JavaScript is disabled in your browser. Please enable JavaScript to view this website.
AB323617

Anti-HLA Class 1 ABCG antibody [EPR29051-62] - BSA and Azide free

Be the first to review this product! Submit a review

|

(0 Publication)

Rabbit Recombinant Monoclonal HLA A antibody. Carrier free. Suitable for IHC-Fr, WB, IHC-P, Flow Cyt, Dot and reacts with Human, Recombinant fragment - Human samples.

View Alternative Names

HLAA, HLA-A, Human leukocyte antigen A

14 Images
Immunohistochemistry (Formalin/PFA-fixed paraffin-embedded sections) - Anti-HLA Class 1 ABCG antibody [EPR29051-62] - BSA and Azide free (AB323617)
  • IHC-P

Supplier Data

Immunohistochemistry (Formalin/PFA-fixed paraffin-embedded sections) - Anti-HLA Class 1 ABCG antibody [EPR29051-62] - BSA and Azide free (AB323617)

This data was developed using ab323616, the same antibody clone in a different buffer formulation.

Immunohistochemical analysis of paraffin-embedded Human cerebrum tissue labeling HLA Class 1 ABCG with ab323616 at 1/4000 (0.122 ug/ml) dilution, followed by a ready to use LeicaDS9800 (Bond™ Polymer Refine Detection).

Positive staining on endothelial cells of human cerebrum (PMID : 36437414).
The section was incubated with ab323616 for 30 mins at room temperature.
The immunostaining was performed on a Leica Biosystems BOND® RX instrument
Slides were incubated with 3% Hydrogen Peroxide for 10 mins at room temperature after secondary antibody incubation to reduce the background.

Counterstained with Hematoxylin.

Secondary antibody only control : Secondary antibody is a ready to use LeicaDS9800 (Bond™ Polymer Refine Detection).

Heat mediated antigen retrieval was performed with Tris-EDTA buffer (pH 9.0, Epitope Retrieval Solution2) for 20 mins

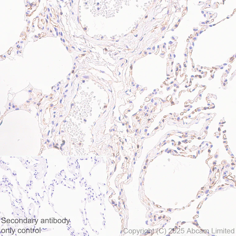
Immunohistochemistry (Frozen sections) - Anti-HLA Class 1 ABCG antibody [EPR29051-62] - BSA and Azide free (AB323617)
  • IHC-Fr

Lab

Immunohistochemistry (Frozen sections) - Anti-HLA Class 1 ABCG antibody [EPR29051-62] - BSA and Azide free (AB323617)

This data was developed using ab323616, the same antibody clone in a different buffer formulation.

Immunohistochemical analysis of 10% PFA fixed frozen Human spleen (fresh frozen) tissue labeling HLA Class 1 ABCG with ab323616 followed by ready to use LeicaDS9800 (Bond™ PolymerRefine Detection).

Positive staining in human spleen. The section was fixed in 10% PFA and incubated with ab323616 for 30 mins at room temperature. The immunostaining was performed on a Leica Biosystems BOND® RX instrument. Counterstained with Hematoxylin.

Secondary antibody only control : Secondary antibody is a ready to use LeicaDS9800 (Bond™ Polymer Refine Detection) was used.

Immunohistochemistry (Frozen sections) - Anti-HLA Class 1 ABCG antibody [EPR29051-62] - BSA and Azide free (AB323617)
  • IHC-Fr

Lab

Immunohistochemistry (Frozen sections) - Anti-HLA Class 1 ABCG antibody [EPR29051-62] - BSA and Azide free (AB323617)

This data was developed using ab323616, the same antibody clone in a different buffer formulation.

Immunohistochemical analysis of 10% PFA fixed frozen Human lung (fresh frozen) tissue labeling HLA Class 1 ABCG with ab323616 followed by ready to use LeicaDS9800 (Bond™ PolymerRefine Detection).

Positive staining in human lung. The section was fixed in 10% PFA and incubated with ab323616 for 30 mins at room temperature. The immunostaining was performed on a Leica Biosystems BOND® RX instrument. Counterstained with Hematoxylin.

Secondary antibody only control : Secondary antibody is a ready to use LeicaDS9800 (Bond™ Polymer Refine Detection) was used.

Flow Cytometry - Anti-HLA Class 1 ABCG antibody [EPR29051-62] - BSA and Azide free (AB323617)
  • Flow Cyt

Supplier Data

Flow Cytometry - Anti-HLA Class 1 ABCG antibody [EPR29051-62] - BSA and Azide free (AB323617)

This data was developed using ab323616, the same antibody clone in a different buffer formulation.

Flow cytometric analysis of A431 (human epidermoid carcinoma epithelial cell) (Right) / K562 (chronic myelogenous leukemia) (Left) cells labelling HLA Class 1 ABCG with ab323616 at 1/50 dilution (1ug) (Red) compared with a Rabbit monoclonal IgG (ab172730) (Black) isotype control and an unlabeled control (cells without incubation with primary antibody and secondary antibody) (Blue).

