JavaScript is disabled in your browser. Please enable JavaScript to view this website.
AB317627

Anti-HMGCS1 antibody [EPR29166-11] - BSA and Azide free

Be the first to review this product! Submit a review

|

(0 Publication)

Rabbit Recombinant Monoclonal HMGCS1 antibody. Carrier free. Suitable for IHC-P, IP, WB and reacts with Human, Mouse, Rat samples.

View Alternative Names

HMGCS, HMGCS1, HMG-CoA synthase, 3-hydroxy-3-methylglutaryl coenzyme A synthase

11 Images
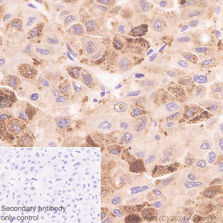
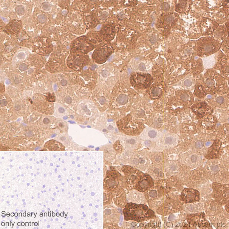
Immunohistochemistry (Formalin/PFA-fixed paraffin-embedded sections) - Anti-HMGCS1 antibody [EPR29166-11] - BSA and Azide free (AB317627)
  • IHC-P

Supplier Data

Immunohistochemistry (Formalin/PFA-fixed paraffin-embedded sections) - Anti-HMGCS1 antibody [EPR29166-11] - BSA and Azide free (AB317627)

This data was developed using ab317626, the same antibody clone in a different buffer formulation.

Immunohistochemical analysis of paraffin-embedded Human liver cancer tissue labeling HMGCS1 with ab317626 at 1/100 (4.88 ug/ml) dilution, followed by a ready to use LeicaDS9800 (Bond™ Polymer Refine Detection).

Positive staining in human liver cancer (PMID : 36356901).
The section was incubated with ab317626 for 30 mins at room temperature.
The immunostaining was performed on a Leica Biosystems BOND® RX instrument

Counterstained with Hematoxylin.

Secondary antibody only control : Secondary antibody is a ready to use LeicaDS9800 (Bond™ Polymer Refine Detection).

Heat mediated antigen retrieval was performed with Tris-EDTA buffer (pH 9.0, Epitope Retrieval Solution2) for 20 mins

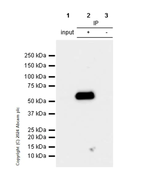
Immunoprecipitation - Anti-HMGCS1 antibody [EPR29166-11] - BSA and Azide free (AB317627)
  • IP

Supplier Data

Immunoprecipitation - Anti-HMGCS1 antibody [EPR29166-11] - BSA and Azide free (AB317627)

This data was developed using ab317626, the same antibody clone in a different buffer formulation.

HMGCS1 was immunoprecipitated from 0.35 mg DLD-1 (human colorectal adenocarcinoma epithelial cell) whole cell lysate with ab317626 at 1/30 dilution (2ug in 0.35mg lysates). Western blot was performed on the immunoprecipitate using ab317626 at 1/1000 dilution. VeriBlot for IP secondary antibody(HRP)(ab131366) was used at 1/5000 dilution.

Lane 1 : DLD-1 (human colorectal adenocarcinoma epithelial cell) whole cell lysate
Lane 2 : ab317626 IP in DLD-1 (human colorectal adenocarcinoma epithelial cell) whole cell lysate
Lane 3 : Rabbit monoclonal IgG (ab172730) instead of ab317626 in DLD-1 whole cell lysate

All lanes:

Immunoprecipitation - Anti-HMGCS1 antibody [EPR29166-11] (<a href='/en-us/products/primary-antibodies/hmgcs1-antibody-epr29166-11-ab317626'>ab317626</a>) at 1/30 dilution

All lanes:

DLD-1 (human colorectal adenocarcinoma epithelial cell) whole cell lysate with NFDM/TBST

Secondary

All lanes:

Immunoprecipitation - VeriBlot for IP Detection Reagent (HRP) (<a href='/en-us/products/reagents/veriblot-for-ip-detection-reagent-hrp-ab131366'>ab131366</a>) at 1/5000 dilution

false

Exposure time: 15s

Immunohistochemistry (Formalin/PFA-fixed paraffin-embedded sections) - Anti-HMGCS1 antibody [EPR29166-11] - BSA and Azide free (AB317627)
  • IHC-P

Supplier Data

Immunohistochemistry (Formalin/PFA-fixed paraffin-embedded sections) - Anti-HMGCS1 antibody [EPR29166-11] - BSA and Azide free (AB317627)

This data was developed using ab317626, the same antibody clone in a different buffer formulation.

