JavaScript is disabled in your browser. Please enable JavaScript to view this website.
AB232927

Anti-HMBS/PBGD antibody

Be the first to review this product! Submit a review

|

(1 Publication)

Rabbit Polyclonal HMBS/PBGD antibody. Suitable for WB, IHC-P, ICC/IF and reacts with Pig, Recombinant fragment - Human, Human samples. Cited in 1 publication. Immunogen corresponding to Recombinant Fragment Protein within Human HMBS aa 50-350.

View Alternative Names

PBGD, UPS, HMBS, Porphobilinogen deaminase, PBG-D, Hydroxymethylbilane synthase, Pre-uroporphyrinogen synthase

3 Images
Western blot - Anti-HMBS/PBGD antibody (AB232927)
  • WB

Supplier Data

Western blot - Anti-HMBS/PBGD antibody (AB232927)

All lanes:

Western blot - Anti-HMBS/PBGD antibody (ab232927) at 2 µg/mL

Lane 1:

HeLa (human epithelial cell line from cervix adenocarcinoma) cell lysate

Lane 2:

HEK-293T (human epithelial cell line from embryonic kidney transformed with large T antigen) cell lysate

Lane 3:

HepG2 (human liver hepatocellular carcinoma cell line) cell lysate

Lane 4:

Pig heart lysate

Secondary

All lanes:

HRP-Linked Guinea pig anti-Rabbit at 1/2000 dilution

Predicted band size: 39 kDa

false

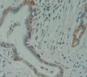
Immunohistochemistry (Formalin/PFA-fixed paraffin-embedded sections) - Anti-HMBS/PBGD antibody (AB232927)
  • IHC-P

Supplier Data

Immunohistochemistry (Formalin/PFA-fixed paraffin-embedded sections) - Anti-HMBS/PBGD antibody (AB232927)

Paraffin-embedded human pancreatic cancer tissue stained for HMBS/PBGD using ab232927 at 10 μg/ml in immunohistochemical analysis. DAB staining.

Western blot - Anti-HMBS/PBGD antibody (AB232927)
  • WB

Supplier Data

Western blot - Anti-HMBS/PBGD antibody (AB232927)

All lanes:

Western blot - Anti-HMBS/PBGD antibody (ab232927) at 2 µg/mL

All lanes:

Recombinant human HMBS/PBGD protein

Secondary

All lanes:

HRP-Linked Guinea pig anti-Rabbit at 1/2000 dilution

Predicted band size: 39 kDa

false

Key facts

Host species

Rabbit

Clonality

Polyclonal

Isotype

IgG

Carrier free

No

Reacts with

Human, Pig

Applications

WB, IHC-P, ICC/IF

applications

Immunogen

Recombinant Fragment Protein within Human HMBS aa 50-350. The exact immunogen used to generate this antibody is proprietary information.