Goat Anti-Rabbit IgG (Alexa Fluor® 488, ab150081) at 1/5000 dilution was used as the secondary antibody.

Gated on viable cells.
Low expression : K562 (PMID : 25960936).

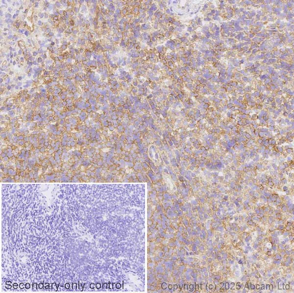
Immunohistochemistry (Formalin/PFA-fixed paraffin-embedded sections) - Anti-HLA Class 1 ABCG antibody [EPR29051-62] - BSA and Azide free (AB323617)
  • IHC-P

Supplier Data

Immunohistochemistry (Formalin/PFA-fixed paraffin-embedded sections) - Anti-HLA Class 1 ABCG antibody [EPR29051-62] - BSA and Azide free (AB323617)

This data was developed using ab323616, the same antibody clone in a different buffer formulation.

Immunohistochemical analysis of paraffin-embedded Human tonsil tissue labeling HLA Class 1 ABCG with ab323616 at 1/4000 (0.122 ug/ml) dilution, followed by a ready to use LeicaDS9800 (Bond™ Polymer Refine Detection).

Positive staining on human tonsil.
The section was incubated with ab323616 for 30 mins at room temperature.
The immunostaining was performed on a Leica Biosystems BOND® RX instrument
Slides were incubated with 3% Hydrogen Peroxide for 10 mins at room temperature after secondary antibody incubation to reduce the background.

Counterstained with Hematoxylin.

Secondary antibody only control : Secondary antibody is a ready to use LeicaDS9800 (Bond™ Polymer Refine Detection).

Heat mediated antigen retrieval was performed with Tris-EDTA buffer (pH 9.0, Epitope Retrieval Solution2) for 20 mins

Immunohistochemistry (Formalin/PFA-fixed paraffin-embedded sections) - Anti-HLA Class 1 ABCG antibody [EPR29051-62] - BSA and Azide free (AB323617)
  • IHC-P

Supplier Data

Immunohistochemistry (Formalin/PFA-fixed paraffin-embedded sections) - Anti-HLA Class 1 ABCG antibody [EPR29051-62] - BSA and Azide free (AB323617)

This data was developed using ab323616, the same antibody clone in a different buffer formulation.

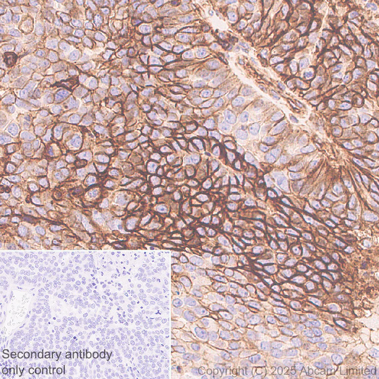
Immunohistochemical analysis of paraffin-embedded Human adenocarcinoma of colon tissue labeling HLA Class 1 ABCG with ab323616 at 1/4000 (0.122 ug/ml) dilution, followed by a ready to use LeicaDS9800 (Bond™ Polymer Refine Detection).

Positive staining on human adenocarcinoma of colon (PMID : 31113192).
The section was incubated with ab323616 for 30 mins at room temperature.
The immunostaining was performed on a Leica Biosystems BOND® RX instrument
Slides were incubated with 3% Hydrogen Peroxide for 10 mins at room temperature after secondary antibody incubation to reduce the background.

Counterstained with Hematoxylin.

Secondary antibody only control : Secondary antibody is a ready to use LeicaDS9800 (Bond™ Polymer Refine Detection).

Heat mediated antigen retrieval was performed with Tris-EDTA buffer (pH 9.0, Epitope Retrieval Solution2) for 20 mins

Immunohistochemistry (Formalin/PFA-fixed paraffin-embedded sections) - Anti-HLA Class 1 ABCG antibody [EPR29051-62] - BSA and Azide free (AB323617)
  • IHC-P

Supplier Data

Immunohistochemistry (Formalin/PFA-fixed paraffin-embedded sections) - Anti-HLA Class 1 ABCG antibody [EPR29051-62] - BSA and Azide free (AB323617)

This data was developed using ab323616, the same antibody clone in a different buffer formulation.

