JavaScript is disabled in your browser. Please enable JavaScript to view this website.
AB252930

Anti-HMGA1 antibody [EPR22421-101] - ChIP Grade

Be the first to review this product! Submit a review

|

(6 Publications)

Rabbit Recombinant Monoclonal HMGA1 antibody. Suitable for IP, ChIP, WB, ICC/IF, Flow Cyt (Intra), IHC-P and reacts with Human, Mouse samples. Cited in 6 publications.

View Alternative Names

HMGIY, HMGA1, High mobility group protein HMG-I/HMG-Y, HMG-I(Y), High mobility group AT-hook protein 1, High mobility group protein R, High mobility group protein A1

11 Images
Immunoprecipitation - Anti-HMGA1 antibody [EPR22421-101] - ChIP Grade (AB252930)
  • IP

Supplier Data

Immunoprecipitation - Anti-HMGA1 antibody [EPR22421-101] - ChIP Grade (AB252930)

HMGA1 was immunoprecipitated from 0.35mg of EL4 (mouse lymphoma T lymphocyte) whole cell lysate with ab252930 at 1/30 dilution.

Blocking and dilution buffer and concentration : 5% NFDM/TBST.

All lanes:

Immunoprecipitation - Anti-HMGA1 antibody [EPR22421-101] - ChIP Grade (ab252930) at 1/1000 dilution

Lane 1:

EL4 (mouse lymphoma T lymphocyte) whole cell lysate at 10 µg

Lane 2:

ab252930 IP in EL4 (mouse lymphoma T lymphocyte) whole cell lysate at 10 µg

Lane 3:

Rabbit monoclonal IgG (<a href='/en-us/products/primary-antibodies/rabbit-igg-monoclonal-epr25a-isotype-control-ab172730'>ab172730</a>) instead of ab252930 in EL4 (human epidermoid carcinoma) whole cell lysate at 10 µg

Secondary

All lanes:

Immunoprecipitation - VeriBlot for IP Detection Reagent (HRP) (<a href='/en-us/products/reagents/veriblot-for-ip-detection-reagent-hrp-ab131366'>ab131366</a>) at 1/5000 dilution

Predicted band size: 17 kDa

Observed band size: 12 kDa

false

Exposure time: 180s

Western blot - Anti-HMGA1 antibody [EPR22421-101] - ChIP Grade (AB252930)
  • WB

Lab

Western blot - Anti-HMGA1 antibody [EPR22421-101] - ChIP Grade (AB252930)

Blocking buffer and concentration 5% NFDM/TBST
Diluting buffer and concentration 5% NFDM/TBST

The 17-kDa band observed is consistent with what has been described in the literature
(PMID : 27045138).

Low expression of HMGA1 is expected in the testis (lane 5).

All lanes:

Western blot - Anti-HMGA1 antibody [EPR22421-101] - ChIP Grade (ab252930) at 1/1000 dilution

Lane 1:

HT-1080 (human fibrosarcoma epithelial cell), whole cell lysate at 20 µg

Lane 2:

NCCIT (human pluripotent embryonic carcinoma epithelial cell), whole cell lysate at 20 µg

Lane 3:

HCT116 (human colorectal carcinoma epithelial cell), whole cell lysate at 20 µg

Lane 4:

Human colon cancer tissue lysate at 20 µg

Lane 5:

Human testis tissue lysate at 20 µg

Secondary

All lanes:

Western blot - Goat Anti-Rabbit IgG H&L (HRP) (<a href='/en-us/products/secondary-antibodies/goat-rabbit-igg-h-l-hrp-ab97051'>ab97051</a>) at 1/20000 dilution

