JavaScript is disabled in your browser. Please enable JavaScript to view this website.
AB75782

Anti-HMG4 antibody [EP2839Y]

Be the first to review this product! Submit a review

|

(13 Publications)

Rabbit Recombinant Monoclonal HMG4 antibody. Suitable for ICC/IF, IP, WB, IHC-P, Flow Cyt (Intra) and reacts with Human, Mouse, Rat samples. Cited in 13 publications.

View Alternative Names

HMG2A, HMG4, HMGB3, High mobility group protein B3, High mobility group protein 2a, High mobility group protein 4, HMG-2a, HMG-4

8 Images
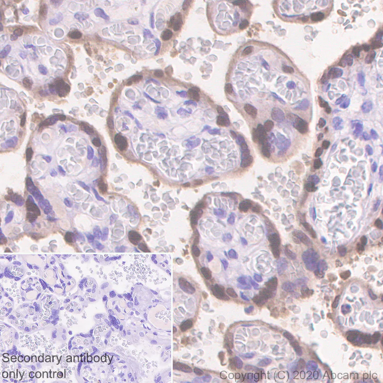
Immunohistochemistry (Formalin/PFA-fixed paraffin-embedded sections) - Anti-HMG4 antibody [EP2839Y] (AB75782)
  • IHC-P

Lab

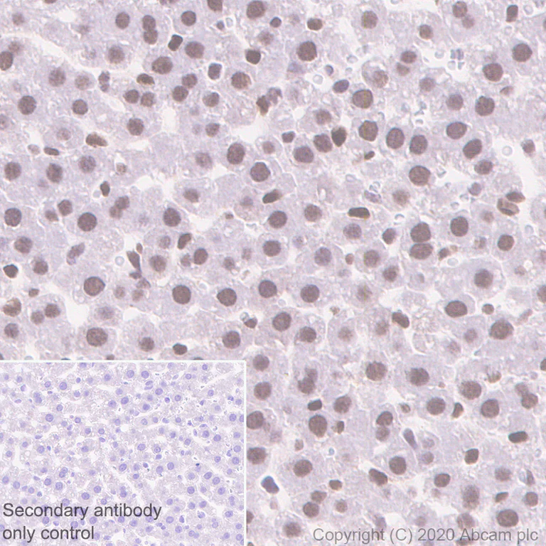
Immunohistochemistry (Formalin/PFA-fixed paraffin-embedded sections) - Anti-HMG4 antibody [EP2839Y] (AB75782)

Immunohistochemistry (Formalin/PFA-fixed paraffin-embedded sections) analysis of human placenta tissue sections labeling HMG4 with Purified ab75782 at 1/100 dilution (1.13 μg/ml). Heat mediated antigen retrieval using Bond™ Epitope Retrieval Solution 2 (pH 9.0). Rabbit specific IHC polymer detection kit HRP/DAB (ab209101) was used as the secondary antibody. Negative control : PBS instead of the primary antibody. Hematoxylin was used as a counterstain.

Immunocytochemistry/ Immunofluorescence - Anti-HMG4 antibody [EP2839Y] (AB75782)
  • ICC/IF

Lab

Immunocytochemistry/ Immunofluorescence - Anti-HMG4 antibody [EP2839Y] (AB75782)

Immunocytochemistry analysis of 293T (Human embryonic kidney epithelial cell) cells labeling HMG4 with Purified ab75782 at 1/250 dilution (0.452 μg/ml). Cells were fixed in 4% Paraformaldehyde and permeabilized with 0.1% tritonX-100. Cells were counterstained with ab195889 Anti-alpha Tubulin antibody [DM1A] - Microtubule Marker (Alexa Fluor® 594) 1/200 (2.5 μg/ml). Goat anti rabbit IgG (Alexa Fluor® 488,ab150077) was used as the secondary antibody at 1/1000 (2 μg/ml) dilution. DAPI (blue) was used as nuclear counterstain. PBS instead of the primary antibody was used as the secondary antibody only control.

Flow Cytometry (Intracellular) - Anti-HMG4 antibody [EP2839Y] (AB75782)
  • Flow Cyt (Intra)

Lab

Flow Cytometry (Intracellular) - Anti-HMG4 antibody [EP2839Y] (AB75782)

Intracellular Flow Cytometry analysis of HeLa (Human cervix adenocarcinoma epithelial cell) cells labeling HMG4 with Purified ab75782 at 1/20 dilution (10 μg/ml) (Red). Cells were fixed with 4% Paraformaldehyde and permeabilised with 90% Methanol. A Goat anti rabbit IgG (Alexa Fluor® 488, ab150077) secondary antibody was used at 1/2000. Isotype control - Rabbit monoclonal IgG (Black). Unlabeled control - Cell without incubation with primary antibody and secondary antibody (Blue).

