JavaScript is disabled in your browser. Please enable JavaScript to view this website.
AB236491

Anti-HLA B7 antibody [CATA-1]

Be the first to review this product! Submit a review

|

(2 Publications)

Mouse Monoclonal HLA B antibody. Suitable for IHC-P and reacts with Human samples. Cited in 2 publications. Immunogen corresponding to Cell preparation containing HLA-B protein.

View Alternative Names

HLAB, HLA-B, Human leukocyte antigen B

1 Images
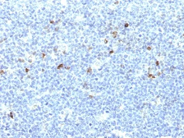
Immunohistochemistry (Formalin/PFA-fixed paraffin-embedded sections) - Anti-HLA B7 antibody [CATA-1] (AB236491)
  • IHC-P

Supplier Data

Immunohistochemistry (Formalin/PFA-fixed paraffin-embedded sections) - Anti-HLA B7 antibody [CATA-1] (AB236491)

Formalin-fixed paraffin-embedded human tonsil tissue stained for HLA B7 using ab236491 at 1 μg/ml in immunohistochemical analysis.

Key facts

Host species

Mouse

Clonality

Monoclonal

Clone number

CATA-1

Isotype

IgG2a

Light chain type

kappa

Carrier free

No

Reacts with

Human

Applications

IHC-P

applications

Immunogen

Cell preparation containing HLA-B protein. The exact immunogen used to generate this antibody is proprietary information.

P01889

Reactivity data

{ "title": "Reactivity Data", "filters": { "stats": ["", "Species", "Dilution Info", "Notes"], "tabs": { "all-applications": {"fullname" : "All Applications", "shortname": "All Applications"}, "IHCP" : {"fullname" : "Immunohistochemistry (Formalin/PFA-fixed paraffin-embedded sections)", "shortname":"IHC-P"} }, "product-promise": { "all": "all", "testedAndGuaranteed": "tested", "guaranteed": "expected", "predicted": "predicted", "notRecommended": "not-recommended" } }, "values": { "Human": { "IHCP-species-checked": "testedAndGuaranteed", "IHCP-species-dilution-info": "0.5-1 µg/mL", "IHCP-species-notes": "<p>Staining of formalin-fixed tissues requires boiling tissue sections in 10 mM citrate buffer, pH 6.0, for 10-20 minutes followed by cooling at RT for 20 minutes.</p><p>Incubate with primary antibody for 30 minutes at RT.</p>" } } }

Properties and storage information

Form
Liquid
Purification technique
Affinity purification Protein A/G
Purification notes
Purified from bioreactor concentrate by Protein A/G.
Storage buffer
pH: 7.2 - 7.4 Preservative: 0.05% Sodium azide Constituents: PBS, 0.05% BSA
Shipped at conditions
Blue Ice
Appropriate short-term storage duration
1-2 weeks
Appropriate short-term storage conditions
+4°C
Appropriate long-term storage conditions
-20°C
Aliquoting information
Upon delivery aliquot
Storage information
Avoid freeze / thaw cycle

Supplementary information

This supplementary information is collated from multiple sources and compiled automatically.

HLA-B7 also known as HL-A B7 is a part of the human leukocyte antigen (HLA) system and belongs to the HLA class I heavy chain paralogs. This protein has a molecular mass of approximately 45 kDa. HLA-B7 is expressed on the surface of nearly all nucleated cells in the body. Its main role is to present peptide antigens to the immune system specifically to cytotoxic T cells which play an important part in immune response.
Biological function summary

HLA-B7 is involved in antigen presentation as a part of the major histocompatibility complex (MHC) class I molecule. HLA-B7 like other HLA class I molecules presents endogenous peptides to CD8+ T cells. The HLA B27 pair although different from HLA-B7 shares functional similarities that influence immune surveillance and activation processes.

Pathways

HLA-B7 participates in the antigen processing and presentation pathway. This pathway allows the presentation of intracellularly derived peptides at the cell surface which are recognized by T cell receptors (TCR) on CD8+ T lymphocytes. HLA-B7 works in concert with proteasomes for peptide generation and with transporter associated with antigen processing (TAP) for delivering peptides to the endoplasmic reticulum.

HLA-B7 is linked with certain autoimmune diseases and viral infections. Some studies suggest an association with increased susceptibility to diseases such as sarcoidosis. Moreover individuals who are HLA-B7 positive may differ in their immune response to viral infections like HIV. The interaction between HLA-B7 and proteins like beta-2 microglobulin further affects its role in disease mechanisms and immune function.

