JavaScript is disabled in your browser. Please enable JavaScript to view this website.
AB7856

Anti-HLA DR + DP + DQ antibody [CR3/43]

5

(4 Reviews)

|

(40 Publications)

Anti-HLA DR + DP + DQ antibody [CR3/43] (ab7856) is a mouse monoclonal antibody detecting HLA DR + DP + DQ in Western Blot, Flow Cytometry, IHC-P. Suitable for Human.

- Recombinant format for unrivalled batch-batch consistency
- Over 20 publications
- Trusted since 2002

View Alternative Names

HLA-DRA1, HLA-DRA, MHC class II antigen DRA

7 Images
Immunohistochemistry (Formalin/PFA-fixed paraffin-embedded sections) - Anti-HLA DR + DP + DQ antibody [CR3/43] (AB7856)
  • IHC-P

Lab

Immunohistochemistry (Formalin/PFA-fixed paraffin-embedded sections) - Anti-HLA DR + DP + DQ antibody [CR3/43] (AB7856)

Immunohistochemical analysis of paraffin-embedded Human tonsil tissue using ab7856 at a 1/18000 dilution followed by a ready to use LeicaDS9800 (Bond™ Polymer Refine Detection).

Positive staining on human tonsil.
The section was incubated with ab7856 for 30 mins at room temperature, followed by anti-mouse IgG1 antibody (ab125913) for 8 mins during the LeicaDS9800 kit staining procedure.
The immunostaining was performed on a Leica Biosystems BOND® RX instrument
Hematoxylin was used as a counter stain.

Heat mediated antigen retrieval was performed with Citrate buffer (pH 6.0, Epitope Retrieval Solution 1) for 20 mins.

Immunohistochemistry (Formalin/PFA-fixed paraffin-embedded sections) - Anti-HLA DR + DP + DQ antibody [CR3/43] (AB7856)
  • IHC-P

Lab

Immunohistochemistry (Formalin/PFA-fixed paraffin-embedded sections) - Anti-HLA DR + DP + DQ antibody [CR3/43] (AB7856)

Immunohistochemical analysis of paraffin-embedded Human skeletal muscle tissue using ab7856 at a 1/18000 dilution followed by a ready to use LeicaDS9800 (Bond™ Polymer Refine Detection).

Negative control : no staining on human skeletal muscle.
The section was incubated with ab7856 for 30 mins at room temperature, followed by anti-mouse IgG1 antibody (ab125913) for 8 mins during the LeicaDS9800 kit staining procedure.
The immunostaining was performed on a Leica Biosystems BOND® RX instrument
Hematoxylin was used as a counter stain.

Heat mediated antigen retrieval was performed with Citrate buffer (pH 6.0, Epitope Retrieval Solution 1) for 20 mins.

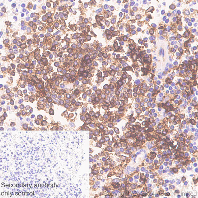
Immunohistochemistry (Formalin/PFA-fixed paraffin-embedded sections) - Anti-HLA DR + DP + DQ antibody [CR3/43] (AB7856)
  • IHC-P

