JavaScript is disabled in your browser. Please enable JavaScript to view this website.
AB312858

Anti-HLA-DOB antibody [DOB.L1]

Be the first to review this product! Submit a review

|

(0 Publication)

Mouse Recombinant Monoclonal HLA DOB antibody. Suitable for WB, IHC-P and reacts with Human samples.

View Alternative Names

MHC class II antigen DOB, HLA-DOB

4 Images
Immunohistochemistry (Formalin/PFA-fixed paraffin-embedded sections) - Anti-HLA-DOB antibody [DOB.L1] (AB312858)
  • IHC-P

Supplier Data

Immunohistochemistry (Formalin/PFA-fixed paraffin-embedded sections) - Anti-HLA-DOB antibody [DOB.L1] (AB312858)

Immunohistochemical analysis of paraffin-embedded human skeletal muscle tissue labeling HLA-DOB with ab312858 at 1/20000 (0.053 ug/ml) dilution followed by a ready to use LeicaDS9800 (Bond™ Polymer Refine Detection). Negative control : No staining on human skeletal muscle. The section was incubated with ab312858 for 30 mins at room temperature, followed by anti-mouse IgG2b antibody (ab190482) for 8 mins during the LeicaDS9800 kit staining procedure. The immunostaining was performed on a Leica Biosystems BOND® RX instrument. Counterstained with Hematoxylin. Secondary antibody only control : Secondary antibody is a ready to use LeicaDS9800 (Bond™ Polymer Refine Detection). Heat mediated antigen retrieval was performed with Tris-EDTA buffer (pH 9.0, Epitope Retrieval Solution2) for 20 mins.

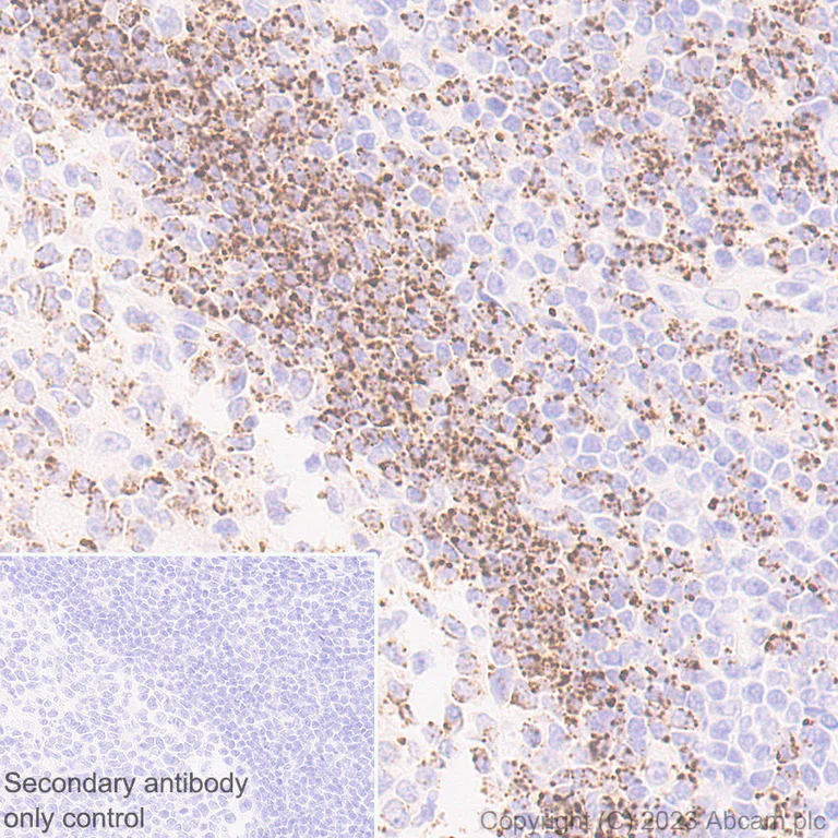
Immunohistochemistry (Formalin/PFA-fixed paraffin-embedded sections) - Anti-HLA-DOB antibody [DOB.L1] (AB312858)
  • IHC-P

Supplier Data

Immunohistochemistry (Formalin/PFA-fixed paraffin-embedded sections) - Anti-HLA-DOB antibody [DOB.L1] (AB312858)

Immunohistochemical analysis of paraffin-embedded human tonsil tissue labeling HLA-DOB with ab312858 at 1/20000 (0.053 ug/ml) dilution followed by a ready to use LeicaDS9800 (Bond™ Polymer Refine Detection). Positive staining on human tonsil. The section was incubated with ab312858 for 30 mins at room temperature, followed by anti-mouse IgG2b antibody (ab190482) for 8 mins during the LeicaDS9800 kit staining procedure. The immunostaining was performed on a Leica Biosystems BOND® RX instrument. Counterstained with Hematoxylin. Secondary antibody only control : Secondary antibody is a ready to use LeicaDS9800 (Bond™ Polymer Refine Detection). Heat mediated antigen retrieval was performed with Tris-EDTA buffer (pH 9.0, Epitope Retrieval Solution2) for 20 mins.

