JavaScript is disabled in your browser. Please enable JavaScript to view this website.
AB300553

Anti-HLA E antibody [EPR25300-104]

  • BOND RX™ Validated
  • 20ul selling size
  • RabMAb
  • Recombinant
  • KO Validated
  • What is this?

Be the first to review this product! Submit a review

|

(2 Publications)

Rabbit Recombinant Monoclonal HLAE antibody. Suitable for WB, IHC-P, ICC/IF, IP and reacts with Human samples. Cited in 2 publications.

View Alternative Names

HLA-6.2, HLAE, HLA-E, MHC class I antigen E

8 Images
Immunocytochemistry/ Immunofluorescence - Anti-HLA E antibody [EPR25300-104] (AB300553)
  • ICC/IF

Supplier Data

Immunocytochemistry/ Immunofluorescence - Anti-HLA E antibody [EPR25300-104] (AB300553)

Immunofluorescent analysis of 80% Methanol-fixed, 0.1% TritonX-100 permeabilized THP-1 (human monocytic leukemia monocyte) cells labelling HLA E with ab300553 at 1/50 (10.6 ug/ml) dilution, followed by ab150081 Goat Anti-Rabbit IgG H&L (Alexa Fluor® 488) preadsorbed antibody at 1/1000 2 ug/mL dilution (Green). Confocal image showing membranous and cytoplasmic staining on THP-1 cell line is observed. ab195889 Anti-alpha Tubulin mouse monoclonal antibody - Microtubule Marker (Alexa Fluor® 594) was used to counterstain tubulin at 1/200 2.5ug/ml dilution (Red). The Nuclear counterstain was DAPI (Blue).

Secondary antibody only control : Secondary antibody is ab150081 Goat Anti-Rabbit IgG H&L (Alexa Fluor® 488) preadsorbed at 1/1000 2 ug/mL dilution.

Immunohistochemistry (Formalin/PFA-fixed paraffin-embedded sections) - Anti-HLA E antibody [EPR25300-104] (AB300553)
  • IHC-P

Supplier Data

Immunohistochemistry (Formalin/PFA-fixed paraffin-embedded sections) - Anti-HLA E antibody [EPR25300-104] (AB300553)

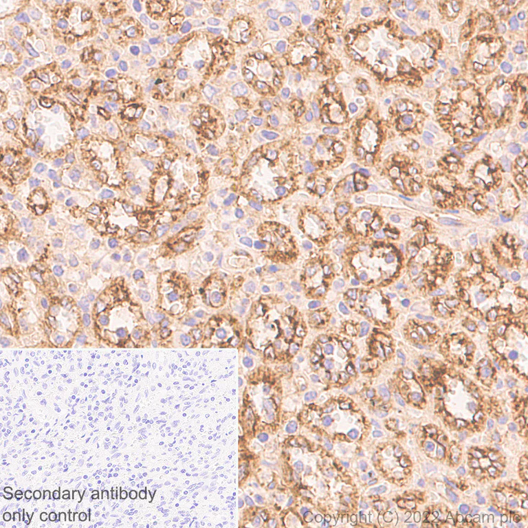
Immunohistochemical analysis of paraffin-embedded Human liver tissue labeling HLA E with ab300553 at 1/5000 (0.106 ug/ml) followed by a ready to use LeicaDS9800 (Bond™ Polymer Refine Detection) was used. Positive staining on endothelial cells and Kupffer cells of human liver. The section was incubated with ab300553 for 30 mins at room temperature.The immunostaining was performed on a Leica Biosystems BOND® RX instrument Counterstained with Hematoxylin. Secondary antibody only control : Secondary antibody is a ready to use LeicaDS9800 (Bond™ Polymer Refine Detection) was used. Heat mediated antigen retrieval with Tris-EDTA buffer (pH 9.0, epitope retrieval solution2) for 20 mins

Immunohistochemistry (Formalin/PFA-fixed paraffin-embedded sections) - Anti-HLA E antibody [EPR25300-104] (AB300553)
  • IHC-P

Supplier Data

Immunohistochemistry (Formalin/PFA-fixed paraffin-embedded sections) - Anti-HLA E antibody [EPR25300-104] (AB300553)

