JavaScript is disabled in your browser. Please enable JavaScript to view this website.
AB284717

Anti-HMG4 antibody [EP2839Y] - BSA and Azide free

Be the first to review this product! Submit a review

|

(0 Publication)

Rabbit Recombinant Monoclonal HMG4 antibody. Carrier free. Suitable for ICC/IF, IP, WB, IHC-P, Flow Cyt (Intra) and reacts with Human, Mouse, Rat samples.

View Alternative Names

HMG2A, HMG4, HMGB3, High mobility group protein B3, High mobility group protein 2a, High mobility group protein 4, HMG-2a, HMG-4

8 Images
Immunohistochemistry (Formalin/PFA-fixed paraffin-embedded sections) - Anti-HMG4 antibody [EP2839Y] - BSA and Azide free (AB284717)
  • IHC-P

Lab

Immunohistochemistry (Formalin/PFA-fixed paraffin-embedded sections) - Anti-HMG4 antibody [EP2839Y] - BSA and Azide free (AB284717)

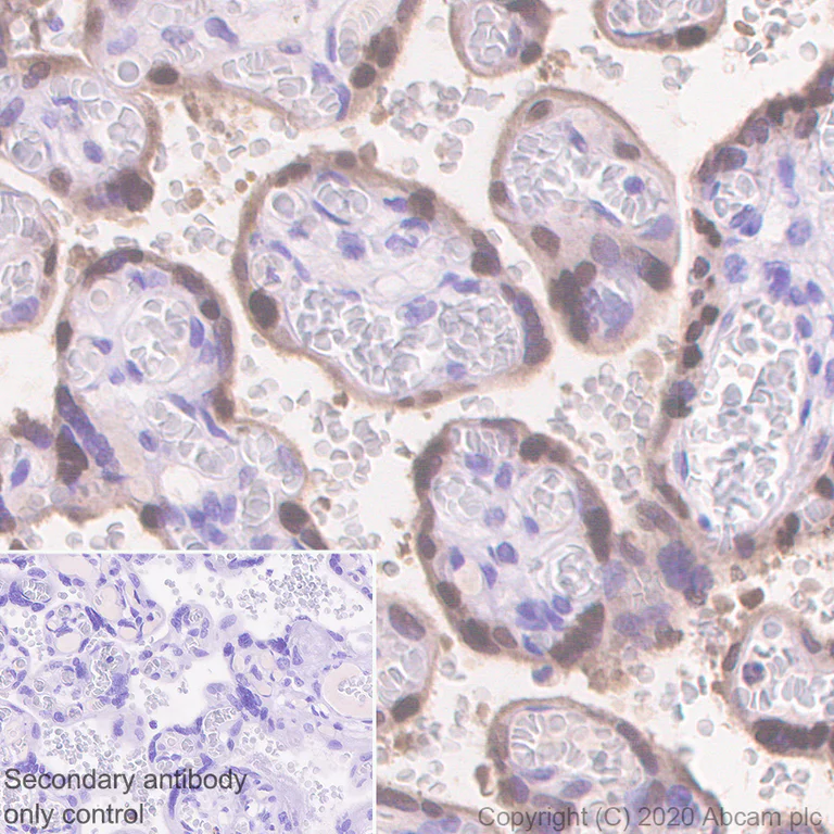
This data was developed using ab75782, the same antibody clone in a different buffer formulation.Immunohistochemistry (Formalin/PFA-fixed paraffin-embedded sections) analysis of human placenta tissue sections labeling HMG4 with Purified ab75782 at 1/100 dilution (1.13 μg/ml). Heat mediated antigen retrieval using Bond™ Epitope Retrieval Solution 2 (pH 9.0). Rabbit specific IHC polymer detection kit HRP/DAB (ab209101) was used as the secondary antibody. Negative control : PBS instead of the primary antibody. Hematoxylin was used as a counterstain.

Immunocytochemistry/ Immunofluorescence - Anti-HMG4 antibody [EP2839Y] - BSA and Azide free (AB284717)
  • ICC/IF

Lab

Immunocytochemistry/ Immunofluorescence - Anti-HMG4 antibody [EP2839Y] - BSA and Azide free (AB284717)

This data was developed using ab75782, the same antibody clone in a different buffer formulation.

