JavaScript is disabled in your browser. Please enable JavaScript to view this website.
AB208690

Anti-Histone H3.3 antibody [EPR17899] - BSA and Azide free

4

(2 Reviews)

|

(2 Publications)

Rabbit Recombinant Monoclonal H3 antibody. Carrier free. Suitable for ChIP, Dot, WB, ICC/IF, ChIP-seq, IHC-P and reacts with Human, Mouse, Rat samples. Cited in 2 publications.

View Alternative Names

H3.3A, H3F3, H3F3A, PP781, H3-3B, H3.3B, H3F3B, H3-3A, Histone H3.3

7 Images
Immunohistochemistry (Formalin/PFA-fixed paraffin-embedded sections) - Anti-Histone H3.3 antibody [EPR17899] - BSA and Azide free (AB208690)
  • IHC-P

Supplier Data

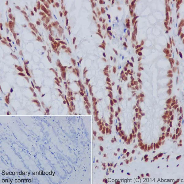
Immunohistochemistry (Formalin/PFA-fixed paraffin-embedded sections) - Anti-Histone H3.3 antibody [EPR17899] - BSA and Azide free (AB208690)

Immunohistochemical analysis of paraffin-embedded Human colon tissue labeling Histone H3.3 with ab176840 at 1/1000 dilution, followed by Goat Anti-Rabbit IgG H&L (HRP) (ab97051) secondary antibody at 1/500 dilution. Nucleus staining on Human colon tissue is observed. Counter stained with Hematoxylin.

Secondary antibody only control : Used PBS instead of primary antibody, secondary antibody is Goat Anti-Rabbit IgG H&L (HRP) (ab97051) at 1/500 dilution.

This data was developed using the same antibody clone in a different buffer formulation containing PBS, BSA, glycerol, and sodium azide (ab176840).

Perform heat mediated antigen retrieval with Tris/EDTA buffer pH 9.0 before commencing with IHC staining protocol.

Immunocytochemistry/ Immunofluorescence - Anti-Histone H3.3 antibody [EPR17899] - BSA and Azide free (AB208690)
  • ICC/IF

Supplier Data

Immunocytochemistry/ Immunofluorescence - Anti-Histone H3.3 antibody [EPR17899] - BSA and Azide free (AB208690)

Immunofluorescent analysis of 4% paraformaldehyde-fixed, 0.1% Triton X-100 permeabilized HeLa (Human epithelial cells from cervix adenocarcinoma) cells labeling Histone H3.3 with ab176840 at 1/1000 dilution, followed by Goat anti-rabbit IgG (Alexa Fluor® 488) (ab150077) secondary antibody at 1/500 dilution (green). Confocal image showing nuclear staining on HeLa cell line. The nuclear counter stain is DAPI (blue). Tubulin is detected with ab7291 (anti-Tubulin mouse mAb) at 1/1000 dilution and ab150120 (AlexaFluor®594 Goat anti-Mouse secondary) at 1/500 dilution (red).

The negative controls are as follows :
-ve control 1 : ab176840 at 1/1000 dilution followed by ab150120 (AlexaFluor®594 Goat anti-Mouse secondary) at 1/500 dilution.
-ve control 2 : ab7291 (anti-Tubulin mouse mAb) at 1/1000 dilution followed by ab150077 (Alexa Fluor®488 Goat Anti-Rabbit IgG H&L) at 1/500 dilution.

This data was developed using the same antibody clone in a different buffer formulation containing PBS, BSA, glycerol, and sodium azide (ab176840).

ChIP-sequencing - Anti-Histone H3.3 antibody [EPR17899] - BSA and Azide free (AB208690)
  • ChIP-seq

Supplier Data

ChIP-sequencing - Anti-Histone H3.3 antibody [EPR17899] - BSA and Azide free (AB208690)

This data was developed using the same antibody clone in a different buffer formulation (ab176840). Chromatin was prepared from HeLa cells. Cells were fixed with 1% formaldehyde for 10 minutes. ChIP was performed with 30 μg of chromatin and 4 μg of Anti-Histone H3.3 antibody [EPR17899] - ChIP Grade (ab176840). ChIP DNA was sequenced on the Illumina NextSeq 500 to a depth of 30 million reads. ChIP-Seq validation performed by Active Motif, Carlsbad, CA. Additional screenshots of mapped reads can be downloaded here.

