JavaScript is disabled in your browser. Please enable JavaScript to view this website.
AB194243

Anti-Histone H3 (ubiquityl K23) antibody [EPR18876]

Be the first to review this product! Submit a review

|

(1 Publication)

Rabbit Recombinant Monoclonal H3 ubiquityl K23 antibody. Suitable for IP, Dot, WB and reacts with Human, Synthetic peptide samples. Cited in 1 publication.

View Alternative Names

H3FA, HIST1H3A, H3C2, H3FL, HIST1H3B, H3C3, H3FC HIST1H3C, H3C4, H3FB, HIST1H3D, H3C6, H3FD, HIST1H3E, H3C7, H3FI, HIST1H3F, H3C8, H3FH, HIST1H3G, H3C10, H3FK, HIST1H3H, H3C11, H3FF, HIST1H3I, H3C12, H3FJ, HIST1H3J, H3C1, HIST1H3C, H3FC, Histone H3.1, Histone H3/a, Histone H3/b, Histone H3/c, Histone H3/d, Histone H3/f, Histone H3/h, Histone H3/i, Histone H3/j, Histone H3/k, Histone H3/l, H3K23ub

4 Images
Immunoprecipitation - Anti-Histone H3 (ubiquityl K23) antibody [EPR18876] (AB194243)
  • IP

Supplier Data

Immunoprecipitation - Anti-Histone H3 (ubiquityl K23) antibody [EPR18876] (AB194243)

Histone H3 (ubiquityl K23) was immunoprecipitated using ab194243 at 1/30 dilution from 0.35 mg of whole cell lysate from HeLa (Human epithelial cell line from cervix adenocarcinoma) treated with 2mM thymidine for 18 hours, followed by addition of fresh culture medium and incubation for 9 hours, then treated with 2mM thymidine for 15 hours, followed by addition of fresh culture medium and incubation for 4 hours.

Western blot was performed from the immunoprecipitate using ab194243 at 1/1000 dilution.

VeriBlot for IP Detection Reagent (HRP) (ab131366), was used for detection at 1/10000 dilution.

Lane 1 : 10 μg of whole cell lysate from HeLa treated with 2mM thymidine for 18 hours, followed by addition of fresh culture medium and incubation for 9 hours, cells were then treated with 2mM thymidine for 15 hours, followed by addition of fresh culture medium and incubation for 4 hours (Input).

Lane 2 : ab194243 IP in whole cell lysate from HeLa treated with 2mM thymidine for 18 hours, followed by addition of fresh culture medium and incubation for 9 hours, cells were then treated with 2mM thymidine for 15 hours, followed by addition of fresh culture medium and incubation for 4 hours.

Lane 3 : Rabbit monoclonal IgG (ab172730) instead of ab194243 in whole cell lysate from HeLa treated with 2mM thymidine for 18 hours, followed by addition of fresh culture medium and incubation for 9 hours, cells were then treated with 2mM thymidine for 15 hours, followed by addition of fresh culture medium and incubation for 4 hours.

Blocking and dilution buffer and concentration : 5% NFDM/TBST.

Exposure time : 3 seconds.

The band at around 35kDa can be explained as di-ubiquitinated K23 (PMID24013172).

All lanes:

Immunoprecipitation - Anti-Histone H3 (ubiquityl K23) antibody [EPR18876] (ab194243)

Predicted band size: 15 kDa

false

Western blot - Anti-Histone H3 (ubiquityl K23) antibody [EPR18876] (AB194243)
  • WB

Supplier Data

Western blot - Anti-Histone H3 (ubiquityl K23) antibody [EPR18876] (AB194243)

Blocking/Dilution buffer : 5% NFDM/TBST.

The MW is consistent with literature : PMID 24013172.

