JavaScript is disabled in your browser. Please enable JavaScript to view this website.
AB283260

Anti-HLA G antibody [EPR23298-97]

  • BOND RX™ Validated
  • 20ul selling size
  • RabMAb
  • Recombinant
  • What is this?

Be the first to review this product! Submit a review

|

(9 Publications)

Anti-HLA G antibody [EPR23298-97] (ab283260) is a rabbit monoclonal antibody detecting HLA G in Western Blot, IHC-P, ICC/IF. Suitable for Human.

- Biophysical QC for unrivalled batch-batch consistency

View Alternative Names

HLA-6.0, HLAG, HLA-G, HLA G antigen, MHC class I antigen G

6 Images
Immunocytochemistry/ Immunofluorescence - Anti-HLA G antibody [EPR23298-97] (AB283260)
  • ICC/IF

Supplier Data

Immunocytochemistry/ Immunofluorescence - Anti-HLA G antibody [EPR23298-97] (AB283260)

Immunofluorescent analysis of 100% methanol-fixed, 0.1% TritonX-100 permeabilized JEG-3 cells labelling HLA G with ab283260 at 1/100 (5.18 μg/mL) dilution, followed by ab150081 Goat Anti-Rabbit IgG H&L (Alexa Fluor® 488) preadsorbed antibody at 1/1000 (2 μg/mL) dilution (Green). Confocal image showing cytoplasmic and membranous staining in JEG-3 cell line. Negative control : HuT-78 (PMID : 2249951). ab195889 Anti-alpha Tubulin mouse monoclonal antibody - Microtubule Marker (Alexa Fluor® 594) was used to counterstain tubulin at 1/200 (2.5 μg/mL) dilution (Red). The Nuclear counterstain was DAPI (Blue).

Secondary antibody only control : Secondary antibody is ab150081 Goat Anti-Rabbit IgG H&L (Alexa Fluor® 488) preadsorbed at 1/1000 (2 μg/mL) dilution.

Immunohistochemistry (Formalin/PFA-fixed paraffin-embedded sections) - Anti-HLA G antibody [EPR23298-97] (AB283260)
  • IHC-P

Supplier Data

Immunohistochemistry (Formalin/PFA-fixed paraffin-embedded sections) - Anti-HLA G antibody [EPR23298-97] (AB283260)

Immunohistochemical analysis of paraffin-embedded Human cardiac muscle tissue labelling HLA G with ab283260 at 1/20000 (0.026 μg/mL) followed by a ready to use LeicaDS9800 (Bond™ Polymer Refine Detection) was used. Negative control : no staining on human cardiac muscle (PMID : 22438923). The section was incubated with ab283260 for 30 mins at room temperature. The immunostaining was performed on a Leica Biosystems BOND® RX instrument Counterstained with Hematoxylin.

Secondary antibody only control : Secondary antibody is a ready to use LeicaDS9800 (Bond™ Polymer Refine Detection) was used.

Heat mediated antigen retrieval with Tris-EDTA buffer (pH 9.0, epitope retrieval solution2) for 20 mins.

Immunohistochemistry (Formalin/PFA-fixed paraffin-embedded sections) - Anti-HLA G antibody [EPR23298-97] (AB283260)
  • IHC-P

Supplier Data

Immunohistochemistry (Formalin/PFA-fixed paraffin-embedded sections) - Anti-HLA G antibody [EPR23298-97] (AB283260)

Immunohistochemical analysis of paraffin-embedded Human placenta tissue labelling HLA G with ab283260 at 1/20000 (0.026 μg/mL) dilution followed by a ready to use LeicaDS9800 (Bond™ Polymer Refine Detection) was used. Positive staining on extravillous trophoblasts (EVTs) in human placenta (PMID : 18538632, PMID : 29249463, PMID : 29249436). The section was incubated with ab283260 for 30 mins at room temperature. The immunostaining was performed on a Leica Biosystems BOND® RX instrument Counterstained with Hematoxylin.

Secondary antibody only control : Secondary antibody is a ready to use LeicaDS9800 (Bond™ Polymer Refine Detection) was used.

Heat mediated antigen retrieval with Tris-EDTA buffer (pH 9.0, epitope retrieval solution2) for 20 mins.

