JavaScript is disabled in your browser. Please enable JavaScript to view this website.
AB176840

Anti-Histone H3.3 antibody [EPR17899] - ChIP Grade

5

(2 Reviews)

|

(56 Publications)

Anti-Histone H3.3 antibody [EPR17899] - ChIP Grade (ab176840) is a rabbit monoclonal antibody detecting Histone H3.3 in Western Blot, IP, IHC-P, ICC/IF, ChIP, Dot Blot. Suitable for Human, Mouse, Rat.

- Biophysical QC for unrivalled batch-batch consistency
- Over 30 publications

View Alternative Names

H3.3A, H3F3, H3F3A, PP781, H3-3B, H3.3B, H3F3B, H3-3A, Histone H3.3

9 Images
Immunohistochemistry (Formalin/PFA-fixed paraffin-embedded sections) - Anti-Histone H3.3 antibody [EPR17899] - ChIP Grade (AB176840)
  • IHC-P

Supplier Data

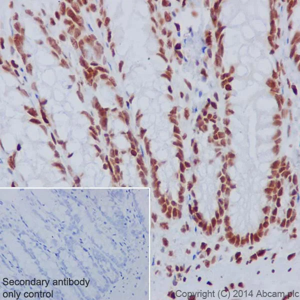
Immunohistochemistry (Formalin/PFA-fixed paraffin-embedded sections) - Anti-Histone H3.3 antibody [EPR17899] - ChIP Grade (AB176840)

Immunohistochemical analysis of paraffin-embedded Human colon tissue labeling Histone H3.3 with ab176840 at 1/1000 dilution, followed by Goat Anti-Rabbit IgG H&L (HRP) (ab97051) secondary antibody at 1/500 dilution. Nucleus staining on Human colon tissue is observed. Counter stained with Hematoxylin.

Secondary antibody only control : Used PBS instead of primary antibody, secondary antibody is Goat Anti-Rabbit IgG H&L (HRP) (ab97051) at 1/500 dilution.

Perform heat mediated antigen retrieval with Tris/EDTA buffer pH 9.0 before commencing with IHC staining protocol.

Immunocytochemistry/ Immunofluorescence - Anti-Histone H3.3 antibody [EPR17899] - ChIP Grade (AB176840)
  • ICC/IF

Supplier Data

Immunocytochemistry/ Immunofluorescence - Anti-Histone H3.3 antibody [EPR17899] - ChIP Grade (AB176840)

Immunofluorescent analysis of 4% paraformaldehyde-fixed, 0.1% Triton X-100 permeabilized HeLa (Human epithelial cells from cervix adenocarcinoma) cells labeling Histone H3.3 with ab176840 at 1/1000 dilution, followed by Goat anti-rabbit IgG (Alexa Fluor® 488) (ab150077) secondary antibody at 1/500 dilution (green). Confocal image showing nuclear staining on HeLa cell line. The nuclear counter stain is DAPI (blue). Tubulin is detected with ab7291 (anti-Tubulin mouse mAb) at 1/1000 dilution and ab150120 (AlexaFluor®594 Goat anti-Mouse secondary) at 1/500 dilution (red).

The negative controls are as follows :
-ve control 1 : ab176840 at 1/1000 dilution followed by ab150120 (AlexaFluor®594 Goat anti-Mouse secondary) at 1/500 dilution.
-ve control 2 : ab7291 (anti-Tubulin mouse mAb) at 1/1000 dilution followed by ab150077 (Alexa Fluor®488 Goat Anti-Rabbit IgG H&L) at 1/500 dilution.

ChIP-sequencing - Anti-Histone H3.3 antibody [EPR17899] - ChIP Grade (AB176840)
  • ChIP-seq

Supplier Data

ChIP-sequencing - Anti-Histone H3.3 antibody [EPR17899] - ChIP Grade (AB176840)

Chromatin was prepared from HeLa cells. Cells were fixed with 1% formaldehyde for 10 minutes. ChIP was performed with 30 μg of chromatin and 4 μg of Anti-Histone H3.3 antibody [EPR17899] - ChIP Grade (ab176840). ChIP DNA was sequenced on the Illumina NextSeq 500 to a depth of 30 million reads. ChIP-Seq validation performed by Active Motif, Carlsbad, CA. Additional screenshots of mapped reads can be downloaded here.

