JavaScript is disabled in your browser. Please enable JavaScript to view this website.
AB308248

Anti-Histone H3 (unmodified K27) antibody [EPR23553-22]

  • 20ul selling size
  • RabMAb
  • Advanced Validation
  • Recombinant
  • What is this?

Be the first to review this product! Submit a review

|

(0 Publication)

Rabbit Recombinant Monoclonal H3 unmod K27 antibody. Suitable for WB, IHC-P, ICC/IF, Flow Cyt (Intra), ChIP-seq, PepArr and reacts with Human, Mouse, Rat, Recombinant fragment - Human, Synthetic peptide samples.

View Alternative Names

H3FA, HIST1H3A, H3C2, H3FL, HIST1H3B, H3C3, H3FC HIST1H3C, H3C4, H3FB, HIST1H3D, H3C6, H3FD, HIST1H3E, H3C7, H3FI, HIST1H3F, H3C8, H3FH, HIST1H3G, H3C10, H3FK, HIST1H3H, H3C11, H3FF, HIST1H3I, H3C12, H3FJ, HIST1H3J, H3C1, H3FC, HIST1H3C, Histone H3.1, Histone H3/a, Histone H3/b, Histone H3/c, Histone H3/d, Histone H3/f, Histone H3/h, Histone H3/i, Histone H3/j, Histone H3/k, Histone H3/l, H3K27un

17 Images
Immunocytochemistry/ Immunofluorescence - Anti-Histone H3 (unmodified K27) antibody [EPR23553-22] (AB308248)
  • ICC/IF

Supplier Data

Immunocytochemistry/ Immunofluorescence - Anti-Histone H3 (unmodified K27) antibody [EPR23553-22] (AB308248)

Immunofluorescent analysis of 4% Paraformaldehyde-fixed, 0.1% TritonX-100 permeabilized HeLa (human cervix adenocarcinoma epithelial cell) cells labelling Histone H3 (unmodified K27) with ab308248 at 1/200 (2.08 ug/ml) dilution, followed by ab150081 Goat Anti-Rabbit IgG H&L (Alexa Fluor® 488) preadsorbed antibody at 1/1000 2ug/ml dilution (Green). Confocal image showing nuclear staining in HeLa cells.Image was taken with a confocal microscope (Leica-Microsystems, TCS SP8). ab195889 Anti-alpha Tubulin mouse monoclonal antibody - Microtubule Marker (Alexa Fluor® 594) was used to counterstain tubulin at 1/200 2.5ug/ml dilution (Red). The Nuclear counterstain was DAPI (Blue). Secondary antibody only control : Secondary antibody is ab150081 Goat Anti-Rabbit IgG H&L (Alexa Fluor® 488) preadsorbed at 1/1000 2ug/ml dilution.

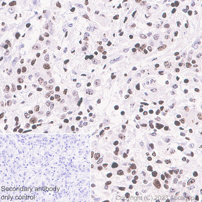
Immunohistochemistry (Formalin/PFA-fixed paraffin-embedded sections) - Anti-Histone H3 (unmodified K27) antibody [EPR23553-22] (AB308248)
  • IHC-P

Supplier Data

Immunohistochemistry (Formalin/PFA-fixed paraffin-embedded sections) - Anti-Histone H3 (unmodified K27) antibody [EPR23553-22] (AB308248)

Immunohistochemical analysis of paraffin-embedded Human gastric adenoc tissue labeling Histone H3 (unmodified K27) with ab308248 at 1/4000 (0.104 ug/ml) followed by a ready to use Goat Anti-Rabbit IgG H&L (HRP polymer). Nuclear staining on human gastric adenocarcinoma. The section was incubated with ab308248 at 4 ℃ overnight. Counterstained with Hematoxylin. Secondary antibody only control : Secondary antibody is a ready to use Goat Anti-Rabbit IgG H&L (HRP polymer). Heat mediated antigen retrieval using ab93684 (Tris/EDTA buffer, pH 9.0)

Immunohistochemistry (Formalin/PFA-fixed paraffin-embedded sections) - Anti-Histone H3 (unmodified K27) antibody [EPR23553-22] (AB308248)
  • IHC-P

