JavaScript is disabled in your browser. Please enable JavaScript to view this website.
AB236241

Anti-Histone H4 (unmodified K20) antibody [EPR22116] - BSA and Azide free

Be the first to review this product! Submit a review

|

(1 Publication)

Rabbit Recombinant Monoclonal Histone H4 unmod K20 antibody. Carrier free. Suitable for PepArr, IP, ChIP, WB, IHC-P and reacts with Human, Mouse, Recombinant fragment, Rat samples. Cited in 1 publication.

View Alternative Names

H4/A, H4FA, HIST1H4A, H4C2, H4/I, H4FI, HIST1H4B, H4C3, H4/G, H4FG, HIST1H4C, H4C4, H4/B, H4FB, HIST1H4D, H4C5, H4/J, H4FJ, HIST1H4E, H4C6, H4/C, H4FC, HIST1H4F, H4C8, H4/H, H4FH, HIST1H4H, H4C9, H4/M, H4FM, HIST1H4I, H4C11, H4/E, H4FE, HIST1H4J, H4C12, H4/D, H4FD, HIST1H4K, H4C13, H4/K, H4FK, HIST1H4L, H4C14, H4/N, H4F2, H4FN, HIST2H4, HIST2H4A, H4C15, H4/O, H4FO, HIST2H4B, H4C16, H4-16, HIST4H4, H4C1, Histone H4, H4K20un

7 Images
Immunohistochemistry (Formalin/PFA-fixed paraffin-embedded sections) - Anti-Histone H4 (unmodified K20) antibody [EPR22116] - BSA and Azide free (AB236241)
  • IHC-P

Unknown

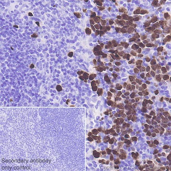
Immunohistochemistry (Formalin/PFA-fixed paraffin-embedded sections) - Anti-Histone H4 (unmodified K20) antibody [EPR22116] - BSA and Azide free (AB236241)

Immunohistochemical analysis of paraffin-embedded human bladder cancer tissue labeling Histone H4K20 with ab227804 at 1/2000 dilution, followed by Goat Anti-Rabbit IgG H&L (HRP) ready to use. Sporadic nuclear staining in human bladder cancer is observed. Counter stained with Hematoxylin.

Secondary antibody only control : Used PBS instead of primary antibody, secondary antibody is Goat Anti-Rabbit IgG H&L (HRP) ready to use.

Heat-mediated antigen retrieval using ab93684 (Tris/EDTA buffer, pH 9.0).

This data was developed using the same antibody clone in a different buffer formulation containing PBS, BSA, glycerol, and sodium azide (ab227804).

Immunohistochemistry (Formalin/PFA-fixed paraffin-embedded sections) - Anti-Histone H4 (unmodified K20) antibody [EPR22116] - BSA and Azide free (AB236241)
  • IHC-P

Unknown

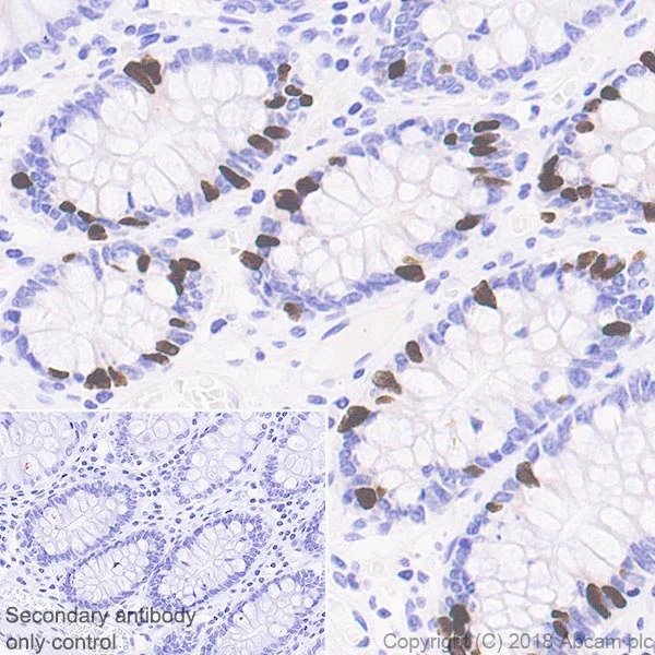
Immunohistochemistry (Formalin/PFA-fixed paraffin-embedded sections) - Anti-Histone H4 (unmodified K20) antibody [EPR22116] - BSA and Azide free (AB236241)

