JavaScript is disabled in your browser. Please enable JavaScript to view this website.
AB255277

Anti-HMGA1 antibody [EPR22421-101] - BSA and Azide free

Be the first to review this product! Submit a review

|

(1 Publication)

Rabbit Recombinant Monoclonal HMGA1 antibody. Carrier free. Suitable for IP, ChIP, WB, ICC/IF, Flow Cyt (Intra), IHC-P and reacts with Human, Mouse samples. Cited in 1 publication.

View Alternative Names

HMGIY, HMGA1, High mobility group protein HMG-I/HMG-Y, HMG-I(Y), High mobility group AT-hook protein 1, High mobility group protein R, High mobility group protein A1

10 Images
Immunohistochemistry (Formalin/PFA-fixed paraffin-embedded sections) - Anti-HMGA1 antibody [EPR22421-101] - BSA and Azide free (AB255277)
  • IHC-P

Unknown

Immunohistochemistry (Formalin/PFA-fixed paraffin-embedded sections) - Anti-HMGA1 antibody [EPR22421-101] - BSA and Azide free (AB255277)

Immunohistochemical analysis of paraffin-embedded human testis tissue labeling HMGA1 with ab252930 at 1/5000 dilution, followed by a ready to use Goat Anti-Rabbit IgG H&L (HRP). Positive staining in germ cells of human testis (PMID : 17935122) is observed. Counterstained with hematoxylin.

Secondary antibody only control : Used PBS instead of primary antibody, secondary antibody is a ready to use Goat Anti-Rabbit IgG H&L (HRP).

Perform heat mediated antigen retrieval using ab93684 (Tris/EDTA buffer, pH 9.0).

This data was developed using the same antibody clone in a different buffer formulation containing PBS, BSA, glycerol, and sodium azide (ab252930).

Flow Cytometry (Intracellular) - Anti-HMGA1 antibody [EPR22421-101] - BSA and Azide free (AB255277)
  • Flow Cyt (Intra)

Unknown

Flow Cytometry (Intracellular) - Anti-HMGA1 antibody [EPR22421-101] - BSA and Azide free (AB255277)

Intracellular flow cytometric analysis of 4% paraformaldehyde-fixed, 90% methanol permeabilized MCF7 (Human breast adenocarcinoma epithelial cell, Left) / NCCIT (Human pluripotent embryonic carcinoma epithelial cell, Right) cell lines labeling HMGA1 with ab252930 at 1/600 (red) compared with a Rabbit monoclonal IgG (ab172730) (black) and an unlabeled control (cells without incubation with primary antibody and secondary antibody) (blue). Goat anti rabbit IgG (Alexa Fluor® 488, ab150077), at 1/2000 dilution was used as the secondary antibody. Weak expression control : MCF7 (PMID : 12640109).

This data was developed using the same antibody clone in a different buffer formulation containing PBS, BSA, glycerol, and sodium azide (ab252930).

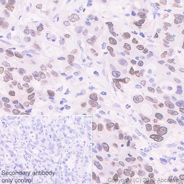
Immunohistochemistry (Formalin/PFA-fixed paraffin-embedded sections) - Anti-HMGA1 antibody [EPR22421-101] - BSA and Azide free (AB255277)
  • IHC-P

Unknown

Immunohistochemistry (Formalin/PFA-fixed paraffin-embedded sections) - Anti-HMGA1 antibody [EPR22421-101] - BSA and Azide free (AB255277)

Immunohistochemical analysis of paraffin-embedded human pancreas cancer tissue labeling HMGA1 with ab252930 at 1/5000 dilution, followed by a ready to use Goat Anti-Rabbit IgG H&L (HRP). Positive staining in human pancreas cancer (PMID : 18473350) is observed. Counterstained with hematoxylin.

Secondary antibody only control : Used PBS instead of primary antibody, secondary antibody is a ready to use Goat Anti-Rabbit IgG H&L (HRP).

Perform heat mediated antigen retrieval using ab93684 (Tris/EDTA buffer, pH 9.0).

This data was developed using the same antibody clone in a different buffer formulation containing PBS, BSA, glycerol, and sodium azide (ab252930).

