JavaScript is disabled in your browser. Please enable JavaScript to view this website.
AB213150

Anti-HNF-1B antibody [EPR18644-37]

Be the first to review this product! Submit a review

|

(1 Publication)

Rabbit Recombinant Monoclonal HNF-1B antibody. Suitable for IHC-P and reacts with Mouse, Human samples. Cited in 1 publication.

View Alternative Names

TCF2, HNF1B, Hepatocyte nuclear factor 1-beta, HNF-1-beta, HNF-1B, Homeoprotein LFB3, Transcription factor 2, Variant hepatic nuclear factor 1, TCF-2, vHNF1

6 Images
Immunohistochemistry (Formalin/PFA-fixed paraffin-embedded sections) - Anti-HNF-1B antibody [EPR18644-37] (AB213150)
  • IHC-P

Supplier Data

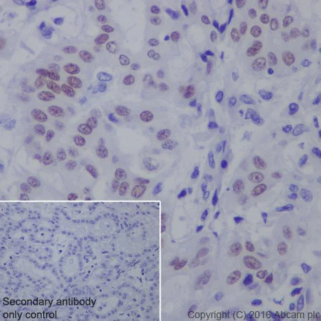
Immunohistochemistry (Formalin/PFA-fixed paraffin-embedded sections) - Anti-HNF-1B antibody [EPR18644-37] (AB213150)

Immunohistochemical analysis of paraffin-embedded human ovarian clear cell carcinoma tissue labeling HNF-1B with ab213150 at 1/2000 dilution followed by Goat Anti-Rabbit IgG H&L (HRP) at 1/500 dilution.

Nuclear staining on human ovarian clear cell carcinoma is observed.

Counter stained with Hematoxylin.

Secondary antibody only control : Used PBS instead of primary antibody secondary antibody is Goat Anti-Rabbit IgG H&L (HRP) at 1/500 dilution.

Perform heat mediated antigen retrieval with Tris/EDTA buffer pH 9.0 before commencing with IHC staining protocol.

Immunohistochemistry (Formalin/PFA-fixed paraffin-embedded sections) - Anti-HNF-1B antibody [EPR18644-37] (AB213150)
  • IHC-P

Supplier Data

Immunohistochemistry (Formalin/PFA-fixed paraffin-embedded sections) - Anti-HNF-1B antibody [EPR18644-37] (AB213150)

Immunohistochemical analysis of paraffin-embedded human liver tissue labeling HNF-1B with ab213150 at 1/2000 dilution followed by Goat Anti-Rabbit IgG H&L (HRP) at 1/500 dilution.

Nuclear staining on human liver bile duct is observed.

Counter stained with Hematoxylin.

Secondary antibody only control : Used PBS instead of primary antibody secondary antibody is Goat Anti-Rabbit IgG H&L (HRP) at 1/500 dilution.

Perform heat mediated antigen retrieval with Tris/EDTA buffer pH 9.0 before commencing with IHC staining protocol.

Immunohistochemistry (Formalin/PFA-fixed paraffin-embedded sections) - Anti-HNF-1B antibody [EPR18644-37] (AB213150)
  • IHC-P

Supplier Data

Immunohistochemistry (Formalin/PFA-fixed paraffin-embedded sections) - Anti-HNF-1B antibody [EPR18644-37] (AB213150)

Immunohistochemical analysis of paraffin-embedded human serous ovarian carcinoma tissue labeling HNF-1B with ab213150 at 1/2000 dilution followed by Goat Anti-Rabbit IgG H&L (HRP) at 1/500 dilution.

Negative staining on human serous ovarian carcinoma.

Counter stained with Hematoxylin.

Perform heat mediated antigen retrieval with Tris/EDTA buffer pH 9.0 before commencing with IHC staining protocol.

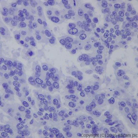
Immunohistochemistry (Formalin/PFA-fixed paraffin-embedded sections) - Anti-HNF-1B antibody [EPR18644-37] (AB213150)
  • IHC-P

Supplier Data

Immunohistochemistry (Formalin/PFA-fixed paraffin-embedded sections) - Anti-HNF-1B antibody [EPR18644-37] (AB213150)

Immunohistochemical analysis of paraffin-embedded human hepatocellular carcinoma tissue labeling HNF-1B with ab213150 at 1/2000 dilution followed by Goat Anti-Rabbit IgG H&L (HRP) at 1/500 dilution.

Negative staining on human hepatocellular carcinoma.

Counter stained with Hematoxylin.

