JavaScript is disabled in your browser. Please enable JavaScript to view this website.
AB216653

Anti-HLA A antibody [EP1395Y] - BSA and Azide free

Be the first to review this product! Submit a review

|

(22 Publications)

Anti-HLA A antibody [EP1395Y] - BSA and Azide free (ab216653) is a rabbit recombinant monoclonal antibody provided in a PBS only buffer for easy conjugation detecting HLA A in Western Blot, Flow Cytometry (Intra), IP, IHC-P, ICC/IF. Suitable for Human.

- KO validated for confirmed specificity
- BSA, sodium azide, and glycerol-free for easy conjugation
- Biophysical QC for unrivalled batch-batch consistency
- Over 20 publications

View Alternative Names

HLAA, HLA-A, Human leukocyte antigen A

12 Images
Immunohistochemistry (Formalin/PFA-fixed paraffin-embedded sections) - Anti-HLA A antibody [EP1395Y] - BSA and Azide free (AB216653)
  • IHC-P

Lab

Immunohistochemistry (Formalin/PFA-fixed paraffin-embedded sections) - Anti-HLA A antibody [EP1395Y] - BSA and Azide free (AB216653)

This data was developed using the same antibody clone in a different buffer formulation (ab52922).

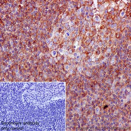
Immunohistochemical analysis of formalin fixed paraffin embedded human tonsil labelling Anti-HLA A with ab52922 at a concentration of 0.01 µg/ml. The immunostaining was performed on a Ventana DISCOVERY ULTRA (Roche Tissue Diagnostics) instrument with a OptiView DAB IHC Detection Kit. Heat mediated antigen retrieval was performed with DISCOVERY cell conditioning solution (CC1) 100°C, pH8.5 for 32mins.

Anti-HLA A antibody [EP1395Y] ab52922 was incubated for 16mins at 37°C. Sections were counterstained with Hematoxylin II. Image inset shows absence of staining in secondary antibody only control.

Customers are encouraged to optimise antigen retrieval conditions, antibody concentration, incubation times and temperature for best results in their own IHC assay workflow (automated and manual).

Immunocytochemistry/ Immunofluorescence - Anti-HLA A antibody [EP1395Y] - BSA and Azide free (AB216653)
  • ICC/IF

Unknown

Immunocytochemistry/ Immunofluorescence - Anti-HLA A antibody [EP1395Y] - BSA and Azide free (AB216653)

ICC/IF image of unpurified ab52922 stained MCF7 cells. The cells were 4% formaldehyde fixed (10 min) and then incubated in 1%BSA / 10% normal goat serum / 0.3M glycine in 0.1% PBS-Tween for 1h to permeabilise the cells and block non-specific protein-protein interactions. The cells were then incubated with the antibody (ab52922, 5µg/ml) overnight at +4°C. The secondary antibody (green) was Alexa Fluor® 488 goat anti-rabbit IgG (H+L) used at a 1/1000 dilution for 1h. Alexa Fluor® 594 WGA was used to label plasma membranes (red) at a 1/200 dilution for 1h. DAPI was used to stain the cell nuclei (blue) at a concentration of 1.43µM.

This data was developed using the same antibody clone in a different buffer formulation containing PBS, BSA, glycerol, and sodium azide (ab52922).

Immunohistochemistry (Formalin/PFA-fixed paraffin-embedded sections) - Anti-HLA A antibody [EP1395Y] - BSA and Azide free (AB216653)
  • IHC-P

Unknown

Immunohistochemistry (Formalin/PFA-fixed paraffin-embedded sections) - Anti-HLA A antibody [EP1395Y] - BSA and Azide free (AB216653)

ab52922 at 1/250 dilution staining human tonsil; paraffin embedded.

This data was developed using the same antibody clone in a different buffer formulation containing PBS, BSA, glycerol, and sodium azide (ab52922).

Immunohistochemistry (Formalin/PFA-fixed paraffin-embedded sections) - Anti-HLA A antibody [EP1395Y] - BSA and Azide free (AB216653)
  • IHC-P

AbReview38970****

Immunohistochemistry (Formalin/PFA-fixed paraffin-embedded sections) - Anti-HLA A antibody [EP1395Y] - BSA and Azide free (AB216653)

ab52922 staining HLA A in Human tonsil tissue sections by Immunohistochemistry (IHC-P - paraformaldehyde-fixed, paraffin-embedded sections). Tissue was fixed with formaldehyde and blocked with 3% H2O2 for 10 minutes at 25°C; antigen retrieval was by heat mediation in a citrate buffer, pH 6.0 . Samples were incubated with primary antibody (1/3000) for 20 minutes at 25°C. An undiluted HRP-conjugated Goat anti-rabbit IgG polyclonal was used as the secondary antibody.

