JavaScript is disabled in your browser. Please enable JavaScript to view this website.
AB227804

Anti-Histone H4 (unmodified K20) antibody [EPR22116] - ChIP Grade

Be the first to review this product! Submit a review

|

(10 Publications)

Rabbit Recombinant Monoclonal Histone H4 unmod K20 antibody. Suitable for PepArr, WB, IHC-P, IP, ChIP and reacts with Human, Mouse, Rat, Synthetic peptide, Recombinant full length protein samples. Cited in 10 publications.

View Alternative Names

H4/A, H4FA, HIST1H4A, H4C2, H4/I, H4FI, HIST1H4B, H4C3, H4/G, H4FG, HIST1H4C, H4C4, H4/B, H4FB, HIST1H4D, H4C5, H4/J, H4FJ, HIST1H4E, H4C6, H4/C, H4FC, HIST1H4F, H4C8, H4/H, H4FH, HIST1H4H, H4C9, H4/M, H4FM, HIST1H4I, H4C11, H4/E, H4FE, HIST1H4J, H4C12, H4/D, H4FD, HIST1H4K, H4C13, H4/K, H4FK, HIST1H4L, H4C14, H4/N, H4F2, H4FN, HIST2H4, HIST2H4A, H4C15, H4/O, H4FO, HIST2H4B, H4C16, H4-16, HIST4H4, H4C1, Histone H4, H4K20un

9 Images
Immunohistochemistry (Formalin/PFA-fixed paraffin-embedded sections) - Anti-Histone H4 (unmodified K20) antibody [EPR22116] - ChIP Grade (AB227804)
  • IHC-P

Unknown

Immunohistochemistry (Formalin/PFA-fixed paraffin-embedded sections) - Anti-Histone H4 (unmodified K20) antibody [EPR22116] - ChIP Grade (AB227804)

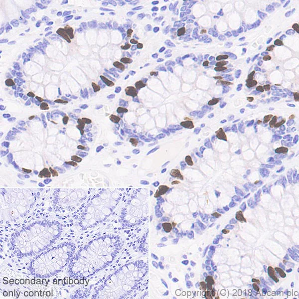
Immunohistochemical analysis of paraffin-embedded human colon tissue labeling Histone H4K20 with ab227804 at 1/2000 dilution, followed by Goat Anti-Rabbit IgG H&L (HRP) ready to use. Sporadic nuclear staining in human colon tissue is observed. Counter stained with Hematoxylin.

Secondary antibody only control : Used PBS instead of primary antibody, secondary antibody is Goat Anti-Rabbit IgG H&L (HRP) ready to use.

Heat-mediated antigen retrieval using ab93684 (Tris/EDTA buffer, pH 9.0).

Immunohistochemistry (Formalin/PFA-fixed paraffin-embedded sections) - Anti-Histone H4 (unmodified K20) antibody [EPR22116] - ChIP Grade (AB227804)
  • IHC-P

Unknown

Immunohistochemistry (Formalin/PFA-fixed paraffin-embedded sections) - Anti-Histone H4 (unmodified K20) antibody [EPR22116] - ChIP Grade (AB227804)

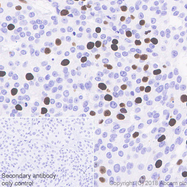
Immunohistochemical analysis of paraffin-embedded human bladder cancer tissue labeling Histone H4K20 with ab227804 at 1/2000 dilution, followed by Goat Anti-Rabbit IgG H&L (HRP) ready to use. Sporadic nuclear staining in human bladder cancer is observed. Counter stained with Hematoxylin.

Secondary antibody only control : Used PBS instead of primary antibody, secondary antibody is Goat Anti-Rabbit IgG H&L (HRP) ready to use.

Heat-mediated antigen retrieval using ab93684 (Tris/EDTA buffer, pH 9.0).