Immunohistochemical analysis of paraffin-embedded human colon tissue labeling Histone H4K20 with ab227804 at 1/2000 dilution, followed by Goat Anti-Rabbit IgG H&L (HRP) ready to use. Sporadic nuclear staining in human colon tissue is observed. Counter stained with Hematoxylin.

Secondary antibody only control : Used PBS instead of primary antibody, secondary antibody is Goat Anti-Rabbit IgG H&L (HRP) ready to use.

Heat-mediated antigen retrieval using ab93684 (Tris/EDTA buffer, pH 9.0).

This data was developed using the same antibody clone in a different buffer formulation containing PBS, BSA, glycerol, and sodium azide (ab227804).

ChIP - Anti-Histone H4 (unmodified K20) antibody [EPR22116] - BSA and Azide free (AB236241)
  • ChIP

Supplier Data

ChIP - Anti-Histone H4 (unmodified K20) antibody [EPR22116] - BSA and Azide free (AB236241)

Chromatin was prepared from HeLa cells according to the Abcam X-ChIP protocol. Cells were fixed with formaldehyde for 10min. The ChIP was performed with 25 μg of chromatin, 2 μg of ab227804 (red), and 20 μl of protein A/G sepharose beads slurry (10 μl of sepharose A beads + 10 μl of sepharose G beads). 2 μg of rabbit normal IgG was added to the beads control (gray). The immunoprecipitated DNA was quantified by real time PCR (SYBR approach).

This data was developed using the same antibody clone in a different buffer formulation containing PBS, BSA, glycerol, and sodium azide (ab227804).

Immunoprecipitation - Anti-Histone H4 (unmodified K20) antibody [EPR22116] - BSA and Azide free (AB236241)
  • IP

Unknown

Immunoprecipitation - Anti-Histone H4 (unmodified K20) antibody [EPR22116] - BSA and Azide free (AB236241)

Histone H4 (unmodified K20) was immunoprecipitated from 0.35 mg of SET8 depleted U-2 OS (human bone osteosarcoma epithelial cell line) whole cell lysate with ab227804 at 1/30 dilution. Western blot was performed from the immunoprecipitate using ab227804 at 1/1000 dilution. VeriBlot for IP Detection Reagent (HRP) (ab131366), was used for detection at 1/5000 dilution.

Lane 1 : SET8 depleted U-2 OS whole cell lysate 10 μg (Input).

Lane 2 : ab227804 IP in SET8 depleted U-2 OS whole cell lysate.

Lane 3 : Rabbit monoclonal IgG (ab172730) instead of ab227804 in SET8 depleted U-2 OS whole cell lysate.

Blocking and dilution buffer and concentration : 5% NFDM/TBST.
Exposure time : 30 seconds.

Depletion of Set8, a histone methyltransferase, delays S-phase progression and impairs DNA replication (PMID : 18166648). It also prevents the monomethylation of H4K20, which is normally mediated by Set8 (PMID : 18166648).

This lysate was kindly provided by our collaborator Dr. Anja Groth, Biotech Research and Innovation Centre (BRIC). University of Copenhagen.

This data was developed using the same antibody clone in a different buffer formulation containing PBS, BSA, glycerol, and sodium azide (ab227804).

