JavaScript is disabled in your browser. Please enable JavaScript to view this website.
AB308072

Anti-HIV1 p55 + p24 antibody [EPR27327-79]

  • BOND RX™ Validated
  • 20ul selling size
  • RabMAb
  • Recombinant
  • What is this?

Be the first to review this product! Submit a review

|

(0 Publication)

Rabbit Recombinant Monoclonal GAG antibody. Suitable for WB, IHC-P, ICC/IF, Flow Cyt (Intra), I-ELISA and reacts with Recombinant fragment - Human immunodeficiency virus, Transfected cell lysate - Human immunodeficiency virus, Transfected cell line - Human immunodeficiency virus samples.

View Alternative Names

Gag polyprotein, Pr55Gag, gag

9 Images
Immunohistochemistry (Formalin/PFA-fixed paraffin-embedded sections) - Anti-HIV1 p55 + p24 antibody [EPR27327-79] (AB308072)
  • IHC-P

Supplier Data

Immunohistochemistry (Formalin/PFA-fixed paraffin-embedded sections) - Anti-HIV1 p55 + p24 antibody [EPR27327-79] (AB308072)

Immunohistochemical analysis of paraffin-embedded human cerebrum tissue labeling HIV1 p55 + p24 with ab308072 at 1/500 followed by ready to use LeicaDS9800 (Bond™ Polymer Refine Detection). Negative control : no staining on human cerebrum. The section was incubated with ab308072 for 30 mins at room temperature. The immunostaining was performed on a Leica Biosystems BOND® RX instrument. Counterstained with Hematoxylin. Heat mediated antigen retrieval was performed with Tris-EDTA buffer (pH 9.0, Epitope Retrieval Solution2) for 20 mins.

Immunohistochemistry (Formalin/PFA-fixed paraffin-embedded sections) - Anti-HIV1 p55 + p24 antibody [EPR27327-79] (AB308072)
  • IHC-P

Supplier Data

Immunohistochemistry (Formalin/PFA-fixed paraffin-embedded sections) - Anti-HIV1 p55 + p24 antibody [EPR27327-79] (AB308072)

Immunohistochemical analysis of paraffin-embedded rat liver tissue labeling HIV1 p55 + p24 with ab308072 at 1/500 followed by ready to use LeicaDS9800 (Bond™ Polymer Refine Detection). Negative control : no staining on rat liver. The section was incubated with ab308072 for 30 mins at room temperature. The immunostaining was performed on a Leica Biosystems BOND® RX instrument. Counterstained with Hematoxylin. Heat mediated antigen retrieval was performed with Tris-EDTA buffer (pH 9.0, Epitope Retrieval Solution2) for 20 mins.

Immunohistochemistry (Formalin/PFA-fixed paraffin-embedded sections) - Anti-HIV1 p55 + p24 antibody [EPR27327-79] (AB308072)
  • IHC-P

Supplier Data

Immunohistochemistry (Formalin/PFA-fixed paraffin-embedded sections) - Anti-HIV1 p55 + p24 antibody [EPR27327-79] (AB308072)

Immunohistochemical analysis of paraffin-embedded mouse liver tissue labeling HIV1 p55 + p24 with ab308072 at 1/500 followed by ready to use LeicaDS9800 (Bond™ Polymer Refine Detection). Negative control : no staining on mouse liver. The section was incubated with ab308072 for 30 mins at room temperature. The immunostaining was performed on a Leica Biosystems BOND® RX instrument. Counterstained with Hematoxylin. Heat mediated antigen retrieval was performed with Tris-EDTA buffer (pH 9.0, Epitope Retrieval Solution2) for 20 mins.

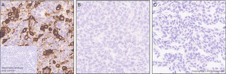
Immunohistochemistry (Formalin/PFA-fixed paraffin-embedded sections) - Anti-HIV1 p55 + p24 antibody [EPR27327-79] (AB308072)
  • IHC-P

Supplier Data

Immunohistochemistry (Formalin/PFA-fixed paraffin-embedded sections) - Anti-HIV1 p55 + p24 antibody [EPR27327-79] (AB308072)

