JavaScript is disabled in your browser. Please enable JavaScript to view this website.
AB254402

Anti-Histone H3.3 (mutated G34R) antibody [EPR23519-91] - ChIP Grade

0

(1 Review)

|

(2 Publications)

Anti-Histone H3.3 (mutated G34R) antibody [EPR23519-91] - ChIP Grade (ab254402) is a rabbit monoclonal antibody detecting Histone H3.3 in Western Blot, Flow Cytometry (Intra), IP, IHC-P, ChIP, Dot Blot. Suitable for Human.

- Biophysical QC for unrivalled batch-batch consistency

View Alternative Names

H3.3A, H3F3, H3F3A, PP781, H3-3B, H3.3B, H3F3B, H3-3A, Histone H3.3, H3G34R, H3.3G34R, H3G34

7 Images
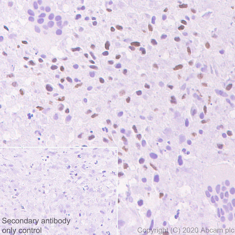
Immunohistochemistry (Formalin/PFA-fixed paraffin-embedded sections) - Anti-Histone H3.3 (mutated G34R) antibody [EPR23519-91] - ChIP Grade (AB254402)
  • IHC-P

Unknown

Immunohistochemistry (Formalin/PFA-fixed paraffin-embedded sections) - Anti-Histone H3.3 (mutated G34R) antibody [EPR23519-91] - ChIP Grade (AB254402)

Immunohistochemical analysis of paraffin-embedded human giant cell tumor of bone tissue labeling Histone H3.3 (mutated G34 R) with ab254402 at 1/2000 dilution followed by a ready to use Rabbit specific IHC polymer detection kit HRP/DAB (ab209101). Nuclear staining on human giant cell tumor of bone (PMID : 29241742). The section was incubated with ab254402 for 30 mins at room temperature. The immunostaining was performed on a Leica Biosystems BOND® RX instrument. Counterstained with Hematoxylin.

Secondary antibody only control : Secondary antibody is a ready to use Rabbit specific IHC polymer detection kit HRP/DAB (ab209101).

Heat mediated antigen retrieval with Citrate buffer (pH 6.0, epitope retrieval solution 1) for 20 mins

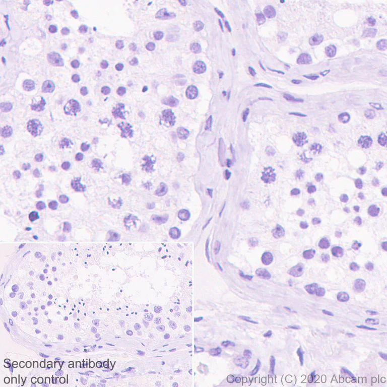
Immunohistochemistry (Formalin/PFA-fixed paraffin-embedded sections) - Anti-Histone H3.3 (mutated G34R) antibody [EPR23519-91] - ChIP Grade (AB254402)
  • IHC-P

Unknown

Immunohistochemistry (Formalin/PFA-fixed paraffin-embedded sections) - Anti-Histone H3.3 (mutated G34R) antibody [EPR23519-91] - ChIP Grade (AB254402)

Immunohistochemical analysis of paraffin-embedded human testis tissue labeling Histone H3.3 (mutated G34 R) with ab254402 at 1/2000 dilution followed by a ready to use Rabbit specific IHC polymer detection kit HRP/DAB (ab209101). Negative control : no staining on human testis. The section was incubated with ab254402 for 30 mins at room temperature. The immunostaining was performed on a Leica Biosystems BOND® RX instrument. Counterstained with Hematoxylin.

Secondary antibody only control : Secondary antibody is a ready to use Rabbit specific IHC polymer detection kit HRP/DAB (ab209101).

Heat mediated antigen retrieval with Tris-EDTA buffer (pH 9.0, epitope retrieval solution2) for 20 mins.