Lab

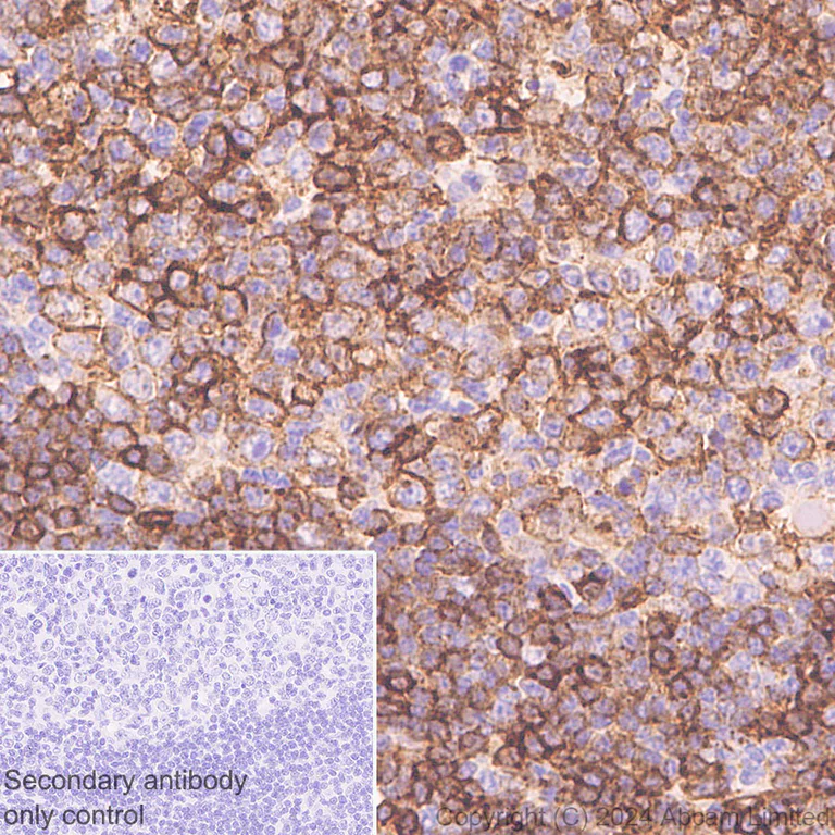
Immunohistochemistry (Formalin/PFA-fixed paraffin-embedded sections) - Anti-HLA DR + DP + DQ antibody [CR3/43] (AB7856)

Immunohistochemical analysis of paraffin-embedded Human spleen tissue using ab7856 at a 1/18000 dilution followed by a ready to use LeicaDS9800 (Bond™ Polymer Refine Detection).

Positive staining on human spleen.
The section was incubated with ab7856 for 30 mins at room temperature, followed by anti-mouse IgG1 antibody (ab125913) for 8 mins during the LeicaDS9800 kit staining procedure.
The immunostaining was performed on a Leica Biosystems BOND® RX instrument
Hematoxylin was used as a counter stain.

Heat mediated antigen retrieval was performed with Citrate buffer (pH 6.0, Epitope Retrieval Solution 1) for 20 mins.

Flow Cytometry - Anti-HLA DR + DP + DQ antibody [CR3/43] (AB7856)
  • Flow Cyt

Lab

Flow Cytometry - Anti-HLA DR + DP + DQ antibody [CR3/43] (AB7856)

Flow cytometric analysis of KARPAS-299 (human T cell lymphoma cell) (Right) / HepG2 (human hepatocellular carcinoma epithelial cell) (Left) cells labelling HLA DR + DP + DQ with ab7856 at 1/1000 dilution (0.1&micor;g)/Red followed by a secondary antibody Goat Anti-Rabbit IgG (Alexa Fluor® 488, ab150081) used at a 1/5000 dilution compared with isotype control Rabbit monoclonal IgG (ab172730) / Black and unlabelled control Cell without incubation with primary antibody and secondary antibody / Blue.

Gated on viable cells.
Negative control : HepG2.

