JavaScript is disabled in your browser. Please enable JavaScript to view this website.
AB249998

Anti-Histone H4 (acetyl K12) antibody [EPR17906] - BSA and Azide free

Be the first to review this product! Submit a review

|

(0 Publication)

Rabbit Recombinant Monoclonal Histone H4 acetyl L12 antibody. Carrier free. Suitable for WB, PepArr, ICC/IF, Flow Cyt (Intra), IHC-P and reacts with Mouse, Human, Rat samples.

View Alternative Names

H4/A, H4FA, HIST1H4A, H4C2, H4/I, H4FI, HIST1H4B, H4C3, H4/G, H4FG, HIST1H4C, H4C4, H4/B, H4FB, HIST1H4D, H4C5, H4/J, H4FJ, HIST1H4E, H4C6, H4/C, H4FC, HIST1H4F, H4C8, H4/H, H4FH, HIST1H4H, H4C9, H4/M, H4FM, HIST1H4I, H4C11, H4/E, H4FE, HIST1H4J, H4C12, H4/D, H4FD, HIST1H4K, H4C13, H4/K, H4FK, HIST1H4L, H4C14, H4/N, H4F2, H4FN, HIST2H4, HIST2H4A, H4C15, H4/O, H4FO, HIST2H4B, H4C16, H4-16, HIST4H4, H4C1, Histone H4, H4L12ac

7 Images
Western blot - Anti-Histone H4 (acetyl K12) antibody [EPR17906] - BSA and Azide free (AB249998)
  • WB

Supplier Data

Western blot - Anti-Histone H4 (acetyl K12) antibody [EPR17906] - BSA and Azide free (AB249998)

This data was developed using ab177793, the same antibody clone in a different buffer formulation.

Blocking and dilution buffer : 5% NFDM/TBST.

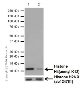
All lanes:

Western blot - Anti-Histone H4 (acetyl K12) antibody [EPR17906] (<a href='/en-us/products/primary-antibodies/histone-h4-acetyl-k12-antibody-epr17906-ab177793'>ab177793</a>) at 1/10000 dilution

Lane 1:

HeLa (Human epithelial cells from cervix adenocarcinoma) treated with 500 ng/ml Trichostatin A for 4 hours whole cell lysates at 10 µg

Lane 2:

HeLa (Human epithelial cells from cervix adenocarcinoma) untreated whole cell lysates at 10 µg

Secondary

All lanes:

Goat Anti-Rabbit IgG, (H+L), Peroxidase conjugated at 1/1000 dilution

Predicted band size: 11 kDa

Observed band size: 11 kDa

false

Exposure time: 15s

Western blot - Anti-Histone H4 (acetyl K12) antibody [EPR17906] - BSA and Azide free (AB249998)
  • WB

Supplier Data

Western blot - Anti-Histone H4 (acetyl K12) antibody [EPR17906] - BSA and Azide free (AB249998)

This data was developed using ab177793, the same antibody clone in a different buffer formulation.

Blocking and dilution buffer : 5% NFDM/TBST.

All lanes:

Western blot - Anti-Histone H4 (acetyl K12) antibody [EPR17906] (<a href='/en-us/products/primary-antibodies/histone-h4-acetyl-k12-antibody-epr17906-ab177793'>ab177793</a>) at 1/10000 dilution

Lane 1:

NIH/3T3 (Mouse embyro fibroblast cells) treated with 500 ng/ml Trichostatin A for 4 hours whole cell lysates at 10 µg

Lane 2:

NIH/3T3 (Mouse embyro fibroblast cells) untreated whole cell lysates at 10 µg

Secondary

All lanes:

Goat Anti-Rabbit IgG, (H+L), Peroxidase conjugated at 1/1000 dilution

Predicted band size: 11 kDa

false

Exposure time: 15s

Immunohistochemistry (Formalin/PFA-fixed paraffin-embedded sections) - Anti-Histone H4 (acetyl K12) antibody [EPR17906] - BSA and Azide free (AB249998)
  • IHC-P

Supplier Data

Immunohistochemistry (Formalin/PFA-fixed paraffin-embedded sections) - Anti-Histone H4 (acetyl K12) antibody [EPR17906] - BSA and Azide free (AB249998)

This data was developed using ab177793, the same antibody clone in a different buffer formulation.

