JavaScript is disabled in your browser. Please enable JavaScript to view this website.
AB72233

Anti-HMGN3 antibody

Be the first to review this product! Submit a review

|

(2 Publications)

Rabbit Polyclonal HMGN3 antibody. Suitable for IHC-P, IP, WB and reacts with Human samples. Cited in 2 publications. Immunogen corresponding to Synthetic Peptide within Human HMGN3.

View Alternative Names

TRIP7, PNAS-24, HMGN3, High mobility group nucleosome-binding domain-containing protein 3, Thyroid receptor-interacting protein 7, TR-interacting protein 7, TRIP-7

3 Images
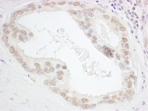
Immunohistochemistry (Formalin/PFA-fixed paraffin-embedded sections) - Anti-HMGN3 antibody (AB72233)
  • IHC-P

Unknown

Immunohistochemistry (Formalin/PFA-fixed paraffin-embedded sections) - Anti-HMGN3 antibody (AB72233)

Immunohistochemistry (Formalin/PFA-fixed paraffin-embedded sections) analysis of human prostate carcinoma tissue labelling HMGN3 with ab72233 at 1/1000 (0.2µg/ml). Detection : DAB.

Immunoprecipitation - Anti-HMGN3 antibody (AB72233)
  • IP

Unknown

Immunoprecipitation - Anti-HMGN3 antibody (AB72233)

Immunoprecipitation/ Western Blot of HMGN3.
Lane 1 : ab72233 at 3μg/mg whole cell lysate.
Lane 2 : Control IgG.

ab72233 at 1μg/ml for WB.
Whole cell lysate from Hela cells at 1mg for IP, 20% of IP loaded.
Chemiluminescence with an exposure time of 3 seconds.

All lanes:

Immunoprecipitation - Anti-HMGN3 antibody (ab72233)

Predicted band size: 11 kDa

false

Western blot - Anti-HMGN3 antibody (AB72233)
  • WB

Unknown

Western blot - Anti-HMGN3 antibody (AB72233)

All lanes:

Western blot - Anti-HMGN3 antibody (ab72233) at 0.04 µg/mL

Lane 1:

Whole cell lysate from Hela cells at 50 µg

Lane 2:

Whole cell lysate from Hela cells at 15 µg

Lane 3:

Whole cell lysate from Hela cells at 5 µg

Predicted band size: 11 kDa

Observed band size: 15 kDa,16 kDa,19 kDa,51 kDa

false

Key facts

Host species

Rabbit

Clonality

Polyclonal

Isotype

IgG

Carrier free

No

Reacts with

Human

Applications

IP, IHC-P, WB

applications

Immunogen

Synthetic Peptide within Human HMGN3. The exact immunogen used to generate this antibody is proprietary information.

Q15651

Reactivity data

{ "title": "Reactivity Data", "filters": { "stats": ["", "Species", "Dilution Info", "Notes"], "tabs": { "all-applications": {"fullname" : "All Applications", "shortname": "All Applications"}, "IHCP" : {"fullname" : "Immunohistochemistry (Formalin/PFA-fixed paraffin-embedded sections)", "shortname":"IHC-P"}, "IP" : {"fullname" : "Immunoprecipitation", "shortname":"IP"}, "WB" : {"fullname" : "Western blot", "shortname":"WB"} }, "product-promise": { "all": "all", "testedAndGuaranteed": "tested", "guaranteed": "expected", "predicted": "predicted", "notRecommended": "not-recommended" } }, "values": { "Human": { "IHCP-species-checked": "testedAndGuaranteed", "IHCP-species-dilution-info": "1/200 - 1/1000", "IHCP-species-notes": "<p></p> Perform heat-mediated antigen retrieval with citrate buffer pH 6 before commencing with IHC staining protocol.", "IP-species-checked": "testedAndGuaranteed", "IP-species-dilution-info": "2-5 µg/mg of lysate", "IP-species-notes": "<p></p>", "WB-species-checked": "testedAndGuaranteed", "WB-species-dilution-info": "1/2000 - 1/10000", "WB-species-notes": "<p></p>" }, "Bat": { "IHCP-species-checked": "predicted", "IHCP-species-dilution-info": "", "IHCP-species-notes": "", "IP-species-checked": "predicted", "IP-species-dilution-info": "", "IP-species-notes": "", "WB-species-checked": "predicted", "WB-species-dilution-info": "", "WB-species-notes": "" }, "Chimpanzee": { "IHCP-species-checked": "predicted", "IHCP-species-dilution-info": "", "IHCP-species-notes": "", "IP-species-checked": "predicted", "IP-species-dilution-info": "", "IP-species-notes": "", "WB-species-checked": "predicted", "WB-species-dilution-info": "", "WB-species-notes": "" }, "Gorilla": { "IHCP-species-checked": "predicted", "IHCP-species-dilution-info": "", "IHCP-species-notes": "", "IP-species-checked": "predicted", "IP-species-dilution-info": "", "IP-species-notes": "", "WB-species-checked": "predicted", "WB-species-dilution-info": "", "WB-species-notes": "" }, "Horse": { "IHCP-species-checked": "predicted", "IHCP-species-dilution-info": "", "IHCP-species-notes": "", "IP-species-checked": "predicted", "IP-species-dilution-info": "", "IP-species-notes": "", "WB-species-checked": "predicted", "WB-species-dilution-info": "", "WB-species-notes": "" }, "Orangutan": { "IHCP-species-checked": "predicted", "IHCP-species-dilution-info": "", "IHCP-species-notes": "", "IP-species-checked": "predicted", "IP-species-dilution-info": "", "IP-species-notes": "", "WB-species-checked": "predicted", "WB-species-dilution-info": "", "WB-species-notes": "" }, "Rhesus monkey": { "IHCP-species-checked": "predicted", "IHCP-species-dilution-info": "", "IHCP-species-notes": "", "IP-species-checked": "predicted", "IP-species-dilution-info": "", "IP-species-notes": "", "WB-species-checked": "predicted", "WB-species-dilution-info": "", "WB-species-notes": "" } } }