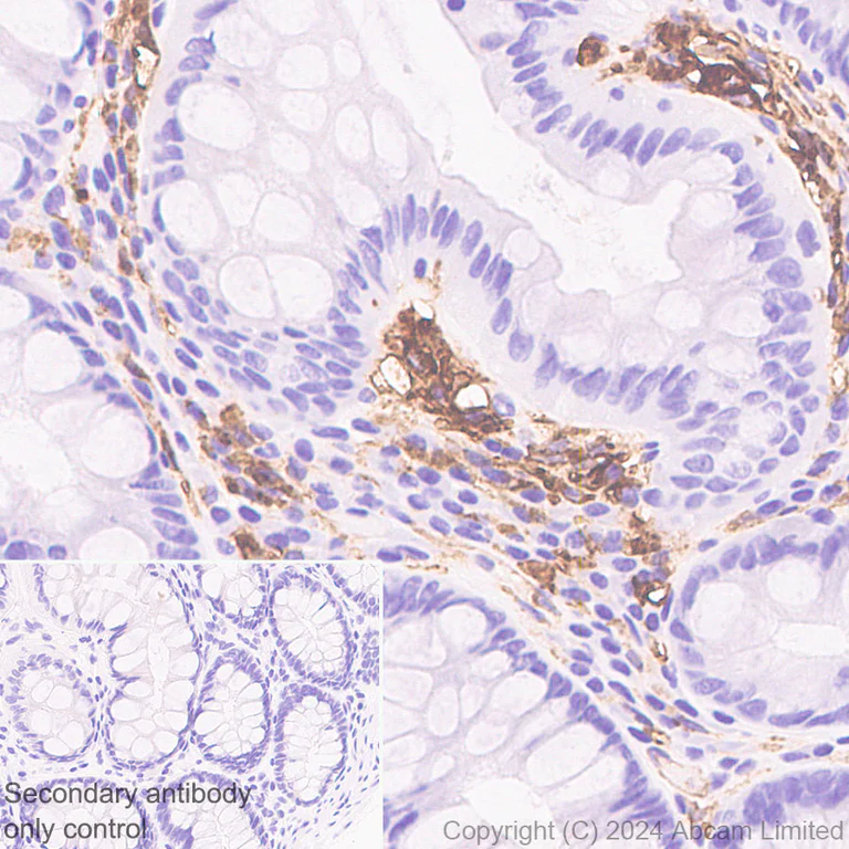
Immunohistochemistry (Formalin/PFA-fixed paraffin-embedded sections) - Anti-HLA DR + DP + DQ antibody [CR3/43] (AB7856)
  • IHC-P

Lab

Immunohistochemistry (Formalin/PFA-fixed paraffin-embedded sections) - Anti-HLA DR + DP + DQ antibody [CR3/43] (AB7856)

Immunohistochemical analysis of paraffin-embedded Human colon tissue using ab7856 at a 1/18000 dilution followed by a ready to use LeicaDS9800 (Bond™ Polymer Refine Detection).

Positive staining on human colon.
The section was incubated with ab7856 for 30 mins at room temperature, followed by anti-mouse IgG1 antibody (ab125913) for 8 mins during the LeicaDS9800 kit staining procedure.
The immunostaining was performed on a Leica Biosystems BOND® RX instrument
Hematoxylin was used as a counter stain.

Heat mediated antigen retrieval was performed with Citrate buffer (pH 6.0, Epitope Retrieval Solution 1) for 20 mins.

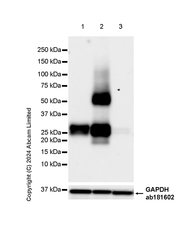
Western blot - Anti-HLA DR + DP + DQ antibody [CR3/43] (AB7856)
  • WB

Lab

Western blot - Anti-HLA DR + DP + DQ antibody [CR3/43] (AB7856)

Blocking and dilution buffer and concentration : 5% NFDM/TBST

Anti-GAPDH antibody [EPR16891] - Loading Control (ab181602) was used as a loading control at 1/200000 dilution.

Low expression : skeletal muscle.
The identity of MW band at approximately 50 kDa (in lane 2) is unknown.

All lanes:

Western blot - Anti-HLA DR + DP + DQ antibody [CR3/43] (ab7856) at 1/1000 dilution

Lane 1:

Human tonsil tissue lysate at 20 µg

Lane 2:

Human lung tissue lysate at 20 µg

Lane 3:

Human skeletal muscle tissue lysate at 20 µg

Secondary

All lanes:

Peroxidase-Conjugated Goat anti-Mouse IgG (H+L) at 1/10000 dilution

Observed band size: 30 kDa

false

Exposure time: 37s

Western blot - Anti-HLA DR + DP + DQ antibody [CR3/43] (AB7856)
  • WB

Lab

Western blot - Anti-HLA DR + DP + DQ antibody [CR3/43] (AB7856)

Blocking and dilution buffer and concentration : 5% NFDM/TBST

Anti-GAPDH antibody [EPR16891] - Loading Control (ab181602) was used as a loading control at 1/200000 dilution.

Low expression : HeLa.
Negative control : HepG2.