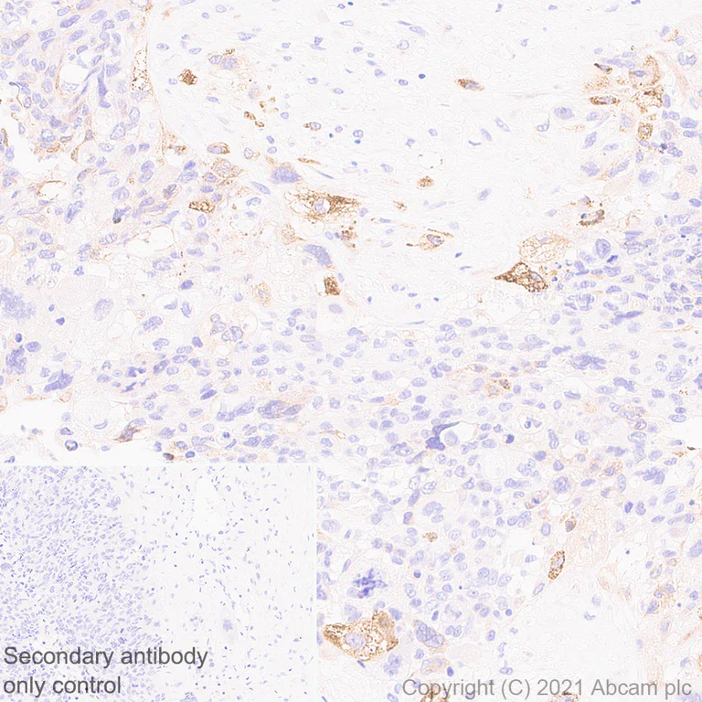
Immunohistochemistry (Formalin/PFA-fixed paraffin-embedded sections) - Anti-HLA G antibody [EPR23298-97] (AB283260)
  • IHC-P

Supplier Data

Immunohistochemistry (Formalin/PFA-fixed paraffin-embedded sections) - Anti-HLA G antibody [EPR23298-97] (AB283260)

Immunohistochemical analysis of paraffin-embedded Human breast carcinoma tissue labelling HLA G with ab283260 at 1/20000 (0.026 μg/mL) dilution followed by a ready to use LeicaDS9800 (Bond™ Polymer Refine Detection) was used. Positive staining on human breast carcinoma. The section was incubated with ab283260 for 30 mins at room temperature. The immunostaining was performed on a Leica Biosystems BOND® RX instrument Counterstained with Hematoxylin.

Secondary antibody only control : Secondary antibody is a ready to use LeicaDS9800 (Bond™ Polymer Refine Detection) was used.

Heat mediated antigen retrieval with Tris-EDTA buffer (pH 9.0, epitope retrieval solution2) for 20 mins.

Western blot - Anti-HLA G antibody [EPR23298-97] (AB283260)
  • WB

Lab

Western blot - Anti-HLA G antibody [EPR23298-97] (AB283260)

Blocking and diluting buffer and concentration : 5% NFDM/TBSTNegative control : heart (PMID : 22438923)

Exposure time : 26 seconds

All lanes:

Western blot - Anti-HLA G antibody [EPR23298-97] (ab283260) at 1/1000 dilution

Lane 1:

Human placenta tissue lysate at 20 µg

Lane 2:

Human heart tissue lysate at 20 µg

Secondary

All lanes:

Western blot - Goat Anti-Rabbit IgG H&L (HRP) (<a href='/en-us/products/secondary-antibodies/goat-rabbit-igg-h-l-hrp-ab97051'>ab97051</a>) at 1/100000 dilution

Predicted band size: 38 kDa

false

Western blot - Anti-HLA G antibody [EPR23298-97] (AB283260)
  • WB

Lab

Western blot - Anti-HLA G antibody [EPR23298-97] (AB283260)

Blocking and diluting buffer and concentration : 5% NFDM/TBST. Negative control : HuT-78 (PMID : 2249951). Exposure time : 48 seconds.

All lanes:

Western blot - Anti-HLA G antibody [EPR23298-97] (ab283260) at 1/1000 dilution

Lane 1:

JEG-3 (human placenta choriocarcinoma epithelial cell) whole cell lysate at 20 µg

Lane 2:

HuT-78 (human sezary syndrome cutaneous T lymphocyte) whole cell lysate at 20 µg

Secondary

All lanes:

Western blot - Goat Anti-Rabbit IgG H&L (HRP) (<a href='/en-us/products/secondary-antibodies/goat-rabbit-igg-h-l-hrp-ab97051'>ab97051</a>) at 1/100000 dilution

Predicted band size: 38 kDa

false

Key facts

Host species

Rabbit

Clonality

Monoclonal

Clone number

EPR23298-97

Isotype

IgG

Carrier free

No

Reacts with

Human

Applications

WB, IHC-P, ICC/IF

applications

Immunogen

The exact immunogen used to generate this antibody is proprietary information.