Immunoprecipitation - Anti-Histone H4 (unmodified K20) antibody [EPR22116] - ChIP Grade (AB227804)
  • IP

Unknown

Immunoprecipitation - Anti-Histone H4 (unmodified K20) antibody [EPR22116] - ChIP Grade (AB227804)

Histone H4 (unmodified K20) was immunoprecipitated from 0.35 mg of SET8 depleted U-2 OS (human bone osteosarcoma epithelial cell line) whole cell lysate with ab227804 at 1/30 dilution. Western blot was performed from the immunoprecipitate using ab227804 at 1/1000 dilution. VeriBlot for IP Detection Reagent (HRP) (ab131366), was used for detection at 1/5000 dilution.

Lane 1 : SET8 depleted U-2 OS whole cell lysate 10 μg (Input).

Lane 2 : ab227804 IP in SET8 depleted U-2 OS whole cell lysate.

Lane 3 : Rabbit monoclonal IgG (ab172730) instead of ab227804 in SET8 depleted U-2 OS whole cell lysate.

Blocking and dilution buffer and concentration : 5% NFDM/TBST.
Exposure time : 30 seconds.

Depletion of Set8, a histone methyltransferase, delays S-phase progression and impairs DNA replication (PMID : 18166648). It also prevents the monomethylation of H4K20, which is normally mediated by Set8 (PMID : 18166648).

This lysate was kindly provided by our collaborator Dr. Anja Groth, Biotech Research and Innovation Centre (BRIC). University of Copenhagen.

All lanes:

Immunoprecipitation - Anti-Histone H4 (unmodified K20) antibody [EPR22116] - ChIP Grade (ab227804)

Predicted band size: 11 kDa

Observed band size: 12 kDa

false

ChIP - Anti-Histone H4 (unmodified K20) antibody [EPR22116] - ChIP Grade (AB227804)
  • ChIP

Supplier Data

ChIP - Anti-Histone H4 (unmodified K20) antibody [EPR22116] - ChIP Grade (AB227804)

Chromatin was prepared from HeLa cells according to the Abcam X-ChIP protocol. Cells were fixed with formaldehyde for 10min. The ChIP was performed with 25 μg of chromatin, 2 μg of ab227804 (red), and 20 μl of protein A/G sepharose beads slurry (10 μl of sepharose A beads + 10 μl of sepharose G beads). 2 μg of rabbit normal IgG was added to the beads control (gray). The immunoprecipitated DNA was quantified by real time PCR (SYBR approach).

Immunohistochemistry (Formalin/PFA-fixed paraffin-embedded sections) - Anti-Histone H4 (unmodified K20) antibody [EPR22116] - ChIP Grade (AB227804)
  • IHC-P

Unknown

Immunohistochemistry (Formalin/PFA-fixed paraffin-embedded sections) - Anti-Histone H4 (unmodified K20) antibody [EPR22116] - ChIP Grade (AB227804)

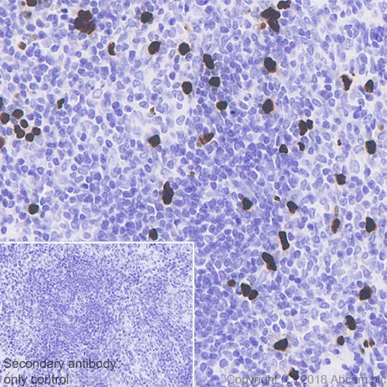
Immunohistochemical analysis of paraffin-embedded rat spleen tissue labeling Histone H4K20 with ab227804 at 1/2000 dilution, followed by Goat Anti-Rabbit IgG H&L (HRP) ready to use. Sporadic nuclear staining in rat spleen is observed. Counter stained with Hematoxylin.

Secondary antibody only control : Used PBS instead of primary antibody, secondary antibody is Goat Anti-Rabbit IgG H&L (HRP) ready to use.

Heat-mediated antigen retrieval using ab93684 (Tris/EDTA buffer, pH 9.0).

