JavaScript is disabled in your browser. Please enable JavaScript to view this website.
AB197166

Anti-HLAB antibody

Be the first to review this product! Submit a review

|

(1 Publication)

Rabbit Polyclonal HLA B antibody. Suitable for WB, IHC-P and reacts with Human samples. Cited in 1 publication. Immunogen corresponding to Recombinant Fragment Protein within Human HLA-B aa 100-350.

View Alternative Names

HLAB, HLA-B, Human leukocyte antigen B

2 Images
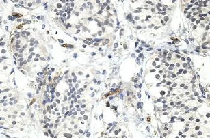
Immunohistochemistry (Formalin/PFA-fixed paraffin-embedded sections) - Anti-HLAB antibody (AB197166)
  • IHC-P

Supplier Data

Immunohistochemistry (Formalin/PFA-fixed paraffin-embedded sections) - Anti-HLAB antibody (AB197166)

Immunohistochemical analysis of Formalin-fixed, Paraffin-embedded Human fetal testis tissue labeling HLAB with ab197166 at 1/100 dilution.

Western blot - Anti-HLAB antibody (AB197166)
  • WB

Supplier Data

Western blot - Anti-HLAB antibody (AB197166)

All lanes:

Western blot - Anti-HLAB antibody (ab197166) at 1/500 dilution

Lane 1:

HL60 cell lysate

Lane 2:

HeLa cell lysate

Lane 3:

MCF7 cell lysate

Lane 4:

Human fetal spleen lysate

Predicted band size: 40 kDa

false

Key facts

Host species

Rabbit

Clonality

Polyclonal

Isotype

IgG

Carrier free

No

Reacts with

Human

Applications

WB, IHC-P

applications

Immunogen

Recombinant Fragment Protein within Human HLA-B aa 100-350. The exact immunogen used to generate this antibody is proprietary information.

P01889

Reactivity data

{ "title": "Reactivity Data", "filters": { "stats": ["", "Species", "Dilution Info", "Notes"], "tabs": { "all-applications": {"fullname" : "All Applications", "shortname": "All Applications"}, "WB" : {"fullname" : "Western blot", "shortname":"WB"}, "IHCP" : {"fullname" : "Immunohistochemistry (Formalin/PFA-fixed paraffin-embedded sections)", "shortname":"IHC-P"} }, "product-promise": { "all": "all", "testedAndGuaranteed": "tested", "guaranteed": "expected", "predicted": "predicted", "notRecommended": "not-recommended" } }, "values": { "Human": { "WB-species-checked": "testedAndGuaranteed", "WB-species-dilution-info": "", "WB-species-notes": "<p></p>", "IHCP-species-checked": "testedAndGuaranteed", "IHCP-species-dilution-info": "", "IHCP-species-notes": "<p></p>" } } }

Properties and storage information

Form
Lyophilized
Reconstitution
reconstitute with water at 200µL
Purification technique
Affinity purification Immunogen
Storage buffer
pH: 7.2 Preservative: 0.02% Sodium azide Constituents: PBS, 1% BSA
Shipped at conditions
Blue Ice
Appropriate short-term storage duration
1-2 weeks
Appropriate short-term storage conditions
+4°C
Appropriate long-term storage conditions
-20°C
Aliquoting information
Upon delivery aliquot
Storage information
Avoid freeze / thaw cycle

Product protocols

For this product, it's our understanding that no specific protocols are required. You can visit:

Target data

Antigen-presenting major histocompatibility complex class I (MHCI) molecule. In complex with B2M/beta 2 microglobulin displays primarily viral and tumor-derived peptides on antigen-presenting cells for recognition by alpha-beta T cell receptor (TCR) on HLA-B-restricted CD8-positive T cells, guiding antigen-specific T cell immune response to eliminate infected or transformed cells (PubMed : 23209413, PubMed : 25808313, PubMed : 29531227, PubMed : 9620674). May also present self-peptides derived from the signal sequence of secreted or membrane proteins, although T cells specific for these peptides are usually inactivated to prevent autoreactivity (PubMed : 18991276, PubMed : 7743181). Both the peptide and the MHC molecule are recognized by TCR, the peptide is responsible for the fine specificity of antigen recognition and MHC residues account for the MHC restriction of T cells (PubMed : 24600035, PubMed : 29531227, PubMed : 9620674). Typically presents intracellular peptide antigens of 8 to 13 amino acids that arise from cytosolic proteolysis via constitutive proteasome and IFNG-induced immunoproteasome (PubMed : 23209413). Can bind different peptides containing allele-specific binding motifs, which are mainly defined by anchor residues at position 2 and 9 (PubMed : 25808313, PubMed : 29531227).. Allele B*07 : 02 : Displays peptides sharing a common signature motif, namely a Pro residue at position 2 and mainly a Leu anchor residue at the C-terminus (PubMed : 7743181). Presents a long peptide (APRGPHGGAASGL) derived from the cancer-testis antigen CTAG1A/NY-ESO-1, eliciting a polyclonal CD8-positive T cell response against tumor cells (PubMed : 29531227). Presents viral epitopes derived from HIV-1 gag-pol (TPQDLNTML) and Nef (RPQVPLRPM) (PubMed : 25808313). Presents an immunodominant epitope derived from SARS-CoV-2 N/nucleoprotein (SPRWYFYYL) (PubMed : 32887977). Displays self-peptides including a peptide derived from the signal sequence of HLA-DPB1 (APRTVALTA) (PubMed : 7743181).. Allele B*08 : 01 : Presents to CD8-positive T cells viral epitopes derived from EBV/HHV-4 EBNA3 (QAKWRLQTL), eliciting cytotoxic T cell response.. Allele B*13 : 02 : Presents multiple HIV-1 epitopes derived from gag (RQANFLGKI, GQMREPRGSDI), nef (RQDILDLWI), gag-pol (RQYDQILIE, GQGQWTYQI) and rev (LQLPPLERL), all having in common a Gln residue at position 2 and mainly hydrophobic amino acids Leu, Ile or Val at the C-terminus. Associated with succesful control of HIV-1 infection.. Allele B*18 : 01 : Preferentially presents octomeric and nonameric peptides sharing a common motif, namely a Glu at position 2 and Phe or Tyr anchor residues at the C-terminus (PubMed : 14978097, PubMed : 18991276, PubMed : 23749632). Presents an EBV/HHV-4 epitope derived from BZLF1 (SELEIKRY) (PubMed : 23749632). May present to CD8-positive T cells an antigenic peptide derived from MAGEA3 (MEVDPIGHLY), triggering an anti-tumor immune response (PubMed : 12366779). May display a broad repertoire of self-peptides with a preference for peptides derived from RNA-binding proteins (PubMed : 14978097).. Allele B*27 : 05 : Presents to CD8-positive T cells immunodominant viral epitopes derived from HCV POLG (ARMILMTHF), HIV-1 gag (KRWIILGLNK), IAV NP (SRYWAIRTR), SARS-CoV-2 N/nucleoprotein (QRNAPRITF), EBV/HHV-4 EBNA4 (HRCQAIRKK) and EBV/HHV-4 EBNA6 (RRIYDLIEL), conferring longterm protection against viral infection (PubMed : 15113903, PubMed : 18385228, PubMed : 19139562, PubMed : 32887977, PubMed : 9620674). Can present self-peptides derived from cytosolic and nuclear proteins. All peptides carry an Arg at position 2 (PubMed : 1922338). The peptide-bound form interacts with NK cell inhibitory receptor KIR3DL1 and inhibits NK cell activation in a peptide-specific way, being particularly sensitive to the nature of the amino acid side chain at position 8 of the antigenic peptide (PubMed : 15657948, PubMed : 8879234). KIR3DL1 fails to recognize HLA-B*27 : 05 in complex with B2M and EBV/HHV-4 EBNA6 (RRIYDLIEL) peptide, which can