P08397

Reactivity data

{ "title": "Reactivity Data", "filters": { "stats": ["", "Species", "Dilution Info", "Notes"], "tabs": { "all-applications": {"fullname" : "All Applications", "shortname": "All Applications"}, "WB" : {"fullname" : "Western blot", "shortname":"WB"}, "IHCP" : {"fullname" : "Immunohistochemistry (Formalin/PFA-fixed paraffin-embedded sections)", "shortname":"IHC-P"}, "ICCIF" : {"fullname" : "Immunocytochemistry/ Immunofluorescence", "shortname":"ICC/IF"} }, "product-promise": { "all": "all", "testedAndGuaranteed": "tested", "guaranteed": "expected", "predicted": "predicted", "notRecommended": "not-recommended" } }, "values": { "Human": { "WB-species-checked": "testedAndGuaranteed", "WB-species-dilution-info": "0.5-2 µg/mL", "WB-species-notes": "<p></p>", "IHCP-species-checked": "testedAndGuaranteed", "IHCP-species-dilution-info": "5-20 µg/mL", "IHCP-species-notes": "<p></p>", "ICCIF-species-checked": "testedAndGuaranteed", "ICCIF-species-dilution-info": "5-20 µg/mL", "ICCIF-species-notes": "<p></p>" }, "Mouse": { "WB-species-checked": "predicted", "WB-species-dilution-info": "", "WB-species-notes": "", "IHCP-species-checked": "predicted", "IHCP-species-dilution-info": "", "IHCP-species-notes": "", "ICCIF-species-checked": "predicted", "ICCIF-species-dilution-info": "", "ICCIF-species-notes": "" }, "Rat": { "WB-species-checked": "predicted", "WB-species-dilution-info": "", "WB-species-notes": "", "IHCP-species-checked": "predicted", "IHCP-species-dilution-info": "", "IHCP-species-notes": "", "ICCIF-species-checked": "predicted", "ICCIF-species-dilution-info": "", "ICCIF-species-notes": "" }, "Cow": { "WB-species-checked": "predicted", "WB-species-dilution-info": "", "WB-species-notes": "", "IHCP-species-checked": "predicted", "IHCP-species-dilution-info": "", "IHCP-species-notes": "", "ICCIF-species-checked": "predicted", "ICCIF-species-dilution-info": "", "ICCIF-species-notes": "" }, "Pig": { "WB-species-checked": "testedAndGuaranteed", "WB-species-dilution-info": "0.5-2 µg/mL", "WB-species-notes": "<p></p>", "IHCP-species-checked": "guaranteed", "IHCP-species-dilution-info": "", "IHCP-species-notes": "", "ICCIF-species-checked": "guaranteed", "ICCIF-species-dilution-info": "", "ICCIF-species-notes": "" }, "Recombinant fragment - Human": { "WB-species-checked": "testedAndGuaranteed", "WB-species-dilution-info": "0.5-2 µg/mL", "WB-species-notes": "<p></p>", "IHCP-species-checked": "notRecommended", "IHCP-species-dilution-info": "", "IHCP-species-notes": "", "ICCIF-species-checked": "notRecommended", "ICCIF-species-dilution-info": "", "ICCIF-species-notes": "" } } }

Properties and storage information

Form
Liquid
Purification technique
Affinity purification Immunogen
Purification notes
ab232927 was purified by antigen-specific affinity chromatography followed by Protein A affinity chromatography.
Storage buffer
pH: 7.4 Preservative: 0.02% Sodium azide Constituents: PBS, 55.77% Glycerol (glycerin, glycerine)
Shipped at conditions
Blue Ice
Appropriate short-term storage duration
1-2 weeks
Appropriate short-term storage conditions
+4°C
Appropriate long-term storage conditions
-20°C
Aliquoting information
Upon delivery aliquot
Storage information
Avoid freeze / thaw cycle

Product protocols

For this product, it's our understanding that no specific protocols are required. You can visit:

Target data

As part of the heme biosynthetic pathway, catalyzes the sequential polymerization of four molecules of porphobilinogen to form hydroxymethylbilane, also known as preuroporphyrinogen (PubMed : 18004775, PubMed : 18936296, PubMed : 19138865, PubMed : 23815679). Catalysis begins with the assembly of the dipyrromethane cofactor by the apoenzyme from two molecules of porphobilinogen or from preuroporphyrinogen. The covalently linked cofactor acts as a primer, around which the tetrapyrrole product is assembled. In the last step of catalysis, the product, preuroporphyrinogen, is released, leaving the cofactor bound to the holodeaminase intact (PubMed : 18936296).
See full target information HMBS

Publications (1)

Recent publications for all applications. Explore the full list and refine your search

Folia histochemica et cytobiologica 63:11-27 PubMed40152123

2025

Inhibition of STAT1 alleviates oxidative damage in retinal pigment epithelial cells and exhibits neuroprotective effects in autoimmune optic neuritis by upregulating IFI30 lysosomal thiol reductase.

Applications

Unspecified application

Species

Unspecified reactive species

Siqi Ma,Jiajia Yuan
View all publications

Product promise

We are committed to supporting your work with high-quality reagents, and we're here for you every step of the way. In the unlikely event that one of our products does not perform as expected, you're protected by our Product Promise.
For full details, please see our Terms & Conditions

Please note: All products are 'FOR RESEARCH USE ONLY. NOT FOR USE IN DIAGNOSTIC OR THERAPEUTIC PROCEDURES'.

For licensing inquiries, please contact partnerships@abcam.com