Supplier Data

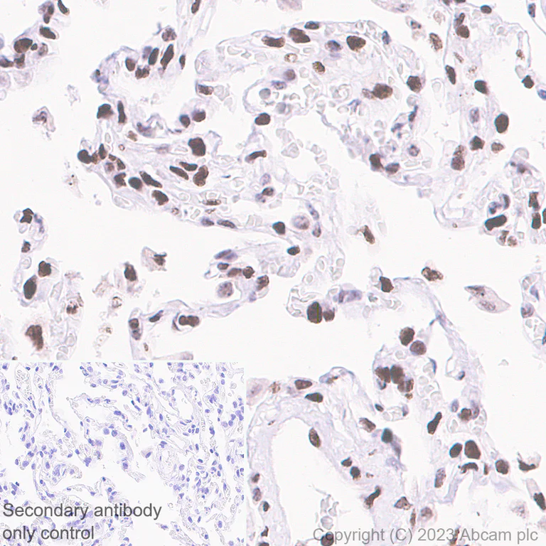
Immunohistochemistry (Formalin/PFA-fixed paraffin-embedded sections) - Anti-Histone H3 (unmodified K27) antibody [EPR23553-22] (AB308248)

Immunohistochemical analysis of paraffin-embedded Human lung tissue labeling Histone H3 (unmodified K27) with ab308248 at 1/4000 (0.104 ug/ml) followed by a ready to use Goat Anti-Rabbit IgG H&L (HRP polymer). Nuclear staining on human lung. The section was incubated with ab308248 at 4 ℃ overnight. Counterstained with Hematoxylin. Secondary antibody only control : Secondary antibody is a ready to use Goat Anti-Rabbit IgG H&L (HRP polymer). Heat mediated antigen retrieval using ab93684 (Tris/EDTA buffer, pH 9.0)

Flow Cytometry (Intracellular) - Anti-Histone H3 (unmodified K27) antibody [EPR23553-22] (AB308248)
  • Flow Cyt (Intra)

Supplier Data

Flow Cytometry (Intracellular) - Anti-Histone H3 (unmodified K27) antibody [EPR23553-22] (AB308248)

Flow cytometric analysis of 4% paraformaldehyde fixed 90% methanol permeabilized HeLa (human cervical adenocarcinoma epithelial cell) cells labelling Histone H3 (unmodified K27) with ab308248 at 1/500 dilution (0.1 ug)/Red (Red) compared with a Rabbit monoclonal IgG (ab172730) (Black) isotype control and an unlabelled control (cells without incubation with primary antibody and secondary antibody) (Blue). A Goat Anti-Rabbit IgG (Alexa Fluor® 488, ab150081) at 1/5000 dilution was used as the secondary antibody.

ChIP-sequencing - Anti-Histone H3 (unmodified K27) antibody [EPR23553-22] (AB308248)
  • ChIP-seq

Supplier Data

ChIP-sequencing - Anti-Histone H3 (unmodified K27) antibody [EPR23553-22] (AB308248)

Chromatin was prepared from HeLa cells. Cells were fixed with 1% formaldehyde for 10 minutes. ChIP was performed with 10^7 cells and 4 µg of Histone H3 (unmodified K27) (ab308248). ChIP DNA was sequenced on the Illumina NovaSeq6000 to a depth of 30 million reads. Line 1 shows the input as the negative control and line 2 shows results of H3 (unmodified K27) (ab308248). H3 acetyl K27 (ab177178) and H3 tri Methyl K27(ab192985) are shown as controls in lines 3 and 4 respectively. The reads using the unmodified H3K27 antibody (ab308248) do not align with the peaks from the experiment with antibodies to modifications (ab177178 and ab192985), which is as expected for this target.

ChIP-sequencing - Anti-Histone H3 (unmodified K27) antibody [EPR23553-22] (AB308248)
  • ChIP-seq

Supplier Data

ChIP-sequencing - Anti-Histone H3 (unmodified K27) antibody [EPR23553-22] (AB308248)

Chromatin was prepared from HeLa cells. Cells were fixed with 1% formaldehyde for 10 minutes. ChIP was performed with 10^7 cells and 4 µg of Histone H3 (unmodified K27) (ab308248). ChIP DNA was sequenced on the Illumina NovaSeq6000 to a depth of 30 million reads. Line 1 shows the input as the negative control and line 2 shows results of H3 (unmodified K27) (ab308248). H3 acetyl K27 (ab177178) and H3 tri Methyl K27(ab192985) are shown as controls in lines 3 and 4 respectively. The reads using the unmodified H3K27 antibody (ab308248) do not align with the peaks from the experiment with antibodies to modifications (ab177178 and ab192985), which is as expected for this target.

