JavaScript is disabled in your browser. Please enable JavaScript to view this website.
AB63915

Anti-HIV1 p55 + p17 antibody

Be the first to review this product! Submit a review

|

(1 Publication)

Rabbit Polyclonal HIV1 p55 antibody. Suitable for ELISA, WB and reacts with Human immunodeficiency virus samples. Cited in 1 publication.

View Alternative Names

gag, Pr55Gag, Gag polyprotein

1 Images
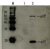
Western blot - Anti-HIV1 p55 + p17 antibody (AB63915)
  • WB

Unknown

Western blot - Anti-HIV1 p55 + p17 antibody (AB63915)

All lanes:

Western blot - Anti-HIV1 p55 + p17 antibody (ab63915) at 1/2500 dilution

Lane 1:

Extract of MT4 cells

Lane 2:

Extract of MT4 cells infected with HIV1 (LAI strain)

false

Key facts

Host species

Rabbit

Clonality

Polyclonal

Isotype

IgG

Carrier free

No

Reacts with

Human immunodeficiency virus

Applications

WB, ELISA

applications

Reactivity data

{ "title": "Reactivity Data", "filters": { "stats": ["", "Species", "Dilution Info", "Notes"], "tabs": { "all-applications": {"fullname" : "All Applications", "shortname": "All Applications"}, "ELISA" : {"fullname" : "ELISA", "shortname":"ELISA"}, "WB" : {"fullname" : "Western blot", "shortname":"WB"} }, "product-promise": { "all": "all", "testedAndGuaranteed": "tested", "guaranteed": "expected", "predicted": "predicted", "notRecommended": "not-recommended" } }, "values": { "Human immunodeficiency virus": { "ELISA-species-checked": "guaranteed", "ELISA-species-dilution-info": "", "ELISA-species-notes": "<p></p>", "WB-species-checked": "testedAndGuaranteed", "WB-species-dilution-info": "1/2500", "WB-species-notes": "<p></p>" } } }

Properties and storage information

Form
Liquid
Purity
Whole antiserum
Storage buffer
pH: 6 - 8.5 Preservative: 0.09% Sodium azide Constituents: Whole serum
Shipped at conditions
Blue Ice
Appropriate short-term storage duration
1-2 weeks
Appropriate short-term storage conditions
+4°C
Appropriate long-term storage conditions
-20°C
Storage information
Avoid freeze / thaw cycle

Supplementary information

This supplementary information is collated from multiple sources and compiled automatically.

HIV1 p55 also known as Gag polyprotein plays an important role in the assembly and maturation of the HIV-1 virus. It is expressed in infected host cells and has a molecular weight of approximately 55 kDa. HIV1 p55 serves as a precursor that gets cleaved by the viral protease to form smaller proteins including p17 (matrix protein) p24 (capsid protein) and p7 (nucleocapsid protein). These cleaved proteins are critical for the viral lifecycle. The cleavage of p55 into p17 among others contributes to the structural integrity and virion production of the virus.
Biological function summary

Gag polyprotein functions as a scaffold for the formation of viral particles. It associates with the inner cell membrane of the infected cell to form virus-like particles. HIV1 p55 is part of a larger complex that involves interactions with the viral RNA and host proteins facilitating the budding of new viral particles from the infected cell. The p17 component also called the HIV-1 Matrix protein is integral in directing Gag to the plasma membrane where assembly occurs.

Pathways

The HIV1 p55 plays central roles in the viral replication cycle. It participates in pathways that facilitate viral assembly and release. During these processes Gag interacts with proteins such as TSG101 and ALIX which are involved in the endosomal sorting complex required for transport (ESCRT) pathway. This interaction is important for the budding process allowing the nascent viral particles to exit the host cell efficiently.

HIV1 p55 is directly related to Human Immunodeficiency Virus (HIV) infection leading to Acquired Immunodeficiency Syndrome (AIDS). The virus affects the immune system by depleting CD4+ T cells which HIV1 p55 through interactions with proteins like p17 contributes to this pathological effect. Additionally there's a connection to neurocognitive disorders associated with HIV where p17 is implicated in disrupting neural function showcasing its impact beyond immune suppression.

Product protocols

For this product, it's our understanding that no specific protocols are required. You can visit:

Target data

See full target information HIV1 p55

Additional targets

HIV1 p17

Publications (1)

Recent publications for all applications. Explore the full list and refine your search

Nature communications 16:2998 PubMed40148322

2025

Keratin-72 restricts HIV-1 infection in resting CD4 T cells by sequestering capsids in intermediate filaments.

Applications

Unspecified application

Species

Unspecified reactive species

Yang He,Meng Xu,Jiayue Ouyang,Li Zhao,Tiankui Ma,Xiaowei Zhang,Ruolin Wang,Hong Shang,Guoxin Liang
View all publications

Product promise

We are committed to supporting your work with high-quality reagents, and we're here for you every step of the way. In the unlikely event that one of our products does not perform as expected, you're protected by our Product Promise.
For full details, please see our Terms & Conditions

Please note: All products are 'FOR RESEARCH USE ONLY. NOT FOR USE IN DIAGNOSTIC OR THERAPEUTIC PROCEDURES'.

For licensing inquiries, please contact partnerships@abcam.com