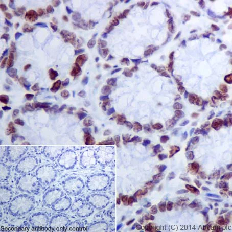
Immunohistochemical analysis of paraffin-embedded Rat colon tissue labeling Histone H4 (acetyl K12) with ab177793 at 1/4000 dilution, followed by Goat Anti-Rabbit IgG H&L (HRP) (ab97051) at 1/500. Nucleus staining on Rat colon tissue is observed. Counter stained with Hematoxylin.

Negative control : Using PBS instead of primary antibody.

Perform heat mediated antigen retrieval with Tris/EDTA buffer pH 9.0 before commencing with IHC staining protocol.

Flow Cytometry (Intracellular) - Anti-Histone H4 (acetyl K12) antibody [EPR17906] - BSA and Azide free (AB249998)
  • Flow Cyt (Intra)

Lab

Flow Cytometry (Intracellular) - Anti-Histone H4 (acetyl K12) antibody [EPR17906] - BSA and Azide free (AB249998)

This data was developed using ab177793, the same antibody clone in a different buffer formulation.

Intracellular Flow Cytometry analysis of HeLa (human cervix adenocarcinoma) treated (Red)/untreated (Green) with 500ng/ml Trichostatin A for 4 hours with purified ab177793 at 1/80 dilution. The secondary antibody was Goat anti rabbit IgG (Alexa Fluor® 488) at 1/2000 dilution. A Rabbit monoclonal IgG (Black) was used as the isotype control and cells without incubation with primary antibody and secondary antibody (Blue) were used as unlabeled control.

Immunocytochemistry/ Immunofluorescence - Anti-Histone H4 (acetyl K12) antibody [EPR17906] - BSA and Azide free (AB249998)
  • ICC/IF

Supplier Data

Immunocytochemistry/ Immunofluorescence - Anti-Histone H4 (acetyl K12) antibody [EPR17906] - BSA and Azide free (AB249998)

This data was developed using ab177793, the same antibody clone in a different buffer formulation.

Immunofluorescent analysis of 4% paraformaldehyde-fixed, 0.1% Triton X-100 permeabilized HeLa (Human epithelial cells from cervix adenocarcinoma) cells, treated with Trichostatin A (500 ng/ml) for 4 hours or untreated, labeling Histone H4 (acetyl K12) with ab177793 at 1/2000 dilution, followed by Goat anti-rabbit IgG (Alexa Fluor® 488) (ab150077) secondary antibody at 1/500 dilution (green). Confocal image showing nuclear staining on HeLa cell line is observed. Acetylation level increased after treatment with Trichostatin A (500 ng/ml) for 4 hours. The nuclear counter stain is DAPI (blue). Tubulin is detected with ab7291 (anti-Tubulin mouse mAb) at 1/1000 dilution and ab150120 (AlexaFluor®594 Goat anti-Mouse secondary) at 1/500 dilution (red).
The negative controls are as follows;
1. ab177793 at 1/2000 dilution followed by ab150120 (AlexaFluor®594 Goat anti-Mouse secondary) at 1/500 dilution.
2. ab7291 (anti-Tubulin mouse mAb) at 1/1000 dilution followed by ab150077 (Alexa Fluor®488 Goat Anti-Rabbit IgG H&L) at 1/500 dilution.

Immunohistochemistry (Formalin/PFA-fixed paraffin-embedded sections) - Anti-Histone H4 (acetyl K12) antibody [EPR17906] - BSA and Azide free (AB249998)
  • IHC-P

Supplier Data

Immunohistochemistry (Formalin/PFA-fixed paraffin-embedded sections) - Anti-Histone H4 (acetyl K12) antibody [EPR17906] - BSA and Azide free (AB249998)

This data was developed using ab177793, the same antibody clone in a different buffer formulation.

