JavaScript is disabled in your browser. Please enable JavaScript to view this website.
AB45166

Anti-Histone H4 (acetyl K8) antibody [EP1002Y] - ChIP Grade

  • RabMAb
  • Advanced Validation
  • Recombinant
  • 20ul selling size
  • What is this?

5

(4 Reviews)

|

(38 Publications)

Rabbit Recombinant Monoclonal Histone H4 acetyl K8 antibody. Suitable for IP, ChIP, WB, ICC/IF, ChIP-seq, Flow Cyt (Intra), IHC-P and reacts with Human, Mouse, Rat samples. Cited in 38 publications.

View Alternative Names

H4/A, H4FA, HIST1H4A, H4C2, H4/I, H4FI, HIST1H4B, H4C3, H4/G, H4FG, HIST1H4C, H4C4, H4/B, H4FB, HIST1H4D, H4C5, H4/J, H4FJ, HIST1H4E, H4C6, H4/C, H4FC, HIST1H4F, H4C8, H4/H, H4FH, HIST1H4H, H4C9, H4/M, H4FM, HIST1H4I, H4C11, H4/E, H4FE, HIST1H4J, H4C12, H4/D, H4FD, HIST1H4K, H4C13, H4/K, H4FK, HIST1H4L, H4C14, H4/N, H4F2, H4FN, HIST2H4, HIST2H4A, H4C15, H4/O, H4FO, HIST2H4B, H4C16, H4-16, HIST4H4, H4C1, Histone H4, H4K8ac

12 Images
Flow Cytometry (Intracellular) - Anti-Histone H4 (acetyl K8) antibody [EP1002Y] - ChIP Grade (AB45166)
  • Flow Cyt (Intra)

Unknown

Flow Cytometry (Intracellular) - Anti-Histone H4 (acetyl K8) antibody [EP1002Y] - ChIP Grade (AB45166)

Intracellular Flow Cytometry analysis of HeLa (human cervix adenocarcinoma) treated (Red)/untreated (Green) with 500ng/ml Trichostatin A for 4 hours with purified ab45166 at 1/20 dilution. The secondary antibody was Goat anti rabbit IgG (Alexa Fluorr® 488) at 1/2000 dilution. A Rabbit monoclonal IgG (Black) was used as the isotype control and cells without incubation with primary antibody and secondary antibody (Blue) were used as unlabeled control.

Immunohistochemistry (Formalin/PFA-fixed paraffin-embedded sections) - Anti-Histone H4 (acetyl K8) antibody [EP1002Y] - ChIP Grade (AB45166)
  • IHC-P

Unknown

Immunohistochemistry (Formalin/PFA-fixed paraffin-embedded sections) - Anti-Histone H4 (acetyl K8) antibody [EP1002Y] - ChIP Grade (AB45166)

Immunohistochemical analysis of formalin fixed paraffin embedded human colon tissue sections labelling Histone H4 (acetyl K8) with unpurified ab45166 at dilution of 1/200.

For other IHC staining systems (automated and non-automated) customers should optimize variable parameters such as antigen retrieval conditions, primary antibody concentration and antibody incubation times.

Immunohistochemistry (Formalin/PFA-fixed paraffin-embedded sections) - Anti-Histone H4 (acetyl K8) antibody [EP1002Y] - ChIP Grade (AB45166)
  • IHC-P

Unknown

Immunohistochemistry (Formalin/PFA-fixed paraffin-embedded sections) - Anti-Histone H4 (acetyl K8) antibody [EP1002Y] - ChIP Grade (AB45166)

Immunohistochemical staining of paraffin-embedded human colon sections labelling Histone H4 (acetyl K8) with purified ab45166 at dilution of 1 : 2500. The secondary antibody used was ab97051; a goat anti-rabbit IgG H&L (HRP) at dilution of 1/500. The sample was counter-stained with hematoxylin. Antigen retrieval was performed using EDTA Buffer; pH 9.0. PBS was used instead of the primary antibody as the negative control and is shown in the inset.

