JavaScript is disabled in your browser. Please enable JavaScript to view this website.
AB250652

Anti-HLTF antibody [EPR14761] - BSA and Azide free

Be the first to review this product! Submit a review

|

(1 Publication)

Knockout Tested Rabbit Recombinant Monoclonal HLTF antibody. Carrier free. Suitable for ICC/IF, WB, IHC-P and reacts with Human samples. Cited in 1 publication.

View Alternative Names

HIP116A, RNF80, SMARCA3, SNF2L3, ZBU1, HLTF, Helicase-like transcription factor, DNA-binding protein/plasminogen activator inhibitor 1 regulator, HIP116, RING finger protein 80, RING-type E3 ubiquitin transferase HLTF, SWI/SNF-related matrix-associated actin-dependent regulator of chromatin subfamily A member 3, Sucrose nonfermenting protein 2-like 3

5 Images
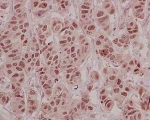
Immunohistochemistry (Formalin/PFA-fixed paraffin-embedded sections) - Anti-HLTF antibody [EPR14761] - BSA and Azide free (AB250652)
  • IHC-P

Supplier Data

Immunohistochemistry (Formalin/PFA-fixed paraffin-embedded sections) - Anti-HLTF antibody [EPR14761] - BSA and Azide free (AB250652)

This data was developed using ab183042, the same antibody clone in a different buffer formulation.

Immunohistochemical analysis of paraffin-embedded Human ovarian carcinoma tissue labeling HLTF with ab183042 at 1/100 dilution followed by pre-diluted HRP-conjugated secondary antibody and counter-stained with Hematoxylin.

Perform heat mediated antigen retrieval with EDTA buffer pH 9 before commencing with IHC staining protocol.

Immunocytochemistry/ Immunofluorescence - Anti-HLTF antibody [EPR14761] - BSA and Azide free (AB250652)
  • ICC/IF

Supplier Data

Immunocytochemistry/ Immunofluorescence - Anti-HLTF antibody [EPR14761] - BSA and Azide free (AB250652)

This data was developed using ab183042, the same antibody clone in a different buffer formulation.

Immunofluorescent analysis of Jurkat cells (-20°C Acetone-fixed) labeling HLTF with ab183042 at 1/100 dilution followed by Goat anti rabbit IgG (AlexaFluor® 488) secondary at 1/200 dilution and counter-stained with DAPI (blue).

Immunohistochemistry (Formalin/PFA-fixed paraffin-embedded sections) - Anti-HLTF antibody [EPR14761] - BSA and Azide free (AB250652)
  • IHC-P

Supplier Data

Immunohistochemistry (Formalin/PFA-fixed paraffin-embedded sections) - Anti-HLTF antibody [EPR14761] - BSA and Azide free (AB250652)

This data was developed using ab183042, the same antibody clone in a different buffer formulation.

Immunohistochemical analysis of paraffin-embedded Human infiltrating duct carcinoma of breast tissue labeling HLTF with ab183042 at 1/100 dilution followed by pre-diluted HRP-conjugated secondary antibody and counter-stained with Hematoxylin.

Perform heat mediated antigen retrieval with EDTA buffer pH 9 before commencing with IHC staining protocol.

Western blot - Anti-HLTF antibody [EPR14761] - BSA and Azide free (AB250652)
  • WB

Supplier Data

Western blot - Anti-HLTF antibody [EPR14761] - BSA and Azide free (AB250652)

This data was developed using ab183042, the same antibody clone in a different buffer formulation.

All lanes:

Western blot - Anti-HLTF antibody [EPR14761] (<a href='/en-us/products/primary-antibodies/hltf-antibody-epr14761-ab183042'>ab183042</a>) at 1/50000 dilution

Lane 1:

HeLa cell lysate at 10 µg

Lane 2:

K562 lysate at 10 µg

Lane 3:

Jurkat lysate at 10 µg

Secondary

All lanes:

Goat Anti-Rabbit IgG, (H+L), Peroxidase conjugated at 1/1000 dilution

Predicted band size: 113 kDa,32 kDa

true

Western blot - Anti-HLTF antibody [EPR14761] - BSA and Azide free (AB250652)
  • WB

Lab

Western blot - Anti-HLTF antibody [EPR14761] - BSA and Azide free (AB250652)

This data was developed using ab183042, the same antibody clone in a different buffer formulation.

Lanes 1 - 3 : Merged signal (red and green). Green - ab183042 observed at 113 kDa. Red - loading control, ab9484, observed at 37 kDa.

ab183042 was shown to specifically react with HLTF in wild-type HAP1 cells as signal was lost in HLTF knockout cells. Wild-type and HLTF knockout samples were subjected to SDS-PAGE. ab183042 and ab9484 (Mouse anti-GAPDH loading control) were incubated overnight at 4°C at 1 μg/ml and 1/20000 dilution respectively. Blots were developed with Goat anti-Rabbit IgG H&L (IRDye® 800CW) preabsorbed ab216773 and Goat anti-Mouse IgG H&L (IRDye® 680RD) preabsorbed ab216776 secondary antibodies at 1/20000 dilution for 1 hour at room temperature before imaging.