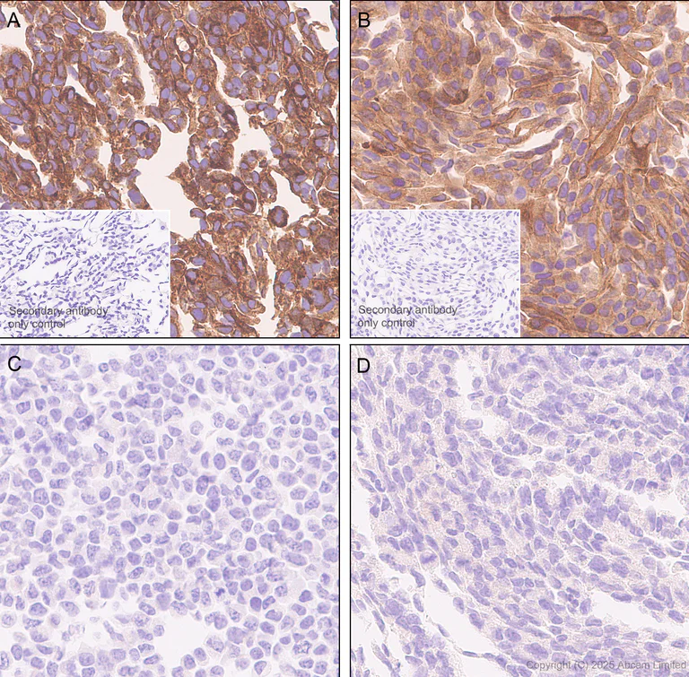
Immunohistochemical analysis of paraffin-embedded (A) A431 (human epidermoid carcinoma epithelial cell) cell pellet, (B) T-47D (human ductal breast epithelial tumor epithelial cell) cell pellet, (C) K-562 (human chronic myelogenous leukemia lymphoblast) cell pellet and (D) JAR (human placenta choriocarcinoma epithelial cell) cell pellet labeling HLA Class 1 ABCG with ab323616 at 1/2000 (0.244 ug/ml) dilution, followed by a ready to use LeicaDS9800 (Bond™ Polymer Refine Detection).

Positive staining on (A) A431 cell pellet and (B) T-47D cell pellet, no staining on (C) K-562 cell pellet and (D) JAR cell pellet.
The section was incubated with ab323616 for 30 mins at room temperature.
The immunostaining was performed on a Leica Biosystems BOND® RX instrument
Slides were incubated with 3% Hydrogen Peroxide for 10 mins at room temperature after secondary antibody incubation to reduce the background.

Counterstained with Hematoxylin.

Secondary antibody only control : Secondary antibody is a ready to use LeicaDS9800 (Bond™ Polymer Refine Detection).

Heat mediated antigen retrieval was performed with Tris-EDTA buffer (pH 9.0, Epitope Retrieval Solution2) for 20 mins

Immunohistochemistry (Formalin/PFA-fixed paraffin-embedded sections) - Anti-HLA Class 1 ABCG antibody [EPR29051-62] - BSA and Azide free (AB323617)
  • IHC-P

Supplier Data

Immunohistochemistry (Formalin/PFA-fixed paraffin-embedded sections) - Anti-HLA Class 1 ABCG antibody [EPR29051-62] - BSA and Azide free (AB323617)

This data was developed using ab323616, the same antibody clone in a different buffer formulation.

Immunohistochemical analysis of paraffin-embedded Human endometrioid carcinoma tissue labeling HLA Class 1 ABCG with ab323616 at 1/4000 (0.122 ug/ml) dilution, followed by a ready to use LeicaDS9800 (Bond™ Polymer Refine Detection).

Positive staining on human endometrioid carcinoma.
The section was incubated with ab323616 for 30 mins at room temperature.
The immunostaining was performed on a Leica Biosystems BOND® RX instrument
Slides were incubated with 3% Hydrogen Peroxide for 10 mins at room temperature after secondary antibody incubation to reduce the background.

Counterstained with Hematoxylin.

Secondary antibody only control : Secondary antibody is a ready to use LeicaDS9800 (Bond™ Polymer Refine Detection).

Heat mediated antigen retrieval was performed with Tris-EDTA buffer (pH 9.0, Epitope Retrieval Solution2) for 20 mins

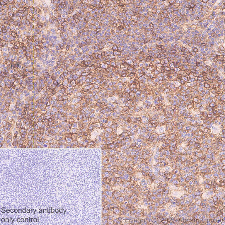
Immunohistochemistry (Formalin/PFA-fixed paraffin-embedded sections) - Anti-HLA Class 1 ABCG antibody [EPR29051-62] - BSA and Azide free (AB323617)
  • IHC-P

Supplier Data

Immunohistochemistry (Formalin/PFA-fixed paraffin-embedded sections) - Anti-HLA Class 1 ABCG antibody [EPR29051-62] - BSA and Azide free (AB323617)

This data was developed using ab323616, the same antibody clone in a different buffer formulation.