Immunocytochemistry/ Immunofluorescence - Anti-HMGA1 antibody [EPR22421-101] - BSA and Azide free (AB255277)
  • ICC/IF

Unknown

Immunocytochemistry/ Immunofluorescence - Anti-HMGA1 antibody [EPR22421-101] - BSA and Azide free (AB255277)

Immunofluorescent analysis of 4% paraformaldehyde-fixed, 0.1% Triton X-100 permeabilized NCCIT (human pluripotent embryonic carcinoma epithelial cell) cells labeling HMGA1 with ab252930 at 1/500 dilution, followed by Goat Anti-Rabbit IgG H&L (Alexa Fluor® 488) (ab150077) secondary antibody at 1/1000 dilution (green). Confocal image showing nuclear staining in NCCIT cell line. Low expression cell line : MCF7?PMID : 12640109). The nuclear counter stain is DAPI (blue). Counterstained with ab195889 Anti-alpha Tubulin antibody [DM1A] - Microtubule Marker (Alexa Fluor® 594) at a 1/200 dilution (red).

The negative control is the secondary antibody only.

This data was developed using the same antibody clone in a different buffer formulation containing PBS, BSA, glycerol, and sodium azide (ab252930).

Immunohistochemistry (Formalin/PFA-fixed paraffin-embedded sections) - Anti-HMGA1 antibody [EPR22421-101] - BSA and Azide free (AB255277)
  • IHC-P

Unknown

Immunohistochemistry (Formalin/PFA-fixed paraffin-embedded sections) - Anti-HMGA1 antibody [EPR22421-101] - BSA and Azide free (AB255277)

Immunohistochemical analysis of paraffin-embedded human lung cancer tissue labeling HMGA1 with ab252930 at 1/5000 dilution, followed by a ready to use Goat Anti-Rabbit IgG H&L (HRP). Positive staining in human lung cancer (PMID : 25344216) is observed. Counterstained with hematoxylin.

Secondary antibody only control : Used PBS instead of primary antibody, secondary antibody is a ready to use Goat Anti-Rabbit IgG H&L (HRP).

Perform heat mediated antigen retrieval using ab93684 (Tris/EDTA buffer, pH 9.0).

This data was developed using the same antibody clone in a different buffer formulation containing PBS, BSA, glycerol, and sodium azide (ab252930).

Immunoprecipitation - Anti-HMGA1 antibody [EPR22421-101] - BSA and Azide free (AB255277)
  • IP

Supplier Data

Immunoprecipitation - Anti-HMGA1 antibody [EPR22421-101] - BSA and Azide free (AB255277)

HMGA1 was immunoprecipitated from 0.35mg of EL4 (mouse lymphoma T lymphocyte) whole cell lysate with ab252930 at 1/30 dilution.

Blocking and dilution buffer and concentration : 5% NFDM/TBST.

This data was developed using the same antibody clone in a different buffer formulation containing PBS, BSA, glycerol, and sodium azide (ab252930).

All lanes:

Immunoprecipitation - Anti-HMGA1 antibody [EPR22421-101] - ChIP Grade (<a href='/en-us/products/primary-antibodies/hmga1-antibody-epr22421-101-chip-grade-ab252930'>ab252930</a>) at 1/1000 dilution

Lane 1:

EL4 (mouse lymphoma T lymphocyte) whole cell lysate at 10 µg

Lane 2:

<a href='/en-us/products/primary-antibodies/hmga1-antibody-epr22421-101-chip-grade-ab252930'>ab252930</a> IP in EL4 (mouse lymphoma T lymphocyte) whole cell lysate at 10 µg

Lane 3:

Rabbit monoclonal IgG (<a href='/en-us/products/primary-antibodies/rabbit-igg-monoclonal-epr25a-isotype-control-ab172730'>ab172730</a>) instead of <a href='/en-us/products/primary-antibodies/hmga1-antibody-epr22421-101-chip-grade-ab252930'>ab252930</a> in EL4 (human epidermoid carcinoma) whole cell lysate at 10 µg

Secondary

All lanes:

Immunoprecipitation - VeriBlot for IP Detection Reagent (HRP) (<a href='/en-us/products/reagents/veriblot-for-ip-detection-reagent-hrp-ab131366'>ab131366</a>) at 1/5000 dilution

Predicted band size: 17 kDa

Observed band size: 12 kDa

false

Exposure time: 180s

ChIP - Anti-HMGA1 antibody [EPR22421-101] - BSA and Azide free (AB255277)
  • ChIP

Supplier Data

ChIP - Anti-HMGA1 antibody [EPR22421-101] - BSA and Azide free (AB255277)

Chromatin was prepared from EL4 cells according to the Abcam X-ChIP protocol. Cells were fixed with formaldehyde for 10min.

The ChIP was performed with 25 μg of chromatin, 5 μg of ab252930 (red) or 5 μg of rabbit normal IgG (gray) was added to 20 μl of Protein A/G sepharose beads. The immunoprecipitated DNA was quantified by real time PCR (sybr green approach).

Primers and probes are located in the first kb of the transcribed region.