Immunohistochemical analysis of paraffin-embedded Mouse liver tissue labeling HMGCS1 with ab317626 at 1/2000 (0.244 ug/ml) dilution, followed by a ready to use LeicaDS9800 (Bond™ Polymer Refine Detection).

Positive staining in mouse liver.
The section was incubated with ab317626 for 30 mins at room temperature.
The immunostaining was performed on a Leica Biosystems BOND® RX instrument

Counterstained with Hematoxylin.

Secondary antibody only control : Secondary antibody is a ready to use LeicaDS9800 (Bond™ Polymer Refine Detection).

Heat mediated antigen retrieval was performed with Tris-EDTA buffer (pH 9.0, Epitope Retrieval Solution2) for 20 mins

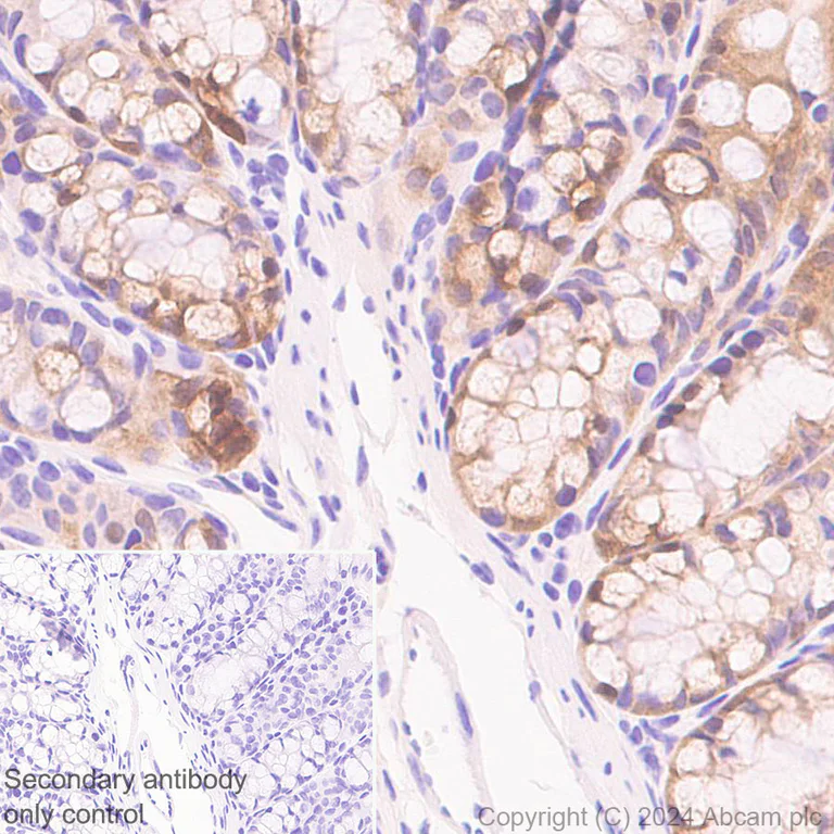
Immunohistochemistry (Formalin/PFA-fixed paraffin-embedded sections) - Anti-HMGCS1 antibody [EPR29166-11] - BSA and Azide free (AB317627)
  • IHC-P

Supplier Data

Immunohistochemistry (Formalin/PFA-fixed paraffin-embedded sections) - Anti-HMGCS1 antibody [EPR29166-11] - BSA and Azide free (AB317627)

This data was developed using ab317626, the same antibody clone in a different buffer formulation.

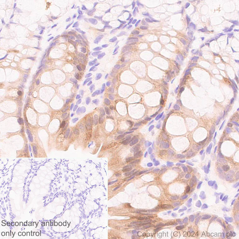
Immunohistochemical analysis of paraffin-embedded Rat colon tissue labeling HMGCS1 with ab317626 at 1/2000 (0.244 ug/ml) dilution, followed by a ready to use LeicaDS9800 (Bond™ Polymer Refine Detection).

Positive staining in rat colon.
The section was incubated with ab317626 for 30 mins at room temperature.
The immunostaining was performed on a Leica Biosystems BOND® RX instrument

Counterstained with Hematoxylin.