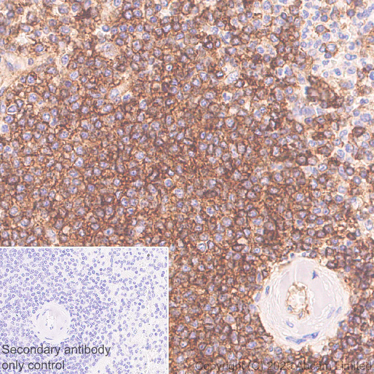
Immunohistochemical analysis of paraffin-embedded Human spleen tissue labeling HLA Class 1 ABCG with ab323616 at 1/4000 (0.122 ug/ml) dilution, followed by a ready to use LeicaDS9800 (Bond™ Polymer Refine Detection).

Positive staining on human spleen.
The section was incubated with ab323616 for 30 mins at room temperature.
The immunostaining was performed on a Leica Biosystems BOND® RX instrument
Slides were incubated with 3% Hydrogen Peroxide for 10 mins at room temperature after secondary antibody incubation to reduce the background.

Counterstained with Hematoxylin.

Secondary antibody only control : Secondary antibody is a ready to use LeicaDS9800 (Bond™ Polymer Refine Detection).

Heat mediated antigen retrieval was performed with Tris-EDTA buffer (pH 9.0, Epitope Retrieval Solution2) for 20 mins

Immunohistochemistry (Formalin/PFA-fixed paraffin-embedded sections) - Anti-HLA Class 1 ABCG antibody [EPR29051-62] - BSA and Azide free (AB323617)
  • IHC-P

Supplier Data

Immunohistochemistry (Formalin/PFA-fixed paraffin-embedded sections) - Anti-HLA Class 1 ABCG antibody [EPR29051-62] - BSA and Azide free (AB323617)

This data was developed using ab323616, the same antibody clone in a different buffer formulation.

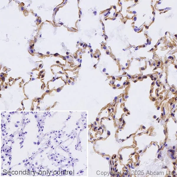
Immunohistochemical analysis of paraffin-embedded Human lung tissue labeling HLA Class 1 ABCG with ab323616 at 1/4000 (0.122 ug/ml) dilution, followed by a ready to use LeicaDS9800 (Bond™ Polymer Refine Detection).

Positive staining on endothelial cells of human lung (PMID : 36437414).
The section was incubated with ab323616 for 30 mins at room temperature.
The immunostaining was performed on a Leica Biosystems BOND® RX instrument
Slides were incubated with 3% Hydrogen Peroxide for 10 mins at room temperature after secondary antibody incubation to reduce the background.

Counterstained with Hematoxylin.

Secondary antibody only control : Secondary antibody is a ready to use LeicaDS9800 (Bond™ Polymer Refine Detection).

Heat mediated antigen retrieval was performed with Tris-EDTA buffer (pH 9.0, Epitope Retrieval Solution2) for 20 mins

Flow Cytometry - Anti-HLA Class 1 ABCG antibody [EPR29051-62] - BSA and Azide free (AB323617)
  • Flow Cyt

Supplier Data

Flow Cytometry - Anti-HLA Class 1 ABCG antibody [EPR29051-62] - BSA and Azide free (AB323617)

This data was developed using ab323616, the same antibody clone in a different buffer formulation.

Flow cytometric analysis of T-47D (human ductal breast epithelial tumor epithelial cell) (Right) / JAR (human placenta choriocarcinoma epithelial cell) (Left) cells labeling HLA Class 1 ABCG with ab323616 at 1/50 dilution (1ug) (Red) compared with a Rabbit monoclonal IgG (ab172730) (Black) isotype control and an unlabeled control (cells without incubation with primary antibody and secondary antibody) (Blue).

Goat Anti-Rabbit IgG (Alexa Fluor® 488, ab150081) at 1/5000 dilution was used as the secondary antibody.

Gated on viable cells.
Low expression : JAR.

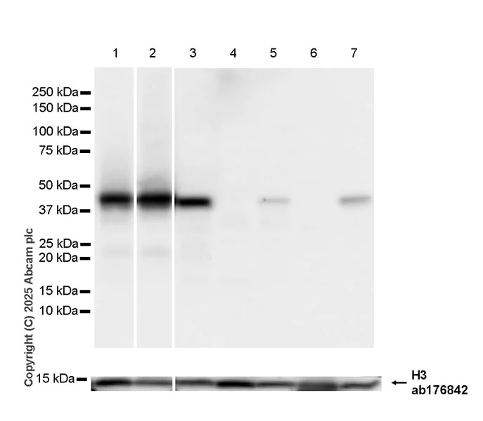
Western blot - Anti-HLA Class 1 ABCG antibody [EPR29051-62] - BSA and Azide free (AB323617)
  • WB

Supplier Data

Western blot - Anti-HLA Class 1 ABCG antibody [EPR29051-62] - BSA and Azide free (AB323617)

This data was developed using ab323616, the same antibody clone in a different buffer formulation.

Blocking and diluting buffer and concentration : 5% NFDM/TBST.

Low expression : K-562 (PMID : 25960936), IMR-32, JAR, MCF7.