Flow Cytometry (Intracellular) - Anti-Histone H3.3 (mutated G34R) antibody [EPR23519-91] - ChIP Grade (AB254402)
  • Flow Cyt (Intra)

Unknown

Flow Cytometry (Intracellular) - Anti-Histone H3.3 (mutated G34R) antibody [EPR23519-91] - ChIP Grade (AB254402)

Intracellular flow cytometric analysis of 4% paraformaldehyde fixed, 90% methanol permeabilized HEK-293T (Human embryonic kidney epithelial cell) (transfected with myc-tagged Histone H3.3 WT expression vector) (Left) or myc-tagged Histone H3.3 G34R expression vector (Right) cells labelling Histone H3.3 (mutated G34 R) with ab254402 at 1/5000 dilution (0.01ug) (Both panels). A Goat anti rabbit IgG (Alexa Fluor® 488, ab150077) at 1/2000 dilution was used as the secondary antibody.

ChIP - Anti-Histone H3.3 (mutated G34R) antibody [EPR23519-91] - ChIP Grade (AB254402)
  • ChIP

Lab

ChIP - Anti-Histone H3.3 (mutated G34R) antibody [EPR23519-91] - ChIP Grade (AB254402)

Chromatin was prepared from HEK-293T transfected with Histone H3.3(mutated G34 R) and HEK-293T transfacted with Histone H3.3(WT) cells according to the Abcam X-ChIP protocol. Cells were fixed with formaldehyde for 10min.
The ChIP was performed with 25 μg of chromatin, 2 μg of ab254402 (red), or 2 μg of rabbit normal IgG ab172730 (gray) and 25 μl of Protein A/G Dynabeads. The immunoprecipitated DNA was quantified by real time PCR (Taqman approach for active and inactive loci).

Immunoprecipitation - Anti-Histone H3.3 (mutated G34R) antibody [EPR23519-91] - ChIP Grade (AB254402)
  • IP

Unknown

Immunoprecipitation - Anti-Histone H3.3 (mutated G34R) antibody [EPR23519-91] - ChIP Grade (AB254402)

Histone H3.3 (mutated G34 R) was immunoprecipitated from 0.35 mg HEK-293T (human embryonic kidney) (transfected with Histone H3.3 G34R expression vector containing a myc-His-tag®) whole cell lysate with ab254402 at 1/30 dilution (2ug in 0.35mg lysates). Western blot was performed on the immunoprecipitate using ab254402 at 1/1000 dilution. VeriBlot for IP Detection Reagent (HRP)(ab131366) was used at 1/5000 dilution.

Lane 1 : HEK-293T (human embryonic kidney) transfected with Histone H3.3 G34R expression vector containing a myc-His-tag®, whole cell lysate 10 ug

Lane 2 : ab254402 IP in HEK-293T transfected with Histone H3.3 G34R expression vector containing a myc-His-tag® whole cell lysate

Lane 3 : Rabbit monoclonal IgG (ab172730) instead of ab254402 in HEK-293T transfected with Histone H3.3 G34R expression vector containing a myc-His-tag® whole cell lysate

Blocking and dilution buffer and concentration : 5% NFDM/TBST.

Exposure time : 41 seconds.

All lanes:

Immunoprecipitation - Anti-Histone H3.3 (mutated G34R) antibody [EPR23519-91] - ChIP Grade (ab254402)

Predicted band size: 15 kDa

Observed band size: 20 kDa

false

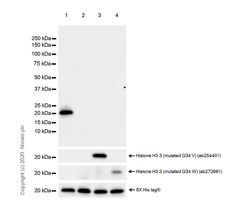
Western blot - Anti-Histone H3.3 (mutated G34R) antibody [EPR23519-91] - ChIP Grade (AB254402)
  • WB

Lab

Western blot - Anti-Histone H3.3 (mutated G34R) antibody [EPR23519-91] - ChIP Grade (AB254402)

Blocking and diluting buffer and concentration : 5% NFDM/TBST.

Exposure time : 26 seconds.

