JavaScript is disabled in your browser. Please enable JavaScript to view this website.
AB272942

Anti-Histone H3.3 (mutated G34V) antibody [EPR23520-5] - ChIP Grade - BSA and Azide free

Be the first to review this product! Submit a review

|

(0 Publication)

Rabbit Recombinant Monoclonal H3 mutated G34V antibody. Carrier free. Suitable for IP, ChIP, Dot, WB, ICC/IF, Flow Cyt (Intra), IHC-P and reacts with Human, Synthetic peptide samples.

View Alternative Names

H3.3A, H3F3, H3F3A, PP781, H3-3B, H3.3B, H3F3B, H3-3A, Histone H3.3, H3G34V, H3.3G34V, H3G34

7 Images
Immunohistochemistry (Formalin/PFA-fixed paraffin-embedded sections) - Anti-Histone H3.3 (mutated G34V) antibody [EPR23520-5] - ChIP Grade - BSA and Azide free (AB272942)
  • IHC-P

Unknown

Immunohistochemistry (Formalin/PFA-fixed paraffin-embedded sections) - Anti-Histone H3.3 (mutated G34V) antibody [EPR23520-5] - ChIP Grade - BSA and Azide free (AB272942)

Immunohistochemical analysis of paraffin-embedded human giant cell tumor of bone tissue labeling Histone H3.3(mutated G34 V) with ab254401 at 1/1000 dilution (0.542 μg/ml) dilution followed by ready to use Rabbit specific IHC polymer detection kit HRP/DAB (ab209101). Positive staining on human giant cell tumor of bone. (PMID : 29241742). The section was incubated with ab254401 for 30 mins at room temperature. The immunostaining was performed on a Leica Biosystems BOND® RX instrument. Counterstained with Hematoxylin.

Secondary antibody only control : Secondary antibody is ready to use Rabbit specific IHC polymer detection kit HRP/DAB (ab209101).

Heat mediated antigen retrieval with Tris-EDTA buffer (pH 9.0, epitope retrieval solution2) for 20 mins.

This data was developed using the same antibody clone in a different buffer formulation containing PBS, BSA, glycerol, and sodium azide (ab254401).

Flow Cytometry (Intracellular) - Anti-Histone H3.3 (mutated G34V) antibody [EPR23520-5] - ChIP Grade - BSA and Azide free (AB272942)
  • Flow Cyt (Intra)

Unknown

Flow Cytometry (Intracellular) - Anti-Histone H3.3 (mutated G34V) antibody [EPR23520-5] - ChIP Grade - BSA and Azide free (AB272942)

Intracellular flow cytometric analysis of 4% paraformaldehyde-fixed, 90% methanol-permeabilized 293T (Human embryonic kidney epithelial cell) transfected with myc tagged Histone H3.3 WT construct (Left panel) and myc-tagged Histone H3.3 H3G34V construct (Right panel) cells labelling Histone H3.3 (mutated G34 V) with ab254401 at 1/500 dilution (0.1μg). A Goat anti rabbit IgG (Alexa Fluor® 488, ab150077) at 1/2000 dilution was used as the secondary antibody.

This data was developed using the same antibody clone in a different buffer formulation containing PBS, BSA, glycerol, and sodium azide (ab254401).

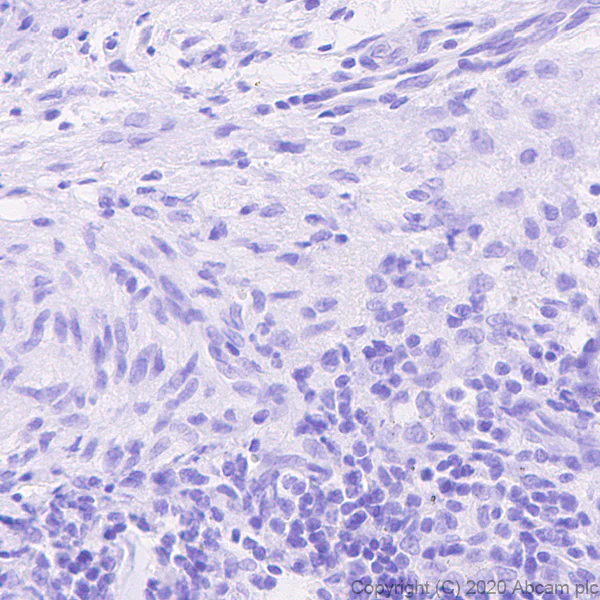
Immunohistochemistry (Formalin/PFA-fixed paraffin-embedded sections) - Anti-Histone H3.3 (mutated G34V) antibody [EPR23520-5] - ChIP Grade - BSA and Azide free (AB272942)
  • IHC-P