This data was developed using the same antibody clone in a different buffer formulation containing PBS, BSA, glycerol, and sodium azide (ab252930).

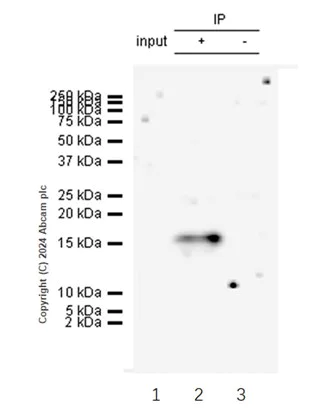
Immunoprecipitation - Anti-HMGA1 antibody [EPR22421-101] - BSA and Azide free (AB255277)
  • IP

Unknown

Immunoprecipitation - Anti-HMGA1 antibody [EPR22421-101] - BSA and Azide free (AB255277)

HMGA1 was immunoprecipitated from 0.35 mg HCT 116 (Human colorectal carcinoma epithelial cell) whole cell lysate with ab252930 at 1/30 dilution. Western blot was performed from the immunoprecipitate using ab252930 at 1/1000 dilution. VeriBlot for IP Detection Reagent (HRP) (ab131366), was used at 1/5000 dilution.

Lane 1 : HCT 116 whole cell lysate 10 μg (Input).
Lane 2 : ab252930 IP in HCT 116 whole cell lysate.
Lane 3 : Rabbit monoclonal IgG (ab172730) instead of ab252930 in HCT 116 whole cell lysate.

Blocking/Dilution buffer : 5% NFDM/TBST.
Exposure time : 40 seconds.

This data was developed using the same antibody clone in a different buffer formulation containing PBS, BSA, glycerol, and sodium azide (ab252930).

All lanes:

Immunoprecipitation - Anti-HMGA1 antibody [EPR22421-101] - ChIP Grade (<a href='/en-us/products/primary-antibodies/hmga1-antibody-epr22421-101-chip-grade-ab252930'>ab252930</a>)

Predicted band size: 12 kDa

Observed band size: 17 kDa

false

Western blot - Anti-HMGA1 antibody [EPR22421-101] - BSA and Azide free (AB255277)
  • WB

Lab

Western blot - Anti-HMGA1 antibody [EPR22421-101] - BSA and Azide free (AB255277)

Blocking buffer and concentration : 5% NFDM/TBST Diluting buffer and concentration : 5% NFDM/TBST This data was developed using the same antibody clone in a different buffer formulation containing PBS, BSA, glycerol, and sodium azide (ab252930).

Lanes 1 - 3:

Western blot - Anti-HMGA1 antibody [EPR22421-101] - BSA and Azide free (ab255277) at 1/1000 dilution

Lanes 1 - 3:

Western blot - Anti-HMGA1 antibody [EPR22421-101] - ChIP Grade (<a href='/en-us/products/primary-antibodies/hmga1-antibody-epr22421-101-chip-grade-ab252930'>ab252930</a>) at 1/1000 dilution

Lane 1:

MDA-MB-231 (Human breast adenocarcinoma epithelial cell) nuclear fraction lysate at 15 µg

Lane 2:

MDA-MB-231 (Human breast adenocarcinoma epithelial cell) cytoplasm fraction lysate at 15 µg

Lane 3:

MDA-MB-231 (Human breast adenocarcinoma epithelial cell) membrane fraction lysate at 15 µg

Secondary

All lanes:

Western blot - Goat Anti-Rabbit IgG H&L (HRP) (<a href='/en-us/products/secondary-antibodies/goat-rabbit-igg-h-l-hrp-ab97051'>ab97051</a>) at 1/20000 dilution

Predicted band size: 12 kDa

Observed band size: 17 kDa

false

Exposure time: 10s

Western blot - Anti-HMGA1 antibody [EPR22421-101] - BSA and Azide free (AB255277)
  • WB

Lab

Western blot - Anti-HMGA1 antibody [EPR22421-101] - BSA and Azide free (AB255277)

Blocking buffer and concentration : 5% NFDM/TBST Diluting buffer and concentration : 5% NFDM/TBST We recommend using 1% SDS Hot lysis prepare method to get desired Western Blot results. This data was developed using the same antibody clone in a different buffer formulation containing PBS, BSA, glycerol, and sodium azide (ab252930).

