JavaScript is disabled in your browser. Please enable JavaScript to view this website.
AB176408

Anti-HLA-DR antibody [TAL 1B5] - BSA and Azide free

4

(3 Reviews)

|

(2 Publications)

Mouse Recombinant Monoclonal HLA-DRA antibody. Carrier free. Suitable for ICC/IF, IHC-P, Flow Cyt, WB and reacts with Human samples. Cited in 2 publications.

View Alternative Names

HLA-DRA1, HLA-DRA, MHC class II antigen DRA

6 Images
Immunohistochemistry (Formalin/PFA-fixed paraffin-embedded sections) - Anti-HLA-DR antibody [TAL 1B5] - BSA and Azide free (AB176408)
  • IHC-P

Lab

Immunohistochemistry (Formalin/PFA-fixed paraffin-embedded sections) - Anti-HLA-DR antibody [TAL 1B5] - BSA and Azide free (AB176408)

Immunohistochemical analysis of paraffin-embedded human tonsil tissue labeling HLA-DR with ab20181 at 0.1 μg/ml followed by Leica DS9800 (Bond™ Polymer Refine Detection). The section was pre-treated using heat mediated antigen retrieval with sodium citrate buffer (pH6, epitope retrieval solution 1) for 20mins. The section was then incubated with ab20181, 0.1ug/ml, for 15 mins at room temperature and was then detected using an HRP conjugated compact polymer system. DAB was used as the chromogen. The section was then counterstained with haematoxylin and mounted with DPX.

Flow Cytometry - Anti-HLA-DR antibody [TAL 1B5] - BSA and Azide free (AB176408)
  • Flow Cyt

Lab

Flow Cytometry - Anti-HLA-DR antibody [TAL 1B5] - BSA and Azide free (AB176408)

Flow cytometry staining of human peripheral blood mononuclear cells (PBMCs) with ab20181 (right) or mouse IgG1κ (ab170190) isotype (left). PBMCs were incubated for 30 min on ice in 1x PBS containing 10μg/ml human IgG and 10% normal goat serum to block FC receptors and non-specific protein-protein interaction followed by followed by staining with CD19 APC. PBMCs were then fixed in 4.2% formaldehyde and permeabilised in 0.1% saponin before staining with the antibody (ab20181) or mouse IgG1κ (ab170190) isotype (1x106 in 100μl; at 0.008μg/ml) for 30 min on ice. The secondary antibody Goat anti-mouse IgG H&L (Alexa Fluor ® 488, pre-adsorbed) (ab150117) was used at 1 : 2000 dilution for 30 min on ice. Acquisition of >30000 events were collected using a 50 mW Blue laser (488nm) and 525/40 bandpass filter. Events were gated on alive lymphocytes.

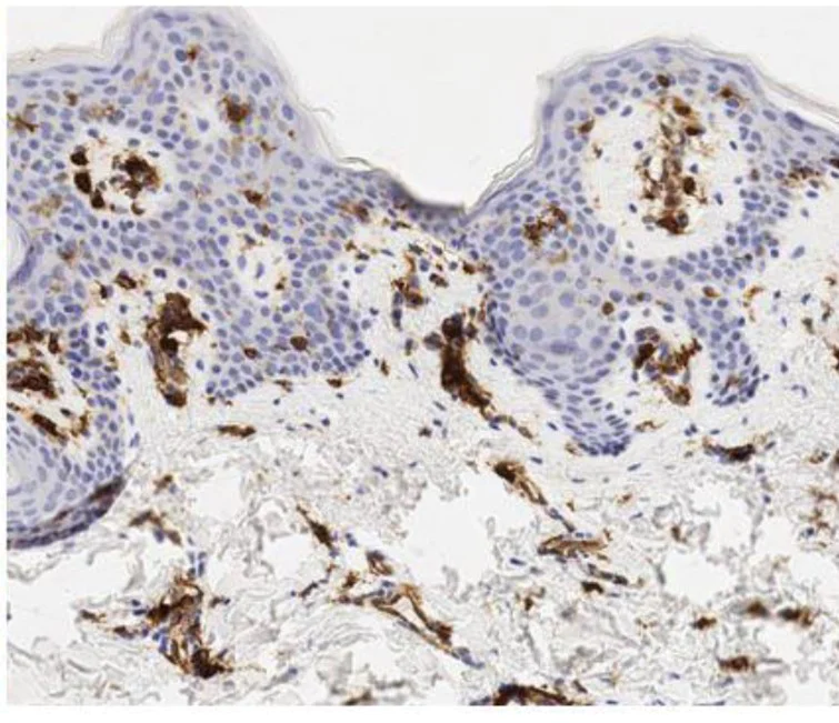
Immunohistochemistry (Formalin/PFA-fixed paraffin-embedded sections) - Anti-HLA-DR antibody [TAL 1B5] - BSA and Azide free (AB176408)
  • IHC-P