Predicted band size: 12 kDa

Observed band size: 17 kDa

false

Exposure time: 136s

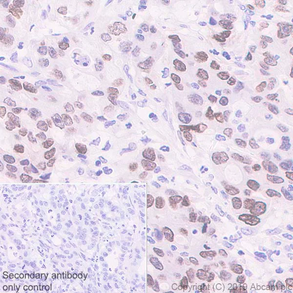
Immunohistochemistry (Formalin/PFA-fixed paraffin-embedded sections) - Anti-HMGA1 antibody [EPR22421-101] - ChIP Grade (AB252930)
  • IHC-P

Unknown

Immunohistochemistry (Formalin/PFA-fixed paraffin-embedded sections) - Anti-HMGA1 antibody [EPR22421-101] - ChIP Grade (AB252930)

Immunohistochemical analysis of paraffin-embedded human pancreas cancer tissue labeling HMGA1 with ab252930 at 1/5000 dilution, followed by a ready to use Goat Anti-Rabbit IgG H&L (HRP). Positive staining in human pancreas cancer (PMID : 18473350) is observed. Counterstained with hematoxylin.

Secondary antibody only control : Used PBS instead of primary antibody, secondary antibody is a ready to use Goat Anti-Rabbit IgG H&L (HRP).

Perform heat mediated antigen retrieval using ab93684 (Tris/EDTA buffer, pH 9.0).

Flow Cytometry (Intracellular) - Anti-HMGA1 antibody [EPR22421-101] - ChIP Grade (AB252930)
  • Flow Cyt (Intra)

Unknown

Flow Cytometry (Intracellular) - Anti-HMGA1 antibody [EPR22421-101] - ChIP Grade (AB252930)

Intracellular flow cytometric analysis of 4% paraformaldehyde-fixed, 90% methanol permeabilized MCF7 (Human breast adenocarcinoma epithelial cell, Left) / NCCIT (Human pluripotent embryonic carcinoma epithelial cell, Right) cell lines labeling HMGA1 with ab252930 at 1/600 (red) compared with a Rabbit monoclonal IgG (ab172730) (black) and an unlabeled control (cells without incubation with primary antibody and secondary antibody) (blue). Goat anti rabbit IgG (Alexa Fluor® 488, ab150077), at 1/2000 dilution was used as the secondary antibody. Weak expression control : MCF7 (PMID : 12640109).

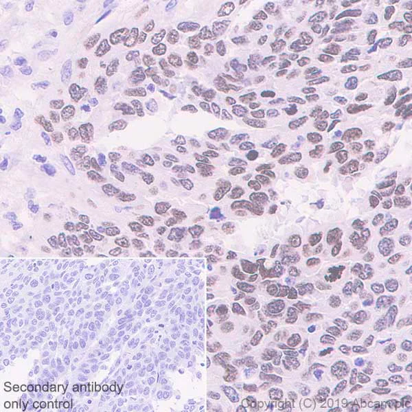
Immunohistochemistry (Formalin/PFA-fixed paraffin-embedded sections) - Anti-HMGA1 antibody [EPR22421-101] - ChIP Grade (AB252930)
  • IHC-P

Unknown

Immunohistochemistry (Formalin/PFA-fixed paraffin-embedded sections) - Anti-HMGA1 antibody [EPR22421-101] - ChIP Grade (AB252930)

Immunohistochemical analysis of paraffin-embedded human lung cancer tissue labeling HMGA1 with ab252930 at 1/5000 dilution, followed by a ready to use Goat Anti-Rabbit IgG H&L (HRP). Positive staining in human lung cancer (PMID : 25344216) is observed. Counterstained with hematoxylin.

Secondary antibody only control : Used PBS instead of primary antibody, secondary antibody is a ready to use Goat Anti-Rabbit IgG H&L (HRP).

Perform heat mediated antigen retrieval using ab93684 (Tris/EDTA buffer, pH 9.0).

