JavaScript is disabled in your browser. Please enable JavaScript to view this website.
AB177188

Anti-Histone H4 (mono methyl K20) antibody [EPR16999] - ChIP Grade

  • RabMAb
  • Advanced Validation
  • Recombinant
  • 20ul selling size
  • What is this?

4

(3 Reviews)

|

(13 Publications)

Rabbit Recombinant Monoclonal Histone H4 mono methyl K20 antibody. Suitable for ChIP, WB, PepArr, ICC/IF, ChIP-seq, IHC-P and reacts with Human, Mouse, Rat samples. Cited in 13 publications.

View Alternative Names

H4/A, H4FA, HIST1H4A, H4C2, H4/I, H4FI, HIST1H4B, H4C3, H4/G, H4FG, HIST1H4C, H4C4, H4/B, H4FB, HIST1H4D, H4C5, H4/J, H4FJ, HIST1H4E, H4C6, H4/C, H4FC, HIST1H4F, H4C8, H4/H, H4FH, HIST1H4H, H4C9, H4/M, H4FM, HIST1H4I, H4C11, H4/E, H4FE, HIST1H4J, H4C12, H4/D, H4FD, HIST1H4K, H4C13, H4/K, H4FK, HIST1H4L, H4C14, H4/N, H4F2, H4FN, HIST2H4, HIST2H4A, H4C15, H4/O, H4FO, HIST2H4B, H4C16, H4-16, HIST4H4, H4C1, Histone H4, H4K20me, H4K20me1, H4K20

8 Images
Immunocytochemistry/ Immunofluorescence - Anti-Histone H4 (mono methyl K20) antibody [EPR16999] - ChIP Grade (AB177188)
  • ICC/IF

Lab

Immunocytochemistry/ Immunofluorescence - Anti-Histone H4 (mono methyl K20) antibody [EPR16999] - ChIP Grade (AB177188)

Immunofluorescent analysis of 4% paraformaldehyde-fixed, 0.1% Triton X-100 permeabilized HeLa cells labeling Histone H4 (mono methyl K20) with ab177188 at 1/100 dilution, followed by Goat anti-rabbit IgG (Alexa Fluor® 488) (ab150077) secondary antibody at 1/400 dilution (green). Nuclear staining on HeLa cell line is observed. The nuclear counter stain is DAPI (blue). Tubulin is detected with ab7291 (anti-Tubulin mouse mAb) at 1/500 dilution and ab150120 (AlexaFluor®594 Goat anti-Mouse secondary) at 1/500 dilution (red).
The negative controls are as follows :
1. ab177188 at 1/100 dilution followed by ab150120 (AlexaFluor®594 Goat anti-Mouse secondary) at 1/500 dilution.
2. ab7291 (anti-Tubulin mouse mAb) at 1/500 dilution followed by ab150077 (Alexa Fluor®488 Goat Anti-Rabbit IgG H&L) at 1/400 dilution.

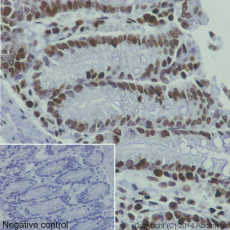
Immunohistochemistry (Formalin/PFA-fixed paraffin-embedded sections) - Anti-Histone H4 (mono methyl K20) antibody [EPR16999] - ChIP Grade (AB177188)
  • IHC-P

Supplier Data

Immunohistochemistry (Formalin/PFA-fixed paraffin-embedded sections) - Anti-Histone H4 (mono methyl K20) antibody [EPR16999] - ChIP Grade (AB177188)

Immunohistochemical analysis of paraffin-embedded Human colon tissue labeling Histone H4 (mono methyl K20) with ab177188 at 1/100 dilution, followed by prediluted Goat Anti-Rabbit IgG H&L (HRP). Nucleus staining on glandular epithelium of colon tissue is observed. Counter stained with Hematoxylin.

Negative control : PBS instead of primary antibody, secondary antibody is prediluted Goat Anti-Rabbit IgG H&L (HRP).

Perform heat mediated antigen retrieval with Tris/EDTA buffer pH 9.0 before commencing with IHC staining protocol.

ChIP - Anti-Histone H4 (mono methyl K20) antibody [EPR16999] - ChIP Grade (AB177188)
  • ChIP

Supplier Data

ChIP - Anti-Histone H4 (mono methyl K20) antibody [EPR16999] - ChIP Grade (AB177188)

Chromatin was prepared from HeLa cells according to the Abcam X-ChIP protocol. Cells were fixed with formaldehyde for 10min. The ChIP was performed with 25μg of chromatin, 2μg of ab177188 (blue), and 20μl of Anti rabbit IgG sepharose beads. 2μg of rabbit normal IgG was added to the beads control (yellow). The immunoprecipitated DNA was quantified by real time PCR (SYBR approach). Primers are located in the first kb of the transcribed region.