ChIP-sequencing - Anti-Histone H3 (unmodified K27) antibody [EPR23553-22] (AB308248)
  • ChIP-seq

Supplier Data

ChIP-sequencing - Anti-Histone H3 (unmodified K27) antibody [EPR23553-22] (AB308248)

Chromatin was prepared from HeLa cells. Cells were fixed with 1% formaldehyde for 10 minutes. ChIP was performed with 10^7 cells and 4 µg of Histone H3 (unmodified K27) (ab308248). ChIP DNA was sequenced on the Illumina NovaSeq6000 to a depth of 30 million reads. Line 1 shows the input as the negative control and line 2 shows results of H3 (unmodified K27) (ab308248). H3 acetyl K27 (ab177178) and H3 tri Methyl K27(ab192985) are shown as controls in lines 3 and 4 respectively. The reads using the unmodified H3K27 antibody (ab308248) do not align with the peaks from the experiment with antibodies to modifications (ab177178 and ab192985), which is as expected for this target.

ChIP-sequencing - Anti-Histone H3 (unmodified K27) antibody [EPR23553-22] (AB308248)
  • ChIP-seq

Supplier Data

ChIP-sequencing - Anti-Histone H3 (unmodified K27) antibody [EPR23553-22] (AB308248)

Chromatin was prepared from HeLa cells. Cells were fixed with 1% formaldehyde for 10 minutes. ChIP was performed with 10^7 cells and 4 µg of Histone H3 (unmodified K27) (ab308248). ChIP DNA was sequenced on the Illumina NovaSeq6000 to a depth of 30 million reads. Line 1 shows the input as the negative control and line 2 shows results of H3 (unmodified K27) (ab308248). H3 acetyl K27 (ab177178) and H3 tri Methyl K27(ab192985) are shown as controls in lines 3 and 4 respectively. The reads using the unmodified H3K27 antibody (ab308248) do not align with the peaks from the experiment with antibodies to modifications (ab177178 and ab192985), which is as expected for this target.

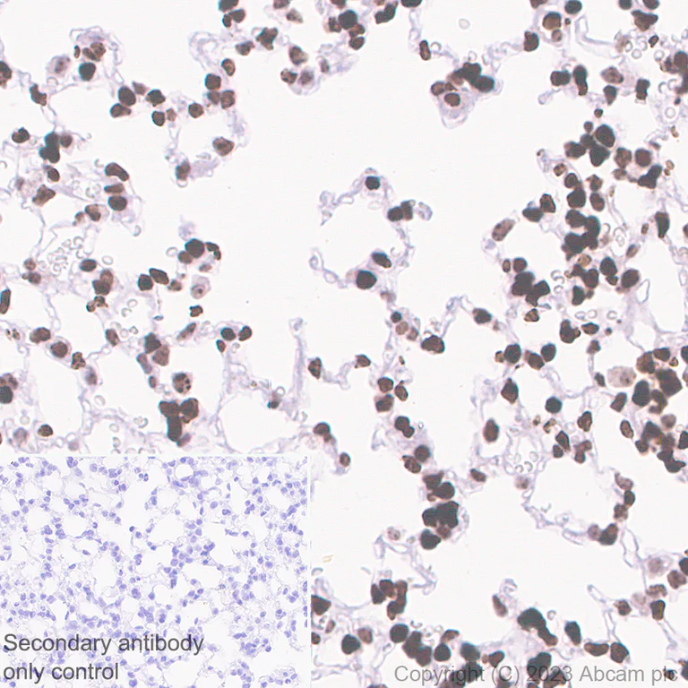
Immunohistochemistry (Formalin/PFA-fixed paraffin-embedded sections) - Anti-Histone H3 (unmodified K27) antibody [EPR23553-22] (AB308248)
  • IHC-P