Immunohistochemistry (Formalin/PFA-fixed paraffin-embedded sections) - Anti-Histone H4 (unmodified K20) antibody [EPR22116] - ChIP Grade (AB227804)
  • IHC-P

Unknown

Immunohistochemistry (Formalin/PFA-fixed paraffin-embedded sections) - Anti-Histone H4 (unmodified K20) antibody [EPR22116] - ChIP Grade (AB227804)

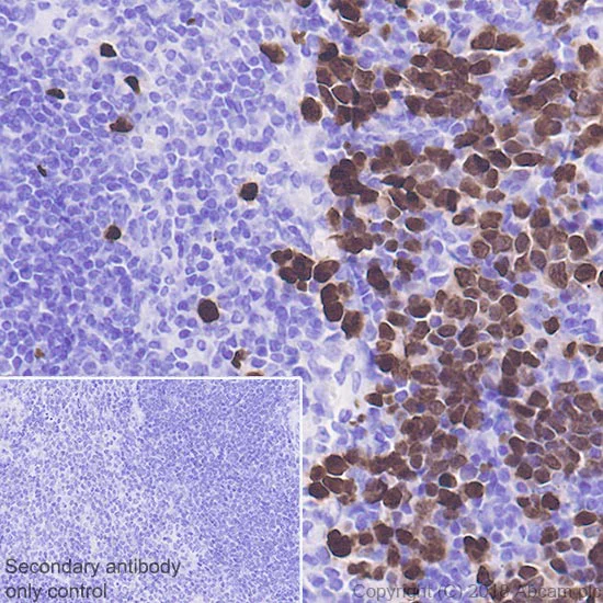
Immunohistochemical analysis of paraffin-embedded mouse spleen tissue labeling Histone H4K20 with ab227804 at 1/2000 dilution, followed by Goat Anti-Rabbit IgG H&L (HRP) ready to use. Nuclear staining in mouse spleen is observed. Counter stained with Hematoxylin.

Secondary antibody only control : Used PBS instead of primary antibody, secondary antibody is Goat Anti-Rabbit IgG H&L (HRP) ready to use.

Heat-mediated antigen retrieval using ab93684 (Tris/EDTA buffer, pH 9.0).

Western blot - Anti-Histone H4 (unmodified K20) antibody [EPR22116] - ChIP Grade (AB227804)
  • WB

Unknown

Western blot - Anti-Histone H4 (unmodified K20) antibody [EPR22116] - ChIP Grade (AB227804)

Blocking and dilution buffer : 5% NFDM/TBST.

Depletion of Set8, a histone methyltransferase, delays S-phase progression and impairs DNA replication (PMID : 18166648). It also prevents the monomethylation of H4K20, which is normally mediated by Set8 (PMID : 18166648).

The lysates in lanes 1 & 2 were kindly provided by our collaborator Dr. Anja Groth, Biotech Research and Innovation Centre (BRIC). University of Copenhagen.

All lanes:

Western blot - Anti-Histone H4 (unmodified K20) antibody [EPR22116] - ChIP Grade (ab227804) at 1/1000 dilution

Lane 1:

SET8 depleted lysate from U-2 OS (human bone osteosarcoma epithelial cell line), whole cell lysate at 20 µg

Lane 2:

G1-arrested lysate from U-2 OS whole cell lysate at 20 µg

Lane 3:

HeLa (human epithelial cell line from cervix adenocarcinoma) whole cell lysate at 20 µg

Lane 4:

NIH/3T3 (mouse embryo fibroblast cell line) whole cell lysate at 20 µg

Secondary

All lanes:

Western blot - Goat Anti-Rabbit IgG H&L (HRP) (<a href='/en-us/products/secondary-antibodies/goat-rabbit-igg-h-l-hrp-ab97051'>ab97051</a>) at 1/100000 dilution

Predicted band size: 11 kDa

Observed band size: 12 kDa

false

Exposure time: 3min

Western blot - Anti-Histone H4 (unmodified K20) antibody [EPR22116] - ChIP Grade (AB227804)
  • WB

Unknown

Western blot - Anti-Histone H4 (unmodified K20) antibody [EPR22116] - ChIP Grade (AB227804)

Blocking and dilution buffer : 5% NFDM/TBST.

The recombinant proteins were His-tagged.