Reactivity data

{ "title": "Reactivity Data", "filters": { "stats": ["", "Species", "Dilution Info", "Notes"], "tabs": { "all-applications": {"fullname" : "All Applications", "shortname": "All Applications"}, "IP" : {"fullname" : "Immunoprecipitation", "shortname":"IP"}, "FlowCyt" : {"fullname" : "Flow Cytometry", "shortname":"Flow Cyt"}, "WB" : {"fullname" : "Western blot", "shortname":"WB"}, "IHCP" : {"fullname" : "Immunohistochemistry (Formalin/PFA-fixed paraffin-embedded sections)", "shortname":"IHC-P"}, "ICCIF" : {"fullname" : "Immunocytochemistry/ Immunofluorescence", "shortname":"ICC/IF"} }, "product-promise": { "all": "all", "testedAndGuaranteed": "tested", "guaranteed": "expected", "predicted": "predicted", "notRecommended": "not-recommended" } }, "values": { "Human": { "IP-species-checked": "notRecommended", "IP-species-dilution-info": "", "IP-species-notes": "<p></p>", "FlowCyt-species-checked": "notRecommended", "FlowCyt-species-dilution-info": "", "FlowCyt-species-notes": "<p></p>", "WB-species-checked": "testedAndGuaranteed", "WB-species-dilution-info": "1/1000", "WB-species-notes": "<p></p>", "IHCP-species-checked": "testedAndGuaranteed", "IHCP-species-dilution-info": "1/20000", "IHCP-species-notes": "<p></p>", "ICCIF-species-checked": "testedAndGuaranteed", "ICCIF-species-dilution-info": "1/100", "ICCIF-species-notes": "<p></p>" }, "Mouse": { "IP-species-checked": "notRecommended", "IP-species-dilution-info": "", "IP-species-notes": "", "FlowCyt-species-checked": "notRecommended", "FlowCyt-species-dilution-info": "", "FlowCyt-species-notes": "", "WB-species-checked": "notRecommended", "WB-species-dilution-info": "", "WB-species-notes": "", "IHCP-species-checked": "notRecommended", "IHCP-species-dilution-info": "1/20000", "IHCP-species-notes": "<p></p>", "ICCIF-species-checked": "notRecommended", "ICCIF-species-dilution-info": "", "ICCIF-species-notes": "" }, "Rat": { "IP-species-checked": "notRecommended", "IP-species-dilution-info": "", "IP-species-notes": "", "FlowCyt-species-checked": "notRecommended", "FlowCyt-species-dilution-info": "", "FlowCyt-species-notes": "", "WB-species-checked": "notRecommended", "WB-species-dilution-info": "", "WB-species-notes": "", "IHCP-species-checked": "notRecommended", "IHCP-species-dilution-info": "1/20000", "IHCP-species-notes": "<p></p>", "ICCIF-species-checked": "notRecommended", "ICCIF-species-dilution-info": "", "ICCIF-species-notes": "" } } }

Product details

What is this antibody validated in?
Anti-HLA G antibody [EPR23298-97] (ab283260) is a rabbit recombinant monoclonal antibody and is validated for use in Western Blot (WB), Immunohistochemistry (IHC-P), Immunocytochemistry/immunofluorescence (ICC/IF) in Human samples.

What is the molecular weight of HLA G?
Anti-HLA G [EPR23298-97] (ab283260) specifically detects a band for HLA G (UniProt: P17693) at a molecular weight of 38kDa.

Trial sizes available!
Test your antibody or perform pre-screening before committing to a larger quantity. Sold in 10µl. Discover our selection of trial-size antibodies.

Other related products
We have a range of other formats of antibody clone [EPR23298-97] also available for your convenience: ab283260, Carrier free - ab283278, Alexa Fluor® 488 - ab300056

Patented technology
Our RabMAb® technology is a patented hybridoma-based technology for making rabbit monoclonal antibodies. For details on our patents, please refer to RabMAb® patents.

What are the advantages of a recombinant monoclonal antibody?
This product is a recombinant monoclonal antibody, which offers several advantages including:

  • - High batch-to-batch consistency and reproducibility
  • - Improved sensitivity and specificity
  • - Long-term security of supply
  • - Animal-free batch production

For more information, read more on recombinant antibodies.

