Unspecified application

Species

Unspecified reactive species

Jeffrey Hsu,Kimberly T Nguyen,Magda Bujnowska,Kevin A Janes,Mohammad Fallahi-Sichani

Journal of ginseng research 46:481-488 PubMed35600766

2022

Ginsenoside Rg1 suppresses cancer cell proliferation through perturbing mitotic progression.

Applications

Unspecified application

Species

Unspecified reactive species

Jihee Hong,Dasom Gwon,Chang-Young Jang

eLife 11: PubMed35293859

2022

The TFIIH complex is required to establish and maintain mitotic chromosome structure.

Applications

Unspecified application

Species

Unspecified reactive species

Julian Haase,Richard Chen,Wesley M Parker,Mary Kate Bonner,Lisa M Jenkins,Alexander E Kelly

Scientific reports 11:10822 PubMed34031528

2021

A novel synthetic microtubule inhibitor exerts antiproliferative effects in multidrug resistant cancer cells and cancer stem cells.

Applications

Unspecified application

Species

Unspecified reactive species

Mina Park,Jee Won Hwang,Yena Cho,Saegun Kim,Sang Hoon Han,Jinsuh Yu,Sojung Ha,Woo-Young Kim,Su-Nam Kim,In Su Kim,Yong Kee Kim

PloS one 16:e0249912 PubMed33852630

2021

Evaluation of the antiproliferative effects of the HASPIN inhibitor CHR-6494 in breast cancer cell lines.

Applications

Unspecified application

Species

Unspecified reactive species

Hisayo Nishida-Fukuda,Keizo Tokuhiro,Yukio Ando,Hiroaki Matsushita,Morimasa Wada,Hiromitsu Tanaka

Aging 13:8849-8864 PubMed33742608

2021

HDAC11 inhibition disrupts porcine oocyte meiosis via regulating α-tubulin acetylation and histone modifications.

Applications

Unspecified application

Species

Unspecified reactive species

Rong Huang,Liyan Sui,Cong Fu,Yanhui Zhai,Xiangpeng Dai,Sheng Zhang,Ziyi Li

Journal of cellular physiology 235:7030-7042 PubMed32017059

2020

Inhibition of HDAC6 by tubastatin A disrupts mouse oocyte meiosis via regulating histone modifications and mRNA expression.

Applications

Unspecified application

Species

Unspecified reactive species

Liyan Sui,Rong Huang,Hao Yu,Sheng Zhang,Ziyi Li

Nature communications 11:612 PubMed32001712

2020

PRMT6-mediated H3R2me2a guides Aurora B to chromosome arms for proper chromosome segregation.

Applications

Unspecified application

Species

Unspecified reactive species

Seul Kim,Nam Hyun Kim,Ji Eun Park,Jee Won Hwang,Nayeon Myung,Ki-Tae Hwang,Young A Kim,Chang-Young Jang,Yong Kee Kim

The Journal of cell biology 219: PubMed31712254

2019

Topoisomerase II SUMOylation activates a metaphase checkpoint via Haspin and Aurora B kinases.

Applications

Unspecified application

Species

Unspecified reactive species

Nootan Pandey,Daniel Keifenheim,Makoto Michael Yoshida,Victoria A Hassebroek,Caitlin Soroka,Yoshiaki Azuma,Duncan J Clarke

Developmental cell 42:640-654.e5 PubMed28950102

2017

Distinct Roles of the Chromosomal Passenger Complex in the Detection of and Response to Errors in Kinetochore-Microtubule Attachment.

Applications

Unspecified application

Species

Unspecified reactive species

Julian Haase,Mary Kate Bonner,Hyunmi Halas,Alexander E Kelly
View all publications

Product promise

We are committed to supporting your work with high-quality reagents, and we're here for you every step of the way. In the unlikely event that one of our products does not perform as expected, you're protected by our Product Promise.
For full details, please see our Terms & Conditions

Please note: All products are 'FOR RESEARCH USE ONLY. NOT FOR USE IN DIAGNOSTIC OR THERAPEUTIC PROCEDURES'.

For licensing inquiries, please contact partnerships@abcam.com