Product protocols

For this product, it's our understanding that no specific protocols are required. You can visit:

Target data

Antigen-presenting major histocompatibility complex class I (MHCI) molecule. In complex with B2M/beta 2 microglobulin displays primarily viral and tumor-derived peptides on antigen-presenting cells for recognition by alpha-beta T cell receptor (TCR) on HLA-B-restricted CD8-positive T cells, guiding antigen-specific T cell immune response to eliminate infected or transformed cells (PubMed : 23209413, PubMed : 25808313, PubMed : 29531227, PubMed : 9620674). May also present self-peptides derived from the signal sequence of secreted or membrane proteins, although T cells specific for these peptides are usually inactivated to prevent autoreactivity (PubMed : 18991276, PubMed : 7743181). Both the peptide and the MHC molecule are recognized by TCR, the peptide is responsible for the fine specificity of antigen recognition and MHC residues account for the MHC restriction of T cells (PubMed : 24600035, PubMed : 29531227, PubMed : 9620674). Typically presents intracellular peptide antigens of 8 to 13 amino acids that arise from cytosolic proteolysis via constitutive proteasome and IFNG-induced immunoproteasome (PubMed : 23209413). Can bind different peptides containing allele-specific binding motifs, which are mainly defined by anchor residues at position 2 and 9 (PubMed : 25808313, PubMed : 29531227).. Allele B*07 : 02 : Displays peptides sharing a common signature motif, namely a Pro residue at position 2 and mainly a Leu anchor residue at the C-terminus (PubMed : 7743181). Presents a long peptide (APRGPHGGAASGL) derived from the cancer-testis antigen CTAG1A/NY-ESO-1, eliciting a polyclonal CD8-positive T cell response against tumor cells (PubMed : 29531227). Presents viral epitopes derived from HIV-1 gag-pol (TPQDLNTML) and Nef (RPQVPLRPM) (PubMed : 25808313). Presents an immunodominant epitope derived from SARS-CoV-2 N/nucleoprotein (SPRWYFYYL) (PubMed : 32887977). Displays self-peptides including a peptide derived from the signal sequence of HLA-DPB1 (APRTVALTA) (PubMed : 7743181).. Allele B*08 : 01 : Presents to CD8-positive T cells viral epitopes derived from EBV/HHV-4 EBNA3 (QAKWRLQTL), eliciting cytotoxic T cell response.. Allele B*13 : 02 : Presents multiple HIV-1 epitopes derived from gag (RQANFLGKI, GQMREPRGSDI), nef (RQDILDLWI), gag-pol (RQYDQILIE, GQGQWTYQI) and rev (LQLPPLERL), all having in common a Gln residue at position 2 and mainly hydrophobic amino acids Leu, Ile or Val at the C-terminus. Associated with succesful control of HIV-1 infection.. Allele B*18 : 01 : Preferentially presents octomeric and nonameric peptides sharing a common motif, namely a Glu at position 2 and Phe or Tyr anchor residues at the C-terminus (PubMed : 14978097, PubMed : 18991276, PubMed : 23749632). Presents an EBV/HHV-4 epitope derived from BZLF1 (SELEIKRY) (PubMed : 23749632). May present to CD8-positive T cells an antigenic peptide derived from MAGEA3 (MEVDPIGHLY), triggering an anti-tumor immune response (PubMed : 12366779). May display a broad repertoire of self-peptides with a preference for peptides derived from RNA-binding proteins (PubMed : 14978097).. Allele B*27 : 05 : Presents to CD8-positive T cells immunodominant viral epitopes derived from HCV POLG (ARMILMTHF), HIV-1 gag (KRWIILGLNK), IAV NP (SRYWAIRTR), SARS-CoV-2 N/nucleoprotein (QRNAPRITF), EBV/HHV-4 EBNA4 (HRCQAIRKK) and EBV/HHV-4 EBNA6 (RRIYDLIEL), conferring longterm protection against viral infection (PubMed : 15113903, PubMed : 18385228, PubMed : 19139562, PubMed : 32887977, PubMed : 9620674). Can present self-peptides derived from cytosolic and nuclear proteins. All peptides carry an Arg at position 2 (PubMed : 1922338). The peptide-bound form interacts with NK cell inhibitory receptor KIR3DL1 and inhibits NK cell activation in a peptide-specific way, being particularly sensitive to the nature of the amino acid side chain at position 8 of the antigenic peptide (PubMed : 15657948, PubMed : 8879234). KIR3DL1 fails to recognize HLA-B*27 : 05 in complex with B2M and EBV/HHV-4 EBNA6 (RRIYDLIEL) peptide, which can lead to increased activation of NK cells during infection (PubMed : 15657948). May present an altered repertoire of peptides in the absence of TAP1-TAP2 and TAPBPL (PubMed : 9620674).. Allele B*40 : 01 : Presents immunodominant viral epitopes derived from EBV/HHV-4 LMP2 (IEDPPFNSL) and SARS-CoV-2 N/nucleoprotein (MEVTPSGTWL), triggering memory CD8-positive T cell response (PubMed : 18991276, PubMed : 32887977). Displays self-peptides sharing a signature motif, namely a Glu at position 2 and a Leu anchor residue at the C-terminus (PubMed : 18991276).. Allele B*41 : 01 : Displays self-peptides sharing a signature motif, namely a Glu at position 2 and Ala or Pro anchor residues at the C-terminus.. Allele B*44 : 02 : Presents immunodominant viral epitopes derived from EBV/HHV-4 EBNA4 (VEITPYKPTW) and EBNA6 (AEGGVGWRHW, EENLLDFVRF), triggering memory CD8-positive T cell response (PubMed : 18991276, PubMed : 9620674). Displays self-peptides sharing a signature motif, namely a Glu at position 2 and Phe, Tyr or Trp anchor residues at the C-terminus (PubMed : 18991276).. Allele B*45 : 01 : Displays self-peptides sharing a signature motif, namely a Glu at position 2 and Ala or Pro anchor residues at the C-terminus.. Allele B*46 : 01 : Preferentially presents nonameric peptides sharing a signature motif, namely Ala and Leu at position 2 and Tyr, Phe, Leu, or Met anchor residues at the C-terminus. The peptide-bound form interacts with KIR2DL3 and inhibits NK cell cytotoxic response in a peptide-specific way.. Allele B*47 : 01 : Displays self-peptides sharing a signature motif, namely an Asp at position 2 and Leu or Met anchor residues at the C-terminus.. Allele B*49 : 01 : Displays self-peptides sharing a signature motif, namely a Glu at position 2 and Ile or Val anchor residues at the C-terminus.. Allele B*50 : 01 : Displays self-peptides sharing a signature motif, namely a Glu at position 2 and Ala or Pro anchor residues at the C-terminus.. Allele B*51 : 01 : Presents an octomeric HIV-1 epitope derived from gag-pol (TAFTIPSI) to the public TRAV17/TRBV7-3 TCR clonotype, strongly suppressing HIV-1 replication.. Allele B*54 : 01 : Displays peptides sharing a common signature motif, namely a Pro residue at position 2 and Ala anchor residue at the C-terminus.. Allele B*55 : 01 : Displays peptides sharing a common signature motif, namely a Pro residue at position 2 and Ala anchor residue at the C-terminus.. Allele B*56 : 01 : Displays peptides sharing a common signature motif, namely a Pro residue at position 2 and Ala anchor residue at the C-terminus.. Allele B*57 : 01 : The peptide-bound form recognizes KIR3DL1 and inhibits NK cell cytotoxic response. Presents HIV gag peptides (immunodominant KAFSPEVIPMF and subdominant KALGPAATL epitopes) predominantly to CD8-positive T cell clones expressing a TRAV41-containing TCR, triggering HLA-B-restricted T cell responses.. Allele B*67 : 01 : Displays peptides sharing a common signature motif, namely a Pro residue at position 2 and Leu anchor residue at the C-terminus.
See full target information HLA-B

