JavaScript is disabled in your browser. Please enable JavaScript to view this website.
AB212444

Anti-HLA Class II DRB1 antibody [LN-3] - BSA and Azide free

Be the first to review this product! Submit a review

|

(0 Publication)

Mouse Monoclonal DRB1 antibody. Carrier free. Suitable for IHC-P and reacts with Human samples. Immunogen corresponding to Cell preparation containing HLA-DRB1 protein.

View Alternative Names

Human leukocyte antigen DRB1, HLA-DRB1

2 Images
Immunohistochemistry (Formalin/PFA-fixed paraffin-embedded sections) - Anti-HLA Class II DRB1 antibody [LN-3] - BSA and Azide free (AB212444)
  • IHC-P

Supplier Data

Immunohistochemistry (Formalin/PFA-fixed paraffin-embedded sections) - Anti-HLA Class II DRB1 antibody [LN-3] - BSA and Azide free (AB212444)

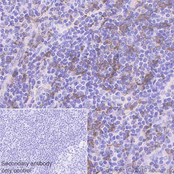
Immunohistochemical analysis of formalix-fixed paraffin-embedded Human tonsil tissue, labeling HLA Class II DRB1 using ab212444 at 0.5 μg/mL.

Immunohistochemistry (Formalin/PFA-fixed paraffin-embedded sections) - Anti-HLA Class II DRB1 antibody [LN-3] - BSA and Azide free (AB212444)
  • IHC-P

Supplier Data

Immunohistochemistry (Formalin/PFA-fixed paraffin-embedded sections) - Anti-HLA Class II DRB1 antibody [LN-3] - BSA and Azide free (AB212444)

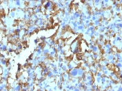
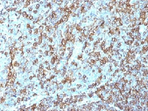
Immunohistochemical analysis of formalix-fixed paraffin-embedded Human histiocytoma tissue, labeling HLA Class II DRB1 using ab212444 at 0.5 μg/mL.

Key facts

Host species

Mouse

Clonality

Monoclonal

Clone number

LN-3

Isotype

IgG2b

Light chain type

kappa

Carrier free

Yes

Reacts with

Human

Applications

IHC-P

applications

Immunogen

Cell preparation containing HLA-DRB1 protein. The exact immunogen used to generate this antibody is proprietary information.

P01911

Reactivity data

{ "title": "Reactivity Data", "filters": { "stats": ["", "Species", "Dilution Info", "Notes"], "tabs": { "all-applications": {"fullname" : "All Applications", "shortname": "All Applications"}, "IHCP" : {"fullname" : "Immunohistochemistry (Formalin/PFA-fixed paraffin-embedded sections)", "shortname":"IHC-P"} }, "product-promise": { "all": "all", "testedAndGuaranteed": "tested", "guaranteed": "expected", "predicted": "predicted", "notRecommended": "not-recommended" } }, "values": { "Human": { "IHCP-species-checked": "testedAndGuaranteed", "IHCP-species-dilution-info": "0.25-0.5 µg/mL", "IHCP-species-notes": "<p></p> Perform heat-mediated antigen retrieval with citrate buffer pH 6 before commencing with IHC staining protocol." }, "Mouse": { "IHCP-species-checked": "notRecommended", "IHCP-species-dilution-info": "0.25-0.5 µg/mL", "IHCP-species-notes": "<p></p> Perform heat-mediated antigen retrieval with citrate buffer pH 6 before commencing with IHC staining protocol." }, "Monkey": { "IHCP-species-checked": "notRecommended", "IHCP-species-dilution-info": "", "IHCP-species-notes": "" } } }

Properties and storage information

Form
Liquid
Purification technique
Affinity purification Protein A/G
Storage buffer
pH: 7.2 - 7.4 Constituents: 100% PBS
Shipped at conditions
Blue Ice
Appropriate short-term storage duration
1-2 weeks
Appropriate short-term storage conditions
+4°C
Appropriate long-term storage conditions
-20°C
Aliquoting information
Upon delivery aliquot
Storage information
Avoid freeze / thaw cycle

Product protocols

For this product, it's our understanding that no specific protocols are required. You can visit:

Target data

A beta chain of antigen-presenting major histocompatibility complex class II (MHCII) molecule. In complex with the alpha chain HLA-DRA, displays antigenic peptides on professional antigen presenting cells (APCs) for recognition by alpha-beta T cell receptor (TCR) on HLA-DRB1-restricted CD4-positive T cells. This guides antigen-specific T-helper effector functions, both antibody-mediated immune response and macrophage activation, to ultimately eliminate the infectious agents and transformed cells (PubMed : 15265931, PubMed : 16148104, PubMed : 22327072, PubMed : 27591323, PubMed : 29884618, PubMed : 31495665, PubMed : 8642306). Typically presents extracellular peptide antigens of 10 to 30 amino acids that arise from proteolysis of endocytosed antigens in lysosomes (PubMed : 8145819). In the tumor microenvironment, presents antigenic peptides that are primarily generated in tumor-resident APCs likely via phagocytosis of apoptotic tumor cells or macropinocytosis of secreted tumor proteins (PubMed : 31495665). Presents peptides derived from intracellular proteins that are trapped in autolysosomes after macroautophagy, a mechanism especially relevant for T cell selection in the thymus and central immune tolerance (PubMed : 17182262, PubMed : 23783831). The selection of the immunodominant epitopes follows two processing modes : 'bind first, cut/trim later' for pathogen-derived antigenic peptides and 'cut first, bind later' for autoantigens/self-peptides (PubMed : 25413013). The anchor residue at position 1 of the peptide N-terminus, usually a large hydrophobic residue, is essential for high affinity interaction with MHCII molecules (PubMed : 8145819).. Allele DRB1*01 : 01 : Displays an immunodominant epitope derived from Bacillus anthracis pagA/protective antigen, PA (KLPLYISNPNYKVNVYAVT), to both naive and PA-specific memory CD4-positive T cells (PubMed : 22327072). Presents immunodominant HIV-1 gag peptide (FRDYVDRFYKTLRAEQASQE) on infected dendritic cells for recognition by TRAV24-TRBV2 TCR on CD4-positive T cells and controls viral load (PubMed : 29884618). May present to T-helper 1 cells several HRV-16 epitopes derived from capsid proteins VP1 (PRFSLPFLSIASAYYMFYDG) and VP2 (PHQFINLRSNNSATLIVPYV), contributing to viral clearance (PubMed : 27591323). Displays commonly recognized peptides derived from IAV external protein HA (PKYVKQNTLKLAT and SNGNFIAPEYAYKIVK) and from internal proteins M, NP and PB1, with M-derived epitope (GLIYNRMGAVTTEV) being the most immunogenic (PubMed : 25413013, PubMed : 32668259, PubMed : 8145819, PubMed : 9075930). Presents a self-peptide derived from COL4A3 (GWISLWKGFSF) to TCR (TRAV14 biased) on CD4-positive, FOXP3-positive regulatory T cells and mediates immune tolerance to self (PubMed : 28467828). May present peptides derived from oncofetal trophoblast glycoprotein TPBG 5T4, known to be recognized by both T-helper 1 and regulatory T cells (PubMed : 31619516). Displays with low affinity a self-peptide derived from MBP (VHFFKNIVTPRTP) (PubMed : 9075930).. Allele DRB1*03 : 01 : May present to T-helper 1 cells an HRV-16 epitope derived from capsid protein VP2 (NEKQPSDDNWLNFDGTLLGN), contributing to viral clearance (PubMed : 27591323). Displays self-peptides derived from retinal SAG (NRERRGIALDGKIKHE) and thyroid TG (LSSVVVDPSIRHFDV) (PubMed : 25413013). Presents viral epitopes derived from HHV-6B gH/U48 and U85 antigens to polyfunctional CD4-positive T cells with cytotoxic activity implicated in control of HHV-6B infection (PubMed : 31020640). Presents several immunogenic epitopes derived from C. tetani neurotoxin tetX, playing a role in immune recognition and long-term protection (PubMed : 19830726).. Allele DRB1*04 : 01 : Presents an immunodominant bacterial epitope derived from M. tuberculosis esxB/culture filtrate antigen CFP-10 (EISTNIRQAGVQYSR), eliciting CD4-positive T cell effector functions such as IFNG production and cytotoxic activity (PubMed : 15265931). May present to T-helper 1 cells an HRV-16 epitope derived from capsid protein VP2 (NEKQPSDDNWLNFDGTLLGN), contributing to viral clearance (PubMed : 27591323). Presents tumor epitopes derived from melanoma-associated TYR antigen (QNILLSNAPLGPQFP and DYSYLQDSDPDSFQD), triggering CD4-positive T cell effector functions such as GMCSF production (PubMed : 8642306). Displays preferentially citrullinated self-peptides derived from VIM (GVYATR/citSSAVR and SAVRAR/citSSVPGVR) and