JavaScript is disabled in your browser. Please enable JavaScript to view this website.
AB314865

Anti-HMGN1 antibody [EPR26772-17] - BSA and Azide free

Be the first to review this product! Submit a review

|

(0 Publication)

Rabbit Recombinant Monoclonal HMGN1 antibody. Carrier free. Suitable for IHC-P, ICC/IF, Flow Cyt (Intra), IP and reacts with Human, Transfected cell line - Human samples.

View Alternative Names

HMG14, HMGN1, Non-histone chromosomal protein HMG-14, High mobility group nucleosome-binding domain-containing protein 1

6 Images
Immunohistochemistry (Formalin/PFA-fixed paraffin-embedded sections) - Anti-HMGN1 antibody [EPR26772-17] - BSA and Azide free (AB314865)
  • IHC-P

Supplier Data

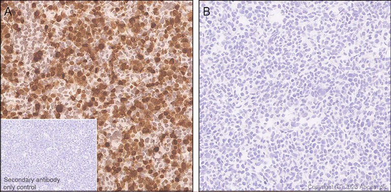
Immunohistochemistry (Formalin/PFA-fixed paraffin-embedded sections) - Anti-HMGN1 antibody [EPR26772-17] - BSA and Azide free (AB314865)

This data was developed using ab314864, the same antibody clone in a different buffer formulation.

Immunohistochemical analysis of paraffin-embedded (A) HEK-293T (human embryonic kidney epithelial cell) transfected with a HMGN1 expression vector containing a Myc-His tag. (B) HEK-293T transfected with empty vector containing a Myc-His tag. tissue labeling HMGN1 with ab314864 at 1/2000 (0.266 ug/ml) followed by a ready to use LeicaDS9800 (Bond™ Polymer Refine Detection). Positive staining on HEK-293T transfected with a Myc-His-tagged HMGN1 construct (image A). No staining on HEK-293T transfected with empty plasmid (image B). The section was incubated with ab314864 for 30 mins at room temperature. The immunostaining was performed on a Leica Biosystems BOND® RX instrument. Counterstained with Hematoxylin.

Secondary antibody only control : Secondary antibody is a ready to use LeicaDS9800 (Bond™ Polymer Refine Detection).

Heat mediated antigen retrieval was performed with Tris-EDTA buffer (pH 9.0, Epitope Retrieval Solution2) for 20 mins.

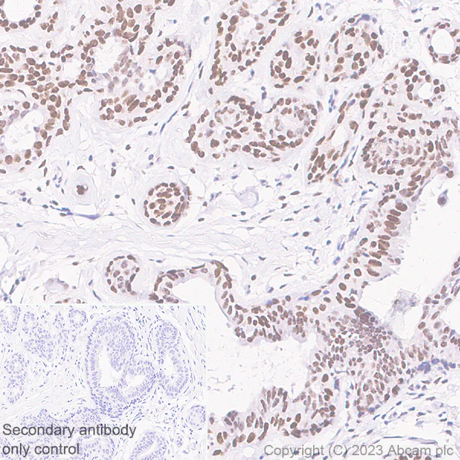
Immunohistochemistry (Formalin/PFA-fixed paraffin-embedded sections) - Anti-HMGN1 antibody [EPR26772-17] - BSA and Azide free (AB314865)
  • IHC-P

Supplier Data

Immunohistochemistry (Formalin/PFA-fixed paraffin-embedded sections) - Anti-HMGN1 antibody [EPR26772-17] - BSA and Azide free (AB314865)

This data was developed using ab314864, the same antibody clone in a different buffer formulation.

Immunohistochemical analysis of paraffin-embedded human breast tissue labeling HMGN1 with ab314864 at 1/200 (2.655 ug/ml) followed by a ready to use Rabbit specific IHC polymer detection kit HRP/DAB (ab209101). Positive staining on human breast. The section was incubated with ab314864 for 30 mins at room temperature. The immunostaining was performed on a Leica Biosystems BOND® RX instrument. Counterstained with Hematoxylin.

Secondary antibody only control : Secondary antibody is a ready to use Rabbit specific IHC polymer detection kit HRP/DAB (ab209101).

Heat mediated antigen retrieval was performed with Tris-EDTA buffer (pH 9.0, Epitope Retrieval Solution2) for 20 mins.

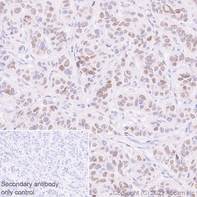
Immunohistochemistry (Formalin/PFA-fixed paraffin-embedded sections) - Anti-HMGN1 antibody [EPR26772-17] - BSA and Azide free (AB314865)
  • IHC-P

Supplier Data

Immunohistochemistry (Formalin/PFA-fixed paraffin-embedded sections) - Anti-HMGN1 antibody [EPR26772-17] - BSA and Azide free (AB314865)

This data was developed using ab314864, the same antibody clone in a different buffer formulation.