Immunocytochemistry analysis of 293T (Human embryonic kidney epithelial cell) cells labeling HMG4 with Purified ab75782 at 1/250 dilution (0.452 μg/ml). Cells were fixed in 4% Paraformaldehyde and permeabilized with 0.1% tritonX-100. Cells were counterstained with ab195889 Anti-alpha Tubulin antibody [DM1A] - Microtubule Marker (Alexa Fluor® 594) 1/200 (2.5 μg/ml). Goat anti rabbit IgG (Alexa Fluor® 488,ab150077) was used as the secondary antibody at 1/1000 (2 μg/ml) dilution. DAPI (blue) was used as nuclear counterstain. PBS instead of the primary antibody was used as the secondary antibody only control.

Flow Cytometry (Intracellular) - Anti-HMG4 antibody [EP2839Y] - BSA and Azide free (AB284717)
  • Flow Cyt (Intra)

Lab

Flow Cytometry (Intracellular) - Anti-HMG4 antibody [EP2839Y] - BSA and Azide free (AB284717)

This data was developed using ab75782, the same antibody clone in a different buffer formulation.Intracellular Flow Cytometry analysis of HeLa (Human cervix adenocarcinoma epithelial cell) cells labeling HMG4 with Purified ab75782 at 1/20 dilution (10 µg/ml) (Red). Cells were fixed with 4% Paraformaldehyde and permeabilised with 90% Methanol. A Goat anti rabbit IgG (Alexa Fluor® 488, ab150077) secondary antibody was used at 1/2000. Isotype control - Rabbit monoclonal IgG (Black). Unlabeled control - Cell without incubation with primary antibody and secondary antibody (Blue).

Immunoprecipitation - Anti-HMG4 antibody [EP2839Y] - BSA and Azide free (AB284717)
  • IP

Lab

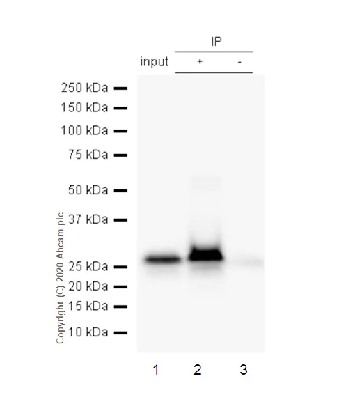
Immunoprecipitation - Anti-HMG4 antibody [EP2839Y] - BSA and Azide free (AB284717)

This data was developed using ab75782, the same antibody clone in a different buffer formulation.

Purified ab75782 at 1/20 dilution (0.5μg) immunoprecipitating HMG4 in HeLa whole cell lysate.

Lane 1 : HeLa (Human cervix adenocarcinoma epithelial cell) whole cell lysate 10μg
Lane 2 : ab75782 + HeLa whole cell lysate.
Lane 3 : Rabbit monoclonal IgG (ab172730) instead of ab75782 in HeLa whole cell lysate.

VeriBlot for IP Detection Reagent (HRP)(ab131366) (1/1000 dilution) was used for Western blotting.

Blocking Buffer and concentration : 5% NFDM/TBST.

Observed band size : 25 kDa

All lanes:

Immunoprecipitation - Anti-HMG4 antibody [EP2839Y] (<a href='/en-us/products/primary-antibodies/hmg4-antibody-ep2839y-ab75782'>ab75782</a>)

Predicted band size: 23 kDa

false

Immunohistochemistry (Formalin/PFA-fixed paraffin-embedded sections) - Anti-HMG4 antibody [EP2839Y] - BSA and Azide free (AB284717)
  • IHC-P

Lab

Immunohistochemistry (Formalin/PFA-fixed paraffin-embedded sections) - Anti-HMG4 antibody [EP2839Y] - BSA and Azide free (AB284717)

