JavaScript is disabled in your browser. Please enable JavaScript to view this website.
AB232507

Anti-Histone H4 (acetyl K5) antibody [EP1000Y] - BSA and Azide free

Be the first to review this product! Submit a review

|

(2 Publications)

Rabbit Recombinant Monoclonal Histone H4 acetyl K5 antibody. Carrier free. Suitable for IHC-P, IP, ChIP, ELISA, WB, ICC/IF and reacts with Mouse, Rat, Human, Synthetic peptide samples. Cited in 2 publications.

View Alternative Names

H4/A, H4FA, HIST1H4A, H4C2, H4/I, H4FI, HIST1H4B, H4C3, H4/G, H4FG, HIST1H4C, H4C4, H4/B, H4FB, HIST1H4D, H4C5, H4/J, H4FJ, HIST1H4E, H4C6, H4/C, H4FC, HIST1H4F, H4C8, H4/H, H4FH, HIST1H4H, H4C9, H4/M, H4FM, HIST1H4I, H4C11, H4/E, H4FE, HIST1H4J, H4C12, H4/D, H4FD, HIST1H4K, H4C13, H4/K, H4FK, HIST1H4L, H4C14, H4/N, H4F2, H4FN, HIST2H4, HIST2H4A, H4C15, H4/O, H4FO, HIST2H4B, H4C16, H4-16, HIST4H4, H4C1, Histone H4, H4K5ac

11 Images
Immunohistochemistry (Formalin/PFA-fixed paraffin-embedded sections) - Anti-Histone H4 (acetyl K5) antibody [EP1000Y] - BSA and Azide free (AB232507)
  • IHC-P

Unknown

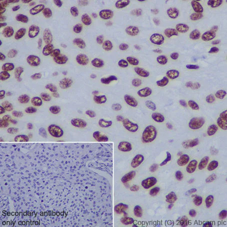
Immunohistochemistry (Formalin/PFA-fixed paraffin-embedded sections) - Anti-Histone H4 (acetyl K5) antibody [EP1000Y] - BSA and Azide free (AB232507)

Immunohistochemistry (Formalin/PFA-fixed paraffin-embedded sections) analysis of human cervical carcinoma tissue sections labeling Histone H4 (acetyl K5) with purified ab51997 at 1/500 dilution (1 μg/ml). Heat mediated antigen retrieval was performed using EDTA Buffer, PH9. Hematoxylin was used to counter stain. ab97051, a Goat Anti-Rabbit IgG H&L (HRP) secondary antibody was used at 1/500 dilution. PBS instead of the primary antibody was used as the negative control.

This data was developed using the same antibody clone in a different buffer formulation containing PBS, BSA, glycerol, and sodium azide (ab51997).

Immunohistochemistry (Formalin/PFA-fixed paraffin-embedded sections) - Anti-Histone H4 (acetyl K5) antibody [EP1000Y] - BSA and Azide free (AB232507)
  • IHC-P

Supplier Data

Immunohistochemistry (Formalin/PFA-fixed paraffin-embedded sections) - Anti-Histone H4 (acetyl K5) antibody [EP1000Y] - BSA and Azide free (AB232507)

Immunohistochemical analysis of unpurified ab51997 staining Histone H4 (acetyl K5) in formalin-fixed, paraffin-embedded human colon-tissue sections, performed on a leica bond. The section was pre-treated using heat mediated antigen retrieval with sodium citrate buffer (pH6, epitope retrieval solution 1) for 20 mins. The section was then incubated with ab51997, 1/200 dilution, for 15 mins at room temperature and detected using an HRP conjugated compact polymer system. DAB was used as the chromogen. The section was then counterstained with haematoxylin and mounted with DPX. No primary antibody was used in the negative control (shown on the inset).

This data was developed using the same antibody clone in a different buffer formulation containing PBS, BSA, glycerol, and sodium azide (ab51997).

Immunocytochemistry/ Immunofluorescence - Anti-Histone H4 (acetyl K5) antibody [EP1000Y] - BSA and Azide free (AB232507)
  • ICC/IF

Unknown

Immunocytochemistry/ Immunofluorescence - Anti-Histone H4 (acetyl K5) antibody [EP1000Y] - BSA and Azide free (AB232507)

ICC/IF image of unpurtified ab51997 stained HeLa cells. The cells were 100% methanol fixed (5 min) and then incubated in 1%BSA / 10% normal goat serum / 0.3M glycine in 0.1% PBS-Tween for 1h to permeabilise the cells and block non-specific protein-protein interactions. The cells were then incubated with the antibody (ab51997, 1/1000 dilution) overnight at +4°C. The secondary antibody (green) was Alexa Fluor® 488 goat anti-rabbit IgG (H+L) used at a 1/1000 dilution for 1h. Alexa Fluor® 594 WGA was used to label plasma membranes (red) at a 1/200 dilution for 1h. DAPI was used to stain the cell nuclei (blue) at a concentration of 1.43µM.

