JavaScript is disabled in your browser. Please enable JavaScript to view this website.
AB277487

Anti-Histone H3.3 (mutated K36M) antibody [EPR23526-89] - BSA and Azide free

Be the first to review this product! Submit a review

|

(0 Publication)

Rabbit Recombinant Monoclonal H3 mutated K36M antibody. Carrier free. Suitable for ICC/IF, Flow Cyt (Intra), Dot, WB, IHC-P, I-ELISA and reacts with Human, Transfected cell line samples.

View Alternative Names

H3.3A, H3F3, H3F3A, PP781, H3-3B, H3.3B, H3F3B, H3-3A, Histone H3.3, H3K36M, H3.3K36M, H3K36

7 Images
Immunohistochemistry (Formalin/PFA-fixed paraffin-embedded sections) - Anti-Histone H3.3 (mutated K36M) antibody [EPR23526-89] - BSA and Azide free (AB277487)
  • IHC-P

Supplier Data

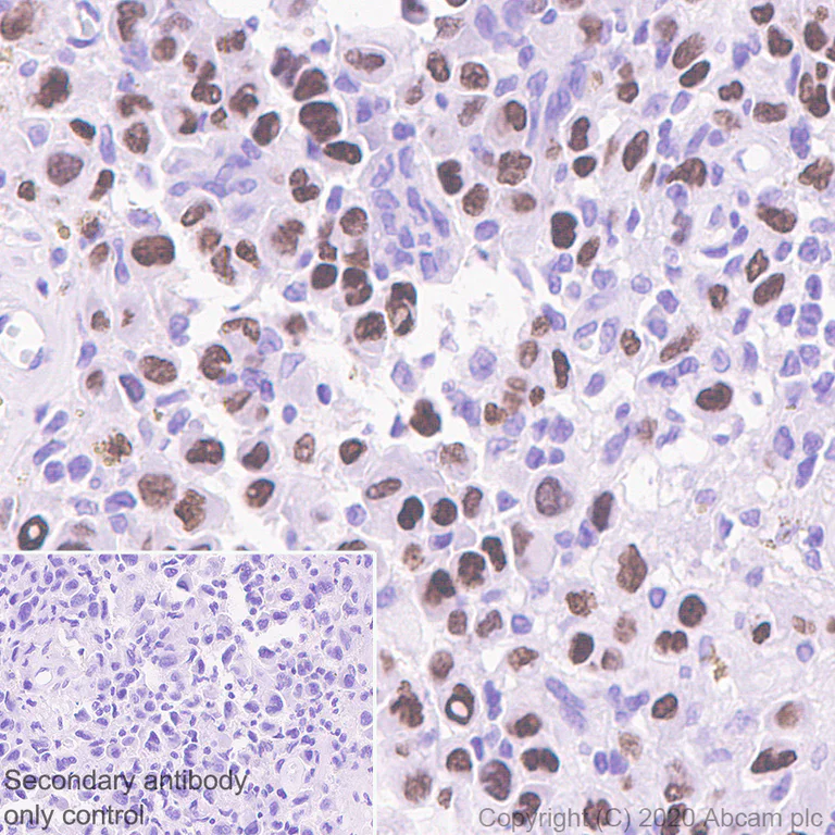
Immunohistochemistry (Formalin/PFA-fixed paraffin-embedded sections) - Anti-Histone H3.3 (mutated K36M) antibody [EPR23526-89] - BSA and Azide free (AB277487)

This data was developed using ab254400, the same antibody clone in a different buffer formulation.

Immunohistochemical analysis of paraffin-embedded Human gaint cell tumor of bone tissue labelling Histone H3 (mutated K36M) with ab254400 at 1/1000 (0.548 ug/ml) followed by a ready to use Goat Anti-Rabbit IgG H&L (HRP). Counterstained with Hematoxylin.

Negative control : No staining in human gaint cell tumor of bone (PMID : 29757500).

Secondary antibody only control : Secondary antibody is a ready to use Goat Anti-Rabbit IgG H&L (HRP).

Heat mediated antigen retrieval using ab93684 (Tris/EDTA buffer, pH 9.0)

Flow Cytometry (Intracellular) - Anti-Histone H3.3 (mutated K36M) antibody [EPR23526-89] - BSA and Azide free (AB277487)
  • Flow Cyt (Intra)

Supplier Data

Flow Cytometry (Intracellular) - Anti-Histone H3.3 (mutated K36M) antibody [EPR23526-89] - BSA and Azide free (AB277487)

This data was developed using ab254400, the same antibody clone in a different buffer formulation.