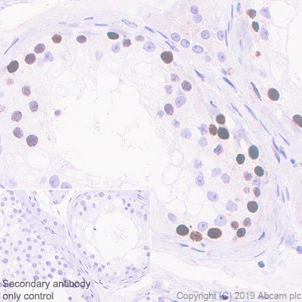
Immunohistochemistry (Formalin/PFA-fixed paraffin-embedded sections) - Anti-HMGA1 antibody [EPR22421-101] - ChIP Grade (AB252930)
  • IHC-P

Unknown

Immunohistochemistry (Formalin/PFA-fixed paraffin-embedded sections) - Anti-HMGA1 antibody [EPR22421-101] - ChIP Grade (AB252930)

Immunohistochemical analysis of paraffin-embedded human testis tissue labeling HMGA1 with ab252930 at 1/5000 dilution, followed by a ready to use Goat Anti-Rabbit IgG H&L (HRP). Positive staining in germ cells of human testis (PMID : 17935122) is observed. Counterstained with hematoxylin.

Secondary antibody only control : Used PBS instead of primary antibody, secondary antibody is a ready to use Goat Anti-Rabbit IgG H&L (HRP).

Perform heat mediated antigen retrieval using ab93684 (Tris/EDTA buffer, pH 9.0).

Immunocytochemistry/ Immunofluorescence - Anti-HMGA1 antibody [EPR22421-101] - ChIP Grade (AB252930)
  • ICC/IF

Unknown

Immunocytochemistry/ Immunofluorescence - Anti-HMGA1 antibody [EPR22421-101] - ChIP Grade (AB252930)

Immunofluorescent analysis of 4% paraformaldehyde-fixed, 0.1% Triton X-100 permeabilized NCCIT (human pluripotent embryonic carcinoma epithelial cell) cells labeling HMGA1 with ab252930 at 1/500 dilution, followed by Goat Anti-Rabbit IgG H&L (Alexa Fluor® 488) (ab150077) secondary antibody at 1/1000 dilution (green). Confocal image showing nuclear staining in NCCIT cell line. Low expression cell line : MCF7(PMID : 12640109). The nuclear counter stain is DAPI (blue). Counterstained with ab195889 Anti-alpha Tubulin antibody [DM1A] - Microtubule Marker (Alexa Fluor® 594) at a 1/200 dilution (red).

The negative control is the secondary antibody only.

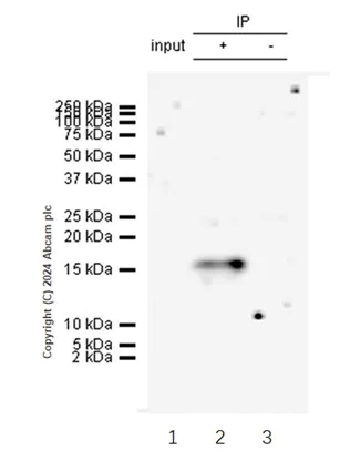
Immunoprecipitation - Anti-HMGA1 antibody [EPR22421-101] - ChIP Grade (AB252930)
  • IP

Unknown

Immunoprecipitation - Anti-HMGA1 antibody [EPR22421-101] - ChIP Grade (AB252930)

HMGA1 was immunoprecipitated from 0.35 mg HCT 116 (Human colorectal carcinoma epithelial cell) whole cell lysate with ab252930 at 1/30 dilution. Western blot was performed from the immunoprecipitate using ab252930 at 1/1000 dilution. VeriBlot for IP Detection Reagent (HRP) (ab131366), was used at 1/5000 dilution.

Lane 1 : HCT 116 whole cell lysate 10 μg (Input).
Lane 2 : ab252930 IP in HCT 116 whole cell lysate.
Lane 3 : Rabbit monoclonal IgG (ab172730) instead of ab252930 in HCT 116 whole cell lysate.

Blocking/Dilution buffer : 5% NFDM/TBST.
Exposure time : 40 seconds.