All lanes:

Western blot - Anti-HLA DR + DP + DQ antibody [CR3/43] (ab7856) at 1/1000 dilution

Lane 1:

U-87 MG (human glioblastoma-astrocytoma epithelial cell) whole cell lysate at 20 µg

Lane 2:

KARPAS-299 (human T cell lymphoma cell) whole cell lysate at 20 µg

Lane 3:

HDLM-2 (human Hodgkin lymphoma cell) whole cell lysate at 20 µg

Lane 4:

HeLa (human cervical adenocarcinoma epithelial cell) whole cell lysate at 20 µg

Lane 5:

HepG2 (human hepatocellular carcinoma epithelial cell) whole cell lysate at 20 µg

Secondary

All lanes:

Peroxidase-Conjugated Goat anti-Mouse IgG (H+L) at 1/10000 dilution

Observed band size: 30 kDa

false

Exposure time: 10s

  • Carrier free

    Anti-HLA DR + DP + DQ antibody [CR3/43] - BSA and Azide free

Key facts

Host species

Mouse

Clonality

Monoclonal

Clone number

CR3/43

Isotype

IgG1

Light chain type

kappa

Carrier free

No

Reacts with

Human

Applications

IHC-P, WB, Flow Cyt

applications

Immunogen

Cell preparation containing HLA-DPB1 protein. The exact immunogen used to generate this antibody is proprietary information.

P04440

Specificity

The gene of the human histocompatibility complex class II consists of at least four subregions: HLA DP, DQ, and DR, containing a minimum of one alpha and one beta chain. This antibody reacts with the beta-chain of all products of the gene subregions DP, DQ, and DR.

Reactivity data

{ "title": "Reactivity Data", "filters": { "stats": ["", "Species", "Dilution Info", "Notes"], "tabs": { "all-applications": {"fullname" : "All Applications", "shortname": "All Applications"}, "IHCP" : {"fullname" : "Immunohistochemistry (Formalin/PFA-fixed paraffin-embedded sections)", "shortname":"IHC-P"}, "WB" : {"fullname" : "Western blot", "shortname":"WB"}, "FlowCyt" : {"fullname" : "Flow Cytometry", "shortname":"Flow Cyt"} }, "product-promise": { "all": "all", "testedAndGuaranteed": "tested", "guaranteed": "expected", "predicted": "predicted", "notRecommended": "not-recommended" } }, "values": { "Human": { "IHCP-species-checked": "testedAndGuaranteed", "IHCP-species-dilution-info": "1/50 - 1/500", "IHCP-species-notes": "<p></p> Perform heat-mediated antigen retrieval with citrate buffer pH 6 before commencing with IHC staining protocol.", "WB-species-checked": "testedAndGuaranteed", "WB-species-dilution-info": "1/1000", "WB-species-notes": "<p></p>", "FlowCyt-species-checked": "testedAndGuaranteed", "FlowCyt-species-dilution-info": "1/1000", "FlowCyt-species-notes": "<p></p>" } } }

Product details

Product Specifications
Anti-HLA DR + DP + DQ antibody [CR3/43] (ab7856) is a mouse monoclonal antibody and is validated for use in IHC-P, WB in human samples.
Anti-HLA DR + DP + DQ antibody [CR3/43] (ab7856) specifically detects HLA DR + DP + DQ (UniProt ID: P04440; Molecular weight: 26kDa) and is sold in 500µL selling sizes.

Quality and Validation
Abcam's high quality validation processes ensure Anti-HLA DR + DP + DQ antibody [CR3/43] (ab7856) has high sensitivity and specificity.
Anti-HLA DR + DP + DQ antibody [CR3/43] (ab7856) has been cited over 24 times in peer reviewed journals and is trusted by the scientific community.
Anti-HLA DR + DP + DQ antibody [CR3/43] (ab7856) has 4 independent reviews from customers.

The production method has been switched from hybridoma to recombinant on 06th June 2025.

What are the advantages of a recombinant monoclonal antibody?
This product is a recombinant monoclonal antibody, which offers several advantages including:

  • - High batch-to-batch consistency and reproducibility
  • - Improved sensitivity and specificity
  • - Long-term security of supply
  • - Animal-free batch production

For more information, read more on recombinant antibodies.