Supplier Data

Immunohistochemistry (Formalin/PFA-fixed paraffin-embedded sections) - Anti-Histone H3 (unmodified K27) antibody [EPR23553-22] (AB308248)

Immunohistochemical analysis of paraffin-embedded Rat lung tissue labeling Histone H3 (unmodified K27) with ab308248 at 1/4000 (0.104 ug/ml) followed by a ready to use Goat Anti-Rabbit IgG H&L (HRP polymer). Nuclear staining on rat lung. The section was incubated with ab308248 at 4 ℃ overnight. Counterstained with Hematoxylin. Secondary antibody only control : Secondary antibody is a ready to use Goat Anti-Rabbit IgG H&L (HRP polymer). Heat mediated antigen retrieval using ab93684 (Tris/EDTA buffer, pH 9.0)

Flow Cytometry (Intracellular) - Anti-Histone H3 (unmodified K27) antibody [EPR23553-22] (AB308248)
  • Flow Cyt (Intra)

Supplier Data

Flow Cytometry (Intracellular) - Anti-Histone H3 (unmodified K27) antibody [EPR23553-22] (AB308248)

Flow cytometric analysis of 4% paraformaldehyde fixed 90% methanol permeabilized NIH/3T3 (mouse embryonic fibroblast) cells labelling Histone H3 (unmodified K27) with ab308248 at 1/500 dilution (0.1 ug)/Red (Red) compared with a Rabbit monoclonal IgG (ab172730) (Black) isotype control and an unlabelled control (cells without incubation with primary antibody and secondary antibody) (Blue). A Goat Anti-Rabbit IgG (Alexa Fluor® 488, ab150081) at 1/5000 dilution was used as the secondary antibody.

Immunocytochemistry/ Immunofluorescence - Anti-Histone H3 (unmodified K27) antibody [EPR23553-22] (AB308248)
  • ICC/IF

Supplier Data

Immunocytochemistry/ Immunofluorescence - Anti-Histone H3 (unmodified K27) antibody [EPR23553-22] (AB308248)

Immunofluorescent analysis of 4% Paraformaldehyde-fixed, 0.1% TritonX-100 permeabilized NIH/3T3 (mouse embryonic fibroblast) cells labelling Histone H3 (unmodified K27) with ab308248 at 1/200 (2.08 ug/ml) dilution, followed by ab150081 Goat Anti-Rabbit IgG H&L (Alexa Fluor® 488) preadsorbed antibody at 1/1000 2ug/ml dilution (Green). Confocal image showing nuclear staining in NIH/3T3 cells.Image was taken with a confocal microscope (Leica-Microsystems, TCS SP8). ab195889 Anti-alpha Tubulin mouse monoclonal antibody - Microtubule Marker (Alexa Fluor® 594) was used to counterstain tubulin at 1/200 2.5ug/ml dilution (Red). The Nuclear counterstain was DAPI (Blue). Secondary antibody only control : Secondary antibody is ab150081 Goat Anti-Rabbit IgG H&L (Alexa Fluor® 488) preadsorbed at 1/1000 2ug/ml dilution.

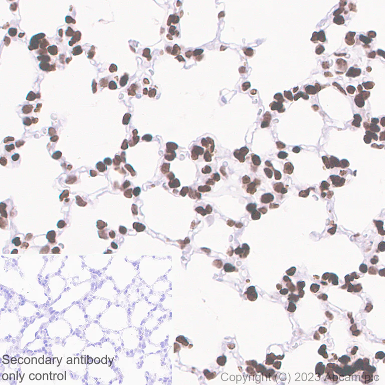
Immunohistochemistry (Formalin/PFA-fixed paraffin-embedded sections) - Anti-Histone H3 (unmodified K27) antibody [EPR23553-22] (AB308248)
  • IHC-P

Supplier Data

Immunohistochemistry (Formalin/PFA-fixed paraffin-embedded sections) - Anti-Histone H3 (unmodified K27) antibody [EPR23553-22] (AB308248)