Lab

Immunohistochemistry (Formalin/PFA-fixed paraffin-embedded sections) - Anti-HLA-DR antibody [TAL 1B5] - BSA and Azide free (AB176408)

Immunohistochemical analysis of paraffin-embedded human skin tissue labeling HLA-DR with ab20181 at 0.1 μg/ml followed by Leica DS9800 (Bond™ Polymer Refine Detection). The section was pre-treated using heat mediated antigen retrieval with sodium citrate buffer (pH6, epitope retrieval solution 1) for 20mins. The section was then incubated with ab20181, 0.1ug/ml, for 15 mins at room temperature and was then detected using an HRP conjugated compact polymer system. DAB was used as the chromogen. The section was then counterstained with haematoxylin and mounted with DPX.

Immunocytochemistry/ Immunofluorescence - Anti-HLA-DR antibody [TAL 1B5] - BSA and Azide free (AB176408)
  • ICC/IF

Lab

Immunocytochemistry/ Immunofluorescence - Anti-HLA-DR antibody [TAL 1B5] - BSA and Azide free (AB176408)

This data was developed using the same antibody clone in a different buffer formulation containing PBS, BSA, glycerol, and sodium azide (ab20181). ab20181 staining HLA DR in Raji cells. The cells were fixed with 4% formaldehyde (10 min), permeabilised in 0.1% Triton X-100 for 5 minutes and then blocked in 1% BSA/10% normal goat serum/0.3M glycine in 0.1%PBS-Tween for 1h. The cells were then incubated overnight at +4°C with ab20181 at 1/1000 dilution and ab7291, Mouse monoclonal to alpha Tubulin at 1/1000 dilution. Cells were then incubated with ab150119, Goat Anti-Mouse IgG H&L (Alexa Fluor® 647) preadsorbed, at 1/1000 dilution (shown in red) and ab150081, Goat Anti-Rabbit IgG H&L (Alexa Fluor® 488), preadsorbed at 1/1000 dilution (shown in green). Nuclear DNA was labelled with DAPI (shown in blue). Image was taken with a confocal microscope (Leica-Microsystems, TCS SP8).

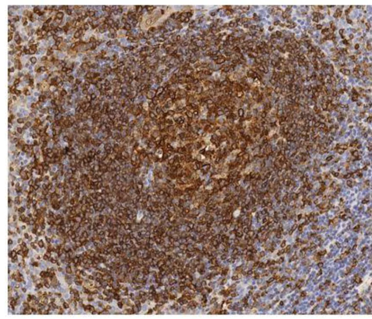
Immunohistochemistry (Formalin/PFA-fixed paraffin-embedded sections) - Anti-HLA-DR antibody [TAL 1B5] - BSA and Azide free (AB176408)
  • IHC-P

Lab

Immunohistochemistry (Formalin/PFA-fixed paraffin-embedded sections) - Anti-HLA-DR antibody [TAL 1B5] - BSA and Azide free (AB176408)

This data was developed using ab20181, the same antibody clone in a different buffer formulation.

Immunohistochemical analysis of formalin fixed paraffin embedded human tonsil labelling HLA-DR with ab20181 at a concentration of 0.01µg/ml. The immunostaining was performed on a Ventana DISCOVERY ULTRA (Roche Tissue Diagnostics) instrument with a OptiView DAB IHC Detection Kit. Heat mediated antigen retrieval was performed with DISCOVERY cell conditioning solution (CC1) 100°C, pH8.5 for 32mins.

ab20181 Anti-HLA-DR antibody [TAL 1B5] was incubated for 16mins at 37°C. Sections were counterstained with Hematoxylin II. Image inset shows absence of staining in secondary antibody only control.

Customers are encouraged to optimise antigen retrieval conditions, antibody concentration, incubation times and temperature for best results in their own IHC assay workflow (automated and manual).