Immunohistochemical analysis of paraffin-embedded cells labeling HIV1 p55 + p24 with ab308072 at 1/500 followed by ready to use LeicaDS9800 (Bond™ Polymer Refine Detection). Positive staining on (A) HEK-293T transfected with a HIV1-GAG His tag construct, no staining on (B) HEK-293T transfected with a HIV2-GAG His tag construct and (C) HEK-293T transfected with empty plasmid. The section was incubated with ab308072 for 30 mins at room temperature. The immunostaining was performed on a Leica Biosystems BOND® RX instrument. Counterstained with Hematoxylin. Secondary antibody only control : Secondary antibody is ready to use LeicaDS9800 (Bond™ Polymer Refine Detection). Heat mediated antigen retrieval was performed with Tris-EDTA buffer (pH 9.0, Epitope Retrieval Solution2) for 20 mins

Immunocytochemistry/ Immunofluorescence - Anti-HIV1 p55 + p24 antibody [EPR27327-79] (AB308072)
  • ICC/IF

Supplier Data

Immunocytochemistry/ Immunofluorescence - Anti-HIV1 p55 + p24 antibody [EPR27327-79] (AB308072)

Immunofluorescent analysis of 4% Paraformaldehyde-fixed, 0.1% TritonX-100 permeabilized HEK-293T (human embryonic kidney epithelial cell) cells labelling HIV1 p55 + p24 with ab308072 at 1/2000 dilution, followed by ab150081 Goat Anti-Rabbit IgG H&L (Alexa Fluor® 488) preadsorbed antibody at 1/1000 dilution (Green). Confocal image showing positive staining in HEK-293T cells transfected with a HIV1-GAG expression vector containing a myc tag and no staining in HEK-293T cells transfected with a HIV2-GAG expression vector containing a myc tag. Image was taken with a confocal microscope(Leica-Microsystems, TCS SP8). Myc-Tag Mouse mAb (Alexa Fluor® 647) was used to counterstain tubulin at 1/100 dilution (Red). The nuclear counterstain was DAPI (Blue). Secondary antibody only control : Secondary antibody is ab150081 Goat Anti-Rabbit IgG H&L (Alexa Fluor® 488) preadsorbed at 1/1000 dilution.

Flow Cytometry (Intracellular) - Anti-HIV1 p55 + p24 antibody [EPR27327-79] (AB308072)
  • Flow Cyt (Intra)

Supplier Data

Flow Cytometry (Intracellular) - Anti-HIV1 p55 + p24 antibody [EPR27327-79] (AB308072)

Flow cytometric analysis of 4% paraformaldehyde fixed 90% methanol permeabilized HEK-293T cells (human embryonic kidney epithelial cells) transfected with Myc-tagged HIV2-GAG overexpression construct (Left) / HEK-293T cells transfected with Myc-tagged HIV1-GAG overexpression construct (Right) labelling HIV1 p55 + p24 with ab308072 at 1/500 dilution (Right). A Goat Anti-Rabbit IgG (Alexa Fluor® 488, ab150081) at 1/5000 dilution was used as the secondary antibody. Cells were co-stained with anti-myc conjugated to 647.

Indirect ELISA - Anti-HIV1 p55 + p24 antibody [EPR27327-79] (AB308072)
  • I-ELISA

Supplier Data

Indirect ELISA - Anti-HIV1 p55 + p24 antibody [EPR27327-79] (AB308072)

Indirect ELISA analysis of ab308072 at 0-1000 ng/ml. The secondary antibody used was Alkaline Phosphatase-conjugated AffiniPure Goat Anti-Rabbit IgG (H+L) at 1/2500 dilution.

Western blot - Anti-HIV1 p55 + p24 antibody [EPR27327-79] (AB308072)
  • WB

Supplier Data

Western blot - Anti-HIV1 p55 + p24 antibody [EPR27327-79] (AB308072)

Blocking and diluting buffer and concentration : 5% NFDM/TBST In Western blot, anti-His antibody (ab213204) staining at 1/5000 dilution. Anti-GAPDH antibody (ab181602) loading control staining at 1/200000 dilution. Exposure time : 3 seconds

All lanes:

Western blot - Anti-HIV1 p55 + p24 antibody [EPR27327-79] (ab308072) at 1/1000 dilution

Lane 1:

293T cells transfected with an empty vector containing a His tag whole cell lysate at 20 µg

Lane 2:

293T cells transfected with a HIV-GAG p55 expression vector containing a His-tag whole cell lysate at 20 µg

Secondary

All lanes:

Western blot - Goat Anti-Rabbit IgG H&L (HRP) (<a href='/en-us/products/secondary-antibodies/goat-rabbit-igg-h-l-hrp-ab97051'>ab97051</a>) at 1/100000 dilution

Observed band size: 55 kDa

false

Exposure time: 3s

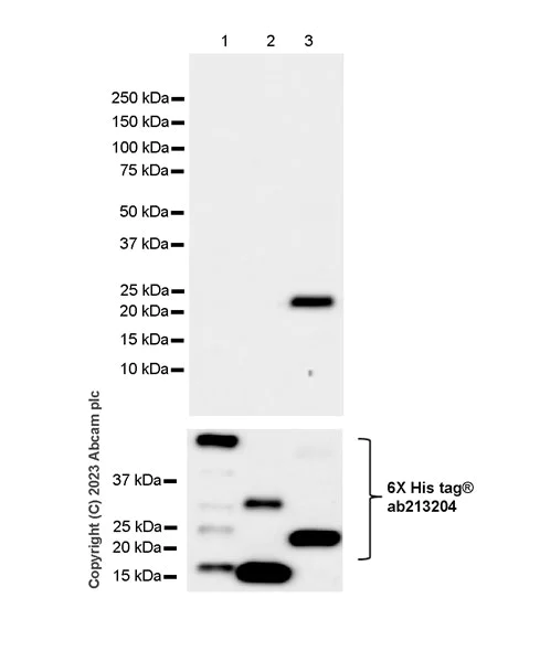
Western blot - Anti-HIV1 p55 + p24 antibody [EPR27327-79] (AB308072)
  • WB

Supplier Data

Western blot - Anti-HIV1 p55 + p24 antibody [EPR27327-79] (AB308072)

Blocking and diluting buffer and concentration : 5% NFDM/TBST In Western blot, anti-His antibody (ab213204) staining at 1/5000 dilution. Anti-GAPDH antibody (ab181602) loading control staining at 1/200000 dilution. Exposure time : 3 seconds

All lanes:

Western blot - Anti-HIV1 p55 + p24 antibody [EPR27327-79] (ab308072) at 1/1000 dilution

Lane 1:

His-tagged HIV2-GAG recombinant protein at 10 ng

Lane 2:

His-tagged HIV1-GAG p17 fragment at 10 ng

Lane 3:

His-tagged HIV1-GAG p24 fragment at 10 ng

Secondary

All lanes:

Western blot - Goat Anti-Rabbit IgG H&L (HRP) (<a href='/en-us/products/secondary-antibodies/goat-rabbit-igg-h-l-hrp-ab97051'>ab97051</a>) at 1/100000 dilution

Observed band size: 24 kDa

false

Exposure time: 3s

  • Carrier free

    Anti-HIV1 p55 + p24 antibody [EPR27327-79] - BSA and Azide free

Key facts

Host species

Rabbit

Clonality

Monoclonal

Clone number

EPR27327-79

Isotype

IgG

Carrier free

No

Reacts with

Human immunodeficiency virus

Applications

I-ELISA, IHC-P, WB, ICC/IF, Flow Cyt (Intra)

applications

Immunogen

The exact immunogen used to generate this antibody is proprietary information.

