JavaScript is disabled in your browser. Please enable JavaScript to view this website.
AB248090

Anti-HMGN2 antibody [EPR7091] - BSA and Azide free

Be the first to review this product! Submit a review

|

(1 Publication)

Rabbit Recombinant Monoclonal HMGN2 antibody. Carrier free. Suitable for IHC-P, WB and reacts with Human samples. Cited in 1 publication.

View Alternative Names

HMG17, HMGN2, Non-histone chromosomal protein HMG-17, High mobility group nucleosome-binding domain-containing protein 2

3 Images
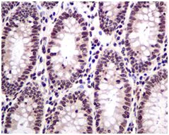
Immunohistochemistry (Formalin/PFA-fixed paraffin-embedded sections) - Anti-HMGN2 antibody [EPR7091] - BSA and Azide free (AB248090)
  • IHC-P

Unknown

Immunohistochemistry (Formalin/PFA-fixed paraffin-embedded sections) - Anti-HMGN2 antibody [EPR7091] - BSA and Azide free (AB248090)

This data was developed using ab124997, the same antibody clone in a different buffer formulation.

ab124997 at 1/250 dilution staining HMGN2 in paraffin-embedded Human colon tissue by Immunohistochemistry.

Perform heat mediated antigen retrieval before commencing with IHC staining protocol.

Western blot - Anti-HMGN2 antibody [EPR7091] - BSA and Azide free (AB248090)
  • WB

Unknown

Western blot - Anti-HMGN2 antibody [EPR7091] - BSA and Azide free (AB248090)

This data was developed using ab124997, the same antibody clone in a different buffer formulation.

All cell lysates were prepared in 1% SDS Hot lysis method.

All lanes:

Western blot - Anti-HMGN2 antibody [EPR7091] (<a href='/en-us/products/primary-antibodies/hmgn2-antibody-epr7091-ab124997'>ab124997</a>) at 1/1000 dilution

Lane 1:

HL60 cell lysate at 10 µg

Lane 2:

K562 cell lysate at 10 µg

Lane 3:

HeLa cell lysate at 10 µg

Lane 4:

SH-SY5Y cell lysate at 10 µg

Lane 5:

Jurkat cell lysate at 10 µg

Secondary

All lanes:

Goat anti-Rabbit HRP at 1/2000 dilution

Predicted band size: 9 kDa

false

Western blot - Anti-HMGN2 antibody [EPR7091] - BSA and Azide free (AB248090)
  • WB

Lab

Western blot - Anti-HMGN2 antibody [EPR7091] - BSA and Azide free (AB248090)

This data was developed using ab124997, the same antibody clone in a different buffer formulation.

Blocking and dilution buffer : 5% NFDM/TBST.

All lanes:

Western blot - Anti-HMGN2 antibody [EPR7091] (<a href='/en-us/products/primary-antibodies/hmgn2-antibody-epr7091-ab124997'>ab124997</a>) at 1/1000 dilution

Lane 1:

HL-60 (Human acute promyelocytic leukemia promyeloblast) whole cell lysate prepared in 1%SDS Hot lysis method at 15 µg

Lane 2:

K-562 (Human chronic myelogenous leukemia lymphoblast) whole cell lysate prepared in 1%SDS Hot lysis method at 15 µg

Secondary

All lanes:

Western blot - Goat Anti-Rabbit IgG H&L (HRP) (<a href='/en-us/products/secondary-antibodies/goat-rabbit-igg-h-l-hrp-ab97051'>ab97051</a>) at 1/20000 dilution

Predicted band size: 9 kDa

Observed band size: 18 kDa

false

Key facts

Host species

Rabbit

Clonality

Monoclonal

Clone number

EPR7091

Isotype

IgG

Carrier free

Yes

Reacts with

Human

Applications

IHC-P, WB

applications

Immunogen

The exact immunogen used to generate this antibody is proprietary information.

Reactivity data

{ "title": "Reactivity Data", "filters": { "stats": ["", "Species", "Dilution Info", "Notes"], "tabs": { "all-applications": {"fullname" : "All Applications", "shortname": "All Applications"}, "IHCP" : {"fullname" : "Immunohistochemistry (Formalin/PFA-fixed paraffin-embedded sections)", "shortname":"IHC-P"}, "IP" : {"fullname" : "Immunoprecipitation", "shortname":"IP"}, "FlowCyt" : {"fullname" : "Flow Cytometry", "shortname":"Flow Cyt"}, "WB" : {"fullname" : "Western blot", "shortname":"WB"} }, "product-promise": { "all": "all", "testedAndGuaranteed": "tested", "guaranteed": "expected", "predicted": "predicted", "notRecommended": "not-recommended" } }, "values": { "Human": { "IHCP-species-checked": "testedAndGuaranteed", "IHCP-species-dilution-info": "", "IHCP-species-notes": "<p>For antigen retrieval, heat up to 98 degree C, below boiling, and then let cool for 10-20 minutes.</p>", "IP-species-checked": "notRecommended", "IP-species-dilution-info": "", "IP-species-notes": "<p></p>", "FlowCyt-species-checked": "notRecommended", "FlowCyt-species-dilution-info": "", "FlowCyt-species-notes": "<p></p>", "WB-species-checked": "testedAndGuaranteed", "WB-species-dilution-info": "", "WB-species-notes": "<p></p>" } } }

Product details

ab248090 is the carrier-free version of ab124997.