Unknown

Immunohistochemistry (Formalin/PFA-fixed paraffin-embedded sections) - Anti-Histone H3.3 (mutated G34V) antibody [EPR23520-5] - ChIP Grade - BSA and Azide free (AB272942)

Immunohistochemical analysis of paraffin-embedded human chondroblastoma tissue labeling Histone H3.3(mutated G34 V) with ab254401 at 1/1000 dilution (0.542 μg/ml) dilution followed by ready to use Rabbit specific IHC polymer detection kit HRP/DAB (ab209101).

Negative control : No staining on human chondroblastoma (PMID : 29241742).

The section was incubated with ab254401 for 30 mins at room temperature. The immunostaining was performed on a Leica Biosystems BOND® RX instrument. Counterstained with Hematoxylin.

Secondary antibody only control : Secondary antibody is ready to use Rabbit specific IHC polymer detection kit HRP/DAB (ab209101).

Heat mediated antigen retrieval with Tris-EDTA buffer (pH 9.0, epitope retrieval solution2) for 20 mins.

This data was developed using the same antibody clone in a different buffer formulation containing PBS, BSA, glycerol, and sodium azide (ab254401).

Immunocytochemistry/ Immunofluorescence - Anti-Histone H3.3 (mutated G34V) antibody [EPR23520-5] - ChIP Grade - BSA and Azide free (AB272942)
  • ICC/IF

Unknown

Immunocytochemistry/ Immunofluorescence - Anti-Histone H3.3 (mutated G34V) antibody [EPR23520-5] - ChIP Grade - BSA and Azide free (AB272942)

Immunofluorescent analysis of 4% Paraformaldehyde-fixed, 0.1% Triton X-100 permeabilized 293T cells labelling Histone H3.3(mutated G34 V) with ab254401 at 1/1000 dilution, followed by ab150077 Goat Anti-Rabbit IgG H&L (Alexa Fluor® 488) antibody at 1/1000 2 μg/ml dilution (Green). Confocal image showing nuclear staining in 293T cells transfected with Histone H3.3 H3G34V-Myc plasmid, while no staining in 293T cells transfected with H3.3 WT -Myc plasmid. Myc-Tag Mouse mAb (Alexa Fluor® 647) was used to counterstain tubulin at 1/200 dilution (Red). The nuclear counterstain was DAPI (Blue).

Secondary antibody only control : Secondary antibody is ab150077 Goat Anti-Rabbit IgG H&L (Alexa Fluor® 488) at 1/1000 2 μg/ml dilution.

This data was developed using the same antibody clone in a different buffer formulation containing PBS, BSA, glycerol, and sodium azide (ab254401).

ChIP - Anti-Histone H3.3 (mutated G34V) antibody [EPR23520-5] - ChIP Grade - BSA and Azide free (AB272942)
  • ChIP

Supplier Data

ChIP - Anti-Histone H3.3 (mutated G34V) antibody [EPR23520-5] - ChIP Grade - BSA and Azide free (AB272942)

Chromatin was prepared from 293T transfected with myc-His tagged Histone H3.3 mutated G34V and Histone H3.3 WT cells according to the Abcam Dual-X-ChIP protocol. Cells were fixed with then formaldehyde for 10min.
The ChIP was performed with 25 μg of chromatin, 2 μg of ab254401 (red), or 2 μg of rabbit normal IgG ab172730 (gray) and 20 μl of Protein A/G sepharose beads. The immunoprecipitated DNA was quantified by real time PCR (Taqman approach for active and inactive loci, Sybr green approach for heterochromatic loci).
Primers and probes are located in the first kb of the transcribed region.