All lanes:

Western blot - Anti-Histone H3 (ubiquityl K23) antibody [EPR18876] (ab194243) at 1/20000 dilution

Lane 1:

Jurkat (Human T cell leukemia cell line from peripheral blood) whole cell lysate at 20 µg

Lane 2:

HEK-293 (Human epithelial cell line from embryonic kidney) whole cell lysate

Secondary

All lanes:

Western blot - Goat Anti-Rabbit IgG H&L (HRP) (<a href='/en-us/products/secondary-antibodies/goat-rabbit-igg-h-l-hrp-ab97051'>ab97051</a>) at 1/100000 dilution

Predicted band size: 15 kDa

Observed band size: 28 kDa

false

Exposure time: 3min

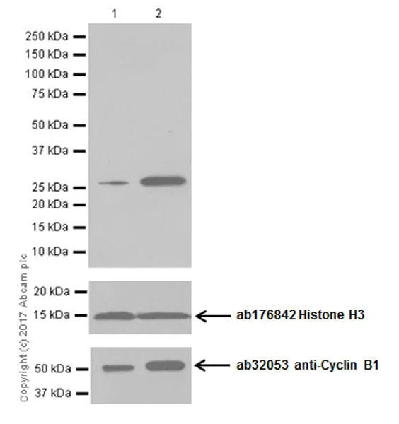
Western blot - Anti-Histone H3 (ubiquityl K23) antibody [EPR18876] (AB194243)
  • WB

Supplier Data

Western blot - Anti-Histone H3 (ubiquityl K23) antibody [EPR18876] (AB194243)

Blocking/Dilution buffer : 5% NFDM/TBST.

The expression level of H3K23ubi is increased during S phase. PMID 24013172.

The MW is consistent with literature : PMID 24013172.

All lanes:

Western blot - Anti-Histone H3 (ubiquityl K23) antibody [EPR18876] (ab194243) at 1/20000 dilution

Lane 1:

Untreated HeLa (Human epithelial cell line from cervix adenocarcinoma) whole cell lysate at 10 µg

Lane 2:

Whole cell lysate from HeLa treated with 2mM thymidine for 18 hours, followed by addition of fresh culture medium and incubation for 9 hours. Cell were then treated with 2mM thymidine for 15 hours, followed by addition of fresh culture medium and incubation for 4 hours at 10 µg

Secondary

All lanes:

Western blot - Goat Anti-Rabbit IgG H&L (HRP) (<a href='/en-us/products/secondary-antibodies/goat-rabbit-igg-h-l-hrp-ab97051'>ab97051</a>) at 1/100000 dilution

Predicted band size: 15 kDa

Observed band size: 28 kDa

false

Exposure time: 3min

Dot Blot - Anti-Histone H3 (ubiquityl K23) antibody [EPR18876] (AB194243)
  • Dot

Supplier Data

Dot Blot - Anti-Histone H3 (ubiquityl K23) antibody [EPR18876] (AB194243)

Dot blot analysis of Histone H3 (ubiquityl K23) labeled with ab194243 at 1/1000 dilution.

Lane 1 : Histone H3 (ubiquitinated K23) peptide (aa20-29).

Lane 2 : Histone H3 non- ubiquitinated peptide (aa22-31).

Lane 3 : Histone H3 full length recombinant protein.

Goat Anti-Rabbit IgG H&L (HRP) (ab97051) at 1/100000 was used as secondary antibody.

Blocking and diluting buffer : 5% NFDM/TBST.

Exposure time : 3 minutes.

  • Carrier free

    Anti-Histone H3 (ubiquityl K23) antibody [EPR18876] - BSA and Azide free

Key facts

Host species

Rabbit

Clonality

Monoclonal

Clone number

EPR18876

Isotype

IgG

Carrier free

No

Reacts with

Human

Applications

Dot, WB, IP

applications

Immunogen

The exact immunogen used to generate this antibody is proprietary information.