Secondary antibody only control : Secondary antibody is a ready to use LeicaDS9800 (Bond™ Polymer Refine Detection).

Heat mediated antigen retrieval was performed with Tris-EDTA buffer (pH 9.0, Epitope Retrieval Solution2) for 20 mins

Immunohistochemistry (Formalin/PFA-fixed paraffin-embedded sections) - Anti-HMGCS1 antibody [EPR29166-11] - BSA and Azide free (AB317627)
  • IHC-P

Supplier Data

Immunohistochemistry (Formalin/PFA-fixed paraffin-embedded sections) - Anti-HMGCS1 antibody [EPR29166-11] - BSA and Azide free (AB317627)

This data was developed using ab317626, the same antibody clone in a different buffer formulation.

Immunohistochemical analysis of paraffin-embedded Mouse colon tissue labeling HMGCS1 with ab317626 at 1/2000 (0.244 ug/ml) dilution, followed by a ready to use LeicaDS9800 (Bond™ Polymer Refine Detection).

Positive staining in mouse colon.
The section was incubated with ab317626 for 30 mins at room temperature.
The immunostaining was performed on a Leica Biosystems BOND® RX instrument

Counterstained with Hematoxylin.

Secondary antibody only control : Secondary antibody is a ready to use LeicaDS9800 (Bond™ Polymer Refine Detection).

Heat mediated antigen retrieval was performed with Tris-EDTA buffer (pH 9.0, Epitope Retrieval Solution2) for 20 mins

Immunohistochemistry (Formalin/PFA-fixed paraffin-embedded sections) - Anti-HMGCS1 antibody [EPR29166-11] - BSA and Azide free (AB317627)
  • IHC-P

Supplier Data

Immunohistochemistry (Formalin/PFA-fixed paraffin-embedded sections) - Anti-HMGCS1 antibody [EPR29166-11] - BSA and Azide free (AB317627)

This data was developed using ab317626, the same antibody clone in a different buffer formulation.

Immunohistochemical analysis of paraffin-embedded Rat liver tissue labeling HMGCS1 with ab317626 at 1/2000 (0.244 ug/ml) dilution, followed by a ready to use LeicaDS9800 (Bond™ Polymer Refine Detection).

Positive staining in rat liver.
The section was incubated with ab317626 for 30 mins at room temperature.
The immunostaining was performed on a Leica Biosystems BOND® RX instrument

Counterstained with Hematoxylin.

Secondary antibody only control : Secondary antibody is a ready to use LeicaDS9800 (Bond™ Polymer Refine Detection).

Heat mediated antigen retrieval was performed with Tris-EDTA buffer (pH 9.0, Epitope Retrieval Solution2) for 20 mins

Western blot - Anti-HMGCS1 antibody [EPR29166-11] - BSA and Azide free (AB317627)
  • WB

Supplier Data

Western blot - Anti-HMGCS1 antibody [EPR29166-11] - BSA and Azide free (AB317627)

This data was developed using ab317626, the same antibody clone in a different buffer formulation.

Low expression : LNCaP (PMID : 29163687), PC-3 (PMID : 29163687).

In Western blot, Anti-GAPDH antibody [EPR16891] - Loading Control (ab181602) staining at 1/200000 dilution.

All lanes:

Western blot - Anti-HMGCS1 antibody [EPR29166-11] (<a href='/en-us/products/primary-antibodies/hmgcs1-antibody-epr29166-11-ab317626'>ab317626</a>) at 1/1000 dilution

Lane 1:

DLD-1 (human colorectal adenocarcinoma epithelial cell) whole cell lysate at 50 µg with NFDM/TBST

Lane 2:

LNCaP (human prostate carcinoma epithelial cell) whole cell lysate at 50 µg with NFDM/TBST

Lane 3:

PC-3 (human prostate adenocarcinoma epithelial cell) whole cell lysate at 50 µg with NFDM/TBST

Lane 4:

C2C12 (mouse myoblast) whole cell lysate at 50 µg with NFDM/TBST

Secondary

All lanes:

Goat Anti-Rabbit IgG (HRP) with minimal cross-reactivity with human IgG at 1/2000 dilution