This data was developed using the same antibody clone in a different buffer formulation containing PBS, BSA, glycerol, and sodium azide (ab254401).

Immunoprecipitation - Anti-Histone H3.3 (mutated G34V) antibody [EPR23520-5] - ChIP Grade - BSA and Azide free (AB272942)
  • IP

Unknown

Immunoprecipitation - Anti-Histone H3.3 (mutated G34V) antibody [EPR23520-5] - ChIP Grade - BSA and Azide free (AB272942)

Histone H3.3(mutated G34 V) was immunoprecipitated from 0.35 mg HEK-293T (human embryonic kidney) transfected with Histone H3.3 G34V expression vector containing a myc-His-tag® whole cell lysate 10 μg with ab254401 at 1/30 dilution (2μg in 0.35mg lysates). Western blot was performed on the immunoprecipitate using ab254401 at 1/1000 dilution. VeriBlot for IP Detection Reagent (HRP)(ab131366) was used at 1/5000 dilution.

Lane 1 : HEK-293T transfected with Histone H3.3 G34V expression vector containing a myc-His-tag® whole cell lysate 10 μg

Lane 2 : ab254401 IP in HEK-293T transfected with Histone H3.3 G34V expression vector containing a myc-His-tag® whole cell lysate

Lane 3 : Rabbit monoclonal IgG (ab172730) instead of ab254401 in HEK-293T transfected with Histone H3.3 G34V expression vector containing a myc-His-tag® whole cell lysate

Blocking and dilution buffer and concentration : 5% NFDM/TBST.

Exposure time : 32 seconds.

This data was developed using the same antibody clone in a different buffer formulation containing PBS, BSA, glycerol, and sodium azide (ab254401).

All lanes:

Immunoprecipitation - Anti-Histone H3.3 (mutated G34V) antibody [EPR23520-5] - ChIP Grade (<a href='/en-us/products/primary-antibodies/histone-h33-mutated-g34v-antibody-epr23520-5-chip-grade-ab254401'>ab254401</a>)

Predicted band size: 15 kDa

false

Dot Blot - Anti-Histone H3.3 (mutated G34V) antibody [EPR23520-5] - ChIP Grade - BSA and Azide free (AB272942)
  • Dot

Supplier Data

Dot Blot - Anti-Histone H3.3 (mutated G34V) antibody [EPR23520-5] - ChIP Grade - BSA and Azide free (AB272942)

Dot blot analysis of Histone H3.3 (mutated G34 V) labeled with ab254401 at 1/1000 dilution.

Lane 1 : Histone H3.3 H3G34V peptide (aa28-40).
Lane 2 : Histone H3.3 H3G34V peptide (aa26-38).
Lane 3 : Histone H3.3 WT peptide (aa26-40).

Goat Anti-Rabbit IgG H&L (HRP) (ab97051) at 1/100000 dilution was used as secondary antibody.

Blocking and dilution buffer : 5% NFDM/TBST.

Exposure time : 3 minutes.

This data was developed using the same antibody clone in a different buffer formulation containing PBS, BSA, glycerol, and sodium azide (ab254401).

  • Unconjugated

    Anti-Histone H3.3 (mutated G34V) antibody [EPR23520-5] - ChIP Grade

  • 660 APC

    APC Anti-Histone H3.3 (mutated G34V) antibody [EPR23520-5] – ChIP Grade

  • 665 Alexa Fluor® 647

    Alexa Fluor® 647 Anti-Histone H3.3 (mutated G34V) antibody [EPR23520-5] – ChIP Grade

  • 617 Alexa Fluor® 594

    Alexa Fluor® 594 Anti-Histone H3.3 (mutated G34V) antibody [EPR23520-5] – ChIP Grade

  • 519 Alexa Fluor® 488

    Alexa Fluor® 488 Anti-Histone H3.3 (mutated G34V) antibody [EPR23520-5] – ChIP Grade

  • 578 PE

    PE Anti-Histone H3.3 (mutated G34V) antibody [EPR23520-5] – ChIP Grade

  • 565 Alexa Fluor® 555

    Alexa Fluor® 555 Anti-Histone H3.3 (mutated G34V) antibody [EPR23520-5] – ChIP Grade

  • 775 Alexa Fluor® 750

    Alexa Fluor® 750 Anti-Histone H3.3 (mutated G34V) antibody [EPR23520-5] - ChIP Grade

Key facts

Host species

Rabbit

Clonality

Monoclonal

Clone number

EPR23520-5

Isotype

IgG

Carrier free

Yes

Reacts with

Human

Applications

ChIP, ICC/IF, Dot, WB, Flow Cyt (Intra), IHC-P, IP

applications

Immunogen

The exact immunogen used to generate this antibody is proprietary information.