ChIP - Anti-Histone H4 (acetyl K8) antibody [EP1002Y] - ChIP Grade (AB45166)
  • ChIP

Unknown

ChIP - Anti-Histone H4 (acetyl K8) antibody [EP1002Y] - ChIP Grade (AB45166)

Chromatin was prepared from HeLa cells according to the Abcam X-ChIP protocol. Cells were fixed with formaldehyde for 10 minutes. The ChIP was performed with 25μg of chromatin, 2μg of ab45166 (red), and 20μl of Protein A/G sepharose beads. No antibody was added to the beads control (grey). The immunoprecipitated DNA was quantified by real time PCR (Taqman approach). Primers and probes are located in the first kb of the transcribed region.

Immunoprecipitation - Anti-Histone H4 (acetyl K8) antibody [EP1002Y] - ChIP Grade (AB45166)
  • IP

Unknown

Immunoprecipitation - Anti-Histone H4 (acetyl K8) antibody [EP1002Y] - ChIP Grade (AB45166)

ab45166 (purified) at 1/20 immunoprecipitating Histone H4 (acetyl K8) in HeLa treated with Trichostatin A whole cell lysate.

For western blotting, ab131366 VeriBlot for IP Detection Reagent (HRP) was used for detection (1/10000).

Blocking buffer and concentration : 5% NFDM/TBST.

Diluting buffer and concentration : 5% NFDM /TBST.

All lanes:

Immunoprecipitation - Anti-Histone H4 (acetyl K8) antibody [EP1002Y] - ChIP Grade (ab45166) at 1/20 dilution

Lane 1:

HeLa (human cervix adenocarcinoma) treated with Trichostatin A whole cell lysate at 10 µg

Lane 2:

(+) ab45166 + HeLa treated with Trichostatin A whole cell lysate

Lane 3:

(-) Rabbit monoclonal IgG (<a href='/en-us/products/primary-antibodies/rabbit-igg-monoclonal-epr25a-isotype-control-ab172730'>ab172730</a>) instead of ab45166 in HeLa treated with Trichostatin A whole cell lysate.

Secondary

All lanes:

Immunoprecipitation - VeriBlot for IP Detection Reagent (HRP) (<a href='/en-us/products/reagents/veriblot-for-ip-detection-reagent-hrp-ab131366'>ab131366</a>) at 1/10000 dilution

Predicted band size: 11 kDa

Observed band size: 11 kDa

false

ChIP-sequencing - Anti-Histone H4 (acetyl K8) antibody [EP1002Y] - ChIP Grade (AB45166)
  • ChIP-seq

Lab

ChIP-sequencing - Anti-Histone H4 (acetyl K8) antibody [EP1002Y] - ChIP Grade (AB45166)

Chromatin was prepared from HeLa cells. Cells were fixed with 1% formaldehyde for 10 minutes. ChIP was performed with 10^7 HeLa cells and 4 μg of ab45166 [EP1002Y]. ChIP DNA was sequenced on the Illumina NovaSeq 6000 to a depth of 30 million reads. Additional screenshots of mapped reads can be downloaded here.

Immunohistochemistry (Formalin/PFA-fixed paraffin-embedded sections) - Anti-Histone H4 (acetyl K8) antibody [EP1002Y] - ChIP Grade (AB45166)
  • IHC-P

Unknown

Immunohistochemistry (Formalin/PFA-fixed paraffin-embedded sections) - Anti-Histone H4 (acetyl K8) antibody [EP1002Y] - ChIP Grade (AB45166)

Immunohistochemical staining of paraffin-embedded rat kidney sections labelling Histone H4 (acetyl K8) with purified ab45166 at dilution of 1 : 2500. The secondary antibody used was ab97051; a goat anti-rabbit IgG H&L (HRP) at dilution of 1/500. The sample was counter-stained with hematoxylin. Antigen retrieval was performed using EDTA Buffer; pH 9.0. PBS was used instead of the primary antibody as the negative control and is shown in the inset.