This data was developed using the same antibody clone in a different buffer formulation containing PBS, BSA, glycerol, and sodium azide (ab52922).

This image is courtesy of an anonymous Abreview.

Immunocytochemistry/ Immunofluorescence - Anti-HLA A antibody [EP1395Y] - BSA and Azide free (AB216653)
  • ICC/IF

Unknown

Immunocytochemistry/ Immunofluorescence - Anti-HLA A antibody [EP1395Y] - BSA and Azide free (AB216653)

Immunocytochemistry/Immunofluorescence analysis of Raji (human Burkitt's lymphoma) cells labelling HLA A with purified ab52922 at 1/100. Cells were fixed with 4% paraformaldehyde and permeabilized with 0.1% Triton X-100. ab150077, an Alexa Fluor® 488-conjugated goat anti-rabbit IgG (1/1000) was used as the secondary antibody. DAPI (blue) was used as the nuclear counterstain. ab7291, a mouse anti-tubulin (1/1000) and ab150120, an Alexa Fluor® 594-conjugated goat anti-mouse IgG (1/1000) were also used.

Control 1 : primary antibody (1/100) and secondary antibody, ab150120, an Alexa Fluor® 594-conjugated goat anti-mouse IgG (1/500).

Control 2 : ab7291 (1/1000) and secondary antibody, ab150077, an Alexa Fluor® 488-conjugated goat anti-rabbit IgG (1/500).

This data was developed using the same antibody clone in a different buffer formulation containing PBS, BSA, glycerol, and sodium azide (ab52922).

Immunohistochemistry (Formalin/PFA-fixed paraffin-embedded sections) - Anti-HLA A antibody [EP1395Y] - BSA and Azide free (AB216653)
  • IHC-P

Unknown

Immunohistochemistry (Formalin/PFA-fixed paraffin-embedded sections) - Anti-HLA A antibody [EP1395Y] - BSA and Azide free (AB216653)

Immunohistochemistry (Formalin/PFA-fixed paraffin-embedded sections) analysis of human tonsil tissue labelling HLA A with purified ab52922 at 1/100. Heat mediated antigen retrieval was performed using EDTA buffer pH 9. ab97051, a goat anti-rabbit IgG H&L (HRP) was used as the secondary antibody (1/500). Negative control using PBS instead of primary antibody. Counterstained with hematoxylin.This data was developed using the same antibody clone in a different buffer formulation containing PBS, BSA, glycerol, and sodium azide (ab52922).

Flow Cytometry (Intracellular) - Anti-HLA A antibody [EP1395Y] - BSA and Azide free (AB216653)
  • Flow Cyt (Intra)

Unknown

Flow Cytometry (Intracellular) - Anti-HLA A antibody [EP1395Y] - BSA and Azide free (AB216653)

Intracellular Flow Cytometry analysis of Raji cells labelling HLA A with purified ab52922 at 1/40 (red). Cells were fixed with 2% paraformaldehyde. A FITC-conjugated goat anti-rabbit IgG (1/500) was used as the secondary antibody. Black - Isotype control, rabbit monoclonal IgG. Blue - Unlabelled control, cells without incubation with primary and secondary antibodies.

This data was developed using the same antibody clone in a different buffer formulation containing PBS, BSA, glycerol, and sodium azide (ab52922).

Flow Cytometry (Intracellular) - Anti-HLA A antibody [EP1395Y] - BSA and Azide free (AB216653)
  • Flow Cyt (Intra)

Unknown

Flow Cytometry (Intracellular) - Anti-HLA A antibody [EP1395Y] - BSA and Azide free (AB216653)

Overlay histogram showing Raji cells stained with ab52922 (red line). The cells were fixed with 4% paraformaldehyde (10 min) and then permeabilized with 0.1% PBS-Tween for 20 min. The cells were then incubated in 1x PBS / 10% normal goat serum / 0.3M glycine to block non-specific protein-protein interactions followed by the antibody (ab52922, 1/100) for 30 min at 22°C. The secondary antibody used was DyLight® 488 goat anti-rabbit IgG (H+L) (ab96899) at 1/500 dilution for 30 min at 22°C. Isotype control antibody (black line) was rabbit IgG (monoclonal) (1μg/1x106 cells) used under the same conditions. Acquisition of >5,000 events was performed. This antibody gave a positive signal in Raji cells fixed with 80% methanol (5 min)/permeabilized with 0.1% PBS-Tween for 20 min used under the same conditions.

