JavaScript is disabled in your browser. Please enable JavaScript to view this website.
AB251275

Anti-HNF-4-alpha antibody [EPR16786] - BSA and Azide free

Be the first to review this product! Submit a review

|

(0 Publication)

Rabbit Recombinant Monoclonal HNF-4-alpha antibody. Carrier free. Suitable for ChIC/CUT&RUN-seq, ChIP-seq, ICC/IF, WB, IHC-P and reacts with Human, Rat, Mouse samples.

View Alternative Names

HNF4, NR2A1, TCF14, HNF4A, Hepatocyte nuclear factor 4-alpha, HNF-4-alpha, Nuclear receptor subfamily 2 group A member 1, Transcription factor 14, Transcription factor HNF-4, TCF-14

6 Images
ChIP-sequencing - Anti-HNF-4-alpha antibody [EPR16786] - BSA and Azide free (AB251275)
  • ChIP-seq

Supplier Data

ChIP-sequencing - Anti-HNF-4-alpha antibody [EPR16786] - BSA and Azide free (AB251275)

Chromatin was prepared from HepG2 (Human liver hepatocellular carcinoma cell line) cells. ChIP was performed with 10^7 HepG2 cells and 8 µg of ab199431 [EPR16786]. ChIP DNA was sequenced on the Illumina NovaSeq 6000 to a depth of 30 million reads. This data was developed using ab199431, the same antibody clone in a different buffer formulation.

ChIC/CUT&RUN sequencing - Anti-HNF-4-alpha antibody [EPR16786] - BSA and Azide free (AB251275)
  • ChIC/CUT&RUN-seq

Supplier Data

ChIC/CUT&RUN sequencing - Anti-HNF-4-alpha antibody [EPR16786] - BSA and Azide free (AB251275)

ChIC/CUT&RUN was performed using a pAG-MNAse at a final concentration of 700 ng/mL, 2 x 10^5 HepG2 (Human liver hepatocellular carcinoma cell line) cells and 5 µg of ab199431 [EPR16786]. The resulting DNA was sequenced on the Illumina NovaSeq 6000 to a depth of 10 million reads. The negative IgG control ab172730 is also shown. The ChIP data was conducted on chromatin prepared from HepG2 cells. ChIP was performed with 10^7 HepG2 cells and 8 µg of ab199431 [EPR16786]. ChIP DNA was sequenced on the Illumina NovaSeq 6000 to a depth of 30 million reads. Additional screenshots of mapped reads can be found in the Protocol booklet in the Product Protocol section. The University of Geneva owns patents relevant to ChIC (Chromatin Immuno-Cleavage) methods. This data was developed using ab199431, the same antibody clone in a different buffer formulation.

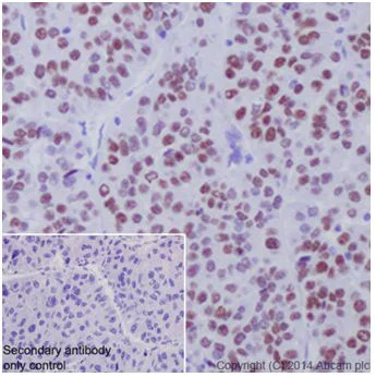
Immunohistochemistry (Formalin/PFA-fixed paraffin-embedded sections) - Anti-HNF-4-alpha antibody [EPR16786] - BSA and Azide free (AB251275)
  • IHC-P

Supplier Data

Immunohistochemistry (Formalin/PFA-fixed paraffin-embedded sections) - Anti-HNF-4-alpha antibody [EPR16786] - BSA and Azide free (AB251275)

This data was developed using ab199431, the same antibody clone in a different buffer formulation.

Immunohistochemical analysis of paraffin-embedded Human hepatocellular carcinoma tissue labeling HNF-4-alpha with ab199431 at 1/400 dilution followed by Goat Anti-Rabbit IgG H&L (HRP) (ab97051) at 1/500 dilution. Nucleus staining on Human hepatocellular carcinoma tissue is observed. Counter stained with Hematoxylin.
Negative control : Used PBS instead of primary antibody, secondary antibody is Goat Anti-Rabbit IgG H&L (HRP) (ab97051).

Perform heat mediated antigen retrieval with Tris/EDTA buffer pH 9.0 before commencing with IHC staining protocol.

Immunocytochemistry/ Immunofluorescence - Anti-HNF-4-alpha antibody [EPR16786] - BSA and Azide free (AB251275)
  • ICC/IF

Supplier Data

Immunocytochemistry/ Immunofluorescence - Anti-HNF-4-alpha antibody [EPR16786] - BSA and Azide free (AB251275)

This data was developed using ab199431, the same antibody clone in a different buffer formulation.