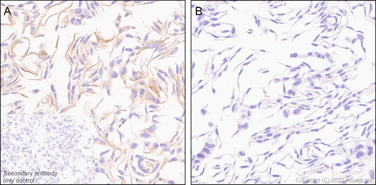
Immunohistochemical analysis of paraffin-embedded A Wild-type A549 (H tissue labeling HLA E with ab300553 at 1/100 (5.3 ug/ml) followed by a ready to use LeicaDS9800 (Bond™ Polymer Refine Detection) was used. Positive staining on (A) wild-type A549 cell pellet, no staining on (B) HLA-E knockout A549 (ab267080) cell pellet. The section was incubated with ab300553 for 30 mins at room temperature.The immunostaining was performed on a Leica Biosystems BOND® RX instrument Counterstained with Hematoxylin. Secondary antibody only control : Secondary antibody is a ready to use LeicaDS9800 (Bond™ Polymer Refine Detection) was used. Heat mediated antigen retrieval with Tris-EDTA buffer (pH 9.0, epitope retrieval solution2) for 20 mins

Immunohistochemistry (Formalin/PFA-fixed paraffin-embedded sections) - Anti-HLA E antibody [EPR25300-104] (AB300553)
  • IHC-P

Supplier Data

Immunohistochemistry (Formalin/PFA-fixed paraffin-embedded sections) - Anti-HLA E antibody [EPR25300-104] (AB300553)

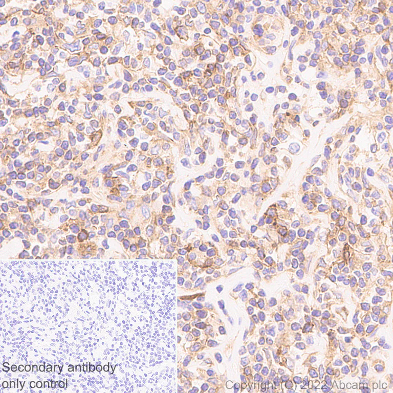
Immunohistochemical analysis of paraffin-embedded Human diffuse large tissue labeling HLA E with ab300553 at 1/5000 (0.106 ug/ml) followed by a ready to use LeicaDS9800 (Bond™ Polymer Refine Detection) was used. Positive staining on human diffuse large B cell lymphoma. The section was incubated with ab300553 for 30 mins at room temperature.The immunostaining was performed on a Leica Biosystems BOND® RX instrument Counterstained with Hematoxylin. Secondary antibody only control : Secondary antibody is a ready to use LeicaDS9800 (Bond™ Polymer Refine Detection) was used. Heat mediated antigen retrieval with Tris-EDTA buffer (pH 9.0, epitope retrieval solution2) for 20 mins

Immunohistochemistry (Formalin/PFA-fixed paraffin-embedded sections) - Anti-HLA E antibody [EPR25300-104] (AB300553)
  • IHC-P

Supplier Data

Immunohistochemistry (Formalin/PFA-fixed paraffin-embedded sections) - Anti-HLA E antibody [EPR25300-104] (AB300553)

Immunohistochemical analysis of paraffin-embedded Human spleen tissue labeling HLA E with ab300553 at 1/5000 (0.106 ug/ml) followed by a ready to use LeicaDS9800 (Bond™ Polymer Refine Detection) was used. Positive staining on human spleen. The section was incubated with ab300553 for 30 mins at room temperature.The immunostaining was performed on a Leica Biosystems BOND® RX instrument Counterstained with Hematoxylin. Secondary antibody only control : Secondary antibody is a ready to use LeicaDS9800 (Bond™ Polymer Refine Detection) was used. Heat mediated antigen retrieval with Tris-EDTA buffer (pH 9.0, epitope retrieval solution2) for 20 mins

Immunoprecipitation - Anti-HLA E antibody [EPR25300-104] (AB300553)
  • IP

Supplier Data

Immunoprecipitation - Anti-HLA E antibody [EPR25300-104] (AB300553)

HLA E was immunoprecipitated from 0.35 mg THP-1 (human monocytic leukemia monocyte), whole cell lysate 10 ug with ab300553 at 1/30 dilution (2ug in 0.35mg lysates). Western blot was performed on the immunoprecipitate using ab300553 at 1/1000 dilution. Blocking and dilution buffer and concentration : 5% NFDM/TBST.

All lanes:

Immunoprecipitation - Anti-HLA E antibody [EPR25300-104] (ab300553) at 1/1000 dilution

Lanes 1 - 2:

THP-1 whole cell lysate

Lane 3:

Rabbit monoclonal IgG (<a href='/en-us/products/primary-antibodies/rabbit-igg-monoclonal-epr25a-isotype-control-ab172730'>ab172730</a>) instead of ab300553 in THP-1 whole cell lysate

Secondary

All lanes:

Immunoprecipitation - VeriBlot for IP Detection Reagent (HRP) (<a href='/en-us/products/reagents/veriblot-for-ip-detection-reagent-hrp-ab131366'>ab131366</a>) at 1/5000 dilution

false

Exposure time: 3min

Western blot - Anti-HLA E antibody [EPR25300-104] (AB300553)
  • WB

Supplier Data

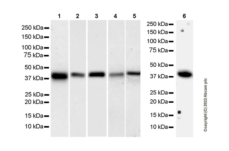
Western blot - Anti-HLA E antibody [EPR25300-104] (AB300553)

Blocking and diluting buffer and concentration : 5% NFDM/TBST The 1, 4, 5, and 6 lanes of this blot were developed using a high sensitivity ECL substrate.