ChIP - Anti-Histone H3.3 antibody [EPR17899] - ChIP Grade (AB176840)
  • ChIP

Supplier Data

ChIP - Anti-Histone H3.3 antibody [EPR17899] - ChIP Grade (AB176840)

Chromatin was prepared from HeLa (Human epithelial cells from cervix adenocarcinoma) cells according to the Abcam X-ChIP protocol. Cells were fixed with formaldehyde for 10 minutes. The ChIP was performed with 25μg of chromatin, 2μg of ab176840 (blue), and 20μl of Anti rabbit IgG sepharose beads. 2μg of rabbit normal IgG was added to the beads control (yellow). The immunoprecipitated DNA was quantified by real time PCR (Sybr green approach).

Immunohistochemistry (Formalin/PFA-fixed paraffin-embedded sections) - Anti-Histone H3.3 antibody [EPR17899] - ChIP Grade (AB176840)
  • IHC-P

Supplier Data

Immunohistochemistry (Formalin/PFA-fixed paraffin-embedded sections) - Anti-Histone H3.3 antibody [EPR17899] - ChIP Grade (AB176840)

Immunohistochemical analysis of paraffin-embedded rat colon tissue labeling Histone H3.3 with ab176840 at 1/1000 dilution, followed by Goat Anti-Rabbit IgG H&L (HRP) (ab97051) secondary antibody at 1/500 dilution. Nucleus staining on Rat colon tissue is observed. Counter stained with Hematoxylin.

Secondary antibody only control : Used PBS instead of primary antibody, secondary antibody is Goat Anti-Rabbit IgG H&L (HRP) (ab97051) at 1/500 dilution.

Perform heat mediated antigen retrieval with Tris/EDTA buffer pH 9.0 before commencing with IHC staining protocol.

Immunohistochemistry (Formalin/PFA-fixed paraffin-embedded sections) - Anti-Histone H3.3 antibody [EPR17899] - ChIP Grade (AB176840)
  • IHC-P

Supplier Data

Immunohistochemistry (Formalin/PFA-fixed paraffin-embedded sections) - Anti-Histone H3.3 antibody [EPR17899] - ChIP Grade (AB176840)

Immunohistochemical analysis of paraffin-embedded Mouse stomach tissue labeling Histone H3.3 with ab176840 at 1/1000 dilution, followed by Goat Anti-Rabbit IgG H&L (HRP) (ab97051) secondary antibody at 1/500 dilution. Nucleus staining on mouse stomach tissue is observed. Counter stained with Hematoxylin.

Secondary antibody only control : Used PBS instead of primary antibody, secondary antibody is Goat Anti-Rabbit IgG H&L (HRP) (ab97051) at 1/500 dilution.

Perform heat mediated antigen retrieval with Tris/EDTA buffer pH 9.0 before commencing with IHC staining protocol.

Western blot - Anti-Histone H3.3 antibody [EPR17899] - ChIP Grade (AB176840)
  • WB

Supplier Data

Western blot - Anti-Histone H3.3 antibody [EPR17899] - ChIP Grade (AB176840)

Blocking/Dilution buffer : 5% NFDM/TBST.

All lanes:

Western blot - Anti-Histone H3.3 antibody [EPR17899] - ChIP Grade (ab176840) at 1/1000 dilution

Lane 1:

HeLa (Human epithelial cells from cervix adenocarcinoma) whole cell lysate at 10 µg

Lane 2:

NIH/3T3 (Mouse embyro fibroblast cells) whole cell lysate at 10 µg

Secondary

All lanes:

Goat Anti-Rabbit IgG, (H+L), Peroxidase conjugated at 1/1000 dilution

Predicted band size: 15 kDa,47 kDa,58 kDa

Observed band size: 15 kDa,59 kDa

false

Exposure time: 3min

Western blot - Anti-Histone H3.3 antibody [EPR17899] - ChIP Grade (AB176840)
  • WB

Supplier Data

Western blot - Anti-Histone H3.3 antibody [EPR17899] - ChIP Grade (AB176840)

Blocking experiment by pre-incubating Histone H3.3 peptide with the antibody in lanes 2 and 5 and Histone H3.1 peptide in lanes 3 and 6 to show the antibody specificity against Histone H3.3.

Blocking/Dilution buffer : 5% NFDM/TBST.