All lanes:

Western blot - Anti-Histone H4 (unmodified K20) antibody [EPR22116] - ChIP Grade (ab227804) at 1/1000 dilution

Lane 1:

Unmodified recombinant H4 protein, 10 ng

Lane 2:

Recombinant mutant H4 chemically modified to mimic H4K20Me1, 10 ng

Lane 3:

Recombinant mutant H4 chemically modified to mimic H4K20Me2, 10 ng

Lane 4:

Recombinant mutant H4 chemically modified to mimic H4K20Me3, 10 ng

Lane 5:

Unmodified recombinant mutant H4 (K20 mutated to C), 10 ng

Secondary

All lanes:

Western blot - Goat Anti-Rabbit IgG H&L (HRP) (<a href='/en-us/products/secondary-antibodies/goat-rabbit-igg-h-l-hrp-ab97051'>ab97051</a>) at 1/50000 dilution

Predicted band size: 11 kDa

Observed band size: 12 kDa

false

Exposure time: 3min

Peptide Array - Anti-Histone H4 (unmodified K20) antibody [EPR22116] - ChIP Grade (AB227804)
  • PepArr

Lab

Peptide Array - Anti-Histone H4 (unmodified K20) antibody [EPR22116] - ChIP Grade (AB227804)

ab227804 was tested in Peptide array against 501 different modified and unmodified histone peptides; each peptide is printed on the array at six concentrations (each in triplicate). Circle area represents affinity between the antibody and a peptide : all antigen-containing peptides are displayed as red circles, all other peptides as blue circles. The affinity is calculated as area under curve when antibody binding values are plotted against the corresponding peptide concentration. Each circle area is normalized to the peptide with the strongest affinity.

The complete dataset, including full list of all peptides and information on the position of each peptide in the diagram, is available under the Product Protocol section.

  • Carrier free

    Anti-Histone H4 (unmodified K20) antibody [EPR22116] - BSA and Azide free

Key facts

Host species

Rabbit

Clonality

Monoclonal

Clone number

EPR22116

Isotype

IgG

Carrier free

No

Reacts with

Mouse, Rat, Human

Applications

IP, IHC-P, PepArr, WB, ChIP

applications

Immunogen

The exact immunogen used to generate this antibody is proprietary information.