Immunohistochemical analysis of paraffin-embedded Mouse lung tissue labeling Histone H3 (unmodified K27) with ab308248 at 1/4000 (0.104 ug/ml) followed by a ready to use Goat Anti-Rabbit IgG H&L (HRP polymer). Nuclear staining on mouse lung. The section was incubated with ab308248 at 4 ℃ overnight. Counterstained with Hematoxylin. Secondary antibody only control : Secondary antibody is a ready to use Goat Anti-Rabbit IgG H&L (HRP polymer). Heat mediated antigen retrieval using ab93684 (Tris/EDTA buffer, pH 9.0)

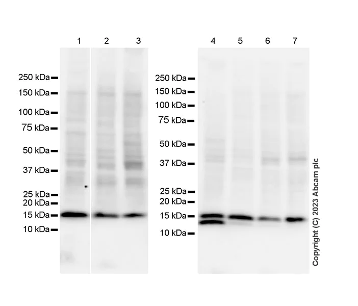
Western blot - Anti-Histone H3 (unmodified K27) antibody [EPR23553-22] (AB308248)
  • WB

Supplier Data

Western blot - Anti-Histone H3 (unmodified K27) antibody [EPR23553-22] (AB308248)

Blocking and diluting buffer and concentration : 1% BSA/TBST The lysates of lane2 and lane3 were freshly made and used for Western blotting immediately to minimize protein degradation. Exposure time : Lane 1-2 : 26 seconds, lane 3 : 15 seconds

All lanes:

Western blot - Anti-Histone H3 (unmodified K27) antibody [EPR23553-22] (ab308248) at 1/1000 dilution

Lane 1:

Human spleen tissue lysate at 20 µg

Lane 2:

Mouse spleen tissue lysate at 20 µg

Lane 3:

Rat spleen tissue lysate at 20 µg

Secondary

All lanes:

Western blot - Goat Anti-Rabbit IgG H&L (HRP) (<a href='/en-us/products/secondary-antibodies/goat-rabbit-igg-h-l-hrp-ab97051'>ab97051</a>) at 1/100000 dilution

Observed band size: 15 kDa

false

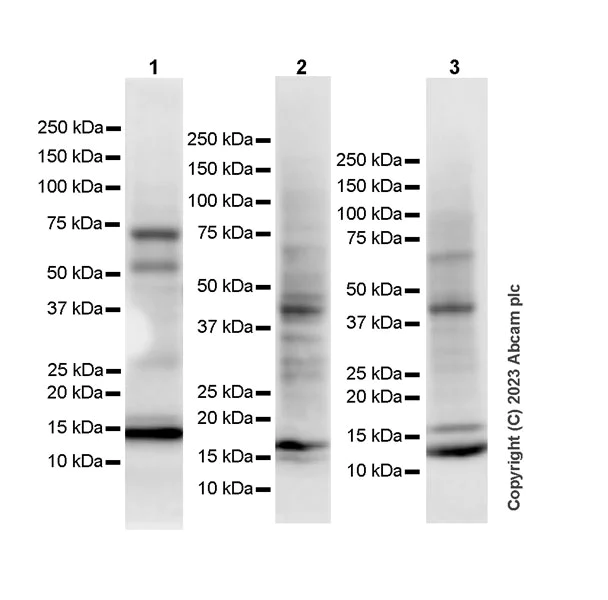
Western blot - Anti-Histone H3 (unmodified K27) antibody [EPR23553-22] (AB308248)
  • WB

Supplier Data

Western blot - Anti-Histone H3 (unmodified K27) antibody [EPR23553-22] (AB308248)

Blocking and diluting buffer and concentration : 1% BSA/TBST Lysates were freshly made and used for Western blotting immediately to minimize protein degradation. Exposure time : Lane 1-3 : 26 seconds, lane 4-7 : 15 seconds

All lanes:

Western blot - Anti-Histone H3 (unmodified K27) antibody [EPR23553-22] (ab308248) at 1/1000 dilution

Lane 1:

HeLa (human cervical adenocarcinoma epithelial cell) whole cell lysate at 20 µg

Lane 2:

NIH/3T3 (mouse embryonic fibroblast) whole cell lysate at 20 µg

Lane 3:

PC-12 (rat adrenal gland pheochromocytoma cell) whole cell lysate at 20 µg

Lane 4:

THP-1 (human monocytic leukemia monocyte) whole cell lysate at 20 µg

Lane 5:

Jurkat (human T cell leukemia T lymphocyte) whole cell lysate at 20 µg

Lane 6:

RAW 264.7 (mouse Abelson murine leukemia virus-induced tumor macrophage) whole cell lysate at 20 µg

Lane 7:

2.4G2 (rat B cell lymphoma B lymphocyte) whole cell lysate at 20 µg

Secondary

All lanes:

Western blot - Goat Anti-Rabbit IgG H&L (HRP) (<a href='/en-us/products/secondary-antibodies/goat-rabbit-igg-h-l-hrp-ab97051'>ab97051</a>) at 1/100000 dilution

Observed band size: 15 kDa

false

Western blot - Anti-Histone H3 (unmodified K27) antibody [EPR23553-22] (AB308248)
  • WB

Supplier Data

Western blot - Anti-Histone H3 (unmodified K27) antibody [EPR23553-22] (AB308248)

Blocking and diluting buffer and concentration : 5% NFDM/TBST.

This antibody does not cross-react with human H2A, H2B and H4C1.

This blot was developed using a high sensitivity ECL substrate. The high-sensitivity ECL substrate used allows for the detection of proteins in the mid-femtogram range.

In Western blot, anti-His antibody (ab213204) staining at 1/5000 dilution.

All lanes:

Western blot - Anti-Histone H3 (unmodified K27) antibody [EPR23553-22] (ab308248) at 1/1000 dilution

Lane 1:

His tagged Human H2A recombinant protein at 100 ng

Lane 2:

His tagged Human H2B recombinant protein at 100 ng

Lane 3:

His tagged Human H3C1 recombinant protein at 50 ng

Lane 4:

His tagged Human H4C1 recombinant protein at 200 ng

Secondary

All lanes:

Western blot - Goat Anti-Rabbit IgG H&L (HRP) (<a href='/en-us/products/secondary-antibodies/goat-rabbit-igg-h-l-hrp-ab97051'>ab97051</a>) at 1/100000 dilution

Observed band size: 15 kDa

true

Exposure time: 180s

Peptide Array - Anti-Histone H3 (unmodified K27) antibody [EPR23553-22] (AB308248)
  • PepArr

Supplier Data

Peptide Array - Anti-Histone H3 (unmodified K27) antibody [EPR23553-22] (AB308248)

Peptide array analysis of ab308248 at (0.1ug/ml) followed by a Goat Anti-Rabbit IgG, (H+L), Fluo 647nm conjugated at 1 : 50,000 dilution. ab308248 has been tested in Peptide Array against 501 different modified and unmodified histone peptides; each peptide is printed on the array at six concentrations (each in triplicate). Circle area represents affinity between the antibody and a peptide : all antigen-containing peptides are displayed as red circles, all other peptides as blue circles. The affinity is calculated as the area under the curve when antibody binding values are plotted against the corresponding peptide concentration. Each circle area is normalized to the peptide with the strongest affinity. The complete dataset, including a full list of all peptides and information on the position of each peptide in the diagram, can be downloaded here.

Peptide Array - Anti-Histone H3 (unmodified K27) antibody [EPR23553-22] (AB308248)
  • PepArr

Supplier Data

Peptide Array - Anti-Histone H3 (unmodified K27) antibody [EPR23553-22] (AB308248)

Peptide array analysis of ab308248 at (0.1ug/ml) followed by a Goat Anti-Rabbit IgG, (H+L), Fluo 647nm conjugated at 1 : 50,000 dilution. The affinity of ab308248 to the un-modified Histone H3 K27 sequence and peptides modified at K27 from our peptide array are shown here as a histogram. AUC stands for Area under Curve.

Key facts

Host species

Rabbit

Clonality

Monoclonal

Clone number

EPR23553-22

Isotype

IgG

Carrier free

No

Reacts with

Human, Mouse, Rat

Applications

Flow Cyt (Intra), IHC-P, ChIP-seq, ICC/IF, PepArr, WB

applications

Immunogen

The exact immunogen used to generate this antibody is proprietary information.