Immunohistochemical analysis of paraffin-embedded human breast carcinoma tissue labeling HMGN1 with ab314864 at 1/200 (2.655 ug/ml) followed by a ready to use Rabbit specific IHC polymer detection kit HRP/DAB (ab209101). Positive staining on human breast carcinoma. The section was incubated with ab314864 for 30 mins at room temperature. The immunostaining was performed on a Leica Biosystems BOND® RX instrument. Counterstained with Hematoxylin.

Secondary antibody only control : Secondary antibody is a ready to use Rabbit specific IHC polymer detection kit HRP/DAB (ab209101).

Heat mediated antigen retrieval was performed with Tris-EDTA buffer (pH 9.0, Epitope Retrieval Solution2) for 20 mins.

Immunocytochemistry/ Immunofluorescence - Anti-HMGN1 antibody [EPR26772-17] - BSA and Azide free (AB314865)
  • ICC/IF

Supplier Data

Immunocytochemistry/ Immunofluorescence - Anti-HMGN1 antibody [EPR26772-17] - BSA and Azide free (AB314865)

This data was developed using ab314864, the same antibody clone in a different buffer formulation.

Immunofluorescent analysis of 4% Paraformaldehyde-fixed, 0.1% TritonX-100 permeabilized NCCIT (human pluripotent embryonic carcinoma epithelial cell) cells labelling HMGN1 with ab314864 at 1/50 (10.34 ug/ml) dilution, followed by ab150081 Goat Anti-Rabbit IgG H&L (Alexa Fluor® 488) preadsorbed antibody at 1/1000 (2 ug/mL) dilution (Green). Confocal image showing nuclear staining in NCCIT cell line. Image was taken with a confocal microscope (Leica-Microsystems, TCS SP8). ab195889 Anti-alpha Tubulin mouse monoclonal antibody - Microtubule Marker (Alexa Fluor® 594) was used to counterstain tubulin at 1/200 (2.5ug/ ml) dilution (Red). The Nuclear counterstain was DAPI (Blue).

Secondary antibody only control : Secondary antibody is ab150081 Goat Anti-Rabbit IgG H&L (Alexa Fluor® 488) preadsorbed at 1/1000 (2 ug/mL) dilution.

Flow Cytometry (Intracellular) - Anti-HMGN1 antibody [EPR26772-17] - BSA and Azide free (AB314865)
  • Flow Cyt (Intra)

Supplier Data

Flow Cytometry (Intracellular) - Anti-HMGN1 antibody [EPR26772-17] - BSA and Azide free (AB314865)

This data was developed using ab314864, the same antibody clone in a different buffer formulation.

Flow cytometric analysis of 4% paraformaldehyde fixed 90% methanol permeabilized NCCIT (human pluripotent embryonic carcinoma epithelial cell) cells labelling HMGN1 with ab314864 at 1/50 dilution (1 ug)/Red compared with a Rabbit monoclonal IgG (ab172730) (Black) isotype control and an unlabelled control (cells without incubation with primary antibody and secondary antibody) (Blue). A Goat Anti-Rabbit IgG (Alexa Fluor® 488, ab150081) at 1/5000 dilution was used as the secondary antibody.

Immunoprecipitation - Anti-HMGN1 antibody [EPR26772-17] - BSA and Azide free (AB314865)
  • IP

Supplier Data

Immunoprecipitation - Anti-HMGN1 antibody [EPR26772-17] - BSA and Azide free (AB314865)

This data was developed using ab314864, the same antibody clone in a different buffer formulation.

HMGN1 was immunoprecipitated from 0.35 mg NCCIT (human pluripotent embryonic carcinoma epithelial cell) whole cell lysate with ab314864 at 1/30 dilution (2ug in 0.35mg lysates). Western blot was performed on the immunoprecipitate using ab314864 at 1/1000 dilution. VeriBlot for IP secondary antibody(HRP)(ab131366) was used at 1/5000 dilution.

Lane 1 : NCCIT (human pluripotent embryonic carcinoma epithelial cell) whole cell lysate

Lane 2 : ab314864 IP in NCCIT (human pluripotent embryonic carcinoma epithelial cell) whole cell lysate

Lane 3 : Rabbit monoclonal IgG (ab172730) instead of ab314864 in NCCIT whole cell lysate

Blocking and dilution buffer and concentration : 5% NFDM/TBST.

