JavaScript is disabled in your browser. Please enable JavaScript to view this website.
AB9052

Anti-Histone H4 (di methyl K20) antibody

5

(13 Reviews)

|

(70 Publications)

Rabbit Polyclonal Histone H4 di methyl K20 antibody. Suitable for IHC-P, IP, ChIP, WB, ICC/IF and reacts with Human, Mouse, Schizosaccharomyces pombe, Toxoplasma gondii, Drosophila melanogaster, Cow samples. Cited in 70 publications.

View Alternative Names

YBR009C, YBR0122, HHF2, YNL030W, N2752, HHF1, Histone H4, H4K20me2, H4K20me, H4K20

5 Images
Immunocytochemistry/ Immunofluorescence - Anti-Histone H4 (di methyl K20) antibody (AB9052)
  • ICC/IF

Lab

Immunocytochemistry/ Immunofluorescence - Anti-Histone H4 (di methyl K20) antibody (AB9052)

ab9052 staining Histone H4 (di methyl K20) in HeLa cells. The cells were fixed with 100% methanol (5 min), permeabilized with 0.1% PBS-Triton X-100 for 5 minutes and then blocked with 1% BSA/10% normal goat serum/0.3M glycine in 0.1%PBS-Tween for 1h. The cells were then incubated overnight at 4°C with ab9052 at 0.1µg/ml and ab7291, Mouse monoclonal [DM1A] to alpha Tubulin - Loading Control. Cells were then incubated with ab150081, Goat polyclonal Secondary Antibody to Rabbit IgG - H&L (Alexa Fluor® 488), pre-adsorbed at 1/1000 dilution (shown in green) and ab150120, Goat polyclonal Secondary Antibody to Mouse IgG - H&L (Alexa Fluor® 594), pre-adsorbed at 1/1000 dilution (shown in pseudocolour magenta). Nuclear DNA was labelled with DAPI (shown in blue).

Also suitable in cells fixed with 4% paraformaldehyde (10 min).

Image was acquired with a high-content analyser (Operetta CLS, Perkin Elmer) and a maximum intensity projection of confocal sections is shown.

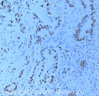
Immunohistochemistry (Formalin/PFA-fixed paraffin-embedded sections) - Anti-Histone H4 (di methyl K20) antibody (AB9052)
  • IHC-P

Unknown

Immunohistochemistry (Formalin/PFA-fixed paraffin-embedded sections) - Anti-Histone H4 (di methyl K20) antibody (AB9052)

IHC image of ab9052 staining in human pancreas adenocarcinoma formalin fixed paraffin embedded tissue section, performed on a Leica BondTM system using the standard protocol F. The section was pre-treated using heat mediated antigen retrieval with sodium citrate buffer (pH6, epitope retrieval solution 1) for 20 mins. The section was then incubated with ab9052, 1µg/ml, for 15 mins at room temperature and detected using an HRP conjugated compact polymer system. DAB was used as the chromogen. The section was then counterstained with haematoxylin and mounted with DPX.

For other IHC staining systems (automated and non-automated) customers should optimize variable parameters such as antigen retrieval conditions, primary antibody concentration and antibody incubation times.

Immunoprecipitation - Anti-Histone H4 (di methyl K20) antibody (AB9052)
  • IP

Unknown

Immunoprecipitation - Anti-Histone H4 (di methyl K20) antibody (AB9052)

Histone H4 (di methyl K20) was immunoprecipitated using 0.5mg HeLa whole cell extract, 5μg of Rabbit polyclonal to Histone H4 (di methyl K20) and 50μl of protein G magnetic beads (+). No antibody was added to the control (-).
The antibody was incubated under agitation with Protein G beads for 10min, Hela whole cell extract lysate diluted in RIPA buffer was added to each sample and incubated for a further 10min under agitation.
Proteins were eluted by addition of 40μl SDS loading buffer and incubated for 10min at 70oC; 10μl of each sample was separated on a SDS PAGE gel, transferred to a nitrocellulose membrane, blocked with 5% BSA and probed with ab9052.
Secondary : Clean blot (HRP conjugate) at 1/1000 dilution.
Band : 14kDa : Histone H4 (di methyl K20).

All lanes:

Immunoprecipitation - Anti-Histone H4 (di methyl K20) antibody (ab9052)

Predicted band size: 11 kDa

false

Western blot - Anti-Histone H4 (di methyl K20) antibody (AB9052)
  • WB

Collaborator

Western blot - Anti-Histone H4 (di methyl K20) antibody (AB9052)

All lanes:

Western blot - Anti-Histone H4 (di methyl K20) antibody (ab9052) at 1/2000 dilution

Predicted band size: 11 kDa

false

This image is courtesy of Steve Sanders, Tony Kouzarides lab, University of Cambridge

Western blot - Anti-Histone H4 (di methyl K20) antibody (AB9052)
  • WB

Unknown

Western blot - Anti-Histone H4 (di methyl K20) antibody (AB9052)

Di methylation at K20 is seen in S. pombe and in calf thymus (Roche). S. cerevisiae lacks K20 (di) methylation.

