JavaScript is disabled in your browser. Please enable JavaScript to view this website.
AB197022

Anti-HMGCL antibody [EPR15551]

Be the first to review this product! Submit a review

|

(2 Publications)

Rabbit Recombinant Monoclonal HMGCL antibody. Suitable for WB, IHC-P and reacts with Human samples. Cited in 2 publications.

View Alternative Names

HL, HMG-CoA lyase, 3-hydroxy-3-methylglutarate-CoA lyase, HMGCL

4 Images
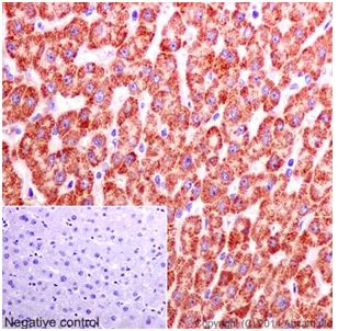
Immunohistochemistry (Formalin/PFA-fixed paraffin-embedded sections) - Anti-HMGCL antibody [EPR15551] (AB197022)
  • IHC-P

Supplier Data

Immunohistochemistry (Formalin/PFA-fixed paraffin-embedded sections) - Anti-HMGCL antibody [EPR15551] (AB197022)

Immunohistochemical analysis of paraffin-embedded human liver tissue labeling HMGCL with ab197022 at 1/500 dilution followed by Goat Anti-Rabbit IgG H&L (HRP) (ab97051) at 1/500 dilution. Counter stained with hematoxylin.
Inset image : negative control obtained using PBS instead of ab197022 and secondary antibody only.
Note : Cytoplasm staining on human liver tissue was observed.

Perform heat mediated antigen retrieval with Tris/EDTA buffer pH 9.0 before commencing with IHC staining protocol.

Western blot - Anti-HMGCL antibody [EPR15551] (AB197022)
  • WB

Supplier Data

Western blot - Anti-HMGCL antibody [EPR15551] (AB197022)

Blocking/Dilution buffer : 5% NFDM/TBST.

All lanes:

Western blot - Anti-HMGCL antibody [EPR15551] (ab197022) at 1/1000 dilution

All lanes:

293 (Human epithelial cells from embryonic kidney) cell lysate at 20 µg

Secondary

All lanes:

Goat Anti-Rabbit IgG, (H+L), Peroxidase conjugated at 1/1000 dilution

Predicted band size: 34 kDa

true

Exposure time: 3min

Western blot - Anti-HMGCL antibody [EPR15551] (AB197022)
  • WB

Supplier Data

Western blot - Anti-HMGCL antibody [EPR15551] (AB197022)

Blocking/dilution buffer : 5% NFDM/TBST.

All lanes:

Western blot - Anti-HMGCL antibody [EPR15551] (ab197022) at 1/10000 dilution

All lanes:

A431 (Human epidermoid carcinoma) cell lysate at 20 µg

Secondary

All lanes:

Anti-Rabbit IgG (HRP), specific to the non-reduced form of IgG at 1/1000 dilution

Predicted band size: 34 kDa

true

Exposure time: 3min

Western blot - Anti-HMGCL antibody [EPR15551] (AB197022)
  • WB

Supplier Data

Western blot - Anti-HMGCL antibody [EPR15551] (AB197022)

Blocking/Dilution buffer : 5% NFDM/TBST.

All lanes:

Western blot - Anti-HMGCL antibody [EPR15551] (ab197022) at 1/5000 dilution

All lanes:

Human testis lysate at 10 µg

Secondary

All lanes:

Anti-Rabbit IgG (HRP), specific to the non-reduced form of IgG at 1/1000 dilution

Predicted band size: 34 kDa

true

Exposure time: 1min

  • Carrier free

    Anti-HMGCL antibody [EPR15551] - BSA and Azide free

Key facts

Host species

Rabbit

Clonality

Monoclonal

Clone number

EPR15551

Isotype

IgG

Carrier free

No

Reacts with

Human

Applications

WB, IHC-P

applications

Immunogen

The exact immunogen used to generate this antibody is proprietary information.

Reactivity data

{ "title": "Reactivity Data", "filters": { "stats": ["", "Species", "Dilution Info", "Notes"], "tabs": { "all-applications": {"fullname" : "All Applications", "shortname": "All Applications"}, "WB" : {"fullname" : "Western blot", "shortname":"WB"}, "IHCP" : {"fullname" : "Immunohistochemistry (Formalin/PFA-fixed paraffin-embedded sections)", "shortname":"IHC-P"} }, "product-promise": { "all": "all", "testedAndGuaranteed": "tested", "guaranteed": "expected", "predicted": "predicted", "notRecommended": "not-recommended" } }, "values": { "Human": { "WB-species-checked": "testedAndGuaranteed", "WB-species-dilution-info": "1/1000", "WB-species-notes": "<p></p>", "IHCP-species-checked": "testedAndGuaranteed", "IHCP-species-dilution-info": "1/500", "IHCP-species-notes": "<p></p> Perform heat-mediated antigen retrieval with Tris/EDTA buffer pH 9.0 before commencing with IHC staining protocol." } } }

Product details

Patented technology
Our RabMAb® technology is a patented hybridoma-based technology for making rabbit monoclonal antibodies. For details on our patents, please refer to RabMAb® patents.