Flow cytometric analysis of 4% paraformaldehyde fixed 90% methanol permeabilized 293T transfected with myc tagged Histone H3.3 construct (Left) or myc tagged Histone H3.3 H3K36M construct (Right) cells labelling Histone H3 (mutated K36M) with ab254400 at 1/500 dilution (0.1ug). A Goat anti rabbit IgG (Alexa Fluor® 488, ab150077) at 1/2000 dilution was used as the secondary antibody.

Immunocytochemistry/ Immunofluorescence - Anti-Histone H3.3 (mutated K36M) antibody [EPR23526-89] - BSA and Azide free (AB277487)
  • ICC/IF

Supplier Data

Immunocytochemistry/ Immunofluorescence - Anti-Histone H3.3 (mutated K36M) antibody [EPR23526-89] - BSA and Azide free (AB277487)

This data was developed using ab254400, the same antibody clone in a different buffer formulation.

Immunofluorescent analysis of 4% Paraformaldehyde-fixed, 0.1% TritonX-100 permeabilized 293T cells labelling Histone H3 (mutated K36M) with ab254400 at 1/1000 (0.548 ug/ml) dilution, followed by ab150077 Goat Anti-Rabbit IgG H&L (Alexa Fluor® 488) antibody at 1/1000 (2 ug/ml) dilution (Green). Myc-Tag Mouse mAb (Alexa Fluor® 647) was used to counterstain tubulin at 1/200 (2.5 ug/ml) dilution (Red). The Nuclear counterstain was DAPI (Blue).

Confocal image showing nuclear staining in 293T cells transfected with myc-tagged H3K36M expression vector.

Secondary antibody only control : Secondary antibody is ab150077 Goat Anti-Rabbit IgG H&L (Alexa Fluor® 488) at 1/1000 (2 ug/ml) dilution.

Immunohistochemistry (Formalin/PFA-fixed paraffin-embedded sections) - Anti-Histone H3.3 (mutated K36M) antibody [EPR23526-89] - BSA and Azide free (AB277487)
  • IHC-P

Supplier Data

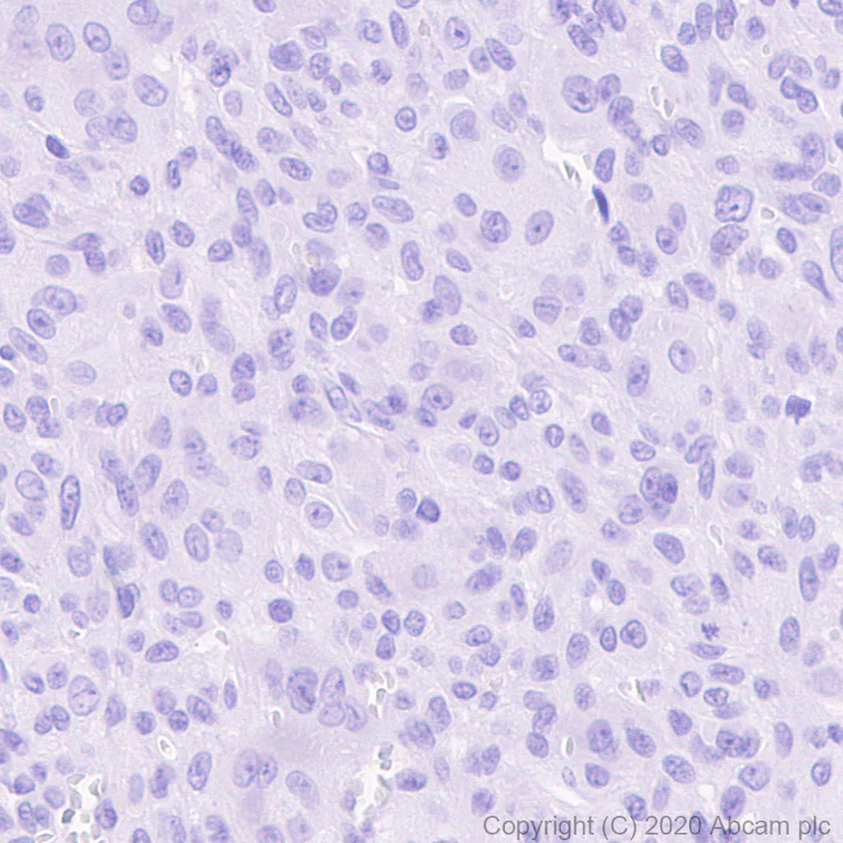
Immunohistochemistry (Formalin/PFA-fixed paraffin-embedded sections) - Anti-Histone H3.3 (mutated K36M) antibody [EPR23526-89] - BSA and Azide free (AB277487)

This data was developed using ab254400, the same antibody clone in a different buffer formulation.