Reactivity data

{ "title": "Reactivity Data", "filters": { "stats": ["", "Species", "Dilution Info", "Notes"], "tabs": { "all-applications": {"fullname" : "All Applications", "shortname": "All Applications"}, "PepArr" : {"fullname" : "Peptide Array", "shortname":"PepArr"}, "WB" : {"fullname" : "Western blot", "shortname":"WB"}, "IHCP" : {"fullname" : "Immunohistochemistry (Formalin/PFA-fixed paraffin-embedded sections)", "shortname":"IHC-P"}, "IP" : {"fullname" : "Immunoprecipitation", "shortname":"IP"}, "ChIP" : {"fullname" : "ChIP", "shortname":"ChIP"} }, "product-promise": { "all": "all", "testedAndGuaranteed": "tested", "guaranteed": "expected", "predicted": "predicted", "notRecommended": "not-recommended" } }, "values": { "Human": { "PepArr-species-checked": "testedAndGuaranteed", "PepArr-species-dilution-info": "", "PepArr-species-notes": "<p></p>", "WB-species-checked": "testedAndGuaranteed", "WB-species-dilution-info": "1/1000", "WB-species-notes": "<p></p>", "IHCP-species-checked": "testedAndGuaranteed", "IHCP-species-dilution-info": "1/2000", "IHCP-species-notes": "<p></p>", "IP-species-checked": "testedAndGuaranteed", "IP-species-dilution-info": "1/30", "IP-species-notes": "<p></p>", "ChIP-species-checked": "testedAndGuaranteed", "ChIP-species-dilution-info": "2 µg for 25 µg chromatin", "ChIP-species-notes": "<p></p>" }, "Mouse": { "PepArr-species-checked": "guaranteed", "PepArr-species-dilution-info": "", "PepArr-species-notes": "", "WB-species-checked": "testedAndGuaranteed", "WB-species-dilution-info": "1/1000", "WB-species-notes": "<p></p>", "IHCP-species-checked": "testedAndGuaranteed", "IHCP-species-dilution-info": "1/2000", "IHCP-species-notes": "<p></p>", "IP-species-checked": "guaranteed", "IP-species-dilution-info": "", "IP-species-notes": "", "ChIP-species-checked": "guaranteed", "ChIP-species-dilution-info": "", "ChIP-species-notes": "" }, "Rat": { "PepArr-species-checked": "guaranteed", "PepArr-species-dilution-info": "", "PepArr-species-notes": "", "WB-species-checked": "guaranteed", "WB-species-dilution-info": "", "WB-species-notes": "", "IHCP-species-checked": "testedAndGuaranteed", "IHCP-species-dilution-info": "1/2000", "IHCP-species-notes": "<p></p>", "IP-species-checked": "guaranteed", "IP-species-dilution-info": "", "IP-species-notes": "", "ChIP-species-checked": "guaranteed", "ChIP-species-dilution-info": "", "ChIP-species-notes": "" }, "Caenorhabditis elegans": { "PepArr-species-checked": "predicted", "PepArr-species-dilution-info": "", "PepArr-species-notes": "", "WB-species-checked": "predicted", "WB-species-dilution-info": "", "WB-species-notes": "", "IHCP-species-checked": "predicted", "IHCP-species-dilution-info": "", "IHCP-species-notes": "", "IP-species-checked": "predicted", "IP-species-dilution-info": "", "IP-species-notes": "", "ChIP-species-checked": "predicted", "ChIP-species-dilution-info": "", "ChIP-species-notes": "" }, "Cow": { "PepArr-species-checked": "predicted", "PepArr-species-dilution-info": "", "PepArr-species-notes": "", "WB-species-checked": "predicted", "WB-species-dilution-info": "", "WB-species-notes": "", "IHCP-species-checked": "predicted", "IHCP-species-dilution-info": "", "IHCP-species-notes": "", "IP-species-checked": "predicted", "IP-species-dilution-info": "", "IP-species-notes": "", "ChIP-species-checked": "predicted", "ChIP-species-dilution-info": "", "ChIP-species-notes": "" }, "Drosophila melanogaster": { "PepArr-species-checked": "predicted", "PepArr-species-dilution-info": "", "PepArr-species-notes": "", "WB-species-checked": "predicted", "WB-species-dilution-info": "", "WB-species-notes": "", "IHCP-species-checked": "predicted", "IHCP-species-dilution-info": "", "IHCP-species-notes": "", "IP-species-checked": "predicted", "IP-species-dilution-info": "", "IP-species-notes": "", "ChIP-species-checked": "predicted", "ChIP-species-dilution-info": "", "ChIP-species-notes": "" }, "Recombinant full length protein": { "PepArr-species-checked": "notRecommended", "PepArr-species-dilution-info": "", "PepArr-species-notes": "", "WB-species-checked": "testedAndGuaranteed", "WB-species-dilution-info": "1/1000", "WB-species-notes": "<p></p>", "IHCP-species-checked": "notRecommended", "IHCP-species-dilution-info": "", "IHCP-species-notes": "", "IP-species-checked": "notRecommended", "IP-species-dilution-info": "", "IP-species-notes": "", "ChIP-species-checked": "notRecommended", "ChIP-species-dilution-info": "", "ChIP-species-notes": "" }, "Schizosaccharomyces pombe": { "PepArr-species-checked": "predicted", "PepArr-species-dilution-info": "", "PepArr-species-notes": "", "WB-species-checked": "predicted", "WB-species-dilution-info": "", "WB-species-notes": "", "IHCP-species-checked": "predicted", "IHCP-species-dilution-info": "", "IHCP-species-notes": "", "IP-species-checked": "predicted", "IP-species-dilution-info": "", "IP-species-notes": "", "ChIP-species-checked": "predicted", "ChIP-species-dilution-info": "", "ChIP-species-notes": "" }, "Synthetic peptide": { "PepArr-species-checked": "notRecommended", "PepArr-species-dilution-info": "", "PepArr-species-notes": "", "WB-species-checked": "testedAndGuaranteed", "WB-species-dilution-info": "1/1000", "WB-species-notes": "<p></p>", "IHCP-species-checked": "testedAndGuaranteed", "IHCP-species-dilution-info": "1/2000", "IHCP-species-notes": "<p></p>", "IP-species-checked": "testedAndGuaranteed", "IP-species-dilution-info": "1/30", "IP-species-notes": "<p></p>", "ChIP-species-checked": "testedAndGuaranteed", "ChIP-species-dilution-info": "2 µg for 25 µg chromatin", "ChIP-species-notes": "<p></p>" } } }