Species reactivity
Mouse, Rat: We have preliminary internal testing data to indicate this antibody may not react with these species.
Please contact us for more information.

Patented technology
Our RabMAb® technology is a patented hybridoma-based technology for making rabbit monoclonal antibodies. For details on our patents, please refer to RabMAb® patents.

What are the advantages of a recombinant monoclonal antibody?
This product is a recombinant monoclonal antibody, which offers several advantages including:

  • - High batch-to-batch consistency and reproducibility
  • - Improved sensitivity and specificity
  • - Long-term security of supply
  • - Animal-free batch production

For more information, read more on recombinant antibodies.

Conjugation ready
Our carrier-free antibodies are typically supplied in a PBS-only formulation, purified and free of BSA, sodium azide and glycerol. This conjugation-ready format is designed for use with fluorochromes, metal isotopes, oligonucleotides, and enzymes, which makes them ideal for antibody labelling, functional and cell-based assays, flow-based assays (e.g. mass cytometry) and Multiplex Imaging applications.

Use our conjugation kits for antibody conjugates that are ready-to-use in as little as 20 minutes with 1 minute hands-on-time and 100% antibody recovery: available for fluorescent dyes, HRP, biotin and gold.

Compatibility
This product is compatible with the Maxpar® Antibody Labeling Kit from Fluidigm, without the need for antibody preparation. Maxpar® is a trademark of Fluidigm Canada Inc.

Properties and storage information

Form
Liquid
Purification technique
Affinity purification Protein A
Storage buffer
pH: 7.2 - 7.4 Constituents: PBS
Shipped at conditions
Blue Ice
Appropriate short-term storage conditions
+4°C
Appropriate long-term storage conditions
+4°C
Storage information
Do Not Freeze

Supplementary information

This supplementary information is collated from multiple sources and compiled automatically.

HMGN2 also known as high mobility group nucleosome binding domain 2 is a small protein weighing approximately 10.1 kDa. It is a non-histone chromosomal protein that interacts directly with nucleosomes modulating chromatin structure and function. HMGN2 is widely expressed in various tissues and cells and it plays a role in gene regulation by affecting the chromatin compaction and transcriptional activity.
Biological function summary

HMGN2 influences cellular processes by binding to the nucleosome core particle within chromatin. It is a component of a dynamic chromatin complex that affects gene expression by remodeling chromatin structure making specific genomic regions more accessible to transcription machinery. HMGN2's interaction with nucleosomes can regulate a host of genes involved in growth and differentiation highlighting its role in modulating cellular functions.

Pathways

Chromatin remodeling and transcriptional regulation involve HMGN2 as a significant player. It participates in important pathways like gene expression regulation and cellular responses to DNA damage. HMGN2 interacts with proteins such as histones and other high mobility group proteins which orchestrate these pathways by modifying chromatin architecture and influencing transcription factor access.

HMGN2 shows relations to cancer and autoimmune diseases. Altered expression or mutations in HMGN2 can disrupt normal chromatin dynamics contributing to oncogenesis by deregulating genes involved in cell cycle control. Additionally autoimmune conditions may arise due to the immune system's aberrant response to misregulated HMGN2 affecting proteins such as histones that interact with this target. Understanding HMGN2's role in disease can offer insight into potential therapeutic strategies.

Product protocols

For this product, it's our understanding that no specific protocols are required. You can visit:

Target data

Binds to the inner side of the nucleosomal DNA thus altering the interaction between the DNA and the histone octamer. May be involved in the process which maintains transcribable genes in a unique chromatin conformation (By similarity).
See full target information HMGN2

Publications (1)

Recent publications for all applications. Explore the full list and refine your search

International journal of molecular sciences 23: PubMed35269806

2022

Modulation of Gut Microbiota Combined with Upregulation of Intestinal Tight Junction Explains Anti-Inflammatory Effect of Corylin on Colitis-Associated Cancer in Mice.

Applications

Unspecified application

Species

Unspecified reactive species

Zi-Yu Chang,Hsuan-Miao Liu,Yann-Lii Leu,Chung-Hua Hsu,Tzung-Yan Lee
View all publications

Product promise

We are committed to supporting your work with high-quality reagents, and we're here for you every step of the way. In the unlikely event that one of our products does not perform as expected, you're protected by our Product Promise.
For full details, please see our Terms & Conditions

Please note: All products are 'FOR RESEARCH USE ONLY. NOT FOR USE IN DIAGNOSTIC OR THERAPEUTIC PROCEDURES'.

For licensing inquiries, please contact partnerships@abcam.com