ACAN (VVLLVATEGR/ CitVRVNSAYQDK) (PubMed : 24190431). Displays self-peptides derived from COL2A1 (PubMed : 9354468).. Allele DRB1*04 : 02 : Displays native or citrullinated self-peptides derived from VIM.. Allele DRB1*04 : 04 : May present to T-helper 1 cells several HRV-16 epitopes derived from capsid proteins VP1 (HIVMQYMYVPPGAPIPTTRN) and VP2 (RGDSTITSQDVANAVVGYGV), contributing to viral clearance (PubMed : 27591323). Displays preferentially citrullinated self-peptides derived from VIM (SAVRAR/citSSVPGVR) (PubMed : 24190431).. Allele DRB1*04 : 05 : May present to T-helper 1 cells an immunogenic epitope derived from tumor-associated antigen WT1 (KRYFKLSHLQMHSRKH), likely providing for effective antitumor immunity in a wide range of solid and hematological malignancies.. Allele DRB1*05 : 01 : Presents an immunodominant HIV-1 gag peptide (FRDYVDRFYKTLRAEQASQE) on infected dendritic cells for recognition by TRAV24-TRBV2 TCR on CD4-positive T cells and controls viral load.. Allele DRB1*07 : 01 : Upon EBV infection, presents latent antigen EBNA2 peptide (PRSPTVFYNIPPMPLPPSQL) to CD4-positive T cells, driving oligoclonal expansion and selection of a dominant virus-specific memory T cell subset with cytotoxic potential to directly eliminate virus-infected B cells (PubMed : 31308093). May present to T-helper 1 cells several HRV-16 epitopes derived from capsid proteins VP1 (PRFSLPFLSIASAYYMFYDG) and VP2 (VPYVNAVPMDSMVRHNNWSL), contributing to viral clearance (PubMed : 27591323). In the context of tumor immunesurveillance, may present to T-helper 1 cells an immunogenic epitope derived from tumor-associated antigen WT1 (MTEYKLVVVGAVGVGKSALTIQLI), likely providing for effective antitumor immunity in a wide range of solid and hematological malignancies (PubMed : 22929521). In metastatic epithelial tumors, presents to intratumoral CD4-positive T cells a KRAS neoantigen (MTEYKLVVVGAVGVGKSALTIQLI) carrying G12V hotspot driver mutation and may mediate tumor regression (PubMed : 30282837).. Allele DRB1*11 : 01 : Displays an immunodominant HIV-1 gag peptide (FRDYVDRFYKTLRAEQASQE) on infected dendritic cells for recognition by TRAV24-TRBV2 TCR on CD4-positive T cells and controls viral load (PubMed : 29884618). May present to T-helper 1 cells an HRV-16 epitope derived from capsid protein VP2 (SDRIIQITRGDSTITSQDVA), contributing to viral clearance (PubMed : 27591323). Presents several immunogenic epitopes derived from C. tetani neurotoxin tetX, playing a role in immune recognition and longterm protection (PubMed : 19830726). In the context of tumor immunesurveillance, may present tumor-derived neoantigens to CD4-positive T cells and trigger anti-tumor helper functions (PubMed : 31495665).. Allele DRB1*13 : 01 : Presents viral epitopes derived from HHV-6B antigens to polyfunctional CD4-positive T cells implicated in control of HHV-6B infection.. Allele DRB1*15 : 01 : May present to T-helper 1 cells an HRV-16 epitope derived from capsid protein VP2 (SNNSATLIVPYVNAVPMDSM), contributing to viral clearance (PubMed : 27591323). Displays a self-peptide derived from MBP (ENPVVHFFKNIVTPR) (PubMed : 25413013, PubMed : 9782128). May present to T-helper 1 cells an immunogenic epitope derived from tumor-associated antigen WT1 (KRYFKLSHLQMHSRKH), likely providing for effective antitumor immunity in a wide range of solid and hematological malignancies.. Allele DRB1*15 : 02 : Displays an immunodominant HIV-1 gag peptide (FRDYVDRFYKTLRAEQASQE) on infected dendritic cells for recognition by TRAV24-TRBV2 TCR on CD4-positive T cells and controls viral load (PubMed : 29884618). May present to T-helper 1 cells an immunogenic epitope derived from tumor-associated antigen WT1 (KRYFKLSHLQMHSRKH), likely providing for effective antitumor immunity in a wide range of solid and hematological malignancies (PubMed : 19120973).. (Microbial infection) Acts as a receptor for Epstein-Barr virus on lymphocytes.
See full target information HLA-DRB1

Product promise

We are committed to supporting your work with high-quality reagents, and we're here for you every step of the way. In the unlikely event that one of our products does not perform as expected, you're protected by our Product Promise.
For full details, please see our Terms & Conditions

Please note: All products are 'FOR RESEARCH USE ONLY. NOT FOR USE IN DIAGNOSTIC OR THERAPEUTIC PROCEDURES'.

For licensing inquiries, please contact partnerships@abcam.com