ChIP-sequencing - Anti-Histone H4 (mono methyl K20) antibody [EPR16999] - ChIP Grade (AB177188)
  • ChIP-seq

Lab

ChIP-sequencing - Anti-Histone H4 (mono methyl K20) antibody [EPR16999] - ChIP Grade (AB177188)

Chromatin was prepared from HeLa cells. Cells were fixed with 1% formaldehyde for 10 minutes. ChIP was performed with 10^7 HeLa cells and 4 μg of ab177188 [EPR16999]. ChIP DNA was sequenced on the Illumina NovaSeq 6000 to a depth of 30 million reads. Additional screenshots of mapped reads can be downloaded here.

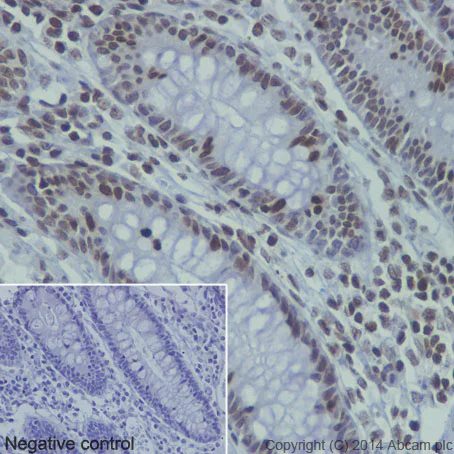
Immunohistochemistry (Formalin/PFA-fixed paraffin-embedded sections) - Anti-Histone H4 (mono methyl K20) antibody [EPR16999] - ChIP Grade (AB177188)
  • IHC-P

Supplier Data

Immunohistochemistry (Formalin/PFA-fixed paraffin-embedded sections) - Anti-Histone H4 (mono methyl K20) antibody [EPR16999] - ChIP Grade (AB177188)

Immunohistochemical analysis of paraffin-embedded mouse colon tissue labeling Histone H4 (mono methyl K20) with ab177188 at 1/100 dilution, followed by prediluted Goat Anti-Rabbit IgG H&L (HRP). Nucleus staining on glandular epithelium of mouse colon tissue is observed. Counter stained with Hematoxylin.

Negative control : PBS instead of primary antibody, secondary antibody is prediluted Goat Anti-Rabbit IgG H&L (HRP).

Perform heat mediated antigen retrieval with Tris/EDTA buffer pH 9.0 before commencing with IHC staining protocol.

Immunohistochemistry (Formalin/PFA-fixed paraffin-embedded sections) - Anti-Histone H4 (mono methyl K20) antibody [EPR16999] - ChIP Grade (AB177188)
  • IHC-P

Supplier Data

Immunohistochemistry (Formalin/PFA-fixed paraffin-embedded sections) - Anti-Histone H4 (mono methyl K20) antibody [EPR16999] - ChIP Grade (AB177188)

Immunohistochemical analysis of paraffin-embedded rat kidney tissue labeling Histone H4 (mono methyl K20) with ab177188 at 1/100 dilution, followed by prediluted Goat Anti-Rabbit IgG H&L (HRP). Nucleus staining on rat kidney tissue is observed. Counter stained with Hematoxylin.

Negative control : PBS instead of primary antibody, secondary antibody is prediluted Goat Anti-Rabbit IgG H&L (HRP).

Perform heat mediated antigen retrieval with Tris/EDTA buffer pH 9.0 before commencing with IHC staining protocol.

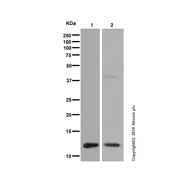
Western blot - Anti-Histone H4 (mono methyl K20) antibody [EPR16999] - ChIP Grade (AB177188)
  • WB

Supplier Data

Western blot - Anti-Histone H4 (mono methyl K20) antibody [EPR16999] - ChIP Grade (AB177188)

Blocking buffer/Diluting buffer : 5% NFDM/TBST

All lanes:

Western blot - Anti-Histone H4 (mono methyl K20) antibody [EPR16999] - ChIP Grade (ab177188) at 1/5000 dilution

Lane 1:

Hela whole cell lysates at 10 µg

Lane 2:

NIH/3T3 whole cell lysates at 10 µg

Predicted band size: 11 kDa

Observed band size: 11 kDa

false

Peptide Array - Anti-Histone H4 (mono methyl K20) antibody [EPR16999] - ChIP Grade (AB177188)
  • PepArr

Supplier Data

Peptide Array - Anti-Histone H4 (mono methyl K20) antibody [EPR16999] - ChIP Grade (AB177188)

ab177188 was tested in Peptide Array against 501 different modified and unmodified histone peptides; each peptide is printed on the array at six concentrations (each in triplicate).
Circle area represents affinity between the antibody and a peptide : all antigen-containing peptides are displayed as red circles, all other peptides as blue circles. The affinity is calculated as area under curve when antibody binding values are plotted against the corresponding peptide concentration. Each circle area is normalized to the peptide with the strongest affinity.
The complete dataset, including full list of all peptides and information on the position of each peptide in the diagram, is available under the Product Protocol section.

  • Carrier free

    Anti-Histone H4 (mono methyl K20) antibody [EPR16999] - BSA and Azide free

  • 775 Alexa Fluor® 750

    Alexa Fluor® 750 Anti-Histone H4 (mono methyl K20) antibody [EPR16999] - ChIP Grade

  • 578 PE

    PE Anti-Histone H4 (mono methyl K20) antibody [EPR16999] – ChIP Grade

  • 660 APC

    APC Anti-Histone H4 (mono methyl K20) antibody [EPR16999] – ChIP Grade

  • 519 Alexa Fluor® 488

    Alexa Fluor® 488 Anti-Histone H4 (mono methyl K20) antibody [EPR16999] – ChIP Grade

  • 665 Alexa Fluor® 647

    Alexa Fluor® 647 Anti-Histone H4 (mono methyl K20) antibody [EPR16999] – ChIP Grade

  • 617 Alexa Fluor® 594

    Alexa Fluor® 594 Anti-Histone H4 (mono methyl K20) antibody [EPR16999] – ChIP Grade

  • 565 Alexa Fluor® 555

    Alexa Fluor® 555 Anti-Histone H4 (mono methyl K20) antibody [EPR16999] – ChIP Grade

Key facts

Host species

Rabbit

Clonality

Monoclonal

Clone number

EPR16999

Isotype

IgG

Carrier free

No

Reacts with

Mouse, Rat, Human

Applications

ICC/IF, PepArr, ChIP-seq, IHC-P, ChIP, WB

applications

Immunogen

The exact immunogen used to generate this antibody is proprietary information.

Reactivity data

{ "title": "Reactivity Data", "filters": { "stats": ["", "Species", "Dilution Info", "Notes"], "tabs": { "all-applications": {"fullname" : "All Applications", "shortname": "All Applications"}, "ChIP" : {"fullname" : "ChIP", "shortname":"ChIP"}, "WB" : {"fullname" : "Western blot", "shortname":"WB"}, "PepArr" : {"fullname" : "Peptide Array", "shortname":"PepArr"}, "ICCIF" : {"fullname" : "Immunocytochemistry/ Immunofluorescence", "shortname":"ICC/IF"}, "ChIPseq" : {"fullname" : "ChIP-sequencing", "shortname":"ChIP-seq"}, "IHCP" : {"fullname" : "Immunohistochemistry (Formalin/PFA-fixed paraffin-embedded sections)", "shortname":"IHC-P"} }, "product-promise": { "all": "all", "testedAndGuaranteed": "tested", "guaranteed": "expected", "predicted": "predicted", "notRecommended": "not-recommended" } }, "values": { "Human": { "ChIP-species-checked": "testedAndGuaranteed", "ChIP-species-dilution-info": "4 µg for 7 µg chromatin", "ChIP-species-notes": "<p></p>", "WB-species-checked": "testedAndGuaranteed", "WB-species-dilution-info": "1/5000", "WB-species-notes": "<p></p>", "PepArr-species-checked": "testedAndGuaranteed", "PepArr-species-dilution-info": "", "PepArr-species-notes": "<p></p>", "ICCIF-species-checked": "testedAndGuaranteed", "ICCIF-species-dilution-info": "1/100", "ICCIF-species-notes": "<p></p>", "ChIPseq-species-checked": "testedAndGuaranteed", "ChIPseq-species-dilution-info": "", "ChIPseq-species-notes": "<p></p>", "IHCP-species-checked": "testedAndGuaranteed", "IHCP-species-dilution-info": "1/100", "IHCP-species-notes": "<p></p>" }, "Mouse": { "ChIP-species-checked": "guaranteed", "ChIP-species-dilution-info": "", "ChIP-species-notes": "", "WB-species-checked": "testedAndGuaranteed", "WB-species-dilution-info": "1/5000", "WB-species-notes": "<p></p>", "PepArr-species-checked": "guaranteed", "PepArr-species-dilution-info": "", "PepArr-species-notes": "", "ICCIF-species-checked": "guaranteed", "ICCIF-species-dilution-info": "", "ICCIF-species-notes": "", "ChIPseq-species-checked": "guaranteed", "ChIPseq-species-dilution-info": "", "ChIPseq-species-notes": "", "IHCP-species-checked": "testedAndGuaranteed", "IHCP-species-dilution-info": "1/100", "IHCP-species-notes": "<p></p>" }, "Rat": { "ChIP-species-checked": "guaranteed", "ChIP-species-dilution-info": "", "ChIP-species-notes": "", "WB-species-checked": "guaranteed", "WB-species-dilution-info": "", "WB-species-notes": "", "PepArr-species-checked": "guaranteed", "PepArr-species-dilution-info": "", "PepArr-species-notes": "", "ICCIF-species-checked": "guaranteed", "ICCIF-species-dilution-info": "", "ICCIF-species-notes": "", "ChIPseq-species-checked": "guaranteed", "ChIPseq-species-dilution-info": "", "ChIPseq-species-notes": "", "IHCP-species-checked": "testedAndGuaranteed", "IHCP-species-dilution-info": "1/100", "IHCP-species-notes": "<p></p>" } } }