All lanes:

Immunoprecipitation - Anti-HMGN1 antibody [EPR26772-17] (<a href='/en-us/products/primary-antibodies/hmgn1-antibody-epr26772-17-ab314864'>ab314864</a>) at 1/30 dilution

All lanes:

NCCIT (human pluripotent embryonic carcinoma epithelial cell) whole cell lysate

Secondary

All lanes:

Immunoprecipitation - VeriBlot for IP Detection Reagent (HRP) (<a href='/en-us/products/reagents/veriblot-for-ip-detection-reagent-hrp-ab131366'>ab131366</a>) at 1/5000 dilution

false

Exposure time: 180s

Key facts

Host species

Rabbit

Clonality

Monoclonal

Clone number

EPR26772-17

Isotype

IgG

Carrier free

Yes

Reacts with

Human

Applications

ICC/IF, Flow Cyt (Intra), IHC-P, IP

applications

Immunogen

The exact immunogen used to generate this antibody is proprietary information.

Specificity

This antibody does not cross-react with human HMGN2, HMGN3, HMGN4, HMGN5.

Reactivity data

{ "title": "Reactivity Data", "filters": { "stats": ["", "Species", "Dilution Info", "Notes"], "tabs": { "all-applications": {"fullname" : "All Applications", "shortname": "All Applications"}, "IHCP" : {"fullname" : "Immunohistochemistry (Formalin/PFA-fixed paraffin-embedded sections)", "shortname":"IHC-P"}, "ICCIF" : {"fullname" : "Immunocytochemistry/ Immunofluorescence", "shortname":"ICC/IF"}, "FlowCytIntra" : {"fullname" : "Flow Cytometry (Intracellular)", "shortname":"Flow Cyt (Intra)"}, "IP" : {"fullname" : "Immunoprecipitation", "shortname":"IP"}, "WB" : {"fullname" : "Western blot", "shortname":"WB"}, "ChIPseq" : {"fullname" : "ChIP-sequencing", "shortname":"ChIP-seq"} }, "product-promise": { "all": "all", "testedAndGuaranteed": "tested", "guaranteed": "expected", "predicted": "predicted", "notRecommended": "not-recommended" } }, "values": { "Human": { "IHCP-species-checked": "testedAndGuaranteed", "IHCP-species-dilution-info": "", "IHCP-species-notes": "<p></p>", "ICCIF-species-checked": "testedAndGuaranteed", "ICCIF-species-dilution-info": "", "ICCIF-species-notes": "<p></p>", "FlowCytIntra-species-checked": "testedAndGuaranteed", "FlowCytIntra-species-dilution-info": "", "FlowCytIntra-species-notes": "<p></p>", "IP-species-checked": "testedAndGuaranteed", "IP-species-dilution-info": "", "IP-species-notes": "<p></p>", "WB-species-checked": "notRecommended", "WB-species-dilution-info": "", "WB-species-notes": "<p></p>", "ChIPseq-species-checked": "notRecommended", "ChIPseq-species-dilution-info": "", "ChIPseq-species-notes": "<p></p>" }, "Mouse": { "IHCP-species-checked": "notRecommended", "IHCP-species-dilution-info": "", "IHCP-species-notes": "<p></p>", "ICCIF-species-checked": "notRecommended", "ICCIF-species-dilution-info": "", "ICCIF-species-notes": "<p></p>", "FlowCytIntra-species-checked": "notRecommended", "FlowCytIntra-species-dilution-info": "", "FlowCytIntra-species-notes": "", "IP-species-checked": "notRecommended", "IP-species-dilution-info": "", "IP-species-notes": "<p></p>", "WB-species-checked": "notRecommended", "WB-species-dilution-info": "", "WB-species-notes": "<p></p>", "ChIPseq-species-checked": "notRecommended", "ChIPseq-species-dilution-info": "", "ChIPseq-species-notes": "" }, "Rat": { "IHCP-species-checked": "notRecommended", "IHCP-species-dilution-info": "", "IHCP-species-notes": "<p></p>", "ICCIF-species-checked": "notRecommended", "ICCIF-species-dilution-info": "", "ICCIF-species-notes": "", "FlowCytIntra-species-checked": "notRecommended", "FlowCytIntra-species-dilution-info": "", "FlowCytIntra-species-notes": "", "IP-species-checked": "notRecommended", "IP-species-dilution-info": "", "IP-species-notes": "", "WB-species-checked": "notRecommended", "WB-species-dilution-info": "", "WB-species-notes": "<p></p>", "ChIPseq-species-checked": "notRecommended", "ChIPseq-species-dilution-info": "", "ChIPseq-species-notes": "" }, "Transfected cell line - Human": { "IHCP-species-checked": "testedAndGuaranteed", "IHCP-species-dilution-info": "", "IHCP-species-notes": "<p></p>", "ICCIF-species-checked": "notRecommended", "ICCIF-species-dilution-info": "", "ICCIF-species-notes": "", "FlowCytIntra-species-checked": "notRecommended", "FlowCytIntra-species-dilution-info": "", "FlowCytIntra-species-notes": "", "IP-species-checked": "notRecommended", "IP-species-dilution-info": "", "IP-species-notes": "", "WB-species-checked": "notRecommended", "WB-species-dilution-info": "", "WB-species-notes": "", "ChIPseq-species-checked": "notRecommended", "ChIPseq-species-dilution-info": "", "ChIPseq-species-notes": "" } } }

Product details

ab314865 is the carrier-free version of ab314864.