Reactivity data

{ "title": "Reactivity Data", "filters": { "stats": ["", "Species", "Dilution Info", "Notes"], "tabs": { "all-applications": {"fullname" : "All Applications", "shortname": "All Applications"}, "WB" : {"fullname" : "Western blot", "shortname":"WB"}, "IHCP" : {"fullname" : "Immunohistochemistry (Formalin/PFA-fixed paraffin-embedded sections)", "shortname":"IHC-P"}, "ICCIF" : {"fullname" : "Immunocytochemistry/ Immunofluorescence", "shortname":"ICC/IF"}, "FlowCytIntra" : {"fullname" : "Flow Cytometry (Intracellular)", "shortname":"Flow Cyt (Intra)"}, "IP" : {"fullname" : "Immunoprecipitation", "shortname":"IP"}, "ChIPseq" : {"fullname" : "ChIP-sequencing", "shortname":"ChIP-seq"}, "PepArr" : {"fullname" : "Peptide Array", "shortname":"PepArr"} }, "product-promise": { "all": "all", "testedAndGuaranteed": "tested", "guaranteed": "expected", "predicted": "predicted", "notRecommended": "not-recommended" } }, "values": { "Human": { "WB-species-checked": "testedAndGuaranteed", "WB-species-dilution-info": "1/1000", "WB-species-notes": "<p></p>", "IHCP-species-checked": "testedAndGuaranteed", "IHCP-species-dilution-info": "1/4000", "IHCP-species-notes": "<p></p> Perform heat-mediated antigen retrieval with Tris/EDTA buffer pH 9.0 before commencing with IHC staining protocol.", "ICCIF-species-checked": "testedAndGuaranteed", "ICCIF-species-dilution-info": "1/200", "ICCIF-species-notes": "<p></p>", "FlowCytIntra-species-checked": "testedAndGuaranteed", "FlowCytIntra-species-dilution-info": "1/500", "FlowCytIntra-species-notes": "<p></p>", "IP-species-checked": "notRecommended", "IP-species-dilution-info": "", "IP-species-notes": "<p></p>", "ChIPseq-species-checked": "testedAndGuaranteed", "ChIPseq-species-dilution-info": "4 µg/cells", "ChIPseq-species-notes": "<p></p>", "PepArr-species-checked": "guaranteed", "PepArr-species-dilution-info": "", "PepArr-species-notes": "" }, "Mouse": { "WB-species-checked": "testedAndGuaranteed", "WB-species-dilution-info": "1/1000", "WB-species-notes": "<p></p>", "IHCP-species-checked": "testedAndGuaranteed", "IHCP-species-dilution-info": "1/4000", "IHCP-species-notes": "<p></p> Perform heat-mediated antigen retrieval with Tris/EDTA buffer pH 9.0 before commencing with IHC staining protocol.", "ICCIF-species-checked": "testedAndGuaranteed", "ICCIF-species-dilution-info": "1/200", "ICCIF-species-notes": "<p></p>", "FlowCytIntra-species-checked": "testedAndGuaranteed", "FlowCytIntra-species-dilution-info": "1/500", "FlowCytIntra-species-notes": "<p></p>", "IP-species-checked": "notRecommended", "IP-species-dilution-info": "", "IP-species-notes": "", "ChIPseq-species-checked": "guaranteed", "ChIPseq-species-dilution-info": "", "ChIPseq-species-notes": "", "PepArr-species-checked": "guaranteed", "PepArr-species-dilution-info": "", "PepArr-species-notes": "" }, "Rat": { "WB-species-checked": "testedAndGuaranteed", "WB-species-dilution-info": "1/1000", "WB-species-notes": "<p></p>", "IHCP-species-checked": "testedAndGuaranteed", "IHCP-species-dilution-info": "1/4000", "IHCP-species-notes": "<p></p> Perform heat-mediated antigen retrieval with Tris/EDTA buffer pH 9.0 before commencing with IHC staining protocol.", "ICCIF-species-checked": "guaranteed", "ICCIF-species-dilution-info": "", "ICCIF-species-notes": "", "FlowCytIntra-species-checked": "guaranteed", "FlowCytIntra-species-dilution-info": "", "FlowCytIntra-species-notes": "", "IP-species-checked": "notRecommended", "IP-species-dilution-info": "", "IP-species-notes": "", "ChIPseq-species-checked": "guaranteed", "ChIPseq-species-dilution-info": "", "ChIPseq-species-notes": "", "PepArr-species-checked": "guaranteed", "PepArr-species-dilution-info": "", "PepArr-species-notes": "" }, "Recombinant fragment - Human": { "WB-species-checked": "testedAndGuaranteed", "WB-species-dilution-info": "1/1000", "WB-species-notes": "<p></p>", "IHCP-species-checked": "notRecommended", "IHCP-species-dilution-info": "", "IHCP-species-notes": "", "ICCIF-species-checked": "notRecommended", "ICCIF-species-dilution-info": "", "ICCIF-species-notes": "", "FlowCytIntra-species-checked": "notRecommended", "FlowCytIntra-species-dilution-info": "", "FlowCytIntra-species-notes": "", "IP-species-checked": "notRecommended", "IP-species-dilution-info": "", "IP-species-notes": "", "ChIPseq-species-checked": "notRecommended", "ChIPseq-species-dilution-info": "", "ChIPseq-species-notes": "", "PepArr-species-checked": "notRecommended", "PepArr-species-dilution-info": "", "PepArr-species-notes": "" }, "Synthetic peptide": { "WB-species-checked": "notRecommended", "WB-species-dilution-info": "", "WB-species-notes": "", "IHCP-species-checked": "notRecommended", "IHCP-species-dilution-info": "", "IHCP-species-notes": "", "ICCIF-species-checked": "notRecommended", "ICCIF-species-dilution-info": "", "ICCIF-species-notes": "", "FlowCytIntra-species-checked": "notRecommended", "FlowCytIntra-species-dilution-info": "", "FlowCytIntra-species-notes": "", "IP-species-checked": "notRecommended", "IP-species-dilution-info": "", "IP-species-notes": "", "ChIPseq-species-checked": "notRecommended", "ChIPseq-species-dilution-info": "", "ChIPseq-species-notes": "", "PepArr-species-checked": "testedAndGuaranteed", "PepArr-species-dilution-info": "0.1 µg/mL", "PepArr-species-notes": "<p></p>" } } }