Properties and storage information

Form
Liquid
Purification technique
Affinity purification Protein A
Storage buffer
pH: 7.2 - 7.4 Preservative: 0.01% Sodium azide Constituents: PBS, 40% Glycerol (glycerin, glycerine), 0.05% BSA
Shipped at conditions
Blue Ice
Appropriate short-term storage duration
1-2 weeks
Appropriate short-term storage conditions
+4°C
Appropriate long-term storage conditions
-20°C
Aliquoting information
Upon delivery aliquot
Storage information
Avoid freeze / thaw cycle

Product protocols

For this product, it's our understanding that no specific protocols are required. You can visit:

Target data

Isoform 1. Non-classical major histocompatibility class Ib molecule involved in immune regulatory processes at the maternal-fetal interface (PubMed : 19304799, PubMed : 23184984, PubMed : 29262349). In complex with B2M/beta-2 microglobulin binds a limited repertoire of nonamer self-peptides derived from intracellular proteins including histones and ribosomal proteins (PubMed : 7584149, PubMed : 8805247). Peptide-bound HLA-G-B2M complex acts as a ligand for inhibitory/activating KIR2DL4, LILRB1 and LILRB2 receptors on uterine immune cells to promote fetal development while maintaining maternal-fetal tolerance (PubMed : 16366734, PubMed : 19304799, PubMed : 20448110, PubMed : 23184984, PubMed : 27859042, PubMed : 29262349). Upon interaction with KIR2DL4 and LILRB1 receptors on decidual NK cells, it triggers NK cell senescence-associated secretory phenotype as a molecular switch to promote vascular remodeling and fetal growth in early pregnancy (PubMed : 16366734, PubMed : 19304799, PubMed : 23184984, PubMed : 29262349). Through interaction with KIR2DL4 receptor on decidual macrophages induces pro-inflammatory cytokine production mainly associated with tissue remodeling (PubMed : 19304799). Through interaction with LILRB2 receptor triggers differentiation of type 1 regulatory T cells and myeloid-derived suppressor cells, both of which actively maintain maternal-fetal tolerance (PubMed : 20448110, PubMed : 27859042). May play a role in balancing tolerance and antiviral-immunity at maternal-fetal interface by keeping in check the effector functions of NK, CD8+ T cells and B cells (PubMed : 10190900, PubMed : 11290782, PubMed : 24453251). Reprograms B cells toward an immune suppressive phenotype via LILRB1 (PubMed : 24453251). May induce immune activation/suppression via intercellular membrane transfer (trogocytosis), likely enabling interaction with KIR2DL4, which resides mostly in endosomes (PubMed : 20179272, PubMed : 26460007). Through interaction with the inhibitory receptor CD160 on endothelial cells may control angiogenesis in immune privileged sites (PubMed : 16809620).. Isoform 2. Likely does not bind B2M and presents peptides. Negatively regulates NK cell- and CD8+ T cell-mediated cytotoxicity (PubMed : 11290782).. Isoform 3. Likely does not bind B2M and presents peptides. Negatively regulates NK cell- and CD8+ T cell-mediated cytotoxicity (PubMed : 11290782).. Isoform 4. Likely does not bind B2M and presents peptides. Negatively regulates NK cell- and CD8+ T cell-mediated cytotoxicity (PubMed : 11290782).. Isoform 5. Non-classical major histocompatibility class Ib molecule involved in immune regulatory processes at the maternal-fetal interface (PubMed : 19304799, PubMed : 23184984, PubMed : 29262349). In complex with B2M/beta-2 microglobulin binds a limited repertoire of nonamer self-peptides derived from intracellular proteins including histones and ribosomal proteins (PubMed : 7584149, PubMed : 8805247). Peptide-bound HLA-G-B2M complex acts as a ligand for inhibitory/activating KIR2DL4, LILRB1 and LILRB2 receptors on uterine immune cells to promote fetal development while maintaining maternal-fetal tolerance (PubMed : 16366734, PubMed : 19304799, PubMed : 20448110, PubMed : 23184984, PubMed : 29262349). Upon interaction with KIR2DL4 and LILRB1 receptors on decidual NK cells, it triggers NK cell senescence-associated secretory phenotype as a molecular switch to promote vascular remodeling and fetal growth in early pregnancy (PubMed : 16366734, PubMed : 19304799, PubMed : 23184984, PubMed : 29262349). Through interaction with KIR2DL4 receptor on decidual macrophages induces pro-inflammatory cytokine production mainly associated with tissue remodeling (PubMed : 19304799). Through interaction with LILRB2 receptor triggers differentiation of type 1 regulatory T cells and myeloid-derived suppressor cells, both of which actively maintain maternal-fetal tolerance (PubMed : 20448110). Reprograms B cells toward an immune suppressive phenotype via LILRB1 (PubMed : 24453251).. Isoform 6. Likely does not bind B2M and presents peptides.. Isoform 7. Likely does not bind B2M and presents peptides.
See full target information HLA-G

Publications (9)

Recent publications for all applications. Explore the full list and refine your search

Cellular & molecular biology letters 30:28 PubMed40045194

2025

tRF-5028c disrupts trophoblast function in recurrent spontaneous abortion by inhibiting CRKL-mediated Rap1 signaling pathway.