All lanes:

Western blot - Anti-Histone H3.3 (mutated G34R) antibody [EPR23519-91] - ChIP Grade (ab254402) at 1/1000 dilution

Lane 1:

HEK-293T (human embryonic kidney) transfected with Histone H3.3 G34R expression vector containing a myc-His-tag®, whole cell lysate at 20 µg

Lane 2:

HEK-293T transfected with Histone H3.3 (WT) expression vector containing a myc-His-tag®, whole cell lysate at 20 µg

Lane 3:

HEK-293T (human embryonic kidney) transfected with Histone H3.3 G34V expression vector containing a myc-His-tag®, whole cell lysate at 20 µg

Lane 4:

HEK-293T (human embryonic kidney) transfected with Histone H3.3 G34W expression vector containing a myc-His-tag®, whole cell lysate at 20 µg

Secondary

All lanes:

Western blot - Goat Anti-Rabbit IgG H&L (HRP) (<a href='/en-us/products/secondary-antibodies/goat-rabbit-igg-h-l-hrp-ab97051'>ab97051</a>) at 1/100000 dilution

Predicted band size: 15 kDa

Observed band size: 20 kDa

false

Dot Blot - Anti-Histone H3.3 (mutated G34R) antibody [EPR23519-91] - ChIP Grade (AB254402)
  • Dot

Lab

Dot Blot - Anti-Histone H3.3 (mutated G34R) antibody [EPR23519-91] - ChIP Grade (AB254402)

Dot blot analysis of Histone H3.3 (mutated G34 R) labeled with ab254402 at 1/1000 dilution.

Lane 1 : Histone H3.3 H3G34R peptide (aa28-40).
Lane 2 : Histone H3.3 H3G34R peptide (aa26-36).
Lane 3 : Histone H3.3 WT peptide (aa26-40).

Goat Anti-Rabbit IgG H&L (HRP) (ab97051) at 1/100000 dilution was used as secondary antibody.

Blocking and dilution buffer : 5% NFDM/TBST.

Exposure time : 3 minutes.

  • Carrier free

    Anti-Histone H3.3 (mutated G34R) antibody [EPR23519-91] - ChIP Grade - BSA and Azide free

Key facts

Host species

Rabbit

Clonality

Monoclonal

Clone number

EPR23519-91

Isotype

IgG

Carrier free

No

Reacts with

Human

Applications

WB, IP, Dot, ChIP, IHC-P, Flow Cyt (Intra)

applications

Immunogen

The exact immunogen used to generate this antibody is proprietary information.

