JavaScript is disabled in your browser. Please enable JavaScript to view this website.
AB62642

Anti-Histone H3.3 antibody

3

(7 Reviews)

|

(29 Publications)

Rabbit Polyclonal H3 antibody. Suitable for WB, IHC-P, ICC/IF and reacts with Human samples. Cited in 29 publications. Immunogen corresponding to Synthetic Peptide within Human H3-3A.

View Alternative Names

H3.3A, H3F3, H3F3A, PP781, H3-3B, H3.3B, H3F3B, H3-3A, Histone H3.3

4 Images
Immunocytochemistry/ Immunofluorescence - Anti-Histone H3.3 antibody (AB62642)
  • ICC/IF

Unknown

Immunocytochemistry/ Immunofluorescence - Anti-Histone H3.3 antibody (AB62642)

Immunofluorescence analysis of HeLa cells, using ab62642 at a 1/500 dilution.
Left image untreated.
Right image treated with peptide.

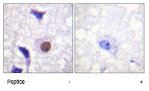
Immunohistochemistry (Formalin/PFA-fixed paraffin-embedded sections) - Anti-Histone H3.3 antibody (AB62642)
  • IHC-P

Unknown

Immunohistochemistry (Formalin/PFA-fixed paraffin-embedded sections) - Anti-Histone H3.3 antibody (AB62642)

Immunohistochemistry analysis of paraffin embedded human brain tissue using ab62642 at a 1/50 dilution.
Left image untreated.
Right image treated with peptide.

Western blot - Anti-Histone H3.3 antibody (AB62642)
  • WB

Unknown

Western blot - Anti-Histone H3.3 antibody (AB62642)

The 19 kDa band observed is comparable to the molecular weight seen with other commercially available antibodies to Histone H3.3.

All lanes:

Western blot - Anti-Histone H3.3 antibody (ab62642) at 1 µg/mL

All lanes:

A431 (Human epithelial carcinoma cell line) Whole Cell Lysate at 10 µg

Secondary

All lanes:

Western blot - Goat Anti-Rabbit IgG H&L (HRP) preadsorbed (<a href='/en-us/products/secondary-antibodies/goat-rabbit-igg-h-l-hrp-preadsorbed-ab97080'>ab97080</a>) at 1/5000 dilution

Predicted band size: 15 kDa

Observed band size: 19 kDa,45 kDa

true

Exposure time: 12min

Western blot - Anti-Histone H3.3 antibody (AB62642)
  • WB

CiteAb

Western blot - Anti-Histone H3.3 antibody (AB62642)

Histone H3.3 western blot using anti-Histone H3.3 antibody ab62642. Publication image and figure legend from Su, C. H., Cheng, C., et al., 2016, PLoS One, PubMed 27228173.

ab62642 was used in this publication in western blot. This may not be the same as the application(s) guaranteed by Abcam. For a full list of applications guaranteed by Abcam for ab62642 please see the product overview.

H2ac depletion induces telomere-repeat loss and telomere dysfunction.(A) Western blot of cell extracts prepared from control KD and H2ac KD cells using antibodies labeled on the right. (B) Telomere length analysis of MCF-7 and IMR-90 cells with control or H2ac siRNAs by telomere restriction fragment (TRF) analysis. MCF-7 and IMR-90 cells were harvested at day 5 after two separate transfections with control and H2ac siRNA. Telomere-repeat length and intensity was measured by restriction digest of genomic DNA with AluI/MboI and Southern hybridization with DIG-labeled (TTAGGG)4 probe (top panel). The GAPDH region was used as a control for DNA loading (bottom panel). The position of molecular weights (MWs; kb) is indicated on the left. (C) Telomere-ChIP assay indicates the effect of H2ac depletion on the occupancy of TRF1, TRF2 and POT1 at telomeres with telomere-specific sequences or Alu sequences using dot blot. Quantification of TTAGGG repeat DNA in the panel recovered in each ChIP is shown. The average of experiments performed in triplicate is shown. The P value was calculated using a Student's two-tailed t-test. (D) Effect of H2ac depletion on soluble and chromatin-bound TRF1, TRF2 and POT1 proteins. Equal cell equivalents of cytoplasmic proteins (CP), nucleoplasmic proteins (NP), and the chromatin-bound fraction (CB) were analyzed. α-tubulin is cytoplasmic and histone H3 is a chromatin protein.

false

Key facts

Host species

Rabbit

Clonality

Polyclonal

Isotype

IgG

Carrier free

No

Reacts with

Human

Applications

ICC/IF, IHC-P, WB

applications

Immunogen

Synthetic Peptide within Human H3-3A. The exact immunogen used to generate this antibody is proprietary information.