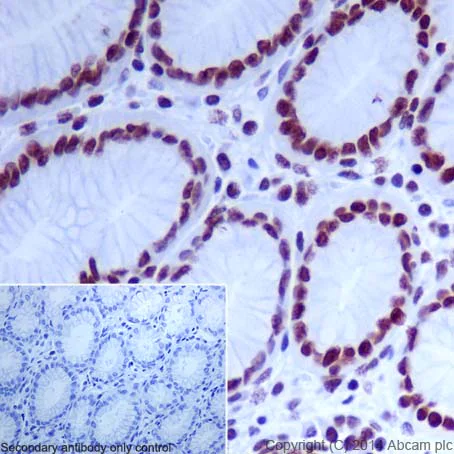
Immunohistochemical analysis of paraffin-embedded Human colon tissue labeling Histone H4 (acetyl K12) with ab177793 at 1/4000 dilution, followed by Goat Anti-Rabbit IgG H&L (HRP) (ab97051) at 1/500. Nucleus staining on Human colon tissue is observed. Counter stained with Hematoxylin.

Negative control : Using PBS instead of primary antibody.

Perform heat mediated antigen retrieval with Tris/EDTA buffer pH 9.0 before commencing with IHC staining protocol.

Peptide Array - Anti-Histone H4 (acetyl K12) antibody [EPR17906] - BSA and Azide free (AB249998)
  • PepArr

Unknown

Peptide Array - Anti-Histone H4 (acetyl K12) antibody [EPR17906] - BSA and Azide free (AB249998)

This data was developed using ab177793, the same antibody clone in a different buffer formulation.

ab177793 was tested in Peptide array against 501 different modified and unmodified histone peptides; each peptide is printed on the array at six concentrations (each in triplicate).
Circle area represents affinity between the antibody and a peptide : all antigen-containing peptides are displayed as red circles, all other peptides as blue circles. The affinity is calculated as area under curve when antibody binding values are plotted against the corresponding peptide concentration. Each circle area is normalized to the peptide with the strongest affinity.
The complete dataset, including full list of all peptides and information on the position of each peptide in the diagram, is available under the Product Protocol section.

  • Unconjugated

    Anti-Histone H4 (acetyl K12) antibody [EPR17906]

  • 775 Alexa Fluor® 750

    Alexa Fluor® 750 Anti-Histone H4 (acetyl K12) antibody [EPR17906]

  • 660 APC

    APC Anti-Histone H4 (acetyl K12) antibody [EPR17906]

  • HRP

    HRP Anti-Histone H4 (acetyl K12) antibody [EPR17906]

  • 617 Alexa Fluor® 594

    Alexa Fluor® 594 Anti-Histone H4 (acetyl K12) antibody [EPR17906]

  • 519 Alexa Fluor® 488

    Alexa Fluor® 488 Anti-Histone H4 (acetyl K12) antibody [EPR17906]

  • 665 Alexa Fluor® 647

    Alexa Fluor® 647 Anti-Histone H4 (acetyl K12) antibody [EPR17906]

  • 603 Alexa Fluor® 568

    Alexa Fluor® 568 Anti-Histone H4 (acetyl K12) antibody [EPR17906]

  • 565 Alexa Fluor® 555

    Alexa Fluor® 555 Anti-Histone H4 (acetyl K12) antibody [EPR17906]

  • 578 PE

    PE Anti-Histone H4 (acetyl K12) antibody [EPR17906]

Key facts

Host species

Rabbit

Clonality

Monoclonal

Clone number

EPR17906

Isotype

IgG

Carrier free

Yes

Reacts with

Mouse, Rat, Human

Applications

WB, PepArr, Flow Cyt (Intra), IHC-P, ICC/IF

applications

Immunogen

The exact immunogen used to generate this antibody is proprietary information.