Reactivity data

{ "title": "Reactivity Data", "filters": { "stats": ["", "Species", "Dilution Info", "Notes"], "tabs": { "all-applications": {"fullname" : "All Applications", "shortname": "All Applications"}, "IHCP" : {"fullname" : "Immunohistochemistry (Formalin/PFA-fixed paraffin-embedded sections)", "shortname":"IHC-P"}, "ICCIF" : {"fullname" : "Immunocytochemistry/ Immunofluorescence", "shortname":"ICC/IF"}, "IP" : {"fullname" : "Immunoprecipitation", "shortname":"IP"}, "ChIP" : {"fullname" : "ChIP", "shortname":"ChIP"}, "Dot" : {"fullname" : "Dot Blot", "shortname":"Dot"}, "WB" : {"fullname" : "Western blot", "shortname":"WB"}, "FlowCytIntra" : {"fullname" : "Flow Cytometry (Intracellular)", "shortname":"Flow Cyt (Intra)"} }, "product-promise": { "all": "all", "testedAndGuaranteed": "tested", "guaranteed": "expected", "predicted": "predicted", "notRecommended": "not-recommended" } }, "values": { "Human": { "IHCP-species-checked": "testedAndGuaranteed", "IHCP-species-dilution-info": "1/2000", "IHCP-species-notes": "<p></p> Perform heat-mediated antigen retrieval with citrate buffer pH 6 before commencing with IHC staining protocol.", "ICCIF-species-checked": "notRecommended", "ICCIF-species-dilution-info": "", "ICCIF-species-notes": "<p></p>", "IP-species-checked": "guaranteed", "IP-species-dilution-info": "", "IP-species-notes": "", "ChIP-species-checked": "guaranteed", "ChIP-species-dilution-info": "", "ChIP-species-notes": "", "Dot-species-checked": "guaranteed", "Dot-species-dilution-info": "", "Dot-species-notes": "", "WB-species-checked": "guaranteed", "WB-species-dilution-info": "", "WB-species-notes": "", "FlowCytIntra-species-checked": "guaranteed", "FlowCytIntra-species-dilution-info": "", "FlowCytIntra-species-notes": "" }, "Synthetic peptide": { "IHCP-species-checked": "notRecommended", "IHCP-species-dilution-info": "", "IHCP-species-notes": "", "ICCIF-species-checked": "notRecommended", "ICCIF-species-dilution-info": "", "ICCIF-species-notes": "", "IP-species-checked": "notRecommended", "IP-species-dilution-info": "", "IP-species-notes": "", "ChIP-species-checked": "notRecommended", "ChIP-species-dilution-info": "", "ChIP-species-notes": "", "Dot-species-checked": "testedAndGuaranteed", "Dot-species-dilution-info": "1/1000", "Dot-species-notes": "<p></p>", "WB-species-checked": "notRecommended", "WB-species-dilution-info": "", "WB-species-notes": "", "FlowCytIntra-species-checked": "notRecommended", "FlowCytIntra-species-dilution-info": "", "FlowCytIntra-species-notes": "" }, "Transfected cell line": { "IHCP-species-checked": "notRecommended", "IHCP-species-dilution-info": "", "IHCP-species-notes": "", "ICCIF-species-checked": "notRecommended", "ICCIF-species-dilution-info": "", "ICCIF-species-notes": "", "IP-species-checked": "notRecommended", "IP-species-dilution-info": "", "IP-species-notes": "", "ChIP-species-checked": "testedAndGuaranteed", "ChIP-species-dilution-info": "2 µg for 25 µg chromatin", "ChIP-species-notes": "<p></p>", "Dot-species-checked": "notRecommended", "Dot-species-dilution-info": "", "Dot-species-notes": "", "WB-species-checked": "notRecommended", "WB-species-dilution-info": "", "WB-species-notes": "", "FlowCytIntra-species-checked": "testedAndGuaranteed", "FlowCytIntra-species-dilution-info": "1/5000", "FlowCytIntra-species-notes": "<p></p>" }, "Transfected cell lysate": { "IHCP-species-checked": "notRecommended", "IHCP-species-dilution-info": "", "IHCP-species-notes": "", "ICCIF-species-checked": "notRecommended", "ICCIF-species-dilution-info": "", "ICCIF-species-notes": "", "IP-species-checked": "testedAndGuaranteed", "IP-species-dilution-info": "1/30", "IP-species-notes": "<p></p>", "ChIP-species-checked": "notRecommended", "ChIP-species-dilution-info": "", "ChIP-species-notes": "", "Dot-species-checked": "notRecommended", "Dot-species-dilution-info": "", "Dot-species-notes": "", "WB-species-checked": "notRecommended", "WB-species-dilution-info": "", "WB-species-notes": "", "FlowCytIntra-species-checked": "notRecommended", "FlowCytIntra-species-dilution-info": "", "FlowCytIntra-species-notes": "" }, "Transfected cell lysate - Human": { "IHCP-species-checked": "notRecommended", "IHCP-species-dilution-info": "", "IHCP-species-notes": "", "ICCIF-species-checked": "notRecommended", "ICCIF-species-dilution-info": "", "ICCIF-species-notes": "", "IP-species-checked": "notRecommended", "IP-species-dilution-info": "", "IP-species-notes": "", "ChIP-species-checked": "notRecommended", "ChIP-species-dilution-info": "", "ChIP-species-notes": "", "Dot-species-checked": "notRecommended", "Dot-species-dilution-info": "", "Dot-species-notes": "", "WB-species-checked": "testedAndGuaranteed", "WB-species-dilution-info": "1/1000", "WB-species-notes": "<p></p>", "FlowCytIntra-species-checked": "notRecommended", "FlowCytIntra-species-dilution-info": "", "FlowCytIntra-species-notes": "" } } }

Product details

What is this antibody validated in?
Anti-Histone H3.3 (mutated G34R) antibody [EPR23519-91] - ChIP Grade (ab254402) is a rabbit recombinant monoclonal antibody and is validated for use in Western Blot (WB), Flow Cytometry (Intra), Flow Cytometry (Flow Cyt), Immunoprecipitation (IP), Immunohistochemistry (IHC-P), ChIP, Dot Blot in Human samples.