This data was developed using the same antibody clone in a different buffer formulation containing PBS, BSA, glycerol, and sodium azide (ab51997).

Immunocytochemistry/ Immunofluorescence - Anti-Histone H4 (acetyl K5) antibody [EP1000Y] - BSA and Azide free (AB232507)
  • ICC/IF

Unknown

Immunocytochemistry/ Immunofluorescence - Anti-Histone H4 (acetyl K5) antibody [EP1000Y] - BSA and Azide free (AB232507)

Immunocytochemistry/ Immunofluorescence analysis of HeLa (Human epithelial cell line from cervix adenocarcinoma)treated with 500ng/m Trichostatin A for 4 hours labeling Histone H4 (acetyl K5) with purified ab51997 at 1/5000 dilution (0.1μg/ml). Cells were fixed with 4% paraformaldehyde and permeabilized with 0.1% tritonX-100. ab195889, an Anti-alpha Tubulin antibody [DM1A] - Microtubule Marker (Alexa Fluor® 594) was used to counterstain at 1/200 (2.5 μg/ml). ab150077, a Goat anti rabbit IgG(Alexa Fluor® 488) secondary antibody was used at 1/1000 dilution. PBS instead of the primary antibody was used as a control. DAPI nuclear staining.

This data was developed using the same antibody clone in a different buffer formulation containing PBS, BSA, glycerol, and sodium azide (ab51997).

Immunoprecipitation - Anti-Histone H4 (acetyl K5) antibody [EP1000Y] - BSA and Azide free (AB232507)
  • IP

Unknown

Immunoprecipitation - Anti-Histone H4 (acetyl K5) antibody [EP1000Y] - BSA and Azide free (AB232507)

ab51997 (purified) at 1/30 dilution (2μg) immunoprecipitating Histone H4 (acetyl K5) in HeLa (Human epithelial cell line from cervix adenocarcinoma) treated with TSA whole cell lysate.

Lane 1 (input) : HeLa (Human epithelial cell line from cervix adenocarcinoma) treated with TSA whole cell lysate 10ug
Lane 2 (+) : ab51997+ HeLa (Human epithelial cell line from cervix adenocarcinoma) treated with TSA whole cell lysate
Lane 3 (-) : Rabbit monoclonal IgG (ab172730) instead of ab51997 in HeLa (Human epithelial cell line from cervix adenocarcinoma) treated with TSA whole cell lysate

For western blotting, VeriBlot for IP Detection Reagent (HRP) (ab131366), was used for detection at 1/10,000 dilution.

Blocking and diluting buffer and concentration : 5% NFDM/TBST.

This data was developed using the same antibody clone in a different buffer formulation containing PBS, BSA, glycerol, and sodium azide (ab51997).

All lanes:

Immunoprecipitation - Anti-Histone H4 (acetyl K5) antibody [EP1000Y] - ChIP Grade (<a href='/en-us/products/primary-antibodies/histone-h4-acetyl-k5-antibody-ep1000y-chip-grade-ab51997'>ab51997</a>)

Predicted band size: 11 kDa

Observed band size: 11 kDa

false

Immunohistochemistry (Formalin/PFA-fixed paraffin-embedded sections) - Anti-Histone H4 (acetyl K5) antibody [EP1000Y] - BSA and Azide free (AB232507)
  • IHC-P

Unknown

Immunohistochemistry (Formalin/PFA-fixed paraffin-embedded sections) - Anti-Histone H4 (acetyl K5) antibody [EP1000Y] - BSA and Azide free (AB232507)

Immunohistochemistry (Formalin/PFA-fixed paraffin-embedded sections) analysis of rat cerebral cortex tissue sections labeling Histone H4 (acetyl K5) with purified ab51997 at 1/500 dilution (1 μg/ml). Heat mediated antigen retrieval was performed using EDTA Buffer, PH9. Hematoxylin was used to counter stain. ab97051, a Goat Anti-Rabbit IgG H&L (HRP) secondary antibody was used at 1/500 dilution. PBS instead of the primary antibody was used as the negative control.

This data was developed using the same antibody clone in a different buffer formulation containing PBS, BSA, glycerol, and sodium azide (ab51997).