This data was developed using the same antibody clone in a different buffer formulation containing PBS, BSA, glycerol, and sodium azide (ab52922).

Immunoprecipitation - Anti-HLA A antibody [EP1395Y] - BSA and Azide free (AB216653)
  • IP

Unknown

Immunoprecipitation - Anti-HLA A antibody [EP1395Y] - BSA and Azide free (AB216653)

ab52922 (purified) at 1/20 immunoprecipitating HLA A in A549 whole cell lysate. 10 ug of cell lysate was present in the input. For western blotting, VeriBlot for IP Detection Reagent (HRP) (ab131366), was used for detection at 1/10,000 dilution. A rabbit monoclonal IgG (ab172730) was used intead of ab128913 as a negative control (Lane 3).

Blocking buffer and concentration : 5% NFDM/TBST.

Diluting buffer and concentration : 5% NFDM /TBST.

This data was developed using the same antibody clone in a different buffer formulation containing PBS, BSA, glycerol, and sodium azide (ab52922).

All lanes:

Immunoprecipitation - Anti-HLA A antibody [EP1395Y] (<a href='/en-us/products/primary-antibodies/hla-a-antibody-ep1395y-ab52922'>ab52922</a>)

Predicted band size: 41 kDa

false

Immunoprecipitation - Anti-HLA A antibody [EP1395Y] - BSA and Azide free (AB216653)
  • IP

Unknown

Immunoprecipitation - Anti-HLA A antibody [EP1395Y] - BSA and Azide free (AB216653)

ab52922 (purified) at 1/20 immunoprecipitating HLA A in THP-1 whole cell lysate. 10 ug of cell lysate was present in the input. For western blotting, VeriBlot for IP Detection Reagent (HRP) (ab131366), was used for detection at 1/10,000 dilution. A rabbit monoclonal IgG (ab172730) was used intead of ab128913 as a negative control (Lane 3).

Blocking buffer and concentration : 5% NFDM/TBST.

Diluting buffer and concentration : 5% NFDM /TBST.

This data was developed using the same antibody clone in a different buffer formulation containing PBS, BSA, glycerol, and sodium azide (ab52922).

All lanes:

Immunoprecipitation - Anti-HLA A antibody [EP1395Y] (<a href='/en-us/products/primary-antibodies/hla-a-antibody-ep1395y-ab52922'>ab52922</a>)

Predicted band size: 41 kDa

false

Western blot - Anti-HLA A antibody [EP1395Y] - BSA and Azide free (AB216653)
  • WB

Lab

Western blot - Anti-HLA A antibody [EP1395Y] - BSA and Azide free (AB216653)

This data was developed using the same antibody clone in a different buffer formulation (ab52922). Anti-HLA-A antibody [EP1395Y] (ab52922) staining at 1/10000 dilution, shown in green; Mouse anti-Alpha Tubulin [DM1A] (ab7291) loading control staining at 1/20000 dilution, shown in red. In Western blot, ab52922 was shown to bind specifically to HLA-A. A band was observed at 41 kDa in wild-type A549 cell lysates with no signal observed at this size in HLA-A knockout cell line. To generate this image, wild-type and HLA-A knockout A549 cell lysates were analysed. First, samples were run on an SDS-PAGE gel then transferred onto a nitrocellulose membrane. Membranes were blocked in 3 % milk in TBS-0.1 % Tween® 20 (TBS-T) before incubation with primary antibodies overnight at 4 °C. Blots were washed four times in TBS-T, incubated with secondary antibodies for 1 h at room temperature, washed again four times then imaged. Secondary antibodies used were Goat anti-Rabbit IgG H&L 800CW and Goat anti-Mouse IgG H&L 680RD at 1/20000 dilution.

All lanes:

Western blot - Anti-HLA A antibody [EP1395Y] (<a href='/en-us/products/primary-antibodies/hla-a-antibody-ep1395y-ab52922'>ab52922</a>) at 1/10000 dilution

Lane 1:

Wild-type A549 cell lysate at 20 µg

Lane 2:

Western blot - Human HLA-A knockout A549 cell line (<a href='/en-us/products/cell-lines/human-hla-a-knockout-a549-cell-line-ab287473'>ab287473</a>)

Lane 2:

HLA-A knockout A549 cell lysate at 20 µg

Lane 3:

Wild-type A431 cell lysate at 20 µg

Lane 4:

HLA-A knockout A431 cell lysate at 20 µg

Secondary

All lanes:

Goat anti-Rabbit IgG H&L 800CW and Goat anti-Mouse IgG H&L 680RD at 1/20000 dilution

Predicted band size: 41 kDa

Observed band size: 41 kDa

false

Western blot - Anti-HLA A antibody [EP1395Y] - BSA and Azide free (AB216653)
  • WB

Supplier Data

Western blot - Anti-HLA A antibody [EP1395Y] - BSA and Azide free (AB216653)

This data was developed using the same antibody clone in a different buffer formulation (ab52922).