Immunocytochemistry/ Immunofluorescence - Anti-Histone H4 (acetyl K8) antibody [EP1002Y] - ChIP Grade (AB45166)
  • ICC/IF

Unknown

Immunocytochemistry/ Immunofluorescence - Anti-Histone H4 (acetyl K8) antibody [EP1002Y] - ChIP Grade (AB45166)

Immunocytochemistry/immunofluorescence staining of 4% paraformaldehyde fixed; 0.1% triton X 100 permeabilized C6 (rat glioma) cells (non-treated-top panels) and (C6 + TSA(500ng/ml, 4hr)-middle panels) with purified ab45166 at dilution of 1/150. The secondary antibody used was Alexa Fluor® 488; goat anti-rabbit IgG (ab150077) at a dilution of 1/1000. Nucleus was counter-stained with DAPI (blue). ab7291, a mouse anti-tubulin antibody (1/1000) was used to stain tubulin along with ab150120 (AlexaFluor®594 goat anti-mouse secondary, 1/1000) shown in the top right and middle right hand panels. The negative controls are shown in the bottom two panels- for negative control 1 rabbit primary antibody and anti-mouse secondary antibody (ab150120) was used. For negative control 2 mouse primary antibody (ab7291) and anti-rabbit secondary antibody (ab150077) was used.

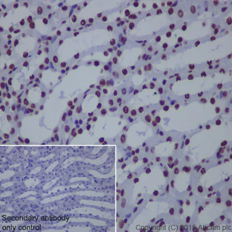
Immunohistochemistry (Formalin/PFA-fixed paraffin-embedded sections) - Anti-Histone H4 (acetyl K8) antibody [EP1002Y] - ChIP Grade (AB45166)
  • IHC-P

Unknown

Immunohistochemistry (Formalin/PFA-fixed paraffin-embedded sections) - Anti-Histone H4 (acetyl K8) antibody [EP1002Y] - ChIP Grade (AB45166)

Immunohistochemical staining of paraffin-embedded mouse kidney sections labelling Histone H4 (acetyl K8) with purified ab45166 at dilution of 1 : 2500. The secondary antibody used was ab97051; a goat anti-rabbit IgG H&L (HRP) at dilution of 1/500. The sample was counter-stained with hematoxylin. Antigen retrieval was performed using EDTA Buffer; pH 9.0. PBS was used instead of the primary antibody as the negative control and is shown in the inset.

Western blot - Anti-Histone H4 (acetyl K8) antibody [EP1002Y] - ChIP Grade (AB45166)
  • WB

Unknown

Western blot - Anti-Histone H4 (acetyl K8) antibody [EP1002Y] - ChIP Grade (AB45166)

Blocking and diluting buffer 5% NFDM/TBST

All lanes:

Western blot - Anti-Histone H4 (acetyl K8) antibody [EP1002Y] - ChIP Grade (ab45166) at 1/5000 dilution

Lane 1:

Untreated HeLa (human cervix adenocarcinoma) whole cell lysate at 10 µg

Lane 2:

HeLa (human cervix adenocarcinoma) treated with Trichostatin A whole cell lysate at 10 µg

Secondary

All lanes:

Western blot - Goat Anti-Rabbit IgG H&L (HRP) (<a href='/en-us/products/secondary-antibodies/goat-rabbit-igg-h-l-hrp-ab97051'>ab97051</a>) at 1/20000 dilution

Predicted band size: 11 kDa

Observed band size: 11 kDa

false

Western blot - Anti-Histone H4 (acetyl K8) antibody [EP1002Y] - ChIP Grade (AB45166)
  • WB

Unknown

Western blot - Anti-Histone H4 (acetyl K8) antibody [EP1002Y] - ChIP Grade (AB45166)

Blocking and diluting buffer 5% NFDM/TBST

All lanes:

Western blot - Anti-Histone H4 (acetyl K8) antibody [EP1002Y] - ChIP Grade (ab45166) at 1/5000 dilution

Lane 1:

Untreated C6 (rat glioma) whole cell lysate at 10 µg

Lane 2:

C6 (rat glioma) treated with Trichostatin A whole cell lysate at 10 µg

Secondary

All lanes:

Western blot - Goat Anti-Rabbit IgG H&L (HRP) (<a href='/en-us/products/secondary-antibodies/goat-rabbit-igg-h-l-hrp-ab97051'>ab97051</a>) at 1/20000 dilution

Predicted band size: 11 kDa

Observed band size: 11 kDa

false

Western blot - Anti-Histone H4 (acetyl K8) antibody [EP1002Y] - ChIP Grade (AB45166)
  • WB

Unknown

Western blot - Anti-Histone H4 (acetyl K8) antibody [EP1002Y] - ChIP Grade (AB45166)

Blocking and diluting buffer 5% NFDM/TBST

All lanes:

Western blot - Anti-Histone H4 (acetyl K8) antibody [EP1002Y] - ChIP Grade (ab45166) at 1/5000 dilution

Lane 1:

Untreated NIH/3T3 (mouse embryo) whole cell lysate at 10 µg

Lane 2:

NIH/3T3 (mouse embryo) treated with Trichostatin A whole cell lysate at 10 µg

Secondary

All lanes:

Western blot - Goat Anti-Rabbit IgG H&L (HRP) (<a href='/en-us/products/secondary-antibodies/goat-rabbit-igg-h-l-hrp-ab97051'>ab97051</a>) at 1/20000 dilution

Predicted band size: 11 kDa

Observed band size: 11 kDa

false

  • Carrier free

    Anti-Histone H4 (acetyl K8) antibody [EP1002Y] - BSA and Azide free

  • 660 APC

    APC Anti-Histone H4 (acetyl K8) antibody [EP1002Y] (ChIP Grade)

  • HRP

    HRP Anti-Histone H4 (acetyl K8) antibody [EP1002Y] (ChIP Grade)

  • 617 Alexa Fluor® 594

    Alexa Fluor® 594 Anti-Histone H4 (acetyl K8) antibody [EP1002Y] - ChIP Grade

  • 565 Alexa Fluor® 555

    Alexa Fluor® 555 Anti-Histone H4 (acetyl K8) antibody [EP1002Y] - ChIP Grade

  • 603 Alexa Fluor® 568

    Alexa Fluor® 568 Anti-Histone H4 (acetyl K8) antibody [EP1002Y] - ChIP Grade

  • 578 PE

    PE Anti-Histone H4 (acetyl K8) antibody [EP1002Y] (ChIP Grade)

  • 665 Alexa Fluor® 647

    Alexa Fluor® 647 Anti-Histone H4 (acetyl K8) antibody [EP1002Y] - ChIP Grade

Key facts

Host species

Rabbit

Clonality

Monoclonal

Clone number

EP1002Y

Isotype

IgG

Carrier free

No

Reacts with

Mouse, Rat, Human

Applications

ICC/IF, Flow Cyt (Intra), WB, ChIP, ChIP-seq, IP, IHC-P

applications

Immunogen

The exact immunogen used to generate this antibody is proprietary information.

Specificity

This antibody has weak cross-reactivity with H4K5me3 and H4K20ac in peptide array. Further optimization may be needed to minimize the cross-reactivity in assays similar to peptide array.