All lanes:

Western blot - Anti-HLTF antibody [EPR14761] (<a href='/en-us/products/primary-antibodies/hltf-antibody-epr14761-ab183042'>ab183042</a>) at 1 µg

Lane 1:

Wild-type HAP1 whole cell lysate at 20 µg

Lane 2:

HLTF knockout HAP1 whole cell lysate at 20 µg

Lane 3:

HeLa whole cell lysate at 20 µg

Predicted band size: 113 kDa

Observed band size: 113 kDa

false

Key facts

Host species

Rabbit

Clonality

Monoclonal

Clone number

EPR14761

Isotype

IgG

Carrier free

Yes

Reacts with

Human

Applications

ICC/IF, IHC-P, WB

applications

Immunogen

The exact immunogen used to generate this antibody is proprietary information.

Reactivity data

{ "title": "Reactivity Data", "filters": { "stats": ["", "Species", "Dilution Info", "Notes"], "tabs": { "all-applications": {"fullname" : "All Applications", "shortname": "All Applications"}, "ICCIF" : {"fullname" : "Immunocytochemistry/ Immunofluorescence", "shortname":"ICC/IF"}, "WB" : {"fullname" : "Western blot", "shortname":"WB"}, "IHCP" : {"fullname" : "Immunohistochemistry (Formalin/PFA-fixed paraffin-embedded sections)", "shortname":"IHC-P"} }, "product-promise": { "all": "all", "testedAndGuaranteed": "tested", "guaranteed": "expected", "predicted": "predicted", "notRecommended": "not-recommended" } }, "values": { "Human": { "ICCIF-species-checked": "testedAndGuaranteed", "ICCIF-species-dilution-info": "", "ICCIF-species-notes": "<p></p>", "WB-species-checked": "testedAndGuaranteed", "WB-species-dilution-info": "", "WB-species-notes": "<p></p>", "IHCP-species-checked": "testedAndGuaranteed", "IHCP-species-dilution-info": "", "IHCP-species-notes": "<p></p>" }, "Rat": { "ICCIF-species-checked": "predicted", "ICCIF-species-dilution-info": "", "ICCIF-species-notes": "", "WB-species-checked": "predicted", "WB-species-dilution-info": "", "WB-species-notes": "", "IHCP-species-checked": "predicted", "IHCP-species-dilution-info": "", "IHCP-species-notes": "" } } }

Product details

ab250652 is the carrier-free version of ab183042.

Patented technology
Our RabMAb® technology is a patented hybridoma-based technology for making rabbit monoclonal antibodies. For details on our patents, please refer to RabMAb® patents.

What are the advantages of a recombinant monoclonal antibody?
This product is a recombinant monoclonal antibody, which offers several advantages including:

  • - High batch-to-batch consistency and reproducibility
  • - Improved sensitivity and specificity
  • - Long-term security of supply
  • - Animal-free batch production

For more information, read more on recombinant antibodies.

Conjugation ready
Our carrier-free antibodies are typically supplied in a PBS-only formulation, purified and free of BSA, sodium azide and glycerol. This conjugation-ready format is designed for use with fluorochromes, metal isotopes, oligonucleotides, and enzymes, which makes them ideal for antibody labelling, functional and cell-based assays, flow-based assays (e.g. mass cytometry) and Multiplex Imaging applications.

Use our conjugation kits for antibody conjugates that are ready-to-use in as little as 20 minutes with 1 minute hands-on-time and 100% antibody recovery: available for fluorescent dyes, HRP, biotin and gold.

Compatibility
This product is compatible with the Maxpar® Antibody Labeling Kit from Fluidigm, without the need for antibody preparation. Maxpar® is a trademark of Fluidigm Canada Inc.

Properties and storage information

Form
Liquid
Purification technique
Affinity purification Protein A
Storage buffer
pH: 7.2 - 7.4 Constituents: PBS
Shipped at conditions
Blue Ice
Appropriate short-term storage conditions
+4°C
Appropriate long-term storage conditions
+4°C
Storage information
Do Not Freeze

Product protocols

For this product, it's our understanding that no specific protocols are required. You can visit:

Target data

Has both helicase and E3 ubiquitin ligase activities. Possesses intrinsic ATP-dependent nucleosome-remodeling activity; This activity may be required for transcriptional activation or repression of specific target promoters (By similarity). These may include the SERPINE1 and HIV-1 promoters and the SV40 enhancer, to which this protein can bind directly. Plays a role in error-free postreplication repair (PRR) of damaged DNA and maintains genomic stability through acting as a ubiquitin ligase for 'Lys-63'-linked polyubiquitination of chromatin-bound PCNA.
See full target information HLTF

Publications (1)

Recent publications for all applications. Explore the full list and refine your search

Neuroreport 33:451-462 PubMed35775321

2022

Notoginsenoside R1 alleviates spinal cord injury by inhibiting oxidative stress, neuronal apoptosis, and inflammation via activating the nuclear factor erythroid 2 related factor 2/heme oxygenase-1 signaling pathway.

Applications

Unspecified application

Species

Unspecified reactive species

Hongbo Luo,Zhangli Bao,Mingjian Zhou,Yuxin Chen,Zhaoxi Huang
View all publications

Product promise

We are committed to supporting your work with high-quality reagents, and we're here for you every step of the way. In the unlikely event that one of our products does not perform as expected, you're protected by our Product Promise.
For full details, please see our Terms & Conditions

Please note: All products are 'FOR RESEARCH USE ONLY. NOT FOR USE IN DIAGNOSTIC OR THERAPEUTIC PROCEDURES'.

For licensing inquiries, please contact partnerships@abcam.com