All lanes:

Western blot - Anti-HLA E antibody [EPR25300-104] (ab300553) at 1/1000 dilution

Lane 1:

Human liver tissue lysate

Lane 2:

Human placenta tissue lysate

Lane 3:

HL-60 (human Acute Promyelocytic Leukemia promyeloblast), whole cell lysate

Lane 4:

K562 (human chronic myelogenous leukemia lymphoblast), whole cell lysate

Lane 5:

Daudi (human Burkitts lymphoma lymphoblast), whole cell lysate

Lane 6:

THP-1 (human monocytic leukemia monocyte), whole cell lysate

Secondary

All lanes:

Western blot - Goat Anti-Rabbit IgG H&L (HRP) (<a href='/en-us/products/secondary-antibodies/goat-rabbit-igg-h-l-hrp-ab97051'>ab97051</a>) at 1/100000 dilution

Observed band size: 40 kDa

false

Western blot - Anti-HLA E antibody [EPR25300-104] (AB300553)
  • WB

Supplier Data

Western blot - Anti-HLA E antibody [EPR25300-104] (AB300553)

Blocking and diluting buffer and concentration : ½ volume of Odyssey Blocking Buffer (TBS)+ ½ volume of 0.1% TBSLysates at 20 µg per lane. Performed under reducing conditions. False colour image of Western blot : Anti-HLA E antibody [EPR25300-104] (ab300553) staining at 1/1000 dilution, shown in green; Mouse anti-Tubulin antibody [DM1A] (ab7291) loading control staining at 1/20000 dilution, shown in red.In Western blot, ab300553 was shown to bind specifically to HLA E. A band was observed at 40kDa in wild-type A549 cell lysates with no signal observed at this size in HLA E knockout cell line ab267080 (knockout cell lysate ab258452). To generate this image, wild-type and HLA Eknockout A549 cell lysates were analyzed. First, samples were run on an SDS-PAGE gel then transferred onto an immobilon-FL PVDF membrane. Membranes were blocked in in Intercept® (TBS) Blocking Buffer diluted with an equal volume of 0.1% TBS before incubation with primary antibodies overnight at 4 °C. Blots were washed four times in TBS-T, incubated with secondary antibodies for 1 h at room temperature, washed again four times then imaged. Secondary antibodies used were Goat anti-Rabbit IgG H&L (IRDye® 800CW) preabsorbed (ab216773) and Goat anti-Mouse IgG H&L (IRDye® 680RD) preabsorbed (ab216776) at 1/20000 dilution.

All lanes:

Western blot - Anti-HLA E antibody [EPR25300-104] (ab300553) at 1/1000 dilution

All lanes:

Wild-type A549 (human lung carcinoma epithelial cell), whole cell lysate

Secondary

Lanes 1 - 2:

Western blot - Goat anti-Rabbit IgG H&L (IRDye® 800CW) preadsorbed (<a href='/en-us/products/secondary-antibodies/goat-rabbit-igg-h-l-irdye-800cw-preadsorbed-ab216773'>ab216773</a>) at 1/20000 dilution

Lanes 1 - 2:

Western blot - Goat anti-Mouse IgG H&L (IRDye® 680RD) preadsorbed (<a href='/en-us/products/secondary-antibodies/goat-mouse-igg-h-l-irdye-680rd-preadsorbed-ab216776'>ab216776</a>) at 1/20000 dilution

Observed band size: 40 kDa

false

  • Carrier free

    Anti-HLA E antibody [EPR25300-104] (BSA and Azide free)

Key facts

Host species

Rabbit

Clonality

Monoclonal

Clone number

EPR25300-104

Isotype

IgG

Carrier free

No

Reacts with

Human

Applications

ICC/IF, WB, IHC-P, IP

applications

Immunogen

The exact immunogen used to generate this antibody is proprietary information.