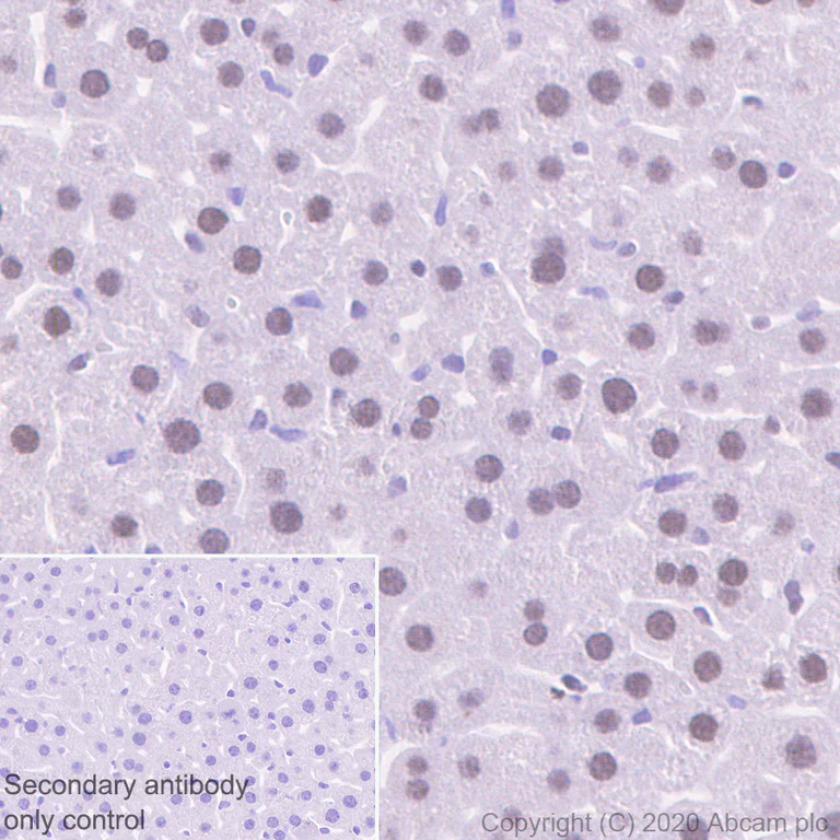
This data was developed using ab75782, the same antibody clone in a different buffer formulation.Immunohistochemistry (Formalin/PFA-fixed paraffin-embedded sections) analysis of mouse liver tissue sections labeling HMG4 with Purified ab75782 at 1/100 dilution (1.13 μg/ml). Heat mediated antigen retrieval using Bond™ Epitope Retrieval Solution 2 (pH 9.0). Rabbit specific IHC polymer detection kit HRP/DAB (ab209101) was used as the secondary antibody. Negative control : PBS instead of the primary antibody. Hematoxylin was used as a counterstain.

Immunohistochemistry (Formalin/PFA-fixed paraffin-embedded sections) - Anti-HMG4 antibody [EP2839Y] - BSA and Azide free (AB284717)
  • IHC-P

Lab

Immunohistochemistry (Formalin/PFA-fixed paraffin-embedded sections) - Anti-HMG4 antibody [EP2839Y] - BSA and Azide free (AB284717)

This data was developed using ab75782, the same antibody clone in a different buffer formulation.Immunohistochemistry (Formalin/PFA-fixed paraffin-embedded sections) analysis of rat liver tissue sections labeling HMG4 with Purified ab75782 at 1/100 dilution (1.13 μg/ml). Heat mediated antigen retrieval using Bond™ Epitope Retrieval Solution 2 (pH 9.0). Rabbit specific IHC polymer detection kit HRP/DAB (ab209101) was used as the secondary antibody. Negative control : PBS instead of the primary antibody. Hematoxylin was used as a counterstain.

Western blot - Anti-HMG4 antibody [EP2839Y] - BSA and Azide free (AB284717)
  • WB

Unknown

Western blot - Anti-HMG4 antibody [EP2839Y] - BSA and Azide free (AB284717)

This data was developed using ab75782, the same antibody clone in a different buffer formulation.