The expression profile/ molecular weight observed is consistent with what has been described in the literature (PMID : 24173243).

In Western blot, Anti-Histone H3 antibody [EPR16987] - Nuclear Marker and ChIP Grade (ab176842) staining at 1/100000 dilution.

Exposure time : Lanes 1-2 : 1 second, lanes 3-7 : 3 seconds

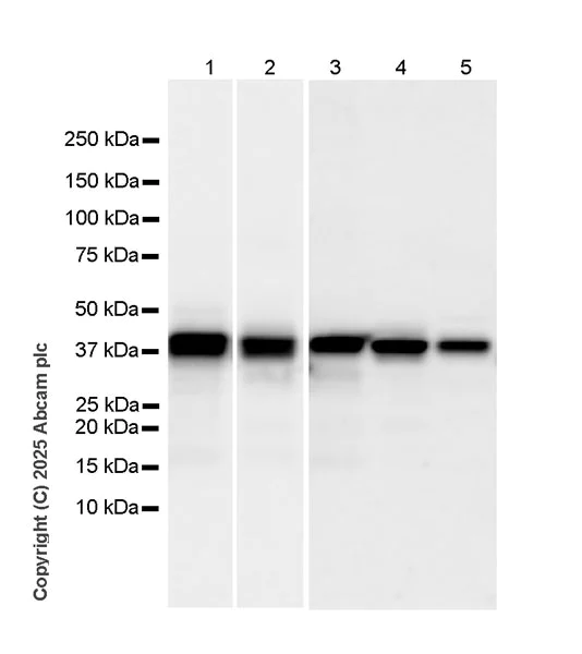
All lanes:

Western blot - Anti-HLA Class 1 ABCG antibody [EPR29051-62] (<a href='/en-us/products/primary-antibodies/hla-class-1-abcg-antibody-epr29051-62-ab323616'>ab323616</a>) at 1/1000 dilution

Lane 1:

KARPAS-299 (human T cell lymphoma cell) whole cell lysate at 20 µg

Lane 2:

A431 (human epidermoid carcinoma epithelial cell) whole cell lysate at 20 µg

Lane 3:

T-47D (human ductal breast epithelial tumor epithelial cell) whole cell lysate at 20 µg

Lane 4:

K-562 (human chronic myelogenous leukemia lymphoblast) whole cell lysate at 20 µg

Lane 5:

IMR-32 (human neuroblastoma neuroblast) whole cell lysate at 20 µg

Lane 6:

JAR (human placenta choriocarcinoma epithelial cell) whole cell lysate at 20 µg

Lane 7:

MCF7 (human breast adenocarcinoma epithelial cell) whole cell lysate at 20 µg

Secondary

All lanes:

Western blot - Goat Anti-Rabbit IgG H&L (HRP) (<a href='/en-us/products/secondary-antibodies/goat-rabbit-igg-h-l-hrp-ab97051'>ab97051</a>) at 1/20000 dilution

Observed band size: 40 kDa,41 kDa,15 kDa

false

Western blot - Anti-HLA Class 1 ABCG antibody [EPR29051-62] - BSA and Azide free (AB323617)
  • WB

Supplier Data

Western blot - Anti-HLA Class 1 ABCG antibody [EPR29051-62] - BSA and Azide free (AB323617)

This data was developed using ab323616, the same antibody clone in a different buffer formulation.

Blocking and diluting buffer and concentration : 5% NFDM/TBST.

The expression profile/ molecular weight observed is consistent with what has been described in the literature (PMID : 24173243).

Exposure time : Lanes 1-2 : 3 seconds, lanes 3-5 : 37 seconds

All lanes:

Western blot - Anti-HLA Class 1 ABCG antibody [EPR29051-62] (<a href='/en-us/products/primary-antibodies/hla-class-1-abcg-antibody-epr29051-62-ab323616'>ab323616</a>) at 1/1000 dilution

Lane 1:

Human spleen tissue lysate at 20 µg

Lane 2:

Human lymph node tissue lysate at 20 µg

Lane 3:

Human testis tissue lysate at 20 µg

Lane 4:

Human bladder tissue lysate at 20 µg

Lane 5:

Human cerebellum tissue lysate at 20 µg

Secondary

All lanes:

Goat Anti-Rabbit IgG (HRP) with minimal cross-reactivity with human IgG at 1/2000 dilution

Observed band size: 40 kDa,41 kDa

false

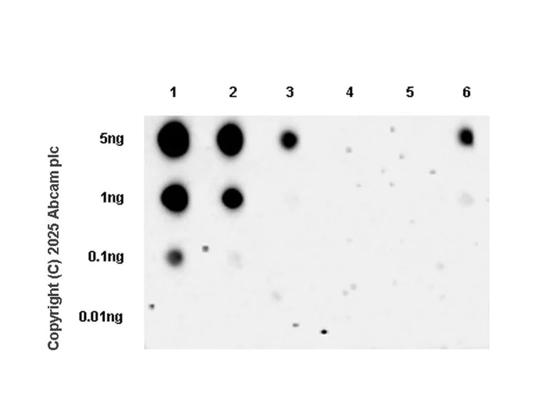
Dot Blot - Anti-HLA Class 1 ABCG antibody [EPR29051-62] - BSA and Azide free (AB323617)
  • Dot

Supplier Data

Dot Blot - Anti-HLA Class 1 ABCG antibody [EPR29051-62] - BSA and Azide free (AB323617)

This data was developed using ab323616, the same antibody clone in a different buffer formulation.