Immunoprecipitation - Anti-HMG4 antibody [EP2839Y] (AB75782)
  • IP

Lab

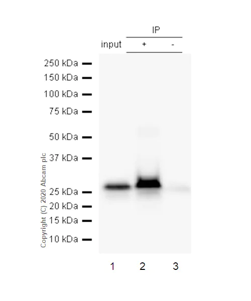
Immunoprecipitation - Anti-HMG4 antibody [EP2839Y] (AB75782)

Purified ab75782 at 1/20 dilution (0.5μg) immunoprecipitating HMG4 in HeLa whole cell lysate.

Lane 1 : HeLa (Human cervix adenocarcinoma epithelial cell) whole cell lysate 10μg
Lane 2 : ab75782 + HeLa whole cell lysate.
Lane 3 : Rabbit monoclonal IgG (ab172730) instead of ab75782 in HeLa whole cell lysate.

VeriBlot for IP Detection Reagent (HRP)(ab131366) (1/1000 dilution) was used for Western blotting.

Blocking Buffer and concentration : 5% NFDM/TBST.

Observed band size : 25 kDa

All lanes:

Immunoprecipitation - Anti-HMG4 antibody [EP2839Y] (ab75782)

Predicted band size: 23 kDa

false

Immunohistochemistry (Formalin/PFA-fixed paraffin-embedded sections) - Anti-HMG4 antibody [EP2839Y] (AB75782)
  • IHC-P

Lab

Immunohistochemistry (Formalin/PFA-fixed paraffin-embedded sections) - Anti-HMG4 antibody [EP2839Y] (AB75782)

Immunohistochemistry (Formalin/PFA-fixed paraffin-embedded sections) analysis of mouse liver tissue sections labeling HMG4 with Purified ab75782 at 1/100 dilution (1.13 μg/ml). Heat mediated antigen retrieval using Bond™ Epitope Retrieval Solution 2 (pH 9.0). Rabbit specific IHC polymer detection kit HRP/DAB (ab209101) was used as the secondary antibody. Negative control : PBS instead of the primary antibody. Hematoxylin was used as a counterstain.

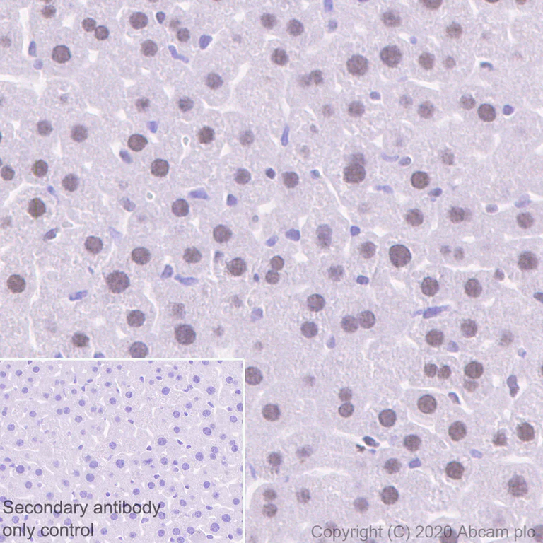
Immunohistochemistry (Formalin/PFA-fixed paraffin-embedded sections) - Anti-HMG4 antibody [EP2839Y] (AB75782)
  • IHC-P

Lab

Immunohistochemistry (Formalin/PFA-fixed paraffin-embedded sections) - Anti-HMG4 antibody [EP2839Y] (AB75782)

Immunohistochemistry (Formalin/PFA-fixed paraffin-embedded sections) analysis of rat liver tissue sections labeling HMG4 with Purified ab75782 at 1/100 dilution (1.13 μg/ml). Heat mediated antigen retrieval using Bond™ Epitope Retrieval Solution 2 (pH 9.0). Rabbit specific IHC polymer detection kit HRP/DAB (ab209101) was used as the secondary antibody. Negative control : PBS instead of the primary antibody. Hematoxylin was used as a counterstain.