Immunohistochemistry (Formalin/PFA-fixed paraffin-embedded sections) - Anti-Histone H4 (acetyl K5) antibody [EP1000Y] - BSA and Azide free (AB232507)
  • IHC-P

Unknown

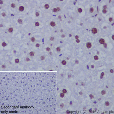
Immunohistochemistry (Formalin/PFA-fixed paraffin-embedded sections) - Anti-Histone H4 (acetyl K5) antibody [EP1000Y] - BSA and Azide free (AB232507)

Immunohistochemistry (Formalin/PFA-fixed paraffin-embedded sections) analysis of mouse liver tissue sections labeling Histone H4 (acetyl K5) with purified ab51997 at 1/500 dilution (1 μg/ml). Heat mediated antigen retrieval was performed using EDTA Buffer, PH9. Hematoxylin was used to counter stain. ab97051, a Goat Anti-Rabbit IgG H&L (HRP) secondary antibody was used at 1/500 dilution. PBS instead of the primary antibody was used as the negative control.

This data was developed using the same antibody clone in a different buffer formulation containing PBS, BSA, glycerol, and sodium azide (ab51997).

ChIP - Anti-Histone H4 (acetyl K5) antibody [EP1000Y] - BSA and Azide free (AB232507)
  • ChIP

Unknown

ChIP - Anti-Histone H4 (acetyl K5) antibody [EP1000Y] - BSA and Azide free (AB232507)

This data was developed using the same antibody clone in a different buffer formulation (ab51997).

Chromatin was prepared from MEF (Mouse embryonic fibroblast cell line) cells according to the Abcam X-ChIP protocol. Cells were fixed with formaldehyde for 10 minutes. The ChIP was performed with 25μg of chromatin, 5μg of ab51997 (red), and 20 μl protein A/G sepharose beads. 2μg of rabbit normal IgG was added to the beads control (grey). The immunoprecipitated DNA was quantified by real time PCR (Sybr green approach).

ELISA - Anti-Histone H4 (acetyl K5) antibody [EP1000Y] - BSA and Azide free (AB232507)
  • ELISA

Unknown

ELISA - Anti-Histone H4 (acetyl K5) antibody [EP1000Y] - BSA and Azide free (AB232507)

Direct ELISA with Histone H4 K5ac peptide, Histone H4 K8ac peptide, Histone H4 K16me1 peptide, Histone H4 K16me3 peptide, and Histone H4 unmodified peptide, all at 1000ng/ml. ab51997 used as the primary antibody at a range of 0~1000ng/ml. Alkaline Phosphatase-conjugated AffiniPure Goat Anti-Rabbit IgG(H+L) used as the secondary antibody at 1 : 2500 dilution.

This data was developed using the same antibody clone in a different buffer formulation containing PBS, BSA, glycerol, and sodium azide (ab51997).

ELISA - Anti-Histone H4 (acetyl K5) antibody [EP1000Y] - BSA and Azide free (AB232507)
  • ELISA

Unknown

ELISA - Anti-Histone H4 (acetyl K5) antibody [EP1000Y] - BSA and Azide free (AB232507)

Direct ELISA with Histone H4 K5ac peptide, Histone H4 K8ac peptide, Histone H4 K16me1 peptide, Histone H4 K16me3 peptide, and Histone H4 unmodified peptide, all at 10ng/ml. ab51997 used as the primary antibody at a range of 0~1000ng/ml. Alkaline Phosphatase-conjugated AffiniPure Goat Anti-Rabbit IgG(H+L) used as the secondary antibody at 1 : 2500 dilution.

This data was developed using the same antibody clone in a different buffer formulation containing PBS, BSA, glycerol, and sodium azide (ab51997).

ELISA - Anti-Histone H4 (acetyl K5) antibody [EP1000Y] - BSA and Azide free (AB232507)
  • ELISA

Unknown

ELISA - Anti-Histone H4 (acetyl K5) antibody [EP1000Y] - BSA and Azide free (AB232507)

Direct ELISA with Histone H4 K5ac peptide, Histone H4 K8ac peptide, Histone H4 K16me1 peptide, Histone H4 K16me3 peptide, and Histone H4 unmodified peptide, all at 100ng/ml. ab51997 used as the primary antibody at a range of 0~1000ng/ml. Alkaline Phosphatase-conjugated AffiniPure Goat Anti-Rabbit IgG(H+L) used as the secondary antibody at 1 : 2500 dilution.