Dot blot analysis of HLA Class 1 ABCG using ab323616 at 1/1000 (0.488 ug/ml) followed by a Goat Anti-Rabbit IgG, (H+L), Peroxidase conjugated (ab97051) at 1/100,000 dilution.

Lane 1 : LIF-tagged human HLA Class 1 A fragment
Lane 2 : LIF-tagged human HLA Class 1 B fragment
Lane 3 : LIF-tagged human HLA Class 1 C fragment
Lane 4 : LIF/His-tagged human HLA Class 1 E fragment
Lane 5 : His-tagged human HLA Class 1 F fragment
Lane 6 : LIF-tagged human HLA Class 1 G fragment

Exposure time : 180 seconds.

Blocking and diluting buffer and concentration : 5% NFDM/TBST.

This antibody reacts with human HLA Class 1 A, HLA Class 1 B, HLA Class 1 C and HLA Class 1 G but not HLA Class 1 E and HLA Class 1 F.

All lanes:

Dot Blot - Anti-HLA Class 1 ABCG antibody [EPR29051-62] (<a href='/en-us/products/primary-antibodies/hla-class-1-abcg-antibody-epr29051-62-ab323616'>ab323616</a>) at 1/1000 dilution

Lane 1:

LIF-tagged human HLA Class 1 A fragment

Lane 2:

LIF-tagged human HLA Class 1 B fragment

Lane 3:

LIF-tagged human HLA Class 1 C fragment

Lane 4:

LIF/His-tagged human HLA Class 1 E fragment

Lane 5:

His-tagged human HLA Class 1 F fragment

Lane 6:

LIF-tagged human HLA Class 1 G fragment

false

Exposure time: 180s

Key facts

Host species

Rabbit

Clonality

Monoclonal

Clone number

EPR29051-62

Isotype

IgG

Carrier free

Yes

Reacts with

Human

Applications

Flow Cyt, Dot, IHC-Fr, WB, IHC-P

applications

Immunogen

The exact immunogen used to generate this antibody is proprietary information.

Reactivity data

{ "title": "Reactivity Data", "filters": { "stats": ["", "Species", "Dilution Info", "Notes"], "tabs": { "all-applications": {"fullname" : "All Applications", "shortname": "All Applications"}, "IHCFr" : {"fullname" : "Immunohistochemistry (Frozen sections)", "shortname":"IHC-Fr"}, "WB" : {"fullname" : "Western blot", "shortname":"WB"}, "IHCP" : {"fullname" : "Immunohistochemistry (Formalin/PFA-fixed paraffin-embedded sections)", "shortname":"IHC-P"}, "FlowCyt" : {"fullname" : "Flow Cytometry", "shortname":"Flow Cyt"}, "Dot" : {"fullname" : "Dot Blot", "shortname":"Dot"} }, "product-promise": { "all": "all", "testedAndGuaranteed": "tested", "guaranteed": "expected", "predicted": "predicted", "notRecommended": "not-recommended" } }, "values": { "Human": { "IHCFr-species-checked": "testedAndGuaranteed", "IHCFr-species-dilution-info": "1/48800", "IHCFr-species-notes": "<p></p>", "WB-species-checked": "testedAndGuaranteed", "WB-species-dilution-info": "", "WB-species-notes": "<p></p>", "IHCP-species-checked": "testedAndGuaranteed", "IHCP-species-dilution-info": "", "IHCP-species-notes": "<p></p> Perform heat-mediated antigen retrieval with Tris/EDTA buffer pH 9.0 before commencing with IHC staining protocol.", "FlowCyt-species-checked": "testedAndGuaranteed", "FlowCyt-species-dilution-info": "", "FlowCyt-species-notes": "<p></p>", "Dot-species-checked": "guaranteed", "Dot-species-dilution-info": "", "Dot-species-notes": "" }, "Recombinant fragment - Human": { "IHCFr-species-checked": "notRecommended", "IHCFr-species-dilution-info": "", "IHCFr-species-notes": "", "WB-species-checked": "notRecommended", "WB-species-dilution-info": "", "WB-species-notes": "", "IHCP-species-checked": "notRecommended", "IHCP-species-dilution-info": "", "IHCP-species-notes": "", "FlowCyt-species-checked": "notRecommended", "FlowCyt-species-dilution-info": "", "FlowCyt-species-notes": "", "Dot-species-checked": "testedAndGuaranteed", "Dot-species-dilution-info": "", "Dot-species-notes": "<p></p>" } } }

Product details

ab323617 is the carrier free version of ab323616.