Lanes 1 - 4 : Merged signal (red and green). Green - ab52922 observed at 40 kDa. Red - loading control, ab7291 (Mouse anti-Alpha Tubulin [DM1A] observed at 55kDa.

ab52922 was shown to react with HLA-A in A431 wild-type cells in Western blot. Loss of signal was observed when HLA-A knockout sample was used. A431 wild-type and HLA-A knockout cell lysates were subjected to SDS-PAGE. Membranes were blocked in 3% Milk in TBS-T (0.1% Tween®) before incubation with ab52922 and ab7291 (Mouse anti-Alpha Tubulin [DM1A] overnight at 4°C at a 1 in 10000 dilution and a 1 in 20000 dilution respectively. Blots were developed with Goat anti-Rabbit IgG H&L (IRDye® 800CW) preabsorbed (ab216773) and Goat anti-Mouse IgG H&L (IRDye® 680RD) preabsorbed (ab216776) secondary antibodies at 1 in 20000 dilution for 1 hour at room temperature before imaging.

All lanes:

Western blot - Anti-HLA A antibody [EP1395Y] (<a href='/en-us/products/primary-antibodies/hla-a-antibody-ep1395y-ab52922'>ab52922</a>) at 1/10000 dilution

Lane 1:

Wild-type A-431 (Human epidermoid carcinoma cell line) whole cell lysate at 20 µg

Lane 2:

HLA A knockout A-431 (Human epidermoid carcinoma cell line) whole cell lysate at 20 µg

Lane 2:

Western blot - Human HLA-A knockout A-431 cell line (<a href='/en-us/products/cell-lines/human-hla-a-knockout-a-431-cell-line-ab261894'>ab261894</a>)

Lane 3:

A549 (Human lung carcinoma cell line) whole cell lysate at 20 µg

Lane 4:

Jurkat (Human T cell leukemia cell line from peripheral blood) whole cell lysate at 20 µg

false

  • Unconjugated

    Anti-HLA A antibody [EP1395Y]

  • Carrier free

    Anti-HLA A antibody [EP1395Y] - Low endotoxin, Azide free

  • Biotin

    Biotin Anti-HLA A antibody [EP1395Y]

  • HRP

    HRP Anti-HLA A antibody [EP1395Y]

  • 665 Alexa Fluor® 647

    Alexa Fluor® 647 Anti-HLA A antibody [EP1395Y]

Key facts

Host species

Rabbit

Clonality

Monoclonal

Clone number

EP1395Y

Isotype

IgG

Carrier free

Yes

Reacts with

Human

Applications

IP, WB, ICC/IF, Flow Cyt (Intra), IHC-P

applications

Immunogen

The exact immunogen used to generate this antibody is proprietary information.

Reactivity data

{ "title": "Reactivity Data", "filters": { "stats": ["", "Species", "Dilution Info", "Notes"], "tabs": { "all-applications": {"fullname" : "All Applications", "shortname": "All Applications"}, "IP" : {"fullname" : "Immunoprecipitation", "shortname":"IP"}, "WB" : {"fullname" : "Western blot", "shortname":"WB"}, "ICCIF" : {"fullname" : "Immunocytochemistry/ Immunofluorescence", "shortname":"ICC/IF"}, "FlowCytIntra" : {"fullname" : "Flow Cytometry (Intracellular)", "shortname":"Flow Cyt (Intra)"}, "IHCP" : {"fullname" : "Immunohistochemistry (Formalin/PFA-fixed paraffin-embedded sections)", "shortname":"IHC-P"} }, "product-promise": { "all": "all", "testedAndGuaranteed": "tested", "guaranteed": "expected", "predicted": "predicted", "notRecommended": "not-recommended" } }, "values": { "Human": { "IP-species-checked": "testedAndGuaranteed", "IP-species-dilution-info": "", "IP-species-notes": "<p></p>", "WB-species-checked": "testedAndGuaranteed", "WB-species-dilution-info": "", "WB-species-notes": "<p></p>", "ICCIF-species-checked": "testedAndGuaranteed", "ICCIF-species-dilution-info": "", "ICCIF-species-notes": "<p></p>", "FlowCytIntra-species-checked": "testedAndGuaranteed", "FlowCytIntra-species-dilution-info": "", "FlowCytIntra-species-notes": "<p><a href='/en-us/products/primary-antibodies/rabbit-igg-monoclonal-epr25a-isotype-control-low-endotoxin-azide-free-ab199376'>ab199376</a> - Rabbit monoclonal IgG, is suitable for use as an isotype control with this antibody.</p>", "IHCP-species-checked": "testedAndGuaranteed", "IHCP-species-dilution-info": "", "IHCP-species-notes": "<p></p> Perform heat-mediated antigen retrieval with Tris/EDTA buffer pH 9.0 before commencing with IHC staining protocol." }, "Rat": { "IP-species-checked": "predicted", "IP-species-dilution-info": "", "IP-species-notes": "", "WB-species-checked": "predicted", "WB-species-dilution-info": "", "WB-species-notes": "", "ICCIF-species-checked": "predicted", "ICCIF-species-dilution-info": "", "ICCIF-species-notes": "", "FlowCytIntra-species-checked": "predicted", "FlowCytIntra-species-dilution-info": "", "FlowCytIntra-species-notes": "", "IHCP-species-checked": "predicted", "IHCP-species-dilution-info": "", "IHCP-species-notes": "" } } }