Applications

Unspecified application

Species

Unspecified reactive species

Jialyu Huang,Jiawei Wang,Shuang Wang,Xiangpeng Xiong,Ruiyin Jiang,Chaoyi Xiong,Lu Wang,Lingling Huang,Yan Zhao,Zheng Fang,Xiaoyan Ai,Jiaying Lin

PLoS pathogens 20:e1012776 PubMed39652608

2024

TNF-α exacerbates SARS-CoV-2 infection by stimulating CXCL1 production from macrophages.

Applications

Unspecified application

Species

Unspecified reactive species

Moe Kobayashi,Nene Kobayashi,Kyoka Deguchi,Seira Omori,Minami Nagai,Ryutaro Fukui,Isaiah Song,Shinji Fukuda,Kensuke Miyake,Takeshi Ichinohe

Communications biology 7:1041 PubMed39179795

2024

PGRMC2 and HLA-G regulate immune homeostasis in a microphysiological model of human maternal-fetal membrane interface.

Applications

Unspecified application

Species

Unspecified reactive species

Ryan C V Lintao,Lauren S Richardson,Ananth Kumar Kammala,Jenieve Chapa,Dianne Aster Yunque-Yap,Kamil Khanipov,George Golovko,Leslie Michelle M Dalmacio,Ramkumar Menon

Journal of cell science 137: PubMed37676312

2023

Trophoblast organoids with physiological polarity model placental structure and function.

Applications

Unspecified application

Species

Unspecified reactive species

Liheng Yang,Pengfei Liang,Huanghe Yang,Carolyn B Coyne

Molecular therapy. Methods & clinical development 29:227-235 PubMed37090476

2023

AAV-mediated expression of HLA-G for the prevention of experimental ocular graft vs. host disease.

Applications

Unspecified application

Species

Unspecified reactive species

Jacob P Nilles,Darby Roberts,Jacklyn H Salmon,Liujiang Song,Carly O'Dea,Lindsay T Marjoram,Jacquelyn J Bower,Matthew L Hirsch,Brian C Gilger

Cell discovery 8:137 PubMed36550107

2022

Structural insights into the covalent regulation of PAPP-A activity by proMBP and STC2.

Applications

Unspecified application

Species

Unspecified reactive species

Qihang Zhong,Honglei Chu,Guopeng Wang,Cheng Zhang,Rong Li,Fusheng Guo,Xinlu Meng,Xiaoguang Lei,Youli Zhou,Ruobing Ren,Lin Tao,Ningning Li,Ning Gao,Yuan Wei,Jie Qiao,Jing Hang

BMC biology 20:276 PubMed36482461

2022

An IGF1-expressing endometrial stromal cell population is associated with human decidualization.

Applications

Unspecified application

Species

Unspecified reactive species

Jia-Wei Shi,Zhen-Zhen Lai,Hui-Li Yang,Wen-Jie Zhou,Xiao-Ya Zhao,Feng Xie,Song-Ping Liu,Wei-Dong Chen,Tao Zhang,Jiang-Feng Ye,Xiang-Yu Zhou,Ming-Qing Li

eLife 11: PubMed35975985

2022

Innate immune signaling in trophoblast and decidua organoids defines differential antiviral defenses at the maternal-fetal interface.

Applications

Unspecified application

Species

Unspecified reactive species

Liheng Yang,Eleanor C Semmes,Cristian Ovies,Christina Megli,Sallie Permar,Jennifer B Gilner,Carolyn B Coyne

Cellular & molecular immunology 19:527-539 PubMed35039632

2022

Downregulated cytotoxic CD8 T-cell identifies with the NKG2A-soluble HLA-E axis as a predictive biomarker and potential therapeutic target in keloids.

Applications

Unspecified application

Species

Unspecified reactive species

Heng Xu,Zhu Zhu,Jian Hu,Jiawei Sun,Yan Wo,Xianshu Wang,Hongzhi Zou,Bin Li,Yixin Zhang
View all publications

Product promise

We are committed to supporting your work with high-quality reagents, and we're here for you every step of the way. In the unlikely event that one of our products does not perform as expected, you're protected by our Product Promise.
For full details, please see our Terms & Conditions

Please note: All products are 'FOR RESEARCH USE ONLY. NOT FOR USE IN DIAGNOSTIC OR THERAPEUTIC PROCEDURES'.

For licensing inquiries, please contact partnerships@abcam.com