Perform heat mediated antigen retrieval with Tris/EDTA buffer pH 9.0 before commencing with IHC staining protocol.

Immunohistochemistry (Formalin/PFA-fixed paraffin-embedded sections) - Anti-HNF-1B antibody [EPR18644-37] (AB213150)
  • IHC-P

Supplier Data

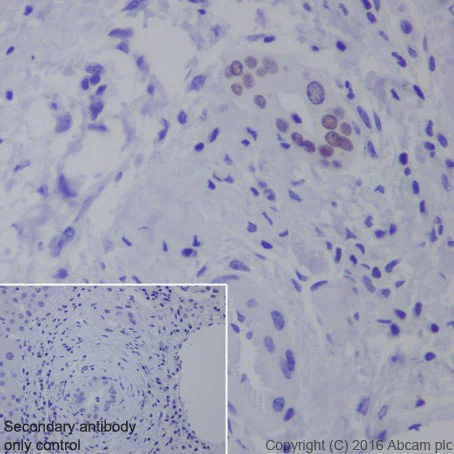
Immunohistochemistry (Formalin/PFA-fixed paraffin-embedded sections) - Anti-HNF-1B antibody [EPR18644-37] (AB213150)

Immunohistochemical analysis of paraffin-embedded human liver bile duct carcinoma tissue labeling HNF-1B with ab213150 at 1/2000 dilution followed by Goat Anti-Rabbit IgG H&L (HRP) at 1/500 dilution.

Nuclear staining on human liver bile duct carcinoma is observed.

Counter stained with Hematoxylin.

Secondary antibody only control : Used PBS instead of primary antibody secondary antibody is Goat Anti-Rabbit IgG H&L (HRP) at 1/500 dilution.

Perform heat mediated antigen retrieval with Tris/EDTA buffer pH 9.0 before commencing with IHC staining protocol.

Immunohistochemistry (Formalin/PFA-fixed paraffin-embedded sections) - Anti-HNF-1B antibody [EPR18644-37] (AB213150)
  • IHC-P

Lab

Immunohistochemistry (Formalin/PFA-fixed paraffin-embedded sections) - Anti-HNF-1B antibody [EPR18644-37] (AB213150)

Immunohistochemical analysis of paraffin-embedded mouse liver tissue labeling HNF-1B with ab213150 at 1/2000 dilution followed by LeicaDS9800 (Bond™ Polymer Refine Detection). Nuclear staining on mouse liver bile duct is observed. Counter stained with Hematoxylin.

Secondary antibody only control : Used PBS instead of primary antibody.

Perform heat mediated antigen retrieval with Tris/EDTA buffer pH 9.0 before commencing with IHC staining protocol.

  • Carrier free

    Anti-HNF-1B antibody [EPR18644-37] - BSA and Azide free

Key facts

Host species

Rabbit

Clonality

Monoclonal

Clone number

EPR18644-37

Isotype

IgG

Carrier free

No

Reacts with

Mouse, Human

Applications

IHC-P

applications

Immunogen

The exact immunogen used to generate this antibody is proprietary information.

Specificity

This antibody recognizes a different epitope of HNF-1B compared to ab213149.

Reactivity data

{ "title": "Reactivity Data", "filters": { "stats": ["", "Species", "Dilution Info", "Notes"], "tabs": { "all-applications": {"fullname" : "All Applications", "shortname": "All Applications"}, "IHCP" : {"fullname" : "Immunohistochemistry (Formalin/PFA-fixed paraffin-embedded sections)", "shortname":"IHC-P"} }, "product-promise": { "all": "all", "testedAndGuaranteed": "tested", "guaranteed": "expected", "predicted": "predicted", "notRecommended": "not-recommended" } }, "values": { "Human": { "IHCP-species-checked": "testedAndGuaranteed", "IHCP-species-dilution-info": "1/2000", "IHCP-species-notes": "<p></p>" }, "Mouse": { "IHCP-species-checked": "testedAndGuaranteed", "IHCP-species-dilution-info": "1/2000", "IHCP-species-notes": "<p></p>" }, "Rat": { "IHCP-species-checked": "notRecommended", "IHCP-species-dilution-info": "1/2000", "IHCP-species-notes": "<p></p>" } } }

Product details

Patented technology
Our RabMAb® technology is a patented hybridoma-based technology for making rabbit monoclonal antibodies. For details on our patents, please refer to RabMAb® patents.