Product details

What is this antibody validated in?
Anti-HLA A antibody [EP1395Y] - BSA and Azide free (ab216653) is a rabbit recombinant monoclonal antibody and is validated for use in Western Blot (WB), Flow Cytometry (Intra), Flow Cytometry (Flow Cyt), Immunoprecipitation (IP), Immunohistochemistry (IHC-P), Immunocytochemistry/immunofluorescence (ICC/IF) in Human samples.

What is the molecular weight of HLA A?
Anti-HLA A [EP1395Y] - BSA and Azide free (ab216653) specifically detects a band for HLA A (UniProt: P04439) at a molecular weight of 41kDa.

Trusted by the scientific community
Anti-HLA A [EP1395Y] - BSA and Azide free (ab216653) was first used in a scientific publication in 2016 and has been cited over 20 times in peer-reviewed journals.

Trial sizes available!
Test your antibody or perform pre-screening before committing to a larger quantity. Sold in 10µl. Discover our selection of trial-size antibodies.

Specificity confirmed
The specificity of Anti-HLA A antibody [EP1395Y] - BSA and Azide free (ab216653) has been confirmed by Western blot testing in HLA-A Knockout A431 cells.

Other related products
We have a range of other formats of antibody clone [EP1395Y] also available for your convenience: ab52922, HRP - ab199555, Alexa Fluor® 647 - ab199837, Carrier free - ab216653, Carrier free - ab246691, Biotin - ab322986

Patented technology
Our RabMAb® technology is a patented hybridoma-based technology for making rabbit monoclonal antibodies. For details on our patents, please refer to RabMAb® patents.

What are the advantages of a recombinant monoclonal antibody?
This product is a recombinant monoclonal antibody, which offers several advantages including:

  • - High batch-to-batch consistency and reproducibility
  • - Improved sensitivity and specificity
  • - Long-term security of supply
  • - Animal-free batch production

For more information, read more on recombinant antibodies.

Conjugation ready
Our carrier-free antibodies are typically supplied in a PBS-only formulation, purified and free of BSA, sodium azide and glycerol. This conjugation-ready format is designed for use with fluorochromes, metal isotopes, oligonucleotides, and enzymes, which makes them ideal for antibody labelling, functional and cell-based assays, flow-based assays (e.g. mass cytometry) and Multiplex Imaging applications.

Use our conjugation kits for antibody conjugates that are ready-to-use in as little as 20 minutes with 1 minute hands-on-time and 100% antibody recovery: available for fluorescent dyes, HRP, biotin and gold.

Compatibility
This product is compatible with the Maxpar® Antibody Labeling Kit from Fluidigm, without the need for antibody preparation. Maxpar® is a trademark of Fluidigm Canada Inc.

Properties and storage information

Form
Liquid
Purification technique
Affinity purification Protein A
Storage buffer
pH: 7.2 - 7.4 Constituents: PBS
Shipped at conditions
Blue Ice
Appropriate short-term storage conditions
+4°C
Appropriate long-term storage conditions
+4°C
Storage information
Do Not Freeze

Supplementary information

This supplementary information is collated from multiple sources and compiled automatically.

