JavaScript is disabled in your browser. Please enable JavaScript to view this website.
AB137832

Anti-HLA-DR antibody

4

(1 Review)

|

(5 Publications)

Rabbit Polyclonal HLA-DRA antibody. Suitable for IHC-P, WB and reacts with Human samples. Cited in 5 publications. Immunogen corresponding to Recombinant Fragment Protein within Human HLA-DRA aa 1 to C-terminus.

View Alternative Names

HLA-DRA1, HLA-DRA, MHC class II antigen DRA

3 Images
Immunohistochemistry (Formalin/PFA-fixed paraffin-embedded sections) - Anti-HLA-DR antibody (AB137832)
  • IHC-P

Supplier Data

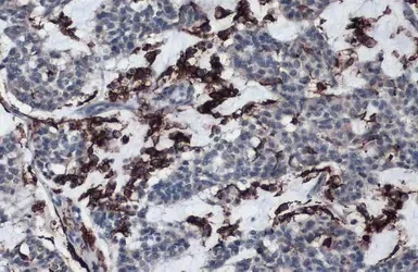
Immunohistochemistry (Formalin/PFA-fixed paraffin-embedded sections) - Anti-HLA-DR antibody (AB137832)

Immunohistochemical analysis of paraffin-embedded human breast carcinoma tissue labelling HLA-DRA protein at cytoplasm with ab137832 at a 1/10000 dilution.

Antigen retrieval : Citrate buffer, pH 6.0, 15 min

Immunohistochemistry (Formalin/PFA-fixed paraffin-embedded sections) - Anti-HLA-DR antibody (AB137832)
  • IHC-P

Unknown

Immunohistochemistry (Formalin/PFA-fixed paraffin-embedded sections) - Anti-HLA-DR antibody (AB137832)

Immunohistochemical analysis of paraffin-embedded MDA-MB-231 xenograft, labeling HLA DR, using ab137832 at a 1/500 dilution.

Western blot - Anti-HLA-DR antibody (AB137832)
  • WB

Supplier Data

Western blot - Anti-HLA-DR antibody (AB137832)

Samples were separated by 12% SDS PAGE.

All lanes:

Western blot - Anti-HLA-DR antibody (ab137832) at 1/1000 dilution

Lane 1:

Jurkat whole cell extracts at 30 µg

Lane 2:

Raji whole cell extracts at 30 µg

Lane 3:

NCI-H929 whole cell extracts at 30 µg

Secondary

All lanes:

HRP-conjugated anti-rabbit IgG antibody

Predicted band size: 29 kDa

false

Key facts

Host species

Rabbit

Clonality

Polyclonal

Isotype

IgG

Carrier free

No

Reacts with

Human

Applications

IHC-P, WB

applications

Immunogen

Recombinant Fragment Protein within Human HLA-DRA aa 1 to C-terminus. The exact immunogen used to generate this antibody is proprietary information.

P01903

Specificity

ab137832 recognizes the HLA class II alpha chain

Reactivity data

{ "title": "Reactivity Data", "filters": { "stats": ["", "Species", "Dilution Info", "Notes"], "tabs": { "all-applications": {"fullname" : "All Applications", "shortname": "All Applications"}, "IHCP" : {"fullname" : "Immunohistochemistry (Formalin/PFA-fixed paraffin-embedded sections)", "shortname":"IHC-P"}, "WB" : {"fullname" : "Western blot", "shortname":"WB"} }, "product-promise": { "all": "all", "testedAndGuaranteed": "tested", "guaranteed": "expected", "predicted": "predicted", "notRecommended": "not-recommended" } }, "values": { "Human": { "IHCP-species-checked": "testedAndGuaranteed", "IHCP-species-dilution-info": "1/100 - 1/1000", "IHCP-species-notes": "<p></p>", "WB-species-checked": "testedAndGuaranteed", "WB-species-dilution-info": "1/500 - 1/3000", "WB-species-notes": "<p></p>" } } }

Properties and storage information

Form
Liquid
Purification technique
Affinity purification Immunogen
Storage buffer
pH: 7 Preservative: 0.025% Proclin 300 Constituents: PBS, 20% Glycerol (glycerin, glycerine)
Shipped at conditions
Blue Ice
Appropriate short-term storage conditions
+4°C
Appropriate long-term storage conditions
-20°C
Aliquoting information
Upon delivery aliquot
Storage information
Avoid freeze / thaw cycle

Product protocols

For this product, it's our understanding that no specific protocols are required. You can visit:

Target data

An alpha chain of antigen-presenting major histocompatibility complex class II (MHCII) molecule. In complex with the beta chain HLA-DRB, displays antigenic peptides on professional antigen presenting cells (APCs) for recognition by alpha-beta T cell receptor (TCR) on HLA-DR-restricted CD4-positive T cells. This guides antigen-specific T-helper effector functions, both antibody-mediated immune response and macrophage activation, to ultimately eliminate the infectious agents and transformed cells (PubMed : 15265931, PubMed : 15322540, PubMed : 17334368, PubMed : 22327072, PubMed : 24190431, PubMed : 27591323, PubMed : 29884618, PubMed : 31495665, PubMed : 8145819, PubMed : 9075930). Typically presents extracellular peptide antigens of 10 to 30 amino acids that arise from proteolysis of endocytosed antigens in lysosomes (PubMed : 8145819). In the tumor microenvironment, presents antigenic peptides that are primarily generated in tumor-resident APCs likely via phagocytosis of apoptotic tumor cells or macropinocytosis of secreted tumor proteins (PubMed : 31495665). Presents peptides derived from intracellular proteins that are trapped in autolysosomes after macroautophagy, a mechanism especially relevant for T cell selection in the thymus and central immune tolerance (PubMed : 17182262, PubMed : 23783831). The selection of the immunodominant epitopes follows two processing modes : 'bind first, cut/trim later' for pathogen-derived antigenic peptides and 'cut first, bind later' for autoantigens/self-peptides (PubMed : 25413013). The anchor residue at position 1 of the peptide N-terminus, usually a large hydrophobic residue, is essential for high affinity interaction with MHCII molecules (PubMed : 8145819).
See full target information HLA-DRA

Publications (5)

Recent publications for all applications. Explore the full list and refine your search

Frontiers in immunology 9:1598 PubMed30050535

2018

Indoleamine 2,3-Dioxygenase Expression Pattern in the Tumor Microenvironment Predicts Clinical Outcome in Early Stage Cervical Cancer.

Applications

Unspecified application

Species

Unspecified reactive species

A Marijne Heeren,Ilse van Dijk,Daniella R A I Berry,Maryam Khelil,Debbie Ferns,Jeroen Kole,René J P Musters,Victor L Thijssen,Constantijne H Mom,Gemma G Kenter,Maaike C G Bleeker,Tanja D de Gruijl,Ekaterina S Jordanova

BMC cancer 17:473 PubMed28687085

2017

Regulation of early growth response 2 expression by secreted frizzled related protein 1.

Applications

Unspecified application

Species

Unspecified reactive species

Kelly J Gregory,Stephanie M Morin,Sallie S Schneider

The Journal of allergy and clinical immunology 137:1809-1821.e12 PubMed27045581

2016

Cytometry by time-of-flight immunophenotyping identifies a blood Sjögren's signature correlating with disease activity and glandular inflammation.

Applications

Unspecified application

Species

Unspecified reactive species

Michael Mingueneau,Saida Boudaoud,Scott Haskett,Taylor L Reynolds,Gaetane Nocturne,Elizabeth Norton,Xueli Zhang,Myrtha Constant,Daniel Park,Wenting Wang,Thierry Lazure,Christine Le Pajolec,Ayla Ergun,Xavier Mariette

Oncotarget 6:32484-93 PubMed26431490

2015

Nodal metastasis in cervical cancer occurs in clearly delineated fields of immune suppression in the pelvic lymph catchment area.

Applications

IHC

Species

Unspecified reactive species

A Marijne Heeren,Eline de Boer,Maaike C G Bleeker,René J P Musters,Marrije R Buist,Gemma G Kenter,Tanja D de Gruijl,Ekaterina S Jordanova

Placenta 36:681-6 PubMed25911290

2015

Chronic villitis of unknown etiology and massive chronic intervillositis have similar immune cell composition.

Applications

Unspecified application

Species

Unspecified reactive species

C A Labarrere,J W Hardin,D M Haas,G S Kassab
View all publications

Product promise

We are committed to supporting your work with high-quality reagents, and we're here for you every step of the way. In the unlikely event that one of our products does not perform as expected, you're protected by our Product Promise.
For full details, please see our Terms & Conditions

Please note: All products are 'FOR RESEARCH USE ONLY. NOT FOR USE IN DIAGNOSTIC OR THERAPEUTIC PROCEDURES'.

For licensing inquiries, please contact partnerships@abcam.com