Lanes 1 - 4:

Western blot - Anti-HMGA1 antibody [EPR22421-101] - BSA and Azide free (ab255277) at 1/1000 dilution

Lanes 1 - 4:

Western blot - Anti-HMGA1 antibody [EPR22421-101] - ChIP Grade (<a href='/en-us/products/primary-antibodies/hmga1-antibody-epr22421-101-chip-grade-ab252930'>ab252930</a>) at 1/1000 dilution

Lane 1:

HCT 116 (Human colorectal carcinoma epithelial cell) whole cell lysate prepared in RIPA lysis method at 20 µg

Lane 2:

HCT 116 (Human colorectal carcinoma epithelial cell) whole cell lysate prepared in 1% SDS Hot lysis method at 20 µg

Lane 3:

MDA-MB-231 (Human breast adenocarcinoma epithelial cell) whole cell lysate prepared in RIPA lysis method at 20 µg

Lane 4:

MDA-MB-231 (Human breast adenocarcinoma epithelial cell) whole cell lysate prepared in 1% SDS Hot lysis method at 20 µg

Secondary

All lanes:

Western blot - Goat Anti-Rabbit IgG H&L (HRP) (<a href='/en-us/products/secondary-antibodies/goat-rabbit-igg-h-l-hrp-ab97051'>ab97051</a>) at 1/20000 dilution

Predicted band size: 12 kDa

Observed band size: 17 kDa

false

Exposure time: 40s

  • Unconjugated

    Anti-HMGA1 antibody [EPR22421-101] - ChIP Grade

  • 775 Alexa Fluor® 750

    Alexa Fluor® 750 Anti-HMGA1 antibody [EPR22421-101] - ChIP Grade

  • 578 PE

    PE Anti-HMGA1 antibody [EPR22421-101] (ChIP Grade)

  • 660 APC

    APC Anti-HMGA1 antibody [EPR22421-101] (ChIP Grade)

  • 617 Alexa Fluor® 594

    Alexa Fluor® 594 Anti-HMGA1 antibody [EPR22421-101] - ChIP Grade

  • 519 Alexa Fluor® 488

    Alexa Fluor® 488 Anti-HMGA1 antibody [EPR22421-101] - ChIP Grade

  • 565 Alexa Fluor® 555

    Alexa Fluor® 555 Anti-HMGA1 antibody [EPR22421-101] - ChIP Grade

  • 603 Alexa Fluor® 568

    Alexa Fluor® 568 Anti-HMGA1 antibody [EPR22421-101] - ChIP Grade

  • HRP

    HRP Anti-HMGA1 antibody [EPR22421-101] (ChIP Grade)

  • 665 Alexa Fluor® 647

    Alexa Fluor® 647 Anti-HMGA1 antibody [EPR22421-101] - ChIP Grade

Key facts

Host species

Rabbit

Clonality

Monoclonal

Clone number

EPR22421-101

Isotype

IgG

Carrier free

Yes

Reacts with

Mouse, Human

Applications

Flow Cyt (Intra), IHC-P, WB, IP, ICC/IF, ChIP

applications

Immunogen

The exact immunogen used to generate this antibody is proprietary information.

Specificity

The Mouse recommendation is based on IP and ChIP results. We do not guarantee WB and IHC for Mouse.

Reactivity data

{ "title": "Reactivity Data", "filters": { "stats": ["", "Species", "Dilution Info", "Notes"], "tabs": { "all-applications": {"fullname" : "All Applications", "shortname": "All Applications"}, "IP" : {"fullname" : "Immunoprecipitation", "shortname":"IP"}, "ChIP" : {"fullname" : "ChIP", "shortname":"ChIP"}, "WB" : {"fullname" : "Western blot", "shortname":"WB"}, "ICCIF" : {"fullname" : "Immunocytochemistry/ Immunofluorescence", "shortname":"ICC/IF"}, "IHCFr" : {"fullname" : "Immunohistochemistry (Frozen sections)", "shortname":"IHC-Fr"}, "FlowCytIntra" : {"fullname" : "Flow Cytometry (Intracellular)", "shortname":"Flow Cyt (Intra)"}, "IHCP" : {"fullname" : "Immunohistochemistry (Formalin/PFA-fixed paraffin-embedded sections)", "shortname":"IHC-P"} }, "product-promise": { "all": "all", "testedAndGuaranteed": "tested", "guaranteed": "expected", "predicted": "predicted", "notRecommended": "not-recommended" } }, "values": { "Human": { "IP-species-checked": "testedAndGuaranteed", "IP-species-dilution-info": "", "IP-species-notes": "<p></p>", "ChIP-species-checked": "guaranteed", "ChIP-species-dilution-info": "", "ChIP-species-notes": "", "WB-species-checked": "testedAndGuaranteed", "WB-species-dilution-info": "", "WB-species-notes": "<p></p>", "ICCIF-species-checked": "testedAndGuaranteed", "ICCIF-species-dilution-info": "", "ICCIF-species-notes": "<p></p>", "IHCFr-species-checked": "notRecommended", "IHCFr-species-dilution-info": "", "IHCFr-species-notes": "<p></p>", "FlowCytIntra-species-checked": "testedAndGuaranteed", "FlowCytIntra-species-dilution-info": "", "FlowCytIntra-species-notes": "<p></p>", "IHCP-species-checked": "testedAndGuaranteed", "IHCP-species-dilution-info": "", "IHCP-species-notes": "<p></p> Perform heat-mediated antigen retrieval with Tris/EDTA buffer pH 9.0 before commencing with IHC staining protocol." }, "Mouse": { "IP-species-checked": "testedAndGuaranteed", "IP-species-dilution-info": "", "IP-species-notes": "<p></p>", "ChIP-species-checked": "testedAndGuaranteed", "ChIP-species-dilution-info": "", "ChIP-species-notes": "<p></p>", "WB-species-checked": "notRecommended", "WB-species-dilution-info": "", "WB-species-notes": "<p></p>", "ICCIF-species-checked": "guaranteed", "ICCIF-species-dilution-info": "", "ICCIF-species-notes": "", "IHCFr-species-checked": "notRecommended", "IHCFr-species-dilution-info": "", "IHCFr-species-notes": "<p></p>", "FlowCytIntra-species-checked": "guaranteed", "FlowCytIntra-species-dilution-info": "", "FlowCytIntra-species-notes": "", "IHCP-species-checked": "notRecommended", "IHCP-species-dilution-info": "", "IHCP-species-notes": "<p></p>" } } }