P84243

Reactivity data

{ "title": "Reactivity Data", "filters": { "stats": ["", "Species", "Dilution Info", "Notes"], "tabs": { "all-applications": {"fullname" : "All Applications", "shortname": "All Applications"}, "WB" : {"fullname" : "Western blot", "shortname":"WB"}, "IHCP" : {"fullname" : "Immunohistochemistry (Formalin/PFA-fixed paraffin-embedded sections)", "shortname":"IHC-P"}, "ICCIF" : {"fullname" : "Immunocytochemistry/ Immunofluorescence", "shortname":"ICC/IF"} }, "product-promise": { "all": "all", "testedAndGuaranteed": "tested", "guaranteed": "expected", "predicted": "predicted", "notRecommended": "not-recommended" } }, "values": { "Human": { "WB-species-checked": "testedAndGuaranteed", "WB-species-dilution-info": "1 µg/mL", "WB-species-notes": "<p></p>", "IHCP-species-checked": "testedAndGuaranteed", "IHCP-species-dilution-info": "1/50 - 1/100", "IHCP-species-notes": "<p></p>", "ICCIF-species-checked": "testedAndGuaranteed", "ICCIF-species-dilution-info": "1/500 - 1/1000", "ICCIF-species-notes": "<p></p>" } } }

Properties and storage information

Form
Liquid
Purification technique
Affinity purification Immunogen
Purification notes
The antibody was affinity purified from rabbit antiserum by affinity chromatography using epitope specific immunogen.
Storage buffer
pH: 7 Preservative: 0.02% Sodium azide Constituents: PBS, 50% Glycerol (glycerin, glycerine), 0.87% Sodium chloride
Shipped at conditions
Blue Ice
Appropriate short-term storage duration
1-2 weeks
Appropriate short-term storage conditions
+4°C
Appropriate long-term storage conditions
-20°C
Aliquoting information
Upon delivery aliquot
Storage information
Avoid freeze / thaw cycle

Product protocols

For this product, it's our understanding that no specific protocols are required. You can visit:

Target data

Variant histone H3 which replaces conventional H3 in a wide range of nucleosomes in active genes. Constitutes the predominant form of histone H3 in non-dividing cells and is incorporated into chromatin independently of DNA synthesis. Deposited at sites of nucleosomal displacement throughout transcribed genes, suggesting that it represents an epigenetic imprint of transcriptionally active chromatin. Nucleosomes wrap and compact DNA into chromatin, limiting DNA accessibility to the cellular machineries which require DNA as a template. Histones thereby play a central role in transcription regulation, DNA repair, DNA replication and chromosomal stability. DNA accessibility is regulated via a complex set of post-translational modifications of histones, also called histone code, and nucleosome remodeling.
See full target information H3-3A

Publications (29)

Recent publications for all applications. Explore the full list and refine your search

EMBO reports 24:e57585 PubMed37965896

2023

The nucleolar protein GNL3 prevents resection of stalled replication forks.

Applications

Unspecified application

Species

Unspecified reactive species

Rana Lebdy,Marine Canut,Julie Patouillard,Jean-Charles Cadoret,Anne Letessier,Josiane Ammar,Jihane Basbous,Serge Urbach,Benoit Miotto,Angelos Constantinou,Raghida Abou Merhi,Cyril Ribeyre

Life science alliance 6: PubMed36746532

2023

The organizer of chromatin topology RIF1 ensures cellular resilience to DNA replication stress.

Applications

Unspecified application

Species

Unspecified reactive species

Rana Lebdy,Julie Patouillard,Marion Larroque,Serge Urbach,Raghida Abou Merhi,Christian Larroque,Cyril Ribeyre

Cellular and molecular gastroenterology and hepatology 14:527-551 PubMed35643233

2022

HIRA Supports Hepatitis B Virus Minichromosome Establishment and Transcriptional Activity in Infected Hepatocytes.

