JavaScript is disabled in your browser. Please enable JavaScript to view this website.
AB211930

Anti-HLA-DQA1 antibody [EPR7300] - BSA and Azide free

Be the first to review this product! Submit a review

|

(1 Publication)

Rabbit Recombinant Monoclonal DQA1 antibody. Carrier free. Suitable for IHC-P, IP, WB and reacts with Human, Mouse, Rat samples. Cited in 1 publication.

View Alternative Names

DC-1 alpha chain, DC-alpha, HLA-DCA, MHC class II DQA1, HLA-DQA1

6 Images
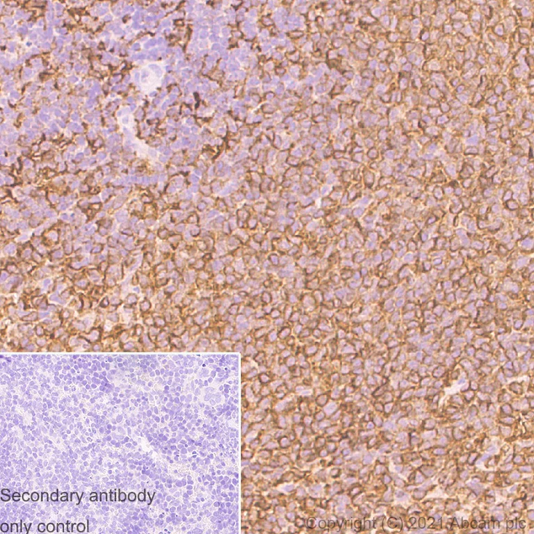
Immunohistochemistry (Formalin/PFA-fixed paraffin-embedded sections) - Anti-HLA-DQA1 antibody [EPR7300] - BSA and Azide free (AB211930)
  • IHC-P

Lab

Immunohistochemistry (Formalin/PFA-fixed paraffin-embedded sections) - Anti-HLA-DQA1 antibody [EPR7300] - BSA and Azide free (AB211930)

This data was developed using the same antibody clone in a different buffer formulation containing PBS, BSA, glycerol, and sodium azide (ab128959). Immunohistochemical analysis of Paraffin-embedded sections human tonsil tissue labelling HLA-DQA1 with ab128959 at 1/200 dilution, followed by a ready to use secondary Rabbit specific IHC polymer detection kit HRP/DAB (ab209101). Staining on human tonsil tissue is observed. Counter stained with Haematoxylin. Secondary antibody only control : Used PBS instead of primary antibody, secondary antibody is ready to use Rabbit specific IHC polymer detection kit HRP/DAB (ab209101). Heat mediated antigen retrieval using Bond™ Epitope Retrieval Solution 2 (pH 9.0). The section was incubated with ab128959 for 15 mins at room temperature. The immunostaining was performed on a Leica Biosystems BOND® RX instrument

