JavaScript is disabled in your browser. Please enable JavaScript to view this website.
AB224500

Anti-HMGB4 antibody

Be the first to review this product! Submit a review

|

(1 Publication)

Rabbit Polyclonal HMGB4 antibody. Suitable for IHC-P, WB and reacts with Human samples. Cited in 1 publication. Immunogen corresponding to Recombinant Fragment Protein within Human HMGB4 aa 50 to C-terminus.

View Alternative Names

High mobility group protein B4, HMGB4

2 Images
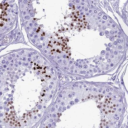
Immunohistochemistry (Formalin/PFA-fixed paraffin-embedded sections) - Anti-HMGB4 antibody (AB224500)
  • IHC-P

Supplier Data

Immunohistochemistry (Formalin/PFA-fixed paraffin-embedded sections) - Anti-HMGB4 antibody (AB224500)

Paraffin-embedded human testis tissue stained for HMGB4 using ab224500 at 1/50 dilution in immunohistochemical analysis.

Western blot - Anti-HMGB4 antibody (AB224500)
  • WB

Supplier Data

Western blot - Anti-HMGB4 antibody (AB224500)

All lanes:

Western blot - Anti-HMGB4 antibody (ab224500) at 1/100 dilution

Lane 1:

Vector only transfected HEK-293T (human epithelial cell line from embryonic kidney transformed with large T antigen) cell lysate

Lane 2:

HMGB4 overexpression HEK-293T cell lysate (Co-expressed with a C-terminal myc-DDK tag, ~3.1 kDa)

Predicted band size: 22 kDa

true

Key facts

Host species

Rabbit

Clonality

Polyclonal

Isotype

IgG

Carrier free

No

Reacts with

Human

Applications

IHC-P, WB

applications

Immunogen

Recombinant Fragment Protein within Human HMGB4 aa 50 to C-terminus. The exact immunogen used to generate this antibody is proprietary information.

Q8WW32

Reactivity data

{ "title": "Reactivity Data", "filters": { "stats": ["", "Species", "Dilution Info", "Notes"], "tabs": { "all-applications": {"fullname" : "All Applications", "shortname": "All Applications"}, "IHCP" : {"fullname" : "Immunohistochemistry (Formalin/PFA-fixed paraffin-embedded sections)", "shortname":"IHC-P"}, "WB" : {"fullname" : "Western blot", "shortname":"WB"} }, "product-promise": { "all": "all", "testedAndGuaranteed": "tested", "guaranteed": "expected", "predicted": "predicted", "notRecommended": "not-recommended" } }, "values": { "Human": { "IHCP-species-checked": "testedAndGuaranteed", "IHCP-species-dilution-info": "1/50 - 1/200", "IHCP-species-notes": "<p></p> Perform heat-mediated antigen retrieval with citrate buffer pH 6 before commencing with IHC staining protocol.", "WB-species-checked": "testedAndGuaranteed", "WB-species-dilution-info": "0.04000-0.40000 µg/mL", "WB-species-notes": "<p></p>" } } }

Properties and storage information

Form
Liquid
Purification technique
Affinity purification Immunogen
Storage buffer
pH: 7.2 Preservative: 0.02% Sodium azide Constituents: PBS, 40% Glycerol (glycerin, glycerine)
Shipped at conditions
Blue Ice
Appropriate short-term storage duration
1-2 weeks
Appropriate short-term storage conditions
+4°C
Appropriate long-term storage conditions
-20°C
Aliquoting information
Upon delivery aliquot
Storage information
Avoid freeze / thaw cycle

Product protocols

For this product, it's our understanding that no specific protocols are required. You can visit:

Publications (1)

Recent publications for all applications. Explore the full list and refine your search

Advanced science (Weinheim, Baden-Wurttemberg, Germany) 10:e2206852 PubMed37083227

2023

Deciphering the Molecular Characteristics of Human Idiopathic Nonobstructive Azoospermia from the Perspective of Germ Cells.

Applications

Unspecified application

Species

Unspecified reactive species

Yidong Chen,Xixi Liu,Li Zhang,Feiyin Zhu,Liying Yan,Wenhao Tang,Zhe Zhang,Qiang Liu,Hui Jiang,Jie Qiao
View all publications

Product promise

We are committed to supporting your work with high-quality reagents, and we're here for you every step of the way. In the unlikely event that one of our products does not perform as expected, you're protected by our Product Promise.
For full details, please see our Terms & Conditions

Associated Products

Select an associated product type
Alternative Product
Primary Antibodies

AB182655

Anti-HMGB4 antibody

primary-antibodies

hmgb4-antibody-ab182655

0

(0 reviews)

Please note: All products are 'FOR RESEARCH USE ONLY. NOT FOR USE IN DIAGNOSTIC OR THERAPEUTIC PROCEDURES'.

For licensing inquiries, please contact partnerships@abcam.com