What are the advantages of a recombinant monoclonal antibody?
This product is a recombinant monoclonal antibody, which offers several advantages including:

  • - High batch-to-batch consistency and reproducibility
  • - Improved sensitivity and specificity
  • - Long-term security of supply
  • - Animal-free batch production

For more information, read more on recombinant antibodies.

Properties and storage information

Form
Liquid
Purification technique
Affinity purification Protein A
Storage buffer
pH: 7.2 - 7.4 Preservative: 0.01% Sodium azide Constituents: PBS, 40% Glycerol (glycerin, glycerine), 0.05% BSA
Shipped at conditions
Blue Ice
Appropriate short-term storage duration
1-2 weeks
Appropriate short-term storage conditions
+4°C
Appropriate long-term storage conditions
-20°C
Aliquoting information
Upon delivery aliquot
Storage information
Avoid freeze / thaw cycle

Supplementary information

This supplementary information is collated from multiple sources and compiled automatically.

HNF-1B also known as hepatocyte nuclear factor 1-beta is a transcription factor with a molecular mass of approximately 56 kDa. This protein regulates gene expression by binding to specific DNA sequences influencing the transcriptional activity of target genes. HNF-1B is highly expressed in tissues such as the kidney liver pancreas and lung. It plays a critical role in the development and function of these organs exerting control over the expression of genes involved in their respective physiological processes.
Biological function summary

HNF-1B functions are integral to organ development and tissue-specific gene expression. It is part of the HNF family of transcription factors and forms complexes with other members like HNF-1A. HNF-1B regulates genes that are essential for epithelial cell differentiation and organ morphogenesis. This regulation ensures proper functioning of multiple organs highlighting its significance in maintaining organ health and homeostasis.

Pathways

HNF-1B is deeply integrated into the Wnt signaling pathway and renal-specific pathways. It modulates the expression of key components within these pathways such as promoting renal tubule development and function. HNF-1B interacts with other proteins like TCF7L2 and β-catenin facilitating its role in Wnt signaling. These interactions guide precise cellular responses allowing HNF-1B to coordinate complex biological processes like organogenesis and cellular differentiation.

Mutations in the gene encoding HNF-1B contribute to renal cysts and diabetes syndrome (RCAD) and maturity-onset diabetes of the young type 5 (MODY5). These genetic variations disrupt HNF-1B function leading to impaired organ development and function. In RCAD HNF-1B abnormalities link closely to kidney malformations and diabetic symptoms interacting with genes like PAX2 involved in kidney formation highlighting the molecular complexity associated with these conditions.

Product protocols

For this product, it's our understanding that no specific protocols are required. You can visit:

Target data

Transcription factor that binds to the inverted palindrome 5'-GTTAATNATTAAC-3' (PubMed : 17924661, PubMed : 7900999). Binds to the FPC element in the cAMP regulatory unit of the PLAU gene (By similarity). Transcriptional activity is increased by coactivator PCBD1 (PubMed : 24204001).
See full target information HNF1B

Publications (1)

Recent publications for all applications. Explore the full list and refine your search

Journal of experimental & clinical cancer research : CR 44:282 PubMed41057919

2025

Long-term patient-derived ovarian cancer organoids closely recapitulate tumor of origin and clinical response.

Applications

Unspecified application

Species

Unspecified reactive species

Lucie Thorel,Enora Dolivet,Pierre-Marie Morice,Romane Florent,Jordane Divoux,Marion Perréard,Lucie Lecouflet,Guillaume Desmartin,Chloé Marde Alagama,Florence Giffard,Alexandra Leconte,Justine Lequesne,Bénédicte Clarisse,Mélanie Briand,Alimatou Traoré,Céline Villenet,Jean-Pascal Meneboo,Guillaume Babin,Léopold Gaichies,Sandrine Martin-Françoise,Jean-François Le Brun,Roman Rouzier,Emilie Brotin,Christophe Denoyelle,Nicolas Vigneron,Raphaël Leman,Dominique Vaur,Laurent Castera,Cécile Blanc-Fournier,Nicolas Elie,Benoit Plancoulaine,Florence Joly,Matthieu Meryet-Figuière,Martin Figeac,Louis-Bastien Weiswald,Laurent Poulain
View all publications

Product promise

We are committed to supporting your work with high-quality reagents, and we're here for you every step of the way. In the unlikely event that one of our products does not perform as expected, you're protected by our Product Promise.
For full details, please see our Terms & Conditions

Please note: All products are 'FOR RESEARCH USE ONLY. NOT FOR USE IN DIAGNOSTIC OR THERAPEUTIC PROCEDURES'.

For licensing inquiries, please contact partnerships@abcam.com