ChIP - Anti-Histone H3.3 antibody [EPR17899] - BSA and Azide free (AB208690)
  • ChIP

Supplier Data

ChIP - Anti-Histone H3.3 antibody [EPR17899] - BSA and Azide free (AB208690)

Chromatin was prepared from HeLa (Human epithelial cells from cervix adenocarcinoma) cells according to the Abcam X-ChIP protocol. Cells were fixed with formaldehyde for 10 minutes. The ChIP was performed with 25µg of chromatin, 2µg of ab176840 (blue), and 20µl of Anti rabbit IgG sepharose beads. 2μg of rabbit normal IgG was added to the beads control (yellow). The immunoprecipitated DNA was quantified by real time PCR (Sybr green approach).This data was developed using the same antibody clone in a different buffer formulation containing PBS, BSA, glycerol, and sodium azide (ab176840).

Immunohistochemistry (Formalin/PFA-fixed paraffin-embedded sections) - Anti-Histone H3.3 antibody [EPR17899] - BSA and Azide free (AB208690)
  • IHC-P

Supplier Data

Immunohistochemistry (Formalin/PFA-fixed paraffin-embedded sections) - Anti-Histone H3.3 antibody [EPR17899] - BSA and Azide free (AB208690)

Immunohistochemical analysis of paraffin-embedded rat colon tissue labeling Histone H3.3 with ab176840 at 1/1000 dilution, followed by Goat Anti-Rabbit IgG H&L (HRP) (ab97051) secondary antibody at 1/500 dilution. Nucleus staining on Rat colon tissue is observed. Counter stained with Hematoxylin.

Secondary antibody only control : Used PBS instead of primary antibody, secondary antibody is Goat Anti-Rabbit IgG H&L (HRP) (ab97051) at 1/500 dilution.

This data was developed using the same antibody clone in a different buffer formulation containing PBS, BSA, glycerol, and sodium azide (ab176840).

Perform heat mediated antigen retrieval with Tris/EDTA buffer pH 9.0 before commencing with IHC staining protocol.

Immunohistochemistry (Formalin/PFA-fixed paraffin-embedded sections) - Anti-Histone H3.3 antibody [EPR17899] - BSA and Azide free (AB208690)
  • IHC-P

Supplier Data

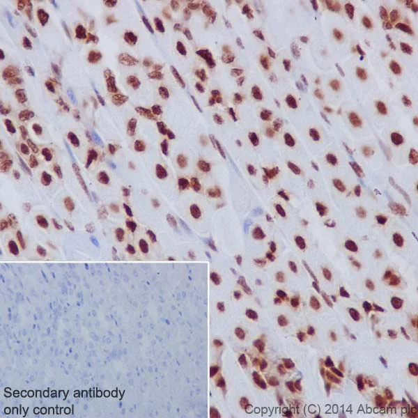
Immunohistochemistry (Formalin/PFA-fixed paraffin-embedded sections) - Anti-Histone H3.3 antibody [EPR17899] - BSA and Azide free (AB208690)

Immunohistochemical analysis of paraffin-embedded Mouse stomach tissue labeling Histone H3.3 with ab176840 at 1/1000 dilution, followed by Goat Anti-Rabbit IgG H&L (HRP) (ab97051) secondary antibody at 1/500 dilution. Nucleus staining on mouse stomach tissue is observed. Counter stained with Hematoxylin.

Secondary antibody only control : Used PBS instead of primary antibody, secondary antibody is Goat Anti-Rabbit IgG H&L (HRP) (ab97051) at 1/500 dilution.

This data was developed using the same antibody clone in a different buffer formulation containing PBS, BSA, glycerol, and sodium azide (ab176840).

Perform heat mediated antigen retrieval with Tris/EDTA buffer pH 9.0 before commencing with IHC staining protocol.