Observed band size: 57 kDa,36 kDa

false

Exposure time: 180s

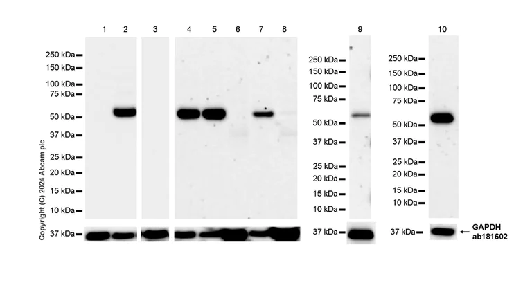
Western blot - Anti-HMGCS1 antibody [EPR29166-11] - BSA and Azide free (AB317627)
  • WB

Supplier Data

Western blot - Anti-HMGCS1 antibody [EPR29166-11] - BSA and Azide free (AB317627)

This data was developed using ab317626, the same antibody clone in a different buffer formulation.

Low expression : skeletal muscle, human liver (PMID : 36356901).

In Western blot, Anti-GAPDH antibody [EPR16891] - Loading Control (ab181602) staining at 1/200000 dilution.

Exposure time : Lane 1-3 : 3 seconds, Lane 4-10 : 180 seconds

All lanes:

Western blot - Anti-HMGCS1 antibody [EPR29166-11] (<a href='/en-us/products/primary-antibodies/hmgcs1-antibody-epr29166-11-ab317626'>ab317626</a>) at 1/1000 dilution

Lane 1:

Human liver tissue lysate at 50 µg with NFDM/TBST

Lane 2:

Human liver cancer tissue lysate at 50 µg with NFDM/TBST

Lane 3:

Human skeletal muscle tissue lysate at 50 µg with NFDM/TBST

Lane 4:

Mouse stomach tissue lysate at 50 µg with NFDM/TBST

Lane 5:

Mouse testis tissue lysate at 50 µg with NFDM/TBST

Lane 6:

Mouse skeletal muscle tissue lysate at 50 µg with NFDM/TBST

Lane 7:

Rat stomach tissue lysate at 50 µg with NFDM/TBST

Lane 8:

Rat skeletal muscle tissue lysate at 50 µg with NFDM/TBST

Lane 9:

Human stomach tissue lysate at 50 µg with NFDM/TBST

Lane 10:

Mouse colon tissue lysate at 50 µg with NFDM/TBST

Secondary

All lanes:

Goat Anti-Rabbit IgG (HRP) with minimal cross-reactivity with human IgG at 1/2000 dilution

Observed band size: 57 kDa,36 kDa

false

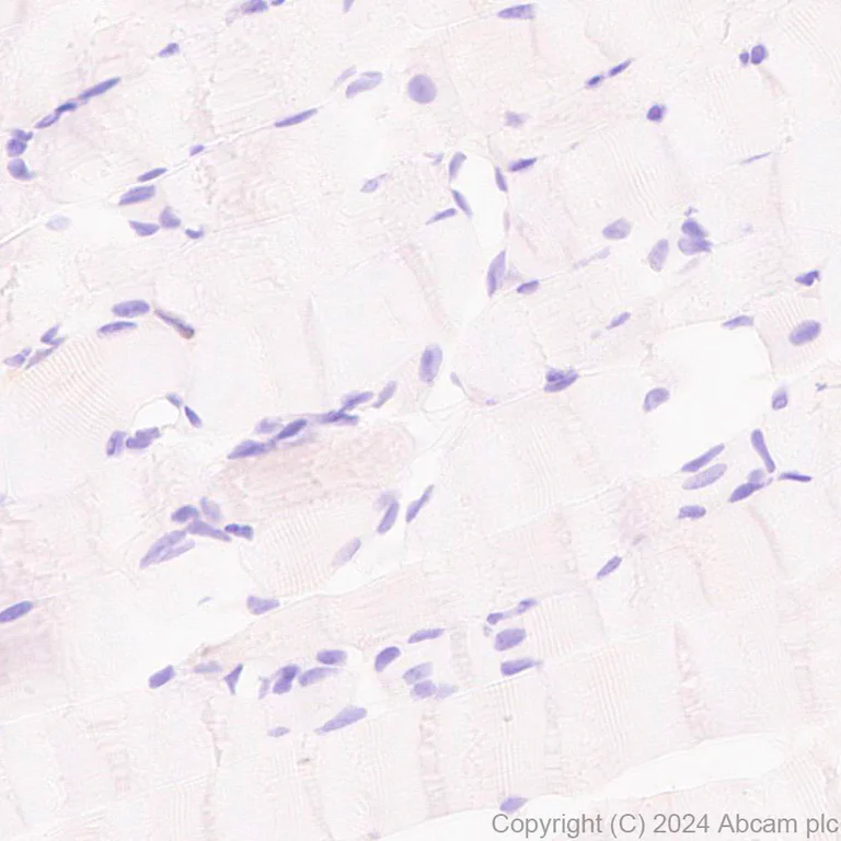
Immunohistochemistry (Formalin/PFA-fixed paraffin-embedded sections) - Anti-HMGCS1 antibody [EPR29166-11] - BSA and Azide free (AB317627)
  • IHC-P