Immunofluorescent analysis of 4% paraformaldehyde-fixed, 0.1% Triton X-100 permeabilized HepG2 (Human liver hepatocellular carcinoma) cells labeling HNF-4-alpha with ab199431 at 1/250 dilution, followed by Goat anti-rabbit IgG (Alexa Fluor® 488) (ab150077) secondary antibody at 1/500 dilution (green). Nuclear staining on HepG2 cell line is observed. The nuclear counterstain is DAPI (blue). Tubulin is detected with ab7291 (anti-Tubulin mouse mAb) at 1/1000 dilution and ab150120 (AlexaFluor®594 Goat anti-Mouse secondary) at 1/500 dilution (red).
The negative controls are as follows : -
-ve control 1 - ab199431 at 1/250 dilution followed by ab150120 (AlexaFluor®594 Goat anti-Mouse secondary) at 1/500 dilution.
-ve control 2. - ab7291 (anti-Tubulin mouse mAb) at 1/1000 dilution followed by ab150077 (Alexa Fluor®488 Goat Anti-Rabbit IgG H&L) at 1/500 dilution.

Western blot - Anti-HNF-4-alpha antibody [EPR16786] - BSA and Azide free (AB251275)
  • WB

Supplier Data

Western blot - Anti-HNF-4-alpha antibody [EPR16786] - BSA and Azide free (AB251275)

This data was developed using ab199431, the same antibody clone in a different buffer formulation.

Blocking and dilution buffer : 5% NFDM/TBST.

This antibody can recognize 3 isoforms. The predicted MW are 53KDa, 52 KDa and 47KDa, respectively.

All lanes:

Western blot - Anti-HNF-4-alpha antibody [EPR16786] - N-terminal (<a href='/en-us/products/primary-antibodies/hnf-4-alpha-antibody-epr16786-n-terminal-ab199431'>ab199431</a>) at 1/10000 dilution

Lane 1:

Mouse liver tissue lysate at 10 µg

Lane 2:

Rat liver tissue lysate at 10 µg

Lane 3:

Human fetal liver tissue lysate at 10 µg

Lane 4:

Human stomach tissue lysate at 10 µg

Secondary

All lanes:

Anti-Rabbit IgG (HRP), specific to the non-reduced form of IgG at 1/1000 dilution

Predicted band size: 53 kDa,84 kDa

Observed band size: 47 kDa,53 kDa

false

Exposure time: 3min

Western blot - Anti-HNF-4-alpha antibody [EPR16786] - BSA and Azide free (AB251275)
  • WB

Supplier Data

Western blot - Anti-HNF-4-alpha antibody [EPR16786] - BSA and Azide free (AB251275)

This data was developed using ab199431, the same antibody clone in a different buffer formulation.

Blocking and dilution buffer : 5% NFDM/TBST.

This antibody can recognize 3 isoforms. The predicted MW are 53KDa, 52 KDa and 47KDa, respectively.

All lanes:

Western blot - Anti-HNF-4-alpha antibody [EPR16786] - N-terminal (<a href='/en-us/products/primary-antibodies/hnf-4-alpha-antibody-epr16786-n-terminal-ab199431'>ab199431</a>) at 1/10000 dilution

All lanes:

HepG2 (Human liver hepatocellular carcinoma) whole cell lysate at 10 µg

Secondary

All lanes:

Goat Anti-Rabbit IgG, (H+L), Peroxidase conjugated at 1/1000 dilution

Predicted band size: 53 kDa

Observed band size: 47 kDa,53 kDa

false

Exposure time: 1min

  • Unconjugated

    Anti-HNF-4-alpha antibody [EPR16786] - N-terminal

  • HRP

    HRP Anti-HNF-4-alpha antibody [EPR16786] - N-terminal

  • 565 Alexa Fluor® 555

    Alexa Fluor® 555 Anti-HNF-4-alpha antibody [EPR16786] - N-terminal

  • 617 Alexa Fluor® 594

    Alexa Fluor® 594 Anti-HNF-4-alpha antibody [EPR16786] - N-terminal

Key facts

Host species

Rabbit

Clonality

Monoclonal

Clone number

EPR16786

Isotype

IgG

Carrier free

Yes

Reacts with

Mouse, Rat, Human

Applications

WB, ChIC/CUT&RUN-seq, IHC-P, ICC/IF, ChIP-seq

applications

Immunogen

The exact immunogen used to generate this antibody is proprietary information.