All lanes:

Immunoprecipitation - Anti-HMGA1 antibody [EPR22421-101] - ChIP Grade (ab252930)

Predicted band size: 12 kDa

Observed band size: 17 kDa

false

ChIP - Anti-HMGA1 antibody [EPR22421-101] - ChIP Grade (AB252930)
  • ChIP

Supplier Data

ChIP - Anti-HMGA1 antibody [EPR22421-101] - ChIP Grade (AB252930)

Chromatin was prepared from EL4 cells according to the Abcam X-ChIP protocol. Cells were fixed with formaldehyde for 10min.

The ChIP was performed with 25 μg of chromatin, 5 μg of ab252930 (red) or 5 μg of rabbit normal IgG (gray) was added to 20 μl of Protein A/G sepharose beads. The immunoprecipitated DNA was quantified by real time PCR (sybr green approach).

Primers and probes are located in the first kb of the transcribed region.

Western blot - Anti-HMGA1 antibody [EPR22421-101] - ChIP Grade (AB252930)
  • WB

Lab

Western blot - Anti-HMGA1 antibody [EPR22421-101] - ChIP Grade (AB252930)

Blocking buffer and concentration : 5% NFDM/TBST Diluting buffer and concentration : 5% NFDM/TBST

Lanes 1 - 3:

Western blot - Anti-HMGA1 antibody [EPR22421-101] - BSA and Azide free (<a href='/en-us/products/primary-antibodies/hmga1-antibody-epr22421-101-bsa-and-azide-free-ab255277'>ab255277</a>) at 1/1000 dilution

Lanes 1 - 3:

Western blot - Anti-HMGA1 antibody [EPR22421-101] - ChIP Grade (ab252930) at 1/1000 dilution

Lane 1:

MDA-MB-231 (Human breast adenocarcinoma epithelial cell) nuclear fraction lysate at 15 µg

Lane 2:

MDA-MB-231 (Human breast adenocarcinoma epithelial cell) cytoplasm fraction lysate at 15 µg

Lane 3:

MDA-MB-231 (Human breast adenocarcinoma epithelial cell) membrane fraction lysate at 15 µg

Secondary

All lanes:

Western blot - Goat Anti-Rabbit IgG H&L (HRP) (<a href='/en-us/products/secondary-antibodies/goat-rabbit-igg-h-l-hrp-ab97051'>ab97051</a>) at 1/20000 dilution

Predicted band size: 12 kDa

Observed band size: 17 kDa

false

Exposure time: 10s

Western blot - Anti-HMGA1 antibody [EPR22421-101] - ChIP Grade (AB252930)
  • WB

Lab

Western blot - Anti-HMGA1 antibody [EPR22421-101] - ChIP Grade (AB252930)

Blocking buffer and concentration : 5% NFDM/TBST Diluting buffer and concentration : 5% NFDM/TBST We recommend using 1% SDS Hot lysis prepare method to get desired Western Blot results.

Lanes 1 - 4:

Western blot - Anti-HMGA1 antibody [EPR22421-101] - BSA and Azide free (<a href='/en-us/products/primary-antibodies/hmga1-antibody-epr22421-101-bsa-and-azide-free-ab255277'>ab255277</a>) at 1/1000 dilution

Lanes 1 - 4:

Western blot - Anti-HMGA1 antibody [EPR22421-101] - ChIP Grade (ab252930) at 1/1000 dilution

Lane 1:

HCT 116 (Human colorectal carcinoma epithelial cell) whole cell lysate prepared in RIPA lysis method at 20 µg

Lane 2:

HCT 116 (Human colorectal carcinoma epithelial cell) whole cell lysate prepared in 1% SDS Hot lysis method at 20 µg

Lane 3:

MDA-MB-231 (Human breast adenocarcinoma epithelial cell) whole cell lysate prepared in RIPA lysis method at 20 µg

Lane 4:

MDA-MB-231 (Human breast adenocarcinoma epithelial cell) whole cell lysate prepared in 1% SDS Hot lysis method at 20 µg

Secondary

All lanes:

Western blot - Goat Anti-Rabbit IgG H&L (HRP) (<a href='/en-us/products/secondary-antibodies/goat-rabbit-igg-h-l-hrp-ab97051'>ab97051</a>) at 1/20000 dilution

Predicted band size: 12 kDa

Observed band size: 17 kDa

false

Exposure time: 40s

  • Carrier free

    Anti-HMGA1 antibody [EPR22421-101] - BSA and Azide free

  • 578 PE

    PE Anti-HMGA1 antibody [EPR22421-101] (ChIP Grade)

  • 660 APC

    APC Anti-HMGA1 antibody [EPR22421-101] (ChIP Grade)

  • 617 Alexa Fluor® 594

    Alexa Fluor® 594 Anti-HMGA1 antibody [EPR22421-101] - ChIP Grade

  • 519 Alexa Fluor® 488

    Alexa Fluor® 488 Anti-HMGA1 antibody [EPR22421-101] - ChIP Grade

  • 565 Alexa Fluor® 555

    Alexa Fluor® 555 Anti-HMGA1 antibody [EPR22421-101] - ChIP Grade

  • 603 Alexa Fluor® 568

    Alexa Fluor® 568 Anti-HMGA1 antibody [EPR22421-101] - ChIP Grade

  • HRP

    HRP Anti-HMGA1 antibody [EPR22421-101] (ChIP Grade)

  • 665 Alexa Fluor® 647

    Alexa Fluor® 647 Anti-HMGA1 antibody [EPR22421-101] - ChIP Grade

  • 775 Alexa Fluor® 750

    Alexa Fluor® 750 Anti-HMGA1 antibody [EPR22421-101] - ChIP Grade

Key facts

Host species

Rabbit

Clonality

Monoclonal

Clone number

EPR22421-101

Isotype

IgG

Carrier free

No

Reacts with

Mouse, Human

Applications

Flow Cyt (Intra), ICC/IF, ChIP, IP, WB, IHC-P

applications

Immunogen

The exact immunogen used to generate this antibody is proprietary information.

Specificity

The Mouse recommendation is based on IP and ChIP results. We do not guarantee WB and IHC for Mouse.

Reactivity data

{ "title": "Reactivity Data", "filters": { "stats": ["", "Species", "Dilution Info", "Notes"], "tabs": { "all-applications": {"fullname" : "All Applications", "shortname": "All Applications"}, "IP" : {"fullname" : "Immunoprecipitation", "shortname":"IP"}, "ChIP" : {"fullname" : "ChIP", "shortname":"ChIP"}, "WB" : {"fullname" : "Western blot", "shortname":"WB"}, "ICCIF" : {"fullname" : "Immunocytochemistry/ Immunofluorescence", "shortname":"ICC/IF"}, "IHCFr" : {"fullname" : "Immunohistochemistry (Frozen sections)", "shortname":"IHC-Fr"}, "FlowCytIntra" : {"fullname" : "Flow Cytometry (Intracellular)", "shortname":"Flow Cyt (Intra)"}, "IHCP" : {"fullname" : "Immunohistochemistry (Formalin/PFA-fixed paraffin-embedded sections)", "shortname":"IHC-P"} }, "product-promise": { "all": "all", "testedAndGuaranteed": "tested", "guaranteed": "expected", "predicted": "predicted", "notRecommended": "not-recommended" } }, "values": { "Human": { "IP-species-checked": "testedAndGuaranteed", "IP-species-dilution-info": "1/30", "IP-species-notes": "<p></p>", "ChIP-species-checked": "guaranteed", "ChIP-species-dilution-info": "", "ChIP-species-notes": "", "WB-species-checked": "testedAndGuaranteed", "WB-species-dilution-info": "1/1000", "WB-species-notes": "<p></p>", "ICCIF-species-checked": "testedAndGuaranteed", "ICCIF-species-dilution-info": "1/500", "ICCIF-species-notes": "<p></p>", "IHCFr-species-checked": "notRecommended", "IHCFr-species-dilution-info": "", "IHCFr-species-notes": "<p></p>", "FlowCytIntra-species-checked": "testedAndGuaranteed", "FlowCytIntra-species-dilution-info": "1/600", "FlowCytIntra-species-notes": "<p></p>", "IHCP-species-checked": "testedAndGuaranteed", "IHCP-species-dilution-info": "1/5000", "IHCP-species-notes": "<p></p> Perform heat-mediated antigen retrieval with Tris/EDTA buffer pH 9.0 before commencing with IHC staining protocol." }, "Mouse": { "IP-species-checked": "testedAndGuaranteed", "IP-species-dilution-info": "1/30", "IP-species-notes": "<p></p>", "ChIP-species-checked": "testedAndGuaranteed", "ChIP-species-dilution-info": "", "ChIP-species-notes": "<p></p>", "WB-species-checked": "notRecommended", "WB-species-dilution-info": "", "WB-species-notes": "<p></p>", "ICCIF-species-checked": "guaranteed", "ICCIF-species-dilution-info": "", "ICCIF-species-notes": "", "IHCFr-species-checked": "notRecommended", "IHCFr-species-dilution-info": "", "IHCFr-species-notes": "<p></p>", "FlowCytIntra-species-checked": "guaranteed", "FlowCytIntra-species-dilution-info": "", "FlowCytIntra-species-notes": "", "IHCP-species-checked": "notRecommended", "IHCP-species-dilution-info": "", "IHCP-species-notes": "<p></p>" } } }