Supplier Data

Immunohistochemistry (Formalin/PFA-fixed paraffin-embedded sections) - Anti-HMGCS1 antibody [EPR29166-11] - BSA and Azide free (AB317627)

This data was developed using ab317626, the same antibody clone in a different buffer formulation.

Immunohistochemical analysis of paraffin-embedded Mouse skeletal muscle tissue labeling HMGCS1 with ab317626 at 1/2000 (0.244 ug/ml) dilution, followed by a ready to use LeicaDS9800 (Bond™ Polymer Refine Detection).

Low expression tissue : No staining in mouse skeletal muscle.
The section was incubated with ab317626 for 30 mins at room temperature.
The immunostaining was performed on a Leica Biosystems BOND® RX instrument

Counterstained with Hematoxylin.

Secondary antibody only control : Secondary antibody is a ready to use LeicaDS9800 (Bond™ Polymer Refine Detection).

Heat mediated antigen retrieval was performed with Tris-EDTA buffer (pH 9.0, Epitope Retrieval Solution2) for 20 mins

Immunohistochemistry (Formalin/PFA-fixed paraffin-embedded sections) - Anti-HMGCS1 antibody [EPR29166-11] - BSA and Azide free (AB317627)
  • IHC-P

Supplier Data

Immunohistochemistry (Formalin/PFA-fixed paraffin-embedded sections) - Anti-HMGCS1 antibody [EPR29166-11] - BSA and Azide free (AB317627)

This data was developed using ab317626, the same antibody clone in a different buffer formulation.

Immunohistochemical analysis of paraffin-embedded Rat skeletal muscle tissue labeling HMGCS1 with ab317626 at 1/2000 (0.244 ug/ml) dilution, followed by a ready to use LeicaDS9800 (Bond™ Polymer Refine Detection).

Low expression tissue : No staining in rat skeletal muscle.
The section was incubated with ab317626 for 30 mins at room temperature.
The immunostaining was performed on a Leica Biosystems BOND® RX instrument

Counterstained with Hematoxylin.

Secondary antibody only control : Secondary antibody is a ready to use LeicaDS9800 (Bond™ Polymer Refine Detection).

Heat mediated antigen retrieval was performed with Tris-EDTA buffer (pH 9.0, Epitope Retrieval Solution2) for 20 mins

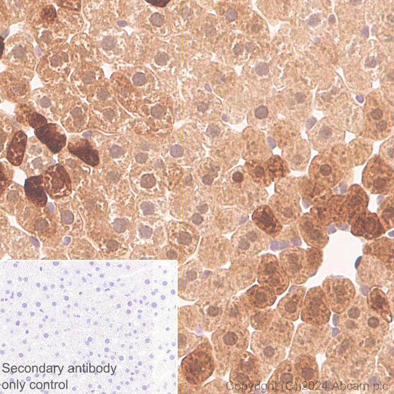
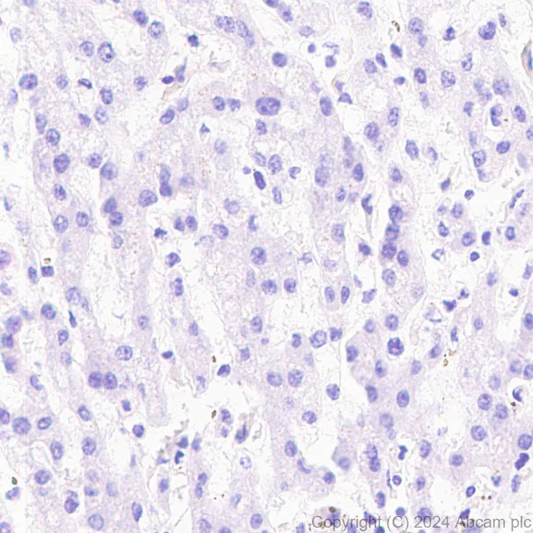
Immunohistochemistry (Formalin/PFA-fixed paraffin-embedded sections) - Anti-HMGCS1 antibody [EPR29166-11] - BSA and Azide free (AB317627)
  • IHC-P