Blocking buffer : 5% NFDM/TBST

All lanes:

Western blot - Anti-HMG4 antibody [EP2839Y] (<a href='/en-us/products/primary-antibodies/hmg4-antibody-ep2839y-ab75782'>ab75782</a>) at 1/5000 dilution

All lanes:

HeLa (Human cervix adenocarcinoma epithelial cell) whole cell lysate at 15 µg

Secondary

All lanes:

Western blot - Goat Anti-Rabbit IgG H&L (HRP) (<a href='/en-us/products/secondary-antibodies/goat-rabbit-igg-h-l-hrp-ab97051'>ab97051</a>) at 1/20000 dilution

Predicted band size: 23 kDa

Observed band size: 25 kDa

false

Western blot - Anti-HMG4 antibody [EP2839Y] - BSA and Azide free (AB284717)
  • WB

Unknown

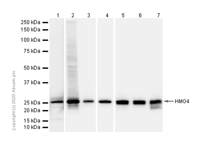
Western blot - Anti-HMG4 antibody [EP2839Y] - BSA and Azide free (AB284717)

This data was developed using ab75782, the same antibody clone in a different buffer formulation.

Blocking buffer : 5% NFDM/TBST

All lanes:

Western blot - Anti-HMG4 antibody [EP2839Y] (<a href='/en-us/products/primary-antibodies/hmg4-antibody-ep2839y-ab75782'>ab75782</a>) at 1/1000 dilution

Lane 1:

Human bladder lysate at 20 µg

Lane 2:

Human placenta lysate at 20 µg

Lane 3:

Mouse brain lysate at 20 µg

Lane 4:

Mouse bladder lysate at 20 µg

Lane 5:

Rat brain lysate at 20 µg

Lane 6:

Rat bladder lysate at 20 µg

Lane 7:

Rat placenta lysate at 20 µg

Secondary

All lanes:

Western blot - Goat Anti-Rabbit IgG H&L (HRP) (<a href='/en-us/products/secondary-antibodies/goat-rabbit-igg-h-l-hrp-ab97051'>ab97051</a>) at 1/20000 dilution

Predicted band size: 23 kDa

Observed band size: 25 kDa

false

Key facts

Host species

Rabbit

Clonality

Monoclonal

Clone number

EP2839Y

Isotype

IgG

Carrier free

Yes

Reacts with

Rat, Human, Mouse

Applications

IHC-P, Flow Cyt (Intra), WB, ICC/IF, IP

applications

Immunogen

The exact immunogen used to generate this antibody is proprietary information.

Reactivity data

{ "title": "Reactivity Data", "filters": { "stats": ["", "Species", "Dilution Info", "Notes"], "tabs": { "all-applications": {"fullname" : "All Applications", "shortname": "All Applications"}, "ICCIF" : {"fullname" : "Immunocytochemistry/ Immunofluorescence", "shortname":"ICC/IF"}, "IP" : {"fullname" : "Immunoprecipitation", "shortname":"IP"}, "WB" : {"fullname" : "Western blot", "shortname":"WB"}, "IHCP" : {"fullname" : "Immunohistochemistry (Formalin/PFA-fixed paraffin-embedded sections)", "shortname":"IHC-P"}, "FlowCytIntra" : {"fullname" : "Flow Cytometry (Intracellular)", "shortname":"Flow Cyt (Intra)"} }, "product-promise": { "all": "all", "testedAndGuaranteed": "tested", "guaranteed": "expected", "predicted": "predicted", "notRecommended": "not-recommended" } }, "values": { "Human": { "ICCIF-species-checked": "testedAndGuaranteed", "ICCIF-species-dilution-info": "", "ICCIF-species-notes": "<p></p>", "IP-species-checked": "testedAndGuaranteed", "IP-species-dilution-info": "", "IP-species-notes": "<p></p>", "WB-species-checked": "testedAndGuaranteed", "WB-species-dilution-info": "", "WB-species-notes": "<p></p>", "IHCP-species-checked": "testedAndGuaranteed", "IHCP-species-dilution-info": "", "IHCP-species-notes": "<p></p>", "FlowCytIntra-species-checked": "testedAndGuaranteed", "FlowCytIntra-species-dilution-info": "", "FlowCytIntra-species-notes": "<p></p>" }, "Mouse": { "ICCIF-species-checked": "guaranteed", "ICCIF-species-dilution-info": "", "ICCIF-species-notes": "", "IP-species-checked": "guaranteed", "IP-species-dilution-info": "", "IP-species-notes": "", "WB-species-checked": "testedAndGuaranteed", "WB-species-dilution-info": "", "WB-species-notes": "<p></p>", "IHCP-species-checked": "testedAndGuaranteed", "IHCP-species-dilution-info": "", "IHCP-species-notes": "<p></p>", "FlowCytIntra-species-checked": "guaranteed", "FlowCytIntra-species-dilution-info": "", "FlowCytIntra-species-notes": "" }, "Rat": { "ICCIF-species-checked": "guaranteed", "ICCIF-species-dilution-info": "", "ICCIF-species-notes": "", "IP-species-checked": "guaranteed", "IP-species-dilution-info": "", "IP-species-notes": "", "WB-species-checked": "testedAndGuaranteed", "WB-species-dilution-info": "", "WB-species-notes": "<p></p>", "IHCP-species-checked": "testedAndGuaranteed", "IHCP-species-dilution-info": "", "IHCP-species-notes": "<p></p>", "FlowCytIntra-species-checked": "guaranteed", "FlowCytIntra-species-dilution-info": "", "FlowCytIntra-species-notes": "" } } }