You may be interested in:

AB185913

High-Sensitivity ChIP Kit

0

0 Reviews

View product

We recommend this product because it’s often used in the same experiment or related research.

We advise that you always check the datasheet to ensure it fits your experiments, or contact ourtechnical teamfor help.

Product details

Patented technology
Our RabMAb® technology is a patented hybridoma-based technology for making rabbit monoclonal antibodies. For details on our patents, please refer to RabMAb® patents.

What are the advantages of a recombinant monoclonal antibody?
This product is a recombinant monoclonal antibody, which offers several advantages including:

  • - High batch-to-batch consistency and reproducibility
  • - Improved sensitivity and specificity
  • - Long-term security of supply
  • - Animal-free batch production

For more information, read more on recombinant antibodies.

Properties and storage information

Form
Liquid
Purification technique
Affinity purification Protein A
Storage buffer
pH: 7.2 - 7.4 Preservative: 0.01% Sodium azide Constituents: PBS, 40% Glycerol (glycerin, glycerine), 0.05% BSA
Shipped at conditions
Blue Ice
Appropriate short-term storage duration
1-2 weeks
Appropriate short-term storage conditions
+4°C
Appropriate long-term storage conditions
-20°C
Aliquoting information
Upon delivery aliquot
Storage information
Avoid freeze / thaw cycle

Product protocols

For this product, it's our understanding that no specific protocols are required. You can visit:

Target data

HMG-I/Y bind preferentially to the minor groove of A+T rich regions in double-stranded DNA. It is suggested that these proteins could function in nucleosome phasing and in the 3'-end processing of mRNA transcripts. They are also involved in the transcription regulation of genes containing, or in close proximity to A+T-rich regions.
See full target information HMGA1

Publications (6)

Recent publications for all applications. Explore the full list and refine your search

Cancers 15: PubMed37686684

2023

High-Throughput Drug Screening Revealed That Ciclopirox Olamine Can Engender Gastric Cancer Stem-like Cells.

Applications

Unspecified application

Species

Unspecified reactive species

Diana Pádua,Paula Figueira,Mariana Pinto,André Filipe Maia,Joana Peixoto,Raquel T Lima,António Pombinho,Carlos Filipe Pereira,Raquel Almeida,Patrícia Mesquita

Cell death & disease 14:140 PubMed36805591

2023

Differential effects of the LncRNA RNF157-AS1 on epithelial ovarian cancer cells through suppression of DIRAS3- and ULK1-mediated autophagy.