Dot Blot - Anti-Histone H3.3 antibody [EPR17899] - BSA and Azide free (AB208690)
  • Dot

Supplier Data

Dot Blot - Anti-Histone H3.3 antibody [EPR17899] - BSA and Azide free (AB208690)

Dot blot analysis of Histone H3.3 peptide (Lane 1), and Histone H3.1 peptide (Lane 2), labeled using ab176840 at 1/1000 dilution, followed by Goat Anti-Rabbit IgG, (H+L), Peroxidase conjugated secondary antibody at 1/1000 dilution.

Blocking/Dilution buffer : 5% NFDM/TBST.

This data was developed using the same antibody clone in a different buffer formulation containing PBS, BSA, glycerol, and sodium azide (ab176840).

Key facts

Host species

Rabbit

Clonality

Monoclonal

Clone number

EPR17899

Isotype

IgG

Carrier free

Yes

Reacts with

Mouse, Rat, Human

Applications

IHC-P, ChIP-seq, ChIP, WB, Dot, ICC/IF

applications

Immunogen

The exact immunogen used to generate this antibody is proprietary information.

Specificity

The immunogen sequence used for this antibody is 100% identical to the protein sequence shown for H3.X and H3.Y in Szenker et al., 2011 (PubMed ID 21263457). These H3.X and H3.Y protein sequences have not been reviewed by UniProt. The immunogen sequense is also 100% homologous to Histone H3.6. For further information on this antibody, please contact our technical support team.

Reactivity data

{ "title": "Reactivity Data", "filters": { "stats": ["", "Species", "Dilution Info", "Notes"], "tabs": { "all-applications": {"fullname" : "All Applications", "shortname": "All Applications"}, "ChIP" : {"fullname" : "ChIP", "shortname":"ChIP"}, "Dot" : {"fullname" : "Dot Blot", "shortname":"Dot"}, "WB" : {"fullname" : "Western blot", "shortname":"WB"}, "ICCIF" : {"fullname" : "Immunocytochemistry/ Immunofluorescence", "shortname":"ICC/IF"}, "ChIPseq" : {"fullname" : "ChIP-sequencing", "shortname":"ChIP-seq"}, "IHCP" : {"fullname" : "Immunohistochemistry (Formalin/PFA-fixed paraffin-embedded sections)", "shortname":"IHC-P"} }, "product-promise": { "all": "all", "testedAndGuaranteed": "tested", "guaranteed": "expected", "predicted": "predicted", "notRecommended": "not-recommended" } }, "values": { "Human": { "ChIP-species-checked": "testedAndGuaranteed", "ChIP-species-dilution-info": "", "ChIP-species-notes": "<p></p>", "Dot-species-checked": "guaranteed", "Dot-species-dilution-info": "", "Dot-species-notes": "", "WB-species-checked": "guaranteed", "WB-species-dilution-info": "", "WB-species-notes": "<p></p>", "ICCIF-species-checked": "testedAndGuaranteed", "ICCIF-species-dilution-info": "", "ICCIF-species-notes": "<p></p>", "ChIPseq-species-checked": "testedAndGuaranteed", "ChIPseq-species-dilution-info": "4 µg for 30 µg chromatin", "ChIPseq-species-notes": "<p></p>", "IHCP-species-checked": "guaranteed", "IHCP-species-dilution-info": "", "IHCP-species-notes": "" }, "Mouse": { "ChIP-species-checked": "guaranteed", "ChIP-species-dilution-info": "", "ChIP-species-notes": "", "Dot-species-checked": "testedAndGuaranteed", "Dot-species-dilution-info": "", "Dot-species-notes": "<p></p>", "WB-species-checked": "guaranteed", "WB-species-dilution-info": "", "WB-species-notes": "<p></p>", "ICCIF-species-checked": "guaranteed", "ICCIF-species-dilution-info": "", "ICCIF-species-notes": "", "ChIPseq-species-checked": "guaranteed", "ChIPseq-species-dilution-info": "", "ChIPseq-species-notes": "", "IHCP-species-checked": "guaranteed", "IHCP-species-dilution-info": "", "IHCP-species-notes": "" }, "Rat": { "ChIP-species-checked": "guaranteed", "ChIP-species-dilution-info": "", "ChIP-species-notes": "", "Dot-species-checked": "guaranteed", "Dot-species-dilution-info": "", "Dot-species-notes": "", "WB-species-checked": "guaranteed", "WB-species-dilution-info": "", "WB-species-notes": "<p></p>", "ICCIF-species-checked": "guaranteed", "ICCIF-species-dilution-info": "", "ICCIF-species-notes": "", "ChIPseq-species-checked": "guaranteed", "ChIPseq-species-dilution-info": "", "ChIPseq-species-notes": "", "IHCP-species-checked": "testedAndGuaranteed", "IHCP-species-dilution-info": "", "IHCP-species-notes": "<p></p>" } } }

Product details

ab208690 is the carrier-free version of ab176840.