Western blot - Anti-HMG4 antibody [EP2839Y] (AB75782)
  • WB

Unknown

Western blot - Anti-HMG4 antibody [EP2839Y] (AB75782)

Blocking buffer : 5% NFDM/TBST

All lanes:

Western blot - Anti-HMG4 antibody [EP2839Y] (ab75782) at 1/5000 dilution

All lanes:

HeLa (Human cervix adenocarcinoma epithelial cell) whole cell lysate at 15 µg

Secondary

All lanes:

Western blot - Goat Anti-Rabbit IgG H&L (HRP) (<a href='/en-us/products/secondary-antibodies/goat-rabbit-igg-h-l-hrp-ab97051'>ab97051</a>) at 1/20000 dilution

Predicted band size: 23 kDa

Observed band size: 25 kDa

false

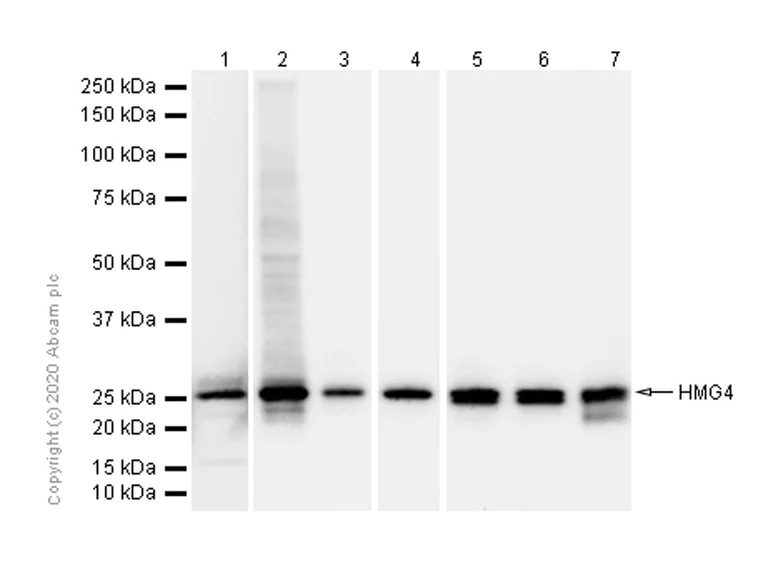
Western blot - Anti-HMG4 antibody [EP2839Y] (AB75782)
  • WB

Unknown

Western blot - Anti-HMG4 antibody [EP2839Y] (AB75782)

Blocking buffer : 5% NFDM/TBST

All lanes:

Western blot - Anti-HMG4 antibody [EP2839Y] (ab75782) at 1/1000 dilution

Lane 1:

Human bladder lysate at 20 µg

Lane 2:

Human placenta lysate at 20 µg

Lane 3:

Mouse brain lysate at 20 µg

Lane 4:

Mouse bladder lysate at 20 µg

Lane 5:

Rat brain lysate at 20 µg

Lane 6:

Rat bladder lysate at 20 µg

Lane 7:

Rat placenta lysate at 20 µg

Secondary

All lanes:

Western blot - Goat Anti-Rabbit IgG H&L (HRP) (<a href='/en-us/products/secondary-antibodies/goat-rabbit-igg-h-l-hrp-ab97051'>ab97051</a>) at 1/20000 dilution

Predicted band size: 23 kDa

Observed band size: 25 kDa

false

Key facts

Host species

Rabbit

Clonality

Monoclonal

Clone number

EP2839Y

Isotype

IgG

Carrier free

No

Reacts with

Rat, Human, Mouse

Applications

IP, Flow Cyt (Intra), IHC-P, ICC/IF, WB

applications

Immunogen

The exact immunogen used to generate this antibody is proprietary information.