Reactivity data

{ "title": "Reactivity Data", "filters": { "stats": ["", "Species", "Dilution Info", "Notes"], "tabs": { "all-applications": {"fullname" : "All Applications", "shortname": "All Applications"}, "WB" : {"fullname" : "Western blot", "shortname":"WB"}, "PepArr" : {"fullname" : "Peptide Array", "shortname":"PepArr"}, "ICCIF" : {"fullname" : "Immunocytochemistry/ Immunofluorescence", "shortname":"ICC/IF"}, "FlowCytIntra" : {"fullname" : "Flow Cytometry (Intracellular)", "shortname":"Flow Cyt (Intra)"}, "IHCP" : {"fullname" : "Immunohistochemistry (Formalin/PFA-fixed paraffin-embedded sections)", "shortname":"IHC-P"} }, "product-promise": { "all": "all", "testedAndGuaranteed": "tested", "guaranteed": "expected", "predicted": "predicted", "notRecommended": "not-recommended" } }, "values": { "Human": { "WB-species-checked": "testedAndGuaranteed", "WB-species-dilution-info": "", "WB-species-notes": "<p></p> Perform heat-mediated antigen retrieval with Tris/EDTA buffer pH 9.0 before commencing with IHC staining protocol.", "PepArr-species-checked": "testedAndGuaranteed", "PepArr-species-dilution-info": "", "PepArr-species-notes": "<p></p>", "ICCIF-species-checked": "testedAndGuaranteed", "ICCIF-species-dilution-info": "", "ICCIF-species-notes": "<p></p>", "FlowCytIntra-species-checked": "testedAndGuaranteed", "FlowCytIntra-species-dilution-info": "", "FlowCytIntra-species-notes": "<p></p>", "IHCP-species-checked": "testedAndGuaranteed", "IHCP-species-dilution-info": "", "IHCP-species-notes": "<p></p> Perform heat-mediated antigen retrieval with Tris/EDTA buffer pH 9.0 before commencing with IHC staining protocol." }, "Mouse": { "WB-species-checked": "testedAndGuaranteed", "WB-species-dilution-info": "", "WB-species-notes": "<p></p> Perform heat-mediated antigen retrieval with Tris/EDTA buffer pH 9.0 before commencing with IHC staining protocol.", "PepArr-species-checked": "guaranteed", "PepArr-species-dilution-info": "", "PepArr-species-notes": "", "ICCIF-species-checked": "guaranteed", "ICCIF-species-dilution-info": "", "ICCIF-species-notes": "", "FlowCytIntra-species-checked": "guaranteed", "FlowCytIntra-species-dilution-info": "", "FlowCytIntra-species-notes": "", "IHCP-species-checked": "guaranteed", "IHCP-species-dilution-info": "", "IHCP-species-notes": "" }, "Rat": { "WB-species-checked": "guaranteed", "WB-species-dilution-info": "", "WB-species-notes": "", "PepArr-species-checked": "guaranteed", "PepArr-species-dilution-info": "", "PepArr-species-notes": "", "ICCIF-species-checked": "guaranteed", "ICCIF-species-dilution-info": "", "ICCIF-species-notes": "", "FlowCytIntra-species-checked": "guaranteed", "FlowCytIntra-species-dilution-info": "", "FlowCytIntra-species-notes": "", "IHCP-species-checked": "testedAndGuaranteed", "IHCP-species-dilution-info": "", "IHCP-species-notes": "<p></p> Perform heat-mediated antigen retrieval with Tris/EDTA buffer pH 9.0 before commencing with IHC staining protocol." } } }

Product details

ab249998 is the carrier-free version of ab177793.

Patented technology
Our RabMAb® technology is a patented hybridoma-based technology for making rabbit monoclonal antibodies. For details on our patents, please refer to RabMAb® patents.

What are the advantages of a recombinant monoclonal antibody?
This product is a recombinant monoclonal antibody, which offers several advantages including:

  • - High batch-to-batch consistency and reproducibility
  • - Improved sensitivity and specificity
  • - Long-term security of supply
  • - Animal-free batch production

For more information, read more on recombinant antibodies.

Conjugation ready
Our carrier-free antibodies are typically supplied in a PBS-only formulation, purified and free of BSA, sodium azide and glycerol. This conjugation-ready format is designed for use with fluorochromes, metal isotopes, oligonucleotides, and enzymes, which makes them ideal for antibody labelling, functional and cell-based assays, flow-based assays (e.g. mass cytometry) and Multiplex Imaging applications.