Patented technology
Our RabMAb® technology is a patented hybridoma-based technology for making rabbit monoclonal antibodies. For details on our patents, please refer to RabMAb® patents.

What are the advantages of a recombinant monoclonal antibody?
This product is a recombinant monoclonal antibody, which offers several advantages including:

  • - High batch-to-batch consistency and reproducibility
  • - Improved sensitivity and specificity
  • - Long-term security of supply
  • - Animal-free batch production

For more information, read more on recombinant antibodies.

Conjugation ready
Our carrier-free antibodies are typically supplied in a PBS-only formulation, purified and free of BSA, sodium azide and glycerol. This conjugation-ready format is designed for use with fluorochromes, metal isotopes, oligonucleotides, and enzymes, which makes them ideal for antibody labelling, functional and cell-based assays, flow-based assays (e.g. mass cytometry) and Multiplex Imaging applications.

Use our conjugation kits for antibody conjugates that are ready-to-use in as little as 20 minutes with 1 minute hands-on-time and 100% antibody recovery: available for fluorescent dyes, HRP, biotin and gold.

Compatibility
This product is compatible with the Maxpar® Antibody Labeling Kit from Fluidigm, without the need for antibody preparation. Maxpar® is a trademark of Fluidigm Canada Inc.

Properties and storage information

Form
Liquid
Purification technique
Affinity purification Protein A
Storage buffer
pH: 7.2 - 7.4 Constituents: PBS
Shipped at conditions
Blue Ice
Appropriate short-term storage conditions
+4°C
Appropriate long-term storage conditions
+4°C
Storage information
Do Not Freeze

Product protocols

For this product, it's our understanding that no specific protocols are required. You can visit:

Target data

Variant histone H3 which replaces conventional H3 in a wide range of nucleosomes in active genes. Constitutes the predominant form of histone H3 in non-dividing cells and is incorporated into chromatin independently of DNA synthesis. Deposited at sites of nucleosomal displacement throughout transcribed genes, suggesting that it represents an epigenetic imprint of transcriptionally active chromatin. Nucleosomes wrap and compact DNA into chromatin, limiting DNA accessibility to the cellular machineries which require DNA as a template. Histones thereby play a central role in transcription regulation, DNA repair, DNA replication and chromosomal stability. DNA accessibility is regulated via a complex set of post-translational modifications of histones, also called histone code, and nucleosome remodeling.
See full target information H3-3A

Publications (2)

Recent publications for all applications. Explore the full list and refine your search

Biology 14: PubMed40723426

2025

Exploring the Potential of Extracellular Vesicles from Atlantic Cod ( L.) Serum and Mucus for Wound Healing In Vitro.

Applications

Unspecified application

Species

Unspecified reactive species

Stefania D'Alessio,Igor Kraev,Bergljót Magnadóttir,Sigrun Lange

Nucleic acids research 51:1662-1673 PubMed36156096

2022

PRC2-independent actions of H3.3K27M in embryonic stem cell differentiation.

Applications

Unspecified application

Species

Unspecified reactive species

Lea R Z Cohen,Binyamin Kaffe,Eden Deri,Chen Leibson,Malka Nissim-Rafinia,Moria Maman,Nofar Harpaz,Guy Ron,Efrat Shema,Eran Meshorer
View all publications

Product promise

We are committed to supporting your work with high-quality reagents, and we're here for you every step of the way. In the unlikely event that one of our products does not perform as expected, you're protected by our Product Promise.
For full details, please see our Terms & Conditions

Please note: All products are 'FOR RESEARCH USE ONLY. NOT FOR USE IN DIAGNOSTIC OR THERAPEUTIC PROCEDURES'.

For licensing inquiries, please contact partnerships@abcam.com