Western blot - Anti-HLA-DR antibody [TAL 1B5] - BSA and Azide free (AB176408)
  • WB

Lab

Western blot - Anti-HLA-DR antibody [TAL 1B5] - BSA and Azide free (AB176408)

Lanes 1-3 : Merged signal (red and green). Green - ab20181 observed at 35 kDa. Red - loading control ab181602 (Rabbit Anti-GAPDH antibody [EPR16891]) observed at 37 kDa. ab20181 was shown to react with HLA-DR in Western blot. Membranes were blocked with 3% milk in TBS-T (0.1% Tween®) before incubation with ab20181 and ab181602 (Rabbit Anti-GAPDH antibody [EPR16891]) overnight at 4°C at 1 µg/ml and a 1 : 20000 dilution respectively. Blots were incubated with Goat anti-Rabbit IgG H&L (IRDye® 800CW) preabsorbed (ab216773) and Goat anti-Mouse IgG H&L (IRDye® 680RD) preabsorbed (ab216776) secondary antibodies at 1 : 20000 dilution for 1 h at room temperature before imaging.

All lanes:

Western blot - Anti-HLA-DR antibody [TAL 1B5] (<a href='/en-us/products/primary-antibodies/hla-dr-antibody-tal-1b5-ab20181'>ab20181</a>) at 1/1000 dilution

Lane 1:

Raji whole cell lysate at 20 µg

Lane 2:

Daudi whole cell lysate at 20 µg

Lane 3:

HEK-293 whole cell lysate at 20 µg

Secondary

All lanes:

Western blot - Goat anti-Rabbit IgG H&L (IRDye® 800CW) preadsorbed (<a href='/en-us/products/secondary-antibodies/goat-rabbit-igg-h-l-irdye-800cw-preadsorbed-ab216773'>ab216773</a>) at 1/20000 dilution

Observed band size: 35 kDa

true

Key facts

Host species

Mouse

Clonality

Monoclonal

Clone number

TAL 1B5

Isotype

IgG1

Light chain type

kappa

Carrier free

Yes

Reacts with

Human

Applications

ICC/IF, IHC-P, Flow Cyt, WB

applications

Immunogen

The exact immunogen used to generate this antibody is proprietary information.

Reactivity data

{ "title": "Reactivity Data", "filters": { "stats": ["", "Species", "Dilution Info", "Notes"], "tabs": { "all-applications": {"fullname" : "All Applications", "shortname": "All Applications"}, "ICCIF" : {"fullname" : "Immunocytochemistry/ Immunofluorescence", "shortname":"ICC/IF"}, "IHCP" : {"fullname" : "Immunohistochemistry (Formalin/PFA-fixed paraffin-embedded sections)", "shortname":"IHC-P"}, "FlowCyt" : {"fullname" : "Flow Cytometry", "shortname":"Flow Cyt"}, "WB" : {"fullname" : "Western blot", "shortname":"WB"} }, "product-promise": { "all": "all", "testedAndGuaranteed": "tested", "guaranteed": "expected", "predicted": "predicted", "notRecommended": "not-recommended" } }, "values": { "Human": { "ICCIF-species-checked": "testedAndGuaranteed", "ICCIF-species-dilution-info": "", "ICCIF-species-notes": "<p></p>", "IHCP-species-checked": "testedAndGuaranteed", "IHCP-species-dilution-info": "", "IHCP-species-notes": "<p></p>", "FlowCyt-species-checked": "testedAndGuaranteed", "FlowCyt-species-dilution-info": "", "FlowCyt-species-notes": "<p><a href='/en-us/products/primary-antibodies/mouse-igg1-kappa-monoclonal-15-6e10a7-isotype-control-ab170190'>ab170190</a> - Mouse monoclonal IgG1, is suitable for use as an isotype control with this antibody.</p>", "WB-species-checked": "testedAndGuaranteed", "WB-species-dilution-info": "", "WB-species-notes": "<p></p>" } } }

Product details

ab176408 is the carrier-free version of ab20181.

This product has switched from a hybridoma to recombinant production method on 23 September 2022.

Conjugation ready
Our carrier-free antibodies are typically supplied in a PBS-only formulation, purified and free of BSA, sodium azide and glycerol. This conjugation-ready format is designed for use with fluorochromes, metal isotopes, oligonucleotides, and enzymes, which makes them ideal for antibody labelling, functional and cell-based assays, flow-based assays (e.g. mass cytometry) and Multiplex Imaging applications.

Use our conjugation kits for antibody conjugates that are ready-to-use in as little as 20 minutes with 1 minute hands-on-time and 100% antibody recovery: available for fluorescent dyes, HRP, biotin and gold.