Publications (2)

Recent publications for all applications. Explore the full list and refine your search

Genes & genomics 47:961-972 PubMed40794264

2025

NCOA4 inhibits glioma progression by suppressing the Sonic Hedgehog pathway and its overexpression indicates a better glioma prognosis.

Applications

Unspecified application

Species

Unspecified reactive species

Kaining Liu,Hu Wang,Tian Qiu,Guangxiu Wang,Anling Zhang,Zhifan Jia,Xiaoguang Tong

American journal of physiology. Heart and circulat 299:H202-9 PubMed20435850

2010

Proteomic analysis of epicardial and subcutaneous adipose tissue reveals differences in proteins involved in oxidative stress.

Applications

Unspecified application

Species

Unspecified reactive species

Antonio Salgado-Somoza,Elvis Teijeira-Fernández,Angel Luis Fernández,José Ramón González-Juanatey,Sonia Eiras
View all publications

Product promise

We are committed to supporting your work with high-quality reagents, and we're here for you every step of the way. In the unlikely event that one of our products does not perform as expected, you're protected by our Product Promise.
For full details, please see our Terms & Conditions

Please note: All products are 'FOR RESEARCH USE ONLY. NOT FOR USE IN DIAGNOSTIC OR THERAPEUTIC PROCEDURES'.

For licensing inquiries, please contact partnerships@abcam.com