All lanes:

Western blot - Anti-Histone H3.3 antibody [EPR17899] - ChIP Grade (ab176840) at 1/1000 dilution

Lane 1:

HeLa (Human epithelial cells from cervix adenocarcinoma) whole cell lysate at 10 µg

Lane 2:

HeLa (Human epithelial cells from cervix adenocarcinoma) whole cell lysate at 10 µg with Histone H3.3 peptide

Lane 3:

HeLa (Human epithelial cells from cervix adenocarcinoma) whole cell lysate at 10 µg with Histone H3.1 peptide

Lane 4:

NIH/3T3 (Mouse embyro fibroblast cells) whole cell lysate at 10 µg

Lane 5:

NIH/3T3 (Mouse embyro fibroblast cells) whole cell lysate at 10 µg with Histone H3.3 peptide

Lane 6:

NIH/3T3 (Mouse embyro fibroblast cells) whole cell lysate at 10 µg with Histone H3.1 peptide

Secondary

All lanes:

Goat Anti-Rabbit IgG, (H+L), Peroxidase conjugated at 1/1000 dilution

Predicted band size: 15 kDa

Observed band size: 15 kDa

false

Exposure time: 3min

Dot Blot - Anti-Histone H3.3 antibody [EPR17899] - ChIP Grade (AB176840)
  • Dot

Supplier Data

Dot Blot - Anti-Histone H3.3 antibody [EPR17899] - ChIP Grade (AB176840)

Dot blot analysis of Histone H3.3 peptide (Lane 1), and Histone H3.1 peptide (Lane 2), labeled using ab176840 at 1/1000 dilution, followed by Goat Anti-Rabbit IgG, (H+L), Peroxidase conjugated secondary antibody at 1/1000 dilution.

Blocking/Dilution buffer : 5% NFDM/TBST.

Key facts

Host species

Rabbit

Clonality

Monoclonal

Clone number

EPR17899

Isotype

IgG

Carrier free

No

Reacts with

Mouse, Rat, Human

Applications

WB, Dot, ChIP-seq, ChIP, ICC/IF, IHC-P

applications

Immunogen

The exact immunogen used to generate this antibody is proprietary information.

Specificity

The immunogen sequence used for this antibody is 100% identical to the protein sequence shown for H3.X and H3.Y in Szenker et al., 2011 (PubMed ID 21263457). These H3.X and H3.Y protein sequences have not been reviewed by UniProt. The immunogen sequense is also 100% homologous to Histone H3.6. For further information on this antibody, please contact our technical support team.

Reactivity data

{ "title": "Reactivity Data", "filters": { "stats": ["", "Species", "Dilution Info", "Notes"], "tabs": { "all-applications": {"fullname" : "All Applications", "shortname": "All Applications"}, "ChIP" : {"fullname" : "ChIP", "shortname":"ChIP"}, "Dot" : {"fullname" : "Dot Blot", "shortname":"Dot"}, "WB" : {"fullname" : "Western blot", "shortname":"WB"}, "ICCIF" : {"fullname" : "Immunocytochemistry/ Immunofluorescence", "shortname":"ICC/IF"}, "ChIPseq" : {"fullname" : "ChIP-sequencing", "shortname":"ChIP-seq"}, "IHCP" : {"fullname" : "Immunohistochemistry (Formalin/PFA-fixed paraffin-embedded sections)", "shortname":"IHC-P"} }, "product-promise": { "all": "all", "testedAndGuaranteed": "tested", "guaranteed": "expected", "predicted": "predicted", "notRecommended": "not-recommended" } }, "values": { "Human": { "ChIP-species-checked": "testedAndGuaranteed", "ChIP-species-dilution-info": "2 µg for 25 µg chromatin", "ChIP-species-notes": "<p></p>", "Dot-species-checked": "guaranteed", "Dot-species-dilution-info": "", "Dot-species-notes": "", "WB-species-checked": "testedAndGuaranteed", "WB-species-dilution-info": "1/1000", "WB-species-notes": "<p></p>", "ICCIF-species-checked": "testedAndGuaranteed", "ICCIF-species-dilution-info": "1/1000", "ICCIF-species-notes": "<p></p>", "ChIPseq-species-checked": "testedAndGuaranteed", "ChIPseq-species-dilution-info": "4 µg for 30 µg chromatin", "ChIPseq-species-notes": "<p></p>", "IHCP-species-checked": "testedAndGuaranteed", "IHCP-species-dilution-info": "1/1000", "IHCP-species-notes": "<p></p> Perform heat-mediated antigen retrieval with Tris/EDTA buffer pH 9.0 before commencing with IHC staining protocol." }, "Mouse": { "ChIP-species-checked": "guaranteed", "ChIP-species-dilution-info": "", "ChIP-species-notes": "", "Dot-species-checked": "testedAndGuaranteed", "Dot-species-dilution-info": "1/1000", "Dot-species-notes": "<p></p>", "WB-species-checked": "testedAndGuaranteed", "WB-species-dilution-info": "1/1000", "WB-species-notes": "<p></p>", "ICCIF-species-checked": "guaranteed", "ICCIF-species-dilution-info": "", "ICCIF-species-notes": "", "ChIPseq-species-checked": "guaranteed", "ChIPseq-species-dilution-info": "", "ChIPseq-species-notes": "", "IHCP-species-checked": "testedAndGuaranteed", "IHCP-species-dilution-info": "1/1000", "IHCP-species-notes": "<p></p> Perform heat-mediated antigen retrieval with Tris/EDTA buffer pH 9.0 before commencing with IHC staining protocol." }, "Rat": { "ChIP-species-checked": "guaranteed", "ChIP-species-dilution-info": "", "ChIP-species-notes": "", "Dot-species-checked": "guaranteed", "Dot-species-dilution-info": "", "Dot-species-notes": "", "WB-species-checked": "guaranteed", "WB-species-dilution-info": "", "WB-species-notes": "", "ICCIF-species-checked": "guaranteed", "ICCIF-species-dilution-info": "", "ICCIF-species-notes": "", "ChIPseq-species-checked": "guaranteed", "ChIPseq-species-dilution-info": "", "ChIPseq-species-notes": "", "IHCP-species-checked": "testedAndGuaranteed", "IHCP-species-dilution-info": "1/1000", "IHCP-species-notes": "<p></p> Perform heat-mediated antigen retrieval with Tris/EDTA buffer pH 9.0 before commencing with IHC staining protocol." } } }