Reactivity data

{ "title": "Reactivity Data", "filters": { "stats": ["", "Species", "Dilution Info", "Notes"], "tabs": { "all-applications": {"fullname" : "All Applications", "shortname": "All Applications"}, "ChICCUTRUNseq" : {"fullname" : "ChIC/CUT&RUN sequencing", "shortname":"ChIC/CUT&RUN-seq"}, "ChIPseq" : {"fullname" : "ChIP-sequencing", "shortname":"ChIP-seq"}, "ICCIF" : {"fullname" : "Immunocytochemistry/ Immunofluorescence", "shortname":"ICC/IF"}, "WB" : {"fullname" : "Western blot", "shortname":"WB"}, "IHCP" : {"fullname" : "Immunohistochemistry (Formalin/PFA-fixed paraffin-embedded sections)", "shortname":"IHC-P"} }, "product-promise": { "all": "all", "testedAndGuaranteed": "tested", "guaranteed": "expected", "predicted": "predicted", "notRecommended": "not-recommended" } }, "values": { "Human": { "ChICCUTRUNseq-species-checked": "testedAndGuaranteed", "ChICCUTRUNseq-species-dilution-info": "", "ChICCUTRUNseq-species-notes": "<p></p>", "ChIPseq-species-checked": "testedAndGuaranteed", "ChIPseq-species-dilution-info": "", "ChIPseq-species-notes": "<p></p>", "ICCIF-species-checked": "testedAndGuaranteed", "ICCIF-species-dilution-info": "", "ICCIF-species-notes": "<p></p>", "WB-species-checked": "testedAndGuaranteed", "WB-species-dilution-info": "", "WB-species-notes": "<p></p>", "IHCP-species-checked": "testedAndGuaranteed", "IHCP-species-dilution-info": "", "IHCP-species-notes": "<p></p>" }, "Mouse": { "ChICCUTRUNseq-species-checked": "guaranteed", "ChICCUTRUNseq-species-dilution-info": "", "ChICCUTRUNseq-species-notes": "", "ChIPseq-species-checked": "guaranteed", "ChIPseq-species-dilution-info": "", "ChIPseq-species-notes": "", "ICCIF-species-checked": "guaranteed", "ICCIF-species-dilution-info": "", "ICCIF-species-notes": "", "WB-species-checked": "testedAndGuaranteed", "WB-species-dilution-info": "", "WB-species-notes": "<p></p>", "IHCP-species-checked": "guaranteed", "IHCP-species-dilution-info": "", "IHCP-species-notes": "" }, "Rat": { "ChICCUTRUNseq-species-checked": "guaranteed", "ChICCUTRUNseq-species-dilution-info": "", "ChICCUTRUNseq-species-notes": "", "ChIPseq-species-checked": "guaranteed", "ChIPseq-species-dilution-info": "", "ChIPseq-species-notes": "", "ICCIF-species-checked": "guaranteed", "ICCIF-species-dilution-info": "", "ICCIF-species-notes": "", "WB-species-checked": "testedAndGuaranteed", "WB-species-dilution-info": "", "WB-species-notes": "<p></p>", "IHCP-species-checked": "guaranteed", "IHCP-species-dilution-info": "", "IHCP-species-notes": "" } } }

You may be interested in:

AB65333

Glucose Assay Kit

0

0 Reviews

View product

We recommend this product because it’s often used in the same experiment or related research.

We advise that you always check the datasheet to ensure it fits your experiments, or contact ourtechnical teamfor help.

Product details

ab251275 is the carrier-free version of ab199431.

Patented technology
Our RabMAb® technology is a patented hybridoma-based technology for making rabbit monoclonal antibodies. For details on our patents, please refer to RabMAb® patents.

What are the advantages of a recombinant monoclonal antibody?
This product is a recombinant monoclonal antibody, which offers several advantages including:

  • - High batch-to-batch consistency and reproducibility
  • - Improved sensitivity and specificity
  • - Long-term security of supply
  • - Animal-free batch production

For more information, read more on recombinant antibodies.

Conjugation ready
Our carrier-free antibodies are typically supplied in a PBS-only formulation, purified and free of BSA, sodium azide and glycerol. This conjugation-ready format is designed for use with fluorochromes, metal isotopes, oligonucleotides, and enzymes, which makes them ideal for antibody labelling, functional and cell-based assays, flow-based assays (e.g. mass cytometry) and Multiplex Imaging applications.