All lanes:

Immunoprecipitation - Anti-Histone H4 (unmodified K20) antibody [EPR22116] - ChIP Grade (<a href='/en-us/products/primary-antibodies/histone-h4-unmodified-k20-antibody-epr22116-chip-grade-ab227804'>ab227804</a>)

Predicted band size: 11 kDa

Observed band size: 12 kDa

false

Immunohistochemistry (Formalin/PFA-fixed paraffin-embedded sections) - Anti-Histone H4 (unmodified K20) antibody [EPR22116] - BSA and Azide free (AB236241)
  • IHC-P

Unknown

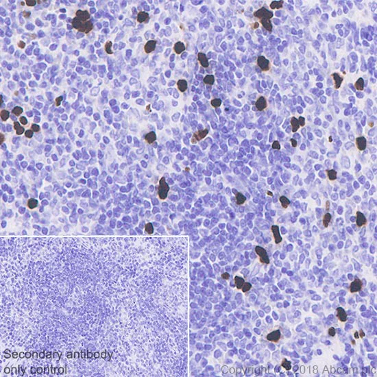
Immunohistochemistry (Formalin/PFA-fixed paraffin-embedded sections) - Anti-Histone H4 (unmodified K20) antibody [EPR22116] - BSA and Azide free (AB236241)

Immunohistochemical analysis of paraffin-embedded mouse spleen tissue labeling Histone H4K20 with ab227804 at 1/2000 dilution, followed by Goat Anti-Rabbit IgG H&L (HRP) ready to use. Nuclear staining in mouse spleen is observed. Counter stained with Hematoxylin.

Secondary antibody only control : Used PBS instead of primary antibody, secondary antibody is Goat Anti-Rabbit IgG H&L (HRP) ready to use.

Heat-mediated antigen retrieval using ab93684 (Tris/EDTA buffer, pH 9.0).

This data was developed using the same antibody clone in a different buffer formulation containing PBS, BSA, glycerol, and sodium azide (ab227804).

Immunohistochemistry (Formalin/PFA-fixed paraffin-embedded sections) - Anti-Histone H4 (unmodified K20) antibody [EPR22116] - BSA and Azide free (AB236241)
  • IHC-P

Unknown

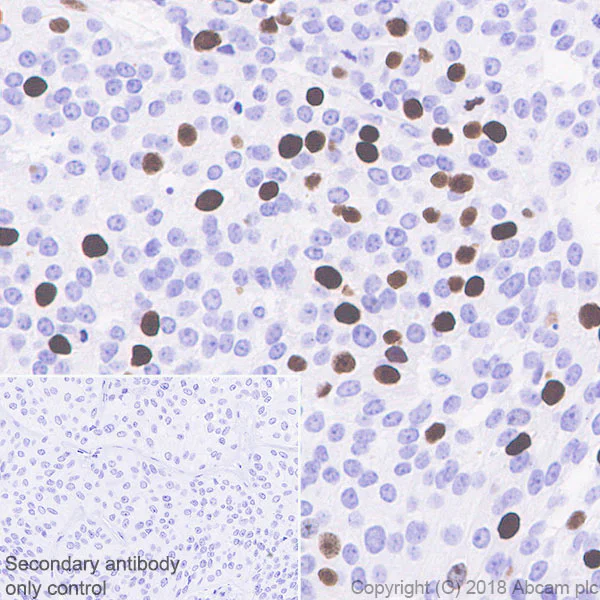
Immunohistochemistry (Formalin/PFA-fixed paraffin-embedded sections) - Anti-Histone H4 (unmodified K20) antibody [EPR22116] - BSA and Azide free (AB236241)

Immunohistochemical analysis of paraffin-embedded rat spleen tissue labeling Histone H4K20 with ab227804 at 1/2000 dilution, followed by Goat Anti-Rabbit IgG H&L (HRP) ready to use. Sporadic nuclear staining in rat spleen is observed. Counter stained with Hematoxylin.