Product details

What is this antibody validated in?
Anti-Histone H3.3 antibody [EPR17899] - ChIP Grade (ab176840) is a rabbit recombinant monoclonal antibody and is validated for use in Western Blot (WB), Immunoprecipitation (IP), Immunohistochemistry (IHC-P), Immunocytochemistry/immunofluorescence (ICC/IF), ChIP, Dot Blot in Human, Mouse, Rat samples.

What is the molecular weight of Histone H3.3?
Anti-Histone H3.3 [EPR17899] - ChIP Grade (ab176840) specifically detects a band for Histone H3.3 (UniProt: P84243) at a molecular weight of 15kDa.

Trusted by the scientific community
Anti-Histone H3.3 [EPR17899] - ChIP Grade (ab176840) was first used in a scientific publication in 2015 and has been cited over 30 times in peer-reviewed journals.

Trial sizes available!
Test your antibody or perform pre-screening before committing to a larger quantity. Sold in 10µl. Discover our selection of trial-size antibodies.

Other related products
We have a range of other formats of antibody clone [EPR17899] also available for your convenience: ab176840, Carrier free - ab208690, Alexa Fluor® 488 - ab313661, Alexa Fluor® 647 - ab313662

Patented technology
Our RabMAb® technology is a patented hybridoma-based technology for making rabbit monoclonal antibodies. For details on our patents, please refer to RabMAb® patents.

What are the advantages of a recombinant monoclonal antibody?
This product is a recombinant monoclonal antibody, which offers several advantages including:

  • - High batch-to-batch consistency and reproducibility
  • - Improved sensitivity and specificity
  • - Long-term security of supply
  • - Animal-free batch production

For more information, read more on recombinant antibodies.

Properties and storage information

Form
Liquid
Purification technique
Affinity purification Protein A
Storage buffer
Preservative: 0.01% Sodium azide Constituents: PBS, 40% Glycerol (glycerin, glycerine), 0.05% BSA
Shipped at conditions
Blue Ice
Appropriate short-term storage duration
1-2 weeks
Appropriate short-term storage conditions
+4°C
Appropriate long-term storage conditions
-20°C
Aliquoting information
Upon delivery aliquot
Storage information
Avoid freeze / thaw cycle

Product protocols

For this product, it's our understanding that no specific protocols are required. You can visit:

Target data

Variant histone H3 which replaces conventional H3 in a wide range of nucleosomes in active genes. Constitutes the predominant form of histone H3 in non-dividing cells and is incorporated into chromatin independently of DNA synthesis. Deposited at sites of nucleosomal displacement throughout transcribed genes, suggesting that it represents an epigenetic imprint of transcriptionally active chromatin. Nucleosomes wrap and compact DNA into chromatin, limiting DNA accessibility to the cellular machineries which require DNA as a template. Histones thereby play a central role in transcription regulation, DNA repair, DNA replication and chromosomal stability. DNA accessibility is regulated via a complex set of post-translational modifications of histones, also called histone code, and nucleosome remodeling.
See full target information H3-3A

Publications (56)

Recent publications for all applications. Explore the full list and refine your search

Laboratory animal research 41:25 PubMed40993770

2025

Phosphorylation-mimicking histone H3.3 rescues exercise-induced gene responses in an epigenetic aging model of mouse skeletal muscle.