Product details

Patented technology
Our RabMAb® technology is a patented hybridoma-based technology for making rabbit monoclonal antibodies. For details on our patents, please refer to RabMAb® patents.

What are the advantages of a recombinant monoclonal antibody?
This product is a recombinant monoclonal antibody, which offers several advantages including:

  • - High batch-to-batch consistency and reproducibility
  • - Improved sensitivity and specificity
  • - Long-term security of supply
  • - Animal-free batch production

For more information, read more on recombinant antibodies.

Properties and storage information

Form
Liquid
Purification technique
Affinity purification Protein A
Storage buffer
pH: 7.2 - 7.4 Preservative: 0.01% Sodium azide Constituents: PBS, 40% Glycerol (glycerin, glycerine), 0.05% BSA
Shipped at conditions
Blue Ice
Appropriate short-term storage duration
1-2 weeks
Appropriate short-term storage conditions
+4°C
Appropriate long-term storage conditions
-20°C
Aliquoting information
Upon delivery aliquot
Storage information
Avoid freeze / thaw cycle

Product protocols

For this product, it's our understanding that no specific protocols are required. You can visit:

Target data

Core component of nucleosome. Nucleosomes wrap and compact DNA into chromatin, limiting DNA accessibility to the cellular machineries which require DNA as a template. Histones thereby play a central role in transcription regulation, DNA repair, DNA replication and chromosomal stability. DNA accessibility is regulated via a complex set of post-translational modifications of histones, also called histone code, and nucleosome remodeling.
See full target information H4C1 unmod K20

Publications (10)

Recent publications for all applications. Explore the full list and refine your search

Science advances 11:eadr1453 PubMed39970210

2025

Disabling leading and lagging strand histone transmission results in parental histones loss and reduced cell plasticity and viability.

Applications

Unspecified application

Species

Unspecified reactive species

Leonie Kollenstart,Alva Biran,Nicolas Alcaraz,Nazaret Reverón-Gómez,Victor Solis-Mezarino,Moritz Völker-Albert,Fion Jenkinson,Valentin Flury,Anja Groth

Cell 187:5029-5047.e21 PubMed39094569

2024

The fork protection complex promotes parental histone recycling and epigenetic memory.

Applications

ChIP, ChIP

Species

Mouse, Yeast

Sebastian Jespersen Charlton,Valentin Flury,Yutaka Kanoh,Aitana Victoria Genzor,Leonie Kollenstart,Wantong Ao,Peter Brøgger,Melanie Bianca Weisser,Marek Adamus,Nicolas Alcaraz,Charlotte M Delvaux de Fenffe,Francesca Mattiroli,Guillermo Montoya,Hisao Masai,Anja Groth,Geneviève Thon

Nucleic acids research 52:7687-7703 PubMed38884202

2024

RAD18 directs DNA double-strand break repair by homologous recombination to post-replicative chromatin.

Applications

WB, ICC

Species

Human, Human

Matous Palek,Natalie Palkova,Petra Kleiblova,Zdenek Kleibl,Libor Macurek

Advanced science (Weinheim, Baden-Wurttemberg, Germany) 10:e2302494 PubMed37985839

2023

STAG2 Regulates Homologous Recombination Repair and Sensitivity to ATM Inhibition.