Reactivity data

{ "title": "Reactivity Data", "filters": { "stats": ["", "Species", "Dilution Info", "Notes"], "tabs": { "all-applications": {"fullname" : "All Applications", "shortname": "All Applications"}, "WB" : {"fullname" : "Western blot", "shortname":"WB"}, "IHCP" : {"fullname" : "Immunohistochemistry (Formalin/PFA-fixed paraffin-embedded sections)", "shortname":"IHC-P"}, "ICCIF" : {"fullname" : "Immunocytochemistry/ Immunofluorescence", "shortname":"ICC/IF"}, "FlowCytIntra" : {"fullname" : "Flow Cytometry (Intracellular)", "shortname":"Flow Cyt (Intra)"}, "IELISA" : {"fullname" : "Indirect ELISA", "shortname":"I-ELISA"}, "IP" : {"fullname" : "Immunoprecipitation", "shortname":"IP"} }, "product-promise": { "all": "all", "testedAndGuaranteed": "tested", "guaranteed": "expected", "predicted": "predicted", "notRecommended": "not-recommended" } }, "values": { "Human immunodeficiency virus": { "WB-species-checked": "predicted", "WB-species-dilution-info": "", "WB-species-notes": "", "IHCP-species-checked": "predicted", "IHCP-species-dilution-info": "", "IHCP-species-notes": "", "ICCIF-species-checked": "predicted", "ICCIF-species-dilution-info": "", "ICCIF-species-notes": "", "FlowCytIntra-species-checked": "predicted", "FlowCytIntra-species-dilution-info": "", "FlowCytIntra-species-notes": "", "IELISA-species-checked": "predicted", "IELISA-species-dilution-info": "", "IELISA-species-notes": "", "IP-species-checked": "notRecommended", "IP-species-dilution-info": "", "IP-species-notes": "<p></p>" }, "Recombinant fragment - Human immunodeficiency virus": { "WB-species-checked": "testedAndGuaranteed", "WB-species-dilution-info": "1/1000", "WB-species-notes": "<p></p>", "IHCP-species-checked": "notRecommended", "IHCP-species-dilution-info": "", "IHCP-species-notes": "", "ICCIF-species-checked": "notRecommended", "ICCIF-species-dilution-info": "", "ICCIF-species-notes": "", "FlowCytIntra-species-checked": "notRecommended", "FlowCytIntra-species-dilution-info": "", "FlowCytIntra-species-notes": "", "IELISA-species-checked": "testedAndGuaranteed", "IELISA-species-dilution-info": "1000 ng/mL", "IELISA-species-notes": "<p>Use at 500 ng/ml</p>", "IP-species-checked": "notRecommended", "IP-species-dilution-info": "", "IP-species-notes": "" }, "Transfected cell line - Human immunodeficiency virus": { "WB-species-checked": "notRecommended", "WB-species-dilution-info": "", "WB-species-notes": "", "IHCP-species-checked": "testedAndGuaranteed", "IHCP-species-dilution-info": "1/500", "IHCP-species-notes": "<p></p> Perform heat-mediated antigen retrieval with Tris/EDTA buffer pH 9.0 before commencing with IHC staining protocol.", "ICCIF-species-checked": "testedAndGuaranteed", "ICCIF-species-dilution-info": "1/2000", "ICCIF-species-notes": "<p></p>", "FlowCytIntra-species-checked": "testedAndGuaranteed", "FlowCytIntra-species-dilution-info": "1/500", "FlowCytIntra-species-notes": "<p></p>", "IELISA-species-checked": "notRecommended", "IELISA-species-dilution-info": "", "IELISA-species-notes": "", "IP-species-checked": "notRecommended", "IP-species-dilution-info": "", "IP-species-notes": "" }, "Transfected cell lysate - Human immunodeficiency virus": { "WB-species-checked": "testedAndGuaranteed", "WB-species-dilution-info": "1/1000", "WB-species-notes": "<p></p>", "IHCP-species-checked": "notRecommended", "IHCP-species-dilution-info": "", "IHCP-species-notes": "", "ICCIF-species-checked": "notRecommended", "ICCIF-species-dilution-info": "", "ICCIF-species-notes": "", "FlowCytIntra-species-checked": "notRecommended", "FlowCytIntra-species-dilution-info": "", "FlowCytIntra-species-notes": "", "IELISA-species-checked": "notRecommended", "IELISA-species-dilution-info": "", "IELISA-species-notes": "", "IP-species-checked": "notRecommended", "IP-species-dilution-info": "", "IP-species-notes": "" } } }

Product details

Patented technology
Our RabMAb® technology is a patented hybridoma-based technology for making rabbit monoclonal antibodies. For details on our patents, please refer to RabMAb® patents.

What are the advantages of a recombinant monoclonal antibody?
This product is a recombinant monoclonal antibody, which offers several advantages including:

  • - High batch-to-batch consistency and reproducibility
  • - Improved sensitivity and specificity
  • - Long-term security of supply
  • - Animal-free batch production

For more information, read more on recombinant antibodies.

Properties and storage information

Form
Liquid
Purification technique
Affinity purification Protein A
Storage buffer
pH: 7.2 - 7.4 Preservative: 0.01% Sodium azide Constituents: PBS, 40% Glycerol (glycerin, glycerine), 0.05% BSA
Shipped at conditions
Blue Ice
Appropriate short-term storage duration
1-2 weeks
Appropriate short-term storage conditions
+4°C
Appropriate long-term storage conditions
-20°C
Aliquoting information
Upon delivery aliquot
Storage information
Avoid freeze / thaw cycle

Supplementary information

This supplementary information is collated from multiple sources and compiled automatically.