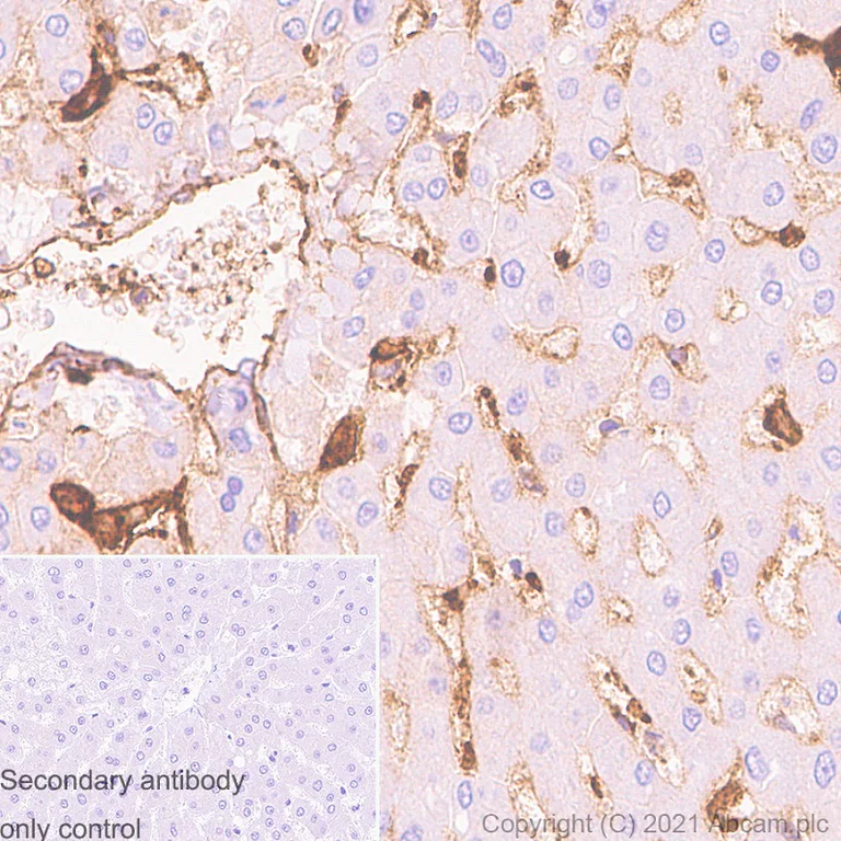
Immunohistochemistry (Formalin/PFA-fixed paraffin-embedded sections) - Anti-HLA-DQA1 antibody [EPR7300] - BSA and Azide free (AB211930)
  • IHC-P

Lab

Immunohistochemistry (Formalin/PFA-fixed paraffin-embedded sections) - Anti-HLA-DQA1 antibody [EPR7300] - BSA and Azide free (AB211930)

This data was developed using the same antibody clone in a different buffer formulation containing PBS, BSA, glycerol, and sodium azide (ab128959). Immunohistochemical analysis of Paraffin-embedded sections human liver tissue labelling HLA-DQA1 with ab128959 at 1/200 dilution, followed by a ready to use secondary Rabbit specific IHC polymer detection kit HRP/DAB (ab209101). Staining on human liver tissue is observed. Counter stained with Haematoxylin. Secondary antibody only control : Used PBS instead of primary antibody, secondary antibody is ready to use Rabbit specific IHC polymer detection kit HRP/DAB (ab209101). Heat mediated antigen retrieval using Bond™ Epitope Retrieval Solution 2 (pH 9.0). The section was incubated with ab128959 for 15 mins at room temperature. The immunostaining was performed on a Leica Biosystems BOND® RX instrument

Immunoprecipitation - Anti-HLA-DQA1 antibody [EPR7300] - BSA and Azide free (AB211930)
  • IP

Lab

Immunoprecipitation - Anti-HLA-DQA1 antibody [EPR7300] - BSA and Azide free (AB211930)

This data was developed using the same antibody clone in a different buffer formulation containing PBS, BSA, glycerol, and sodium azide (ab128959). Immunoprecipitation of HLA-DQA1 from 2Human spleen lysate using ab128959 at 1/20 dilution. Lane 1 : Human spleen lysate 10 μg Lane 2 : Human spleen lysate Lane 3 : Rabbit monoclonal IgG (ab172730) instead of ab128959 in Human spleen lysate ab131366 was used as secondary antibody at 1/1000 dilution. Blocking and diluting buffer and concentration : 5% NFDM/TBST. Observed MW at 33-35kDa.