What are the advantages of a recombinant monoclonal antibody?
This product is a recombinant monoclonal antibody, which offers several advantages including:

  • - High batch-to-batch consistency and reproducibility
  • - Improved sensitivity and specificity
  • - Long-term security of supply
  • - Animal-free batch production

For more information, read more on recombinant antibodies.

Properties and storage information

Form
Liquid
Purification technique
Affinity purification Protein A
Storage buffer
pH: 7.2 - 7.4 Preservative: 0.01% Sodium azide Constituents: PBS, 40% Glycerol (glycerin, glycerine), 0.05% BSA
Shipped at conditions
Blue Ice
Appropriate short-term storage duration
1-2 weeks
Appropriate short-term storage conditions
+4°C
Appropriate long-term storage conditions
-20°C
Aliquoting information
Upon delivery aliquot
Storage information
Avoid freeze / thaw cycle

Supplementary information

This supplementary information is collated from multiple sources and compiled automatically.

HMGCL or 3-hydroxymethyl-3-methylglutaryl-CoA lyase plays an important role in ketogenesis and leucine catabolism. This enzyme catalyzes the cleavage of HMG-CoA to acetoacetate and acetyl-CoA. It has a molecular mass of approximately 33 kDa. HMGCL expresses mainly in the liver kidney and brain where ketogenesis is active signifying its essential role in energy metabolism in fasting conditions.
Biological function summary

This enzyme contributes to the production of ketone bodies important components during periods of low glucose availability. HMGCL does not function as part of a multi-protein complex but its action underpins the metabolic switch from glucose to fatty acids and ketone body usage. Proper functioning of this enzyme helps maintain energy balance especially during fasting and extended exercise.

Pathways

HMGCL plays a significant role in the ketogenic pathway linking fatty acid oxidation to ketone body production. It also intersects with leucine degradation pathways reflecting its dual substrate specificity. HMGCL shares links with proteins involved in lipid metabolism such as HMG-CoA synthase which provides the substrate for its enzymatic activity.

Defects in HMGCL associate with HMG-CoA lyase deficiency a metabolic disorder hallmarked by hypoketotic hypoglycemia and metabolic acidosis. This condition highlights the enzyme's role in ketogenesis. Additionally its impaired function links to potential exacerbation of seizures due to energy metabolism failure. The enzyme's activity correlates with enzymes like carnitine palmitoyltransferase I which also impact energy metabolism through ketogenesis.

Product protocols

For this product, it's our understanding that no specific protocols are required. You can visit:

Target data

Mitochondrial 3-hydroxy-3-methylglutaryl-CoA lyase that catalyzes a cation-dependent cleavage of (S)-3-hydroxy-3-methylglutaryl-CoA into acetyl-CoA and acetoacetate, a key step in ketogenesis. Terminal step in leucine catabolism. Ketone bodies (beta-hydroxybutyrate, acetoacetate and acetone) are essential as an alternative source of energy to glucose, as lipid precursors and as regulators of metabolism.
See full target information HMGCL

Publications (2)

Recent publications for all applications. Explore the full list and refine your search

The EMBO journal 41:e110466 PubMed35307861

2022

Ketogenic HMG-CoA lyase and its product β-hydroxybutyrate promote pancreatic cancer progression.

Applications

Unspecified application

Species

Unspecified reactive species

Victoire Gouirand,Tristan Gicquel,Evan C Lien,Emilie Jaune-Pons,Quentin Da Costa,Pascal Finetti,Elodie Metay,Camille Duluc,Jared R Mayers,Stephane Audebert,Luc Camoin,Laurence Borge,Marion Rubis,Julie Leca,Jeremy Nigri,François Bertucci,Nelson Dusetti,Juan L Iovanna,Richard Tomasini,Ghislain Bidaut,Fabienne Guillaumond,Matthew G Vander Heiden,Sophie Vasseur

Cell death & disease 12:889 PubMed34588426

2021

Corosolic acid inhibits cancer progression by decreasing the level of CDK19-mediated O-GlcNAcylation in liver cancer cells.

Applications

Unspecified application

Species

Unspecified reactive species

Congcong Zhang,Yongjie Niu,Zhixian Wang,Xin Xu,Yan Li,Lifang Ma,Jiayi Wang,Yongchun Yu
View all publications

Product promise

We are committed to supporting your work with high-quality reagents, and we're here for you every step of the way. In the unlikely event that one of our products does not perform as expected, you're protected by our Product Promise.
For full details, please see our Terms & Conditions

Please note: All products are 'FOR RESEARCH USE ONLY. NOT FOR USE IN DIAGNOSTIC OR THERAPEUTIC PROCEDURES'.

For licensing inquiries, please contact partnerships@abcam.com