HLA-A also known as Human Leukocyte Antigen A is a protein that is part of the major histocompatibility complex (MHC) class I molecules. It has an approximate molecular mass of 44 kDa. HLA-A is expressed on the surface of nearly all nucleated cells and interacts with CD8+ T lymphocytes. Known for its role in immune recognition HLA-A presents endogenous peptide antigens to the T-cell receptor on cytotoxic T cells initiating immune responses to eliminate infected or malignant cells.
Biological function summary

This target functions as a component of the MHC class I molecule complex. HLA-A binds peptides derived from proteasomal degradation of intracellular proteins and presents these peptides on the cell surface. The function plays an essential role in immune surveillance and distinction between self and non-self. This antigen presentation is important for immune responses against viral infections and tumor surveillance influencing the activation and proliferation of T lymphocytes.

Pathways

HLA-A plays a significant role in the antigen processing and presentation pathway. It is closely related to the TAP (Transporter associated with Antigen Processing) proteins which transport antigenic peptides into the endoplasmic reticulum for loading onto MHC class I molecules. Additionally the target interacts with the CD8 molecule on cytotoxic T cells. This interaction is important within the immune response pathway contributing to the recognition and destruction of infected cells.

HLA-A has been associated with autoimmune diseases and transplant rejection. It plays a significant role in conditions like ankylosing spondylitis where specific HLA-A subtypes contribute to disease susceptibility. Additionally mismatches in HLA-A typing can lead to transplant rejection. In such scenarios anti-HLA antibodies can develop causing damage to transplant tissues. The complex interaction of HLA-A with related proteins such as other MHC class I molecules influences immune response outcomes in these diseases.

Product protocols

For this product, it's our understanding that no specific protocols are required. You can visit:

Target data

Antigen-presenting major histocompatibility complex class I (MHCI) molecule. In complex with B2M/beta 2 microglobulin displays primarily viral and tumor-derived peptides on antigen-presenting cells for recognition by alpha-beta T cell receptor (TCR) on HLA-A-restricted CD8-positive T cells, guiding antigen-specific T cell immune response to eliminate infected or transformed cells (PubMed : 10449296, PubMed : 12138174, PubMed : 12393434, PubMed : 1402688, PubMed : 15893615, PubMed : 17189421, PubMed : 19543285, PubMed : 21498667, PubMed : 24192765, PubMed : 24395804, PubMed : 2456340, PubMed : 2784196, PubMed : 28250417, PubMed : 7504010, PubMed : 7694806, PubMed : 9862734). May also present self-peptides derived from the signal sequence of secreted or membrane proteins, although T cells specific for these peptides are usually inactivated to prevent autoreactivity (PubMed : 25880248, PubMed : 7506728, PubMed : 7679507). Both the peptide and the MHC molecule are recognized by TCR, the peptide is responsible for the fine specificity of antigen recognition and MHC residues account for the MHC restriction of T cells (PubMed : 12796775, PubMed : 18275829, PubMed : 19542454, PubMed : 28250417). Typically presents intracellular peptide antigens of 8 to 13 amino acids that arise from cytosolic proteolysis via IFNG-induced immunoproteasome or via endopeptidase IDE/insulin-degrading enzyme (PubMed : 17079320, PubMed : 17189421, PubMed : 20364150, PubMed : 26929325, PubMed : 27049119). Can bind different peptides containing allele-specific binding motifs, which are mainly defined by anchor residues at position 2 and 9 (PubMed : 7504010, PubMed : 9862734).. Allele A*01 : 01 : Presents a restricted peptide repertoire including viral epitopes derived from IAV NP/nucleoprotein (CTELKLSDY), IAV PB1/polymerase basic protein 1 (VSDGGPNLY), HAdV-11 capsid L3/hexon protein (LTDLGQNLLY), SARS-CoV-2 3a/ORF3a (FTSDYYQLY) as well as tumor peptide antigens including MAGE1 (EADPTGHSY), MAGEA3 (EVDPIGHLY) and WT1 (TSEKRPFMCAY), all having in common a canonical motif with a negatively charged Asp or Glu residue at position 3 and a Tyr anchor residue at the C-terminus (PubMed : 1402688, PubMed : 17189421, PubMed : 19177349, PubMed : 20364150, PubMed : 24395804, PubMed : 25880248, PubMed : 26758806, PubMed : 30530481, PubMed : 32887977, PubMed : 7504010). A number of HLA-A*01 : 01-restricted peptides carry a post-translational modification with oxidation and N-terminal acetylation being the most frequent (PubMed : 25880248). Fails to present highly immunogenic peptides from the EBV latent antigens (PubMed : 18779413).. Allele A*02 : 01 : A major allele in human populations, presents immunodominant viral epitopes derived from IAV M/matrix protein 1 (GILGFVFTL), HIV-1 env (TLTSCNTSV), HIV-1 gag-pol (ILKEPVHGV), HTLV-1 Tax (LLFGYPVYV), HBV C/core antigen (FLPSDFFPS), HCMV UL83/pp65 (NLVPMVATV) as well as tumor peptide antigens including MAGEA4 (GVYDGREHTV), WT1 (RMFPNAPYL) and CTAG1A/NY-ESO-1 (SLLMWITQC), all having in common hydrophobic amino acids at position 2 and at the C-terminal anchors.. Allele A*03 : 01 : Presents viral epitopes derived from IAV NP (ILRGSVAHK), HIV-1 nef (QVPLRPMTYK), HIV-1 gag-pol (AIFQSSMTK), SARS-CoV-2 N/nucleoprotein (KTFPPTEPK) as well as tumor peptide antigens including PMEL (LIYRRRLMK), NODAL (HAYIQSLLK), TRP-2 (RMYNMVPFF), all having in common hydrophobic amino acids at position 2 and Lys or Arg anchor residues at the C-terminus (PubMed : 19543285, PubMed : 21943705, PubMed : 2456340, PubMed : 32887977, PubMed : 7504010, PubMed : 7679507, PubMed : 9862734). May also display spliced peptides resulting from the ligation of two separate proteasomal cleavage products that are not contiguous in the parental protein (PubMed : 27049119).. Allele A*11 : 01 : Presents several immunodominant epitopes derived from HIV-1 gag-pol and HHV-4 EBNA4, containing the peptide motif with Val, Ile, Thr, Leu, Tyr or Phe at position 2 and Lys anchor residue at the C-terminus. Important in the control of HIV-1, EBV and HBV infections (PubMed : 10449296). Presents an immunodominant epitope derived from SARS-CoV-2 N/nucleoprotein (KTFPPTEPK) (PubMed : 32887977).. Allele A*23 : 01 : Interacts with natural killer (NK) cell receptor KIR3DL1 and may contribute to functional maturation of NK cells and self-nonself discrimination during innate immune response.. Allele A*24 : 02 : Presents viral epitopes derived from HIV-1 nef (RYPLTFGWCF), EBV lytic- and latent-cycle antigens BRLF1 (TYPVLEEMF), BMLF1 (DYNFVKQLF) and LMP2 (IYVLVMLVL), SARS-CoV nucleocapsid/N (QFKDNVILL), as well as tumor peptide antigens including PRAME (LYVDSLFFL), all sharing a common signature motif, namely an aromatic residue Tyr or Phe at position 2 and a nonhydrophobic anchor residue Phe, Leu or Iso at the C-terminus (PubMed : 12393434, PubMed : 20844028, PubMed : 24192765, PubMed : 9047241). Interacts with natural killer (NK) cell receptor KIR3DL1 and may contribute to functional maturation of NK cells and self-nonself discrimination during innate immune response (PubMed : 17182537, PubMed : 18502829).. Allele A*26 : 01 : Presents several epitopes derived from HIV-1 gag-pol (EVIPMFSAL, ETKLGKAGY) and env (LVSDGGPNLY), carrying as anchor residues preferentially Glu at position 1, Val or Thr at position 2 and Tyr at the C-terminus.. Allele A*29 : 02 : Presents peptides having a common motif, namely a Glu residue at position 2 and Tyr or Leu anchor residues at the C-terminus.. Allele A*32 : 01 : Interacts with natural killer (NK) cell receptor KIR3DL1 and may contribute to functional maturation of NK cells and self-nonself discrimination during innate immune response.. Allele A*68 : 01 : Presents viral epitopes derived from IAV NP (KTGGPIYKR) and HIV-1 tat (ITKGLGISYGR), having a common signature motif namely, Val or Thr at position 2 and positively charged residues Arg or Lys at the C-terminal anchor.. Allele A*74 : 01 : Presents immunodominant HIV-1 epitopes derived from gag-pol (GQMVHQAISPR, QIYPGIKVR) and rev (RQIHSISER), carrying an aliphatic residue at position 2 and Arg anchor residue at the C-terminus. May contribute to viral load control in chronic HIV-1 infection.
See full target information HLA-A

Publications (22)

Recent publications for all applications. Explore the full list and refine your search

Cell reports. Medicine 4:101248 PubMed37865092

2023

Desmoplastic stromal signatures predict patient outcomes in pancreatic ductal adenocarcinoma.

Applications

Unspecified application

Species

Unspecified reactive species

Shamik Mascharak,Jason L Guo,Deshka S Foster,Anum Khan,Michael F Davitt,Alan T Nguyen,Austin R Burcham,Malini S Chinta,Nicholas J Guardino,Michelle Griffin,David M Lopez,Elisabeth Miller,Michael Januszyk,Shyam S Raghavan,Teri A Longacre,Daniel J Delitto,Jeffrey A Norton,Michael T Longaker

Surgery today 47:425-431 PubMed27484066

2016

Mesenchymal stem cells attenuate ischemia-reperfusion injury after prolonged cold ischemia in a mouse model of lung transplantation: a preliminary study.