Reactivity data

{ "title": "Reactivity Data", "filters": { "stats": ["", "Species", "Dilution Info", "Notes"], "tabs": { "all-applications": {"fullname" : "All Applications", "shortname": "All Applications"}, "IP" : {"fullname" : "Immunoprecipitation", "shortname":"IP"}, "ChIP" : {"fullname" : "ChIP", "shortname":"ChIP"}, "WB" : {"fullname" : "Western blot", "shortname":"WB"}, "ICCIF" : {"fullname" : "Immunocytochemistry/ Immunofluorescence", "shortname":"ICC/IF"}, "ChIPseq" : {"fullname" : "ChIP-sequencing", "shortname":"ChIP-seq"}, "FlowCytIntra" : {"fullname" : "Flow Cytometry (Intracellular)", "shortname":"Flow Cyt (Intra)"}, "IHCP" : {"fullname" : "Immunohistochemistry (Formalin/PFA-fixed paraffin-embedded sections)", "shortname":"IHC-P"} }, "product-promise": { "all": "all", "testedAndGuaranteed": "tested", "guaranteed": "expected", "predicted": "predicted", "notRecommended": "not-recommended" } }, "values": { "Human": { "IP-species-checked": "testedAndGuaranteed", "IP-species-dilution-info": "1/20 - 1/50", "IP-species-notes": "<p></p>", "ChIP-species-checked": "testedAndGuaranteed", "ChIP-species-dilution-info": "2 µg for 25 µg chromatin", "ChIP-species-notes": "<p></p>", "WB-species-checked": "testedAndGuaranteed", "WB-species-dilution-info": "1/5000 - 1/10000", "WB-species-notes": "<p></p>", "ICCIF-species-checked": "guaranteed", "ICCIF-species-dilution-info": "", "ICCIF-species-notes": "", "ChIPseq-species-checked": "testedAndGuaranteed", "ChIPseq-species-dilution-info": "4 µg for 10^7 Cells", "ChIPseq-species-notes": "<p></p>", "FlowCytIntra-species-checked": "testedAndGuaranteed", "FlowCytIntra-species-dilution-info": "", "FlowCytIntra-species-notes": "<p></p>", "IHCP-species-checked": "testedAndGuaranteed", "IHCP-species-dilution-info": "1/250 - 1/2500", "IHCP-species-notes": "<p></p> Perform heat-mediated antigen retrieval with Tris/EDTA buffer pH 9.0 before commencing with IHC staining protocol." }, "Mouse": { "IP-species-checked": "guaranteed", "IP-species-dilution-info": "", "IP-species-notes": "", "ChIP-species-checked": "guaranteed", "ChIP-species-dilution-info": "", "ChIP-species-notes": "", "WB-species-checked": "testedAndGuaranteed", "WB-species-dilution-info": "1/5000 - 1/10000", "WB-species-notes": "<p></p>", "ICCIF-species-checked": "guaranteed", "ICCIF-species-dilution-info": "", "ICCIF-species-notes": "", "ChIPseq-species-checked": "guaranteed", "ChIPseq-species-dilution-info": "", "ChIPseq-species-notes": "", "FlowCytIntra-species-checked": "guaranteed", "FlowCytIntra-species-dilution-info": "", "FlowCytIntra-species-notes": "", "IHCP-species-checked": "testedAndGuaranteed", "IHCP-species-dilution-info": "1/250 - 1/2500", "IHCP-species-notes": "<p></p> Perform heat-mediated antigen retrieval with Tris/EDTA buffer pH 9.0 before commencing with IHC staining protocol." }, "Rat": { "IP-species-checked": "guaranteed", "IP-species-dilution-info": "", "IP-species-notes": "", "ChIP-species-checked": "guaranteed", "ChIP-species-dilution-info": "", "ChIP-species-notes": "", "WB-species-checked": "testedAndGuaranteed", "WB-species-dilution-info": "1/5000 - 1/10000", "WB-species-notes": "<p></p>", "ICCIF-species-checked": "testedAndGuaranteed", "ICCIF-species-dilution-info": "1/150 - 1/500", "ICCIF-species-notes": "<p></p>", "ChIPseq-species-checked": "guaranteed", "ChIPseq-species-dilution-info": "", "ChIPseq-species-notes": "", "FlowCytIntra-species-checked": "guaranteed", "FlowCytIntra-species-dilution-info": "", "FlowCytIntra-species-notes": "", "IHCP-species-checked": "testedAndGuaranteed", "IHCP-species-dilution-info": "1/250 - 1/2500", "IHCP-species-notes": "<p></p> Perform heat-mediated antigen retrieval with Tris/EDTA buffer pH 9.0 before commencing with IHC staining protocol." } } }

Product details

Patented technology
Our RabMAb® technology is a patented hybridoma-based technology for making rabbit monoclonal antibodies. For details on our patents, please refer to RabMAb® patents.