Use our conjugation kits for antibody conjugates that are ready-to-use in as little as 20 minutes with 1 minute hands-on-time and 100% antibody recovery: available for fluorescent dyes, HRP, biotin and gold.

Compatibility
This product is compatible with the Maxpar® Antibody Labeling Kit from Fluidigm, without the need for antibody preparation. Maxpar® is a trademark of Fluidigm Canada Inc.

Properties and storage information

Form
Liquid
Purification technique
Affinity purification Protein A
Storage buffer
pH: 7.2 - 7.4 Constituents: PBS
Shipped at conditions
Blue Ice
Appropriate short-term storage conditions
+4°C
Appropriate long-term storage conditions
+4°C
Storage information
Do Not Freeze

Product protocols

For this product, it's our understanding that no specific protocols are required. You can visit:

Target data

Core component of nucleosome. Nucleosomes wrap and compact DNA into chromatin, limiting DNA accessibility to the cellular machineries which require DNA as a template. Histones thereby play a central role in transcription regulation, DNA repair, DNA replication and chromosomal stability. DNA accessibility is regulated via a complex set of post-translational modifications of histones, also called histone code, and nucleosome remodeling.
See full target information H4C1 acetyl L12

Product promise

We are committed to supporting your work with high-quality reagents, and we're here for you every step of the way. In the unlikely event that one of our products does not perform as expected, you're protected by our Product Promise.
For full details, please see our Terms & Conditions
peptideArrayWebsite
en

Associated Products

Select an associated product type
Alternative Version
Primary Antibodies

AB306013

APC Anti-Histone H4 (acetyl K12) antibody [EPR17906]

primary-antibodies

apc-histone-h4-acetyl-k12-antibody-epr17906-ab306013

0

(0 reviews)

Alternative Version
Primary Antibodies

AB306014

HRP Anti-Histone H4 (acetyl K12) antibody [EPR17906]

primary-antibodies

hrp-histone-h4-acetyl-k12-antibody-epr17906-ab306014

0

(0 reviews)

Alternative Version
Primary Antibodies

AB310508

Alexa Fluor® 594 Anti-Histone H4 (acetyl K12) antibody [EPR17906]

primary-antibodies

alexa-fluor-594-histone-h4-acetyl-k12-antibody-epr17906-ab310508

0

(0 reviews)

Alternative Version
Primary Antibodies

AB309737

Alexa Fluor® 488 Anti-Histone H4 (acetyl K12) antibody [EPR17906]

primary-antibodies

alexa-fluor-488-histone-h4-acetyl-k12-antibody-epr17906-ab309737

0

(0 reviews)

Alternative Version
Primary Antibodies

AB310103

Alexa Fluor® 647 Anti-Histone H4 (acetyl K12) antibody [EPR17906]

primary-antibodies

alexa-fluor-647-histone-h4-acetyl-k12-antibody-epr17906-ab310103

0

(0 reviews)

Alternative Version
Primary Antibodies

AB312514

Alexa Fluor® 568 Anti-Histone H4 (acetyl K12) antibody [EPR17906]

primary-antibodies

alexa-fluor-568-histone-h4-acetyl-k12-antibody-epr17906-ab312514

0

(0 reviews)

Alternative Version
Primary Antibodies

AB312037

Alexa Fluor® 555 Anti-Histone H4 (acetyl K12) antibody [EPR17906]

primary-antibodies

alexa-fluor-555-histone-h4-acetyl-k12-antibody-epr17906-ab312037

0

(0 reviews)

Alternative Version
Primary Antibodies

AB306012

PE Anti-Histone H4 (acetyl K12) antibody [EPR17906]

primary-antibodies

pe-histone-h4-acetyl-k12-antibody-epr17906-ab306012

0

(0 reviews)

Please note: All products are 'FOR RESEARCH USE ONLY. NOT FOR USE IN DIAGNOSTIC OR THERAPEUTIC PROCEDURES'.

For licensing inquiries, please contact partnerships@abcam.com