What is the molecular weight of Histone H3.3?
Anti-Histone H3.3 (mutated G34R) [EPR23519-91] - ChIP Grade (ab254402) specifically detects a band for Histone H3.3 (UniProt: P84243) at a molecular weight of 15kDa.

Trial sizes available!
Test your antibody or perform pre-screening before committing to a larger quantity. Sold in 10µl. Discover our selection of trial-size antibodies.

Other related products
We have a range of other formats of antibody clone [EPR23519-91] also available for your convenience: ab254402, Carrier free - ab273635

Patented technology
Our RabMAb® technology is a patented hybridoma-based technology for making rabbit monoclonal antibodies. For details on our patents, please refer to RabMAb® patents.

What are the advantages of a recombinant monoclonal antibody?
This product is a recombinant monoclonal antibody, which offers several advantages including:

  • - High batch-to-batch consistency and reproducibility
  • - Improved sensitivity and specificity
  • - Long-term security of supply
  • - Animal-free batch production

For more information, read more on recombinant antibodies.

Properties and storage information

Form
Liquid
Purification technique
Affinity purification Protein A
Storage buffer
pH: 7.2 - 7.4 Preservative: 0.01% Sodium azide Constituents: PBS, 40% Glycerol (glycerin, glycerine), 0.05% BSA
Shipped at conditions
Blue Ice
Appropriate short-term storage duration
1-2 weeks
Appropriate short-term storage conditions
+4°C
Appropriate long-term storage conditions
-20°C
Aliquoting information
Upon delivery aliquot
Storage information
Avoid freeze / thaw cycle

Product protocols

For this product, it's our understanding that no specific protocols are required. You can visit:

Target data

Variant histone H3 which replaces conventional H3 in a wide range of nucleosomes in active genes. Constitutes the predominant form of histone H3 in non-dividing cells and is incorporated into chromatin independently of DNA synthesis. Deposited at sites of nucleosomal displacement throughout transcribed genes, suggesting that it represents an epigenetic imprint of transcriptionally active chromatin. Nucleosomes wrap and compact DNA into chromatin, limiting DNA accessibility to the cellular machineries which require DNA as a template. Histones thereby play a central role in transcription regulation, DNA repair, DNA replication and chromosomal stability. DNA accessibility is regulated via a complex set of post-translational modifications of histones, also called histone code, and nucleosome remodeling.
See full target information H3-3A mutated G34R

Publications (2)

Recent publications for all applications. Explore the full list and refine your search

Neuro-oncology advances 5:vdad003 PubMed36845293

2023

Novel genetically engineered H3.3G34R model reveals cooperation with ATRX loss in upregulation of cluster genes and promotion of neuronal lineage.

Applications

Unspecified application

Species

Unspecified reactive species

Aalaa S Abdallah,Herminio J Cardona,Samantha L Gadd,Daniel J Brat,Plamena P Powla,Waleed S Alruwalli,Chen Shen,David J Picketts,Xiao-Nan Li,Oren J Becher

Cell stem cell 28:894-905.e7 PubMed33631117

2021

Dissecting the impact of regional identity and the oncogenic role of human-specific NOTCH2NL in an hESC model of H3.3G34R-mutant glioma.

Applications

Unspecified application

Species

Unspecified reactive species

Kosuke Funato,Ryan C Smith,Yuhki Saito,Viviane Tabar
View all publications

Product promise

We are committed to supporting your work with high-quality reagents, and we're here for you every step of the way. In the unlikely event that one of our products does not perform as expected, you're protected by our Product Promise.
For full details, please see our Terms & Conditions

Please note: All products are 'FOR RESEARCH USE ONLY. NOT FOR USE IN DIAGNOSTIC OR THERAPEUTIC PROCEDURES'.

For licensing inquiries, please contact partnerships@abcam.com