Reactivity data

{ "title": "Reactivity Data", "filters": { "stats": ["", "Species", "Dilution Info", "Notes"], "tabs": { "all-applications": {"fullname" : "All Applications", "shortname": "All Applications"}, "ICCIF" : {"fullname" : "Immunocytochemistry/ Immunofluorescence", "shortname":"ICC/IF"}, "IP" : {"fullname" : "Immunoprecipitation", "shortname":"IP"}, "WB" : {"fullname" : "Western blot", "shortname":"WB"}, "IHCP" : {"fullname" : "Immunohistochemistry (Formalin/PFA-fixed paraffin-embedded sections)", "shortname":"IHC-P"}, "FlowCytIntra" : {"fullname" : "Flow Cytometry (Intracellular)", "shortname":"Flow Cyt (Intra)"} }, "product-promise": { "all": "all", "testedAndGuaranteed": "tested", "guaranteed": "expected", "predicted": "predicted", "notRecommended": "not-recommended" } }, "values": { "Human": { "ICCIF-species-checked": "testedAndGuaranteed", "ICCIF-species-dilution-info": "1/250", "ICCIF-species-notes": "<p></p>", "IP-species-checked": "testedAndGuaranteed", "IP-species-dilution-info": "1/20", "IP-species-notes": "<p></p>", "WB-species-checked": "testedAndGuaranteed", "WB-species-dilution-info": "1/1000", "WB-species-notes": "<p></p>", "IHCP-species-checked": "testedAndGuaranteed", "IHCP-species-dilution-info": "1/100 - 1/250", "IHCP-species-notes": "<p></p>", "FlowCytIntra-species-checked": "testedAndGuaranteed", "FlowCytIntra-species-dilution-info": "1/20", "FlowCytIntra-species-notes": "<p></p>" }, "Mouse": { "ICCIF-species-checked": "guaranteed", "ICCIF-species-dilution-info": "", "ICCIF-species-notes": "", "IP-species-checked": "guaranteed", "IP-species-dilution-info": "", "IP-species-notes": "", "WB-species-checked": "testedAndGuaranteed", "WB-species-dilution-info": "1/1000", "WB-species-notes": "<p></p>", "IHCP-species-checked": "testedAndGuaranteed", "IHCP-species-dilution-info": "1/100 - 1/250", "IHCP-species-notes": "<p></p>", "FlowCytIntra-species-checked": "guaranteed", "FlowCytIntra-species-dilution-info": "", "FlowCytIntra-species-notes": "" }, "Rat": { "ICCIF-species-checked": "guaranteed", "ICCIF-species-dilution-info": "", "ICCIF-species-notes": "", "IP-species-checked": "guaranteed", "IP-species-dilution-info": "", "IP-species-notes": "", "WB-species-checked": "testedAndGuaranteed", "WB-species-dilution-info": "1/1000", "WB-species-notes": "<p></p>", "IHCP-species-checked": "testedAndGuaranteed", "IHCP-species-dilution-info": "1/100 - 1/250", "IHCP-species-notes": "<p></p>", "FlowCytIntra-species-checked": "guaranteed", "FlowCytIntra-species-dilution-info": "", "FlowCytIntra-species-notes": "" } } }

Product details

Patented technology
Our RabMAb® technology is a patented hybridoma-based technology for making rabbit monoclonal antibodies. For details on our patents, please refer to RabMAb® patents.

What are the advantages of a recombinant monoclonal antibody?
This product is a recombinant monoclonal antibody, which offers several advantages including:

  • - High batch-to-batch consistency and reproducibility
  • - Improved sensitivity and specificity
  • - Long-term security of supply
  • - Animal-free batch production

For more information, read more on recombinant antibodies.

Properties and storage information

Form
Liquid
Purification technique
Affinity purification Protein A
Storage buffer
pH: 7.2 - 7.4 Preservative: 0.01% Sodium azide Constituents: PBS, 40% Glycerol (glycerin, glycerine), 0.05% BSA
Shipped at conditions
Blue Ice
Appropriate short-term storage conditions
+4°C
Appropriate long-term storage conditions
-20°C
Aliquoting information
Upon delivery aliquot
Storage information
Avoid freeze / thaw cycle

Product protocols

For this product, it's our understanding that no specific protocols are required. You can visit:

Target data

Multifunctional protein with various roles in different cellular compartments. May act in a redox sensitive manner. Associates with chromatin and binds DNA with a preference for non-canonical DNA structures such as single-stranded DNA. Can bend DNA and enhance DNA flexibility by looping thus providing a mechanism to promote activities on various gene promoters (By similarity). Proposed to be involved in the innate immune response to nucleic acids by acting as a cytoplasmic promiscuous immunogenic DNA/RNA sensor (By similarity). Negatively regulates B-cell and myeloid cell differentiation. In hematopoietic stem cells may regulate the balance between self-renewal and differentiation. Involved in negative regulation of canonical Wnt signaling (By similarity).
See full target information HMGB3

Publications (13)

Recent publications for all applications. Explore the full list and refine your search

Genes 16: PubMed41009989

2025

High-Mobility Group Box Protein 3 (HMGB3) Facilitates DNA Interstrand Crosslink Processing and Double-Strand Break Repair in Human Cells.