All lanes:

Upper blot - Histone H4 antibody (gift of A. Verreault) Lower blot - Rabbit polyclonal to Histone H4 di methyl K20 (ab9052) at 1/2000

Lane 1:

S.cerevisiae extract

Lane 2:

S.pombe extract

Lane 3:

S.pombe rH4

Lane 4:

Drosophila rH4

Lane 5:

Histones (Roche)

Predicted band size: 11 kDa

false

Key facts

Host species

Rabbit

Clonality

Polyclonal

Isotype

IgG

Carrier free

No

Reacts with

Human, Drosophila melanogaster, Schizosaccharomyces pombe, Toxoplasma gondii, Cow, Mouse

Applications

IHC-P, IP, ICC/IF, WB, ChIP

applications

Immunogen

The exact immunogen used to generate this antibody is proprietary information.

Reactivity data

{ "title": "Reactivity Data", "filters": { "stats": ["", "Species", "Dilution Info", "Notes"], "tabs": { "all-applications": {"fullname" : "All Applications", "shortname": "All Applications"}, "IHCP" : {"fullname" : "Immunohistochemistry (Formalin/PFA-fixed paraffin-embedded sections)", "shortname":"IHC-P"}, "IP" : {"fullname" : "Immunoprecipitation", "shortname":"IP"}, "ChIP" : {"fullname" : "ChIP", "shortname":"ChIP"}, "WB" : {"fullname" : "Western blot", "shortname":"WB"}, "ICCIF" : {"fullname" : "Immunocytochemistry/ Immunofluorescence", "shortname":"ICC/IF"} }, "product-promise": { "all": "all", "testedAndGuaranteed": "tested", "guaranteed": "expected", "predicted": "predicted", "notRecommended": "not-recommended" } }, "values": { "Human": { "IHCP-species-checked": "testedAndGuaranteed", "IHCP-species-dilution-info": "1 µg/mL", "IHCP-species-notes": "<p></p> Perform heat-mediated antigen retrieval before commencing with IHC staining protocol.", "IP-species-checked": "testedAndGuaranteed", "IP-species-dilution-info": "", "IP-species-notes": "<p></p>", "ChIP-species-checked": "guaranteed", "ChIP-species-dilution-info": "", "ChIP-species-notes": "<p></p>", "WB-species-checked": "testedAndGuaranteed", "WB-species-dilution-info": "1/2000", "WB-species-notes": "<p></p>", "ICCIF-species-checked": "testedAndGuaranteed", "ICCIF-species-dilution-info": "1 µg/mL", "ICCIF-species-notes": "<p></p>" }, "Mouse": { "IHCP-species-checked": "notRecommended", "IHCP-species-dilution-info": "", "IHCP-species-notes": "", "IP-species-checked": "notRecommended", "IP-species-dilution-info": "", "IP-species-notes": "", "ChIP-species-checked": "guaranteed", "ChIP-species-dilution-info": "", "ChIP-species-notes": "<p></p>", "WB-species-checked": "notRecommended", "WB-species-dilution-info": "", "WB-species-notes": "", "ICCIF-species-checked": "notRecommended", "ICCIF-species-dilution-info": "", "ICCIF-species-notes": "" }, "Rat": { "IHCP-species-checked": "notRecommended", "IHCP-species-dilution-info": "", "IHCP-species-notes": "", "IP-species-checked": "notRecommended", "IP-species-dilution-info": "", "IP-species-notes": "", "ChIP-species-checked": "notRecommended", "ChIP-species-dilution-info": "", "ChIP-species-notes": "", "WB-species-checked": "notRecommended", "WB-species-dilution-info": "", "WB-species-notes": "", "ICCIF-species-checked": "notRecommended", "ICCIF-species-dilution-info": "", "ICCIF-species-notes": "" }, "Cow": { "IHCP-species-checked": "notRecommended", "IHCP-species-dilution-info": "", "IHCP-species-notes": "", "IP-species-checked": "notRecommended", "IP-species-dilution-info": "", "IP-species-notes": "", "ChIP-species-checked": "guaranteed", "ChIP-species-dilution-info": "", "ChIP-species-notes": "<p></p>", "WB-species-checked": "notRecommended", "WB-species-dilution-info": "", "WB-species-notes": "", "ICCIF-species-checked": "notRecommended", "ICCIF-species-dilution-info": "", "ICCIF-species-notes": "" }, "Drosophila melanogaster": { "IHCP-species-checked": "notRecommended", "IHCP-species-dilution-info": "", "IHCP-species-notes": "", "IP-species-checked": "notRecommended", "IP-species-dilution-info": "", "IP-species-notes": "", "ChIP-species-checked": "guaranteed", "ChIP-species-dilution-info": "", "ChIP-species-notes": "<p></p>", "WB-species-checked": "notRecommended", "WB-species-dilution-info": "", "WB-species-notes": "", "ICCIF-species-checked": "notRecommended", "ICCIF-species-dilution-info": "", "ICCIF-species-notes": "" }, "Saccharomyces cerevisiae": { "IHCP-species-checked": "notRecommended", "IHCP-species-dilution-info": "", "IHCP-species-notes": "<p></p>", "IP-species-checked": "notRecommended", "IP-species-dilution-info": "", "IP-species-notes": "<p></p>", "ChIP-species-checked": "notRecommended", "ChIP-species-dilution-info": "", "ChIP-species-notes": "<p></p>", "WB-species-checked": "notRecommended", "WB-species-dilution-info": "", "WB-species-notes": "<p></p>", "ICCIF-species-checked": "notRecommended", "ICCIF-species-dilution-info": "", "ICCIF-species-notes": "<p></p>" }, "Schizosaccharomyces pombe": { "IHCP-species-checked": "notRecommended", "IHCP-species-dilution-info": "", "IHCP-species-notes": "", "IP-species-checked": "notRecommended", "IP-species-dilution-info": "", "IP-species-notes": "", "ChIP-species-checked": "guaranteed", "ChIP-species-dilution-info": "", "ChIP-species-notes": "<p></p>", "WB-species-checked": "notRecommended", "WB-species-dilution-info": "", "WB-species-notes": "", "ICCIF-species-checked": "notRecommended", "ICCIF-species-dilution-info": "", "ICCIF-species-notes": "" }, "Toxoplasma gondii": { "IHCP-species-checked": "notRecommended", "IHCP-species-dilution-info": "", "IHCP-species-notes": "", "IP-species-checked": "notRecommended", "IP-species-dilution-info": "", "IP-species-notes": "", "ChIP-species-checked": "guaranteed", "ChIP-species-dilution-info": "", "ChIP-species-notes": "<p></p>", "WB-species-checked": "notRecommended", "WB-species-dilution-info": "", "WB-species-notes": "", "ICCIF-species-checked": "notRecommended", "ICCIF-species-dilution-info": "", "ICCIF-species-notes": "" } } }

