JavaScript is disabled in your browser. Please enable JavaScript to view this website.
AB196611

Anti-HMT antibody

Be the first to review this product! Submit a review

|

(1 Publication)

Rabbit Polyclonal HMT antibody. Suitable for WB, ICC/IF, IHC-P and reacts with Human, Mouse samples. Cited in 1 publication. Immunogen corresponding to Recombinant Full Length Protein corresponding to Human Histamine N-methyltransferase.

View Alternative Names

Histamine N-methyltransferase, HMT, HNMT

6 Images
Immunocytochemistry/ Immunofluorescence - Anti-HMT antibody (AB196611)
  • ICC/IF

Supplier Data

Immunocytochemistry/ Immunofluorescence - Anti-HMT antibody (AB196611)

Immunofluorescence analysis of U2OS cells, labeling HMT using ab196611 at a 1/50 dilution. Blue : DAPI for nuclear staining.

Immunohistochemistry (Formalin/PFA-fixed paraffin-embedded sections) - Anti-HMT antibody (AB196611)
  • IHC-P

Supplier Data

Immunohistochemistry (Formalin/PFA-fixed paraffin-embedded sections) - Anti-HMT antibody (AB196611)

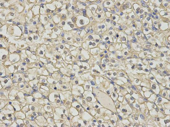
Immunohistochemical analysis of paraffin-embedded Human stomach cancer tissue labeling HMT using ab196611 at a 1/200 dilution.

Immunohistochemistry (Formalin/PFA-fixed paraffin-embedded sections) - Anti-HMT antibody (AB196611)
  • IHC-P

Supplier Data

Immunohistochemistry (Formalin/PFA-fixed paraffin-embedded sections) - Anti-HMT antibody (AB196611)

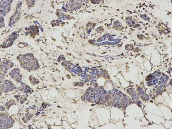
Immunohistochemical analysis of paraffin-embedded Human thyroid cancer tissue labeling HMT using ab196611 at a 1/200 dilution.

Immunohistochemistry (Formalin/PFA-fixed paraffin-embedded sections) - Anti-HMT antibody (AB196611)
  • IHC-P

Supplier Data

Immunohistochemistry (Formalin/PFA-fixed paraffin-embedded sections) - Anti-HMT antibody (AB196611)

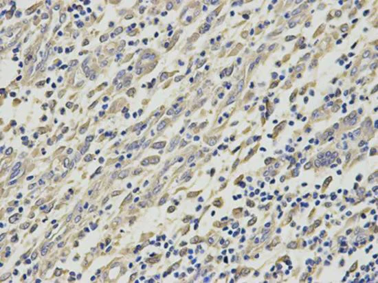
Immunohistochemical analysis of paraffin-embedded Human breast cancer tissue labeling HMT using ab196611 at a 1/200 dilution.

Immunohistochemistry (Formalin/PFA-fixed paraffin-embedded sections) - Anti-HMT antibody (AB196611)
  • IHC-P

Supplier Data

Immunohistochemistry (Formalin/PFA-fixed paraffin-embedded sections) - Anti-HMT antibody (AB196611)

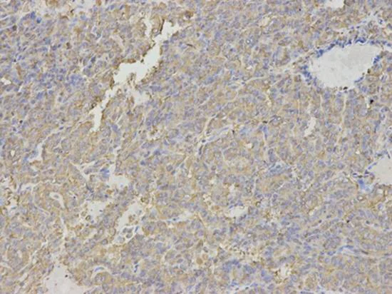
Immunohistochemical analysis of paraffin-embedded Human kidney cancer tissue labeling HMT using ab196611 at a 1/200 dilution.

Western blot - Anti-HMT antibody (AB196611)
  • WB

Supplier Data

Western blot - Anti-HMT antibody (AB196611)

All lanes:

Western blot - Anti-HMT antibody (ab196611) at 1/500 dilution

Lane 1:

HT29 cell lysate

Lane 2:

HepG2 cell lysate

Lane 3:

HeLa cell lysate

Lane 4:

mouse liver lysate

Lane 5:

mouse kidney lysate

Lane 6:

mouse brain lysate

Predicted band size: 33 kDa

false

Key facts

Host species

Rabbit

Clonality

Polyclonal

Isotype

IgG

Carrier free

No

Reacts with

Mouse, Human

Applications

ICC/IF, IHC-P, WB

applications

Immunogen

Recombinant Full Length Protein corresponding to Human Histamine N-methyltransferase.