Product details

ab255277 is the carrier-free version of ab252930.

Patented technology
Our RabMAb® technology is a patented hybridoma-based technology for making rabbit monoclonal antibodies. For details on our patents, please refer to RabMAb® patents.

What are the advantages of a recombinant monoclonal antibody?
This product is a recombinant monoclonal antibody, which offers several advantages including:

  • - High batch-to-batch consistency and reproducibility
  • - Improved sensitivity and specificity
  • - Long-term security of supply
  • - Animal-free batch production

For more information, read more on recombinant antibodies.

Conjugation ready
Our carrier-free antibodies are typically supplied in a PBS-only formulation, purified and free of BSA, sodium azide and glycerol. This conjugation-ready format is designed for use with fluorochromes, metal isotopes, oligonucleotides, and enzymes, which makes them ideal for antibody labelling, functional and cell-based assays, flow-based assays (e.g. mass cytometry) and Multiplex Imaging applications.

Use our conjugation kits for antibody conjugates that are ready-to-use in as little as 20 minutes with 1 minute hands-on-time and 100% antibody recovery: available for fluorescent dyes, HRP, biotin and gold.

Compatibility
This product is compatible with the Maxpar® Antibody Labeling Kit from Fluidigm, without the need for antibody preparation. Maxpar® is a trademark of Fluidigm Canada Inc.

Properties and storage information

Form
Liquid
Purification technique
Affinity purification Protein A
Storage buffer
pH: 7.2 - 7.4 Constituents: PBS
Shipped at conditions
Blue Ice
Appropriate short-term storage conditions
+4°C
Appropriate long-term storage conditions
+4°C
Storage information
Do Not Freeze

Product protocols

For this product, it's our understanding that no specific protocols are required. You can visit:

Target data

HMG-I/Y bind preferentially to the minor groove of A+T rich regions in double-stranded DNA. It is suggested that these proteins could function in nucleosome phasing and in the 3'-end processing of mRNA transcripts. They are also involved in the transcription regulation of genes containing, or in close proximity to A+T-rich regions.
See full target information HMGA1

Publications (1)

Recent publications for all applications. Explore the full list and refine your search

Communications biology 8:514 PubMed40155473

2025

Defining gastric cancer ecology: the crucial roles of TREM2 macrophages and fibroblasts in tumor microenvironments.

Applications

Unspecified application

Species

Unspecified reactive species

Qianqian Cao,Dianshui Sun,Can Tu,Jihua Wang,Runjia Fu,Rumei Gong,Yueying Xiao,Qin Liu,Xiaomei Li
View all publications

Product promise

We are committed to supporting your work with high-quality reagents, and we're here for you every step of the way. In the unlikely event that one of our products does not perform as expected, you're protected by our Product Promise.
For full details, please see our Terms & Conditions

Please note: All products are 'FOR RESEARCH USE ONLY. NOT FOR USE IN DIAGNOSTIC OR THERAPEUTIC PROCEDURES'.

For licensing inquiries, please contact partnerships@abcam.com