This data was developed using the same antibody clone in a different buffer formulation containing PBS, BSA, glycerol, and sodium azide (ab51997).

  • Unconjugated

    Anti-Histone H4 (acetyl K5) antibody [EP1000Y] - ChIP Grade

  • Biotin

    Biotin Anti-Histone H4 (acetyl K5) antibody [EP1000Y]

  • 519 Alexa Fluor® 488

    Alexa Fluor® 488 Anti-Histone H4 (acetyl K5) antibody [EP1000Y]

Key facts

Host species

Rabbit

Clonality

Monoclonal

Clone number

EP1000Y

Isotype

IgG

Carrier free

Yes

Reacts with

Mouse, Rat, Human

Applications

IHC-P, ChIP, WB, ICC/IF, IP, ELISA

applications

Immunogen

The exact immunogen used to generate this antibody is proprietary information.

Specificity

This antibody cross-reacts with H4K8ac and H4unmod peptides in peptide array assay. However, the cross-reactivity is minimal in ELISA when using optimized peptide concentration (images on website). Further optimization is needed to minimize the cross-reactivity in assays similar to peptide array.

Reactivity data

{ "title": "Reactivity Data", "filters": { "stats": ["", "Species", "Dilution Info", "Notes"], "tabs": { "all-applications": {"fullname" : "All Applications", "shortname": "All Applications"}, "IHCP" : {"fullname" : "Immunohistochemistry (Formalin/PFA-fixed paraffin-embedded sections)", "shortname":"IHC-P"}, "IP" : {"fullname" : "Immunoprecipitation", "shortname":"IP"}, "ChIP" : {"fullname" : "ChIP", "shortname":"ChIP"}, "ELISA" : {"fullname" : "ELISA", "shortname":"ELISA"}, "WB" : {"fullname" : "Western blot", "shortname":"WB"}, "ICCIF" : {"fullname" : "Immunocytochemistry/ Immunofluorescence", "shortname":"ICC/IF"} }, "product-promise": { "all": "all", "testedAndGuaranteed": "tested", "guaranteed": "expected", "predicted": "predicted", "notRecommended": "not-recommended" } }, "values": { "Human": { "IHCP-species-checked": "testedAndGuaranteed", "IHCP-species-dilution-info": "", "IHCP-species-notes": "<p></p>", "IP-species-checked": "testedAndGuaranteed", "IP-species-dilution-info": "", "IP-species-notes": "<p></p>", "ChIP-species-checked": "guaranteed", "ChIP-species-dilution-info": "", "ChIP-species-notes": "", "ELISA-species-checked": "guaranteed", "ELISA-species-dilution-info": "", "ELISA-species-notes": "", "WB-species-checked": "testedAndGuaranteed", "WB-species-dilution-info": "", "WB-species-notes": "<p></p>", "ICCIF-species-checked": "testedAndGuaranteed", "ICCIF-species-dilution-info": "", "ICCIF-species-notes": "<p></p>" }, "Mouse": { "IHCP-species-checked": "testedAndGuaranteed", "IHCP-species-dilution-info": "", "IHCP-species-notes": "<p></p>", "IP-species-checked": "guaranteed", "IP-species-dilution-info": "", "IP-species-notes": "", "ChIP-species-checked": "testedAndGuaranteed", "ChIP-species-dilution-info": "5 µg for 25 µg chromatin", "ChIP-species-notes": "<p></p>", "ELISA-species-checked": "guaranteed", "ELISA-species-dilution-info": "", "ELISA-species-notes": "", "WB-species-checked": "testedAndGuaranteed", "WB-species-dilution-info": "", "WB-species-notes": "<p></p>", "ICCIF-species-checked": "guaranteed", "ICCIF-species-dilution-info": "", "ICCIF-species-notes": "" }, "Rat": { "IHCP-species-checked": "testedAndGuaranteed", "IHCP-species-dilution-info": "", "IHCP-species-notes": "<p></p>", "IP-species-checked": "guaranteed", "IP-species-dilution-info": "", "IP-species-notes": "", "ChIP-species-checked": "guaranteed", "ChIP-species-dilution-info": "", "ChIP-species-notes": "", "ELISA-species-checked": "guaranteed", "ELISA-species-dilution-info": "", "ELISA-species-notes": "", "WB-species-checked": "testedAndGuaranteed", "WB-species-dilution-info": "", "WB-species-notes": "<p></p>", "ICCIF-species-checked": "guaranteed", "ICCIF-species-dilution-info": "", "ICCIF-species-notes": "" }, "Synthetic peptide": { "IHCP-species-checked": "notRecommended", "IHCP-species-dilution-info": "", "IHCP-species-notes": "", "IP-species-checked": "notRecommended", "IP-species-dilution-info": "", "IP-species-notes": "", "ChIP-species-checked": "notRecommended", "ChIP-species-dilution-info": "", "ChIP-species-notes": "", "ELISA-species-checked": "testedAndGuaranteed", "ELISA-species-dilution-info": "", "ELISA-species-notes": "<p></p>", "WB-species-checked": "notRecommended", "WB-species-dilution-info": "", "WB-species-notes": "", "ICCIF-species-checked": "notRecommended", "ICCIF-species-dilution-info": "", "ICCIF-species-notes": "" } } }

