JavaScript is disabled in your browser. Please enable JavaScript to view this website.
AB233541

Anti-HJURP antibody [EPR22619-41]

Be the first to review this product! Submit a review

|

(6 Publications)

Rabbit Recombinant Monoclonal HJURP antibody. Suitable for WB, IHC-P and reacts with Human samples. Cited in 6 publications.

View Alternative Names

FAKTS, FLEG1, URLC9, HJURP, Holliday junction recognition protein, 14-3-3-associated AKT substrate, Fetal liver-expressing gene 1 protein, Up-regulated in lung cancer 9

4 Images
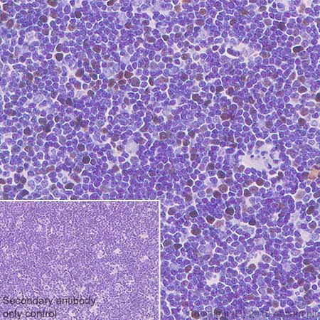
Immunohistochemistry (Formalin/PFA-fixed paraffin-embedded sections) - Anti-HJURP antibody [EPR22619-41] (AB233541)
  • IHC-P

Unknown

Immunohistochemistry (Formalin/PFA-fixed paraffin-embedded sections) - Anti-HJURP antibody [EPR22619-41] (AB233541)

Immunohistochemical analysis of paraffin-embeddded human thymus tissue labeling HJURP with ab233541 at 1/100 dilution, followed by Rabbit specific IHC polymer detection kit HRP/DAB (ab209101). Nuclear staining on thymocytes of human thymus cortex (PMID : 17256767) is observed. Counterstained with hematoxylin.

Secondary antibody only control : Used PBS instead of primary antibody, secondary antibody is Rabbit specific IHC polymer detection kit HRP/DAB (ab209101).

Heat mediated antigen retrieval with Tris-EDTA buffer (pH 9.0, epitope retrieval solution 2) for 20mins.

The section was incubated with ab233541 for 30 mins at room temperature.

The immunostaining was performed on a Leica Biosystems BOND® RX instrument.

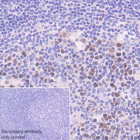
Immunohistochemistry (Formalin/PFA-fixed paraffin-embedded sections) - Anti-HJURP antibody [EPR22619-41] (AB233541)
  • IHC-P

Unknown

Immunohistochemistry (Formalin/PFA-fixed paraffin-embedded sections) - Anti-HJURP antibody [EPR22619-41] (AB233541)

Immunohistochemical analysis of paraffin-embeddded human tonsil tissue labeling HJURP with ab233541 at 1/100 dilution, followed by Rabbit specific IHC polymer detection kit HRP/DAB (ab209101). Nuclear staining in human tonsil germinal center is observed. Counter stained with hematoxylin.

Secondary antibody only control : Used PBS instead of primary antibody, secondary antibody is Rabbit specific IHC polymer detection kit HRP/DAB (ab209101).

Heat mediated antigen retrieval with Tris-EDTA buffer (pH 9.0, epitope retrieval solution 2) for 20mins.

The section was incubated with ab233541 for 30 mins at room temperature.

The immunostaining was performed on a Leica Biosystems BOND® RX instrument.

Western blot - Anti-HJURP antibody [EPR22619-41] (AB233541)
  • WB

Unknown

Western blot - Anti-HJURP antibody [EPR22619-41] (AB233541)

Blocking and dilution buffer : 5% NFDM/TBST.

The molecular weight observed is consistent with what has been described in the literature (PMID : 23771058).

All lanes:

Western blot - Anti-HJURP antibody [EPR22619-41] (ab233541) at 1/1000 dilution

All lanes:

HEK-293 (human epithelial cell line from embryonic kidney) whole cell lysate at 20 µg

Secondary

All lanes:

Western blot - Goat Anti-Rabbit IgG H&L (HRP) (<a href='/en-us/products/secondary-antibodies/goat-rabbit-igg-h-l-hrp-ab97051'>ab97051</a>) at 1/100000 dilution

Predicted band size: 84 kDa

Observed band size: 84 kDa

false

Exposure time: 3min

Western blot - Anti-HJURP antibody [EPR22619-41] (AB233541)
  • WB

Unknown

Western blot - Anti-HJURP antibody [EPR22619-41] (AB233541)

Blocking and dilution buffer : 5% NFDM/TBST.

Exposure times.

Lanes 1-3 : 48 seconds; Lane 4 : 3.25 seconds.

The molecular weight observed is consistent with what has been described in the literature (PMID : 23771058).

Lanes 1-3 in this blot were developed using a higher sensitivity ECL substrate.