Properties and storage information

Form
Liquid
Purification technique
Affinity purification Immunogen
Storage buffer
pH: 7.4 Preservative: 0.02% Sodium azide Constituents: 98.98% PBS, 1% BSA
Shipped at conditions
Blue Ice
Appropriate short-term storage duration
1-2 weeks
Appropriate short-term storage conditions
+4°C
Appropriate long-term storage conditions
-20°C
Aliquoting information
Upon delivery aliquot
Storage information
Avoid freeze / thaw cycle

Product protocols

For this product, it's our understanding that no specific protocols are required. You can visit:

Target data

Core component of nucleosome. Nucleosomes wrap and compact DNA into chromatin, limiting DNA accessibility to the cellular machineries which require DNA as a template. Histones thereby play a central role in transcription regulation, DNA repair, DNA replication and chromosomal stability. DNA accessibility is regulated via a complex set of post-translational modifications of histones, also called histone code, and nucleosome remodeling. Component of the UAF (upstream activation factor) complex which interacts with the upstream element of the RNA polymerase I promoter and forms a stable preinitiation complex. Together with SPT15/TBP UAF seems to stimulate basal transcription to a fully activated level.
See full target information HHF1 di methyl K20

Publications (70)

Recent publications for all applications. Explore the full list and refine your search

Nature communications 16:5502 PubMed40592879

2025

BAHCC1 binds H4K20me1 to facilitate the MCM complex loading and DNA replication.

Applications

Unspecified application

Species

Unspecified reactive species

Dongxu Li,Zhi-Min Zhang,Liu Mei,Yao Yu,Yiran Guo,Samuel G Mackintosh,Jianbin Chen,David F Allison,Arum Kim,Aaron J Storey,Ricky D Edmondson,Stephanie D Byrum,Alan J Tackett,Ling Cai,Jeanette G Cook,Jikui Song,Gang Greg Wang

Cell reports 44:115213 PubMed39817906

2025

Coordinated neuron-specific splicing events restrict nucleosome engagement of the LSD1 histone demethylase complex.