Immunohistochemical analysis of paraffin-embedded Human chondroblastoma tissue labelling Histone H3 (mutated K36M) with ab254400 at 1/1000 (0.548 ug/ml) followed by a ready to use Goat Anti-Rabbit IgG H&L (HRP). Counterstained with Hematoxylin.

Nuclear staining in human chondroblastoma (PMID : 29757500).

Secondary antibody only control : Secondary antibody is a ready to use Goat Anti-Rabbit IgG H&L (HRP).

Heat mediated antigen retrieval using ab93684 (Tris/EDTA buffer, pH 9.0)

Indirect ELISA - Anti-Histone H3.3 (mutated K36M) antibody [EPR23526-89] - BSA and Azide free (AB277487)
  • I-ELISA

Supplier Data

Indirect ELISA - Anti-Histone H3.3 (mutated K36M) antibody [EPR23526-89] - BSA and Azide free (AB277487)

This data was developed using ab254400, the same antibody clone in a different buffer formulation.

ELISA using ab254400 at varying antibody concentrations and antigen concentration at 100 ng/ml. An Alkaline Phosphatase-conjugated AffiniPure Goat Anti-Rabbit IgG (H+L) (1/2500) was used as the secondary antibody.

Western blot - Anti-Histone H3.3 (mutated K36M) antibody [EPR23526-89] - BSA and Azide free (AB277487)
  • WB

Lab

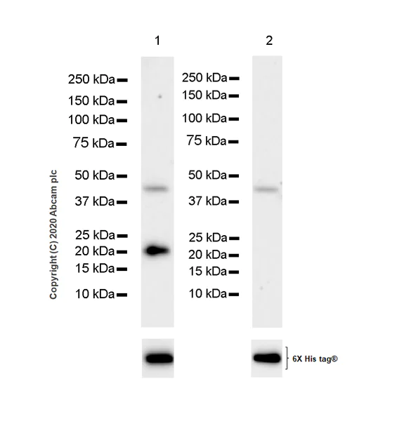
Western blot - Anti-Histone H3.3 (mutated K36M) antibody [EPR23526-89] - BSA and Azide free (AB277487)

This data was developed using ab254400, the same antibody clone in a different buffer formulation.

Blocking and diluting buffer and concentration : 5% NFDM/TBST

Exposure time : 92 seconds

All lanes:

Western blot - Anti-Histone H3.3 (mutated K36M) antibody [EPR23526-89] (<a href='/en-us/products/primary-antibodies/histone-h33-mutated-k36m-antibody-epr23526-89-ab254400'>ab254400</a>) at 1/1000 dilution

Lane 1:

HEK-293 transfected with Histone H3.3 H3K36M expression vector containing a myc-His-tag®, whole cell lysate at 10 µg

Lane 2:

HEK-293 transfected with Histone H3.3 (WT) expression vector containing a myc-His-tag®, whole cell lysate at 10 µg

Secondary

All lanes:

Goat Anti-Rabbit IgG, (H+L), Peroxidase conjugated (<a href='/en-us/products/secondary-antibodies/goat-rabbit-igg-h-l-hrp-ab97051'>ab97051</a>) at 1/20000 dilution

Predicted band size: 15 kDa

Observed band size: 20 kDa

false

Dot Blot - Anti-Histone H3.3 (mutated K36M) antibody [EPR23526-89] - BSA and Azide free (AB277487)
  • Dot

Supplier Data

Dot Blot - Anti-Histone H3.3 (mutated K36M) antibody [EPR23526-89] - BSA and Azide free (AB277487)

This data was developed using ab254400, the same antibody clone in a different buffer formulation.

Dot blot analysis of Histone H3.3 (mutated K36M) using ab254400 at 1/1000 (0.548 ug/ml) followed by a Goat Anti-Rabbit IgG, (H+L), Peroxidase conjugated (ab97051) at 1/100,000 dilution.