All lanes:

Western blot - Anti-HJURP antibody [EPR22619-41] (ab233541) at 1/1000 dilution

Lane 1:

HeLa (human epithelial cell line from cervix adenocarcinoma) whole cell lysate at 20 µg

Lane 2:

HeLa nuclear fraction at 20 µg

Lane 3:

HeLa cytoplasmic fraction at 20 µg

Lane 4:

Human tonsil tissue lysate at 20 µg

Secondary

Lanes 1 - 3:

Western blot - Goat Anti-Rabbit IgG H&L (HRP) (<a href='/en-us/products/secondary-antibodies/goat-rabbit-igg-h-l-hrp-ab97051'>ab97051</a>) at 1/100000 dilution

Lane 4:

Western blot - VeriBlot for IP Detection Reagent (HRP) (<a href='/en-us/products/reagents/veriblot-for-ip-detection-reagent-hrp-ab131366'>ab131366</a>) at 1/1000 dilution

Predicted band size: 84 kDa

Observed band size: 84 kDa

false

  • Carrier free

    Anti-HJURP antibody [EPR22619-41] - BSA and Azide free

Key facts

Host species

Rabbit

Clonality

Monoclonal

Clone number

EPR22619-41

Isotype

IgG

Carrier free

No

Reacts with

Human

Applications

IHC-P, WB

applications

Immunogen

The exact immunogen used to generate this antibody is proprietary information.

Reactivity data

{ "title": "Reactivity Data", "filters": { "stats": ["", "Species", "Dilution Info", "Notes"], "tabs": { "all-applications": {"fullname" : "All Applications", "shortname": "All Applications"}, "IP" : {"fullname" : "Immunoprecipitation", "shortname":"IP"}, "FlowCyt" : {"fullname" : "Flow Cytometry", "shortname":"Flow Cyt"}, "WB" : {"fullname" : "Western blot", "shortname":"WB"}, "ICCIF" : {"fullname" : "Immunocytochemistry/ Immunofluorescence", "shortname":"ICC/IF"}, "IHCP" : {"fullname" : "Immunohistochemistry (Formalin/PFA-fixed paraffin-embedded sections)", "shortname":"IHC-P"} }, "product-promise": { "all": "all", "testedAndGuaranteed": "tested", "guaranteed": "expected", "predicted": "predicted", "notRecommended": "not-recommended" } }, "values": { "Human": { "IP-species-checked": "notRecommended", "IP-species-dilution-info": "", "IP-species-notes": "<p></p>", "FlowCyt-species-checked": "notRecommended", "FlowCyt-species-dilution-info": "", "FlowCyt-species-notes": "<p></p>", "WB-species-checked": "testedAndGuaranteed", "WB-species-dilution-info": "1/1000", "WB-species-notes": "<p></p>", "ICCIF-species-checked": "notRecommended", "ICCIF-species-dilution-info": "", "ICCIF-species-notes": "<p></p>", "IHCP-species-checked": "testedAndGuaranteed", "IHCP-species-dilution-info": "1/100", "IHCP-species-notes": "<p></p>" } } }

Product details

Patented technology
Our RabMAb® technology is a patented hybridoma-based technology for making rabbit monoclonal antibodies. For details on our patents, please refer to RabMAb® patents.

What are the advantages of a recombinant monoclonal antibody?
This product is a recombinant monoclonal antibody, which offers several advantages including:

  • - High batch-to-batch consistency and reproducibility
  • - Improved sensitivity and specificity
  • - Long-term security of supply
  • - Animal-free batch production

For more information, read more on recombinant antibodies.

Properties and storage information

Form
Liquid
Purification technique
Affinity purification Protein A
Storage buffer
pH: 7.2 - 7.4 Preservative: 0.01% Sodium azide Constituents: PBS, 40% Glycerol (glycerin, glycerine), 0.05% BSA
Shipped at conditions
Blue Ice
Appropriate short-term storage duration
1-2 weeks
Appropriate short-term storage conditions
+4°C
Appropriate long-term storage conditions
-20°C
Aliquoting information
Upon delivery aliquot
Storage information
Avoid freeze / thaw cycle

Supplementary information

This supplementary information is collated from multiple sources and compiled automatically.