All lanes:

Immunoprecipitation - Anti-HLA-DQA1 antibody [EPR7300] (<a href='/en-us/products/primary-antibodies/hla-dqa1-antibody-epr7300-ab128959'>ab128959</a>) at 1/20 dilution

Lane 1:

Human spleen lysate at 10 µg

Lane 2:

Human spleen lysate

Secondary

All lanes:

Immunoprecipitation - VeriBlot for IP Detection Reagent (HRP) (<a href='/en-us/products/reagents/veriblot-for-ip-detection-reagent-hrp-ab131366'>ab131366</a>) at 1/1000 dilution

Predicted band size: 28 kDa

false

Immunohistochemistry (Formalin/PFA-fixed paraffin-embedded sections) - Anti-HLA-DQA1 antibody [EPR7300] - BSA and Azide free (AB211930)
  • IHC-P

Lab

Immunohistochemistry (Formalin/PFA-fixed paraffin-embedded sections) - Anti-HLA-DQA1 antibody [EPR7300] - BSA and Azide free (AB211930)

This data was developed using the same antibody clone in a different buffer formulation containing PBS, BSA, glycerol, and sodium azide (ab128959). Immunohistochemical analysis of Paraffin-embedded sections rat spleen tissue labelling HLA-DQA1 with ab128959 at 1/200 dilution, followed by a ready to use secondary Rabbit specific IHC polymer detection kit HRP/DAB (ab209101). Staining on rat spleen tissue is observed. Counter stained with Haematoxylin. Secondary antibody only control : Used PBS instead of primary antibody, secondary antibody is ready to use Rabbit specific IHC polymer detection kit HRP/DAB (ab209101). Heat mediated antigen retrieval using Bond™ Epitope Retrieval Solution 2 (pH 9.0). The section was incubated with ab128959 for 15 mins at room temperature. The immunostaining was performed on a Leica Biosystems BOND® RX instrument

Immunohistochemistry (Formalin/PFA-fixed paraffin-embedded sections) - Anti-HLA-DQA1 antibody [EPR7300] - BSA and Azide free (AB211930)
  • IHC-P

Lab

Immunohistochemistry (Formalin/PFA-fixed paraffin-embedded sections) - Anti-HLA-DQA1 antibody [EPR7300] - BSA and Azide free (AB211930)

This data was developed using the same antibody clone in a different buffer formulation containing PBS, BSA, glycerol, and sodium azide (ab128959). Immunohistochemical analysis of Paraffin-embedded sections mouse spleen tissue labelling HLA-DQA1 with ab128959 at 1/200 dilution, followed by a ready to use secondary Rabbit specific IHC polymer detection kit HRP/DAB (ab209101). Staining on mouse spleen tissue is observed. Counter stained with Haematoxylin. Secondary antibody only control : Used PBS instead of primary antibody, secondary antibody is ready to use Rabbit specific IHC polymer detection kit HRP/DAB (ab209101). Heat mediated antigen retrieval using Bond™ Epitope Retrieval Solution 2 (pH 9.0). The section was incubated with ab128959 for 15 mins at room temperature. The immunostaining was performed on a Leica Biosystems BOND® RX instrument

Western blot - Anti-HLA-DQA1 antibody [EPR7300] - BSA and Azide free (AB211930)
  • WB

Lab

Western blot - Anti-HLA-DQA1 antibody [EPR7300] - BSA and Azide free (AB211930)

All lanes:

Western blot - Anti-HLA-DQA1 antibody [EPR7300] (<a href='/en-us/products/primary-antibodies/hla-dqa1-antibody-epr7300-ab128959'>ab128959</a>) at 1/1000 dilution

Lane 1:

Raji (Human Burkitt's lymphoma B lymphocyte) whole cell lysate at 20 µg

Lane 2:

Mouse spleen lysate at 20 µg

Lane 3:

Rat spleen lysate at 20 µg

Secondary

All lanes:

Western blot - Goat Anti-Rabbit IgG H&L (HRP) (<a href='/en-us/products/secondary-antibodies/goat-rabbit-igg-h-l-hrp-ab97051'>ab97051</a>) at 1/20000 dilution

Predicted band size: 28 kDa

false

Key facts

Host species

Rabbit

Clonality

Monoclonal

Clone number

EPR7300

Isotype

IgG

Carrier free

Yes

Reacts with

Mouse, Rat, Human

Applications

IHC-P, IP, WB

applications

Immunogen

The exact immunogen used to generate this antibody is proprietary information.

Specificity

Signals detected in mouse and rat samples are orthologs of HLA.