lead to increased activation of NK cells during infection (PubMed : 15657948). May present an altered repertoire of peptides in the absence of TAP1-TAP2 and TAPBPL (PubMed : 9620674).. Allele B*40 : 01 : Presents immunodominant viral epitopes derived from EBV/HHV-4 LMP2 (IEDPPFNSL) and SARS-CoV-2 N/nucleoprotein (MEVTPSGTWL), triggering memory CD8-positive T cell response (PubMed : 18991276, PubMed : 32887977). Displays self-peptides sharing a signature motif, namely a Glu at position 2 and a Leu anchor residue at the C-terminus (PubMed : 18991276).. Allele B*41 : 01 : Displays self-peptides sharing a signature motif, namely a Glu at position 2 and Ala or Pro anchor residues at the C-terminus.. Allele B*44 : 02 : Presents immunodominant viral epitopes derived from EBV/HHV-4 EBNA4 (VEITPYKPTW) and EBNA6 (AEGGVGWRHW, EENLLDFVRF), triggering memory CD8-positive T cell response (PubMed : 18991276, PubMed : 9620674). Displays self-peptides sharing a signature motif, namely a Glu at position 2 and Phe, Tyr or Trp anchor residues at the C-terminus (PubMed : 18991276).. Allele B*45 : 01 : Displays self-peptides sharing a signature motif, namely a Glu at position 2 and Ala or Pro anchor residues at the C-terminus.. Allele B*46 : 01 : Preferentially presents nonameric peptides sharing a signature motif, namely Ala and Leu at position 2 and Tyr, Phe, Leu, or Met anchor residues at the C-terminus. The peptide-bound form interacts with KIR2DL3 and inhibits NK cell cytotoxic response in a peptide-specific way.. Allele B*47 : 01 : Displays self-peptides sharing a signature motif, namely an Asp at position 2 and Leu or Met anchor residues at the C-terminus.. Allele B*49 : 01 : Displays self-peptides sharing a signature motif, namely a Glu at position 2 and Ile or Val anchor residues at the C-terminus.. Allele B*50 : 01 : Displays self-peptides sharing a signature motif, namely a Glu at position 2 and Ala or Pro anchor residues at the C-terminus.. Allele B*51 : 01 : Presents an octomeric HIV-1 epitope derived from gag-pol (TAFTIPSI) to the public TRAV17/TRBV7-3 TCR clonotype, strongly suppressing HIV-1 replication.. Allele B*54 : 01 : Displays peptides sharing a common signature motif, namely a Pro residue at position 2 and Ala anchor residue at the C-terminus.. Allele B*55 : 01 : Displays peptides sharing a common signature motif, namely a Pro residue at position 2 and Ala anchor residue at the C-terminus.. Allele B*56 : 01 : Displays peptides sharing a common signature motif, namely a Pro residue at position 2 and Ala anchor residue at the C-terminus.. Allele B*57 : 01 : The peptide-bound form recognizes KIR3DL1 and inhibits NK cell cytotoxic response. Presents HIV gag peptides (immunodominant KAFSPEVIPMF and subdominant KALGPAATL epitopes) predominantly to CD8-positive T cell clones expressing a TRAV41-containing TCR, triggering HLA-B-restricted T cell responses.. Allele B*67 : 01 : Displays peptides sharing a common signature motif, namely a Pro residue at position 2 and Leu anchor residue at the C-terminus.
See full target information HLA-B

Publications (1)

Recent publications for all applications. Explore the full list and refine your search

Cell death & disease 13:982 PubMed36414640

2022

E2F1-initiated transcription of PRSS22 promotes breast cancer metastasis by cleaving ANXA1 and activating FPR2/ERK signaling pathway.

Applications

Unspecified application

Species

Unspecified reactive species

Lin Song,Hui Li,Ran-Ran Ma,Sen Liu,Guo-Hao Zhang,Xiang-Yu Guo,Rui-Nan Zhao,Xiao-Juan Wu,Kai Zhang,Peng Gao
View all publications

Product promise

We are committed to supporting your work with high-quality reagents, and we're here for you every step of the way. In the unlikely event that one of our products does not perform as expected, you're protected by our Product Promise.
For full details, please see our Terms & Conditions

Please note: All products are 'FOR RESEARCH USE ONLY. NOT FOR USE IN DIAGNOSTIC OR THERAPEUTIC PROCEDURES'.

For licensing inquiries, please contact partnerships@abcam.com