Supplier Data

Immunohistochemistry (Formalin/PFA-fixed paraffin-embedded sections) - Anti-HMGCS1 antibody [EPR29166-11] - BSA and Azide free (AB317627)

This data was developed using ab317626, the same antibody clone in a different buffer formulation.

Immunohistochemical analysis of paraffin-embedded Human liver tissue labeling HMGCS1 with ab317626 at 1/100 (4.88 ug/ml) dilution, followed by a ready to use LeicaDS9800 (Bond™ Polymer Refine Detection).

Low expression tissue : No staining in human liver (PMID : 36356901).
The section was incubated with ab317626 for 30 mins at room temperature.
The immunostaining was performed on a Leica Biosystems BOND® RX instrument

Counterstained with Hematoxylin.

Secondary antibody only control : Secondary antibody is a ready to use LeicaDS9800 (Bond™ Polymer Refine Detection).

Heat mediated antigen retrieval was performed with Tris-EDTA buffer (pH 9.0, Epitope Retrieval Solution2) for 20 mins

Key facts

Host species

Rabbit

Clonality

Monoclonal

Clone number

EPR29166-11

Isotype

IgG

Carrier free

Yes

Reacts with

Human, Mouse, Rat

Applications

IP, IHC-P, WB

applications

Immunogen

The exact immunogen used to generate this antibody is proprietary information.

Reactivity data

{ "title": "Reactivity Data", "filters": { "stats": ["", "Species", "Dilution Info", "Notes"], "tabs": { "all-applications": {"fullname" : "All Applications", "shortname": "All Applications"}, "IHCP" : {"fullname" : "Immunohistochemistry (Formalin/PFA-fixed paraffin-embedded sections)", "shortname":"IHC-P"}, "IP" : {"fullname" : "Immunoprecipitation", "shortname":"IP"}, "WB" : {"fullname" : "Western blot", "shortname":"WB"}, "ICCIF" : {"fullname" : "Immunocytochemistry/ Immunofluorescence", "shortname":"ICC/IF"} }, "product-promise": { "all": "all", "testedAndGuaranteed": "tested", "guaranteed": "expected", "predicted": "predicted", "notRecommended": "not-recommended" } }, "values": { "Human": { "IHCP-species-checked": "testedAndGuaranteed", "IHCP-species-dilution-info": "", "IHCP-species-notes": "<p></p>", "IP-species-checked": "testedAndGuaranteed", "IP-species-dilution-info": "", "IP-species-notes": "<p></p>", "WB-species-checked": "testedAndGuaranteed", "WB-species-dilution-info": "", "WB-species-notes": "<p></p>", "ICCIF-species-checked": "notRecommended", "ICCIF-species-dilution-info": "", "ICCIF-species-notes": "<p></p>" }, "Mouse": { "IHCP-species-checked": "testedAndGuaranteed", "IHCP-species-dilution-info": "", "IHCP-species-notes": "<p></p>", "IP-species-checked": "guaranteed", "IP-species-dilution-info": "", "IP-species-notes": "", "WB-species-checked": "testedAndGuaranteed", "WB-species-dilution-info": "", "WB-species-notes": "<p></p>", "ICCIF-species-checked": "notRecommended", "ICCIF-species-dilution-info": "", "ICCIF-species-notes": "<p></p>" }, "Rat": { "IHCP-species-checked": "testedAndGuaranteed", "IHCP-species-dilution-info": "", "IHCP-species-notes": "<p></p>", "IP-species-checked": "guaranteed", "IP-species-dilution-info": "", "IP-species-notes": "", "WB-species-checked": "testedAndGuaranteed", "WB-species-dilution-info": "", "WB-species-notes": "<p></p>", "ICCIF-species-checked": "notRecommended", "ICCIF-species-dilution-info": "", "ICCIF-species-notes": "" } } }

Product details

ab317627 is the carrier-free version of ab317626.