Product details

ab284717 is the carrier-free version of ab75782

Patented technology
Our RabMAb® technology is a patented hybridoma-based technology for making rabbit monoclonal antibodies. For details on our patents, please refer to RabMAb® patents.

What are the advantages of a recombinant monoclonal antibody?
This product is a recombinant monoclonal antibody, which offers several advantages including:

  • - High batch-to-batch consistency and reproducibility
  • - Improved sensitivity and specificity
  • - Long-term security of supply
  • - Animal-free batch production

For more information, read more on recombinant antibodies.

Conjugation ready
Our carrier-free antibodies are typically supplied in a PBS-only formulation, purified and free of BSA, sodium azide and glycerol. This conjugation-ready format is designed for use with fluorochromes, metal isotopes, oligonucleotides, and enzymes, which makes them ideal for antibody labelling, functional and cell-based assays, flow-based assays (e.g. mass cytometry) and Multiplex Imaging applications.

Use our conjugation kits for antibody conjugates that are ready-to-use in as little as 20 minutes with 1 minute hands-on-time and 100% antibody recovery: available for fluorescent dyes, HRP, biotin and gold.

Compatibility
This product is compatible with the Maxpar® Antibody Labeling Kit from Fluidigm, without the need for antibody preparation. Maxpar® is a trademark of Fluidigm Canada Inc.

Properties and storage information

Form
Liquid
Purification technique
Affinity purification Protein A
Storage buffer
pH: 7.2 - 7.4 Constituents: PBS
Shipped at conditions
Blue Ice
Appropriate short-term storage conditions
+4°C
Appropriate long-term storage conditions
+4°C

Product protocols

For this product, it's our understanding that no specific protocols are required. You can visit:

Target data

Multifunctional protein with various roles in different cellular compartments. May act in a redox sensitive manner. Associates with chromatin and binds DNA with a preference for non-canonical DNA structures such as single-stranded DNA. Can bend DNA and enhance DNA flexibility by looping thus providing a mechanism to promote activities on various gene promoters (By similarity). Proposed to be involved in the innate immune response to nucleic acids by acting as a cytoplasmic promiscuous immunogenic DNA/RNA sensor (By similarity). Negatively regulates B-cell and myeloid cell differentiation. In hematopoietic stem cells may regulate the balance between self-renewal and differentiation. Involved in negative regulation of canonical Wnt signaling (By similarity).
See full target information HMGB3

Product promise

We are committed to supporting your work with high-quality reagents, and we're here for you every step of the way. In the unlikely event that one of our products does not perform as expected, you're protected by our Product Promise.
For full details, please see our Terms & Conditions

Please note: All products are 'FOR RESEARCH USE ONLY. NOT FOR USE IN DIAGNOSTIC OR THERAPEUTIC PROCEDURES'.

For licensing inquiries, please contact partnerships@abcam.com