Applications

Unspecified application

Species

Unspecified reactive species

Maëlle Locatelli,Jean-Pierre Quivy,Fleur Chapus,Maud Michelet,Judith Fresquet,Sarah Maadadi,Amel Neila Aberkane,Audrey Diederichs,Julie Lucifora,Michel Rivoire,Geneviève Almouzni,Barbara Testoni,Fabien Zoulim

Epigenetics & chromatin 14:3 PubMed33407810

2021

Genome-wide occupancy reveals the localization of H1T2 (H1fnt) to repeat regions and a subset of transcriptionally active chromatin domains in rat spermatids.

Applications

Unspecified application

Species

Unspecified reactive species

Vasantha Shalini,Utsa Bhaduri,Anjhana C Ravikkumar,Anusha Rengarajan,Rao M R Satyanarayana

Molecular medicine reports 21:1089-1096 PubMed31894329

2020

Partial hepatectomy‑induced upregulation of SNHG12 promotes hepatocyte proliferation and liver regeneration.

Applications

Unspecified application

Species

Unspecified reactive species

Yan Zhu,Zhiquan Qiu,Yiliang Zhang,Bin Li,Xiaoqing Jiang

Journal of cellular physiology 235:2129-2138 PubMed31468537

2019

Upregulated KDM4B promotes prostate cancer cell proliferation by activating autophagy.

Applications

Unspecified application

Species

Unspecified reactive species

Jianjun Sha,Qing Han,Chenfei Chi,Yinjie Zhu,Jiahua Pan,Baijun Dong,Yiran Huang,Weiliang Xia,Wei Xue

Nature communications 10:2426 PubMed31160578

2019

The ORC ubiquitin ligase OBI1 promotes DNA replication origin firing.

Applications

Unspecified application

Species

Unspecified reactive species

Philippe Coulombe,Joelle Nassar,Isabelle Peiffer,Slavica Stanojcic,Yvon Sterkers,Axel Delamarre,Stéphane Bocquet,Marcel Méchali

Oncogene 38:3585-3597 PubMed30664687

2019

KLF9-dependent ROS regulate melanoma progression in stage-specific manner.

Applications

Unspecified application

Species

Unspecified reactive species

Archis Bagati,Sudha Moparthy,Emily E Fink,Anna Bianchi-Smiraglia,Dong Hyun Yun,Masha Kolesnikova,Olga O Udartseva,David W Wolff,Matthew V Roll,Brittany C Lipchick,Zhannan Han,Nadezhda I Kozlova,Peter Jowdy,Albert E Berman,Neil F Box,Cesar Rodriguez,Wiam Bshara,Eugene S Kandel,Maria S Soengas,Gyorgy Paragh,Mikhail A Nikiforov

Nature medicine 24:802-813 PubMed29785027

2018

Targeting G-quadruplex DNA as cognitive function therapy for ATR-X syndrome.

Applications

Unspecified application

Species

Unspecified reactive species

Norifumi Shioda,Yasushi Yabuki,Kouya Yamaguchi,Misaki Onozato,Yue Li,Kenji Kurosawa,Hideyuki Tanabe,Nobuhiko Okamoto,Takumi Era,Hiroshi Sugiyama,Takahito Wada,Kohji Fukunaga

Clinical epigenetics 9:117 PubMed29075360

2017

Turnover of histones and histone variants in postnatal rat brain: effects of alcohol exposure.

Applications

Unspecified application

Species

Unspecified reactive species

Nadia Rachdaoui,Ling Li,Belinda Willard,Takhar Kasumov,Stephen Previs,Dipak Sarkar
View all publications

Product promise

We are committed to supporting your work with high-quality reagents, and we're here for you every step of the way. In the unlikely event that one of our products does not perform as expected, you're protected by our Product Promise.
For full details, please see our Terms & Conditions

Please note: All products are 'FOR RESEARCH USE ONLY. NOT FOR USE IN DIAGNOSTIC OR THERAPEUTIC PROCEDURES'.

For licensing inquiries, please contact partnerships@abcam.com