Applications

Unspecified application

Species

Unspecified reactive species

Pengfei Xu,Sujuan Xu,Haiyue Pan,Chencheng Dai,Yiran Xu,Luyao Wang,Yu Cong,Huilin Zhang,Jian Cao,Lili Ge,Xuemei Jia

Disease models & mechanisms 15: PubMed35611554

2022

Identification of two cancer stem cell-like populations in triple-negative breast cancer xenografts.

Applications

Unspecified application

Species

Unspecified reactive species

Jun Nakayama,Hiroko Matsunaga,Koji Arikawa,Takuya Yoda,Masahito Hosokawa,Haruko Takeyama,Yusuke Yamamoto,Kentaro Semba

Communications biology 5:493 PubMed35610507

2022

Targeting aberrant replication and DNA repair events for treating breast cancers.

Applications

Unspecified application

Species

Unspecified reactive species

Subapriya Rajamanickam,Jun Hyoung Park,Panneerdoss Subbarayalu,Santosh Timilsina,Kaitlyn Bates,Pooja Yadav,Saif S R Nirzhor,Vijay Eedunuri,Tabrez A Mohammad,Kwang Hwa Jung,Benjamin Onyeagucha,Nourhan Abdelfattah,Raymond Benevides,Grace Lee,Yidong Chen,Ratna Vadlamudi,Andrew Brenner,Virginia Kaklamani,Ismail Jatoi,John Kuhn,Robert Hromas,Yogesh K Gupta,Benny A Kaipparettu,Jack L Arbiser,Manjeet K Rao

Oxidative medicine and cellular longevity 2022:9369035 PubMed35082972

2022

lncRNA IGF2-AS Regulates Nucleotide Metabolism by Mediating HMGA1 to Promote Pyroptosis of Endothelial Progenitor Cells in Sepsis Patients.

Applications

Unspecified application

Species

Unspecified reactive species

Guibin Liang,Menghao Zeng,Min Gao,Wei Xing,Xin Jin,Qianlu Wang,Longtian Deng,Hao Ou,Zhihui He

Current oncology (Toronto, Ont.) 29:56-67 PubMed35049679

2021

HMGA1 Has Predictive Value in Response to Chemotherapy in Gastric Cancer.

Applications

Unspecified application

Species

Unspecified reactive species

Diana Pádua,Débora Filipa Pinto,Paula Figueira,Carlos Filipe Pereira,Raquel Almeida,Patrícia Mesquita
View all publications

Product promise

We are committed to supporting your work with high-quality reagents, and we're here for you every step of the way. In the unlikely event that one of our products does not perform as expected, you're protected by our Product Promise.
For full details, please see our Terms & Conditions

Associated Products

Select an associated product type
Alternative Product
Primary Antibodies

AB226112

Anti-HMGA1 antibody [EPR7839] - BSA and Azide free

primary-antibodies

hmga1-antibody-epr7839-bsa-and-azide-free-ab226112

0

(0 reviews)

Alternative Product
Primary Antibodies

AB129153

Anti-HMGA1 antibody [EPR7839]

primary-antibodies

hmga1-antibody-epr7839-ab129153

5

(3 reviews)

Alternative Product
Primary Antibodies

AB251363

Anti-HMGA1 antibody [EPR16649] - BSA and Azide free

primary-antibodies

hmga1-antibody-epr16649-bsa-and-azide-free-ab251363

0

(0 reviews)

Alternative Product
Primary Antibodies

AB202070

Anti-HMGA1 antibody [EPR16649]

primary-antibodies

hmga1-antibody-epr16649-ab202070

0

(0 reviews)

Please note: All products are 'FOR RESEARCH USE ONLY. NOT FOR USE IN DIAGNOSTIC OR THERAPEUTIC PROCEDURES'.

For licensing inquiries, please contact partnerships@abcam.com