Product details

ab232507 is the carrier-free version of ab51997.

Patented technology
Our RabMAb® technology is a patented hybridoma-based technology for making rabbit monoclonal antibodies. For details on our patents, please refer to RabMAb® patents.

What are the advantages of a recombinant monoclonal antibody?
This product is a recombinant monoclonal antibody, which offers several advantages including:

  • - High batch-to-batch consistency and reproducibility
  • - Improved sensitivity and specificity
  • - Long-term security of supply
  • - Animal-free batch production

For more information, read more on recombinant antibodies.

Conjugation ready
Our carrier-free antibodies are typically supplied in a PBS-only formulation, purified and free of BSA, sodium azide and glycerol. This conjugation-ready format is designed for use with fluorochromes, metal isotopes, oligonucleotides, and enzymes, which makes them ideal for antibody labelling, functional and cell-based assays, flow-based assays (e.g. mass cytometry) and Multiplex Imaging applications.

Use our conjugation kits for antibody conjugates that are ready-to-use in as little as 20 minutes with 1 minute hands-on-time and 100% antibody recovery: available for fluorescent dyes, HRP, biotin and gold.

Compatibility
This product is compatible with the Maxpar® Antibody Labeling Kit from Fluidigm, without the need for antibody preparation. Maxpar® is a trademark of Fluidigm Canada Inc.

Properties and storage information

Form
Liquid
Purification technique
Affinity purification Protein A
Storage buffer
pH: 7.2 - 7.4 Constituents: PBS
Shipped at conditions
Blue Ice
Appropriate short-term storage conditions
+4°C
Appropriate long-term storage conditions
+4°C
Storage information
Do Not Freeze

Product protocols

For this product, it's our understanding that no specific protocols are required. You can visit:

Target data

Core component of nucleosome. Nucleosomes wrap and compact DNA into chromatin, limiting DNA accessibility to the cellular machineries which require DNA as a template. Histones thereby play a central role in transcription regulation, DNA repair, DNA replication and chromosomal stability. DNA accessibility is regulated via a complex set of post-translational modifications of histones, also called histone code, and nucleosome remodeling.
See full target information H4C1 acetyl K5

Publications (2)

Recent publications for all applications. Explore the full list and refine your search

Cell reports 42:112296 PubMed36961817

2023

Arginine shortage induces replication stress and confers genotoxic resistance by inhibiting histone H4 translation and promoting PCNA ubiquitination.

Applications

Unspecified application

Species

Unspecified reactive species

Yi-Chang Wang,Andrew A Kelso,Adak Karamafrooz,Yi-Hsuan Chen,Wei-Kai Chen,Chun-Ting Cheng,Yue Qi,Long Gu,Linda Malkas,Angelo Taglialatela,Hsing-Jien Kung,George-Lucian Moldovan,Alberto Ciccia,Jeremy M Stark,David K Ann

Oncoimmunology 11:2079182 PubMed35707221

2022

Glucose metabolism inhibitor PFK-015 combined with immune checkpoint inhibitor is an effective treatment regimen in cancer.

Applications

Unspecified application

Species

Unspecified reactive species

Jia Bo Zheng,Chau Wei Wong,Jia Liu,Xiao-Jing Luo,Wei-Yi Zhou,Yan-Xing Chen,Hui-Yan Luo,Zhao-Lei Zeng,Chao Ren,Xiao-Ming Xie,De-Shen Wang
View all publications

Product promise

We are committed to supporting your work with high-quality reagents, and we're here for you every step of the way. In the unlikely event that one of our products does not perform as expected, you're protected by our Product Promise.
For full details, please see our Terms & Conditions

Please note: All products are 'FOR RESEARCH USE ONLY. NOT FOR USE IN DIAGNOSTIC OR THERAPEUTIC PROCEDURES'.

For licensing inquiries, please contact partnerships@abcam.com