What are the advantages of a recombinant monoclonal antibody?
This product is a recombinant monoclonal antibody, which offers several advantages including:

  • - High batch-to-batch consistency and reproducibility
  • - Improved sensitivity and specificity
  • - Long-term security of supply
  • - Animal-free batch production

For more information, read more on recombinant antibodies.

Properties and storage information

Form
Liquid
Purification technique
Affinity purification Protein A
Storage buffer
pH: 7.2 - 7.4 Preservative: 0.01% Sodium azide Constituents: PBS, 40% Glycerol (glycerin, glycerine), 0.17% BSA
Shipped at conditions
Blue Ice
Appropriate short-term storage duration
1-2 weeks
Appropriate short-term storage conditions
+4°C
Appropriate long-term storage conditions
-20°C
Aliquoting information
Upon delivery aliquot
Storage information
Avoid freeze / thaw cycle

Product protocols

For this product, it's our understanding that no specific protocols are required. You can visit:

Target data

Core component of nucleosome. Nucleosomes wrap and compact DNA into chromatin, limiting DNA accessibility to the cellular machineries which require DNA as a template. Histones thereby play a central role in transcription regulation, DNA repair, DNA replication and chromosomal stability. DNA accessibility is regulated via a complex set of post-translational modifications of histones, also called histone code, and nucleosome remodeling.
See full target information H4C1 acetyl K8

Publications (38)

Recent publications for all applications. Explore the full list and refine your search

Nature communications 16:2379 PubMed40064919

2025

Competitive antagonism of KAT7 crotonylation against acetylation affects procentriole formation and colorectal tumorigenesis.

Applications

Unspecified application

Species

Unspecified reactive species

Meng Wang,Guanqun Mu,Bingquan Qiu,Shuo Wang,Changyu Tao,Yutong Mao,Xinhui Zhao,Jiansong Liu,Keyu Chen,Ziyu Li,Weibin Wang,Ence Yang,Yang Yang

The Journal of biological chemistry 301:108200 PubMed39828096

2025

p53-mediated regulation of LINE1 retrotransposon-derived R-loops.

Applications

Unspecified application

Species

Unspecified reactive species

Pratyashaa Paul,Arun Kumar,Ankita Subhadarsani Parida,Astik Kumar De,Gauri Bhadke,Satyajeet Khatua,Bhavana Tiwari

Advanced biology 9:e2400145 PubMed39007414

2024

TET3 Contributes to Exercise-Induced Functional Axon Regeneration and Visual Restoration.

Applications

Unspecified application

Species

Unspecified reactive species

Si Fang,Yunxiang Ji,Yilan Shen,Simin Yang,Hongli Zhang,Wenfeng Xin,Weidong Shi,Wei Chen

Advanced science (Weinheim, Baden-Wurttemberg, Germany) 11:e2307804 PubMed38837887

2024

Minor Spliceosomal 65K/RNPC3 Interacts with ANKRD11 and Mediates HDAC3-Regulated Histone Deacetylation and Transcription.

Applications

Unspecified application

Species

Unspecified reactive species

Chen-Hui Li,Shao-Bo Liang,Qi-Wei Huang,Zhen-Zhen Zhou,Zhan Ding,Ni Long,Kwang-Chon Wi,Liang Li,Xi-Ping Jiang,Yu-Jie Fan,Yong-Zhen Xu

Nature communications 15:2989 PubMed38582902

2024

Gadd45g insufficiency drives the pathogenesis of myeloproliferative neoplasms.