HJURP also known as Holliday junction recognition protein plays an important mechanical role in chromatin assembly. This protein weighs approximately 82 kDa and coordinates the correct loading of CENP-A at the centromeres during S phase and early G1 phase of the cell cycle. HJURP is mostly expressed in proliferative tissues and cell lines reflecting its involvement in processes requiring accurate chromosomal segregation during cell division. Its presence ensures that centromere identity is passed onto the daughter cells.
Biological function summary

HJURP is critical for centromere function and stability. It operates by forming a complex with centromere protein A (CENP-A) which completes the assembly and maintenance of centromere chromatin. HJURP achieves this by acting as a chaperone specifically ensuring the accurate deposition of CENP-A at the centromeres. The functionality of HJURP within this complex highlights its role in sustaining genomic integrity throughout cell division processes.

Pathways

HJURP lies at the center of the centromere-specific chromatin assembly pathway. This pathway is essential for the replenishment of centromeric CENP-A thereby ensuring accurate chromosome segregation. HJURP interacts significantly with other proteins such as CALM and H4 aiding in chromatin dynamics and stability. These interactions help integrate HJURP's actions into larger cellular and genetic processes particularly those involving DNA replication and cell cycle progression.

HJURP links closely to cancerous transformations and chromosomal instability disorders. Abnormal expression or mutations of HJURP can disrupt centromere function potentially leading to aneuploidy—a condition often found in various cancers. Its association with other proteins such as HJURP's interaction with overexpressed CENP-A in these pathological states highlights its significance in maintaining cellular health. Therefore HJURP emerges as a potential biomarker for these conditions and warrants further research into therapeutic interventions.

Product protocols

For this product, it's our understanding that no specific protocols are required. You can visit:

Target data

Centromeric protein that plays a central role in the incorporation and maintenance of histone H3-like variant CENPA at centromeres. Acts as a specific chaperone for CENPA and is required for the incorporation of newly synthesized CENPA molecules into nucleosomes at replicated centromeres. Prevents CENPA-H4 tetramerization and prevents premature DNA binding by the CENPA-H4 tetramer. Directly binds Holliday junctions.
See full target information HJURP

Publications (6)

Recent publications for all applications. Explore the full list and refine your search

The Tohoku journal of experimental medicine 264:31-39 PubMed38866531

2024

HJURP Derived from Cancer-Associated Fibroblasts Promotes Glutamine Metabolism to Induce Resistance to Doxorubicin in Ovarian Cancer.

Applications

Unspecified application

Species

Unspecified reactive species

Yanfang Lan,Hao Xu,Lanying Jin

Developmental cell 59:545-557.e4 PubMed38228139

2024

Live-cell imaging defines a threshold in CDK activity at the G2/M transition.

Applications

Unspecified application

Species

Unspecified reactive species

Hironori Sugiyama,Yuhei Goto,Yohei Kondo,Damien Coudreuse,Kazuhiro Aoki

The Tohoku journal of experimental medicine 259:209-219 PubMed36543245

2022

Effects of Holliday Junction-Recognition Protein-Mediated C-Jun N-Terminal Kinase/ Signal Transducer and Activator of Transcription 3 Signaling Pathway on Cell Proliferation, Cell Cycle and Cell Apoptosis in Bladder Urothelial Carcinoma.

Applications

Unspecified application

Species

Unspecified reactive species

Song Gao,Xiao-Qing Zhou,Qi Wu,Xue-Dong Chen,Peng Li,Ye-Min Qin

Oncology letters 24:232 PubMed35720487

2022

Prognostic value of Holliday junction-recognizing protein and its correlation with immune infiltrates in lung adenocarcinoma.

Applications

Unspecified application

Species

Unspecified reactive species

Long Chen,Chong Zeng,Limei Yan,Wanyu Liao,Chen Zhen,Jie Yao

Cell biology international 46:1144-1155 PubMed35293659

2022

KLF11 promotes the progression of glioma via regulating Holliday junction recognition protein.

Applications

Unspecified application

Species

Unspecified reactive species

Jian Li,Chunhong Wang,Rui Cheng,Haiyang Su,Lijun Wang,Lei Ji,Hongming Ji

Journal of environmental pathology, toxicology and oncology : official organ of the International Society for Environmental Toxicology and Cancer 41:27-43 PubMed35378002

2022

Comprehensive Analysis of Epigenetic Associated Genes on Differential Gene Expression and Prognosis in Hepatocellular Carcinoma.

Applications

Unspecified application

Species

Unspecified reactive species

Cong Li,Jing Ding,Jianmin Mei
View all publications

Product promise

We are committed to supporting your work with high-quality reagents, and we're here for you every step of the way. In the unlikely event that one of our products does not perform as expected, you're protected by our Product Promise.
For full details, please see our Terms & Conditions

Please note: All products are 'FOR RESEARCH USE ONLY. NOT FOR USE IN DIAGNOSTIC OR THERAPEUTIC PROCEDURES'.

For licensing inquiries, please contact partnerships@abcam.com