Applications

IHC

Species

Unspecified reactive species

Tatsuaki Watanabe,Yasushi Hoshikawa,Naoya Ishibashi,Hirotoshi Suzuki,Hirotsugu Notsuda,Yui Watanabe,Masafumi Noda,Masahiko Kanehira,Shinya Ohkouchi,Takashi Kondo,Yoshinori Okada

Oncology 90:267-72 PubMed27077749

2016

Enrichment of Cells with Cancer Stem Cell-Like Markers in Relapses of Chemoresistant Patients with Locally Advanced Head and Neck Squamous Cell Carcinoma.

Applications

IHC

Species

Human

Juan J Grau,Ricard Mesía,Maria de la Iglesia-Vicente,Estrelania S Williams,Miren Taberna,Miguel Caballero,Ana-Belen Larque,Jorge de la Oliva,Carlos Cordón-Cardo,Josep Domingo-Domenech

Proteomics 16:1570-80 PubMed26992070

2016

High-sensitivity HLA class I peptidome analysis enables a precise definition of peptide motifs and the identification of peptides from cell lines and patients' sera.

Applications

WB

Species

Human

Danilo Ritz,Andreas Gloger,Benjamin Weide,Claus Garbe,Dario Neri,Tim Fugmann

American journal of clinical pathology 144:278-88 PubMed26185313

2015

Prognostic Significance of Tumor-Infiltrating Lymphocytes and the Tertiary Lymphoid Structures in HER2-Positive Breast Cancer Treated With Adjuvant Trastuzumab.

Applications

Unspecified application

Species

Unspecified reactive species

Hee Jin Lee,Joo Young Kim,In Ah Park,In Hye Song,Jong Han Yu,Jin-Hee Ahn,Gyungyub Gong

Toxicologic pathology 43:883-9 PubMed26157038

2015

Introduction of Zinc-salt Fixation for Effective Detection of Immune Cell-related Markers by Immunohistochemistry.

Applications

Unspecified application

Species

Unspecified reactive species

Hidetoshi Mori,Pan Soonsawad,Louis Schuetter,Qian Chen,Neil E Hubbard,Robert D Cardiff,Alexander D Borowsky

Cytotherapy 17:1119-29 PubMed26031744

2015

Factors secreted from dental pulp stem cells show multifaceted benefits for treating acute lung injury in mice.

Applications

IHC

Species

Unspecified reactive species

Hirotaka Wakayama,Naozumi Hashimoto,Yoshihiro Matsushita,Kohki Matsubara,Noriyuki Yamamoto,Yoshinori Hasegawa,Minoru Ueda,Akihito Yamamoto

Journal of tissue engineering and regenerative med 11:800-811 PubMed25689270

2015

Pilot study of a novel vacuum-assisted method for decellularization of tracheae for clinical tissue engineering applications.

Applications

IHC

Species

Human

P Lange,K Greco,L Partington,C Carvalho,S Oliani,M A Birchall,P D Sibbons,M W Lowdell,T Ansari

PloS one 10:e0115482 PubMed25658487

2015

Serpin treatment suppresses inflammatory vascular lesions in temporal artery implants (TAI) from patients with giant cell arteritis.

Applications

IHC

Species

Human

Hao Chen,Donghang Zheng,Sriram Ambadapadi,Jennifer Davids,Sally Ryden,Hazem Samy,Mee Bartee,Eric Sobel,Erbin Dai,Liying Liu,Colin Macaulay,Anthony Yachnis,Cornelia Weyand,Robert Thoburn,Alexandra Lucas

International journal of clinical and experimental 7:8887-92 PubMed25674260

2014

Chronic progressive external ophthalmoplegia with inflammatory myopathy.

Applications

IHC-Fr

Species

Human

Ting Chen,Chuanqiang Pu,Qiang Shi,Qian Wang,Lu Cong,Jiexiao Liu,Hongyu Luo,Lingna Fei,Wei Tang,Shanshan Yu
View all publications

Product promise

We are committed to supporting your work with high-quality reagents, and we're here for you every step of the way. In the unlikely event that one of our products does not perform as expected, you're protected by our Product Promise.
For full details, please see our Terms & Conditions

Please note: All products are 'FOR RESEARCH USE ONLY. NOT FOR USE IN DIAGNOSTIC OR THERAPEUTIC PROCEDURES'.

For licensing inquiries, please contact partnerships@abcam.com