Lane 1 : Histone H3.3 (mutated K36M)peptide (aa28-40)

Lane 2 : Histone H3.3 (mutated K36M) peptide (aa29-42)

Lane 3 : Histone H3.3 (WT) peptide (aa28-42)

Exposure time : 3 minutes

Blocking and diluting buffer and concentration : 5% NFDM/TBST

Key facts

Host species

Rabbit

Clonality

Monoclonal

Clone number

EPR23526-89

Isotype

IgG

Carrier free

Yes

Reacts with

Human

Applications

WB, IHC-P, ICC/IF, I-ELISA, Dot, Flow Cyt (Intra)

applications

Immunogen

The exact immunogen used to generate this antibody is proprietary information.

Reactivity data

{ "title": "Reactivity Data", "filters": { "stats": ["", "Species", "Dilution Info", "Notes"], "tabs": { "all-applications": {"fullname" : "All Applications", "shortname": "All Applications"}, "ICCIF" : {"fullname" : "Immunocytochemistry/ Immunofluorescence", "shortname":"ICC/IF"}, "IP" : {"fullname" : "Immunoprecipitation", "shortname":"IP"}, "ChIP" : {"fullname" : "ChIP", "shortname":"ChIP"}, "FlowCytIntra" : {"fullname" : "Flow Cytometry (Intracellular)", "shortname":"Flow Cyt (Intra)"}, "Dot" : {"fullname" : "Dot Blot", "shortname":"Dot"}, "WB" : {"fullname" : "Western blot", "shortname":"WB"}, "IHCP" : {"fullname" : "Immunohistochemistry (Formalin/PFA-fixed paraffin-embedded sections)", "shortname":"IHC-P"}, "IELISA" : {"fullname" : "Indirect ELISA", "shortname":"I-ELISA"} }, "product-promise": { "all": "all", "testedAndGuaranteed": "tested", "guaranteed": "expected", "predicted": "predicted", "notRecommended": "not-recommended" } }, "values": { "Human": { "ICCIF-species-checked": "testedAndGuaranteed", "ICCIF-species-dilution-info": "", "ICCIF-species-notes": "<p></p>", "IP-species-checked": "notRecommended", "IP-species-dilution-info": "", "IP-species-notes": "<p></p>", "ChIP-species-checked": "notRecommended", "ChIP-species-dilution-info": "", "ChIP-species-notes": "<p></p>", "FlowCytIntra-species-checked": "guaranteed", "FlowCytIntra-species-dilution-info": "", "FlowCytIntra-species-notes": "", "Dot-species-checked": "testedAndGuaranteed", "Dot-species-dilution-info": "", "Dot-species-notes": "<p></p>", "WB-species-checked": "testedAndGuaranteed", "WB-species-dilution-info": "", "WB-species-notes": "<p></p>", "IHCP-species-checked": "testedAndGuaranteed", "IHCP-species-dilution-info": "", "IHCP-species-notes": "<p></p>", "IELISA-species-checked": "testedAndGuaranteed", "IELISA-species-dilution-info": "", "IELISA-species-notes": "<p></p>" }, "Mouse": { "ICCIF-species-checked": "notRecommended", "ICCIF-species-dilution-info": "", "ICCIF-species-notes": "", "IP-species-checked": "notRecommended", "IP-species-dilution-info": "", "IP-species-notes": "", "ChIP-species-checked": "notRecommended", "ChIP-species-dilution-info": "", "ChIP-species-notes": "", "FlowCytIntra-species-checked": "notRecommended", "FlowCytIntra-species-dilution-info": "", "FlowCytIntra-species-notes": "", "Dot-species-checked": "notRecommended", "Dot-species-dilution-info": "", "Dot-species-notes": "", "WB-species-checked": "notRecommended", "WB-species-dilution-info": "", "WB-species-notes": "", "IHCP-species-checked": "notRecommended", "IHCP-species-dilution-info": "", "IHCP-species-notes": "<p></p>", "IELISA-species-checked": "notRecommended", "IELISA-species-dilution-info": "", "IELISA-species-notes": "" }, "Rat": { "ICCIF-species-checked": "notRecommended", "ICCIF-species-dilution-info": "", "ICCIF-species-notes": "", "IP-species-checked": "notRecommended", "IP-species-dilution-info": "", "IP-species-notes": "", "ChIP-species-checked": "notRecommended", "ChIP-species-dilution-info": "", "ChIP-species-notes": "", "FlowCytIntra-species-checked": "notRecommended", "FlowCytIntra-species-dilution-info": "", "FlowCytIntra-species-notes": "", "Dot-species-checked": "notRecommended", "Dot-species-dilution-info": "", "Dot-species-notes": "", "WB-species-checked": "notRecommended", "WB-species-dilution-info": "", "WB-species-notes": "", "IHCP-species-checked": "notRecommended", "IHCP-species-dilution-info": "", "IHCP-species-notes": "<p></p>", "IELISA-species-checked": "notRecommended", "IELISA-species-dilution-info": "", "IELISA-species-notes": "" }, "Transfected cell line": { "ICCIF-species-checked": "notRecommended", "ICCIF-species-dilution-info": "", "ICCIF-species-notes": "", "IP-species-checked": "notRecommended", "IP-species-dilution-info": "", "IP-species-notes": "", "ChIP-species-checked": "notRecommended", "ChIP-species-dilution-info": "", "ChIP-species-notes": "", "FlowCytIntra-species-checked": "testedAndGuaranteed", "FlowCytIntra-species-dilution-info": "", "FlowCytIntra-species-notes": "<p></p>", "Dot-species-checked": "notRecommended", "Dot-species-dilution-info": "", "Dot-species-notes": "", "WB-species-checked": "notRecommended", "WB-species-dilution-info": "", "WB-species-notes": "", "IHCP-species-checked": "notRecommended", "IHCP-species-dilution-info": "", "IHCP-species-notes": "", "IELISA-species-checked": "notRecommended", "IELISA-species-dilution-info": "", "IELISA-species-notes": "" } } }