Western blot - Anti-HLA-DOB antibody [DOB.L1] (AB312858)
  • WB

Supplier Data

Western blot - Anti-HLA-DOB antibody [DOB.L1] (AB312858)

Blocking and diluting buffer and concentration : 5% NFDM/TBST The 30 kDa band is expected to be the glycoslated form, and the 28 kDa band the deglycosylated form. The identities of the higher MW bands between 50 and 150 kDa are unknown. Exposure time : 3 minutes

All lanes:

Western blot - Anti-HLA-DOB antibody [DOB.L1] (ab312858) at 1/1000 dilution

All lanes:

Human tonsil tissue lysate at 10 µg

Secondary

All lanes:

Peroxidase-Conjugated Goat anti-Mouse IgG (H+L) at 1/10000 dilution

Observed band size: 28 kDa,30 kDa

false

Exposure time: 3min

Western blot - Anti-HLA-DOB antibody [DOB.L1] (AB312858)
  • WB

Supplier Data

Western blot - Anti-HLA-DOB antibody [DOB.L1] (AB312858)

Blocking and diluting buffer and concentration : 5% NFDM/TBST Negative control : MOLT-4 (PMID : 2998758). HLA-DOB detected a shift from 30kDa to 28kDa band after deglycosylation treatment. The identities of the higher MW bands between 50 and 150 kDa are unknown. In Western blot, anti-GAPDH antibody (ab181602) loading control staining at 1/200000 dilution. Exposure time : 125 seconds

All lanes:

Western blot - Anti-HLA-DOB antibody [DOB.L1] (ab312858) at 1/1000 dilution

Lane 1:

Untreated Raji (human Burkitts lymphoma B lymphocyte) whole cell lysate at 20 µg

Lane 2:

Raji (human Burkitts lymphoma B lymphocyte) whole cell lysate treated with Peptide:N-glycosidase F (PNGase F) at 20 µg

Lane 3:

Ramos (human Burkitts lymphoma B lymphocyte) whole cell lysate at 20 µg

Lane 4:

MOLT-4 (human lymphoblastic leukemia T lymphoblast) whole cell lysate at 20 µg

Secondary

All lanes:

Peroxidase-Conjugated Goat anti-Mouse IgG (H+L) at 1/10000 dilution

Observed band size: 30 kDa

false

Exposure time: 125s

Key facts

Host species

Mouse

Clonality

Monoclonal

Clone number

DOB.L1

Isotype

IgG2b

Carrier free

No

Reacts with

Human

Applications

WB, IHC-P

applications

Immunogen

The exact immunogen used to generate this antibody is proprietary information.

Reactivity data

{ "title": "Reactivity Data", "filters": { "stats": ["", "Species", "Dilution Info", "Notes"], "tabs": { "all-applications": {"fullname" : "All Applications", "shortname": "All Applications"}, "WB" : {"fullname" : "Western blot", "shortname":"WB"}, "IHCP" : {"fullname" : "Immunohistochemistry (Formalin/PFA-fixed paraffin-embedded sections)", "shortname":"IHC-P"}, "ICCIF" : {"fullname" : "Immunocytochemistry/ Immunofluorescence", "shortname":"ICC/IF"}, "IP" : {"fullname" : "Immunoprecipitation", "shortname":"IP"} }, "product-promise": { "all": "all", "testedAndGuaranteed": "tested", "guaranteed": "expected", "predicted": "predicted", "notRecommended": "not-recommended" } }, "values": { "Human": { "WB-species-checked": "testedAndGuaranteed", "WB-species-dilution-info": "1/1000", "WB-species-notes": "<p></p>", "IHCP-species-checked": "testedAndGuaranteed", "IHCP-species-dilution-info": "1/20000", "IHCP-species-notes": "<p></p> Perform heat-mediated antigen retrieval with Tris/EDTA buffer pH 9.0 before commencing with IHC staining protocol.", "ICCIF-species-checked": "notRecommended", "ICCIF-species-dilution-info": "", "ICCIF-species-notes": "<p></p>", "IP-species-checked": "notRecommended", "IP-species-dilution-info": "", "IP-species-notes": "<p></p>" } } }

Product details

Want a custom formulation?
This antibody clone is manufactured by Abcam. If you require a custom buffer formulation or conjugation for your experiments, please contact orders@abcam.com

What are the advantages of a recombinant monoclonal antibody?
This product is a recombinant monoclonal antibody, which offers several advantages including:

  • - High batch-to-batch consistency and reproducibility
  • - Improved sensitivity and specificity
  • - Long-term security of supply
  • - Animal-free batch production

For more information, read more on recombinant antibodies.

Properties and storage information

Form
Liquid
Purification technique
Affinity purification Protein A
Storage buffer
pH: 7.2 - 7.4 Preservative: 0.01% Sodium azide Constituents: PBS, 40% Glycerol (glycerin, glycerine), 0.05% BSA
Shipped at conditions
Blue Ice
Appropriate short-term storage duration
1-2 weeks
Appropriate short-term storage conditions
+4°C
Appropriate long-term storage conditions
-20°C
Aliquoting information
Upon delivery aliquot
Storage information
Avoid freeze / thaw cycle

Product protocols

For this product, it's our understanding that no specific protocols are required. You can visit:

Target data

Important modulator in the HLA class II restricted antigen presentation pathway by interaction with the HLA-DM molecule in B-cells. Modifies peptide exchange activity of HLA-DM.
See full target information HLA-DOB

Product promise

We are committed to supporting your work with high-quality reagents, and we're here for you every step of the way. In the unlikely event that one of our products does not perform as expected, you're protected by our Product Promise.
For full details, please see our Terms & Conditions

Please note: All products are 'FOR RESEARCH USE ONLY. NOT FOR USE IN DIAGNOSTIC OR THERAPEUTIC PROCEDURES'.

For licensing inquiries, please contact partnerships@abcam.com