Applications

Unspecified application

Species

Unspecified reactive species

Sho Maruyama,Fuminori Kawano

Nucleic acids research 53: PubMed40842241

2025

The p400 complex promotes HIV-1 latency by suppressing viral transcription and altering the host cell state.

Applications

Unspecified application

Species

Unspecified reactive species

Luisa P Mori,Chuan Li,Thomas Venables,Andrew T McAuley,Adam J Getzler,Qifan Wang,Shanel M Tsuda,Joseph A Jablonski,Matthew E Pipkin,Susana T Valente

Nucleic acids research 53: PubMed40744492

2025

SUMO operates from a unique long tandem repeat to keep innate immunity in check.

Applications

Unspecified application

Species

Unspecified reactive species

Amandine Goffeney,Ivo A Hendriks,Victoria Morel,Yann Loe-Mie,François Charon,Michael L Nielsen,Jack-Christophe Cossec,Daan Noordermeer,Jacob-Sebastian Seeler,Anne Dejean

Cell communication and signaling : CCS 23:321 PubMed40597225

2025

Senescence-associated alterations in histone H3 modifications, HP1 alpha levels and distribution, and in the transcriptome of vascular smooth muscle cells in different types of senescence.

Applications

Unspecified application

Species

Unspecified reactive species

Agnieszka Gadecka,Marta Koblowska,Helena Kossowska,Roksana Iwanicka-Nowicka,Dorota Janiszewska,Grażyna Mosieniak,Krzysztof Bojakowski,Krzysztof Goryca,Anna Bielak-Zmijewska

Physiological reports 13:e70317 PubMed40223401

2025

DNA hypermethylation preceded by H3K27 trimethylation is linked to downregulation of gene expression in disuse muscle atrophy in male mice.

Applications

Unspecified application

Species

Unspecified reactive species

Junya Shimizu,Fuminori Kawano

Research (Washington, D.C.) 8:0581 PubMed39850366

2025

Biosynthesis of Lysosomally Escaped Apoptotic Bodies Inhibits Inflammasome Synthesis in Macrophages.

Applications

Unspecified application

Species

Unspecified reactive species

Jiayi Mao,Wenzheng Xia,Yanglin Wu,Minxiong Li,Yun Zhao,Peisong Zhai,Yuguang Zhang,Tao Zan,Wenguo Cui,Xiaoming Sun

Cell reports 43:114964 PubMed39509271

2024

HIRA protects telomeres against R-loop-induced instability in ALT cancer cells.

Applications

Unspecified application

Species

Unspecified reactive species

Michelle Lee Lynskey,Emily E Brown,Ragini Bhargava,Anne R Wondisford,Jean-Baptiste Ouriou,Oliver Freund,Ray W Bowman,Baylee A Smith,Santana M Lardo,Sandra Schamus-Hayes,Sarah J Hainer,Roderick J O'Sullivan

PLoS pathogens 20:e1012621 PubMed39374265

2024

The HSV-1 encoded CCCTC-binding factor, CTRL2, impacts the nature of viral chromatin during HSV-1 lytic infection.

Applications

Unspecified application

Species

Unspecified reactive species

Pankaj Singh,Liqian Zhu,Mason A Shipley,Ziyun A Ye,Donna M Neumann

The journal of physiological sciences : JPS 74:41 PubMed39277714

2024

Age-related histone H3.3 accumulation associates with a repressive chromatin in mouse tibialis anterior muscle.

Applications

Unspecified application

Species

Unspecified reactive species

Ryo Masuzawa,Hemilce Karina Rosa Flete,Junya Shimizu,Fuminori Kawano

PLoS pathogens 20:e1012516 PubMed39236084

2024

ATRX restricts Human Cytomegalovirus (HCMV) viral DNA replication through heterochromatinization and minimizes unpackaged viral genomes.

Applications

Unspecified application

Species

Unspecified reactive species

Ryan M Walter,Kinjal Majumder,Robert F Kalejta
View all publications

Product promise

We are committed to supporting your work with high-quality reagents, and we're here for you every step of the way. In the unlikely event that one of our products does not perform as expected, you're protected by our Product Promise.
For full details, please see our Terms & Conditions

Please note: All products are 'FOR RESEARCH USE ONLY. NOT FOR USE IN DIAGNOSTIC OR THERAPEUTIC PROCEDURES'.

For licensing inquiries, please contact partnerships@abcam.com