Properties and storage information

Form
Liquid
Purification technique
Affinity purification Protein A
Storage buffer
pH: 7.2 - 7.4 Preservative: 0.01% Sodium azide Constituents: PBS, 40% Glycerol (glycerin, glycerine), 0.05% BSA
Shipped at conditions
Blue Ice
Appropriate short-term storage duration
1-2 weeks
Appropriate short-term storage conditions
+4°C
Appropriate long-term storage conditions
-20°C
Aliquoting information
Upon delivery aliquot
Storage information
Avoid freeze / thaw cycle

Product protocols

For this product, it's our understanding that no specific protocols are required. You can visit:

Target data

An alpha chain of antigen-presenting major histocompatibility complex class II (MHCII) molecule. In complex with the beta chain HLA-DRB, displays antigenic peptides on professional antigen presenting cells (APCs) for recognition by alpha-beta T cell receptor (TCR) on HLA-DR-restricted CD4-positive T cells. This guides antigen-specific T-helper effector functions, both antibody-mediated immune response and macrophage activation, to ultimately eliminate the infectious agents and transformed cells (PubMed : 15265931, PubMed : 15322540, PubMed : 17334368, PubMed : 22327072, PubMed : 24190431, PubMed : 27591323, PubMed : 29884618, PubMed : 31495665, PubMed : 8145819, PubMed : 9075930). Typically presents extracellular peptide antigens of 10 to 30 amino acids that arise from proteolysis of endocytosed antigens in lysosomes (PubMed : 8145819). In the tumor microenvironment, presents antigenic peptides that are primarily generated in tumor-resident APCs likely via phagocytosis of apoptotic tumor cells or macropinocytosis of secreted tumor proteins (PubMed : 31495665). Presents peptides derived from intracellular proteins that are trapped in autolysosomes after macroautophagy, a mechanism especially relevant for T cell selection in the thymus and central immune tolerance (PubMed : 17182262, PubMed : 23783831). The selection of the immunodominant epitopes follows two processing modes : 'bind first, cut/trim later' for pathogen-derived antigenic peptides and 'cut first, bind later' for autoantigens/self-peptides (PubMed : 25413013). The anchor residue at position 1 of the peptide N-terminus, usually a large hydrophobic residue, is essential for high affinity interaction with MHCII molecules (PubMed : 8145819).
See full target information HLA-DRA

Additional targets

HLA-DPB1,HLA-DRB3

Publications (40)

Recent publications for all applications. Explore the full list and refine your search

Cells 14: PubMed40940814

2025

Ectopic HLA-II Expression in ESCC: Exploration of Its Relationship with Neoantigen Burden and Patient Survival.

Applications

Unspecified application

Species

Unspecified reactive species

Yupei Ji,Zhizhong Wang,Zhenguo Cheng,Shuangshuang Lu,Nick R Lemoine,Renato Baleeiro,Louisa S Chard Dunmall,Yaohe Wang

JCEM case reports 3:luaf107 PubMed40384886

2025

Marked Increase in Thyrotropin Receptor Antibodies With the Development of Pretibial Myxedema After Total Thyroidectomy.

Applications

Unspecified application

Species

Unspecified reactive species

Yoshinari Obata,Yukari Fujita,Ayaka Korechika,Rieko Nakatani,Junji Kozawa,Iichiro Shimomura

Molecular neurodegeneration 20:29 PubMed40069774

2025

A versatile mouse model to advance human microglia transplantation research in neurodegenerative diseases.

Applications

Unspecified application

Species

Unspecified reactive species

Lutgarde Serneels,Annerieke Sierksma,Emanuela Pasciuto,Ivana Geric,Arya Nair,Anna Martinez-Muriana,An Snellinx,Bart De Strooper

Frontiers in immunology 15:1522381 PubMed39877374

2025

Inflammatory microglia correlate with impaired oligodendrocyte maturation in multiple sclerosis.

Applications

Unspecified application

Species

Unspecified reactive species

J Q Alida Chen,Dennis D Wever,Niamh B McNamara,Morjana Bourik,Joost Smolders,Jörg Hamann,Inge Huitinga

EBioMedicine 112:105515 PubMed39808946

2025

ATAD2 is a potential immunotherapy target for patients with small cell lung cancer harboring HLA-A∗0201.