Applications

WB, IHC-P

Species

Human, Human

Jie Zhou,Run-Cong Nie,Zhang-Ping He,Xiao-Xia Cai,Jie-Wei Chen,Wen-Ping Lin,Yi-Xin Yin,Zhi-Cheng Xiang,Tian-Chen Zhu,Juan-Juan Xie,You-Cheng Zhang,Xin Wang,Peng Lin,Dan Xie,Alan D D'Andrea,Mu-Yan Cai

Nature cell biology : PubMed37414849

2023

Dynamic de novo heterochromatin assembly and disassembly at replication forks ensures fork stability.

Applications

PLA

Species

Human

Vincent Gaggioli,Calvin S Y Lo,Nazaret Reverón-Gómez,Zuzana Jasencakova,Heura Domenech,Hong Nguyen,Simone Sidoli,Andrey Tvardovskiy,Sidrit Uruci,Johan A Slotman,Yi Chai,João G S C Souto Gonçalves,Eleni Maria Manolika,Ole N Jensen,David Wheeler,Sriram Sridharan,Sanjiban Chakrabarty,Jeroen Demmers,Roland Kanaar,Anja Groth,Nitika Taneja

Nucleic acids research 51:3770-3792 PubMed36942484

2023

CAF-1 deposits newly synthesized histones during DNA replication using distinct mechanisms on the leading and lagging strands.

Applications

Unspecified application

Species

Unspecified reactive species

Clément Rouillon,Bruna V Eckhardt,Leonie Kollenstart,Fabian Gruss,Alexander E E Verkennis,Inge Rondeel,Peter H L Krijger,Giulia Ricci,Alva Biran,Theo van Laar,Charlotte M Delvaux de Fenffe,Georgiana Luppens,Pascal Albanese,Koichi Sato,Richard A Scheltema,Wouter de Laat,Puck Knipscheer,Nynke H Dekker,Anja Groth,Francesca Mattiroli

Molecular cell 83:1075-1092.e9 PubMed36868228

2023

DAXX adds a de novo H3.3K9me3 deposition pathway to the histone chaperone network.

Applications

Unspecified application

Species

Unspecified reactive species

Massimo Carraro,Ivo A Hendriks,Colin M Hammond,Victor Solis-Mezarino,Moritz Völker-Albert,Jonas D Elsborg,Melanie B Weisser,Christos Spanos,Guillermo Montoya,Juri Rappsilber,Axel Imhof,Michael L Nielsen,Anja Groth

Cell 186:1050-1065.e19 PubMed36750094

2023

Recycling of modified H2A-H2B provides short-term memory of chromatin states.

Applications

Unspecified application

Species

Unspecified reactive species

Valentin Flury,Nazaret Reverón-Gómez,Nicolas Alcaraz,Kathleen R Stewart-Morgan,Alice Wenger,Robert J Klose,Anja Groth

Nature 596:433-437 PubMed34321663

2021

BARD1 reads H2A lysine 15 ubiquitination to direct homologous recombination.

Applications

ICC

Species

Human

Jordan R Becker,Gillian Clifford,Clara Bonnet,Anja Groth,Marcus D Wilson,J Ross Chapman

Nature cell biology 21:311-318 PubMed30804502

2019

H4K20me0 recognition by BRCA1-BARD1 directs homologous recombination to sister chromatids.

Applications

IF

Species

Unspecified reactive species

Kyosuke Nakamura,Giulia Saredi,Jordan R Becker,Benjamin M Foster,Nhuong V Nguyen,Tracey E Beyer,Laura C Cesa,Peter A Faull,Saulius Lukauskas,Thomas Frimurer,J Ross Chapman,Till Bartke,Anja Groth
View all publications
peptideArrayWebsite
en

Product promise

We are committed to supporting your work with high-quality reagents, and we're here for you every step of the way. In the unlikely event that one of our products does not perform as expected, you're protected by our Product Promise.
For full details, please see our Terms & Conditions

Please note: All products are 'FOR RESEARCH USE ONLY. NOT FOR USE IN DIAGNOSTIC OR THERAPEUTIC PROCEDURES'.

For licensing inquiries, please contact partnerships@abcam.com