Reactivity data

{ "title": "Reactivity Data", "filters": { "stats": ["", "Species", "Dilution Info", "Notes"], "tabs": { "all-applications": {"fullname" : "All Applications", "shortname": "All Applications"}, "IP" : {"fullname" : "Immunoprecipitation", "shortname":"IP"}, "Dot" : {"fullname" : "Dot Blot", "shortname":"Dot"}, "WB" : {"fullname" : "Western blot", "shortname":"WB"} }, "product-promise": { "all": "all", "testedAndGuaranteed": "tested", "guaranteed": "expected", "predicted": "predicted", "notRecommended": "not-recommended" } }, "values": { "Human": { "IP-species-checked": "testedAndGuaranteed", "IP-species-dilution-info": "1/30", "IP-species-notes": "<p></p>", "Dot-species-checked": "guaranteed", "Dot-species-dilution-info": "", "Dot-species-notes": "", "WB-species-checked": "testedAndGuaranteed", "WB-species-dilution-info": "1/1000", "WB-species-notes": "<p></p>" }, "Synthetic peptide": { "IP-species-checked": "notRecommended", "IP-species-dilution-info": "", "IP-species-notes": "", "Dot-species-checked": "testedAndGuaranteed", "Dot-species-dilution-info": "", "Dot-species-notes": "<p></p>", "WB-species-checked": "notRecommended", "WB-species-dilution-info": "", "WB-species-notes": "" } } }

Product details

Patented technology
Our RabMAb® technology is a patented hybridoma-based technology for making rabbit monoclonal antibodies. For details on our patents, please refer to RabMAb® patents.

What are the advantages of a recombinant monoclonal antibody?
This product is a recombinant monoclonal antibody, which offers several advantages including:

  • - High batch-to-batch consistency and reproducibility
  • - Improved sensitivity and specificity
  • - Long-term security of supply
  • - Animal-free batch production

For more information, read more on recombinant antibodies.

Properties and storage information

Form
Liquid
Purification technique
Affinity purification Protein A
Storage buffer
pH: 7.2 - 7.4 Preservative: 0.01% Sodium azide Constituents: PBS, 40% Glycerol (glycerin, glycerine), 0.05% BSA
Shipped at conditions
Blue Ice
Appropriate short-term storage duration
1-2 weeks
Appropriate short-term storage conditions
+4°C
Appropriate long-term storage conditions
-20°C
Aliquoting information
Upon delivery aliquot
Storage information
Avoid freeze / thaw cycle

Product protocols

For this product, it's our understanding that no specific protocols are required. You can visit:

Target data

The protein expressed by gene H3C1 is a core component of the nucleosome, which is essential for wrapping and compacting DNA into chromatin. This process restricts DNA accessibility to cellular machineries that use DNA as a template. Consequently, histones are central to transcription regulation, DNA repair, DNA replication, and chromosomal stability. DNA accessibility is regulated through a complex set of post-translational modifications of histones, known as the histone code, and through nucleosome remodeling. This supplementary information is collated from multiple sources and compiled automatically.
See full target information H3C1 ubiquityl K23

Publications (1)

Recent publications for all applications. Explore the full list and refine your search

Journal of experimental & clinical cancer research : CR 44:13 PubMed39810240

2025

Targeting of the G9a, DNMT1 and UHRF1 epigenetic complex as an effective strategy against pancreatic ductal adenocarcinoma.

Applications

Unspecified application

Species

Unspecified reactive species

Daniel Oyon,Amaya Lopez-Pascual,Borja Castello-Uribe,Iker Uriarte,Giulia Orsi,Sofia Llorente,Jasmin Elurbide,Elena Adan-Villaescusa,Emiliana Valbuena-Goiricelaya,Ainara Irigaray-Miramon,Maria Ujue Latasa,Luz A Martinez-Perez,Luca Reggiani Bonetti,Felipe Prosper,Mariano Ponz-Sarvise,Silvestre Vicent,Antonio Pineda-Lucena,David Ruiz-Clavijo,Bruno Sangro,Urko Aguirre Larracoechea,Tian V Tian,Andrea Casadei-Gardini,Irene Amat,Maria Arechederra,Carmen Berasain,Jesus M Urman,Matias A Avila,Maite G Fernandez-Barrena
View all publications

Product promise

We are committed to supporting your work with high-quality reagents, and we're here for you every step of the way. In the unlikely event that one of our products does not perform as expected, you're protected by our Product Promise.
For full details, please see our Terms & Conditions

Please note: All products are 'FOR RESEARCH USE ONLY. NOT FOR USE IN DIAGNOSTIC OR THERAPEUTIC PROCEDURES'.

For licensing inquiries, please contact partnerships@abcam.com