Reactivity data

{ "title": "Reactivity Data", "filters": { "stats": ["", "Species", "Dilution Info", "Notes"], "tabs": { "all-applications": {"fullname" : "All Applications", "shortname": "All Applications"}, "IP" : {"fullname" : "Immunoprecipitation", "shortname":"IP"}, "ChIP" : {"fullname" : "ChIP", "shortname":"ChIP"}, "Dot" : {"fullname" : "Dot Blot", "shortname":"Dot"}, "WB" : {"fullname" : "Western blot", "shortname":"WB"}, "ICCIF" : {"fullname" : "Immunocytochemistry/ Immunofluorescence", "shortname":"ICC/IF"}, "FlowCytIntra" : {"fullname" : "Flow Cytometry (Intracellular)", "shortname":"Flow Cyt (Intra)"}, "IHCP" : {"fullname" : "Immunohistochemistry (Formalin/PFA-fixed paraffin-embedded sections)", "shortname":"IHC-P"} }, "product-promise": { "all": "all", "testedAndGuaranteed": "tested", "guaranteed": "expected", "predicted": "predicted", "notRecommended": "not-recommended" } }, "values": { "Human": { "IP-species-checked": "testedAndGuaranteed", "IP-species-dilution-info": "", "IP-species-notes": "<p></p>", "ChIP-species-checked": "testedAndGuaranteed", "ChIP-species-dilution-info": "", "ChIP-species-notes": "<p></p>", "Dot-species-checked": "guaranteed", "Dot-species-dilution-info": "", "Dot-species-notes": "", "WB-species-checked": "guaranteed", "WB-species-dilution-info": "", "WB-species-notes": "<p></p>", "ICCIF-species-checked": "testedAndGuaranteed", "ICCIF-species-dilution-info": "", "ICCIF-species-notes": "<p></p>", "FlowCytIntra-species-checked": "testedAndGuaranteed", "FlowCytIntra-species-dilution-info": "", "FlowCytIntra-species-notes": "<p></p>", "IHCP-species-checked": "testedAndGuaranteed", "IHCP-species-dilution-info": "", "IHCP-species-notes": "<p></p>" }, "Mouse": { "IP-species-checked": "notRecommended", "IP-species-dilution-info": "", "IP-species-notes": "", "ChIP-species-checked": "notRecommended", "ChIP-species-dilution-info": "", "ChIP-species-notes": "", "Dot-species-checked": "notRecommended", "Dot-species-dilution-info": "", "Dot-species-notes": "", "WB-species-checked": "notRecommended", "WB-species-dilution-info": "", "WB-species-notes": "", "ICCIF-species-checked": "notRecommended", "ICCIF-species-dilution-info": "", "ICCIF-species-notes": "", "FlowCytIntra-species-checked": "notRecommended", "FlowCytIntra-species-dilution-info": "", "FlowCytIntra-species-notes": "", "IHCP-species-checked": "notRecommended", "IHCP-species-dilution-info": "", "IHCP-species-notes": "<p></p>" }, "Rat": { "IP-species-checked": "notRecommended", "IP-species-dilution-info": "", "IP-species-notes": "", "ChIP-species-checked": "notRecommended", "ChIP-species-dilution-info": "", "ChIP-species-notes": "", "Dot-species-checked": "notRecommended", "Dot-species-dilution-info": "", "Dot-species-notes": "", "WB-species-checked": "notRecommended", "WB-species-dilution-info": "", "WB-species-notes": "", "ICCIF-species-checked": "notRecommended", "ICCIF-species-dilution-info": "", "ICCIF-species-notes": "", "FlowCytIntra-species-checked": "notRecommended", "FlowCytIntra-species-dilution-info": "", "FlowCytIntra-species-notes": "", "IHCP-species-checked": "notRecommended", "IHCP-species-dilution-info": "", "IHCP-species-notes": "<p></p>" }, "Synthetic peptide": { "IP-species-checked": "notRecommended", "IP-species-dilution-info": "", "IP-species-notes": "", "ChIP-species-checked": "notRecommended", "ChIP-species-dilution-info": "", "ChIP-species-notes": "", "Dot-species-checked": "testedAndGuaranteed", "Dot-species-dilution-info": "", "Dot-species-notes": "<p></p>", "WB-species-checked": "notRecommended", "WB-species-dilution-info": "", "WB-species-notes": "", "ICCIF-species-checked": "notRecommended", "ICCIF-species-dilution-info": "", "ICCIF-species-notes": "", "FlowCytIntra-species-checked": "notRecommended", "FlowCytIntra-species-dilution-info": "", "FlowCytIntra-species-notes": "", "IHCP-species-checked": "notRecommended", "IHCP-species-dilution-info": "", "IHCP-species-notes": "" } } }