Patented technology
Our RabMAb® technology is a patented hybridoma-based technology for making rabbit monoclonal antibodies. For details on our patents, please refer to RabMAb® patents.

What are the advantages of a recombinant monoclonal antibody?
This product is a recombinant monoclonal antibody, which offers several advantages including:

  • - High batch-to-batch consistency and reproducibility
  • - Improved sensitivity and specificity
  • - Long-term security of supply
  • - Animal-free batch production

For more information, read more on recombinant antibodies.

Conjugation ready
Our carrier-free antibodies are typically supplied in a PBS-only formulation, purified and free of BSA, sodium azide and glycerol. This conjugation-ready format is designed for use with fluorochromes, metal isotopes, oligonucleotides, and enzymes, which makes them ideal for antibody labelling, functional and cell-based assays, flow-based assays (e.g. mass cytometry) and Multiplex Imaging applications.

Use our conjugation kits for antibody conjugates that are ready-to-use in as little as 20 minutes with 1 minute hands-on-time and 100% antibody recovery: available for fluorescent dyes, HRP, biotin and gold.

Compatibility
This product is compatible with the Maxpar® Antibody Labeling Kit from Fluidigm, without the need for antibody preparation. Maxpar® is a trademark of Fluidigm Canada Inc.

Properties and storage information

Form
Liquid
Purification technique
Affinity purification Protein A
Storage buffer
pH: 7.2 - 7.4 Constituents: PBS
Shipped at conditions
Blue Ice
Appropriate short-term storage conditions
+4°C
Appropriate long-term storage conditions
+4°C

Supplementary information

This supplementary information is collated from multiple sources and compiled automatically.

HMGN1 also known as high mobility group nucleosomal binding domain protein 1 is a non-histone chromosomal protein with a mass of approximately 11 kDa. It interacts with chromatin inside the nucleus and regulates the architecture of nucleosomes. HMGN1 expresses in various types of tissues with higher levels observed in actively proliferating cells. The protein modulates the structure of chromatin by binding to nucleosomes and affecting nucleosome spacing and histone modifications.
Biological function summary

This protein plays an important role in modulating gene expression and cellular response to DNA damage. It does not form part of a large complex but associates with nucleosomes to influence chromatin dynamics. HMGN1 can affect transcription by altering chromatin accessibility and stabilizer that facilitates repair processes in response to DNA damage. The protein can also interfere with specific transcription factors therefore reducing or enhancing the transcription of target genes.

Pathways

This protein fits into cellular pathways involving transcription regulation and DNA repair. HMGN1 modifies chromatin structure and therefore participates in transcription-related pathways. It is also involved in DNA repair pathways ensuring proper response to DNA damage. Within these systems HMGN1 interacts with proteins such as HMGA1 influencing transcription and ATM which is critical in the DNA damage response pathway.

Irregular expression or dysfunction of this protein links to certain cancers and autoimmune disorders. HMGN1 influences the development and progression of diseases through its role in gene expression and chromatin modulation. Aberrations in HMGN1 expression can lead to improper regulation of related proteins such as p53 an important player in cancer progression and NF-kB involved in immune responses. This connection with p53 and NF-kB makes HMGN1 a target of interest in disease research and therapy development.

Product protocols

For this product, it's our understanding that no specific protocols are required. You can visit:

Target data

Binds to the inner side of the nucleosomal DNA thus altering the interaction between the DNA and the histone octamer. May be involved in the process which maintains transcribable genes in a unique chromatin conformation. Inhibits the phosphorylation of nucleosomal histones H3 and H2A by RPS6KA5/MSK1 and RPS6KA3/RSK2 (By similarity).
See full target information HMGN1

Product promise

We are committed to supporting your work with high-quality reagents, and we're here for you every step of the way. In the unlikely event that one of our products does not perform as expected, you're protected by our Product Promise.
For full details, please see our Terms & Conditions

Please note: All products are 'FOR RESEARCH USE ONLY. NOT FOR USE IN DIAGNOSTIC OR THERAPEUTIC PROCEDURES'.

For licensing inquiries, please contact partnerships@abcam.com