Properties and storage information

Form
Liquid
Purification technique
Affinity purification Immunogen
Storage buffer
pH: 6.8 - 7.4 Preservative: 0.09% Sodium azide Constituents: Tris buffered saline, 0.1% BSA
Shipped at conditions
Blue Ice
Appropriate short-term storage conditions
+4°C
Appropriate long-term storage conditions
+4°C
Aliquoting information
Upon delivery aliquot
Storage information
Avoid freeze / thaw cycle

Supplementary information

This supplementary information is collated from multiple sources and compiled automatically.

HMGN3 also known as High Mobility Group Nucleosome-Binding Domain 3 is a protein that interacts with chromatin and influences its structure. It weighs approximately 10 kDa. HMGN3 is expressed in various tissues with high levels found in the brain pancreas and kidney. This protein regulates chromatin compaction impacting gene expression and cellular functions.
Biological function summary

HMGN3 functions by modulating the access of transcription factors to DNA. It is not a part of any known multi-protein complex but acts independently. By altering the chromatin landscape HMGN3 plays a role in the regulation of genes involved in metabolism and neurodevelopment impacting cellular processes like energy balance and synaptic function.

Pathways

HMGN3 participates in the insulin signaling and neurodevelopmental pathways. It influences the insulin signaling pathway by affecting genes that manage glucose metabolism. Related proteins include insulin receptor substrate 1 (IRS1) as they work together to ensure proper metabolic responses. In the neurodevelopmental context HMGN3 interacts with pathways involving the brain-derived neurotrophic factor (BDNF) contributing to the development and plasticity of neurons.

HMGN3 relates to type 2 diabetes and neurodegenerative diseases like Alzheimer's. The role of HMGN3 in glucose metabolism links it to type 2 diabetes alongside proteins like IRS1 that influence insulin resistance. In Alzheimer's disease HMGN3 might contribute to synaptic dysfunction interacting with BDNF and other neurotrophic factors signaling potential areas of therapeutic interest.

Product protocols

For this product, it's our understanding that no specific protocols are required. You can visit:

Target data

Binds to nucleosomes, regulating chromatin structure and consequently, chromatin-dependent processes such as transcription, DNA replication and DNA repair. Affects both insulin and glucagon levels and modulates the expression of pancreatic genes involved in insulin secretion. Regulates the expression of the glucose transporter SLC2A2 by binding specifically to its promoter region and recruiting PDX1 and additional transcription factors. Regulates the expression of SLC6A9, a glycine transporter which regulates the glycine concentration in synaptic junctions in the central nervous system, by binding to its transcription start site. May play a role in ocular development and astrocyte function (By similarity).
See full target information HMGN3

Publications (2)

Recent publications for all applications. Explore the full list and refine your search

FASEB journal : official publication of the Federation of American Societies for Experimental Biology 36:e22345 PubMed35635715

2022

HMGN3 represses transcription of epithelial regulators to promote migration of cholangiocarcinoma in a SNAI2-dependent manner.

Applications

Unspecified application

Species

Unspecified reactive species

Supannika Sorin,Sho Kubota,Sofiane Hamidi,Takako Yokomizo-Nakano,Kulthida Vaeteewoottacharn,Sopit Wongkham,Sakda Waraasawapati,Chawalit Pairojkul,Jie Bai,Mariko Morii,Guojun Sheng,Kanlayanee Sawanyawisuth,Goro Sashida

Genes & development 30:1991-2004 PubMed27664238

2016

Cap-independent translation by DAP5 controls cell fate decisions in human embryonic stem cells.

Applications

Unspecified application

Species

Unspecified reactive species

Yael Yoffe,Maya David,Rinat Kalaora,Lital Povodovski,Gilgi Friedlander,Ester Feldmesser,Elena Ainbinder,Ann Saada,Shani Bialik,Adi Kimchi
View all publications

Product promise

We are committed to supporting your work with high-quality reagents, and we're here for you every step of the way. In the unlikely event that one of our products does not perform as expected, you're protected by our Product Promise.
For full details, please see our Terms & Conditions

Please note: All products are 'FOR RESEARCH USE ONLY. NOT FOR USE IN DIAGNOSTIC OR THERAPEUTIC PROCEDURES'.

For licensing inquiries, please contact partnerships@abcam.com