Reactivity data

{ "title": "Reactivity Data", "filters": { "stats": ["", "Species", "Dilution Info", "Notes"], "tabs": { "all-applications": {"fullname" : "All Applications", "shortname": "All Applications"}, "IHCP" : {"fullname" : "Immunohistochemistry (Formalin/PFA-fixed paraffin-embedded sections)", "shortname":"IHC-P"}, "IP" : {"fullname" : "Immunoprecipitation", "shortname":"IP"}, "FlowCyt" : {"fullname" : "Flow Cytometry", "shortname":"Flow Cyt"}, "WB" : {"fullname" : "Western blot", "shortname":"WB"}, "ICCIF" : {"fullname" : "Immunocytochemistry/ Immunofluorescence", "shortname":"ICC/IF"} }, "product-promise": { "all": "all", "testedAndGuaranteed": "tested", "guaranteed": "expected", "predicted": "predicted", "notRecommended": "not-recommended" } }, "values": { "Human": { "IHCP-species-checked": "testedAndGuaranteed", "IHCP-species-dilution-info": "", "IHCP-species-notes": "<p>Heat up to 98 degrees C, below boiling, and then let cool for 10-20 min.</p>", "IP-species-checked": "testedAndGuaranteed", "IP-species-dilution-info": "", "IP-species-notes": "<p></p>", "FlowCyt-species-checked": "notRecommended", "FlowCyt-species-dilution-info": "", "FlowCyt-species-notes": "<p></p>", "WB-species-checked": "testedAndGuaranteed", "WB-species-dilution-info": "", "WB-species-notes": "<p></p>", "ICCIF-species-checked": "notRecommended", "ICCIF-species-dilution-info": "", "ICCIF-species-notes": "<p></p>" }, "Mouse": { "IHCP-species-checked": "testedAndGuaranteed", "IHCP-species-dilution-info": "", "IHCP-species-notes": "<p>Heat up to 98 degrees C, below boiling, and then let cool for 10-20 min.</p>", "IP-species-checked": "guaranteed", "IP-species-dilution-info": "", "IP-species-notes": "", "FlowCyt-species-checked": "notRecommended", "FlowCyt-species-dilution-info": "", "FlowCyt-species-notes": "<p></p>", "WB-species-checked": "testedAndGuaranteed", "WB-species-dilution-info": "", "WB-species-notes": "<p></p>", "ICCIF-species-checked": "notRecommended", "ICCIF-species-dilution-info": "", "ICCIF-species-notes": "<p></p>" }, "Rat": { "IHCP-species-checked": "testedAndGuaranteed", "IHCP-species-dilution-info": "", "IHCP-species-notes": "<p>Heat up to 98 degrees C, below boiling, and then let cool for 10-20 min.</p>", "IP-species-checked": "guaranteed", "IP-species-dilution-info": "", "IP-species-notes": "", "FlowCyt-species-checked": "notRecommended", "FlowCyt-species-dilution-info": "", "FlowCyt-species-notes": "<p></p>", "WB-species-checked": "testedAndGuaranteed", "WB-species-dilution-info": "", "WB-species-notes": "<p></p>", "ICCIF-species-checked": "notRecommended", "ICCIF-species-dilution-info": "", "ICCIF-species-notes": "<p></p>" } } }

Product details

ab211930 is the carrier-free version of ab128959.

Patented technology
Our RabMAb® technology is a patented hybridoma-based technology for making rabbit monoclonal antibodies. For details on our patents, please refer to RabMAb® patents.

What are the advantages of a recombinant monoclonal antibody?
This product is a recombinant monoclonal antibody, which offers several advantages including:

  • - High batch-to-batch consistency and reproducibility
  • - Improved sensitivity and specificity
  • - Long-term security of supply
  • - Animal-free batch production

For more information, read more on recombinant antibodies.