P50135

Reactivity data

{ "title": "Reactivity Data", "filters": { "stats": ["", "Species", "Dilution Info", "Notes"], "tabs": { "all-applications": {"fullname" : "All Applications", "shortname": "All Applications"}, "WB" : {"fullname" : "Western blot", "shortname":"WB"}, "ICCIF" : {"fullname" : "Immunocytochemistry/ Immunofluorescence", "shortname":"ICC/IF"}, "IHCP" : {"fullname" : "Immunohistochemistry (Formalin/PFA-fixed paraffin-embedded sections)", "shortname":"IHC-P"} }, "product-promise": { "all": "all", "testedAndGuaranteed": "tested", "guaranteed": "expected", "predicted": "predicted", "notRecommended": "not-recommended" } }, "values": { "Human": { "WB-species-checked": "testedAndGuaranteed", "WB-species-dilution-info": "1/500 - 1/2000", "WB-species-notes": "<p></p>", "ICCIF-species-checked": "testedAndGuaranteed", "ICCIF-species-dilution-info": "1/50 - 1/200", "ICCIF-species-notes": "<p></p>", "IHCP-species-checked": "testedAndGuaranteed", "IHCP-species-dilution-info": "1/50 - 1/200", "IHCP-species-notes": "<p></p>" }, "Mouse": { "WB-species-checked": "testedAndGuaranteed", "WB-species-dilution-info": "1/500 - 1/2000", "WB-species-notes": "<p></p>", "ICCIF-species-checked": "guaranteed", "ICCIF-species-dilution-info": "", "ICCIF-species-notes": "", "IHCP-species-checked": "guaranteed", "IHCP-species-dilution-info": "", "IHCP-species-notes": "" } } }

Properties and storage information

Form
Liquid
Purification technique
Affinity purification Immunogen
Storage buffer
pH: 7.4 Preservative: 0.02% Sodium azide Constituents: PBS, 50% Glycerol (glycerin, glycerine), 0.87% Sodium chloride
Shipped at conditions
Blue Ice
Appropriate short-term storage duration
1-2 weeks
Appropriate short-term storage conditions
+4°C
Appropriate long-term storage conditions
-20°C
Aliquoting information
Upon delivery aliquot
Storage information
Avoid freeze / thaw cycle

Supplementary information

This supplementary information is collated from multiple sources and compiled automatically.

HMT also known as HMT-H8 or Histone Methyltransferase 8 is an enzyme involved in the transfer of methyl groups to histone proteins an essential step in chromatin modification. It has a molecular mass of approximately 55 kDa. HMT expresses in various tissues with a notable presence in the liver brain and heart tissues. The enzyme's distribution suggests a widespread role in regulating gene expression across different biological systems.
Biological function summary

HMT functions within the context of chromatin remodeling influencing how tightly DNA coiled around histones is therefore impacting gene accessibility. HMT often partners with other proteins to form complexes that precisely regulate methylation status in active transcription sites. By adding methyl groups HMT plays a role in activating or repressing genes affecting a broad range of cellular processes.

Pathways

The enzyme HMT takes part in significant epigenetic pathways such as the histone modification pathway and the gene silencing pathway. It actively interacts with proteins like HDACs (histone deacetylases) within these pathways affecting deacetylation and methylation in chromatin dynamics. HMT's activity often intersects with proteins like DNMTs (DNA methyltransferases) which collaborate to maintain cellular identity through stable gene expression patterns.

Abnormal changes in HMT's activity have been linked to cancer and neurodegenerative diseases. Elevated HMT activity often correlates with certain cancer types where increased methylation leads to the silencing of tumor suppressor genes. In neurodegenerative contexts HMT dysfunction can affect neuronal gene expression contributing to conditions like Huntington's disease. Proteins like p53 and HDAC are often implicated in these disorders alongside HMT as their interactions shift cellular behavior in disease states.

Product protocols

For this product, it's our understanding that no specific protocols are required. You can visit:

Target data

Inactivates histamine by N-methylation. Plays an important role in degrading histamine and in regulating the airway response to histamine.
See full target information Histamine N-methyltransferase

Publications (1)

Recent publications for all applications. Explore the full list and refine your search

Anatomical record (Hoboken, N.J. : 2007) 304:2506-2520 PubMed34319000

2021

Effect of Schwann cell transplantation combined with electroacupuncture on axonal regeneration and remyelination in rats with spinal cord injury.

Applications

Unspecified application

Species

Unspecified reactive species

Chengfang Tan,Cheng Yang,Hui Liu,Chenglin Tang,Siqin Huang
View all publications

Product promise

We are committed to supporting your work with high-quality reagents, and we're here for you every step of the way. In the unlikely event that one of our products does not perform as expected, you're protected by our Product Promise.
For full details, please see our Terms & Conditions

Please note: All products are 'FOR RESEARCH USE ONLY. NOT FOR USE IN DIAGNOSTIC OR THERAPEUTIC PROCEDURES'.

For licensing inquiries, please contact partnerships@abcam.com