Applications

Unspecified application

Species

Unspecified reactive species

Peiwen Zhang,Na You,Yiyi Ding,Wenqi Zhu,Nan Wang,Yueqiao Xie,Wanling Huang,Qian Ren,Tiejun Qin,Rongfeng Fu,Lei Zhang,Zhijian Xiao,Tao Cheng,Xiaotong Ma

Molecular metabolism 81:101903 PubMed38369012

2024

Acetyl-CoA synthetase (ACSS2) does not generate butyryl- and crotonyl-CoA.

Applications

Unspecified application

Species

Unspecified reactive species

Nour Zeaiter,Laura Belot,Valérie Cunin,Roland Abi Nahed,Malgorzata Tokarska-Schlattner,Audrey Le Gouellec,Carlo Petosa,Saadi Khochbin,Uwe Schlattner

Nature communications 15:996 PubMed38307858

2024

Dysfunction of duplicated pair rice histone acetyltransferases causes segregation distortion and an interspecific reproductive barrier.

Applications

Unspecified application

Species

Unspecified reactive species

Ben Liao,You-Huang Xiang,Yan Li,Kai-Yang Yang,Jun-Xiang Shan,Wang-Wei Ye,Nai-Qian Dong,Yi Kan,Yi-Bing Yang,Huai-Yu Zhao,Hong-Xiao Yu,Zi-Qi Lu,Yan Zhao,Qiang Zhao,Dongling Guo,Shuang-Qin Guo,Jie-Jie Lei,Xiao-Rui Mu,Ying-Jie Cao,Bin Han,Hong-Xuan Lin

The Plant journal : for cell and molecular biology 118:802-822 PubMed38305492

2024

STAMENLESS1 activates SUPERWOMAN 1 and FLORAL ORGAN NUMBER 1 to control floral organ identities and meristem fate in rice.

Applications

Unspecified application

Species

Unspecified reactive species

Hui Zhuang,Yu-Huan Li,Xiao-Yu Zhao,Jing-Ya Zhi,Hao Chen,Jin-Song Lan,Ze-Jiang Luo,Yan-Rong Qu,Jun Tang,Han-Ping Peng,Tian-Ye Li,Si-Ying Zhu,Tao Jiang,Guang-Hua He,Yun-Feng Li

Cell reports. Medicine 4:101223 PubMed37794584

2023

End binding-3 inhibitor activates regenerative program in age-related macular degeneration.

Applications

Unspecified application

Species

Unspecified reactive species

Quinn Lee,Wan Ching Chan,Xinyan Qu,Ying Sun,Hazem Abdelkarim,Jonathan Le,Uzma Saqib,Mitchell Y Sun,Kevin Kruse,Avik Banerjee,Ben Hitchinson,Melissa Geyer,Fei Huang,Victor Guaiquil,Amelia A Mutso,Martin Sanders,Mark I Rosenblatt,Mark Maienschein-Cline,Matthew S Lawrence,Vadim Gaponenko,Asrar B Malik,Yulia A Komarova

Plant biotechnology journal 22:148-164 PubMed37715970

2023

Ustilaginoidea virens-secreted effector Uv1809 suppresses rice immunity by enhancing OsSRT2-mediated histone deacetylation.

Applications

Unspecified application

Species

Unspecified reactive species

Xiaoyang Chen,Chen Liu,Hailin Wang,Qi Liu,Yaping Yue,Yuhang Duan,Zhaoyun Wang,Lu Zheng,Xiaolin Chen,Yaohui Wang,Junbin Huang,Qiutao Xu,Yuemin Pan
View all publications

Product promise

We are committed to supporting your work with high-quality reagents, and we're here for you every step of the way. In the unlikely event that one of our products does not perform as expected, you're protected by our Product Promise.
For full details, please see our Terms & Conditions

Please note: All products are 'FOR RESEARCH USE ONLY. NOT FOR USE IN DIAGNOSTIC OR THERAPEUTIC PROCEDURES'.

For licensing inquiries, please contact partnerships@abcam.com