Compatibility
This product is compatible with the Maxpar® Antibody Labeling Kit from Fluidigm, without the need for antibody preparation. Maxpar® is a trademark of Fluidigm Canada Inc.

What are the advantages of a recombinant monoclonal antibody?
This product is a recombinant monoclonal antibody, which offers several advantages including:

  • - High batch-to-batch consistency and reproducibility
  • - Improved sensitivity and specificity
  • - Long-term security of supply
  • - Animal-free batch production

For more information, read more on recombinant antibodies.

Properties and storage information

Form
Liquid
Purification technique
Affinity purification Protein A
Storage buffer
pH: 7.2 - 7.4 Constituents: PBS
Shipped at conditions
Blue Ice
Appropriate short-term storage conditions
+4°C
Appropriate long-term storage conditions
+4°C
Storage information
Do Not Freeze

Product protocols

For this product, it's our understanding that no specific protocols are required. You can visit:

Target data

An alpha chain of antigen-presenting major histocompatibility complex class II (MHCII) molecule. In complex with the beta chain HLA-DRB, displays antigenic peptides on professional antigen presenting cells (APCs) for recognition by alpha-beta T cell receptor (TCR) on HLA-DR-restricted CD4-positive T cells. This guides antigen-specific T-helper effector functions, both antibody-mediated immune response and macrophage activation, to ultimately eliminate the infectious agents and transformed cells (PubMed : 15265931, PubMed : 15322540, PubMed : 17334368, PubMed : 22327072, PubMed : 24190431, PubMed : 27591323, PubMed : 29884618, PubMed : 31495665, PubMed : 8145819, PubMed : 9075930). Typically presents extracellular peptide antigens of 10 to 30 amino acids that arise from proteolysis of endocytosed antigens in lysosomes (PubMed : 8145819). In the tumor microenvironment, presents antigenic peptides that are primarily generated in tumor-resident APCs likely via phagocytosis of apoptotic tumor cells or macropinocytosis of secreted tumor proteins (PubMed : 31495665). Presents peptides derived from intracellular proteins that are trapped in autolysosomes after macroautophagy, a mechanism especially relevant for T cell selection in the thymus and central immune tolerance (PubMed : 17182262, PubMed : 23783831). The selection of the immunodominant epitopes follows two processing modes : 'bind first, cut/trim later' for pathogen-derived antigenic peptides and 'cut first, bind later' for autoantigens/self-peptides (PubMed : 25413013). The anchor residue at position 1 of the peptide N-terminus, usually a large hydrophobic residue, is essential for high affinity interaction with MHCII molecules (PubMed : 8145819).
See full target information HLA-DRA

Publications (2)

Recent publications for all applications. Explore the full list and refine your search

Immunity 54:1594-1610.e11 PubMed34174183

2021

Deep spatial profiling of human COVID-19 brains reveals neuroinflammation with distinct microanatomical microglia-T-cell interactions.

Applications

Unspecified application

Species

Unspecified reactive species

Marius Schwabenland,Henrike Salié,Jovan Tanevski,Saskia Killmer,Marilyn Salvat Lago,Alexandra Emilia Schlaak,Lena Mayer,Jakob Matschke,Klaus Püschel,Antonia Fitzek,Benjamin Ondruschka,Henrik E Mei,Tobias Boettler,Christoph Neumann-Haefelin,Maike Hofmann,Angele Breithaupt,Nafiye Genc,Christine Stadelmann,Julio Saez-Rodriguez,Peter Bronsert,Klaus-Peter Knobeloch,Thomas Blank,Robert Thimme,Markus Glatzel,Marco Prinz,Bertram Bengsch

Molecular systems biology 14:e8238 PubMed30104419

2018

Unraveling mitotic protein networks by 3D multiplexed epitope drug screening.

Applications

Unspecified application

Species

Unspecified reactive species

Lorenz J Maier,Stefan M Kallenberger,Katharina Jechow,Marcel Waschow,Roland Eils,Christian Conrad
View all publications

Product promise

We are committed to supporting your work with high-quality reagents, and we're here for you every step of the way. In the unlikely event that one of our products does not perform as expected, you're protected by our Product Promise.
For full details, please see our Terms & Conditions

Please note: All products are 'FOR RESEARCH USE ONLY. NOT FOR USE IN DIAGNOSTIC OR THERAPEUTIC PROCEDURES'.

For licensing inquiries, please contact partnerships@abcam.com