Secondary antibody only control : Used PBS instead of primary antibody, secondary antibody is Goat Anti-Rabbit IgG H&L (HRP) ready to use.

Heat-mediated antigen retrieval using ab93684 (Tris/EDTA buffer, pH 9.0).

This data was developed using the same antibody clone in a different buffer formulation containing PBS, BSA, glycerol, and sodium azide (ab227804).

Peptide Array - Anti-Histone H4 (unmodified K20) antibody [EPR22116] - BSA and Azide free (AB236241)
  • PepArr

Lab

Peptide Array - Anti-Histone H4 (unmodified K20) antibody [EPR22116] - BSA and Azide free (AB236241)

ab227804 was tested in Peptide array against 501 different modified and unmodified histone peptides; each peptide is printed on the array at six concentrations (each in triplicate). Circle area represents affinity between the antibody and a peptide : all antigen-containing peptides are displayed as red circles, all other peptides as blue circles. The affinity is calculated as area under curve when antibody binding values are plotted against the corresponding peptide concentration. Each circle area is normalized to the peptide with the strongest affinity.

The complete dataset, including full list of all peptides and information on the position of each peptide in the diagram, is available under the Product Protocol section.

  • Unconjugated

    Anti-Histone H4 (unmodified K20) antibody [EPR22116] - ChIP Grade

Key facts

Host species

Rabbit

Clonality

Monoclonal

Clone number

EPR22116

Isotype

IgG

Carrier free

Yes

Reacts with

Mouse, Rat, Human

Applications

WB, ChIP, IP, IHC-P, PepArr

applications

Immunogen

The exact immunogen used to generate this antibody is proprietary information.

Reactivity data

{ "title": "Reactivity Data", "filters": { "stats": ["", "Species", "Dilution Info", "Notes"], "tabs": { "all-applications": {"fullname" : "All Applications", "shortname": "All Applications"}, "PepArr" : {"fullname" : "Peptide Array", "shortname":"PepArr"}, "IP" : {"fullname" : "Immunoprecipitation", "shortname":"IP"}, "ChIP" : {"fullname" : "ChIP", "shortname":"ChIP"}, "WB" : {"fullname" : "Western blot", "shortname":"WB"}, "IHCP" : {"fullname" : "Immunohistochemistry (Formalin/PFA-fixed paraffin-embedded sections)", "shortname":"IHC-P"} }, "product-promise": { "all": "all", "testedAndGuaranteed": "tested", "guaranteed": "expected", "predicted": "predicted", "notRecommended": "not-recommended" } }, "values": { "Human": { "PepArr-species-checked": "testedAndGuaranteed", "PepArr-species-dilution-info": "", "PepArr-species-notes": "<p></p>", "IP-species-checked": "testedAndGuaranteed", "IP-species-dilution-info": "", "IP-species-notes": "<p></p>", "ChIP-species-checked": "testedAndGuaranteed", "ChIP-species-dilution-info": "", "ChIP-species-notes": "<p></p>", "WB-species-checked": "guaranteed", "WB-species-dilution-info": "", "WB-species-notes": "<p></p>", "IHCP-species-checked": "guaranteed", "IHCP-species-dilution-info": "", "IHCP-species-notes": "" }, "Mouse": { "PepArr-species-checked": "guaranteed", "PepArr-species-dilution-info": "", "PepArr-species-notes": "", "IP-species-checked": "guaranteed", "IP-species-dilution-info": "", "IP-species-notes": "", "ChIP-species-checked": "guaranteed", "ChIP-species-dilution-info": "", "ChIP-species-notes": "", "WB-species-checked": "guaranteed", "WB-species-dilution-info": "", "WB-species-notes": "<p></p>", "IHCP-species-checked": "testedAndGuaranteed", "IHCP-species-dilution-info": "", "IHCP-species-notes": "<p></p>" }, "Rat": { "PepArr-species-checked": "predicted", "PepArr-species-dilution-info": "", "PepArr-species-notes": "", "IP-species-checked": "predicted", "IP-species-dilution-info": "", "IP-species-notes": "", "ChIP-species-checked": "predicted", "ChIP-species-dilution-info": "", "ChIP-species-notes": "", "WB-species-checked": "guaranteed", "WB-species-dilution-info": "", "WB-species-notes": "<p></p>", "IHCP-species-checked": "predicted", "IHCP-species-dilution-info": "", "IHCP-species-notes": "" }, "Recombinant fragment": { "PepArr-species-checked": "notRecommended", "PepArr-species-dilution-info": "", "PepArr-species-notes": "", "IP-species-checked": "notRecommended", "IP-species-dilution-info": "", "IP-species-notes": "", "ChIP-species-checked": "notRecommended", "ChIP-species-dilution-info": "", "ChIP-species-notes": "", "WB-species-checked": "guaranteed", "WB-species-dilution-info": "", "WB-species-notes": "<p></p>", "IHCP-species-checked": "notRecommended", "IHCP-species-dilution-info": "", "IHCP-species-notes": "" } } }