Applications

Unspecified application

Species

Unspecified reactive species

Jillian Dangerfield,Anirban Mukherjee,Wade Reh,Anna Battenhouse,Karen M Vasquez

Particle and fibre toxicology 21:12 PubMed38454505

2024

Macrophage-derived exosomal HMGB3 regulates silica-induced pulmonary inflammation by promoting M1 macrophage polarization and recruitment.

Applications

Unspecified application

Species

Unspecified reactive species

Xiaofeng Qin,Zhiyuan Niu,Hui Chen,Yongbin Hu

Cell cycle (Georgetown, Tex.) 22:2584-2601 PubMed38197217

2024

Translocated HMGB3 is involved in papillary thyroid cancer progression by activating cytoplasmic TLR3 and transmembrane TREM1.

Applications

Unspecified application

Species

Unspecified reactive species

Yang Zhao,Hong-Jun Lv,Xue-Yang Deng,Pu Chen,Malgorzata A Garstka,Bing-Yin Shi,Jiao Fu

The Prostate 83:440-453 PubMed36541373

2022

SOX9 and HMGB3 co-operatively transactivate NANOG and promote prostate cancer progression.

Applications

Unspecified application

Species

Unspecified reactive species

Yunyi Xu,Miao Xu,Xinglan Li,Xin Weng,Zhengzheng Su,Mengni Zhang,Junya Tan,Hao Zeng,Xun Li,Ling Nie,Jing Gong,Ni Chen,Xueqin Chen,Qiao Zhou

Andrology 11:641-650 PubMed36053124

2022

Plasmacytoma variant translocation 1 inhibits miR-515-5p function and modulates high mobility group B3 to promote the growth of prostate cancer cells.

Applications

Unspecified application

Species

Unspecified reactive species

Xueying Zhu,Jian Kang,Yupeng Ma,Qi Wang,Weiwu Li,Juan Su,Xinqi Zhang

Cell death & disease 13:263 PubMed35332131

2022

HMGB3 promotes PARP inhibitor resistance through interacting with PARP1 in ovarian cancer.

Applications

Unspecified application

Species

Unspecified reactive species

Hanlin Ma,Gonghua Qi,Fang Han,Wei Lu,Jiali Peng,Rongrong Li,Shi Yan,Cunzhong Yuan,Beihua Kong

Experimental & molecular medicine 53:1218-1228 PubMed34408262

2021

LINC00319 promotes cancer stem cell-like properties in laryngeal squamous cell carcinoma via E2F1-mediated upregulation of HMGB3.

Applications

Unspecified application

Species

Unspecified reactive species

Linlin Yuan,Xiufen Tian,Yanfei Zhang,Xinhui Huang,Qing Li,Wencai Li,Shenglei Li

BMC pulmonary medicine 21:191 PubMed34092219

2021

Down-regulation of SNHG16 alleviates the acute lung injury in sepsis rats through miR-128-3p/HMGB3 axis.

Applications

Unspecified application

Species

Unspecified reactive species

Junli Sun,Keke Xin,Chenghui Leng,Jianlin Ge

Cell death & disease 12:554 PubMed34050127

2021

Nuclear exosome HMGB3 secreted by nasopharyngeal carcinoma cells promotes tumour metastasis by inducing angiogenesis.

Applications

Unspecified application

Species

Unspecified reactive species

Kaiwen Zhang,Dong Liu,Jianmei Zhao,Si Shi,Xin He,Peng Da,Yiwen You,Bo You

Aging 13:14304-14321 PubMed34016791

2021

Accumulation of CD45RO+CD8+ T cells is a diagnostic and prognostic biomarker for clear cell renal cell carcinoma.

Applications

Unspecified application

Species

Unspecified reactive species

Ke Wu,Xinyi Zheng,Zhixian Yao,Zhong Zheng,Wenjie Huang,Xingyu Mu,Feng Sun,Zhihong Liu,Junhua Zheng
View all publications

Product promise

We are committed to supporting your work with high-quality reagents, and we're here for you every step of the way. In the unlikely event that one of our products does not perform as expected, you're protected by our Product Promise.
For full details, please see our Terms & Conditions

Please note: All products are 'FOR RESEARCH USE ONLY. NOT FOR USE IN DIAGNOSTIC OR THERAPEUTIC PROCEDURES'.

For licensing inquiries, please contact partnerships@abcam.com