Product details

Patented technology
Our RabMAb® technology is a patented hybridoma-based technology for making rabbit monoclonal antibodies. For details on our patents, please refer to RabMAb® patents.

What are the advantages of a recombinant monoclonal antibody?
This product is a recombinant monoclonal antibody, which offers several advantages including:

  • - High batch-to-batch consistency and reproducibility
  • - Improved sensitivity and specificity
  • - Long-term security of supply
  • - Animal-free batch production

For more information, read more on recombinant antibodies.

Properties and storage information

Form
Liquid
Purification technique
Affinity purification Protein A
Storage buffer
Preservative: 0.01% Sodium azide Constituents: PBS, 40% Glycerol (glycerin, glycerine), 0.05% BSA
Shipped at conditions
Blue Ice
Appropriate short-term storage duration
1-2 weeks
Appropriate short-term storage conditions
+4°C
Appropriate long-term storage conditions
-20°C
Aliquoting information
Upon delivery aliquot
Storage information
Avoid freeze / thaw cycle

Product protocols

For this product, it's our understanding that no specific protocols are required. You can visit:

Target data

Core component of nucleosome. Nucleosomes wrap and compact DNA into chromatin, limiting DNA accessibility to the cellular machineries which require DNA as a template. Histones thereby play a central role in transcription regulation, DNA repair, DNA replication and chromosomal stability. DNA accessibility is regulated via a complex set of post-translational modifications of histones, also called histone code, and nucleosome remodeling.
See full target information H4C1 mono methyl K20

Publications (13)

Recent publications for all applications. Explore the full list and refine your search

Frontiers in cellular and infection microbiology 15:1537929 PubMed40270769

2025

Sirtuin 2 inhibitor AGK2 exerts antiviral effects by inducing epigenetic suppression of hepatitis B virus covalently closed circular DNA through recruitment of repressive histone lysine methyltransferases and reduction of cccDNA.

Applications

Unspecified application

Species

Unspecified reactive species

Jumi Kim,Jiseon Ha,Chanho Song,Muhammad Azhar Sajjad,Fadia Kalsoom,Hyeonjoong Kwon,Jaewoo Park,Sun Park,Kyongmin Kim

Cell death & disease 15:649 PubMed39231972

2024

L3MBTL1, a polycomb protein, promotes Osimertinib acquired resistance through epigenetic regulation of DNA damage response in lung adenocarcinoma.

Applications

Unspecified application

Species

Unspecified reactive species

Zihe Zhang,Yongwen Li,Ruifeng Shi,Chaoyi Jia,Songlin Xu,Guangsheng Zhu,Peijun Cao,Hua Huang,Xuanguang Li,Hongbing Zhang,Minghui Liu,Chen Chen,Hongyu Liu,Chunsheng Kang,Jun Chen

Journal of advanced research 68:163-178 PubMed38432395

2024

NCAPD3 promotes diffuse large B-cell lymphoma progression through modulating SIRT1 expression in an H3K9 monomethylation-dependent manner.