Product details

ab236241 is the carrier-free version of ab227804.

Conjugation ready
Our carrier-free antibodies are typically supplied in a PBS-only formulation, purified and free of BSA, sodium azide and glycerol. This conjugation-ready format is designed for use with fluorochromes, metal isotopes, oligonucleotides, and enzymes, which makes them ideal for antibody labelling, functional and cell-based assays, flow-based assays (e.g. mass cytometry) and Multiplex Imaging applications.

Use our conjugation kits for antibody conjugates that are ready-to-use in as little as 20 minutes with 1 minute hands-on-time and 100% antibody recovery: available for fluorescent dyes, HRP, biotin and gold.

Compatibility
This product is compatible with the Maxpar® Antibody Labeling Kit from Fluidigm, without the need for antibody preparation. Maxpar® is a trademark of Fluidigm Canada Inc.

Properties and storage information

Form
Liquid
Purification technique
Affinity purification Protein A
Storage buffer
pH: 7.2 - 7.4 Constituents: PBS
Shipped at conditions
Blue Ice
Appropriate short-term storage conditions
+4°C
Appropriate long-term storage conditions
+4°C
Storage information
Do Not Freeze

Product protocols

For this product, it's our understanding that no specific protocols are required. You can visit:

Target data

Core component of nucleosome. Nucleosomes wrap and compact DNA into chromatin, limiting DNA accessibility to the cellular machineries which require DNA as a template. Histones thereby play a central role in transcription regulation, DNA repair, DNA replication and chromosomal stability. DNA accessibility is regulated via a complex set of post-translational modifications of histones, also called histone code, and nucleosome remodeling.
See full target information H4C1 unmod K20

Publications (1)

Recent publications for all applications. Explore the full list and refine your search

Cells 14: PubMed39996786

2025

A Critical Role of Intracellular PD-L1 in Promoting Ovarian Cancer Progression.

Applications

Unspecified application

Species

Unspecified reactive species

Rui Huang,Brad Nakamura,Rosemary Senguttuvan,Yi-Jia Li,Antons Martincuks,Rania Bakkar,Mihae Song,David K Ann,Lorna Rodriguez-Rodriguez,Hua Yu
View all publications
peptideArrayWebsite
en

Product promise

We are committed to supporting your work with high-quality reagents, and we're here for you every step of the way. In the unlikely event that one of our products does not perform as expected, you're protected by our Product Promise.
For full details, please see our Terms & Conditions

Please note: All products are 'FOR RESEARCH USE ONLY. NOT FOR USE IN DIAGNOSTIC OR THERAPEUTIC PROCEDURES'.

For licensing inquiries, please contact partnerships@abcam.com