Patented technology
Our RabMAb® technology is a patented hybridoma-based technology for making rabbit monoclonal antibodies. For details on our patents, please refer to RabMAb® patents.

What are the advantages of a recombinant monoclonal antibody?
This product is a recombinant monoclonal antibody, which offers several advantages including:

  • - High batch-to-batch consistency and reproducibility
  • - Improved sensitivity and specificity
  • - Long-term security of supply
  • - Animal-free batch production

For more information, read more on recombinant antibodies.

Conjugation ready
Our carrier-free antibodies are typically supplied in a PBS-only formulation, purified and free of BSA, sodium azide and glycerol. This conjugation-ready format is designed for use with fluorochromes, metal isotopes, oligonucleotides, and enzymes, which makes them ideal for antibody labelling, functional and cell-based assays, flow-based assays (e.g. mass cytometry) and Multiplex Imaging applications.

Use our conjugation kits for antibody conjugates that are ready-to-use in as little as 20 minutes with 1 minute hands-on-time and 100% antibody recovery: available for fluorescent dyes, HRP, biotin and gold.

Compatibility
This product is compatible with the Maxpar® Antibody Labeling Kit from Fluidigm, without the need for antibody preparation. Maxpar® is a trademark of Fluidigm Canada Inc.

Properties and storage information

Form
Liquid
Purification technique
Affinity purification Protein A
Storage buffer
pH: 7.2 - 7.4 Constituents: 100% PBS
Shipped at conditions
Blue Ice
Appropriate short-term storage conditions
+4°C
Appropriate long-term storage conditions
+4°C

Supplementary information

This supplementary information is collated from multiple sources and compiled automatically.

The HMGCS1 protein also known as 3-hydroxy-3-methylglutaryl-CoA synthase 1 functions as an enzyme with an approximate molecular weight of 57 kDa. This enzyme catalyzes the condensation of acetyl-CoA and acetoacetyl-CoA to form HMG-CoA a critical step in the mevalonate pathway. HMGCS1 is expressed in various tissues with high levels detected in the liver. It plays a role in cholesterol biosynthesis reflecting its importance in metabolic processes.
Biological function summary

This enzyme contributes to the synthesis of cholesterol and other isoprenoids. HMGCS1 is not typically part of a multi-protein complex but operates downstream of acetyl-CoA in the mevalonate pathway. Its activity helps maintain cellular homeostasis by regulating the pool of HMG-CoA an important precursor in cholesterol and ketone bodies synthesis. The modulation of HMGCS1 activity impacts cellular proliferation and growth given the pathway's connection to sterol and non-sterol isoprenoid production.

Pathways

The enzyme participates chiefly in the mevalonate and cholesterol biosynthesis pathways. It functions alongside HMG-CoA reductase (HMGCR) which converts HMG-CoA to mevalonate further linking to cholesterol synthesis and regulatory pathways. The interrelation of HMGCS1 with other enzymes like HMGCR highlights its significance in lipid metabolism and cellular energy balance influencing pathways essential for cell membrane synthesis and signaling molecules production.

Alterations in HMGCS1 expression or function can associate with dyslipidemia and cardiovascular disease. Elevated levels of cholesterol due to disruptions in the mevalonate pathway implicate HMGCS1 in these disorders. Moreover mutations or heterogeneity in HMGCS1 activity may connect with metabolic syndrome where the pathways involving cholesterol biosynthesis play a role. Additionally understanding interactions with proteins such as HMGCR could provide insights into therapeutic targets for hypercholesterolemia and related cardiovascular conditions.

Product protocols

For this product, it's our understanding that no specific protocols are required. You can visit:

Target data

Catalyzes the condensation of acetyl-CoA with acetoacetyl-CoA to form HMG-CoA, which is converted by HMG-CoA reductase (HMGCR) into mevalonate, a precursor for cholesterol synthesis.
See full target information HMGCS1

Product promise

We are committed to supporting your work with high-quality reagents, and we're here for you every step of the way. In the unlikely event that one of our products does not perform as expected, you're protected by our Product Promise.
For full details, please see our Terms & Conditions

Please note: All products are 'FOR RESEARCH USE ONLY. NOT FOR USE IN DIAGNOSTIC OR THERAPEUTIC PROCEDURES'.

For licensing inquiries, please contact partnerships@abcam.com