The HIV1 p55 + p24 refers to key proteins derived from the Gag polyprotein of HIV-1 a retrovirus causing AIDS. The Gag polyprotein is about 55 kilodaltons (kDa) and undergoes proteolytic cleavage to produce several structural proteins including p24. P24 has an approximate mass of 24 kDa. It forms the viral capsid which encases the viral RNA genome. These proteins are expressed during viral assembly in infected host cells important for the formation of virus-like particles. Western blot assays frequently utilize p24 due to its stable and abundant presence in viral particles.
Biological function summary

HIV1 proteins p55 and p24 play essential roles in viral replication and particle assembly. The p55 precursor also known as the Gag polyprotein is important for the organization of viral proteins and RNA into new virions. Upon cleavage the p24 protein forms the core of the virus providing structural integrity. These proteins interact with other viral components during the assembly and maturation processes ensuring efficient viral particle production and release.

Pathways

The Gag polyprotein and its resulting products such as p24 are critical in the HIV-1 life cycle pathways. They contribute to the formation and budding of viral particles from the host cell membrane. In these pathways they interact with the host cell machinery and other viral proteins like Pol which is responsible for reverse transcription and integration. The interplay between these proteins ensures the successful replication and spread of the virus.

HIV1 proteins p55 and p24 have a direct connection to acquired immunodeficiency syndrome (AIDS) caused by HIV-1 infection. The viral load often measured through p24 levels correlates with disease progression and immune system deterioration. The proteins also relate to disorders involving immune system dysfunction due to their involvement in virus assembly and release. They connect with the host's immune proteins like CD4 which the virus uses as a receptor to enter cells leading to immune system weakening.

Product protocols

For this product, it's our understanding that no specific protocols are required. You can visit:

Target data

Gag polyprotein. Mediates, with Gag-Pol polyprotein, the essential events in virion assembly, including binding the plasma membrane, making the protein-protein interactions necessary to create spherical particles, recruiting the viral Env proteins, and packaging the genomic RNA via direct interactions with the RNA packaging sequence (Psi).. Matrix protein p17. Targets the polyprotein to the plasma membrane via a multipartite membrane-binding signal, that includes its myristoylated N-terminus (By similarity). Matrix protein is part of the pre-integration complex. Implicated in the release from host cell mediated by Vpu. Binds to RNA (By similarity).. Capsid protein p24. Forms the conical core that encapsulates the genomic RNA-nucleocapsid complex in the virion. Most core are conical, with only 7% tubular. The core is constituted by capsid protein hexamer subunits. The core is disassembled soon after virion entry (By similarity). The capsid promotes immune invasion by cloaking viral DNA from CGAS detection (By similarity). Host restriction factors such as TRIM5-alpha or TRIMCyp bind retroviral capsids and cause premature capsid disassembly, leading to blocks in reverse transcription. Capsid restriction by TRIM5 is one of the factors which restricts HIV-1 to the human species. Host PIN1 apparently facilitates the virion uncoating (By similarity). On the other hand, interactions with PDZD8 or CYPA stabilize the capsid (By similarity).. Nucleocapsid protein p7. Encapsulates and protects viral dimeric unspliced genomic RNA (gRNA). Binds these RNAs through its zinc fingers. Acts as a nucleic acid chaperone which is involved in rearangement of nucleic acid secondary structure during gRNA retrotranscription. Also facilitates template switch leading to recombination. As part of the polyprotein, participates in gRNA dimerization, packaging, tRNA incorporation and virion assembly.. p6-gag. Plays a role in budding of the assembled particle by interacting with the host class E VPS proteins TSG101 and PDCD6IP/AIP1.
See full target information gag

Product promise

We are committed to supporting your work with high-quality reagents, and we're here for you every step of the way. In the unlikely event that one of our products does not perform as expected, you're protected by our Product Promise.
For full details, please see our Terms & Conditions

Please note: All products are 'FOR RESEARCH USE ONLY. NOT FOR USE IN DIAGNOSTIC OR THERAPEUTIC PROCEDURES'.

For licensing inquiries, please contact partnerships@abcam.com