Applications

Unspecified application

Species

Unspecified reactive species

Robert S Porter,Sojin An,Maria C Gavilan,Masayoshi Nagai,Yumie Murata-Nakamura,Bo Zhou,Katherine M Bonefas,Olivier Dionne,Jeru Manoj Manuel,Joannie St-Germain,Suzanne Gascon,Jacqueline Kim,Liam Browning,Benoit Laurent,Uhn-Soo Cho,Shigeki Iwase

Aging cell 24:e14371 PubMed39540462

2024

Age-associated metabolic and epigenetic barriers during direct reprogramming of mouse fibroblasts into induced cardiomyocytes.

Applications

Unspecified application

Species

Unspecified reactive species

Francisco Santos,Magda Correia,Rafaela Dias,Bárbara Bola,Roberta Noberini,Rita S Ferreira,Diogo Trigo,Pedro Domingues,José Teixeira,Tiziana Bonaldi,Paulo J Oliveira,Christian Bär,Bruno Bernardes de Jesus,Sandrina Nóbrega-Pereira

The Journal of biological chemistry 300:107881 PubMed39395799

2024

Neuronal splicing of the unmethylated histone H3K4 reader, PHF21A, prevents excessive synaptogenesis.

Applications

Unspecified application

Species

Unspecified reactive species

Masayoshi Nagai,Robert S Porter,Maxwell Miyasato,Aijia Wang,Cecilia M Gavilan,Elizabeth D Hughes,Michael C Wu,Thomas L Saunders,Shigeki Iwase

Molecular carcinogenesis 63:2414-2424 PubMed39254477

2024

Monoubiquitinated H2B, a Main Chromatin Target of Formaldehyde, Is Important for S-Phase Checkpoint Signaling and Genome Stability.

Applications

Unspecified application

Species

Unspecified reactive species

Sasmita Mishra,Casey Krawic,Michal W Luczak,Anatoly Zhitkovich

Cell death & disease 15:649 PubMed39231972

2024

L3MBTL1, a polycomb protein, promotes Osimertinib acquired resistance through epigenetic regulation of DNA damage response in lung adenocarcinoma.

Applications

Unspecified application

Species

Unspecified reactive species

Zihe Zhang,Yongwen Li,Ruifeng Shi,Chaoyi Jia,Songlin Xu,Guangsheng Zhu,Peijun Cao,Hua Huang,Xuanguang Li,Hongbing Zhang,Minghui Liu,Chen Chen,Hongyu Liu,Chunsheng Kang,Jun Chen

Advanced science (Weinheim, Baden-Wurttemberg, Germany) 11:e2402551 PubMed38923875

2024

Intestinal NSD2 Aggravates Nonalcoholic Steatohepatitis Through Histone Modifications.

Applications

Unspecified application

Species

Unspecified reactive species

Yijia Zhang,Yuan Qiao,Zecheng Li,Donghai Liu,Qi Jin,Jing Guo,Xin Li,Long Chen,Lihong Liu,Liang Peng

Cell discovery 9:120 PubMed38052811

2023

Structural basis of nucleosomal H4K20 recognition and methylation by SUV420H1 methyltransferase.

Applications

Unspecified application

Species

Unspecified reactive species

Folan Lin,Ruxin Zhang,Weihan Shao,Cong Lei,Mingxi Ma,Ying Zhang,Zengqi Wen,Wanqiu Li

Molecular cell 83:4032-4046.e6 PubMed37977116

2023

Genome homeostasis defects drive enlarged cells into senescence.

Applications

Unspecified application

Species

Unspecified reactive species

Sandhya Manohar,Marianna E Estrada,Federico Uliana,Karla Vuina,Patricia Moyano Alvarez,Robertus A M de Bruin,Gabriel E Neurohr

Nature 622:619-626 PubMed37758950

2023

Inhibition of fatty acid oxidation enables heart regeneration in adult mice.

Applications

Unspecified application

Species

Unspecified reactive species

Xiang Li,Fan Wu,Stefan Günther,Mario Looso,Carsten Kuenne,Ting Zhang,Marion Wiesnet,Stephan Klatt,Sven Zukunft,Ingrid Fleming,Gernot Poschet,Astrid Wietelmann,Ann Atzberger,Michael Potente,Xuejun Yuan,Thomas Braun
View all publications

Product promise

We are committed to supporting your work with high-quality reagents, and we're here for you every step of the way. In the unlikely event that one of our products does not perform as expected, you're protected by our Product Promise.
For full details, please see our Terms & Conditions

Please note: All products are 'FOR RESEARCH USE ONLY. NOT FOR USE IN DIAGNOSTIC OR THERAPEUTIC PROCEDURES'.

For licensing inquiries, please contact partnerships@abcam.com