Applications

Unspecified application

Species

Unspecified reactive species

Li Yuan,Sini Li,Yixiang Zhu,Lin Yang,Xue Zhang,Yan Qu,Zhijie Wang,Jianchun Duan,Jia Zhong,Yanhua Tian,Lihui Liu,Boyang Sun,Kailun Fei,Zheng Liu,Jian Zhang,Yan He,Yufeng Guo,DanMing He,Wei Zhuang,Jinsong Zhang,Zixiao Ma,Hua Bai,Jie Wang

Nature neuroscience 27:2115-2129 PubMed39349662

2024

Proinflammatory immune cells disrupt angiogenesis and promote germinal matrix hemorrhage in prenatal human brain.

Applications

Unspecified application

Species

Unspecified reactive species

Jiapei Chen,Elizabeth E Crouch,Miriam E Zawadzki,Kyle A Jacobs,Lakyn N Mayo,Jennifer Ja-Yoon Choi,Pin-Yeh Lin,Saba Shaikh,Jessica Tsui,Susana Gonzalez-Granero,Shamari Waller,Avani Kelekar,Gugene Kang,Edward J Valenzuela,Janeth Ochoa Birrueta,Loukas N Diafos,Kaylee Wedderburn-Pugh,Barbara Di Marco,Wenlong Xia,Claudia Z Han,Nicole G Coufal,Christopher K Glass,Stephen P J Fancy,Julieta Alfonso,Arnold R Kriegstein,Michael C Oldham,Jose Manuel Garcia-Verdugo,Matthew L Kutys,Maria K Lehtinen,Alexis J Combes,Eric J Huang

Brain communications 6:fcae264 PubMed39175944

2024

Cortical CD200-CD200R and CD47-SIRPα expression is associated with multiple sclerosis pathology.

Applications

Unspecified application

Species

Unspecified reactive species

Aletta M R van den Bosch,Dennis Wever,Pleun Schonewille,Sabine L Schuller,Joost Smolders,Jörg Hamann,Inge Huitinga

iScience 27:110550 PubMed39165839

2024

Multiplex spatial omics reveals changes in immune-epithelial crosstalk during inflammation and dysplasia development in chronic IBD patients.

Applications

Unspecified application

Species

Unspecified reactive species

Matthijs J D Baars,Evelien Floor,Neeraj Sinha,José J M Ter Linde,Stephanie van Dam,Mojtaba Amini,Isaäc J Nijman,Joren R Ten Hove,Julia Drylewicz,G Johan A Offerhaus,Miangela M Laclé,Bas Oldenburg,Yvonne Vercoulen

Arthritis research & therapy 26:144 PubMed39080801

2024

Expression of CD163 and major histocompatibility complex class I as diagnostic markers for idiopathic inflammatory myopathies.

Applications

Unspecified application

Species

Unspecified reactive species

Byeongzu Ghang,So Hye Nam,Wonho Choi,Hwa Jung Kim,Jungsun Lee,Doo-Ho Lim,Soo Min Ahn,Ji Seon Oh,Seokchan Hong,Yong-Gil Kim,Chang-Keun Lee,Jinseok Kim,Bin Yoo,Soo Jeong Nam

Nature communications 15:6069 PubMed39025846

2024

Timing of whole genome duplication is associated with tumor-specific MHC-II depletion in serous ovarian cancer.

Applications

Unspecified application

Species

Unspecified reactive species

Nikki L Burdett,Madelynne O Willis,Ahwan Pandey,Laura Twomey,Sara Alaei,David D L Bowtell,Elizabeth L Christie
View all publications

Product promise

We are committed to supporting your work with high-quality reagents, and we're here for you every step of the way. In the unlikely event that one of our products does not perform as expected, you're protected by our Product Promise.
For full details, please see our Terms & Conditions

Please note: All products are 'FOR RESEARCH USE ONLY. NOT FOR USE IN DIAGNOSTIC OR THERAPEUTIC PROCEDURES'.

For licensing inquiries, please contact partnerships@abcam.com