Product details

ab277487 is the carrier-free version of ab254400.

Patented technology
Our RabMAb® technology is a patented hybridoma-based technology for making rabbit monoclonal antibodies. For details on our patents, please refer to RabMAb® patents.

What are the advantages of a recombinant monoclonal antibody?
This product is a recombinant monoclonal antibody, which offers several advantages including:

  • - High batch-to-batch consistency and reproducibility
  • - Improved sensitivity and specificity
  • - Long-term security of supply
  • - Animal-free batch production

For more information, read more on recombinant antibodies.

Conjugation ready
Our carrier-free antibodies are typically supplied in a PBS-only formulation, purified and free of BSA, sodium azide and glycerol. This conjugation-ready format is designed for use with fluorochromes, metal isotopes, oligonucleotides, and enzymes, which makes them ideal for antibody labelling, functional and cell-based assays, flow-based assays (e.g. mass cytometry) and Multiplex Imaging applications.

Use our conjugation kits for antibody conjugates that are ready-to-use in as little as 20 minutes with 1 minute hands-on-time and 100% antibody recovery: available for fluorescent dyes, HRP, biotin and gold.

Compatibility
This product is compatible with the Maxpar® Antibody Labeling Kit from Fluidigm, without the need for antibody preparation. Maxpar® is a trademark of Fluidigm Canada Inc.

Properties and storage information

Form
Liquid
Purification technique
Affinity purification Protein A
Storage buffer
pH: 7.2 - 7.4 Constituents: PBS
Shipped at conditions
Blue Ice
Appropriate short-term storage conditions
+4°C
Appropriate long-term storage conditions
+4°C

Product protocols

For this product, it's our understanding that no specific protocols are required. You can visit:

Target data

Variant histone H3 which replaces conventional H3 in a wide range of nucleosomes in active genes. Constitutes the predominant form of histone H3 in non-dividing cells and is incorporated into chromatin independently of DNA synthesis. Deposited at sites of nucleosomal displacement throughout transcribed genes, suggesting that it represents an epigenetic imprint of transcriptionally active chromatin. Nucleosomes wrap and compact DNA into chromatin, limiting DNA accessibility to the cellular machineries which require DNA as a template. Histones thereby play a central role in transcription regulation, DNA repair, DNA replication and chromosomal stability. DNA accessibility is regulated via a complex set of post-translational modifications of histones, also called histone code, and nucleosome remodeling.
See full target information H3-3A mutated K36M

Product promise

We are committed to supporting your work with high-quality reagents, and we're here for you every step of the way. In the unlikely event that one of our products does not perform as expected, you're protected by our Product Promise.
For full details, please see our Terms & Conditions

Please note: All products are 'FOR RESEARCH USE ONLY. NOT FOR USE IN DIAGNOSTIC OR THERAPEUTIC PROCEDURES'.

For licensing inquiries, please contact partnerships@abcam.com