Patented technology
Our RabMAb® technology is a patented hybridoma-based technology for making rabbit monoclonal antibodies. For details on our patents, please refer to RabMAb® patents.

What are the advantages of a recombinant monoclonal antibody?
This product is a recombinant monoclonal antibody, which offers several advantages including:

  • - High batch-to-batch consistency and reproducibility
  • - Improved sensitivity and specificity
  • - Long-term security of supply
  • - Animal-free batch production

For more information, read more on recombinant antibodies.

Conjugation ready
Our carrier-free antibodies are typically supplied in a PBS-only formulation, purified and free of BSA, sodium azide and glycerol. This conjugation-ready format is designed for use with fluorochromes, metal isotopes, oligonucleotides, and enzymes, which makes them ideal for antibody labelling, functional and cell-based assays, flow-based assays (e.g. mass cytometry) and Multiplex Imaging applications.

Use our conjugation kits for antibody conjugates that are ready-to-use in as little as 20 minutes with 1 minute hands-on-time and 100% antibody recovery: available for fluorescent dyes, HRP, biotin and gold.

Compatibility
This product is compatible with the Maxpar® Antibody Labeling Kit from Fluidigm, without the need for antibody preparation. Maxpar® is a trademark of Fluidigm Canada Inc.

Properties and storage information

Form
Liquid
Purification technique
Affinity purification Protein A
Storage buffer
pH: 7.2 - 7.4 Constituents: PBS
Shipped at conditions
Blue Ice
Appropriate short-term storage conditions
+4°C
Appropriate long-term storage conditions
+4°C

Product protocols

For this product, it's our understanding that no specific protocols are required. You can visit:

Target data

Antigen-presenting major histocompatibility complex class I (MHCI) molecule. In complex with B2M/beta 2 microglobulin displays primarily viral and tumor-derived peptides on antigen-presenting cells for recognition by alpha-beta T cell receptor (TCR) on HLA-A-restricted CD8-positive T cells, guiding antigen-specific T cell immune response to eliminate infected or transformed cells (PubMed : 10449296, PubMed : 12138174, PubMed : 12393434, PubMed : 1402688, PubMed : 15893615, PubMed : 17189421, PubMed : 19543285, PubMed : 21498667, PubMed : 24192765, PubMed : 24395804, PubMed : 2456340, PubMed : 2784196, PubMed : 28250417, PubMed : 7504010, PubMed : 7694806, PubMed : 9862734). May also present self-peptides derived from the signal sequence of secreted or membrane proteins, although T cells specific for these peptides are usually inactivated to prevent autoreactivity (PubMed : 25880248, PubMed : 7506728, PubMed : 7679507). Both the peptide and the MHC molecule are recognized by TCR, the peptide is responsible for the fine specificity of antigen recognition and MHC residues account for the MHC restriction of T cells (PubMed : 12796775, PubMed : 18275829, PubMed : 19542454, PubMed : 28250417). Typically presents intracellular peptide antigens of 8 to 13 amino acids that arise from cytosolic proteolysis via IFNG-induced immunoproteasome or via endopeptidase IDE/insulin-degrading enzyme (PubMed : 17079320, PubMed : 17189421, PubMed : 20364150, PubMed : 26929325, PubMed : 27049119). Can bind different peptides containing allele-specific binding motifs, which are mainly defined by anchor residues at position 2 and 9 (PubMed : 7504010, PubMed : 9862734).. Allele A*01 : 01 : Presents a restricted peptide repertoire including viral epitopes derived from IAV NP/nucleoprotein (CTELKLSDY), IAV PB1/polymerase basic protein 1 (VSDGGPNLY), HAdV-11 capsid L3/hexon protein (LTDLGQNLLY), SARS-CoV-2 3a/ORF3a (FTSDYYQLY) as well as tumor peptide antigens including MAGE1 (EADPTGHSY), MAGEA3 (EVDPIGHLY) and WT1 (TSEKRPFMCAY), all having in common a canonical motif with a negatively charged Asp or Glu residue at position 3 and a Tyr anchor residue at the C-terminus (PubMed : 1402688, PubMed : 17189421, PubMed : 19177349, PubMed : 20364150, PubMed : 24395804, PubMed : 25880248, PubMed : 26758806, PubMed : 30530481, PubMed : 32887977, PubMed : 7504010). A number of HLA-A*01 : 01-restricted peptides carry a post-translational modification with oxidation and N-terminal acetylation being the most frequent (PubMed : 25880248). Fails to present highly immunogenic peptides from the EBV latent antigens (PubMed : 18779413).. Allele A*02 : 01 : A major allele in human populations, presents immunodominant viral epitopes derived from IAV M/matrix protein 1 (GILGFVFTL), HIV-1 env (TLTSCNTSV), HIV-1 gag-pol (ILKEPVHGV), HTLV-1 Tax (LLFGYPVYV), HBV C/core antigen (FLPSDFFPS), HCMV UL83/pp65 (NLVPMVATV) as well as tumor peptide antigens including MAGEA4 (GVYDGREHTV), WT1 (RMFPNAPYL) and CTAG1A/NY-ESO-1 (SLLMWITQC), all having in common hydrophobic amino acids at position 2 and at the C-terminal anchors.. Allele A*03 : 01 : Presents viral epitopes derived from IAV NP (ILRGSVAHK), HIV-1 nef (QVPLRPMTYK), HIV-1 gag-pol (AIFQSSMTK), SARS-CoV-2 N/nucleoprotein (KTFPPTEPK) as well as tumor peptide antigens including PMEL (LIYRRRLMK), NODAL (HAYIQSLLK), TRP-2 (RMYNMVPFF), all having in common hydrophobic amino acids at position 2 and Lys or Arg anchor residues at the C-terminus (PubMed : 19543285, PubMed : 21943705, PubMed : 2456340, PubMed : 32887977, PubMed : 7504010, PubMed : 7679507, PubMed : 9862734). May also display spliced peptides resulting from the ligation of two separate proteasomal cleavage products that are not contiguous in the parental protein (PubMed : 27049119).. Allele A*11 : 01 : Presents several immunodominant epitopes derived from HIV-1 gag-pol and HHV-4 EBNA4, containing the peptide motif with Val, Ile, Thr, Leu, Tyr or Phe at position 2 and Lys anchor residue at the C-terminus. Important in the control of HIV-1, EBV and HBV infections (PubMed : 10449296). Presents an immunodominant epitope derived from SARS-CoV-2 N/nucleoprotein (KTFPPTEPK) (PubMed : 32887977).. Allele A*23 : 01 : Interacts with natural killer (NK) cell receptor KIR3DL1 and may contribute to functional maturation of NK cells and self-nonself discrimination during innate immune response.. Allele A*24 : 02 : Presents viral epitopes derived from HIV-1 nef (RYPLTFGWCF), EBV lytic- and latent-cycle antigens BRLF1 (TYPVLEEMF), BMLF1 (DYNFVKQLF) and LMP2 (IYVLVMLVL), SARS-CoV nucleocapsid/N (QFKDNVILL), as well as tumor peptide antigens including PRAME (LYVDSLFFL), all sharing a common signature motif, namely an aromatic residue Tyr or Phe at position 2 and a nonhydrophobic anchor residue Phe, Leu or Iso at the C-terminus (PubMed : 12393434, PubMed : 20844028, PubMed : 24192765, PubMed : 9047241). Interacts with natural killer (NK) cell receptor KIR3DL1 and may contribute to functional maturation of NK cells and self-nonself discrimination during innate immune response (PubMed : 17182537, PubMed : 18502829).. Allele A*26 : 01 : Presents several epitopes derived from HIV-1 gag-pol (EVIPMFSAL, ETKLGKAGY) and env (LVSDGGPNLY), carrying as anchor residues preferentially Glu at position 1, Val or Thr at position 2 and Tyr at the C-terminus.. Allele A*29 : 02 : Presents peptides having a common motif, namely a Glu residue at position 2 and Tyr or Leu anchor residues at the C-terminus.. Allele A*32 : 01 : Interacts with natural killer (NK) cell receptor KIR3DL1 and may contribute to functional maturation of NK cells and self-nonself discrimination during innate immune response.. Allele A*68 : 01 : Presents viral epitopes derived from IAV NP (KTGGPIYKR) and HIV-1 tat (ITKGLGISYGR), having a common signature motif namely, Val or Thr at position 2 and positively charged residues Arg or Lys at the C-terminal anchor.. Allele A*74 : 01 : Presents immunodominant HIV-1 epitopes derived from gag-pol (GQMVHQAISPR, QIYPGIKVR) and rev (RQIHSISER), carrying an aliphatic residue at position 2 and Arg anchor residue at the C-terminus. May contribute to viral load control in chronic HIV-1 infection.
See full target information HLA-A

Additional targets

HLA-B,HLA-C,HLA-G

Product promise

We are committed to supporting your work with high-quality reagents, and we're here for you every step of the way. In the unlikely event that one of our products does not perform as expected, you're protected by our Product Promise.
For full details, please see our Terms & Conditions

Please note: All products are 'FOR RESEARCH USE ONLY. NOT FOR USE IN DIAGNOSTIC OR THERAPEUTIC PROCEDURES'.

For licensing inquiries, please contact partnerships@abcam.com