Conjugation ready
Our carrier-free antibodies are typically supplied in a PBS-only formulation, purified and free of BSA, sodium azide and glycerol. This conjugation-ready format is designed for use with fluorochromes, metal isotopes, oligonucleotides, and enzymes, which makes them ideal for antibody labelling, functional and cell-based assays, flow-based assays (e.g. mass cytometry) and Multiplex Imaging applications.

Use our conjugation kits for antibody conjugates that are ready-to-use in as little as 20 minutes with 1 minute hands-on-time and 100% antibody recovery: available for fluorescent dyes, HRP, biotin and gold.

Compatibility
This product is compatible with the Maxpar® Antibody Labeling Kit from Fluidigm, without the need for antibody preparation. Maxpar® is a trademark of Fluidigm Canada Inc.

Properties and storage information

Form
Liquid
Purification technique
Affinity purification Protein A
Storage buffer
pH: 7.2 - 7.4 Constituents: PBS
Shipped at conditions
Blue Ice
Appropriate short-term storage conditions
+4°C
Appropriate long-term storage conditions
+4°C
Storage information
Do Not Freeze

Product protocols

For this product, it's our understanding that no specific protocols are required. You can visit:

Target data

Binds peptides derived from antigens that access the endocytic route of antigen presenting cells (APC) and presents them on the cell surface for recognition by the CD4 T-cells. The peptide binding cleft accommodates peptides of 10-30 residues. The peptides presented by MHC class II molecules are generated mostly by degradation of proteins that access the endocytic route, where they are processed by lysosomal proteases and other hydrolases. Exogenous antigens that have been endocytosed by the APC are thus readily available for presentation via MHC II molecules, and for this reason this antigen presentation pathway is usually referred to as exogenous. As membrane proteins on their way to degradation in lysosomes as part of their normal turn-over are also contained in the endosomal/lysosomal compartments, exogenous antigens must compete with those derived from endogenous components. Autophagy is also a source of endogenous peptides, autophagosomes constitutively fuse with MHC class II loading compartments. In addition to APCs, other cells of the gastrointestinal tract, such as epithelial cells, express MHC class II molecules and CD74 and act as APCs, which is an unusual trait of the GI tract. To produce a MHC class II molecule that presents an antigen, three MHC class II molecules (heterodimers of an alpha and a beta chain) associate with a CD74 trimer in the ER to form a heterononamer. Soon after the entry of this complex into the endosomal/lysosomal system where antigen processing occurs, CD74 undergoes a sequential degradation by various proteases, including CTSS and CTSL, leaving a small fragment termed CLIP (class-II-associated invariant chain peptide). The removal of CLIP is facilitated by HLA-DM via direct binding to the alpha-beta-CLIP complex so that CLIP is released. HLA-DM stabilizes MHC class II molecules until primary high affinity antigenic peptides are bound. The MHC II molecule bound to a peptide is then transported to the cell membrane surface. In B-cells, the interaction between HLA-DM and MHC class II molecules is regulated by HLA-DO. Primary dendritic cells (DCs) also to express HLA-DO. Lysosomal microenvironment has been implicated in the regulation of antigen loading into MHC II molecules, increased acidification produces increased proteolysis and efficient peptide loading.
See full target information HLA-DQA1

Publications (1)

Recent publications for all applications. Explore the full list and refine your search

Molecular medicine reports 31: PubMed39450531

2024

Melittin promotes the proliferation of Schwann cells in hyperglycemic environment by up‑regulating the Crabp2/Wnt/β‑catenin signaling pathway.

Applications

Unspecified application

Species

Unspecified reactive species

Qiuyi Zhang,Yuxia Chen,Wei Huang,Jiaqian Zhou,Dawei Yang
View all publications

Product promise

We are committed to supporting your work with high-quality reagents, and we're here for you every step of the way. In the unlikely event that one of our products does not perform as expected, you're protected by our Product Promise.
For full details, please see our Terms & Conditions

Please note: All products are 'FOR RESEARCH USE ONLY. NOT FOR USE IN DIAGNOSTIC OR THERAPEUTIC PROCEDURES'.

For licensing inquiries, please contact partnerships@abcam.com