Product details

Patented technology
Our RabMAb® technology is a patented hybridoma-based technology for making rabbit monoclonal antibodies. For details on our patents, please refer to RabMAb® patents.

What are the advantages of a recombinant monoclonal antibody?
This product is a recombinant monoclonal antibody, which offers several advantages including:

  • - High batch-to-batch consistency and reproducibility
  • - Improved sensitivity and specificity
  • - Long-term security of supply
  • - Animal-free batch production

For more information, read more on recombinant antibodies.

Properties and storage information

Form
Liquid
Purification technique
Affinity purification Protein A
Storage buffer
pH: 7.2 - 7.4 Preservative: 0.01% Sodium azide Constituents: PBS, 40% Glycerol (glycerin, glycerine), 0.05% BSA
Shipped at conditions
Blue Ice
Appropriate short-term storage duration
1-2 weeks
Appropriate short-term storage conditions
+4°C
Appropriate long-term storage conditions
-20°C
Aliquoting information
Upon delivery aliquot
Storage information
Avoid freeze / thaw cycle

Product protocols

For this product, it's our understanding that no specific protocols are required. You can visit:

Target data

The protein expressed by gene H3C1 is a core component of the nucleosome, which is essential for wrapping and compacting DNA into chromatin. This process restricts DNA accessibility to cellular machineries that use DNA as a template. Consequently, histones are central to transcription regulation, DNA repair, DNA replication, and chromosomal stability. DNA accessibility is regulated through a complex set of post-translational modifications of histones, known as the histone code, and through nucleosome remodeling. This supplementary information is collated from multiple sources and compiled automatically.
See full target information H3C1 unmod K27

Product promise

We are committed to supporting your work with high-quality reagents, and we're here for you every step of the way. In the unlikely event that one of our products does not perform as expected, you're protected by our Product Promise.
For full details, please see our Terms & Conditions

Please note: All products are 'FOR RESEARCH USE ONLY. NOT FOR USE IN DIAGNOSTIC OR THERAPEUTIC PROCEDURES'.

For licensing inquiries, please contact partnerships@abcam.com