Applications

Unspecified application

Species

Unspecified reactive species

Tiange Lu,Juan Yang,Yiqing Cai,Mengfei Ding,Zhuoya Yu,Xiaosheng Fang,Xiangxiang Zhou,Xin Wang

Nature communications 15:996 PubMed38307858

2024

Dysfunction of duplicated pair rice histone acetyltransferases causes segregation distortion and an interspecific reproductive barrier.

Applications

Unspecified application

Species

Unspecified reactive species

Ben Liao,You-Huang Xiang,Yan Li,Kai-Yang Yang,Jun-Xiang Shan,Wang-Wei Ye,Nai-Qian Dong,Yi Kan,Yi-Bing Yang,Huai-Yu Zhao,Hong-Xiao Yu,Zi-Qi Lu,Yan Zhao,Qiang Zhao,Dongling Guo,Shuang-Qin Guo,Jie-Jie Lei,Xiao-Rui Mu,Ying-Jie Cao,Bin Han,Hong-Xuan Lin

Advanced science (Weinheim, Baden-Wurttemberg, Germany) 10:e2302494 PubMed37985839

2023

STAG2 Regulates Homologous Recombination Repair and Sensitivity to ATM Inhibition.

Applications

Unspecified application

Species

Unspecified reactive species

Jie Zhou,Run-Cong Nie,Zhang-Ping He,Xiao-Xia Cai,Jie-Wei Chen,Wen-Ping Lin,Yi-Xin Yin,Zhi-Cheng Xiang,Tian-Chen Zhu,Juan-Juan Xie,You-Cheng Zhang,Xin Wang,Peng Lin,Dan Xie,Alan D D'Andrea,Mu-Yan Cai

Journal of Alzheimer's disease : JAD 95:1735-1755 PubMed37718819

2023

Deletion of the Homocysteine Thiolactone Detoxifying Enzyme Bleomycin Hydrolase, in Mice, Causes Memory and Neurological Deficits and Worsens Alzheimer's Disease-Related Behavioral and Biochemical Traits in the 5xFAD Model of Alzheimer's Disease.

Applications

Unspecified application

Species

Unspecified reactive species

Łukasz Witucki,Kamila Borowczyk,Joanna Suszyńska-Zajczyk,Ewelina Warzych,Piotr Pawlak,Hieronim Jakubowski

Nature communications 14:4225 PubMed37454216

2023

Loss of PHF8 induces a viral mimicry response by activating endogenous retrotransposons.

Applications

Unspecified application

Species

Unspecified reactive species

Yanan Liu,Longmiao Hu,Zhengzhen Wu,Kun Yuan,Guangliang Hong,Zhengke Lian,Juanjuan Feng,Na Li,Dali Li,Jiemin Wong,Jiekai Chen,Mingyao Liu,Jiangping He,Xiufeng Pang

Cells 12: PubMed36899882

2023

Depletion of Paraoxonase 1 (Pon1) Dysregulates mTOR, Autophagy, and Accelerates Amyloid Beta Accumulation in Mice.

Applications

Unspecified application

Species

Unspecified reactive species

Łukasz Witucki,Hieronim Jakubowski

Frontiers in oncology 11:718791 PubMed34745943

2021

LukS-PV Induces Apoptosis the SET8-H4K20me1-PIK3CB Axis in Human Acute Myeloid Leukemia Cells.

Applications

Unspecified application

Species

Unspecified reactive species

Liang Fei Xu,Lan Shi,Shan Shan Zhang,Peng Sheng Ding,Fan Ma,Kai Di Song,Ping Qiang,Wen Jiao Chang,Yuan Yuan Dai,Yi De Mei,Xiao Ling Ma

Reproductive sciences (Thousand Oaks, Calif.) 28:1476-1488 PubMed33398850

2021

Uteroplacental Insufficiency with Hypoxia Upregulates Placental PPARγ-KMT5A Axis in the Rat.

Applications

Unspecified application

Species

Unspecified reactive species

Emily Barrett,Amy Loverin,Haimei Wang,Michelle Carlson,Tricia D Larsen,Mariana M Almeida,Jenna Whitman,Michelle L Baack,Lisa A Joss-Moore
View all publications
peptideArrayWebsite
en

Product promise

We are committed to supporting your work with high-quality reagents, and we're here for you every step of the way. In the unlikely event that one of our products does not perform as expected, you're protected by our Product Promise.
For full details, please see our Terms & Conditions

Please note: All products are 'FOR RESEARCH USE ONLY. NOT FOR USE IN DIAGNOSTIC OR THERAPEUTIC PROCEDURES'.

For licensing inquiries, please contact partnerships@abcam.com