Use our conjugation kits for antibody conjugates that are ready-to-use in as little as 20 minutes with 1 minute hands-on-time and 100% antibody recovery: available for fluorescent dyes, HRP, biotin and gold.

Compatibility
This product is compatible with the Maxpar® Antibody Labeling Kit from Fluidigm, without the need for antibody preparation. Maxpar® is a trademark of Fluidigm Canada Inc.

Properties and storage information

Form
Liquid
Purification technique
Affinity purification Protein A
Storage buffer
pH: 7.2 - 7.4 Constituents: PBS
Shipped at conditions
Blue Ice
Appropriate short-term storage conditions
+4°C
Appropriate long-term storage conditions
+4°C
Storage information
Do Not Freeze

Supplementary information

This supplementary information is collated from multiple sources and compiled automatically.

HNF-4-alpha also known as hepatocyte nuclear factor 4-alpha (HNF4A) is a nuclear protein that functions as a transcription factor. It plays an important role in regulating gene expression in the liver kidney and intestine. HNF-4-alpha has a molecular mass of about 54 kDa and is expressed in tissues where it maintains cellular differentiation and metabolic homeostasis. In cellular assays such as ELISA and CHIP detection of HNF-4-alpha provides insights into its expression levels and activity in various biological contexts.
Biological function summary

HNF-4-alpha influences the expression of genes involved in liver and pancreatic function. It acts as a transcriptional regulator that controls fatty acid oxidation gluconeogenesis and insulin secretion. HNF-4-alpha interacts with other proteins to form transcriptional complexes that fine-tune the expression of metabolic enzymes and transport proteins. This protein is key to ensuring that metabolic genes are expressed in a coordinated manner which is essential for maintaining normal metabolic processes.

Pathways

HNF-4-alpha participates in the insulin signaling and lipid metabolism pathways. Through these pathways it interacts with other transcription factors such as HNF-1-alpha and PPAR-alpha which coordinate the regulation of genes involved in glucose metabolism and fatty acid oxidation. HNF-4-alpha plays a critical role by modulating the expression of enzymes like gluconeogenic enzymes in response to metabolic needs which connects it to key metabolic pathways influencing overall energy homeostasis.

HNF-4-alpha is linked to maturity-onset diabetes of the young (MODY1) and certain types of liver diseases. Mutations or dysregulation in HNF-4-alpha can affect the expression of genes essential for insulin production and glucose metabolism leading to disorders like diabetes. Additionally HNF-4-alpha interacts with other proteins and transcription factors implicated in these conditions such as HNF-1-alpha. Understanding the role of HNF-4-alpha in these diseases can provide insights into potential therapeutic targets and intervention strategies.

Product protocols

For this product, it's our understanding that no specific protocols are required. You can visit:

Target data

Transcriptional regulator which controls the expression of hepatic genes during the transition of endodermal cells to hepatic progenitor cells, facilitating the recruitment of RNA pol II to the promoters of target genes (PubMed : 30597922). Activates the transcription of CYP2C38 (By similarity). Represses the CLOCK-BMAL1 transcriptional activity and is essential for circadian rhythm maintenance and period regulation in the liver and colon cells (PubMed : 30530698).
See full target information HNF4A

Product promise

We are committed to supporting your work with high-quality reagents, and we're here for you every step of the way. In the unlikely event that one of our products does not perform as expected, you're protected by our Product Promise.
For full details, please see our Terms & Conditions
chicCutRunSequencingBooklet
en

Associated Products

Select an associated product type
Alternative Version
Primary Antibodies

AB209473

HRP Anti-HNF-4-alpha antibody [EPR16786] - N-terminal

primary-antibodies

hrp-hnf-4-alpha-antibody-epr16786-n-terminal-ab209473

0

(0 reviews)

Alternative Version
Primary Antibodies

AB217518

Alexa Fluor® 555 Anti-HNF-4-alpha antibody [EPR16786] - N-terminal

primary-antibodies

alexa-fluor-555-hnf-4-alpha-antibody-epr16786-n-terminal-ab217518

4

(1 reviews)

Alternative Version
Primary Antibodies

AB217120

Alexa Fluor® 594 Anti-HNF-4-alpha antibody [EPR16786] - N-terminal

primary-antibodies

alexa-fluor-594-hnf-4-alpha-antibody-epr16786-n-terminal-ab217120

4

(1 reviews)

Please note: All products are 'FOR RESEARCH USE ONLY. NOT FOR USE IN DIAGNOSTIC OR THERAPEUTIC PROCEDURES'.

For licensing inquiries, please contact partnerships@abcam.com