Product details

ab272942 is the carrier-free version of ab254401.

Patented technology
Our RabMAb® technology is a patented hybridoma-based technology for making rabbit monoclonal antibodies. For details on our patents, please refer to RabMAb® patents.

What are the advantages of a recombinant monoclonal antibody?
This product is a recombinant monoclonal antibody, which offers several advantages including:

  • - High batch-to-batch consistency and reproducibility
  • - Improved sensitivity and specificity
  • - Long-term security of supply
  • - Animal-free batch production

For more information, read more on recombinant antibodies.

Conjugation ready
Our carrier-free antibodies are typically supplied in a PBS-only formulation, purified and free of BSA, sodium azide and glycerol. This conjugation-ready format is designed for use with fluorochromes, metal isotopes, oligonucleotides, and enzymes, which makes them ideal for antibody labelling, functional and cell-based assays, flow-based assays (e.g. mass cytometry) and Multiplex Imaging applications.

Use our conjugation kits for antibody conjugates that are ready-to-use in as little as 20 minutes with 1 minute hands-on-time and 100% antibody recovery: available for fluorescent dyes, HRP, biotin and gold.

Compatibility
This product is compatible with the Maxpar® Antibody Labeling Kit from Fluidigm, without the need for antibody preparation. Maxpar® is a trademark of Fluidigm Canada Inc.

Properties and storage information

Form
Liquid
Purification technique
Affinity purification Protein A
Storage buffer
pH: 7.2 - 7.4 Constituents: PBS
Shipped at conditions
Blue Ice
Appropriate short-term storage conditions
+4°C
Appropriate long-term storage conditions
+4°C
Storage information
Do Not Freeze

Product protocols

For this product, it's our understanding that no specific protocols are required. You can visit:

Target data

Variant histone H3 which replaces conventional H3 in a wide range of nucleosomes in active genes. Constitutes the predominant form of histone H3 in non-dividing cells and is incorporated into chromatin independently of DNA synthesis. Deposited at sites of nucleosomal displacement throughout transcribed genes, suggesting that it represents an epigenetic imprint of transcriptionally active chromatin. Nucleosomes wrap and compact DNA into chromatin, limiting DNA accessibility to the cellular machineries which require DNA as a template. Histones thereby play a central role in transcription regulation, DNA repair, DNA replication and chromosomal stability. DNA accessibility is regulated via a complex set of post-translational modifications of histones, also called histone code, and nucleosome remodeling.
See full target information H3-3A mutated G34V

Product promise

We are committed to supporting your work with high-quality reagents, and we're here for you every step of the way. In the unlikely event that one of our products does not perform as expected, you're protected by our Product Promise.
For full details, please see our Terms & Conditions

Please note: All products are 'FOR RESEARCH USE ONLY. NOT FOR USE IN DIAGNOSTIC OR THERAPEUTIC PROCEDURES'.

For licensing inquiries, please contact partnerships@abcam.com