Reactivity data

{ "title": "Reactivity Data", "filters": { "stats": ["", "Species", "Dilution Info", "Notes"], "tabs": { "all-applications": {"fullname" : "All Applications", "shortname": "All Applications"}, "WB" : {"fullname" : "Western blot", "shortname":"WB"}, "IHCP" : {"fullname" : "Immunohistochemistry (Formalin/PFA-fixed paraffin-embedded sections)", "shortname":"IHC-P"}, "ICCIF" : {"fullname" : "Immunocytochemistry/ Immunofluorescence", "shortname":"ICC/IF"}, "FlowCyt" : {"fullname" : "Flow Cytometry", "shortname":"Flow Cyt"}, "IP" : {"fullname" : "Immunoprecipitation", "shortname":"IP"} }, "product-promise": { "all": "all", "testedAndGuaranteed": "tested", "guaranteed": "expected", "predicted": "predicted", "notRecommended": "not-recommended" } }, "values": { "Human": { "WB-species-checked": "testedAndGuaranteed", "WB-species-dilution-info": "1/1000", "WB-species-notes": "<p></p>", "IHCP-species-checked": "testedAndGuaranteed", "IHCP-species-dilution-info": "1/100", "IHCP-species-notes": "<p></p> Perform heat-mediated antigen retrieval with Tris/EDTA buffer pH 9.0 before commencing with IHC staining protocol.", "ICCIF-species-checked": "testedAndGuaranteed", "ICCIF-species-dilution-info": "1/50", "ICCIF-species-notes": "<p></p>", "FlowCyt-species-checked": "notRecommended", "FlowCyt-species-dilution-info": "", "FlowCyt-species-notes": "<p></p>", "IP-species-checked": "testedAndGuaranteed", "IP-species-dilution-info": "1/30", "IP-species-notes": "<p></p>" }, "Mouse": { "WB-species-checked": "notRecommended", "WB-species-dilution-info": "1/1000", "WB-species-notes": "<p></p>", "IHCP-species-checked": "notRecommended", "IHCP-species-dilution-info": "1/100", "IHCP-species-notes": "<p></p> Perform heat-mediated antigen retrieval with Tris/EDTA buffer pH 9.0 before commencing with IHC staining protocol.", "ICCIF-species-checked": "notRecommended", "ICCIF-species-dilution-info": "1/50", "ICCIF-species-notes": "<p></p>", "FlowCyt-species-checked": "notRecommended", "FlowCyt-species-dilution-info": "", "FlowCyt-species-notes": "<p></p>", "IP-species-checked": "notRecommended", "IP-species-dilution-info": "1/30", "IP-species-notes": "<p></p>" }, "Rat": { "WB-species-checked": "notRecommended", "WB-species-dilution-info": "1/1000", "WB-species-notes": "<p></p>", "IHCP-species-checked": "notRecommended", "IHCP-species-dilution-info": "1/100", "IHCP-species-notes": "<p></p> Perform heat-mediated antigen retrieval with Tris/EDTA buffer pH 9.0 before commencing with IHC staining protocol.", "ICCIF-species-checked": "notRecommended", "ICCIF-species-dilution-info": "1/50", "ICCIF-species-notes": "<p></p>", "FlowCyt-species-checked": "notRecommended", "FlowCyt-species-dilution-info": "", "FlowCyt-species-notes": "<p></p>", "IP-species-checked": "notRecommended", "IP-species-dilution-info": "1/30", "IP-species-notes": "<p></p>" } } }

Product details

Patented technology
Our RabMAb® technology is a patented hybridoma-based technology for making rabbit monoclonal antibodies. For details on our patents, please refer to RabMAb® patents.

What are the advantages of a recombinant monoclonal antibody?
This product is a recombinant monoclonal antibody, which offers several advantages including:

  • - High batch-to-batch consistency and reproducibility
  • - Improved sensitivity and specificity
  • - Long-term security of supply
  • - Animal-free batch production

For more information, read more on recombinant antibodies.

Properties and storage information

Form
Liquid
Purification technique
Affinity purification Protein A
Storage buffer
pH: 7.2 - 7.4 Preservative: 0.01% Sodium azide Constituents: PBS, 40% Glycerol (glycerin, glycerine), 0.05% BSA
Shipped at conditions
Blue Ice
Appropriate short-term storage duration
1-2 weeks
Appropriate short-term storage conditions
+4°C
Appropriate long-term storage conditions
-20°C
Aliquoting information
Upon delivery aliquot
Storage information
Avoid freeze / thaw cycle

Product protocols

For this product, it's our understanding that no specific protocols are required. You can visit:

Target data

Non-classical major histocompatibility class Ib molecule involved in immune self-nonself discrimination. In complex with B2M/beta-2-microglobulin binds nonamer self-peptides derived from the signal sequence of classical MHC class Ia molecules (VL9 peptides - VMAPRT[V/L][L/V/I/F]L) (PubMed : 18083576, PubMed : 18339401, PubMed : 35705051, PubMed : 37264229, PubMed : 9754572). Peptide-bound HLA-E-B2M heterotrimeric complex primarily functions as a ligand for natural killer (NK) cell inhibitory receptor KLRD1-KLRC1, enabling NK cells to monitor the expression of other MHC class I molecules in healthy cells and to tolerate self (PubMed : 17179229, PubMed : 18083576, PubMed : 37264229, PubMed : 9486650, PubMed : 9754572). Upon cellular stress, preferentially binds signal sequence-derived peptides from stress-induced chaperones and is no longer recognized by NK cell inhibitory receptor KLRD1-KLRC1, resulting in impaired protection from NK cells (PubMed : 12461076). Binds signal sequence-derived peptides from non-classical MHC class Ib HLA-G molecules and acts as a ligand for NK cell activating receptor KLRD1-KLRC2, likely playing a role in the generation and effector functions of adaptive NK cells and in maternal-fetal tolerance during pregnancy (PubMed : 30134159, PubMed : 37264229, PubMed : 9754572). Besides self-peptides, can also bind and present pathogen-derived peptides conformationally similar to VL9 peptides to alpha-beta T cell receptor (TCR) on unconventional CD8-positive cytotoxic T cells, ultimately triggering antimicrobial immune response (PubMed : 16474394, PubMed : 20195504, PubMed : 30087334, PubMed : 34228645). Presents HIV gag peptides (immunodominant KAFSPEVIPMF and subdominant KALGPAATL epitopes) predominantly to CD8-positive T cell clones expressing a TRAV17-containing TCR, triggering HLA-E-restricted T cell responses (PubMed : 34228645). Presents mycobacterial peptides to HLA-E-restricted CD8-positive T cells eliciting both cytotoxic and immunoregulatory functions (PubMed : 20195504, PubMed : 35705051).. (Microbial infection) Viruses like human cytomegalovirus have evolved an escape mechanism whereby virus-induced down-regulation of host MHC class I molecules is coupled to the binding of viral peptides to HLA-E, restoring HLA-E expression and inducing HLA-E-dependent NK cell immune tolerance to infected cells.. (Microbial infection) May bind HIV-1 gag/Capsid protein p24-derived peptide (AISPRTLNA) on infected cells and may inhibit NK cell cytotoxicity, a mechanism that allows HIV-1 to escape immune recognition.. (Microbial infection) Upon SARS-CoV-2 infection, may contribute to functional exhaustion of cytotoxic NK cells and CD8-positive T cells (PubMed : 32859121). Binds SARS-CoV-2 S/Spike protein S1-derived peptide (LQPRTFLL) expressed on the surface of lung epithelial cells, inducing NK cell exhaustion and dampening of antiviral immune surveillance (PubMed : 32859121).
See full target information HLA-E

Publications (2)

Recent publications for all applications. Explore the full list and refine your search

Investigative ophthalmology & visual science 65:37 PubMed38551584

2024

IL-6-Driven Autocrine Lactate Promotes Immune Escape of Uveal Melanoma.

Applications

Unspecified application

Species

Unspecified reactive species

Chaoju Gong,Meiling Yang,Huirong Long,Xia Liu,Qing Xu,Lei Qiao,Haibei Dong,Yalu Liu,Suyan Li

Nature communications 15:752 PubMed38272918

2024

MHC-I upregulation safeguards neoplastic T cells in the skin against NK cell-mediated eradication in mycosis fungoides.

Applications

Unspecified application

Species

Unspecified reactive species

Yun-Tsan Chang,Pacôme Prompsy,Susanne Kimeswenger,Yi-Chien Tsai,Desislava Ignatova,Olesya Pavlova,Christoph Iselin,Lars E French,Mitchell P Levesque,François Kuonen,Malgorzata Bobrowicz,Patrick M Brunner,Steve Pascolo,Wolfram Hoetzenecker,Emmanuella Guenova
View all publications

Product promise

We are committed to supporting your work with high-quality reagents, and we're here for you every step of the way. In the unlikely event that one of our products does not perform as expected, you're protected by our Product Promise.
For full details, please see our Terms & Conditions

Please note: All products are 'FOR RESEARCH USE ONLY. NOT FOR USE IN DIAGNOSTIC OR THERAPEUTIC PROCEDURES'.

For licensing inquiries, please contact partnerships@abcam.com